Tailor-made Antibodies
and Tools for Life Science
Home | | | | | Technical Support

ZnT3 (SLC30A3) antibody - 197 011BT

ZnT3 is a synaptic vesicle located zinc-transporter
Mouse monoclonal purified IgG
Cat. No.: 197 011BT
Amount: 100 µg
Price: $470.00
Cat. No. 197 011BT 100 µg purified IgG, lyophilized, labeled with Biotin.

Biotin is a small vitamin B complex molecule. Its small size minimizes interference with antibody binding sites and allows for efficient conjugation without compromising antibody functionality.
Biotin conjugated antibodies can be easily detected with Avidin/Streptavidin based secondary detection systems.
The streptavidin-biotin bond is one of the strongest non-covalent biological bonds known.

For reconstitution add 100 µl H2O to get a 1mg/ml solution in PBS. Then aliquot and store at -20°C to -80°C until use.
Antibodies should be stored at +4°C when still lyophilized. Do not freeze!
Applications
 
WB: 1 : 1000 (AP staining) gallery  
IP: yes
ICC: not tested yet
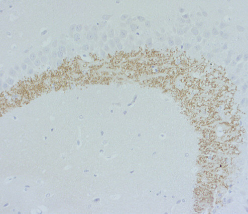
IHC: 1 : 500 gallery  
IHC-P: 1 : 200 gallery  

Western blot (WB); separation of proteins by PAGE and subsequent transfer to a membrane. Detection of target molecules is carried out with antibodies. Some antibodies require special sample preparation steps. For details, please refer to the “Remarks” section.

Immunoprecipitation (IP); Immunoisolation or pulldown of a target molecule using an antibody. For details and product specific hints, please refer to the ”Remarks” section.

Immunocytochemistry (ICC) on 4% PFA fixed cells. Immunoreactivity is usually revealed by fluorescence. Some antibodies require special fixation methods. For details, please refer to the “Remarks” section.

Immunohistochemistry (IHC) on 4% PFA perfusion fixed tissue with 24h PFA post fixation. Immunoreactivity is usually revealed by fluorescence or a chromogenic substrate. Some antibodies require special fixation methods or antigen retrieval steps. For details, please refer to the ”Remarks” section.

Immunohistochemistry (IHC-P) of formalin fixed, paraffin embedded (FFPE) tissue (some antibodies require special antigen retrieval steps, please refer to the ”Remarks” section). Immunoreactivity is usually revealed by fluorescence or a chromogenic substrate.

Label biotin
Clone 180C1
Subtype IgG1 (κ light chain)
Immunogen Recombinant protein corresponding to residues near the amino terminus of mouse ZnT3 (UniProt Id: P97441)
Reactivity Reacts with: rat (Q6QIX3), mouse (P97441).
No signal: zebrafish.
Other species not tested yet.
Matching control protein/peptide 197-0P
Data sheet Datasheet 197_011bt
Cat. No.: 197 011BT
Amount: 100 µg
Price: $470.00
Background

The essential micronutrient zinc (Zn2+) plays an important role in many biological processes like growth, development, and reproduction. It is found in the active site of many enzymes, where ionization, polarization or replacement of Zn2+ bound water is involved in catalytic reactions. As a charged ion Zn2+ cannot cross biological membranes by simple diffusion and must be transported by specialized transport mechanisms. Two families of Zn2+ transporters, SLC30 (ZnT, Zn2+ transporter) and SLC39 (ZIP, Zinc (Zn2+)-Iron (Fe2+) permease), function in opposite directions to maintain cellular Zn2+ homeostasis (1).
Ten Zn2+ transporter proteins ZnT1-10 have been described. All of them contain several transmembrane domains and a histidine rich intracellular loop (2).
In the central nervous system Zn2+ plays important roles in synaptic function and plasticity. At synapses Zn2+ is stored in synaptic vesicles by a mechanism depending on the integral membrane protein ZnT3 (3). ZnT3 probably contributes to the prevention of aging-related cognitive loss, because ZnT3 expression levels fall with age and in patients with Alzheimer’s or Parkinson’s disease. Consistent with these results, aged ZnT3-KO mice exhibit deficits in learning and memory (3). ZnT3, along with other ZnT family members, is expressed in several endocrine organs, including the pituitary gland, adrenal glands, and thyroid but is absent in the pancreas (4). This transporter also plays an essential role in reproductive health as some studies have demonstrated ZnT3 expression in the ovary. It was reported that ZnT3 is expressed in mouse oocytes throughout all stages of follicular development, where it likely supports Zn2+ accumulation necessary for oocyte maturation. Disruption of ZnT3 in oocytes leads to impaired zinc storage, potentially compromising fertility (5). Interestingly, while ZnT3 mRNA is expressed in testis, no protein was detectable. This discrepancy between mRNA and protein levels highlights the importance of post-transcriptional regulation and protein stability in determining ZnT3’s functional presence in reproductive tissues (6).

 

For more information on protein expression pattern, please refer to the overview image in our SYSY Antibodies ATLAS.

Certificates

ISO 9001 2015 Quality Management System and Green Lab Platinum certification level for sustaining laboratory processes.

Newsletter

Sign up for our newsletter and get the latest updates and news.
 

Please provide a valid E-Mail-Address
Please provide a valid First name
Please provide a valid Last name