Tailor-made Antibodies
and Tools for Life Science
Home | | | | | Technical Support

Abeta38/40/42/43 antibody - 218 113

Abeta peptides are major components of neuritic plaques in Alzheimer's disease
Rabbit polyclonal purified antibody
Cat. No.: 218 113
Amount: 50 µg
Price: $380.00
Cat. No. 218 113 50 µg specific antibody, lyophilized. Affinity purified with the immunogen. Albumin was added for stabilization. For reconstitution add 50 µl H2O to get a 1mg/ml solution in PBS. Then aliquot and store at -20°C to -80°C until use.
Antibodies should be stored at +4°C when still lyophilized. Do not freeze!
Applications
 
WB: not tested yet
IP: not tested yet
ICC: not tested yet
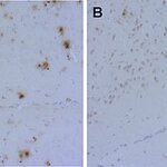
IHC: 1 : 100 up to 1 : 500 (see remarks) gallery  
IHC-P (FFPE): 1 : 1000 (see remarks) gallery  
ELISA: not tested yet

Western blot (WB); separation of proteins by PAGE and subsequent transfer to a membrane. Detection of target molecules is carried out with antibodies. Some antibodies require special sample preparation steps. For details, please refer to the “Remarks” section.

Immunoprecipitation (IP); Immunoisolation or pulldown of a target molecule using an antibody. For details and product specific hints, please refer to the ”Remarks” section.

Immunocytochemistry (ICC) on 4% PFA fixed cells. Immunoreactivity is usually revealed by fluorescence. Some antibodies require special fixation methods. For details, please refer to the “Remarks” section.

Immunohistochemistry (IHC) on 4% PFA perfusion fixed tissue with 24h PFA post fixation. Immunoreactivity is usually revealed by fluorescence or a chromogenic substrate. Some antibodies require special fixation methods or antigen retrieval steps. For details, please refer to the ”Remarks” section.

Immunohistochemistry (IHC-P) of formalin fixed, paraffin embedded (FFPE) tissue (some antibodies require special antigen retrieval steps, please refer to the ”Remarks” section). Immunoreactivity is usually revealed by fluorescence or a chromogenic substrate.

Enzyme-linked immunosorbent assay (ELISA); a frequently employed method to quantify target-molecules in solution. The detection of some proteins requires special solubilization steps. For further information, please refer to the „Remarks“ section.

Immunogen Synthetic peptide corresponding to AA 13 to 29 from human Abeta (UniProt Id: P05067)
Reactivity Reacts with: human (P05067), mouse (P12023), dog.
Other species not tested yet.
Specificity Recognizes Abeta 38, 40, 42, 43. Due to sequence homology, a cross-reactivity to unprocessed APP cannot be excluded.
Remarks

IHC: Antigen retrieval with formic acid is required.
IHC-P (FFPE): Antigen retrieval with citrate buffer pH 6, followed by formic acid treatment, is required for chromogenic detection.
For chromogenic detection, an optimized AGR time of 20 minutes is recommended for best results.
Antigen retrieval with formic acid increases sensitivity and reveals more plaques.

Data sheet Datasheet 218_113

References for Abeta38/40/42/43 - 218 113

Aβ38 in the brains of patients with sporadic and familial Alzheimer's disease and transgenic mouse models.
Reinert J, Martens H, Huettenrauch M, Kolbow T, Lannfelt L, Ingelsson M, Paetau A, Verkkoniemi-Ahola A, Bayer TA, Wirths O
Journal of Alzheimer's disease : JAD (2014) 394: 871-81. 218 113 WB; tested species: human
Neurovascular Specifications in the Alzheimer-Like Brain of Mice Affected by Focal Cerebral Ischemia: Implications for Future Therapies.
Michalski D, Hofmann S, Pitsch R, Grosche J, Härtig W
Journal of Alzheimer's disease : JAD (2017) 592: 655-674. 218 113 IHC; tested species: mouse
Detection and Quantification of β-Amyloid, Pyroglutamyl Aβ, and Tau in Aged Canines.
Schmidt F, Boltze J, Jäger C, Hofmann S, Willems N, Seeger J, Härtig W, Stolzing A
Journal of neuropathology and experimental neurology (2015) 749: 912-23. 218 113 IHC
Cat. No.: 218 113
Amount: 50 µg
Price: $380.00
Aβ38 in the brains of patients with sporadic and familial Alzheimer's disease and transgenic mouse models.
Reinert J, Martens H, Huettenrauch M, Kolbow T, Lannfelt L, Ingelsson M, Paetau A, Verkkoniemi-Ahola A, Bayer TA, Wirths O
Journal of Alzheimer's disease : JAD (2014) 394: 871-81. 218 113 WB; tested species: human
Neurovascular Specifications in the Alzheimer-Like Brain of Mice Affected by Focal Cerebral Ischemia: Implications for Future Therapies.
Michalski D, Hofmann S, Pitsch R, Grosche J, Härtig W
Journal of Alzheimer's disease : JAD (2017) 592: 655-674. 218 113 IHC; tested species: mouse
Detection and Quantification of β-Amyloid, Pyroglutamyl Aβ, and Tau in Aged Canines.
Schmidt F, Boltze J, Jäger C, Hofmann S, Willems N, Seeger J, Härtig W, Stolzing A
Journal of neuropathology and experimental neurology (2015) 749: 912-23. 218 113 IHC
Background

Amyloid deposits, also called plaques, of Alzheimer's patients consist of several protein components like the amyloid beta-peptides (Abeta, Aβ) 1-40/42/43 and additional C- and N-terminally modified fragments of Abeta as for instance Abeta pE3 and Abeta pE11.
An additional Abeta variant, Abeta38, is more soluble compared to other Abeta species and is not found in plaques of sporadic Alzheimer´s cases. However, it is detected in the blood-vessel walls of a subset of patients with severe cerebral amyloid angiopathy. It especially accumulates in brains of patients carrying mutations in the Abeta coding region.
Cleavage of amyloid precursor protein APP by β- and γ- secretases results in the generation of the Aβ (βA4)peptide, whereas α-secretase cleaves within the Aβ sequence and prevents the formation of Abeta from APP.

Certificates

ISO 9001 2015 Quality Management System and Green Lab Platinum certification level for sustaining laboratory processes.

Newsletter

Sign up for our newsletter and get the latest updates and news.
 

Please provide a valid E-Mail-Address
Please provide a valid First name
Please provide a valid Last name