Tailor-made Antibodies
and Tools for Life Science
Home | | | | | Technical Support

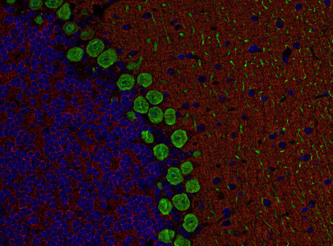
Calbindin D28k antibody - 214 005

Calbindin D28k is a vitamin D-dependent calcium binding protein
Guinea pig polyclonal purified antibody
Cat. No.: 214 005
Amount: 50 µg
Price: $470.00
Cat. No. 214 005 50 µg specific antibody, lyophilized. Affinity purified with the immunogen. Albumin was added for stabilization. For reconstitution add 50 µl H2O to get a 1mg/ml solution in PBS. Then aliquot and store at -20°C to -80°C until use.
Antibodies should be stored at +4°C when still lyophilized. Do not freeze!
Applications
 
WB: 1 : 1000 up to 1 : 5000 (AP staining) gallery  
IP: yes
ICC: 1 : 500 gallery  
IHC: 1 : 200 up to 1 : 500 gallery  
IHC-P: 1 : 500 gallery  

Western blot (WB); separation of proteins by PAGE and subsequent transfer to a membrane. Detection of target molecules is carried out with antibodies. Some antibodies require special sample preparation steps. For details, please refer to the “Remarks” section.

Immunoprecipitation (IP); Immunoisolation or pulldown of a target molecule using an antibody. For details and product specific hints, please refer to the ”Remarks” section.

Immunocytochemistry (ICC) on 4% PFA fixed cells. Immunoreactivity is usually revealed by fluorescence. Some antibodies require special fixation methods. For details, please refer to the “Remarks” section.

Immunohistochemistry (IHC) on 4% PFA perfusion fixed tissue with 24h PFA post fixation. Immunoreactivity is usually revealed by fluorescence or a chromogenic substrate. Some antibodies require special fixation methods or antigen retrieval steps. For details, please refer to the ”Remarks” section.

Immunohistochemistry (IHC-P) of formalin fixed, paraffin embedded (FFPE) tissue (some antibodies require special antigen retrieval steps, please refer to the ”Remarks” section). Immunoreactivity is usually revealed by fluorescence or a chromogenic substrate.

Immunogen Full-length recombinant human Calbindin D28k protein (UniProt Id: P05937)
Reactivity Reacts with: human (P05937), rat (P07171), mouse (P12658), monkey, ape, cow.
Other species not tested yet.
Matching control protein/peptide 214-0P
Data sheet Datasheet 214_005

References for Calbindin D28k - 214 005

Elevated Regulator of G Protein Signaling 8 (Rgs8) Expression in Cerebellar Purkinje Cells of a Non-Manifesting SCA14 Murine Line.
Wu QW, Kapfhammer JP
Journal of integrative neuroscience (2025) 249: 40839. 214 005 ICC; tested species: mouse
Development and Optimization of a Multilayer Rat Purkinje Neuron Culture.
Uggerud IM, Kråkenes T, Hirai H, Vedeler CA, Schubert M
Cerebellum (London, England) (2023) : . 214 005 ICC; tested species: rat
A Mouse Photoreceptor Proteome Resource Identifies PALS2/MPP6 as a Novel Pan-Cone Photoreceptor Marker.
Lux UT, Reim K, Krupp JL, Piepkorn L, Rudashevskaya E, Jahn O, Brandstätter JH
Investigative ophthalmology & visual science (2025) 6615: 44. 214 005 IHC; tested species: mouse
Astroglial modulation of synaptic function in the non-demyelinated cerebellar cortex is dependent on MyD88 signaling in a model of toxic demyelination.
Lohrberg M, Mortensen LS, Thomas C, Fries F, van der Meer F, Götz A, Landt C, Rhee HJ, Rhee J, Gómez-Varela D, Schmidt M, et al.
Journal of neuroinflammation (2025) 221: 47. 214 005 IHC; tested species: mouse
Immunohistochemical characterization of bipolar cells in four distantly related avian species.
Balaji V, Haverkamp S, Seth PK, Günther A, Mendoza E, Schmidt J, Herrmann M, Pfeiffer LL, Němec P, Scharff C, Mouritsen H, et al.
The Journal of comparative neurology (2023) 5314: 561-581. 214 005 IHC
The first synapse in vision in the aging mouse retina.
Gierke K, Lux UT, Regus-Leidig H, Brandstätter JH
Frontiers in cellular neuroscience (2023) 17: 1291054. 214 005 IHC; tested species: mouse
Methods to Identify Rat and Mouse Retinal Ganglion Cells in Retinal Flat-Mounts.
Miralles de Imperial-Ollero JA, Vidal-Villegas B, Gallego-Ortega A, Nadal-Nicolás FM, Salinas-Navarro M, Norte-Muñoz M, Di Pierdomenico J, Galindo-Romero C, Agudo-Barriuso M, Vidal-Sanz M, Valiente-Soriano FJ, et al.
Methods in molecular biology (Clifton, N.J.) (2023) 2708: 175-194. 214 005 IHC; tested species: mouse
Alpha retinal ganglion cells in pigmented mice retina: number and distribution.
Gallego-Ortega A, Norte-Muñoz M, Di Pierdomenico J, Avilés-Trigueros M, de la Villa P, Valiente-Soriano FJ, Vidal-Sanz M
Frontiers in neuroanatomy (2022) 16: 1054849. 214 005 IHC; tested species: mouse
Genetic disruption of bassoon in two mutant mouse lines causes divergent retinal phenotypes.
Ryl M, Urbasik A, Gierke K, Babai N, Joachimsthaler A, Feigenspan A, Frischknecht R, Stallwitz N, Fejtová A, Kremers J, von Wittgenstein J, et al.
FASEB journal : official publication of the Federation of American Societies for Experimental Biology (2021) 355: e21520. 214 005 IHC; tested species: mouse
Adult neural stem cells have latent inflammatory potential that is kept suppressed by Tcf4 to facilitate adult neurogenesis.
Shariq M, Sahasrabuddhe V, Krishna S, Radha S, Nruthyathi , Bellampalli R, Dwivedi A, Cheramangalam R, Reizis B, Hébert J, Ghosh HS, et al.
Science advances (2021) 721: . 214 005 IHC; tested species: mouse
Maturation of Purkinje cell firing properties relies on neurogenesis of excitatory neurons.
van der Heijden ME, Lackey EP, Perez R, Ișleyen FS, Brown AM, Donofrio SG, Lin T, Zoghbi HY, Sillitoe RV
eLife (2021) 10: . 214 005 IHC; tested species: mouse
Adult brain neurons require continual expression of the schizophrenia-risk gene Tcf4 for structural and functional integrity.
Sarkar D, Shariq M, Dwivedi D, Krishnan N, Naumann R, Bhalla US, Ghosh HS
Translational psychiatry (2021) 111: 494. 214 005 IHC; tested species: mouse
Volumetric super-resolution imaging by serial ultrasectioning and stochastic optical reconstruction microscopy in mouse neural tissue.
Vatan T, Minehart JA, Zhang C, Agarwal V, Yang J, Speer CM
STAR protocols (2021) 24: 100971. 214 005 IHC; tested species: mouse
Brain pathology and cerebellar purkinje cell loss in a mouse model of chronic neuronopathic Gaucher disease.
Pewzner-Jung Y, Joseph T, Blumenreich S, Vardi A, Ferreira NS, Cho SM, Eilam R, Tsoory M, Biton IE, Brumfeld V, Haffner-Krausz R, et al.
Progress in neurobiology (2020) : 101939. 214 005 IHC; tested species: mouse
Paraneoplastic cerebellar degeneration: Yo antibody alters mitochondrial calcium buffering capacity.
Panja D, Vedeler CA, Schubert M
Neuropathology and applied neurobiology (2019) 452: 141-156. 214 005 IHC; tested species: rat
Laminin β2 Chain Regulates Retinal Progenitor Cell Mitotic Spindle Orientation via Dystroglycan.
Serjanov D, Bachay G, Hunter DD, Brunken WJ
The Journal of neuroscience : the official journal of the Society for Neuroscience (2018) : . 214 005 IHC; tested species: mouse
Motor and Cerebellar Architectural Abnormalities during the Early Progression of Ataxia in a Mouse Model of SCA1 and How Early Prevention Leads to a Better Outcome Later in Life.
Ibrahim MF, Power EM, Potapov K, Empson RM
Frontiers in cellular neuroscience (2017) 11: 292. 214 005 IHC; tested species: mouse
Cat. No.: 214 005
Amount: 50 µg
Price: $470.00
Elevated Regulator of G Protein Signaling 8 (Rgs8) Expression in Cerebellar Purkinje Cells of a Non-Manifesting SCA14 Murine Line.
Wu QW, Kapfhammer JP
Journal of integrative neuroscience (2025) 249: 40839. 214 005 ICC; tested species: mouse
Development and Optimization of a Multilayer Rat Purkinje Neuron Culture.
Uggerud IM, Kråkenes T, Hirai H, Vedeler CA, Schubert M
Cerebellum (London, England) (2023) : . 214 005 ICC; tested species: rat
A Mouse Photoreceptor Proteome Resource Identifies PALS2/MPP6 as a Novel Pan-Cone Photoreceptor Marker.
Lux UT, Reim K, Krupp JL, Piepkorn L, Rudashevskaya E, Jahn O, Brandstätter JH
Investigative ophthalmology & visual science (2025) 6615: 44. 214 005 IHC; tested species: mouse
Astroglial modulation of synaptic function in the non-demyelinated cerebellar cortex is dependent on MyD88 signaling in a model of toxic demyelination.
Lohrberg M, Mortensen LS, Thomas C, Fries F, van der Meer F, Götz A, Landt C, Rhee HJ, Rhee J, Gómez-Varela D, Schmidt M, et al.
Journal of neuroinflammation (2025) 221: 47. 214 005 IHC; tested species: mouse
Immunohistochemical characterization of bipolar cells in four distantly related avian species.
Balaji V, Haverkamp S, Seth PK, Günther A, Mendoza E, Schmidt J, Herrmann M, Pfeiffer LL, Němec P, Scharff C, Mouritsen H, et al.
The Journal of comparative neurology (2023) 5314: 561-581. 214 005 IHC
The first synapse in vision in the aging mouse retina.
Gierke K, Lux UT, Regus-Leidig H, Brandstätter JH
Frontiers in cellular neuroscience (2023) 17: 1291054. 214 005 IHC; tested species: mouse
Methods to Identify Rat and Mouse Retinal Ganglion Cells in Retinal Flat-Mounts.
Miralles de Imperial-Ollero JA, Vidal-Villegas B, Gallego-Ortega A, Nadal-Nicolás FM, Salinas-Navarro M, Norte-Muñoz M, Di Pierdomenico J, Galindo-Romero C, Agudo-Barriuso M, Vidal-Sanz M, Valiente-Soriano FJ, et al.
Methods in molecular biology (Clifton, N.J.) (2023) 2708: 175-194. 214 005 IHC; tested species: mouse
Alpha retinal ganglion cells in pigmented mice retina: number and distribution.
Gallego-Ortega A, Norte-Muñoz M, Di Pierdomenico J, Avilés-Trigueros M, de la Villa P, Valiente-Soriano FJ, Vidal-Sanz M
Frontiers in neuroanatomy (2022) 16: 1054849. 214 005 IHC; tested species: mouse
Genetic disruption of bassoon in two mutant mouse lines causes divergent retinal phenotypes.
Ryl M, Urbasik A, Gierke K, Babai N, Joachimsthaler A, Feigenspan A, Frischknecht R, Stallwitz N, Fejtová A, Kremers J, von Wittgenstein J, et al.
FASEB journal : official publication of the Federation of American Societies for Experimental Biology (2021) 355: e21520. 214 005 IHC; tested species: mouse
Adult neural stem cells have latent inflammatory potential that is kept suppressed by Tcf4 to facilitate adult neurogenesis.
Shariq M, Sahasrabuddhe V, Krishna S, Radha S, Nruthyathi , Bellampalli R, Dwivedi A, Cheramangalam R, Reizis B, Hébert J, Ghosh HS, et al.
Science advances (2021) 721: . 214 005 IHC; tested species: mouse
Maturation of Purkinje cell firing properties relies on neurogenesis of excitatory neurons.
van der Heijden ME, Lackey EP, Perez R, Ișleyen FS, Brown AM, Donofrio SG, Lin T, Zoghbi HY, Sillitoe RV
eLife (2021) 10: . 214 005 IHC; tested species: mouse
Adult brain neurons require continual expression of the schizophrenia-risk gene Tcf4 for structural and functional integrity.
Sarkar D, Shariq M, Dwivedi D, Krishnan N, Naumann R, Bhalla US, Ghosh HS
Translational psychiatry (2021) 111: 494. 214 005 IHC; tested species: mouse
Volumetric super-resolution imaging by serial ultrasectioning and stochastic optical reconstruction microscopy in mouse neural tissue.
Vatan T, Minehart JA, Zhang C, Agarwal V, Yang J, Speer CM
STAR protocols (2021) 24: 100971. 214 005 IHC; tested species: mouse
Brain pathology and cerebellar purkinje cell loss in a mouse model of chronic neuronopathic Gaucher disease.
Pewzner-Jung Y, Joseph T, Blumenreich S, Vardi A, Ferreira NS, Cho SM, Eilam R, Tsoory M, Biton IE, Brumfeld V, Haffner-Krausz R, et al.
Progress in neurobiology (2020) : 101939. 214 005 IHC; tested species: mouse
Paraneoplastic cerebellar degeneration: Yo antibody alters mitochondrial calcium buffering capacity.
Panja D, Vedeler CA, Schubert M
Neuropathology and applied neurobiology (2019) 452: 141-156. 214 005 IHC; tested species: rat
Laminin β2 Chain Regulates Retinal Progenitor Cell Mitotic Spindle Orientation via Dystroglycan.
Serjanov D, Bachay G, Hunter DD, Brunken WJ
The Journal of neuroscience : the official journal of the Society for Neuroscience (2018) : . 214 005 IHC; tested species: mouse
Motor and Cerebellar Architectural Abnormalities during the Early Progression of Ataxia in a Mouse Model of SCA1 and How Early Prevention Leads to a Better Outcome Later in Life.
Ibrahim MF, Power EM, Potapov K, Empson RM
Frontiers in cellular neuroscience (2017) 11: 292. 214 005 IHC; tested species: mouse
Background

Calbindin D28k (CALB1, D28K or CAB27) and Calretinin (Calbindin D29k) are members of the EF-hand calcium-binding protein family, playing essential roles in intracellular calcium homeostasis, neuroprotection, and signal transduction (1). Calbindin D28k is widely expressed in tissues that experience high calcium influx, such as the brain, sensory organs, endocrine tissues, and the enteric nervous system (ENS). In the central nervous system (CNS), Calbindin D28k is an important marker for specific neuronal populations, particularly in Purkinje cells of the cerebellum and GABAergic and glutamatergic neurons of the cortex (2). Outside the CNS, Calbindin D28k plays crucial roles in non-neuronal tissues. In the retina, it contributes to photoreceptor function and calcium signaling (3). In the pancreas, it is present in α- and β-cells (4). Additionally, it was reported that 31% of myenteric neurons and up to 95% of submucosal neurons in the human ENS express calbindin, suggesting its involvement in both motor and secretory functions (5).

 

For more information on protein expression pattern, please refer to the overview image in our SYSY Antibodies ATLAS.

Certificates

ISO 9001 2015 Quality Management System and Green Lab Platinum certification level for sustaining laboratory processes.

Newsletter

Sign up for our newsletter and get the latest updates and news.
 

Please provide a valid E-Mail-Address
Please provide a valid First name
Please provide a valid Last name