Tailor-made Antibodies
and Tools for Life Science
Home | | | | | Technical Support

Calbindin D28k antibody - 214 318

Calbindin D28k is a vitamin D-dependent calcium binding protein
Guinea pig monoclonal recombinant IgG
Cat. No.: 214 318
Amount: 50 µg
Price: $420.00
Cat. No. 214 318 50 µg purified recombinant IgG, lyophilized. Albumin and azide were added for stabilization. For reconstitution add 50 µl H2O to get a 1mg/ml solution in PBS. Then aliquot and store at -20°C to -80°C until use.
Antibodies should be stored at +4°C when still lyophilized. Do not freeze!
Applications
 
WB: 1 : 1000 (AP staining) gallery  
IP: not tested yet
ICC: 1 : 500 up to 1 : 2000 gallery  
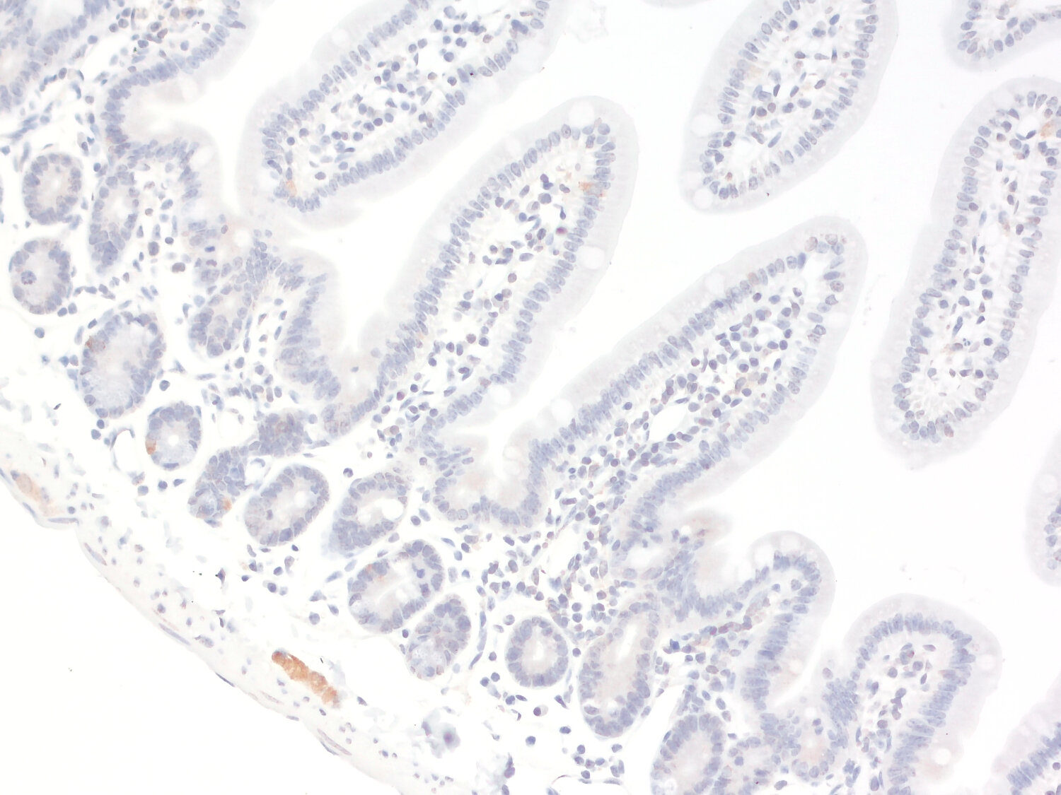
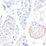
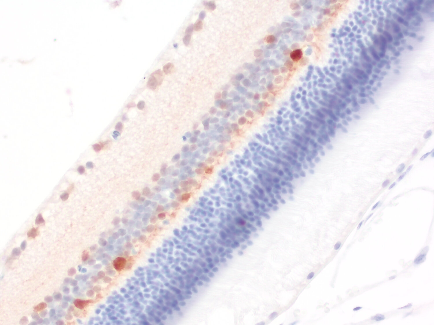
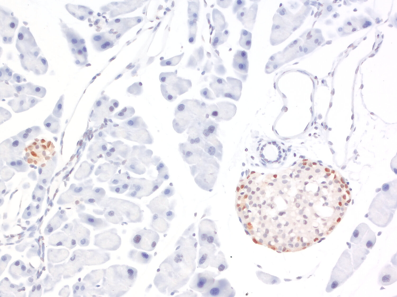
IHC: 1 : 500 (see remarks) gallery  
IHC-P: 1 : 500 up to 1 : 2000 gallery  

Western blot (WB); separation of proteins by PAGE and subsequent transfer to a membrane. Detection of target molecules is carried out with antibodies. Some antibodies require special sample preparation steps. For details, please refer to the “Remarks” section.

Immunoprecipitation (IP); Immunoisolation or pulldown of a target molecule using an antibody. For details and product specific hints, please refer to the ”Remarks” section.

Immunocytochemistry (ICC) on 4% PFA fixed cells. Immunoreactivity is usually revealed by fluorescence. Some antibodies require special fixation methods. For details, please refer to the “Remarks” section.

Immunohistochemistry (IHC) on 4% PFA perfusion fixed tissue with 24h PFA post fixation. Immunoreactivity is usually revealed by fluorescence or a chromogenic substrate. Some antibodies require special fixation methods or antigen retrieval steps. For details, please refer to the ”Remarks” section.

Immunohistochemistry (IHC-P) of formalin fixed, paraffin embedded (FFPE) tissue (some antibodies require special antigen retrieval steps, please refer to the ”Remarks” section). Immunoreactivity is usually revealed by fluorescence or a chromogenic substrate.

Clone Gp351C10
Subtype IgG2 (κ light chain)
Immunogen Full-length recombinant human Calbindin D28k protein (UniProt Id: P05937)
Reactivity Reacts with: human (P05937), rat (P07171), mouse (P12658), zebrafish, grashopper.
Other species not tested yet.
Matching control protein/peptide 214-0P
Remarks

This antibody is a chimeric antibody based on the monoclonal mouse antibody 351C10. The constant regions of the heavy and light chains have been replaced with guinea pig specific sequences. Therefore, the antibody can be used with standard anti-guinea pig secondary reagents. The antibody has been expressed in mammalian cells.
IHC: Antigen retrieval with citrate buffer pH 6 is tolerated.
For optimal results in retina tissue, follow the retina protocol.

Data sheet Datasheet 214_318
Cat. No.: 214 318
Amount: 50 µg
Price: $420.00
Background

Calbindin D28k (CALB1, D28K or CAB27) and Calretinin (Calbindin D29k) are members of the EF-hand calcium-binding protein family, playing essential roles in intracellular calcium homeostasis, neuroprotection, and signal transduction (1). Calbindin D28k is widely expressed in tissues that experience high calcium influx, such as the brain, sensory organs, endocrine tissues, and the enteric nervous system (ENS). In the central nervous system (CNS), Calbindin D28k is an important marker for specific neuronal populations, particularly in Purkinje cells of the cerebellum and GABAergic and glutamatergic neurons of the cortex (2). Outside the CNS, Calbindin D28k plays crucial roles in non-neuronal tissues. In the retina, it contributes to photoreceptor function and calcium signaling (3). In the pancreas, it is present in α- and β-cells (4). Additionally, it was reported that 31% of myenteric neurons and up to 95% of submucosal neurons in the human ENS express calbindin, suggesting its involvement in both motor and secretory functions (5).

 

For more information on protein expression pattern, please refer to the overview image in our SYSY Antibodies ATLAS.

Certificates

ISO 9001 2015 Quality Management System and Green Lab Platinum certification level for sustaining laboratory processes.

Newsletter

Sign up for our newsletter and get the latest updates and news.
 

Please provide a valid E-Mail-Address
Please provide a valid First name
Please provide a valid Last name