Tailor-made Antibodies
and Tools for Life Science
Home | | | | | Technical Support

GAD1 (GAD67) antibody - 198 308

GAD1 and 2 are involved in the synthesis of GABA, the major inhibitory neurotransmitter
Guinea pig monoclonal recombinant IgG
Cat. No.: 198 308
Amount: 50 µg
Price: $420.00
Cat. No. 198 308 50 µg purified recombinant IgG, lyophilized. Albumin and azide were added for stabilization. For reconstitution add 50 µl H2O to get a 1mg/ml solution in PBS. Then aliquot and store at -20°C to -80°C until use.
Antibodies should be stored at +4°C when still lyophilized. Do not freeze!
Applications
 
WB: 1 : 1000 (AP staining) gallery  
IP: not tested yet
ICC: 1 : 500 up to 1 : 1000 gallery  
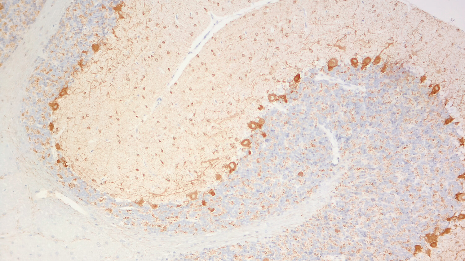
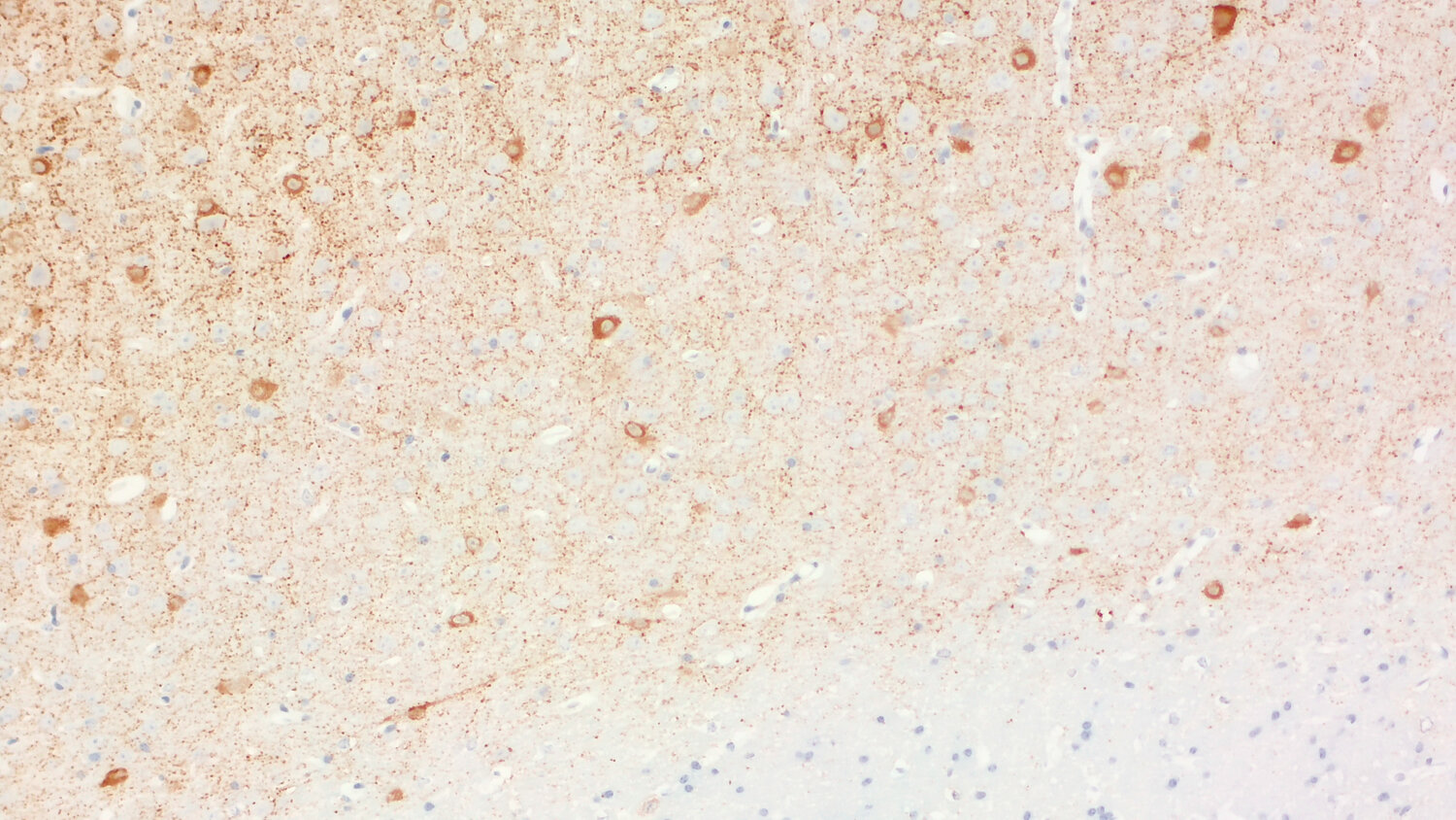
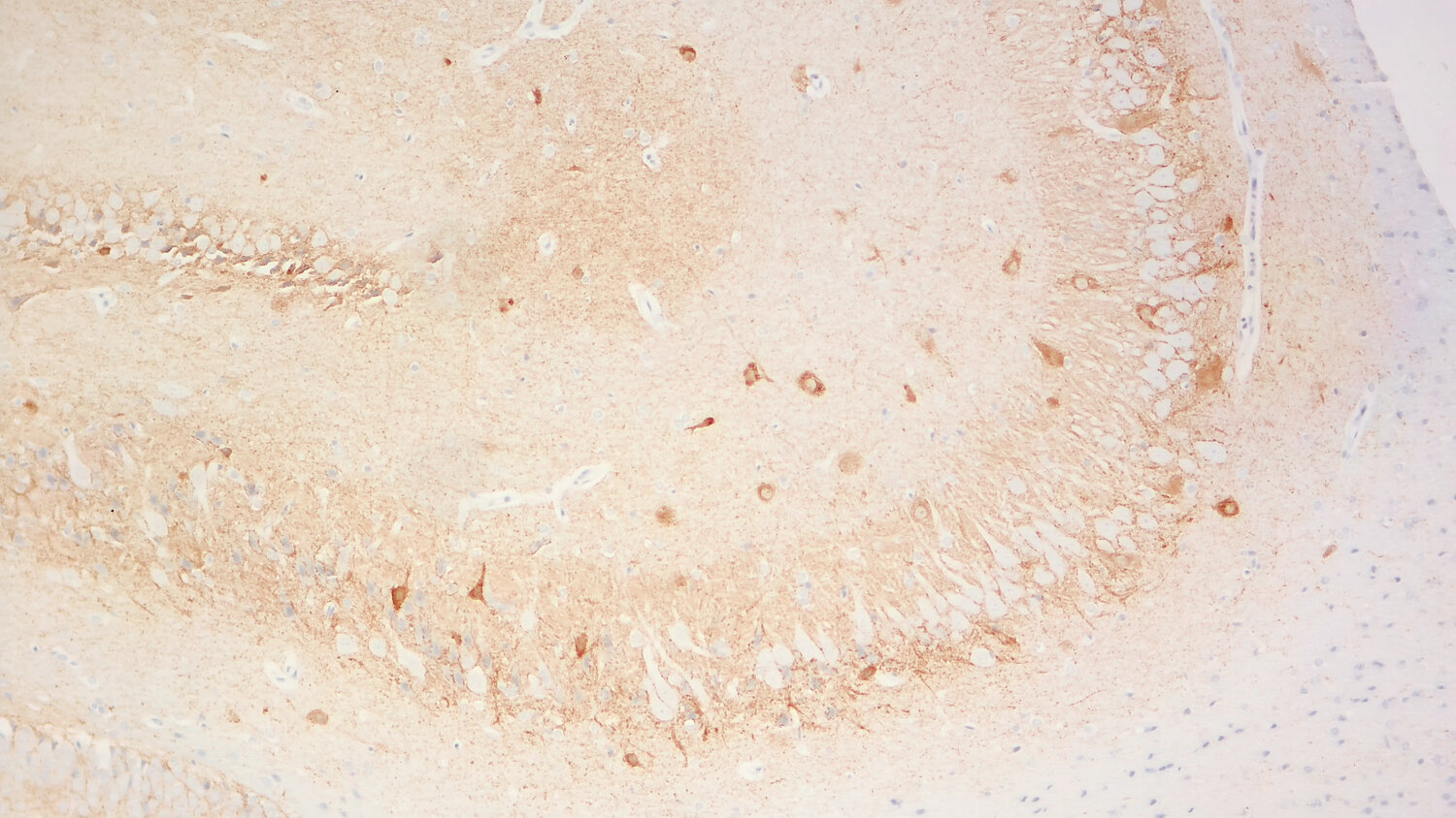
IHC: 1 : 5000 gallery  
IHC-P (FFPE): 1 : 1000 up to 1 : 4000 gallery  

Western blot (WB); separation of proteins by PAGE and subsequent transfer to a membrane. Detection of target molecules is carried out with antibodies. Some antibodies require special sample preparation steps. For details, please refer to the “Remarks” section.

Immunoprecipitation (IP); Immunoisolation or pulldown of a target molecule using an antibody. For details and product specific hints, please refer to the ”Remarks” section.

Immunocytochemistry (ICC) on 4% PFA fixed cells. Immunoreactivity is usually revealed by fluorescence. Some antibodies require special fixation methods. For details, please refer to the “Remarks” section.

Immunohistochemistry (IHC) on 4% PFA perfusion fixed tissue with 24h PFA post fixation. Immunoreactivity is usually revealed by fluorescence or a chromogenic substrate. Some antibodies require special fixation methods or antigen retrieval steps. For details, please refer to the ”Remarks” section.

Immunohistochemistry (IHC-P) of formalin fixed, paraffin embedded (FFPE) tissue (some antibodies require special antigen retrieval steps, please refer to the ”Remarks” section). Immunoreactivity is usually revealed by fluorescence or a chromogenic substrate.

Clone Gp126G12
Subtype IgG2 (κ light chain)
Immunogen Recombinant protein corresponding to residues near the amino-terminus of mouse GAD1. (UniProt Id: P48318)
Epitop AA 94 to 101 from mouse GAD1 (UniProt Id: P48318)
Reactivity Reacts with: mouse (P48318), rat (P18088), human (Q99259).
Other species not tested yet.
Remarks

This antibody is a chimeric antibody based on the monoclonal mouse antibody 126G12. The constant regions of the heavy and light chains have been replaced with guinea pig specific sequences. Therefore, the antibody can be used with standard anti-guinea pig secondary reagents. The antibody has been expressed in mammalian cells.

RUO: For this product an additional Limited Use Label License (LULL) for internal Research Use Only (RUO) from Life Technologies Corporation applies.
The recombinant proteins/antibodies you will receive/have received from Synaptic Systems GmbH (“Materials“) were provided or produced under a license between Synaptic Systems GmbH and Life Technologies Corporation, a part of Thermo Fisher Scientific, Inc., (“Life Technologies“) through the use of Life Technologies proprietary cell lines and expression products. The only right conveyed to you with respect to the Materials is the limited, non-transferable right to use the Materials to perform internal research for your sole benefit, up to and including pharmacokinetic and toxicology studies required to meet the regulations for filing an IND. IND submissions, first in human research, and/or first in patient research are expressly excluded from the rights provided. No right to resell the Materials, or any portion or component thereof, is conveyed expressly, by implication, or by estoppel. The Materials are not for use in commercial purposes or applications of any kind, including, without limitation, manufacturing or quality control and commercial services such as reporting the results of your activities for a fee or other form of consideration. For information on obtaining additional rights, please contact outlicensing@thermofisher.com or Out Licensing, Life Technologies, 5823 Newton Drive, Carlsbad, California 92008, United States.
Data sheet Datasheet 198_308
Cat. No.: 198 308
Amount: 50 µg
Price: $420.00
Background

The glutamic acid decarboxylases GAD1 and GAD2, also referred to as GAD67, and GAD65 respectively, synthesize γ-aminobutyric acid (GABA), the major inhibitory neurotransmitter in the central nervous system. Therefore, GADs are widely used markers for the GABAergic system (1). The hydrophilic GAD1 can heterodimerize with the membrane achored GAD2 and a part of GAD1 is targeted to inhibitory nerve terminals by this mechanism (2). Although both proteins exhibit significant differences in their N-terminus they share high homology in the rest of the molecule (3).
GAD1 and 2 also occur in rodent pancreatic islets of Langerhans, whereas human islets mainly express GAD2 which has been identified as a major autoantigen in type 1 diabetes (3).

 

For more information on protein expression pattern, please refer to the overview image in our SYSY Antibodies ATLAS.

Certificates

ISO 9001 2015 Quality Management System and Green Lab Platinum certification level for sustaining laboratory processes.

Newsletter

Sign up for our newsletter and get the latest updates and news.
 

Please provide a valid E-Mail-Address
Please provide a valid First name
Please provide a valid Last name