Tailor-made Antibodies
and Tools for Life Science
Home | | | | | Technical Support

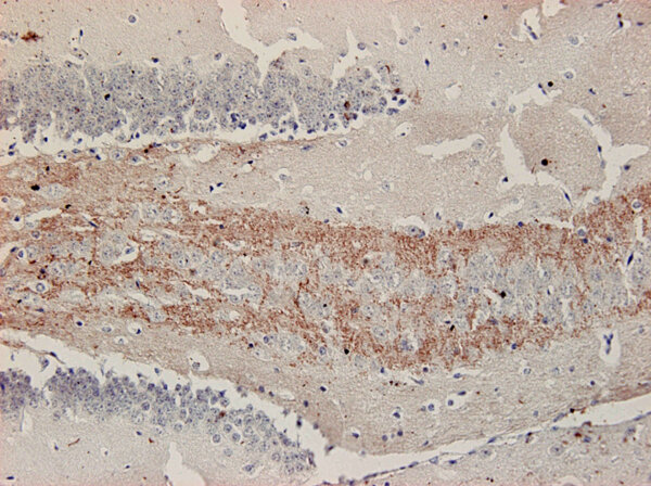
ZnT3 antibody - 197 002 K.O.

ZnT3 is a synaptic vesicle located zinc-transporter
Rabbit polyclonal antiserum
Cat. No.: 197 002
Amount: 200 µl
Price: $365.00
Cat. No. 197 002 200 µl antiserum, lyophilized. For reconstitution add 200 µl H2O, then aliquot and store at -20°C until use.
Antibodies should be stored at +4°C when still lyophilized. Do not freeze!
Applications
 
WB: 1 : 1000 (AP staining) gallery  
IP: yes
ICC: 1 : 500 gallery  
IHC: 1 : 100 up to 1 : 500 gallery  
IHC-P: 1 : 500 gallery  
EM: external data (see remarks)

Western blot (WB); separation of proteins by PAGE and subsequent transfer to a membrane. Detection of target molecules is carried out with antibodies. Some antibodies require special sample preparation steps. For details, please refer to the “Remarks” section.

Immunoprecipitation (IP); Immunoisolation or pulldown of a target molecule using an antibody. For details and product specific hints, please refer to the ”Remarks” section.

Immunocytochemistry (ICC) on 4% PFA fixed cells. Immunoreactivity is usually revealed by fluorescence. Some antibodies require special fixation methods. For details, please refer to the “Remarks” section.

Immunohistochemistry (IHC) on 4% PFA perfusion fixed tissue with 24h PFA post fixation. Immunoreactivity is usually revealed by fluorescence or a chromogenic substrate. Some antibodies require special fixation methods or antigen retrieval steps. For details, please refer to the ”Remarks” section.

Immunohistochemistry (IHC-P) of formalin fixed, paraffin embedded (FFPE) tissue (some antibodies require special antigen retrieval steps, please refer to the ”Remarks” section). Immunoreactivity is usually revealed by fluorescence or a chromogenic substrate.

Electron microscopy (EM) is a microscopy technique that detects the scatter of electrons through thin tissue sections. In Immuno-EM the antigen is usually revealed by colloidal gold conjugated secondary antibodies linking electron dense structures to antigen-bound primary antibodies.

Immunogen Recombinant protein corresponding to residues near the amino terminus of mouse ZnT3 (UniProt Id: P97441)
Reactivity Reacts with: human (Q99726), rat (Q6QIX3), mouse (P97441), chicken.
No signal: zebrafish.
Other species not tested yet.
Specificity K.O. validated PubMed: 28049831
Matching control protein/peptide 197-0P
Remarks

EM: This antibody has been successfully applied and published for this method by customers (see application-specific references).

Data sheet Datasheet 197_002

References for ZnT3 - 197 002

Antiseizure effects of Lilii Bulbus on pentylenetetrazol kindling-induced seizures in mice: Involvement of Reelin, Netrin-1, and semaphorin.
Park HR, Cai M
Biomedicine & pharmacotherapy = Biomedecine & pharmacotherapie (2024) 173: 116385. 197 002 WB, IHC; tested species: mouse
Associations between ZnT3, tau pathology, agitation, and delusions in dementia.
Whitfield DR, Francis PT, Ballard C, Williams G
International journal of geriatric psychiatry (2018) : . 197 002 WB; tested species: human
Mobile zinc increases rapidly in the retina after optic nerve injury and regulates ganglion cell survival and optic nerve regeneration.
Li Y, Andereggen L, Yuki K, Omura K, Yin Y, Gilbert HY, Erdogan B, Asdourian MS, Shrock C, de Lima S, Apfel UP, et al.
Proceedings of the National Academy of Sciences of the United States of America (2017) 1142: E209-E218. 197 002 WB, IHC; KO verified; tested species: mouse
The zinc transporter ZNT3 co-localizes with insulin in INS-1E pancreatic beta cells and influences cell survival, insulin secretion capacity, and ZNT8 expression.
Smidt K, Larsen A, Brønden A, Sørensen KS, Nielsen JV, Praetorius J, Martensen PM, Rungby J
Biometals : an international journal on the role of metal ions in biology, biochemistry, and medicine (2016) 292: 287-98. 197 002 WB, ICC, EM; tested species: rat
Depression and synaptic zinc regulation in Alzheimer disease, dementia with lewy bodies, and Parkinson disease dementia.
Whitfield DR, Vallortigara J, Alghamdi A, Hortobágyi T, Ballard C, Thomas AJ, O'Brien JT, Aarsland D, Francis PT
The American journal of geriatric psychiatry : official journal of the American Association for Geriatric Psychiatry (2015) 232: 141-8. 197 002 WB; tested species: human
SV31 is a Zn2+-binding synaptic vesicle protein.
Barth J, Zimmermann H, Volknandt W
Journal of neurochemistry (2011) 1184: 558-70. 197 002 WB
Quantitative comparison of glutamatergic and GABAergic synaptic vesicles unveils selectivity for few proteins including MAL2, a novel synaptic vesicle protein.
Grønborg M, Pavlos NJ, Brunk I, Chua JJ, Münster-Wandowski A, Riedel D, Ahnert-Hilger G, Urlaub H, Jahn R
The Journal of neuroscience : the official journal of the Society for Neuroscience (2010) 301: 2-12. 197 002 WB
The zinc transporter ZNT3 co-localizes with insulin in INS-1E pancreatic beta cells and influences cell survival, insulin secretion capacity, and ZNT8 expression.
Smidt K, Larsen A, Brønden A, Sørensen KS, Nielsen JV, Praetorius J, Martensen PM, Rungby J
Biometals : an international journal on the role of metal ions in biology, biochemistry, and medicine (2016) 292: 287-98. 197 002 WB, ICC, EM; tested species: rat
Ruxolitinib-dependent reduction of seizure load and duration is accompanied by spatial memory improvement in the rat pilocarpine model of temporal lobe epilepsy.
Carrel A, Napoli E, Hixson K, Carlsen J, Cruz Del Angel Y, Strode D, Busquet N, Kumar V, Wempe MF, Russek SJ, Brooks-Kayal AR, et al.
Neurotherapeutics : the journal of the American Society for Experimental NeuroTherapeutics (2024) : e00506. 197 002 IHC; tested species: rat
Antiseizure effects of Lilii Bulbus on pentylenetetrazol kindling-induced seizures in mice: Involvement of Reelin, Netrin-1, and semaphorin.
Park HR, Cai M
Biomedicine & pharmacotherapy = Biomedecine & pharmacotherapie (2024) 173: 116385. 197 002 WB, IHC; tested species: mouse
Selective deletion of zinc transporter 3 in amacrine cells promotes retinal ganglion cell survival and optic nerve regeneration after injury.
Liu Z, Xue J, Liu C, Tang J, Wu S, Lin J, Han J, Zhang Q, Wu C, Huang H, Zhao L, et al.
Neural regeneration research (2023) 1812: 2773-2780. 197 002 IHC; tested species: mouse
Early death in a mouse model of Alzheimer's disease exacerbated by microglial loss of TAM receptor signaling.
Huang Y, Lemke G
Proceedings of the National Academy of Sciences of the United States of America (2022) 11941: e2204306119. 197 002 IHC; tested species: mouse
Expression and Distribution of Free Zinc in Penile Erectile Tissue.
Kang BS, Suh SW, Yang DY, Choi BY, Lee WK
The world journal of men's health (2022) : . 197 002 IHC; tested species: mouse
Dexamethasone ameliorates the damage of hippocampal filamentous actin cytoskeleton but is not sufficient to cease epileptogenesis in pilocarpine induced epileptic mice.
Yang N, Li YC, Xiong TQ, Chen LM, Zhai Y, Liang JM, Hao YP, Ma DH, Zhang YF
Epilepsy research (2019) 154: 26-33. 197 002 IHC; tested species: mouse
Internal structure of the rat subiculum characterized by diverse immunoreactivities and septotemporal differences.
Ishihara Y, Fukuda T, Sato F
Neuroscience research (2019) : . 197 002 IHC; tested species: rat
RNA Polymerase 1 Is Transiently Regulated by Seizures and Plays a Role in a Pharmacological Kindling Model of Epilepsy.
Vashishta A, Slomnicki LP, Pietrzak M, Smith SC, Kolikonda M, Naik SP, Parlato R, Hetman M
Molecular neurobiology (2018) : . 197 002 IHC; tested species: mouse
Contribution of early Alzheimer's Disease-related Pathophysiology to the Development of Acquired epilepsy.
Gschwind T, Lafourcade C, Gfeller T, Zaichuk M, Rambousek L, Knuesel I, Fritschy JM
The European journal of neuroscience (2018) : . 197 002 IHC; tested species: mouse
Mobile zinc increases rapidly in the retina after optic nerve injury and regulates ganglion cell survival and optic nerve regeneration.
Li Y, Andereggen L, Yuki K, Omura K, Yin Y, Gilbert HY, Erdogan B, Asdourian MS, Shrock C, de Lima S, Apfel UP, et al.
Proceedings of the National Academy of Sciences of the United States of America (2017) 1142: E209-E218. 197 002 WB, IHC; KO verified; tested species: mouse
Ablation of peri-insult generated granule cells after epilepsy onset halts disease progression.
Hosford BE, Rowley S, Liska JP, Danzer SC
Scientific reports (2017) 71: 18015. 197 002 IHC; tested species: rat
Ablation of Newly Generated Hippocampal Granule Cells Has Disease-Modifying Effects in Epilepsy.
Hosford BE, Liska JP, Danzer SC
The Journal of neuroscience : the official journal of the Society for Neuroscience (2016) 3643: 11013-11023. 197 002 IHC; tested species: mouse
Experimental febrile seizures induce age-dependent structural plasticity and improve memory in mice.
Tao K, Ichikawa J, Matsuki N, Ikegaya Y, Koyama R
Neuroscience (2016) 318: 34-44. 197 002 IHC
Axonal plasticity of age-defined dentate granule cells in a rat model of mesial temporal lobe epilepsy.
Althaus AL, Zhang H, Parent JM
Neurobiology of disease (2016) 86: 187-96. 197 002 IHC
DP-b99 modulates matrix metalloproteinase activity and neuronal plasticity.
Yeghiazaryan M, Rutkowska-Wlodarczyk I, Konopka A, Wilczyński GM, Melikyan A, Korkotian E, Kaczmarek L, Figiel I
PloS one (2014) 96: e99789. 197 002 IHC
Expression pattern of synaptic vesicle protein 2 (SV2) isoforms in patients with temporal lobe epilepsy and hippocampal sclerosis.
Crèvecoeur J, Kaminski RM, Rogister B, Foerch P, Vandenplas C, Neveux M, Mazzuferi M, Kroonen J, Poulet C, Martin D, Sadzot B, et al.
Neuropathology and applied neurobiology (2014) 402: 191-204. 197 002 IHC; tested species: human
Accumulation of abnormal adult-generated hippocampal granule cells predicts seizure frequency and severity.
Hester MS, Danzer SC
The Journal of neuroscience : the official journal of the Society for Neuroscience (2013) 3321: 8926-36. 197 002 IHC; tested species: mouse
Increased learning and brain long-term potentiation in aged mice lacking DNA polymerase μ.
Lucas D, Delgado-García JM, Escudero B, Albo C, Aza A, Acín-Pérez R, Torres Y, Moreno P, Enríquez JA, Samper E, Blanco L, et al.
PloS one (2013) 81: e53243. 197 002 IHC; tested species: mouse
Suppression of epileptogenesis-associated changes in response to seizures in FGF22-deficient mice.
Lee CH, Umemori H
Frontiers in cellular neuroscience (2013) 7: 43. 197 002 IHC; tested species: mouse
Neurogenesis is enhanced and mossy fiber sprouting arises in FGF7-deficient mice during development.
Lee CH, Javed D, Althaus AL, Parent JM, Umemori H
Molecular and cellular neurosciences (2012) 513-4: 61-7. 197 002 IHC
Abnormalities of granule cell dendritic structure are a prominent feature of the intrahippocampal kainic acid model of epilepsy despite reduced postinjury neurogenesis.
Murphy BL, Hofacer RD, Faulkner CN, Loepke AW, Danzer SC
Epilepsia (2012) 535: 908-21. 197 002 IHC
Heterogeneous integration of adult-generated granule cells into the epileptic brain.
Murphy BL, Pun RY, Yin H, Faulkner CR, Loepke AW, Danzer SC
The Journal of neuroscience : the official journal of the Society for Neuroscience (2011) 311: 105-17. 197 002 IHC
Rapamycin suppresses mossy fiber sprouting but not seizure frequency in a mouse model of temporal lobe epilepsy.
Buckmaster PS, Lew FH
The Journal of neuroscience : the official journal of the Society for Neuroscience (2011) 316: 2337-47. 197 002 IHC
Altered patterning of dentate granule cell mossy fiber inputs onto CA3 pyramidal cells in limbic epilepsy.
McAuliffe JJ, Bronson SL, Hester MS, Murphy BL, Dahlquist-Topalá R, Richards DA, Danzer SC
Hippocampus (2011) 211: 93-107. 197 002 IHC
Characterising subtypes of hippocampal sclerosis and reorganization: correlation with pre and postoperative memory deficit.
Prada Jardim A, Liu J, Baber J, Michalak Z, Reeves C, Ellis M, Novy J, de Tisi J, McEvoy A, Miserocchi A, Targas Yacubian EM, et al.
Brain pathology (Zurich, Switzerland) (2017) : . 197 002 IHC-P; tested species: human
Assessment of ZnT3 and PSD95 protein levels in Lewy body dementias and Alzheimer's disease: association with cognitive impairment.
Whitfield DR, Vallortigara J, Alghamdi A, Howlett D, Hortobágyi T, Johnson M, Attems J, Newhouse S, Ballard C, Thomas AJ, O'Brien JT, et al.
Neurobiology of aging (2014) 3512: 2836-2844. 197 002 IHC-P; tested species: human
The zinc transporter ZNT3 co-localizes with insulin in INS-1E pancreatic beta cells and influences cell survival, insulin secretion capacity, and ZNT8 expression.
Smidt K, Larsen A, Brønden A, Sørensen KS, Nielsen JV, Praetorius J, Martensen PM, Rungby J
Biometals : an international journal on the role of metal ions in biology, biochemistry, and medicine (2016) 292: 287-98. 197 002 WB, ICC, EM; tested species: rat
Cat. No.: 197 002
Amount: 200 µl
Price: $365.00
Antiseizure effects of Lilii Bulbus on pentylenetetrazol kindling-induced seizures in mice: Involvement of Reelin, Netrin-1, and semaphorin.
Park HR, Cai M
Biomedicine & pharmacotherapy = Biomedecine & pharmacotherapie (2024) 173: 116385. 197 002 WB, IHC; tested species: mouse
Associations between ZnT3, tau pathology, agitation, and delusions in dementia.
Whitfield DR, Francis PT, Ballard C, Williams G
International journal of geriatric psychiatry (2018) : . 197 002 WB; tested species: human
Mobile zinc increases rapidly in the retina after optic nerve injury and regulates ganglion cell survival and optic nerve regeneration.
Li Y, Andereggen L, Yuki K, Omura K, Yin Y, Gilbert HY, Erdogan B, Asdourian MS, Shrock C, de Lima S, Apfel UP, et al.
Proceedings of the National Academy of Sciences of the United States of America (2017) 1142: E209-E218. 197 002 WB, IHC; KO verified; tested species: mouse
The zinc transporter ZNT3 co-localizes with insulin in INS-1E pancreatic beta cells and influences cell survival, insulin secretion capacity, and ZNT8 expression.
Smidt K, Larsen A, Brønden A, Sørensen KS, Nielsen JV, Praetorius J, Martensen PM, Rungby J
Biometals : an international journal on the role of metal ions in biology, biochemistry, and medicine (2016) 292: 287-98. 197 002 WB, ICC, EM; tested species: rat
Depression and synaptic zinc regulation in Alzheimer disease, dementia with lewy bodies, and Parkinson disease dementia.
Whitfield DR, Vallortigara J, Alghamdi A, Hortobágyi T, Ballard C, Thomas AJ, O'Brien JT, Aarsland D, Francis PT
The American journal of geriatric psychiatry : official journal of the American Association for Geriatric Psychiatry (2015) 232: 141-8. 197 002 WB; tested species: human
SV31 is a Zn2+-binding synaptic vesicle protein.
Barth J, Zimmermann H, Volknandt W
Journal of neurochemistry (2011) 1184: 558-70. 197 002 WB
Quantitative comparison of glutamatergic and GABAergic synaptic vesicles unveils selectivity for few proteins including MAL2, a novel synaptic vesicle protein.
Grønborg M, Pavlos NJ, Brunk I, Chua JJ, Münster-Wandowski A, Riedel D, Ahnert-Hilger G, Urlaub H, Jahn R
The Journal of neuroscience : the official journal of the Society for Neuroscience (2010) 301: 2-12. 197 002 WB
The zinc transporter ZNT3 co-localizes with insulin in INS-1E pancreatic beta cells and influences cell survival, insulin secretion capacity, and ZNT8 expression.
Smidt K, Larsen A, Brønden A, Sørensen KS, Nielsen JV, Praetorius J, Martensen PM, Rungby J
Biometals : an international journal on the role of metal ions in biology, biochemistry, and medicine (2016) 292: 287-98. 197 002 WB, ICC, EM; tested species: rat
Ruxolitinib-dependent reduction of seizure load and duration is accompanied by spatial memory improvement in the rat pilocarpine model of temporal lobe epilepsy.
Carrel A, Napoli E, Hixson K, Carlsen J, Cruz Del Angel Y, Strode D, Busquet N, Kumar V, Wempe MF, Russek SJ, Brooks-Kayal AR, et al.
Neurotherapeutics : the journal of the American Society for Experimental NeuroTherapeutics (2024) : e00506. 197 002 IHC; tested species: rat
Antiseizure effects of Lilii Bulbus on pentylenetetrazol kindling-induced seizures in mice: Involvement of Reelin, Netrin-1, and semaphorin.
Park HR, Cai M
Biomedicine & pharmacotherapy = Biomedecine & pharmacotherapie (2024) 173: 116385. 197 002 WB, IHC; tested species: mouse
Selective deletion of zinc transporter 3 in amacrine cells promotes retinal ganglion cell survival and optic nerve regeneration after injury.
Liu Z, Xue J, Liu C, Tang J, Wu S, Lin J, Han J, Zhang Q, Wu C, Huang H, Zhao L, et al.
Neural regeneration research (2023) 1812: 2773-2780. 197 002 IHC; tested species: mouse
Early death in a mouse model of Alzheimer's disease exacerbated by microglial loss of TAM receptor signaling.
Huang Y, Lemke G
Proceedings of the National Academy of Sciences of the United States of America (2022) 11941: e2204306119. 197 002 IHC; tested species: mouse
Expression and Distribution of Free Zinc in Penile Erectile Tissue.
Kang BS, Suh SW, Yang DY, Choi BY, Lee WK
The world journal of men's health (2022) : . 197 002 IHC; tested species: mouse
Dexamethasone ameliorates the damage of hippocampal filamentous actin cytoskeleton but is not sufficient to cease epileptogenesis in pilocarpine induced epileptic mice.
Yang N, Li YC, Xiong TQ, Chen LM, Zhai Y, Liang JM, Hao YP, Ma DH, Zhang YF
Epilepsy research (2019) 154: 26-33. 197 002 IHC; tested species: mouse
Internal structure of the rat subiculum characterized by diverse immunoreactivities and septotemporal differences.
Ishihara Y, Fukuda T, Sato F
Neuroscience research (2019) : . 197 002 IHC; tested species: rat
RNA Polymerase 1 Is Transiently Regulated by Seizures and Plays a Role in a Pharmacological Kindling Model of Epilepsy.
Vashishta A, Slomnicki LP, Pietrzak M, Smith SC, Kolikonda M, Naik SP, Parlato R, Hetman M
Molecular neurobiology (2018) : . 197 002 IHC; tested species: mouse
Contribution of early Alzheimer's Disease-related Pathophysiology to the Development of Acquired epilepsy.
Gschwind T, Lafourcade C, Gfeller T, Zaichuk M, Rambousek L, Knuesel I, Fritschy JM
The European journal of neuroscience (2018) : . 197 002 IHC; tested species: mouse
Mobile zinc increases rapidly in the retina after optic nerve injury and regulates ganglion cell survival and optic nerve regeneration.
Li Y, Andereggen L, Yuki K, Omura K, Yin Y, Gilbert HY, Erdogan B, Asdourian MS, Shrock C, de Lima S, Apfel UP, et al.
Proceedings of the National Academy of Sciences of the United States of America (2017) 1142: E209-E218. 197 002 WB, IHC; KO verified; tested species: mouse
Ablation of peri-insult generated granule cells after epilepsy onset halts disease progression.
Hosford BE, Rowley S, Liska JP, Danzer SC
Scientific reports (2017) 71: 18015. 197 002 IHC; tested species: rat
Ablation of Newly Generated Hippocampal Granule Cells Has Disease-Modifying Effects in Epilepsy.
Hosford BE, Liska JP, Danzer SC
The Journal of neuroscience : the official journal of the Society for Neuroscience (2016) 3643: 11013-11023. 197 002 IHC; tested species: mouse
Experimental febrile seizures induce age-dependent structural plasticity and improve memory in mice.
Tao K, Ichikawa J, Matsuki N, Ikegaya Y, Koyama R
Neuroscience (2016) 318: 34-44. 197 002 IHC
Axonal plasticity of age-defined dentate granule cells in a rat model of mesial temporal lobe epilepsy.
Althaus AL, Zhang H, Parent JM
Neurobiology of disease (2016) 86: 187-96. 197 002 IHC
DP-b99 modulates matrix metalloproteinase activity and neuronal plasticity.
Yeghiazaryan M, Rutkowska-Wlodarczyk I, Konopka A, Wilczyński GM, Melikyan A, Korkotian E, Kaczmarek L, Figiel I
PloS one (2014) 96: e99789. 197 002 IHC
Expression pattern of synaptic vesicle protein 2 (SV2) isoforms in patients with temporal lobe epilepsy and hippocampal sclerosis.
Crèvecoeur J, Kaminski RM, Rogister B, Foerch P, Vandenplas C, Neveux M, Mazzuferi M, Kroonen J, Poulet C, Martin D, Sadzot B, et al.
Neuropathology and applied neurobiology (2014) 402: 191-204. 197 002 IHC; tested species: human
Accumulation of abnormal adult-generated hippocampal granule cells predicts seizure frequency and severity.
Hester MS, Danzer SC
The Journal of neuroscience : the official journal of the Society for Neuroscience (2013) 3321: 8926-36. 197 002 IHC; tested species: mouse
Increased learning and brain long-term potentiation in aged mice lacking DNA polymerase μ.
Lucas D, Delgado-García JM, Escudero B, Albo C, Aza A, Acín-Pérez R, Torres Y, Moreno P, Enríquez JA, Samper E, Blanco L, et al.
PloS one (2013) 81: e53243. 197 002 IHC; tested species: mouse
Suppression of epileptogenesis-associated changes in response to seizures in FGF22-deficient mice.
Lee CH, Umemori H
Frontiers in cellular neuroscience (2013) 7: 43. 197 002 IHC; tested species: mouse
Neurogenesis is enhanced and mossy fiber sprouting arises in FGF7-deficient mice during development.
Lee CH, Javed D, Althaus AL, Parent JM, Umemori H
Molecular and cellular neurosciences (2012) 513-4: 61-7. 197 002 IHC
Abnormalities of granule cell dendritic structure are a prominent feature of the intrahippocampal kainic acid model of epilepsy despite reduced postinjury neurogenesis.
Murphy BL, Hofacer RD, Faulkner CN, Loepke AW, Danzer SC
Epilepsia (2012) 535: 908-21. 197 002 IHC
Heterogeneous integration of adult-generated granule cells into the epileptic brain.
Murphy BL, Pun RY, Yin H, Faulkner CR, Loepke AW, Danzer SC
The Journal of neuroscience : the official journal of the Society for Neuroscience (2011) 311: 105-17. 197 002 IHC
Rapamycin suppresses mossy fiber sprouting but not seizure frequency in a mouse model of temporal lobe epilepsy.
Buckmaster PS, Lew FH
The Journal of neuroscience : the official journal of the Society for Neuroscience (2011) 316: 2337-47. 197 002 IHC
Altered patterning of dentate granule cell mossy fiber inputs onto CA3 pyramidal cells in limbic epilepsy.
McAuliffe JJ, Bronson SL, Hester MS, Murphy BL, Dahlquist-Topalá R, Richards DA, Danzer SC
Hippocampus (2011) 211: 93-107. 197 002 IHC
Characterising subtypes of hippocampal sclerosis and reorganization: correlation with pre and postoperative memory deficit.
Prada Jardim A, Liu J, Baber J, Michalak Z, Reeves C, Ellis M, Novy J, de Tisi J, McEvoy A, Miserocchi A, Targas Yacubian EM, et al.
Brain pathology (Zurich, Switzerland) (2017) : . 197 002 IHC-P; tested species: human
Assessment of ZnT3 and PSD95 protein levels in Lewy body dementias and Alzheimer's disease: association with cognitive impairment.
Whitfield DR, Vallortigara J, Alghamdi A, Howlett D, Hortobágyi T, Johnson M, Attems J, Newhouse S, Ballard C, Thomas AJ, O'Brien JT, et al.
Neurobiology of aging (2014) 3512: 2836-2844. 197 002 IHC-P; tested species: human
The zinc transporter ZNT3 co-localizes with insulin in INS-1E pancreatic beta cells and influences cell survival, insulin secretion capacity, and ZNT8 expression.
Smidt K, Larsen A, Brønden A, Sørensen KS, Nielsen JV, Praetorius J, Martensen PM, Rungby J
Biometals : an international journal on the role of metal ions in biology, biochemistry, and medicine (2016) 292: 287-98. 197 002 WB, ICC, EM; tested species: rat
Background

The essential micronutrient zinc (Zn2+) plays an important role in many biological processes like growth, development, and reproduction. It is found in the active site of many enzymes, where ionization, polarization or replacement of Zn2+ bound water is involved in catalytic reactions. As a charged ion Zn2+ cannot cross biological membranes by simple diffusion and must be transported by specialized transport mechanisms. Two families of Zn2+ transporters, SLC30 (ZnT, Zn2+ transporter) and SLC39 (ZIP, Zinc (Zn2+)-Iron (Fe2+) permease), function in opposite directions to maintain cellular Zn2+ homeostasis (1).
Ten Zn2+ transporter proteins ZnT1-10 have been described. All of them contain several transmembrane domains and a histidine rich intracellular loop (2).
In the central nervous system Zn2+ plays important roles in synaptic function and plasticity. At synapses Zn2+ is stored in synaptic vesicles by a mechanism depending on the integral membrane protein ZnT3 (3). ZnT3 probably contributes to the prevention of aging-related cognitive loss, because ZnT3 expression levels fall with age and in patients with Alzheimer’s or Parkinson’s disease. Consistent with these results, aged ZnT3-KO mice exhibit deficits in learning and memory (3). ZnT3, along with other ZnT family members, is expressed in several endocrine organs, including the pituitary gland, adrenal glands, and thyroid but is absent in the pancreas (4). This transporter also plays an essential role in reproductive health as some studies have demonstrated ZnT3 expression in the ovary. It was reported that ZnT3 is expressed in mouse oocytes throughout all stages of follicular development, where it likely supports Zn2+ accumulation necessary for oocyte maturation. Disruption of ZnT3 in oocytes leads to impaired zinc storage, potentially compromising fertility (5). Interestingly, while ZnT3 mRNA is expressed in testis, no protein was detectable. This discrepancy between mRNA and protein levels highlights the importance of post-transcriptional regulation and protein stability in determining ZnT3’s functional presence in reproductive tissues (6).

 

For more information on protein expression pattern, please refer to the overview image in our SYSY Antibodies ATLAS.

Certificates

ISO 9001 2015 Quality Management System and Green Lab Platinum certification level for sustaining laboratory processes.

Newsletter

Sign up for our newsletter and get the latest updates and news.
 

Please provide a valid E-Mail-Address
Please provide a valid First name
Please provide a valid Last name