Tailor-made Antibodies
and Tools for Life Science
Home | | | | | Technical Support

GAD1 (GAD67) antibody - 198 009

GAD1 and 2 are involved in the synthesis of GABA, the major inhibitory neurotransmitter
Chicken monoclonal recombinant IgY
Cat. No.: 198 009
Amount: 50 µg
Price: $420.00
Cat. No. 198 009 50 µg purified recombinant IgY, lyophilized. Albumin and azide were added for stabilization. For reconstitution add 50 µl H2O to get a 1mg/ml solution in PBS. Then aliquot and store at -20°C to -80°C until use.
Antibodies should be stored at +4°C when still lyophilized. Do not freeze!
Applications
 
WB: 1 : 1000 up to 1 : 2000 (AP staining) gallery  
IP: yes
ICC: 1 : 500 up to 1 : 1000 gallery  
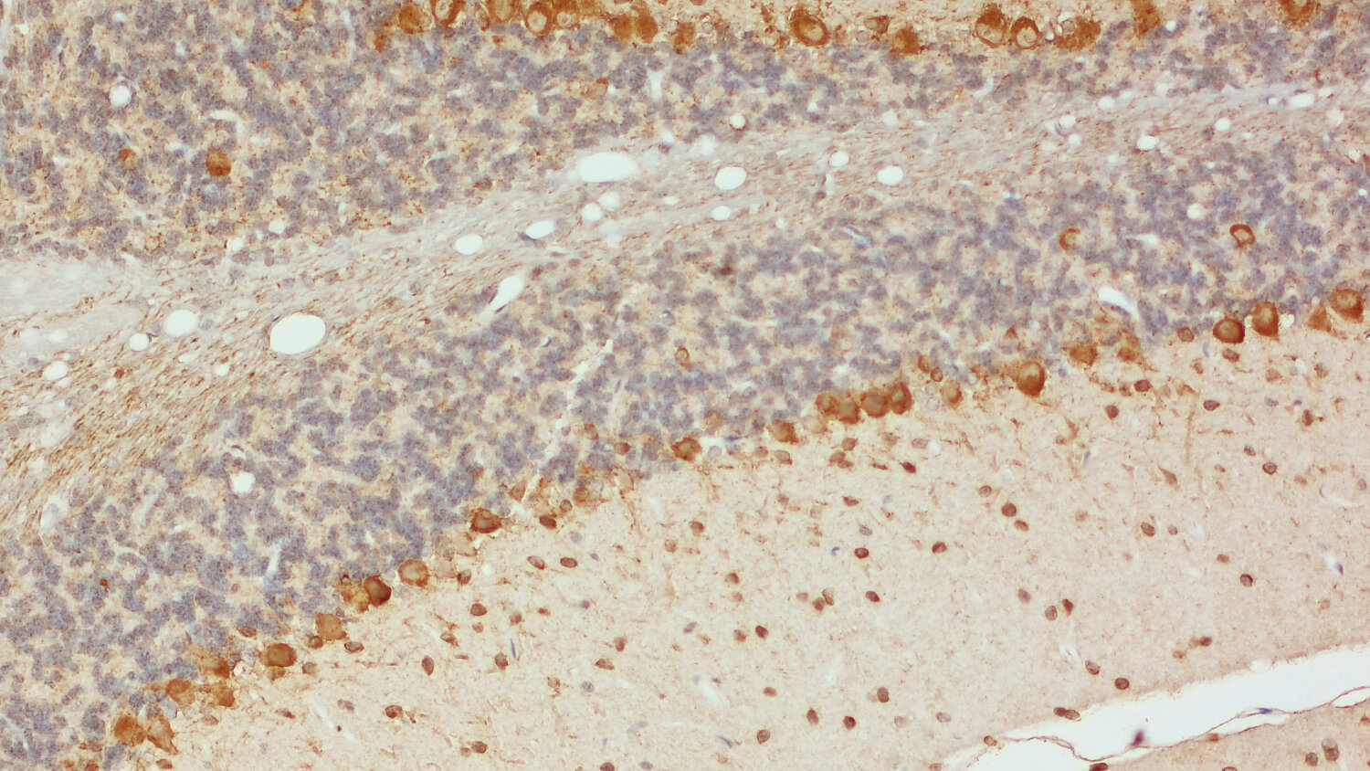
IHC: 1 : 5000 (see remarks) gallery  
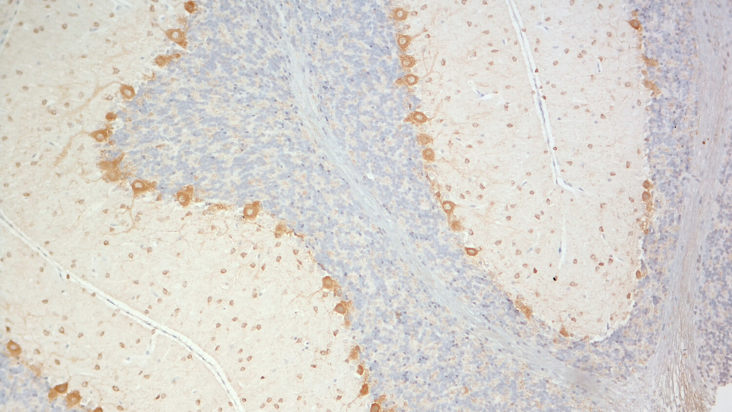
IHC-P: 1 : 2000 up to 1 : 4000 gallery  

Western blot (WB); separation of proteins by PAGE and subsequent transfer to a membrane. Detection of target molecules is carried out with antibodies. Some antibodies require special sample preparation steps. For details, please refer to the “Remarks” section.

Immunoprecipitation (IP); Immunoisolation or pulldown of a target molecule using an antibody. For details and product specific hints, please refer to the ”Remarks” section.

Immunocytochemistry (ICC) on 4% PFA fixed cells. Immunoreactivity is usually revealed by fluorescence. Some antibodies require special fixation methods. For details, please refer to the “Remarks” section.

Immunohistochemistry (IHC) on 4% PFA perfusion fixed tissue with 24h PFA post fixation. Immunoreactivity is usually revealed by fluorescence or a chromogenic substrate. Some antibodies require special fixation methods or antigen retrieval steps. For details, please refer to the ”Remarks” section.

Immunohistochemistry (IHC-P) of formalin fixed, paraffin embedded (FFPE) tissue (some antibodies require special antigen retrieval steps, please refer to the ”Remarks” section). Immunoreactivity is usually revealed by fluorescence or a chromogenic substrate.

Clone Ch126G12
Subtype IgY (λ light chain)
Immunogen Recombinant protein corresponding to residues near the amino-terminus of mouse GAD1. (UniProt Id: P48318)
Reactivity Reacts with: mouse (P48318), rat (P18088).
Other species not tested yet.
Remarks

This antibody is a chimeric antibody based on the monoclonal mouse antibody clone 126G12. The constant regions of the heavy and light chains have been replaced by chicken specific sequences. Therefore, the antibody can be used with standard anti-chicken secondary reagents. The antibody has been expressed in mammalian cells.
IHC: Antigen retrieval with citrate buffer pH 6 is required.

Data sheet 198_009.pdf
Cat. No.: 198 009
Amount: 50 µg
Price: $420.00
Background

The glutamic acid decarboxylases GAD1 and GAD2, also referred to as GAD67, and GAD65 respectively, synthesize γ-aminobutyric acid (GABA), the major inhibitory neurotransmitter in the central nervous system. Therefore, GADs are widely used markers for the GABAergic system (1). The hydrophilic GAD1 can heterodimerize with the membrane achored GAD2 and a part of GAD1 is targeted to inhibitory nerve terminals by this mechanism (2). Although both proteins exhibit significant differences in their N-terminus they share high homology in the rest of the molecule (3).
GAD1 and 2 also occur in rodent pancreatic islets of Langerhans, whereas human islets mainly express GAD2 which has been identified as a major autoantigen in type 1 diabetes (3).

 

For more information on protein expression pattern, please refer to the overview image in our SYSY Antibodies ATLAS.