Tailor-made Antibodies
and Tools for Life Science
Home | | | | | Technical Support

MAP2 antibody - 188 011BT

MAP2 is a major microtubule associated protein in neurons
Mouse monoclonal purified IgG
Cat. No.: 188 011BT
Amount: 100 µg
Price: $475.00
Cat. No. 188 011BT 100 µg purified IgG, lyophilized, labeled with Biotin.

Biotin is a small vitamin B complex molecule. Its small size minimizes interference with antibody binding sites and allows for efficient conjugation without compromising antibody functionality.
Biotin conjugated antibodies can be easily detected with Avidin/Streptavidin based secondary detection systems.
The streptavidin-biotin bond is one of the strongest non-covalent biological bonds known.

Albumin and azide were added for stabilization. For reconstitution add 100 µl H2O to get a 1mg/ml solution in PBS. Then aliquot and store at -20°C to -80°C until use.
Antibodies should be stored at +4°C when still lyophilized. Do not freeze!
Applications
 
WB: 1 : 1000 (AP staining)
IP: not tested yet
ICC: 1 : 100 up to 1 : 500 gallery  
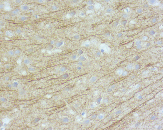
IHC: 1 : 100 up to 1 : 200 gallery  
IHC-P: 1 : 200 gallery  

Western blot (WB); separation of proteins by PAGE and subsequent transfer to a membrane. Detection of target molecules is carried out with antibodies. Some antibodies require special sample preparation steps. For details, please refer to the “Remarks” section.

Immunoprecipitation (IP); Immunoisolation or pulldown of a target molecule using an antibody. For details and product specific hints, please refer to the ”Remarks” section.

Immunocytochemistry (ICC) on 4% PFA fixed cells. Immunoreactivity is usually revealed by fluorescence. Some antibodies require special fixation methods. For details, please refer to the “Remarks” section.

Immunohistochemistry (IHC) on 4% PFA perfusion fixed tissue with 24h PFA post fixation. Immunoreactivity is usually revealed by fluorescence or a chromogenic substrate. Some antibodies require special fixation methods or antigen retrieval steps. For details, please refer to the ”Remarks” section.

Immunohistochemistry (IHC-P) of formalin fixed, paraffin embedded (FFPE) tissue (some antibodies require special antigen retrieval steps, please refer to the ”Remarks” section). Immunoreactivity is usually revealed by fluorescence or a chromogenic substrate.

Label biotin
Clone 198A5
Subtype IgG1 (κ light chain)
Immunogen Recombinant protein corresponding to residues near the amino terminus of human Map2 (UniProt Id: P11137-4)
Epitop AA 82 to 96 from human MAP2-4 hu (UniProt Id: P11137-4)
Reactivity Reacts with: human (P11137), rat (P15146), mouse (P20357).
No signal: zebrafish.
Other species not tested yet.
Specificity Specific for MAP 2; recognizes all four isoforms.
Matching control protein/peptide 188-0P
Data sheet Datasheet 188_011bt

References for MAP2 - 188 011BT

INSIHGT: an accessible multi-scale, multi-modal 3D spatial biology platform.
Yau CN, Hung JTS, Campbell RAA, Wong TCY, Huang B, Wong BTY, Chow NKN, Zhang L, Tsoi EPL, Tan Y, Li JJX, et al.
Nature communications (2024) 151: 10888. 188 011BT IHC; tested species: mouse
Region-specific expression of vesicular glutamate and GABA transporters under various ischaemic conditions in mouse forebrain and retina.
Michalski D, Härtig W, Krügel K, Edwards RH, Böddener M, Böhme L, Pannicke T, Reichenbach A, Grosche A
Neuroscience (2013) 231: 328-44. 188 011BT IHC
Cat. No.: 188 011BT
Amount: 100 µg
Price: $475.00
INSIHGT: an accessible multi-scale, multi-modal 3D spatial biology platform.
Yau CN, Hung JTS, Campbell RAA, Wong TCY, Huang B, Wong BTY, Chow NKN, Zhang L, Tsoi EPL, Tan Y, Li JJX, et al.
Nature communications (2024) 151: 10888. 188 011BT IHC; tested species: mouse
Region-specific expression of vesicular glutamate and GABA transporters under various ischaemic conditions in mouse forebrain and retina.
Michalski D, Härtig W, Krügel K, Edwards RH, Böddener M, Böhme L, Pannicke T, Reichenbach A, Grosche A
Neuroscience (2013) 231: 328-44. 188 011BT IHC
Background

There are two major classes of heat-stable microtubule-associated proteins (MAPs): MAP2 and tau (MAPT). Both bind microtubules and regulate their polymerization and stability—a critical process for maintaining cellular architecture and dynamics (1).


MAP2 exists in four main isoforms—MAP2A, MAP2B, MAP2C, and MAP2D—via alternative splicing. The high molecular weight isoforms MAP2A/B (~250 kDa) and lower molecular weight isoforms MAP2C/D (~70 kDa) all share a conserved microtubule-binding core domain, important for dendritic stabilization and neuritogenesis (2).


Since microtubule dynamics are central to cell division, migration, and morphology, aberrations in MAP2 and tau expression have been implicated in several types of cancer. 


Consequently, MAP2 expression has diagnostic and prognostic relevance in neuro-oncology. MAP2 immunoreactivity helps distinguish glial neoplasms in neuropathology, and its expression tends to vary according to tumor grade (3). While classic low-grade gliomas often show robust MAP2 staining, higher-grade tumors may exhibit less-specific and more heterogeneous patterns. Moreover, in melanoma, reduced MAP2 expression correlates with increased tumor aggressiveness, underscoring its potential role as a tumor suppressive marker (4).

Certificates

ISO 9001 2015 Quality Management System and Green Lab Platinum certification level for sustaining laboratory processes.

Newsletter

Sign up for our newsletter and get the latest updates and news.
 

Please provide a valid E-Mail-Address
Please provide a valid First name
Please provide a valid Last name