Tailor-made Antibodies
and Tools for Life Science
Home | | | | | Technical Support

Tyrosine hydroxylase antibody - 213 211

Tyrosine hydroxylase is the rate limiting enzyme in catecholamine synthesis
Mouse monoclonal purified IgG
Cat. No.: 213 211
Amount: 100 µg
Price: $420.00
Cat. No. 213 211 100 µg purified IgG, lyophilized. Albumin and azide were added for stabilization. For reconstitution add 100 µl H2O to get a 1mg/ml solution in PBS. Then aliquot and store at -20°C to -80°C until use.
Antibodies should be stored at +4°C when still lyophilized. Do not freeze!
Applications
 
WB: 1 : 500 up to 1 : 1000 (AP staining) (see remarks) gallery  
IP: yes
ICC: 1 : 500 up to 1 : 1000 gallery  
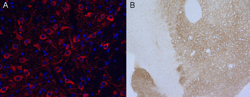
IHC: 1 : 1000 up to 1 : 10000 (see remarks) gallery  
IHC-P: 1 : 500 up to 1 : 1000 gallery  

Western blot (WB); separation of proteins by PAGE and subsequent transfer to a membrane. Detection of target molecules is carried out with antibodies. Some antibodies require special sample preparation steps. For details, please refer to the “Remarks” section.

Immunoprecipitation (IP); Immunoisolation or pulldown of a target molecule using an antibody. For details and product specific hints, please refer to the ”Remarks” section.

Immunocytochemistry (ICC) on 4% PFA fixed cells. Immunoreactivity is usually revealed by fluorescence. Some antibodies require special fixation methods. For details, please refer to the “Remarks” section.

Immunohistochemistry (IHC) on 4% PFA perfusion fixed tissue with 24h PFA post fixation. Immunoreactivity is usually revealed by fluorescence or a chromogenic substrate. Some antibodies require special fixation methods or antigen retrieval steps. For details, please refer to the ”Remarks” section.

Immunohistochemistry (IHC-P) of formalin fixed, paraffin embedded (FFPE) tissue (some antibodies require special antigen retrieval steps, please refer to the ”Remarks” section). Immunoreactivity is usually revealed by fluorescence or a chromogenic substrate.

Clone 103E1
Subtype IgG2a (κ light chain)
Immunogen Recombinant protein corresponding to residues near the amino-terminus of rat TyrH. (UniProt Id: P04177)
Epitop AA 65 to 163 from rat TyrH (UniProt Id: P04177)
Reactivity Reacts with: rat (P04177), mouse (P24529).
Other species not tested yet.
Remarks

WB: This antibody is less sensitive than the polyclonal antibodies (cat. no. 213 102 and 213 104).
IHC: Antigen retrieval with citrate buffer pH 6 can be applied to improve the signal to noise ratio.

Data sheet Datasheet 213_211

References for Tyrosine hydroxylase - 213 211

Dopamine transporter and synaptic vesicle sorting defects underlie auxilin-associated Parkinson's disease.
Vidyadhara DJ, Somayaji M, Wade N, Yücel B, Zhao H, Shashaank N, Ribaudo J, Gupta J, Lam TT, Sames D, Greene LE, et al.
Cell reports (2023) 423: 112231. 213 211 IHC; tested species: mouse
Cat. No.: 213 211
Amount: 100 µg
Price: $420.00
Dopamine transporter and synaptic vesicle sorting defects underlie auxilin-associated Parkinson's disease.
Vidyadhara DJ, Somayaji M, Wade N, Yücel B, Zhao H, Shashaank N, Ribaudo J, Gupta J, Lam TT, Sames D, Greene LE, et al.
Cell reports (2023) 423: 112231. 213 211 IHC; tested species: mouse
Background

Tyrosine hydroxylase is one of the key enzymes in the synthesis pathway of catecholamines like adrenalin, noradrenalin and dopamin and is frequently used as a marker for dopaminergic neurons. This neuronal subpopulation is especially affected in Parkinson's disease.

 

For more information on protein expression pattern, please refer to the overview image in our SYSY Antibodies ATLAS.

Certificates

ISO 9001 2015 Quality Management System and Green Lab Platinum certification level for sustaining laboratory processes.

Newsletter

Sign up for our newsletter and get the latest updates and news.
 

Please provide a valid E-Mail-Address
Please provide a valid First name
Please provide a valid Last name