Tailor-made Antibodies
and Tools for Life Science
Home | | | | | Technical Support

ZnT3 (SLC30A3) antibody - 197 011 K.O.

ZnT3 is a synaptic vesicle located zinc-transporter
Mouse monoclonal purified IgG
Cat. No.: 197 011
Amount: 100 µg
Price: $420.00
Cat. No. 197 011 100 µg purified IgG, lyophilized. Albumin and azide were added for stabilization. For reconstitution add 100 µl H2O to get a 1mg/ml solution in PBS. Then aliquot and store at -20°C to -80°C until use.
Antibodies should be stored at +4°C when still lyophilized. Do not freeze!
Applications
 
WB: 1 : 1000 (AP staining) gallery  
IP: yes
ICC: 1 : 500 gallery  
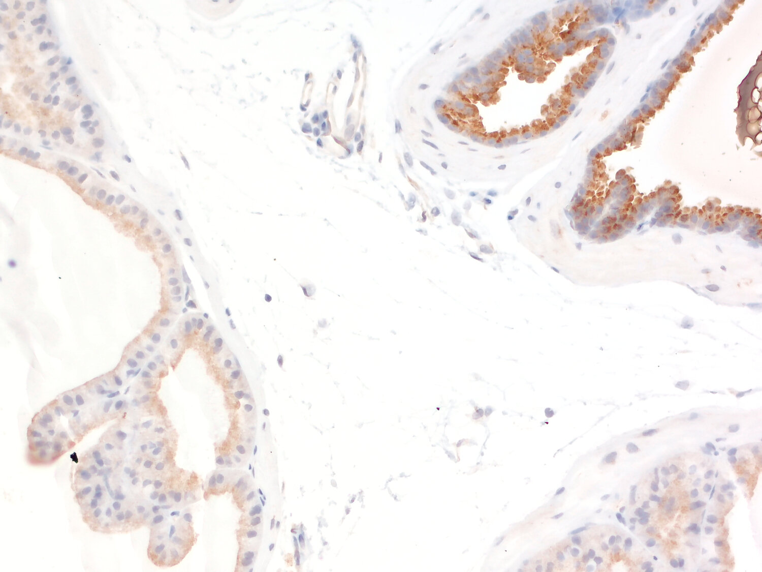
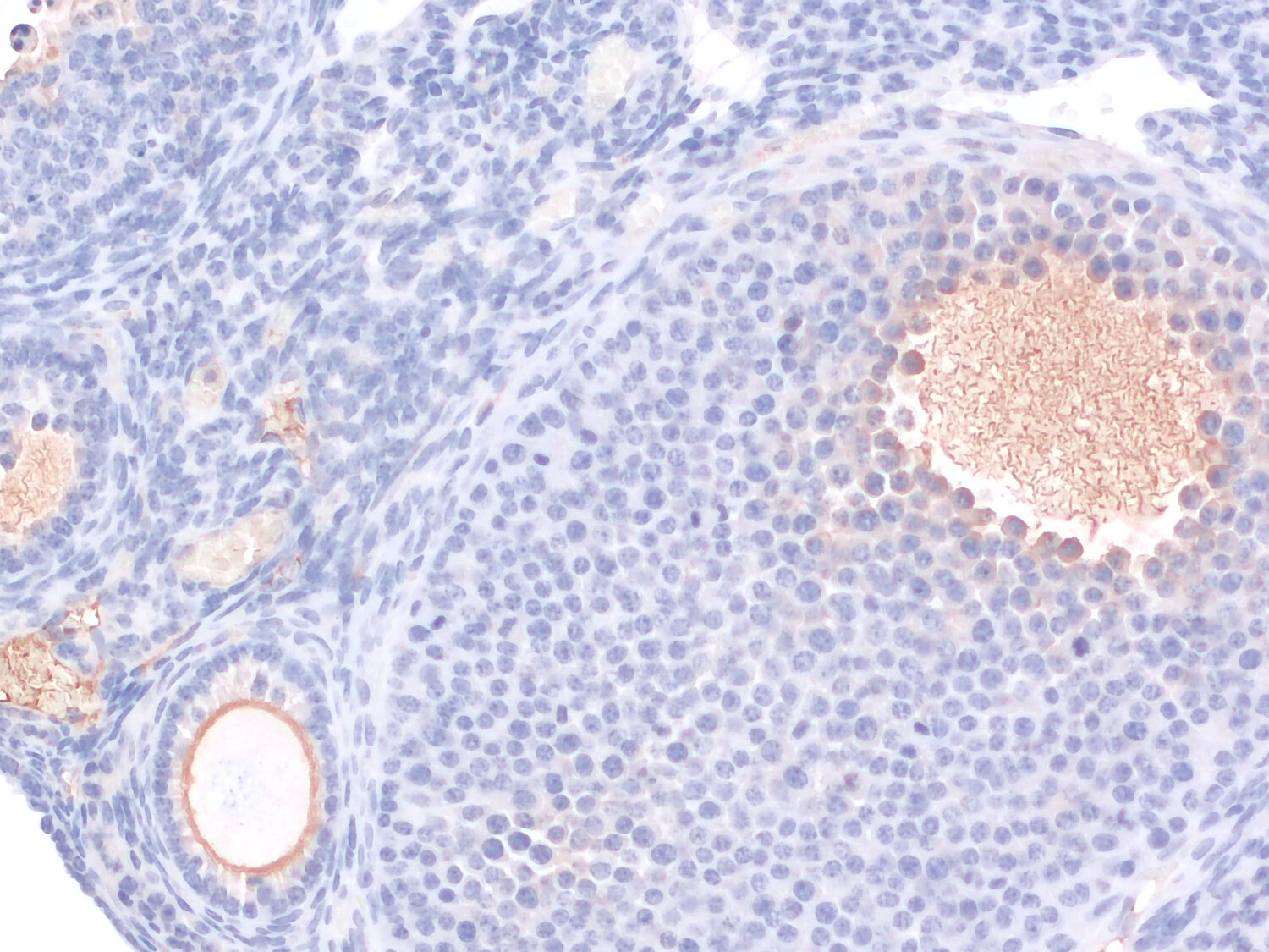
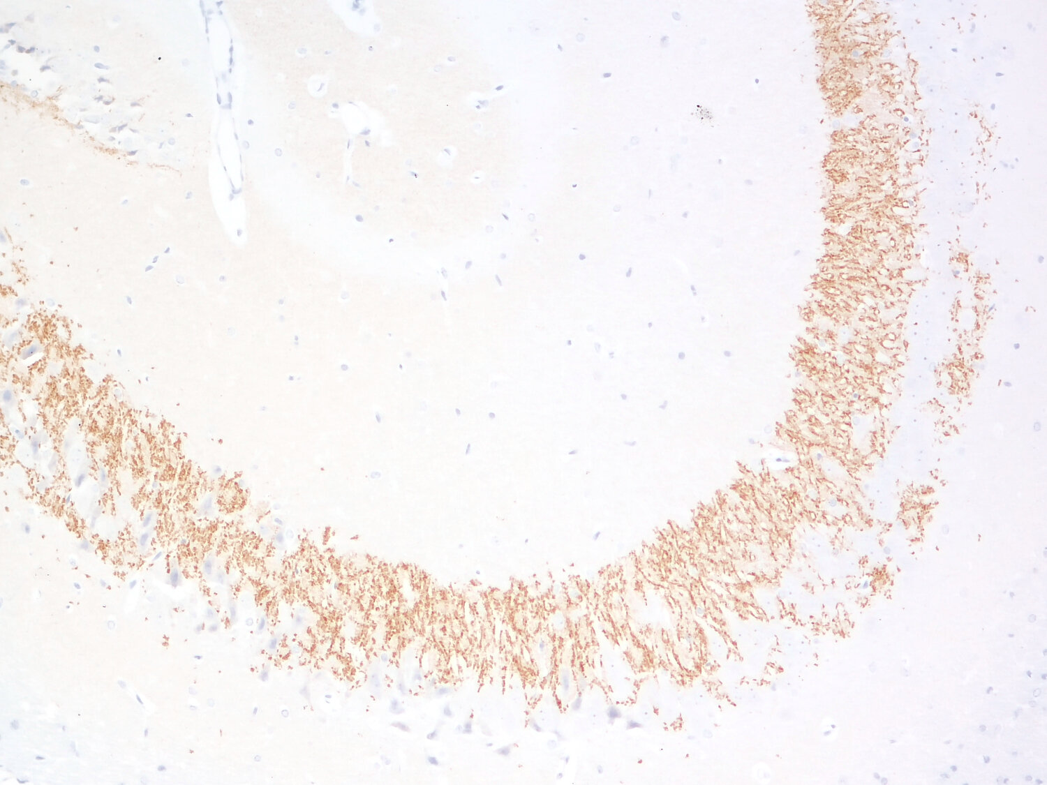
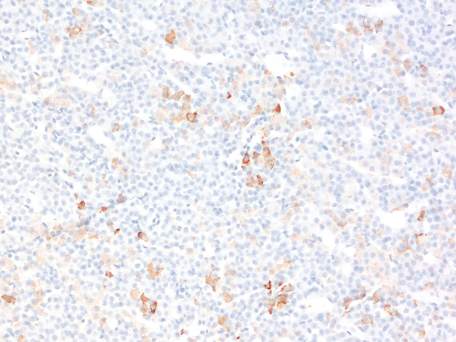
IHC: 1 : 100 gallery  
IHC-P (FFPE): 1 : 1000 gallery  
EM: external data (see remarks)

Western blot (WB); separation of proteins by PAGE and subsequent transfer to a membrane. Detection of target molecules is carried out with antibodies. Some antibodies require special sample preparation steps. For details, please refer to the “Remarks” section.

Immunoprecipitation (IP); Immunoisolation or pulldown of a target molecule using an antibody. For details and product specific hints, please refer to the ”Remarks” section.

Immunocytochemistry (ICC) on 4% PFA fixed cells. Immunoreactivity is usually revealed by fluorescence. Some antibodies require special fixation methods. For details, please refer to the “Remarks” section.

Immunohistochemistry (IHC) on 4% PFA perfusion fixed tissue with 24h PFA post fixation. Immunoreactivity is usually revealed by fluorescence or a chromogenic substrate. Some antibodies require special fixation methods or antigen retrieval steps. For details, please refer to the ”Remarks” section.

Immunohistochemistry (IHC-P) of formalin fixed, paraffin embedded (FFPE) tissue (some antibodies require special antigen retrieval steps, please refer to the ”Remarks” section). Immunoreactivity is usually revealed by fluorescence or a chromogenic substrate.

Electron microscopy (EM) is a microscopy technique that detects the scatter of electrons through thin tissue sections. In Immuno-EM the antigen is usually revealed by colloidal gold conjugated secondary antibodies linking electron dense structures to antigen-bound primary antibodies.

Clone 180C1
Subtype IgG1 (κ light chain)
Immunogen Recombinant protein corresponding to residues near the amino terminus of mouse ZnT3 (UniProt Id: P97441)
Reactivity Reacts with: rat (Q6QIX3), mouse (P97441).
No signal: zebrafish.
Other species not tested yet.
Specificity K.O. validated PubMed: 35263617
Matching control protein/peptide 197-0P
Remarks

EM: This antibody has been successfully applied and published for this method by customers (see application-specific references).

Data sheet Datasheet 197_011

References for ZnT3 - 197 011

Colocalization of different neurotransmitter transporters on synaptic vesicles is sparse except for VGLUT1 and ZnT3.
Upmanyu N, Jin J, Emde HV, Ganzella M, Bösche L, Malviya VN, Zhuleku E, Politi AZ, Ninov M, Silbern I, Leutenegger M, et al.
Neuron (2022) : . 197 011 WB, ICC, EM, UPTAKE; KO verified; tested species: rat
Colocalization of different neurotransmitter transporters on synaptic vesicles is sparse except for VGLUT1 and ZnT3.
Upmanyu N, Jin J, Emde HV, Ganzella M, Bösche L, Malviya VN, Zhuleku E, Politi AZ, Ninov M, Silbern I, Leutenegger M, et al.
Neuron (2022) : . 197 011 WB, ICC, EM, UPTAKE; KO verified; tested species: rat
Intracellular Zn2+ transients modulate global gene expression in dissociated rat hippocampal neurons.
Sanford L, Carpenter MC, Palmer AE
Scientific reports (2019) 91: 9411. 197 011 ICC; tested species: rat
Properties of Hippocampal Mossy Fibre Synapses in VAMP7 KO Mice.
Llinares BGI, Danglot L, Galli T, Mulle C
The European journal of neuroscience (2025) 614: e70016. 197 011 IHC; tested species: mouse
The Astrocytic Zinc Transporter ZIP12 Is a Synaptic Protein That Contributes to Synaptic Zinc Levels in the Mouse Auditory Cortex.
Manning A, Mendelson BZ, Bender PTR, Bainer K, Ruby R, Shifflett VR, Dariano DF, Webb BA, Geldenhuys WJ, Anderson CT
The Journal of neuroscience : the official journal of the Society for Neuroscience (2025) 4513: . 197 011 IHC; tested species: mouse
Capicua Refines Mossy Fiber-CA3 Axon Targeting in the Late Postnatal Hippocampus.
van Bruggen R, Manzanet Freyre K, Wang M, Tan Q
FASEB journal : official publication of the Federation of American Societies for Experimental Biology (2025) 3918: e71067. 197 011 IHC; tested species: mouse
Regulation of axon pruning of mossy fiber projection in hippocampus by CRMP2 and CRMP4.
Nakanishi Y, Akinaga S, Osawa K, Suzuki N, Sugeno A, Kolattukudy P, Goshima Y, Ohshima T
Developmental neurobiology (2022) 821: 138-146. 197 011 IHC; tested species: mouse
PKN1 Is a Novel Regulator of Hippocampal GluA1 Levels.
Safari MS, Obexer D, Baier-Bitterlich G, Zur Nedden S
Frontiers in synaptic neuroscience (2021) 13: 640495. 197 011 IHC; tested species: mouse
Substantial outcome improvement using a refined pilocarpine mouse model of temporal lobe epilepsy.
Vigier A, Partouche N, Michel FJ, Crépel V, Marissal T
Neurobiology of disease (2021) : 105547. 197 011 IHC; tested species: mouse
Vangl2 in the Dentate Network Modulates Pattern Separation and Pattern Completion.
Robert BJA, Moreau MM, Dos Santos Carvalho S, Barthet G, Racca C, Bhouri M, Quiedeville A, Garret M, Atchama B, Al Abed AS, Guette C, et al.
Cell reports (2020) 3110: 107743. 197 011 IHC; tested species: mouse
Expression Pattern of ALOXE3 in Mouse Brain Suggests Its Relationship with Seizure Susceptibility.
Tang HL, Chen SY, Zhang H, Lu P, Sun WW, Gao MM, Zeng XD, Su T, Long YS
Cellular and molecular neurobiology (2020) : . 197 011 IHC; tested species: mouse
A Model of Chronic Temporal Lobe Epilepsy Presenting Constantly Rhythmic and Robust Spontaneous Seizures, Co-morbidities and Hippocampal Neuropathology.
Upadhya D, Kodali M, Gitai D, Castro OW, Zanirati G, Upadhya R, Attaluri S, Mitra E, Shuai B, Hattiangady B, Shetty AK, et al.
Aging and disease (2019) 105: 915-936. 197 011 IHC; tested species: rat
RIM-BP2 primes synaptic vesicles via recruitment of Munc13-1 at hippocampal mossy fiber synapses.
Brockmann MM, Maglione M, Willmes CG, Stumpf A, Bouazza BA, Velasquez LM, Grauel MK, Beed P, Lehmann M, Gimber N, Schmoranzer J, et al.
eLife (2019) 8: . 197 011 IHC; tested species: mouse
Retrograde regulation of mossy fiber axon targeting and terminal maturation via postsynaptic Lnx1.
Liu XD, Zhu XN, Halford MM, Xu TL, Henkemeyer M, Xu NJ
The Journal of cell biology (2018) : . 197 011 IHC; tested species: mouse
High abundance of ArfGAP1 found in the mossy fibers in hilus of the dentate gyrus region of the mouse brain.
Chornyy S, Parnis A, Shmoish M, Cassel D
PloS one (2017) 1212: e0189659. 197 011 IHC; tested species: mouse
Expression pattern of synaptic vesicle protein 2 (SV2) isoforms in patients with temporal lobe epilepsy and hippocampal sclerosis.
Crèvecoeur J, Kaminski RM, Rogister B, Foerch P, Vandenplas C, Neveux M, Mazzuferi M, Kroonen J, Poulet C, Martin D, Sadzot B, et al.
Neuropathology and applied neurobiology (2014) 402: 191-204. 197 011 IHC; tested species: human
Colocalization of different neurotransmitter transporters on synaptic vesicles is sparse except for VGLUT1 and ZnT3.
Upmanyu N, Jin J, Emde HV, Ganzella M, Bösche L, Malviya VN, Zhuleku E, Politi AZ, Ninov M, Silbern I, Leutenegger M, et al.
Neuron (2022) : . 197 011 WB, ICC, EM, UPTAKE; KO verified; tested species: rat
Colocalization of different neurotransmitter transporters on synaptic vesicles is sparse except for VGLUT1 and ZnT3.
Upmanyu N, Jin J, Emde HV, Ganzella M, Bösche L, Malviya VN, Zhuleku E, Politi AZ, Ninov M, Silbern I, Leutenegger M, et al.
Neuron (2022) : . 197 011 WB, ICC, EM, UPTAKE; KO verified; tested species: rat
Cat. No.: 197 011
Amount: 100 µg
Price: $420.00
Colocalization of different neurotransmitter transporters on synaptic vesicles is sparse except for VGLUT1 and ZnT3.
Upmanyu N, Jin J, Emde HV, Ganzella M, Bösche L, Malviya VN, Zhuleku E, Politi AZ, Ninov M, Silbern I, Leutenegger M, et al.
Neuron (2022) : . 197 011 WB, ICC, EM, UPTAKE; KO verified; tested species: rat
Colocalization of different neurotransmitter transporters on synaptic vesicles is sparse except for VGLUT1 and ZnT3.
Upmanyu N, Jin J, Emde HV, Ganzella M, Bösche L, Malviya VN, Zhuleku E, Politi AZ, Ninov M, Silbern I, Leutenegger M, et al.
Neuron (2022) : . 197 011 WB, ICC, EM, UPTAKE; KO verified; tested species: rat
Intracellular Zn2+ transients modulate global gene expression in dissociated rat hippocampal neurons.
Sanford L, Carpenter MC, Palmer AE
Scientific reports (2019) 91: 9411. 197 011 ICC; tested species: rat
Properties of Hippocampal Mossy Fibre Synapses in VAMP7 KO Mice.
Llinares BGI, Danglot L, Galli T, Mulle C
The European journal of neuroscience (2025) 614: e70016. 197 011 IHC; tested species: mouse
The Astrocytic Zinc Transporter ZIP12 Is a Synaptic Protein That Contributes to Synaptic Zinc Levels in the Mouse Auditory Cortex.
Manning A, Mendelson BZ, Bender PTR, Bainer K, Ruby R, Shifflett VR, Dariano DF, Webb BA, Geldenhuys WJ, Anderson CT
The Journal of neuroscience : the official journal of the Society for Neuroscience (2025) 4513: . 197 011 IHC; tested species: mouse
Capicua Refines Mossy Fiber-CA3 Axon Targeting in the Late Postnatal Hippocampus.
van Bruggen R, Manzanet Freyre K, Wang M, Tan Q
FASEB journal : official publication of the Federation of American Societies for Experimental Biology (2025) 3918: e71067. 197 011 IHC; tested species: mouse
Regulation of axon pruning of mossy fiber projection in hippocampus by CRMP2 and CRMP4.
Nakanishi Y, Akinaga S, Osawa K, Suzuki N, Sugeno A, Kolattukudy P, Goshima Y, Ohshima T
Developmental neurobiology (2022) 821: 138-146. 197 011 IHC; tested species: mouse
PKN1 Is a Novel Regulator of Hippocampal GluA1 Levels.
Safari MS, Obexer D, Baier-Bitterlich G, Zur Nedden S
Frontiers in synaptic neuroscience (2021) 13: 640495. 197 011 IHC; tested species: mouse
Substantial outcome improvement using a refined pilocarpine mouse model of temporal lobe epilepsy.
Vigier A, Partouche N, Michel FJ, Crépel V, Marissal T
Neurobiology of disease (2021) : 105547. 197 011 IHC; tested species: mouse
Vangl2 in the Dentate Network Modulates Pattern Separation and Pattern Completion.
Robert BJA, Moreau MM, Dos Santos Carvalho S, Barthet G, Racca C, Bhouri M, Quiedeville A, Garret M, Atchama B, Al Abed AS, Guette C, et al.
Cell reports (2020) 3110: 107743. 197 011 IHC; tested species: mouse
Expression Pattern of ALOXE3 in Mouse Brain Suggests Its Relationship with Seizure Susceptibility.
Tang HL, Chen SY, Zhang H, Lu P, Sun WW, Gao MM, Zeng XD, Su T, Long YS
Cellular and molecular neurobiology (2020) : . 197 011 IHC; tested species: mouse
A Model of Chronic Temporal Lobe Epilepsy Presenting Constantly Rhythmic and Robust Spontaneous Seizures, Co-morbidities and Hippocampal Neuropathology.
Upadhya D, Kodali M, Gitai D, Castro OW, Zanirati G, Upadhya R, Attaluri S, Mitra E, Shuai B, Hattiangady B, Shetty AK, et al.
Aging and disease (2019) 105: 915-936. 197 011 IHC; tested species: rat
RIM-BP2 primes synaptic vesicles via recruitment of Munc13-1 at hippocampal mossy fiber synapses.
Brockmann MM, Maglione M, Willmes CG, Stumpf A, Bouazza BA, Velasquez LM, Grauel MK, Beed P, Lehmann M, Gimber N, Schmoranzer J, et al.
eLife (2019) 8: . 197 011 IHC; tested species: mouse
Retrograde regulation of mossy fiber axon targeting and terminal maturation via postsynaptic Lnx1.
Liu XD, Zhu XN, Halford MM, Xu TL, Henkemeyer M, Xu NJ
The Journal of cell biology (2018) : . 197 011 IHC; tested species: mouse
High abundance of ArfGAP1 found in the mossy fibers in hilus of the dentate gyrus region of the mouse brain.
Chornyy S, Parnis A, Shmoish M, Cassel D
PloS one (2017) 1212: e0189659. 197 011 IHC; tested species: mouse
Expression pattern of synaptic vesicle protein 2 (SV2) isoforms in patients with temporal lobe epilepsy and hippocampal sclerosis.
Crèvecoeur J, Kaminski RM, Rogister B, Foerch P, Vandenplas C, Neveux M, Mazzuferi M, Kroonen J, Poulet C, Martin D, Sadzot B, et al.
Neuropathology and applied neurobiology (2014) 402: 191-204. 197 011 IHC; tested species: human
Colocalization of different neurotransmitter transporters on synaptic vesicles is sparse except for VGLUT1 and ZnT3.
Upmanyu N, Jin J, Emde HV, Ganzella M, Bösche L, Malviya VN, Zhuleku E, Politi AZ, Ninov M, Silbern I, Leutenegger M, et al.
Neuron (2022) : . 197 011 WB, ICC, EM, UPTAKE; KO verified; tested species: rat
Colocalization of different neurotransmitter transporters on synaptic vesicles is sparse except for VGLUT1 and ZnT3.
Upmanyu N, Jin J, Emde HV, Ganzella M, Bösche L, Malviya VN, Zhuleku E, Politi AZ, Ninov M, Silbern I, Leutenegger M, et al.
Neuron (2022) : . 197 011 WB, ICC, EM, UPTAKE; KO verified; tested species: rat
Background

The essential micronutrient zinc (Zn2+) plays an important role in many biological processes like growth, development, and reproduction. It is found in the active site of many enzymes, where ionization, polarization or replacement of Zn2+ bound water is involved in catalytic reactions. As a charged ion Zn2+ cannot cross biological membranes by simple diffusion and must be transported by specialized transport mechanisms. Two families of Zn2+ transporters, SLC30 (ZnT, Zn2+ transporter) and SLC39 (ZIP, Zinc (Zn2+)-Iron (Fe2+) permease), function in opposite directions to maintain cellular Zn2+ homeostasis (1).
Ten Zn2+ transporter proteins ZnT1-10 have been described. All of them contain several transmembrane domains and a histidine rich intracellular loop (2).
In the central nervous system Zn2+ plays important roles in synaptic function and plasticity. At synapses Zn2+ is stored in synaptic vesicles by a mechanism depending on the integral membrane protein ZnT3 (3). ZnT3 probably contributes to the prevention of aging-related cognitive loss, because ZnT3 expression levels fall with age and in patients with Alzheimer’s or Parkinson’s disease. Consistent with these results, aged ZnT3-KO mice exhibit deficits in learning and memory (3). ZnT3, along with other ZnT family members, is expressed in several endocrine organs, including the pituitary gland, adrenal glands, and thyroid but is absent in the pancreas (4). This transporter also plays an essential role in reproductive health as some studies have demonstrated ZnT3 expression in the ovary. It was reported that ZnT3 is expressed in mouse oocytes throughout all stages of follicular development, where it likely supports Zn2+ accumulation necessary for oocyte maturation. Disruption of ZnT3 in oocytes leads to impaired zinc storage, potentially compromising fertility (5). Interestingly, while ZnT3 mRNA is expressed in testis, no protein was detectable. This discrepancy between mRNA and protein levels highlights the importance of post-transcriptional regulation and protein stability in determining ZnT3’s functional presence in reproductive tissues (6).

 

For more information on protein expression pattern, please refer to the overview image in our SYSY Antibodies ATLAS.

Certificates

ISO 9001 2015 Quality Management System and Green Lab Platinum certification level for sustaining laboratory processes.

Newsletter

Sign up for our newsletter and get the latest updates and news.
 

Please provide a valid E-Mail-Address
Please provide a valid First name
Please provide a valid Last name