Tailor-made Antibodies
and Tools for Life Science
Home | | | | | Technical Support

Parvalbumin antibody - 195 008

Parvalbumin is calcium binding protein specific for a subpopulation of GABAergic interneurones
Rabbit monoclonal recombinant IgG
Cat. No.: 195 008
Amount: 50 µg
Price: $420.00
Cat. No. 195 008 50 µg purified recombinant IgG, lyophilized. Albumin and azide were added for stabilization. For reconstitution add 50 µl H2O to get a 1mg/ml solution in PBS. Then aliquot and store at -20°C to -80°C until use.
Antibodies should be stored at +4°C when still lyophilized. Do not freeze!
Applications
 
WB: 1 : 1000 (AP staining) (see remarks) gallery  
IP: yes
ICC: 1 : 500 gallery  
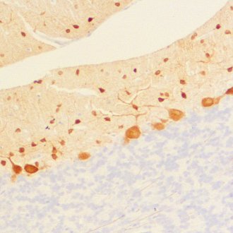
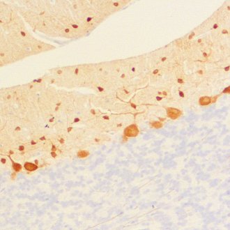
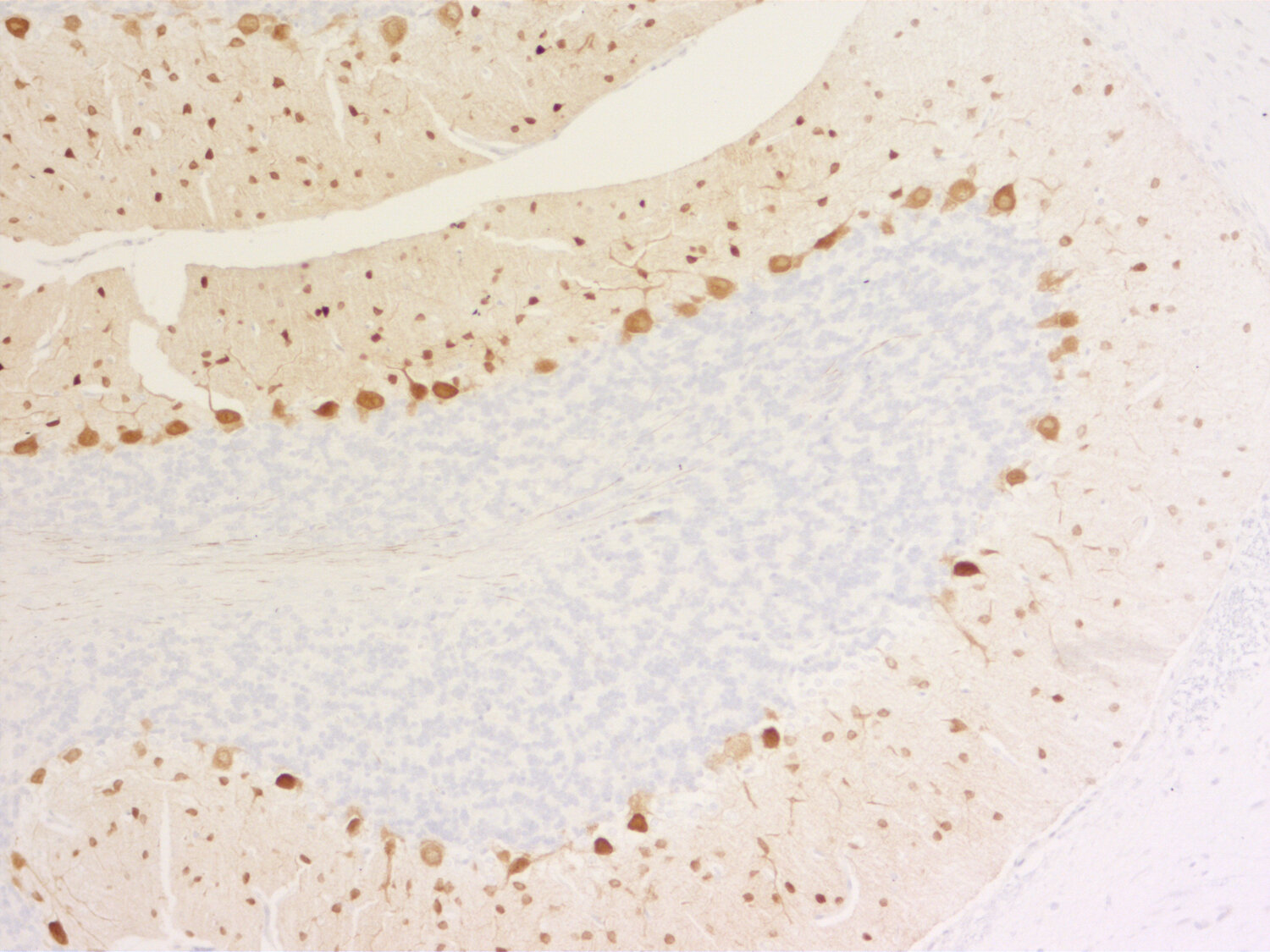
IHC: 1 : 500 (see remarks) gallery  
IHC-P: 1 : 100 up to 1 : 500 gallery  

Western blot (WB); separation of proteins by PAGE and subsequent transfer to a membrane. Detection of target molecules is carried out with antibodies. Some antibodies require special sample preparation steps. For details, please refer to the “Remarks” section.

Immunoprecipitation (IP); Immunoisolation or pulldown of a target molecule using an antibody. For details and product specific hints, please refer to the ”Remarks” section.

Immunocytochemistry (ICC) on 4% PFA fixed cells. Immunoreactivity is usually revealed by fluorescence. Some antibodies require special fixation methods. For details, please refer to the “Remarks” section.

Immunohistochemistry (IHC) on 4% PFA perfusion fixed tissue with 24h PFA post fixation. Immunoreactivity is usually revealed by fluorescence or a chromogenic substrate. Some antibodies require special fixation methods or antigen retrieval steps. For details, please refer to the ”Remarks” section.

Immunohistochemistry (IHC-P) of formalin fixed, paraffin embedded (FFPE) tissue (some antibodies require special antigen retrieval steps, please refer to the ”Remarks” section). Immunoreactivity is usually revealed by fluorescence or a chromogenic substrate.

Clone Rb58E1
Subtype IgG1 (κ light chain)
Immunogen Full-length recombinant rat Parvalbumin (UniProt Id: P02625)
Reactivity Reacts with: rat (P02625), mouse (P32848).
No signal: zebrafish, human (P20472).
Other species not tested yet.
Matching control protein/peptide 195-0P
Remarks

This antibody is a chimeric antibody based on the monoclonal mouse antibody clone 58E1. The constant regions of the heavy and light chains have been replaced by rabbit specific sequences. Therefore, the antibody can be used with standard anti-rabbit secondary reagents. The antibody has been expressed in mammalian cells.
WB: Due to the small size of this protein, we recommend 12% BIS-TRIS gels with a MES based running buffer.
The rabbit polyclonal antiserum (cat. no. 195 002) is more sensitive and recommended for westernblotting.
IHC: Antigen retrieval with citrate buffer pH 6 is not advised.

Data sheet Datasheet 195_008
Cat. No.: 195 008
Amount: 50 µg
Price: $420.00
Background

Parvalbumin is a small, acidic calcium binding protein and belongs to the family of EF hand proteins. The protein is found in skeletal muscle and the brain of vertebrates where it locates to a specific population of GABAergic interneurons. This subset of neurons may contribute to maintaining the balance between excitation and inhibition in the cortex and the hippocampus.

 

For more information on protein expression pattern, please refer to the overview image in our SYSY Antibodies ATLAS.

Certificates

ISO 9001 2015 Quality Management System and Green Lab Platinum certification level for sustaining laboratory processes.

Newsletter

Sign up for our newsletter and get the latest updates and news.
 

Please provide a valid E-Mail-Address
Please provide a valid First name
Please provide a valid Last name