Tailor-made Antibodies
and Tools for Life Science
Home | | | | | Technical Support

Ribeye antibody A-domain - 192 103 K.O.

Ribeye is a scaffolding protein of the ribbon synapse
Rabbit polyclonal purified antibody
Cat. No.: 192 103
Amount: 50 µg
Price: $385.00
Cat. No. 192 103 50 µg specific antibody, lyophilized. Affinity purified with the immunogen. Albumin was added for stabilization. For reconstitution add 50 µl H2O to get a 1mg/ml solution in PBS. Then aliquot and store at -20°C to -80°C until use.
Antibodies should be stored at +4°C when still lyophilized. Do not freeze!
Applications
 
WB: 1 : 1000 (AP staining) gallery  
IP: not tested yet
ICC: not tested yet
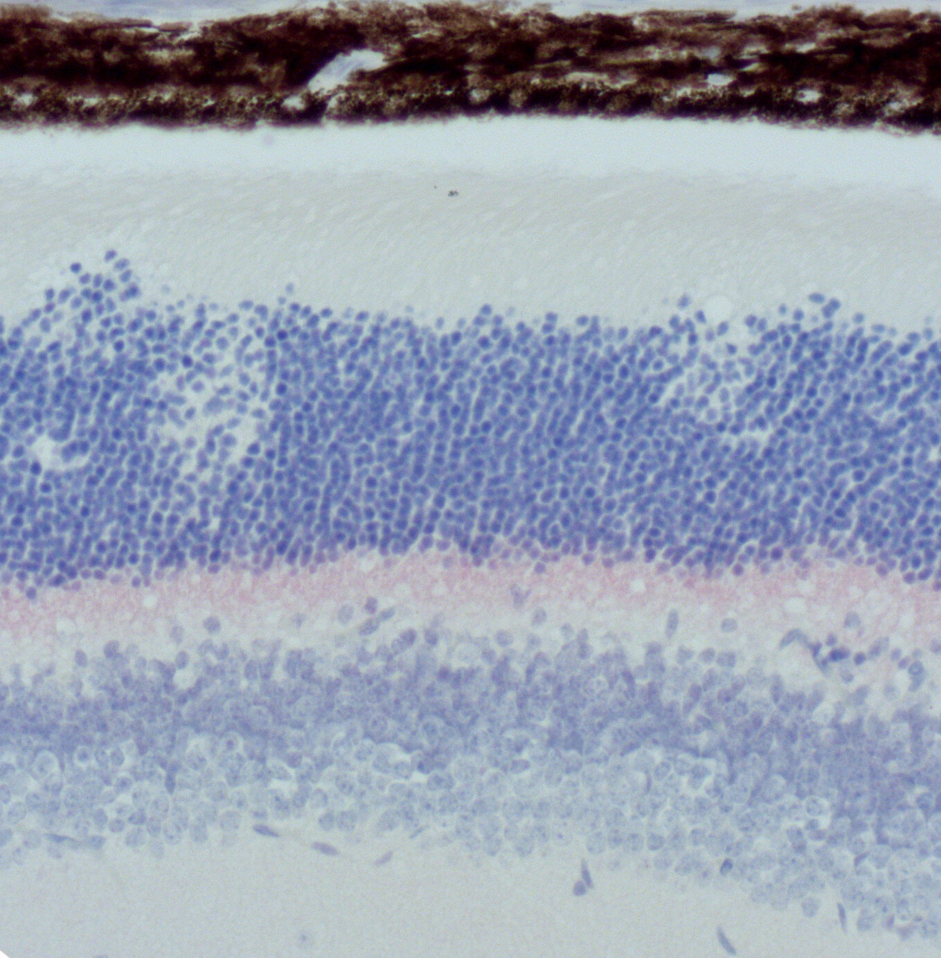
IHC: 1 : 200 up to 1 : 500 (see remarks) gallery  
IHC-P (FFPE): 1 : 200 gallery  

Western blot (WB); separation of proteins by PAGE and subsequent transfer to a membrane. Detection of target molecules is carried out with antibodies. Some antibodies require special sample preparation steps. For details, please refer to the “Remarks” section.

Immunoprecipitation (IP); Immunoisolation or pulldown of a target molecule using an antibody. For details and product specific hints, please refer to the ”Remarks” section.

Immunocytochemistry (ICC) on 4% PFA fixed cells. Immunoreactivity is usually revealed by fluorescence. Some antibodies require special fixation methods. For details, please refer to the “Remarks” section.

Immunohistochemistry (IHC) on 4% PFA perfusion fixed tissue with 24h PFA post fixation. Immunoreactivity is usually revealed by fluorescence or a chromogenic substrate. Some antibodies require special fixation methods or antigen retrieval steps. For details, please refer to the ”Remarks” section.

Immunohistochemistry (IHC-P) of formalin fixed, paraffin embedded (FFPE) tissue (some antibodies require special antigen retrieval steps, please refer to the ”Remarks” section). Immunoreactivity is usually revealed by fluorescence or a chromogenic substrate.

Immunogen Recombinant protein corresponding to AA 95 to 207 from rat Ribeye (UniProt Id: Q9EQH5-2)
Reactivity Reacts with: rat (Q9EQH5-2), mouse (P56546-2), human (P56545-2).
Other species not tested yet.
Specificity This antibody recognizes only ribeye and not CtBP 2. K.O. validated PubMed: 35742873
Remarks

IHC: For optimal results in retina tissue, follow the retina protocol.

Data sheet Datasheet 192_103

References for Ribeye - 192 103

Profound Effect of Light on Cysts in X-Linked Retinoschisis.
Hassan S, Stanley ST, Brandauer E, Hsu Y, Rankin TJ, Laird J, Lobeck B, Thompson JM, Bengen MA, Wang K, Drack AV, et al.
Investigative ophthalmology & visual science (2026) 672: 1. 192 103 WB; tested species: mouse
RIBEYE B-Domain Is Essential for RIBEYE A-Domain Stability and Assembly of Synaptic Ribbons.
Shankhwar S, Schwarz K, Katiyar R, Jung M, Maxeiner S, Südhof TC, Schmitz F
Frontiers in molecular neuroscience (2022) 15: 838311. 192 103 WB; tested species: mouse
α2δ-4 is required for the molecular and structural organization of rod and cone photoreceptor synapses.
Kerov V, Laird JG, Joiner ML, Knecht S, Soh D, Hagen J, Gardner SH, Gutierrez W, Yoshimatsu T, Bhattarai S, Puthussery T, et al.
The Journal of neuroscience : the official journal of the Society for Neuroscience (2018) : . 192 103 WB, IHC; tested species: mouse
Differential spatial expression and subcellular localization of CtBP family members in rodent brain.
Hübler D, Rankovic M, Richter K, Lazarevic V, Altrock WD, Fischer KD, Gundelfinger ED, Fejtova A
PloS one (2012) 76: e39710. 192 103 WB; tested species: rat
Establishing synthetic ribbon-type active zones in a heterologous expression system.
Kapoor R, Do TT, Schwenzer N, Petrovic A, Dresbach T, Lehnart SE, Fernández-Busnadiego R, Moser T
eLife (2026) 13: . 192 103 ICC; tested species: human
Dicer is essential for proper maturation, composition, and function in the postnatal retina.
Kang S, Larbi D, Bruns E, Hahne K, Khodadadi-Jamayran A, Sreenivasaiah C, Carneiro ML, Andrade M, Batsuuri K, Chen S, Jager J, et al.
iScience (2025) 2811: 113794. 192 103 IHC; tested species: mouse
Persistence of vestibular function in the absence of glutamatergic transmission from hair cells.
Mukhopadhyay M, Modgekar R, Yang-Hood A, Ohlemiller KK, Militchin V, Xiao M, Shen Z, Rensing NR, Wong M, Lee SJ, Seal RP, et al.
bioRxiv : the preprint server for biology (2025) : . 192 103 IHC; tested species: mouse
P23H rhodopsin accumulation causes transient disruptions to synaptic protein levels in rod photoreceptors in a model of retinitis pigmentosa.
Thompson SL, Crowder SM, Hekmatara M, Sechrest ER, Deng WT, Robichaux MA
Disease models & mechanisms (2025) 186: . 192 103 IHC; tested species: mouse
CaBP1 and 2 enable sustained CaV1.3 calcium currents and synaptic transmission in inner hair cells.
Oestreicher D, Chepurwar S, Kusch K, Rankovic V, Jung S, Strenzke N, Pangrsic T
eLife (2024) 13: . 192 103 IHC; tested species: mouse
Two new mouse alleles of Ocm and Slc26a5.
Lachgar-Ruiz M, Ingham NJ, Martelletti E, Chen J, James E, Panganiban C, Lewis MA, Steel KP
Hearing research (2024) 452: 109109. 192 103 IHC; tested species: mouse
Presynaptic Nrxn3 is essential for ribbon-synapse maturation in hair cells.
Jukic A, Lei Z, Cebul ER, Pinter K, Tadesse Y, Jarysta A, David S, Mosqueda N, Tarchini B, Kindt K
Development (Cambridge, England) (2024) : . 192 103 IHC; tested species: mouse
Ectopic Rod Photoreceptor Development in Mice with Genetic Deficiency of WNT2B.
Blomfield AK, Maurya M, Bora K, Pavlovich MC, Yemanyi F, Huang S, Fu Z, O'Connell AE, Chen J
Cells (2023) 127: . 192 103 IHC; tested species: mouse
Rapid 3D-STORM imaging of diverse molecular targets in tissue.
Albrecht NE, Jiang D, Akhanov V, Hobson R, Speer CM, Robichaux MA, Samuel MA
Cell reports methods (2022) 27: 100253. 192 103 IHC; tested species: human,mouse
Eliminating Synaptic Ribbons from Rods and Cones Halves the Releasable Vesicle Pool and Slows Down Replenishment.
Mesnard CS, Barta CL, Sladek AL, Zenisek D, Thoreson WB
International journal of molecular sciences (2022) 2312: . 192 103 IHC; KO verified; tested species: mouse
Neuroplastin genetically interacts with Cadherin 23 and the encoded isoform Np55 is sufficient for cochlear hair cell function and hearing.
Newton S, Kong F, Carlton AJ, Aguilar C, Parker A, Codner GF, Teboul L, Wells S, Brown SDM, Marcotti W, Bowl MR, et al.
PLoS genetics (2022) 181: e1009937. 192 103 IHC; tested species: mouse
The SNARE protein SNAP-25 is required for normal exocytosis at auditory hair cell ribbon synapses.
Calvet C, Peineau T, Benamer N, Cornille M, Lelli A, Plion B, Lahlou G, Fanchette J, Nouaille S, Boutet de Monvel J, Estivalet A, et al.
iScience (2022) 2512: 105628. 192 103 IHC; tested species: mouse
Volumetric super-resolution imaging by serial ultrasectioning and stochastic optical reconstruction microscopy in mouse neural tissue.
Vatan T, Minehart JA, Zhang C, Agarwal V, Yang J, Speer CM
STAR protocols (2021) 24: 100971. 192 103 IHC; tested species: mouse
The mGluR6 ligand-binding domain, but not the C-terminal domain, is required for synaptic localization in retinal ON-bipolar cells.
Agosto MA, Adeosun AAR, Kumar N, Wensel TG
The Journal of biological chemistry (2021) 2976: 101418. 192 103 IHC; tested species: mouse
Genetic disruption of bassoon in two mutant mouse lines causes divergent retinal phenotypes.
Ryl M, Urbasik A, Gierke K, Babai N, Joachimsthaler A, Feigenspan A, Frischknecht R, Stallwitz N, Fejtová A, Kremers J, von Wittgenstein J, et al.
FASEB journal : official publication of the Federation of American Societies for Experimental Biology (2021) 355: e21520. 192 103 IHC; tested species: mouse
Cell Types of the Human Retina and Its Organoids at Single-Cell Resolution.
Cowan CS, Renner M, De Gennaro M, Gross-Scherf B, Goldblum D, Hou Y, Munz M, Rodrigues TM, Krol J, Szikra T, Cuttat R, et al.
Cell (2020) 1826: 1623-1640.e34. 192 103 IHC; tested species: human
A dual role for Cav1.4 Ca2+ channels in the molecular and structural organization of the rod photoreceptor synapse.
Maddox JW, Randall KL, Yadav RP, Williams B, Hagen J, Derr PJ, Kerov V, Della Santina L, Baker SA, Artemyev N, Hoon M, et al.
eLife (2020) 9: . 192 103 IHC; tested species: mouse
C1q Regulates Horizontal Cell Neurite Confinement in the Outer Retina.
Burger CA, Jiang D, Li F, Samuel MA
Frontiers in neural circuits (2020) 14: 583391. 192 103 IHC; tested species: mouse
Mature Retina Compensates Functionally for Partial Loss of Rod Photoreceptors.
Care RA, Anastassov IA, Kastner DB, Kuo YM, Della Santina L, Dunn FA
Cell reports (2020) 3110: 107730. 192 103 IHC; tested species: mouse
LKB1 coordinates neurite remodeling to drive synapse layer emergence in the outer retina.
Burger CA, Alevy J, Casasent AK, Jiang D, Albrecht NE, Liang JH, Hirano AA, Brecha N, Samuel MA
eLife (2020) 9: . 192 103 IHC; tested species: mouse
Rescue of Rod Synapses by Induction of Cav Alpha 1F in the Mature Cav1.4 Knock-Out Mouse Retina.
Laird JG, Gardner SH, Kopel AJ, Kerov V, Lee A, Baker SA
Investigative ophthalmology & visual science (2019) 608: 3150-3161. 192 103 IHC; tested species: mouse
Clarin-2 is essential for hearing by maintaining stereocilia integrity and function.
Dunbar LA, Patni P, Aguilar C, Mburu P, Corns L, Wells HR, Delmaghani S, Parker A, Johnson S, Williams D, Esapa CT, et al.
EMBO molecular medicine (2019) : e10288. 192 103 IHC; tested species: mouse
Critical Role for Phosphatidylinositol-3 Kinase Vps34/PIK3C3 in ON-Bipolar Cells.
He F, Nichols RM, Kailasam L, Wensel TG, Agosto MA
Investigative ophthalmology & visual science (2019) 608: 2861-2874. 192 103 IHC; tested species: mouse
Restoration of vision after de novo genesis of rod photoreceptors in mammalian retinas.
Yao K, Qiu S, Wang YV, Park SJH, Mohns EJ, Mehta B, Liu X, Chang B, Zenisek D, Crair MC, Demb JB, et al.
Nature (2018) : . 192 103 IHC; tested species: mouse
α2δ-4 is required for the molecular and structural organization of rod and cone photoreceptor synapses.
Kerov V, Laird JG, Joiner ML, Knecht S, Soh D, Hagen J, Gardner SH, Gutierrez W, Yoshimatsu T, Bhattarai S, Puthussery T, et al.
The Journal of neuroscience : the official journal of the Society for Neuroscience (2018) : . 192 103 WB, IHC; tested species: mouse
RBX2 maintains final retinal cell position in a DAB1-dependent and -independent fashion.
Fairchild CL, Hino K, Han JS, Miltner AM, Peinado Allina G, Brown CE, Burns ME, La Torre A, Simó S
Development (Cambridge, England) (2018) 1453: . 192 103 IHC; tested species: mouse
Differential epitope masking reveals synapse-specific complexes of TRPM1.
Agosto MA, Anastassov IA, Wensel TG
Visual neuroscience (2018) 35: E001. 192 103 IHC; tested species: mouse
Synaptogenesis and synaptic protein localization in the postnatal development of rod bipolar cell dendrites in mouse retina.
Anastassov IA, Wang W, Dunn FA
The Journal of comparative neurology (2017) : . 192 103 IHC
Absence of Neuroplastin-65 Affects Synaptogenesis in Mouse Inner Hair Cells and Causes Profound Hearing Loss.
Carrott L, Bowl MR, Aguilar C, Johnson SL, Chessum L, West M, Morse S, Dorning J, Smart E, Hardisty-Hughes R, Ball G, et al.
The Journal of neuroscience : the official journal of the Society for Neuroscience (2016) 361: 222-34. 192 103 IHC; tested species: mouse
Evidence for a Clathrin-independent mode of endocytosis at a continuously active sensory synapse.
Fuchs M, Brandstätter JH, Regus-Leidig H
Frontiers in cellular neuroscience (2014) 8: 60. 192 103 IHC; tested species: rat
In vivo knockdown of Piccolino disrupts presynaptic ribbon morphology in mouse photoreceptor synapses.
Regus-Leidig H, Fuchs M, Löhner M, Leist SR, Leal-Ortiz S, Chiodo VA, Hauswirth WW, Garner CC, Brandstätter JH
Frontiers in cellular neuroscience (2014) 8: 259. 192 103 IHC
Localization of kainate receptors in inner and outer hair cell synapses.
Fujikawa T, Petralia RS, Fitzgerald TS, Wang YX, Millis B, Morgado-Díaz JA, Kitamura K, Kachar B
Hearing research (2014) 314: 20-32. 192 103 IHC; tested species: rat
SLITRK6 mutations cause myopia and deafness in humans and mice.
Tekin M, Chioza BA, Matsumoto Y, Diaz-Horta O, Cross HE, Duman D, Kokotas H, Moore-Barton HL, Sakoori K, Ota M, Odaka YS, et al.
The Journal of clinical investigation (2013) 1235: 2094-102. 192 103 IHC
Identification and immunocytochemical characterization of Piccolino, a novel Piccolo splice variant selectively expressed at sensory ribbon synapses of the eye and ear.
Regus-Leidig H, Ott C, Löhner M, Atorf J, Fuchs M, Sedmak T, Kremers J, Fejtová A, Gundelfinger ED, Brandstätter JH
PloS one (2013) 88: e70373. 192 103 IHC; tested species: rat
Rod photoreceptor ribbon synapses in DBA/2J mice show progressive age-related structural changes.
Fuchs M, Scholz M, Sendelbeck A, Atorf J, Schlegel C, Enz R, Brandstätter JH
PloS one (2012) 79: e44645. 192 103 IHC
Absence of functional active zone protein Bassoon affects assembly and transport of ribbon precursors during early steps of photoreceptor synaptogenesis.
Regus-Leidig H, tom Dieck S, Brandstätter JH
European journal of cell biology (2010) 896: 468-75. 192 103 IHC
Cat. No.: 192 103
Amount: 50 µg
Price: $385.00
Profound Effect of Light on Cysts in X-Linked Retinoschisis.
Hassan S, Stanley ST, Brandauer E, Hsu Y, Rankin TJ, Laird J, Lobeck B, Thompson JM, Bengen MA, Wang K, Drack AV, et al.
Investigative ophthalmology & visual science (2026) 672: 1. 192 103 WB; tested species: mouse
RIBEYE B-Domain Is Essential for RIBEYE A-Domain Stability and Assembly of Synaptic Ribbons.
Shankhwar S, Schwarz K, Katiyar R, Jung M, Maxeiner S, Südhof TC, Schmitz F
Frontiers in molecular neuroscience (2022) 15: 838311. 192 103 WB; tested species: mouse
α2δ-4 is required for the molecular and structural organization of rod and cone photoreceptor synapses.
Kerov V, Laird JG, Joiner ML, Knecht S, Soh D, Hagen J, Gardner SH, Gutierrez W, Yoshimatsu T, Bhattarai S, Puthussery T, et al.
The Journal of neuroscience : the official journal of the Society for Neuroscience (2018) : . 192 103 WB, IHC; tested species: mouse
Differential spatial expression and subcellular localization of CtBP family members in rodent brain.
Hübler D, Rankovic M, Richter K, Lazarevic V, Altrock WD, Fischer KD, Gundelfinger ED, Fejtova A
PloS one (2012) 76: e39710. 192 103 WB; tested species: rat
Establishing synthetic ribbon-type active zones in a heterologous expression system.
Kapoor R, Do TT, Schwenzer N, Petrovic A, Dresbach T, Lehnart SE, Fernández-Busnadiego R, Moser T
eLife (2026) 13: . 192 103 ICC; tested species: human
Dicer is essential for proper maturation, composition, and function in the postnatal retina.
Kang S, Larbi D, Bruns E, Hahne K, Khodadadi-Jamayran A, Sreenivasaiah C, Carneiro ML, Andrade M, Batsuuri K, Chen S, Jager J, et al.
iScience (2025) 2811: 113794. 192 103 IHC; tested species: mouse
Persistence of vestibular function in the absence of glutamatergic transmission from hair cells.
Mukhopadhyay M, Modgekar R, Yang-Hood A, Ohlemiller KK, Militchin V, Xiao M, Shen Z, Rensing NR, Wong M, Lee SJ, Seal RP, et al.
bioRxiv : the preprint server for biology (2025) : . 192 103 IHC; tested species: mouse
P23H rhodopsin accumulation causes transient disruptions to synaptic protein levels in rod photoreceptors in a model of retinitis pigmentosa.
Thompson SL, Crowder SM, Hekmatara M, Sechrest ER, Deng WT, Robichaux MA
Disease models & mechanisms (2025) 186: . 192 103 IHC; tested species: mouse
CaBP1 and 2 enable sustained CaV1.3 calcium currents and synaptic transmission in inner hair cells.
Oestreicher D, Chepurwar S, Kusch K, Rankovic V, Jung S, Strenzke N, Pangrsic T
eLife (2024) 13: . 192 103 IHC; tested species: mouse
Two new mouse alleles of Ocm and Slc26a5.
Lachgar-Ruiz M, Ingham NJ, Martelletti E, Chen J, James E, Panganiban C, Lewis MA, Steel KP
Hearing research (2024) 452: 109109. 192 103 IHC; tested species: mouse
Presynaptic Nrxn3 is essential for ribbon-synapse maturation in hair cells.
Jukic A, Lei Z, Cebul ER, Pinter K, Tadesse Y, Jarysta A, David S, Mosqueda N, Tarchini B, Kindt K
Development (Cambridge, England) (2024) : . 192 103 IHC; tested species: mouse
Ectopic Rod Photoreceptor Development in Mice with Genetic Deficiency of WNT2B.
Blomfield AK, Maurya M, Bora K, Pavlovich MC, Yemanyi F, Huang S, Fu Z, O'Connell AE, Chen J
Cells (2023) 127: . 192 103 IHC; tested species: mouse
Rapid 3D-STORM imaging of diverse molecular targets in tissue.
Albrecht NE, Jiang D, Akhanov V, Hobson R, Speer CM, Robichaux MA, Samuel MA
Cell reports methods (2022) 27: 100253. 192 103 IHC; tested species: human,mouse
Eliminating Synaptic Ribbons from Rods and Cones Halves the Releasable Vesicle Pool and Slows Down Replenishment.
Mesnard CS, Barta CL, Sladek AL, Zenisek D, Thoreson WB
International journal of molecular sciences (2022) 2312: . 192 103 IHC; KO verified; tested species: mouse
Neuroplastin genetically interacts with Cadherin 23 and the encoded isoform Np55 is sufficient for cochlear hair cell function and hearing.
Newton S, Kong F, Carlton AJ, Aguilar C, Parker A, Codner GF, Teboul L, Wells S, Brown SDM, Marcotti W, Bowl MR, et al.
PLoS genetics (2022) 181: e1009937. 192 103 IHC; tested species: mouse
The SNARE protein SNAP-25 is required for normal exocytosis at auditory hair cell ribbon synapses.
Calvet C, Peineau T, Benamer N, Cornille M, Lelli A, Plion B, Lahlou G, Fanchette J, Nouaille S, Boutet de Monvel J, Estivalet A, et al.
iScience (2022) 2512: 105628. 192 103 IHC; tested species: mouse
Volumetric super-resolution imaging by serial ultrasectioning and stochastic optical reconstruction microscopy in mouse neural tissue.
Vatan T, Minehart JA, Zhang C, Agarwal V, Yang J, Speer CM
STAR protocols (2021) 24: 100971. 192 103 IHC; tested species: mouse
The mGluR6 ligand-binding domain, but not the C-terminal domain, is required for synaptic localization in retinal ON-bipolar cells.
Agosto MA, Adeosun AAR, Kumar N, Wensel TG
The Journal of biological chemistry (2021) 2976: 101418. 192 103 IHC; tested species: mouse
Genetic disruption of bassoon in two mutant mouse lines causes divergent retinal phenotypes.
Ryl M, Urbasik A, Gierke K, Babai N, Joachimsthaler A, Feigenspan A, Frischknecht R, Stallwitz N, Fejtová A, Kremers J, von Wittgenstein J, et al.
FASEB journal : official publication of the Federation of American Societies for Experimental Biology (2021) 355: e21520. 192 103 IHC; tested species: mouse
Cell Types of the Human Retina and Its Organoids at Single-Cell Resolution.
Cowan CS, Renner M, De Gennaro M, Gross-Scherf B, Goldblum D, Hou Y, Munz M, Rodrigues TM, Krol J, Szikra T, Cuttat R, et al.
Cell (2020) 1826: 1623-1640.e34. 192 103 IHC; tested species: human
A dual role for Cav1.4 Ca2+ channels in the molecular and structural organization of the rod photoreceptor synapse.
Maddox JW, Randall KL, Yadav RP, Williams B, Hagen J, Derr PJ, Kerov V, Della Santina L, Baker SA, Artemyev N, Hoon M, et al.
eLife (2020) 9: . 192 103 IHC; tested species: mouse
C1q Regulates Horizontal Cell Neurite Confinement in the Outer Retina.
Burger CA, Jiang D, Li F, Samuel MA
Frontiers in neural circuits (2020) 14: 583391. 192 103 IHC; tested species: mouse
Mature Retina Compensates Functionally for Partial Loss of Rod Photoreceptors.
Care RA, Anastassov IA, Kastner DB, Kuo YM, Della Santina L, Dunn FA
Cell reports (2020) 3110: 107730. 192 103 IHC; tested species: mouse
LKB1 coordinates neurite remodeling to drive synapse layer emergence in the outer retina.
Burger CA, Alevy J, Casasent AK, Jiang D, Albrecht NE, Liang JH, Hirano AA, Brecha N, Samuel MA
eLife (2020) 9: . 192 103 IHC; tested species: mouse
Rescue of Rod Synapses by Induction of Cav Alpha 1F in the Mature Cav1.4 Knock-Out Mouse Retina.
Laird JG, Gardner SH, Kopel AJ, Kerov V, Lee A, Baker SA
Investigative ophthalmology & visual science (2019) 608: 3150-3161. 192 103 IHC; tested species: mouse
Clarin-2 is essential for hearing by maintaining stereocilia integrity and function.
Dunbar LA, Patni P, Aguilar C, Mburu P, Corns L, Wells HR, Delmaghani S, Parker A, Johnson S, Williams D, Esapa CT, et al.
EMBO molecular medicine (2019) : e10288. 192 103 IHC; tested species: mouse
Critical Role for Phosphatidylinositol-3 Kinase Vps34/PIK3C3 in ON-Bipolar Cells.
He F, Nichols RM, Kailasam L, Wensel TG, Agosto MA
Investigative ophthalmology & visual science (2019) 608: 2861-2874. 192 103 IHC; tested species: mouse
Restoration of vision after de novo genesis of rod photoreceptors in mammalian retinas.
Yao K, Qiu S, Wang YV, Park SJH, Mohns EJ, Mehta B, Liu X, Chang B, Zenisek D, Crair MC, Demb JB, et al.
Nature (2018) : . 192 103 IHC; tested species: mouse
α2δ-4 is required for the molecular and structural organization of rod and cone photoreceptor synapses.
Kerov V, Laird JG, Joiner ML, Knecht S, Soh D, Hagen J, Gardner SH, Gutierrez W, Yoshimatsu T, Bhattarai S, Puthussery T, et al.
The Journal of neuroscience : the official journal of the Society for Neuroscience (2018) : . 192 103 WB, IHC; tested species: mouse
RBX2 maintains final retinal cell position in a DAB1-dependent and -independent fashion.
Fairchild CL, Hino K, Han JS, Miltner AM, Peinado Allina G, Brown CE, Burns ME, La Torre A, Simó S
Development (Cambridge, England) (2018) 1453: . 192 103 IHC; tested species: mouse
Differential epitope masking reveals synapse-specific complexes of TRPM1.
Agosto MA, Anastassov IA, Wensel TG
Visual neuroscience (2018) 35: E001. 192 103 IHC; tested species: mouse
Synaptogenesis and synaptic protein localization in the postnatal development of rod bipolar cell dendrites in mouse retina.
Anastassov IA, Wang W, Dunn FA
The Journal of comparative neurology (2017) : . 192 103 IHC
Absence of Neuroplastin-65 Affects Synaptogenesis in Mouse Inner Hair Cells and Causes Profound Hearing Loss.
Carrott L, Bowl MR, Aguilar C, Johnson SL, Chessum L, West M, Morse S, Dorning J, Smart E, Hardisty-Hughes R, Ball G, et al.
The Journal of neuroscience : the official journal of the Society for Neuroscience (2016) 361: 222-34. 192 103 IHC; tested species: mouse
Evidence for a Clathrin-independent mode of endocytosis at a continuously active sensory synapse.
Fuchs M, Brandstätter JH, Regus-Leidig H
Frontiers in cellular neuroscience (2014) 8: 60. 192 103 IHC; tested species: rat
In vivo knockdown of Piccolino disrupts presynaptic ribbon morphology in mouse photoreceptor synapses.
Regus-Leidig H, Fuchs M, Löhner M, Leist SR, Leal-Ortiz S, Chiodo VA, Hauswirth WW, Garner CC, Brandstätter JH
Frontiers in cellular neuroscience (2014) 8: 259. 192 103 IHC
Localization of kainate receptors in inner and outer hair cell synapses.
Fujikawa T, Petralia RS, Fitzgerald TS, Wang YX, Millis B, Morgado-Díaz JA, Kitamura K, Kachar B
Hearing research (2014) 314: 20-32. 192 103 IHC; tested species: rat
SLITRK6 mutations cause myopia and deafness in humans and mice.
Tekin M, Chioza BA, Matsumoto Y, Diaz-Horta O, Cross HE, Duman D, Kokotas H, Moore-Barton HL, Sakoori K, Ota M, Odaka YS, et al.
The Journal of clinical investigation (2013) 1235: 2094-102. 192 103 IHC
Identification and immunocytochemical characterization of Piccolino, a novel Piccolo splice variant selectively expressed at sensory ribbon synapses of the eye and ear.
Regus-Leidig H, Ott C, Löhner M, Atorf J, Fuchs M, Sedmak T, Kremers J, Fejtová A, Gundelfinger ED, Brandstätter JH
PloS one (2013) 88: e70373. 192 103 IHC; tested species: rat
Rod photoreceptor ribbon synapses in DBA/2J mice show progressive age-related structural changes.
Fuchs M, Scholz M, Sendelbeck A, Atorf J, Schlegel C, Enz R, Brandstätter JH
PloS one (2012) 79: e44645. 192 103 IHC
Absence of functional active zone protein Bassoon affects assembly and transport of ribbon precursors during early steps of photoreceptor synaptogenesis.
Regus-Leidig H, tom Dieck S, Brandstätter JH
European journal of cell biology (2010) 896: 468-75. 192 103 IHC
Background

The photoreceptor ribbon synapse is a unique type of synapse specialized for the tonic release of neurotransmitter in the dark. Ribeye is a self-aggregating protein and is one of the major scaffolding components of the ribbon on which the neurotransmitter containing vesicles are tethered. The protein consists of a unique A-domain and a B-domain. With the exception of the first 20 amino acids the B-domain is identical to the transcriptional corepressor CtBP 2. Both proteins originate from the same gene.

Certificates

ISO 9001 2015 Quality Management System and Green Lab Platinum certification level for sustaining laboratory processes.

Newsletter

Sign up for our newsletter and get the latest updates and news.
 

Please provide a valid E-Mail-Address
Please provide a valid First name
Please provide a valid Last name