Tailor-made Antibodies
and Tools for Life Science
Home | | | | | Technical Support

Calbindin D28k antibody - 214 011

Calbindin D28k is a vitamin D-dependent calcium binding protein
Mouse monoclonal purified IgG
Cat. No.: 214 011
Amount: 100 µg
Price: $425.00
Cat. No. 214 011 100 µg purified IgG, lyophilized. Albumin and azide were added for stabilization. For reconstitution add 100 µl H2O to get a 1mg/ml solution in PBS. Then aliquot and store at -20°C to -80°C until use.
Antibodies should be stored at +4°C when still lyophilized. Do not freeze!
Applications
 
WB: 1 : 1000 (AP staining) gallery  
IP: yes
ICC: 1 : 500 gallery  
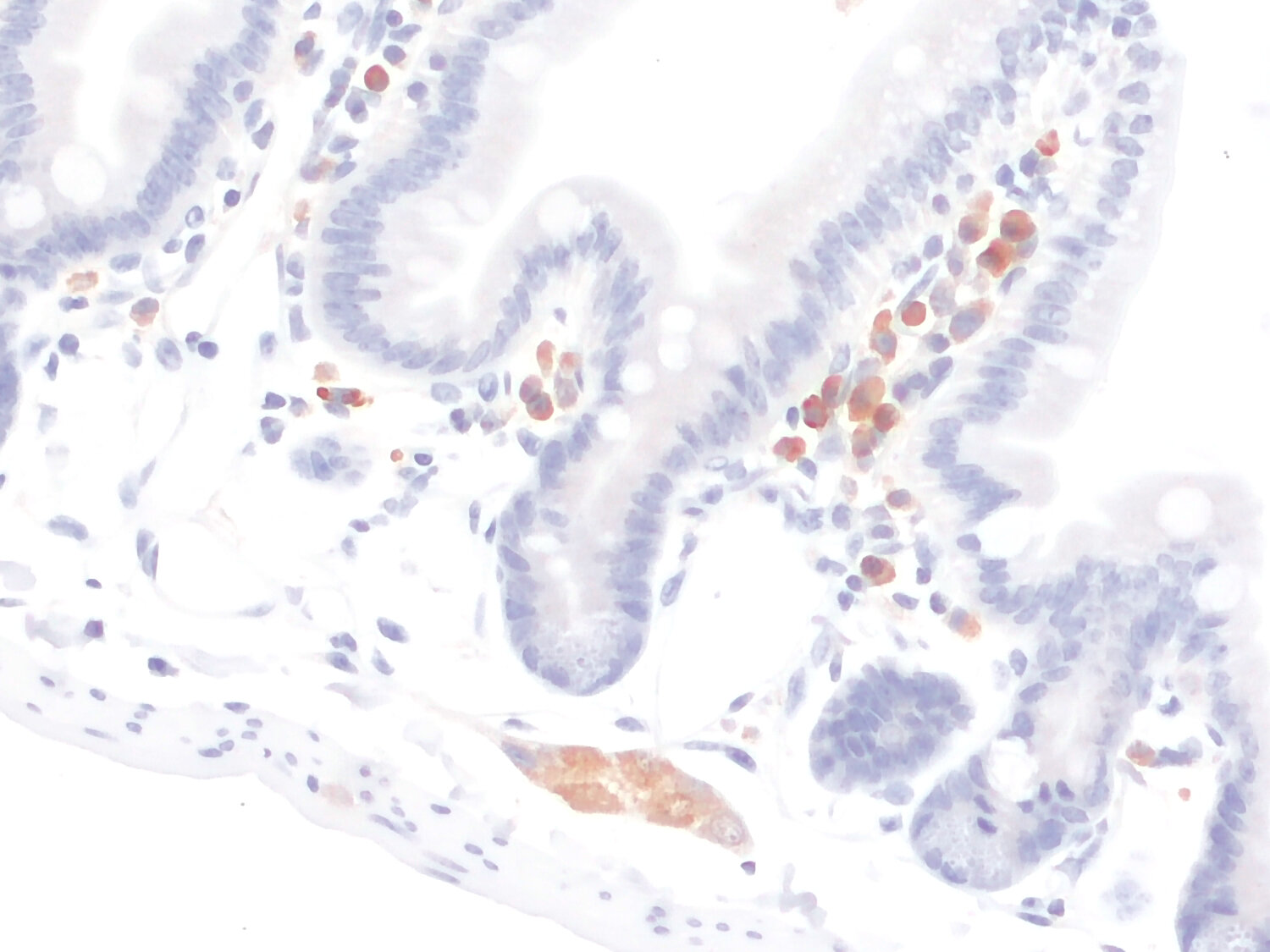
IHC: 1 : 200 up to 1 : 500 gallery  
IHC-P: 1 : 500 up to 1 : 1000 gallery  
Clarity: external data (see remarks)

Western blot (WB); separation of proteins by PAGE and subsequent transfer to a membrane. Detection of target molecules is carried out with antibodies. Some antibodies require special sample preparation steps. For details, please refer to the “Remarks” section.

Immunoprecipitation (IP); Immunoisolation or pulldown of a target molecule using an antibody. For details and product specific hints, please refer to the ”Remarks” section.

Immunocytochemistry (ICC) on 4% PFA fixed cells. Immunoreactivity is usually revealed by fluorescence. Some antibodies require special fixation methods. For details, please refer to the “Remarks” section.

Immunohistochemistry (IHC) on 4% PFA perfusion fixed tissue with 24h PFA post fixation. Immunoreactivity is usually revealed by fluorescence or a chromogenic substrate. Some antibodies require special fixation methods or antigen retrieval steps. For details, please refer to the ”Remarks” section.

Immunohistochemistry (IHC-P) of formalin fixed, paraffin embedded (FFPE) tissue (some antibodies require special antigen retrieval steps, please refer to the ”Remarks” section). Immunoreactivity is usually revealed by fluorescence or a chromogenic substrate.

Clarity is a sample preparation method for clearing, immunolabeling and volume imaging of large biological samples. Clearing is carried out by SDS and Focusclear treatment. For additional experimental details, please refer to the Remarks section.

Clone 351C10
Subtype IgG1 (κ light chain)
Immunogen Full-length recombinant human Calbindin D28k protein (UniProt Id: P05937)
Reactivity Reacts with: human (P05937), rat (P07171), mouse (P12658), zebrafish, grashopper.
Other species not tested yet.
Matching control protein/peptide 214-0P
Remarks

Clarity: This antibody has been successfully applied and published for this method by customers (see application-specific references).

Data sheet Datasheet 214_011

References for Calbindin D28k - 214 011

Nrg1 haploinsufficiency alters inhibitory cortical circuits.
Navarro-Gonzalez C, Carceller H, Benito Vicente M, Serra I, Navarrete M, Domínguez-Canterla Y, Rodríguez-Prieto Á, González-Manteiga A, Fazzari P
Neurobiology of disease (2021) 157: 105442. 214 011 WB; tested species: mouse
Combinatorial analysis of calcium-binding proteins in larval and adult zebrafish primary olfactory system identifies differential olfactory bulb glomerular projection fields.
Kress S, Biechl D, Wullimann MF
Brain structure & function (2015) 2204: 1951-70. 214 011 WB, IHC; tested species: zebrafish
INSIHGT: an accessible multi-scale, multi-modal 3D spatial biology platform.
Yau CN, Hung JTS, Campbell RAA, Wong TCY, Huang B, Wong BTY, Chow NKN, Zhang L, Tsoi EPL, Tan Y, Li JJX, et al.
Nature communications (2024) 151: 10888. 214 011 IHC; tested species: mouse
A pupillary contrast response in mice and humans: Neural mechanisms and visual functions.
Fitzpatrick MJ, Krizan J, Hsiang JC, Shen N, Kerschensteiner D
Neuron (2024) : . 214 011 IHC; tested species: mouse
Sensory innervation of masseter, temporal and lateral pterygoid muscles in common marmosets.
Hovhannisyan AH, Lindquist K, Belugin S, Mecklenburg J, Ibrahim T, Tram M, Corey T, Salmon A, Ruparel S, Ruparel S, Akopian A, et al.
bioRxiv : the preprint server for biology (2023) : . 214 011 IHC; tested species: marmoset
Long-Term Effects of Biliverdin Reductase a Deficiency in Ugt1-/- Mice: Impact on Redox Status and Metabolism.
Bortolussi G, Shi X, Ten Bloemendaal L, Banerjee B, De Waart DR, Baj G, Chen W, Oude Elferink RP, Beuers U, Paulusma CC, Stocker R, et al.
Antioxidants (Basel, Switzerland) (2021) 1012: . 214 011 IHC; tested species: mouse
Regional Variation of Gap Junctional Connections in the Mammalian Inner Retina.
Fusz K, Kovács-Öller T, Kóbor P, Szabó-Meleg E, Völgyi B, Buzás P, Telkes I
Cells (2021) 109: . 214 011 IHC; tested species: mouse,rat
Genetic disruption of bassoon in two mutant mouse lines causes divergent retinal phenotypes.
Ryl M, Urbasik A, Gierke K, Babai N, Joachimsthaler A, Feigenspan A, Frischknecht R, Stallwitz N, Fejtová A, Kremers J, von Wittgenstein J, et al.
FASEB journal : official publication of the Federation of American Societies for Experimental Biology (2021) 355: e21520. 214 011 IHC; tested species: mouse
The Ser19Stop single nucleotide polymorphism (SNP) of human PHYHIPL affects the cerebellum in mice.
Sugimoto H, Horii T, Hirota JN, Sano Y, Shinoda Y, Konno A, Hirai H, Ishizaki Y, Hirase H, Hatada I, Furuichi T, et al.
Molecular brain (2021) 141: 52. 214 011 IHC; tested species: mouse
Spatial Expression Pattern of the Major Ca2+-Buffer Proteins in Mouse Retinal Ganglion Cells.
Kovács-Öller T, Szarka G, Tengölics ÁJ, Ganczer A, Balogh B, Szabó-Meleg E, Nyitrai M, Völgyi B
Cells (2020) 94: . 214 011 IHC; tested species: mouse
Generation of human striatal organoids and cortico-striatal assembloids from human pluripotent stem cells.
Miura Y, Li MY, Birey F, Ikeda K, Revah O, Thete MV, Park JY, Puno A, Lee SH, Porteus MH, Pașca SP, et al.
Nature biotechnology (2020) 3812: 1421-1430. 214 011 IHC; tested species: human
Deletion of class II ARFs in mice causes tremor by the Nav1.6 loss in cerebellar Purkinje cell axon initial segments.
Hosoi N, Shibasaki K, Hosono M, Konno A, Shinoda Y, Kiyonari H, Inoue K, Muramatsu SI, Ishizaki Y, Hirai H, Furuichi T, et al.
The Journal of neuroscience : the official journal of the Society for Neuroscience (2019) : . 214 011 IHC; tested species: mouse
Heterogeneity of GRIM-19 Expression in the Adult Mouse Brain.
Hwang SN, Kim JC, Kim SY
Cellular and molecular neurobiology (2019) : . 214 011 IHC; tested species: mouse
Re-evaluation of neuronal P2X7 expression using novel mouse models and a P2X7-specific nanobody.
Kaczmarek-Hajek K, Zhang J, Kopp R, Grosche A, Rissiek B, Saul A, Bruzzone S, Engel T, Jooss T, Krautloher A, Schuster S, et al.
eLife (2018) 7: . 214 011 IHC; tested species: mouse
Facilitation of Contextual Fear Extinction by Orexin-1 Receptor Antagonism Is Associated with the Activation of Specific Amygdala Cell Subpopulations.
Flores Á, Herry C, Maldonado R, Berrendero F
The international journal of neuropsychopharmacology (2017) 208: 654-659. 214 011 IHC; tested species: mouse
Functional expression of calcium-permeable canonical transient receptor potential 4-containing channels promotes migration of medulloblastoma cells.
Wei WC, Huang WC, Lin YP, Becker EBE, Ansorge O, Flockerzi V, Conti D, Cenacchi G, Glitsch MD
The Journal of physiology (2017) 59516: 5525-5544. 214 011 IHC; tested species: mouse
Characterization of a novel subtype of hippocampal interneurons that express corticotropin-releasing hormone.
Hooper A, Maguire J
Hippocampus (2016) 261: 41-53. 214 011 IHC
Combinatorial analysis of calcium-binding proteins in larval and adult zebrafish primary olfactory system identifies differential olfactory bulb glomerular projection fields.
Kress S, Biechl D, Wullimann MF
Brain structure & function (2015) 2204: 1951-70. 214 011 WB, IHC; tested species: zebrafish
Evidence for a Clathrin-independent mode of endocytosis at a continuously active sensory synapse.
Fuchs M, Brandstätter JH, Regus-Leidig H
Frontiers in cellular neuroscience (2014) 8: 60. 214 011 IHC; tested species: rat
Rescue of bilirubin-induced neonatal lethality in a mouse model of Crigler-Najjar syndrome type I by AAV9-mediated gene transfer.
Bortolussi G, Zentilin L, Baj G, Giraudi P, Bellarosa C, Giacca M, Tiribelli C, Muro AF
FASEB journal : official publication of the Federation of American Societies for Experimental Biology (2012) 263: 1052-63. 214 011 IHC; tested species: mouse
Probing the functional equivalence of otoferlin and synaptotagmin 1 in exocytosis.
Reisinger E, Bresee C, Neef J, Nair R, Reuter K, Bulankina A, Nouvian R, Koch M, Bückers J, Kastrup L, Roux I, et al.
The Journal of neuroscience : the official journal of the Society for Neuroscience (2011) 3113: 4886-95. 214 011 IHC; tested species: mouse
CLARITY increases sensitivity and specificity of fluorescence immunostaining in long-term archived human brain tissue.
Woelfle S, Deshpande D, Feldengut S, Braak H, Del Tredici K, Roselli F, Deisseroth K, Michaelis J, Boeckers TM, Schön M
BMC biology (2023) 211: 113. 214 011 Clarity; tested species: human
Expression profiles of the autism-related SHANK proteins in the human brain.
Woelfle S, Pedro MT, Wagner J, Schön M, Boeckers TM
BMC biology (2023) 211: 254. 214 011 Clarity; tested species: human
Inhibition of West Nile virus by calbindin-D28k.
Siddharthan V, Wang H, Davies CJ, Hall JO, Morrey JD
PloS one (2014) 99: e106535. 214 011 FACS
Superchaotropic Stabilization of Monomeric Protein States.
Wong BTY, Zhang L, Wong TCY, Yau CN, Chu AJ, Tsang TF, Li JJX, Yang X, Lai HM
Biomacromolecules (2025) : . 214 011
Cat. No.: 214 011
Amount: 100 µg
Price: $425.00
Nrg1 haploinsufficiency alters inhibitory cortical circuits.
Navarro-Gonzalez C, Carceller H, Benito Vicente M, Serra I, Navarrete M, Domínguez-Canterla Y, Rodríguez-Prieto Á, González-Manteiga A, Fazzari P
Neurobiology of disease (2021) 157: 105442. 214 011 WB; tested species: mouse
Combinatorial analysis of calcium-binding proteins in larval and adult zebrafish primary olfactory system identifies differential olfactory bulb glomerular projection fields.
Kress S, Biechl D, Wullimann MF
Brain structure & function (2015) 2204: 1951-70. 214 011 WB, IHC; tested species: zebrafish
INSIHGT: an accessible multi-scale, multi-modal 3D spatial biology platform.
Yau CN, Hung JTS, Campbell RAA, Wong TCY, Huang B, Wong BTY, Chow NKN, Zhang L, Tsoi EPL, Tan Y, Li JJX, et al.
Nature communications (2024) 151: 10888. 214 011 IHC; tested species: mouse
A pupillary contrast response in mice and humans: Neural mechanisms and visual functions.
Fitzpatrick MJ, Krizan J, Hsiang JC, Shen N, Kerschensteiner D
Neuron (2024) : . 214 011 IHC; tested species: mouse
Sensory innervation of masseter, temporal and lateral pterygoid muscles in common marmosets.
Hovhannisyan AH, Lindquist K, Belugin S, Mecklenburg J, Ibrahim T, Tram M, Corey T, Salmon A, Ruparel S, Ruparel S, Akopian A, et al.
bioRxiv : the preprint server for biology (2023) : . 214 011 IHC; tested species: marmoset
Long-Term Effects of Biliverdin Reductase a Deficiency in Ugt1-/- Mice: Impact on Redox Status and Metabolism.
Bortolussi G, Shi X, Ten Bloemendaal L, Banerjee B, De Waart DR, Baj G, Chen W, Oude Elferink RP, Beuers U, Paulusma CC, Stocker R, et al.
Antioxidants (Basel, Switzerland) (2021) 1012: . 214 011 IHC; tested species: mouse
Regional Variation of Gap Junctional Connections in the Mammalian Inner Retina.
Fusz K, Kovács-Öller T, Kóbor P, Szabó-Meleg E, Völgyi B, Buzás P, Telkes I
Cells (2021) 109: . 214 011 IHC; tested species: mouse,rat
Genetic disruption of bassoon in two mutant mouse lines causes divergent retinal phenotypes.
Ryl M, Urbasik A, Gierke K, Babai N, Joachimsthaler A, Feigenspan A, Frischknecht R, Stallwitz N, Fejtová A, Kremers J, von Wittgenstein J, et al.
FASEB journal : official publication of the Federation of American Societies for Experimental Biology (2021) 355: e21520. 214 011 IHC; tested species: mouse
The Ser19Stop single nucleotide polymorphism (SNP) of human PHYHIPL affects the cerebellum in mice.
Sugimoto H, Horii T, Hirota JN, Sano Y, Shinoda Y, Konno A, Hirai H, Ishizaki Y, Hirase H, Hatada I, Furuichi T, et al.
Molecular brain (2021) 141: 52. 214 011 IHC; tested species: mouse
Spatial Expression Pattern of the Major Ca2+-Buffer Proteins in Mouse Retinal Ganglion Cells.
Kovács-Öller T, Szarka G, Tengölics ÁJ, Ganczer A, Balogh B, Szabó-Meleg E, Nyitrai M, Völgyi B
Cells (2020) 94: . 214 011 IHC; tested species: mouse
Generation of human striatal organoids and cortico-striatal assembloids from human pluripotent stem cells.
Miura Y, Li MY, Birey F, Ikeda K, Revah O, Thete MV, Park JY, Puno A, Lee SH, Porteus MH, Pașca SP, et al.
Nature biotechnology (2020) 3812: 1421-1430. 214 011 IHC; tested species: human
Deletion of class II ARFs in mice causes tremor by the Nav1.6 loss in cerebellar Purkinje cell axon initial segments.
Hosoi N, Shibasaki K, Hosono M, Konno A, Shinoda Y, Kiyonari H, Inoue K, Muramatsu SI, Ishizaki Y, Hirai H, Furuichi T, et al.
The Journal of neuroscience : the official journal of the Society for Neuroscience (2019) : . 214 011 IHC; tested species: mouse
Heterogeneity of GRIM-19 Expression in the Adult Mouse Brain.
Hwang SN, Kim JC, Kim SY
Cellular and molecular neurobiology (2019) : . 214 011 IHC; tested species: mouse
Re-evaluation of neuronal P2X7 expression using novel mouse models and a P2X7-specific nanobody.
Kaczmarek-Hajek K, Zhang J, Kopp R, Grosche A, Rissiek B, Saul A, Bruzzone S, Engel T, Jooss T, Krautloher A, Schuster S, et al.
eLife (2018) 7: . 214 011 IHC; tested species: mouse
Facilitation of Contextual Fear Extinction by Orexin-1 Receptor Antagonism Is Associated with the Activation of Specific Amygdala Cell Subpopulations.
Flores Á, Herry C, Maldonado R, Berrendero F
The international journal of neuropsychopharmacology (2017) 208: 654-659. 214 011 IHC; tested species: mouse
Functional expression of calcium-permeable canonical transient receptor potential 4-containing channels promotes migration of medulloblastoma cells.
Wei WC, Huang WC, Lin YP, Becker EBE, Ansorge O, Flockerzi V, Conti D, Cenacchi G, Glitsch MD
The Journal of physiology (2017) 59516: 5525-5544. 214 011 IHC; tested species: mouse
Characterization of a novel subtype of hippocampal interneurons that express corticotropin-releasing hormone.
Hooper A, Maguire J
Hippocampus (2016) 261: 41-53. 214 011 IHC
Combinatorial analysis of calcium-binding proteins in larval and adult zebrafish primary olfactory system identifies differential olfactory bulb glomerular projection fields.
Kress S, Biechl D, Wullimann MF
Brain structure & function (2015) 2204: 1951-70. 214 011 WB, IHC; tested species: zebrafish
Evidence for a Clathrin-independent mode of endocytosis at a continuously active sensory synapse.
Fuchs M, Brandstätter JH, Regus-Leidig H
Frontiers in cellular neuroscience (2014) 8: 60. 214 011 IHC; tested species: rat
Rescue of bilirubin-induced neonatal lethality in a mouse model of Crigler-Najjar syndrome type I by AAV9-mediated gene transfer.
Bortolussi G, Zentilin L, Baj G, Giraudi P, Bellarosa C, Giacca M, Tiribelli C, Muro AF
FASEB journal : official publication of the Federation of American Societies for Experimental Biology (2012) 263: 1052-63. 214 011 IHC; tested species: mouse
Probing the functional equivalence of otoferlin and synaptotagmin 1 in exocytosis.
Reisinger E, Bresee C, Neef J, Nair R, Reuter K, Bulankina A, Nouvian R, Koch M, Bückers J, Kastrup L, Roux I, et al.
The Journal of neuroscience : the official journal of the Society for Neuroscience (2011) 3113: 4886-95. 214 011 IHC; tested species: mouse
CLARITY increases sensitivity and specificity of fluorescence immunostaining in long-term archived human brain tissue.
Woelfle S, Deshpande D, Feldengut S, Braak H, Del Tredici K, Roselli F, Deisseroth K, Michaelis J, Boeckers TM, Schön M
BMC biology (2023) 211: 113. 214 011 Clarity; tested species: human
Expression profiles of the autism-related SHANK proteins in the human brain.
Woelfle S, Pedro MT, Wagner J, Schön M, Boeckers TM
BMC biology (2023) 211: 254. 214 011 Clarity; tested species: human
Inhibition of West Nile virus by calbindin-D28k.
Siddharthan V, Wang H, Davies CJ, Hall JO, Morrey JD
PloS one (2014) 99: e106535. 214 011 FACS
Superchaotropic Stabilization of Monomeric Protein States.
Wong BTY, Zhang L, Wong TCY, Yau CN, Chu AJ, Tsang TF, Li JJX, Yang X, Lai HM
Biomacromolecules (2025) : . 214 011
Background

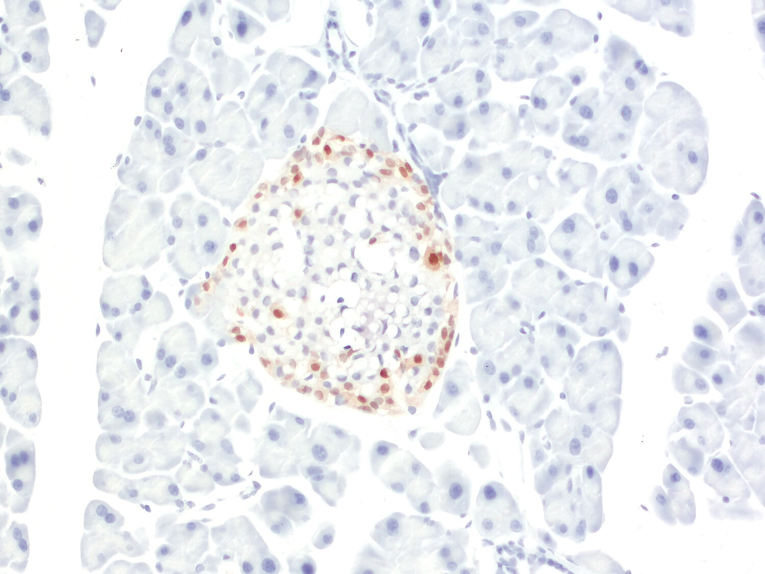
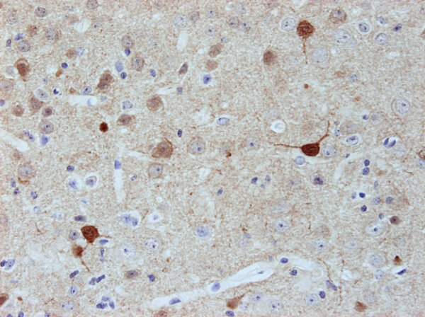
Calbindin D28k (CALB1, D28K or CAB27) and Calretinin (Calbindin D29k) are members of the EF-hand calcium-binding protein family, playing essential roles in intracellular calcium homeostasis, neuroprotection, and signal transduction (1). Calbindin D28k is widely expressed in tissues that experience high calcium influx, such as the brain, sensory organs, endocrine tissues, and the enteric nervous system (ENS). In the central nervous system (CNS), Calbindin D28k is an important marker for specific neuronal populations, particularly in Purkinje cells of the cerebellum and GABAergic and glutamatergic neurons of the cortex (2). Outside the CNS, Calbindin D28k plays crucial roles in non-neuronal tissues. In the retina, it contributes to photoreceptor function and calcium signaling (3). In the pancreas, it is present in α- and β-cells (4). Additionally, it was reported that 31% of myenteric neurons and up to 95% of submucosal neurons in the human ENS express calbindin, suggesting its involvement in both motor and secretory functions (5).

 

For more information on protein expression pattern, please refer to the overview image in our SYSY Antibodies ATLAS.

Certificates

ISO 9001 2015 Quality Management System and Green Lab Platinum certification level for sustaining laboratory processes.

Newsletter

Sign up for our newsletter and get the latest updates and news.
 

Please provide a valid E-Mail-Address
Please provide a valid First name
Please provide a valid Last name