Tailor-made Antibodies
and Tools for Life Science
Home | | | | | Technical Support

Abeta38/40/42/43 antibody - 218 111BT

Abeta peptides are major components of neuritic plaques in Alzheimer's disease
Mouse monoclonal purified IgG
Cat. No.: 218 111BT
Amount: 100 µg
Price: $470.00
Cat. No. 218 111BT 100 µg purified IgG, lyophilized, labeled with Biotin.

Biotin is a small vitamin B complex molecule. Its small size minimizes interference with antibody binding sites and allows for efficient conjugation without compromising antibody functionality.
Biotin conjugated antibodies can be easily detected with Avidin/Streptavidin based secondary detection systems.
The streptavidin-biotin bond is one of the strongest non-covalent biological bonds known.

For reconstitution add 100 µl H2O to get a 1mg/ml solution in PBS. Then aliquot and store at -20°C to -80°C until use.
Antibodies should be stored at +4°C when still lyophilized. Do not freeze!
Applications
 
WB: not tested yet
IP: not tested yet
ICC: not tested yet
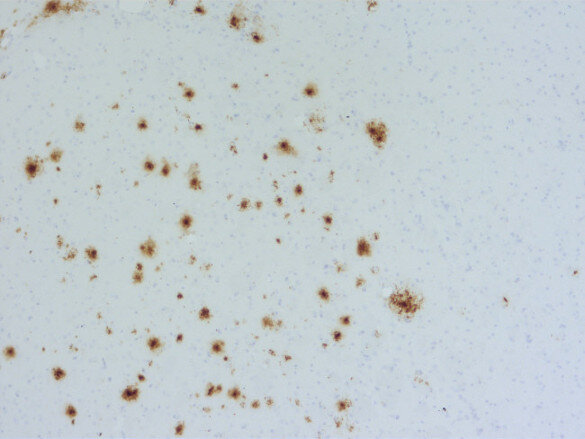
IHC: 1 : 200 up to 1 : 500 (see remarks) gallery  
IHC-P: 1 : 200 up to 1 : 500 (see remarks) gallery  

Western blot (WB); separation of proteins by PAGE and subsequent transfer to a membrane. Detection of target molecules is carried out with antibodies. Some antibodies require special sample preparation steps. For details, please refer to the “Remarks” section.

Immunoprecipitation (IP); Immunoisolation or pulldown of a target molecule using an antibody. For details and product specific hints, please refer to the ”Remarks” section.

Immunocytochemistry (ICC) on 4% PFA fixed cells. Immunoreactivity is usually revealed by fluorescence. Some antibodies require special fixation methods. For details, please refer to the “Remarks” section.

Immunohistochemistry (IHC) on 4% PFA perfusion fixed tissue with 24h PFA post fixation. Immunoreactivity is usually revealed by fluorescence or a chromogenic substrate. Some antibodies require special fixation methods or antigen retrieval steps. For details, please refer to the ”Remarks” section.

Immunohistochemistry (IHC-P) of formalin fixed, paraffin embedded (FFPE) tissue (some antibodies require special antigen retrieval steps, please refer to the ”Remarks” section). Immunoreactivity is usually revealed by fluorescence or a chromogenic substrate.

Label biotin
Clone NT78
Subtype IgG2b (κ light chain)
Immunogen Synthetic peptide corresponding to AA 1 to 16 from human Abeta (UniProt Id: P05067)
Epitop AA 4 to 16 from human Abeta (UniProt Id: P05067)
Reactivity Reacts with: human (P05067), mouse (P12023).
Other species not tested yet.
Specificity Specific for Abeta 38, 40, 42, 43. Due to sequence homology, a cross-reactivity to unprocessed APP cannot be excluded.
Remarks

IHC: Antigen retrieval with formic acid is required.
IHC-P: Antigen retrieval with citrate buffer pH 6, followed by formic acid treatment, is required for chromogenic detection.
For chromogenic detection, an optimized AGR time of 20 minutes is recommended for best results.

Data sheet Datasheet 218_111bt
Cat. No.: 218 111BT
Amount: 100 µg
Price: $470.00
Background

Amyloid deposits, also called plaques, of Alzheimer's patients consist of several protein components like the amyloid beta-peptides (Abeta, Aβ) 1-40/42/43 and additional C- and N-terminally modified fragments of Abeta as for instance Abeta pE3 and Abeta pE11.
An additional Abeta variant, Abeta38, is more soluble compared to other Abeta species and is not found in plaques of sporadic Alzheimer´s cases. However, it is detected in the blood-vessel walls of a subset of patients with severe cerebral amyloid angiopathy. It especially accumulates in brains of patients carrying mutations in the Abeta coding region.
Cleavage of amyloid precursor protein APP by β- and γ- secretases results in the generation of the Aβ (βA4)peptide, whereas α-secretase cleaves within the Aβ sequence and prevents the formation of Abeta from APP.

Certificates

ISO 9001 2015 Quality Management System and Green Lab Platinum certification level for sustaining laboratory processes.

Newsletter

Sign up for our newsletter and get the latest updates and news.
 

Please provide a valid E-Mail-Address
Please provide a valid First name
Please provide a valid Last name