Tailor-made Antibodies
and Tools for Life Science
Home | | | | | Technical Support

MAP2 antibody - 188 011

MAP2 is a major microtubule associated protein in neurons
Mouse monoclonal purified IgG
Cat. No.: 188 011
Amount: 100 µg
Price: $425.00
Cat. No. 188 011 100 µg purified IgG, lyophilized. Albumin and azide were added for stabilization. For reconstitution add 100 µl H2O to get a 1mg/ml solution in PBS. Then aliquot and store at -20°C to -80°C until use.
Antibodies should be stored at +4°C when still lyophilized. Do not freeze!
Applications
 
WB: 1 : 1000 (AP staining) (see remarks) gallery  
IP: not tested yet
ICC: 1 : 200 up to 1 : 1000 (see remarks) gallery  
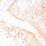
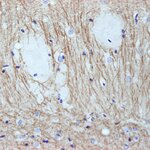
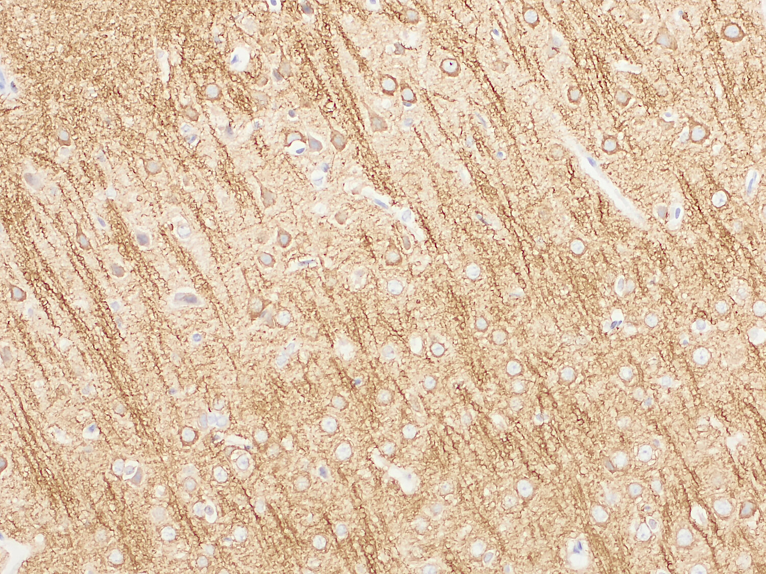
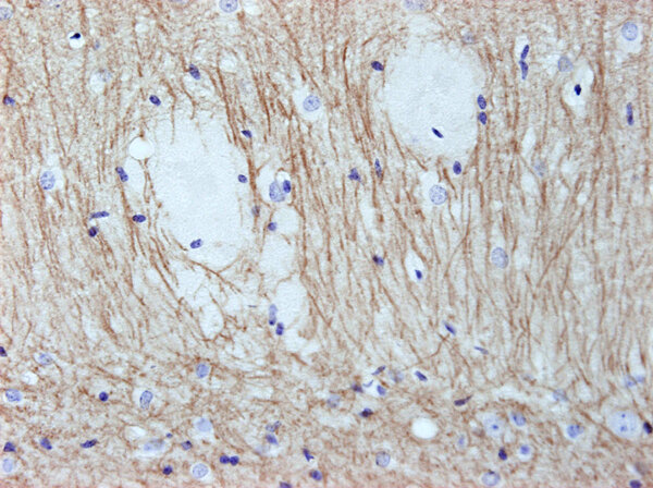
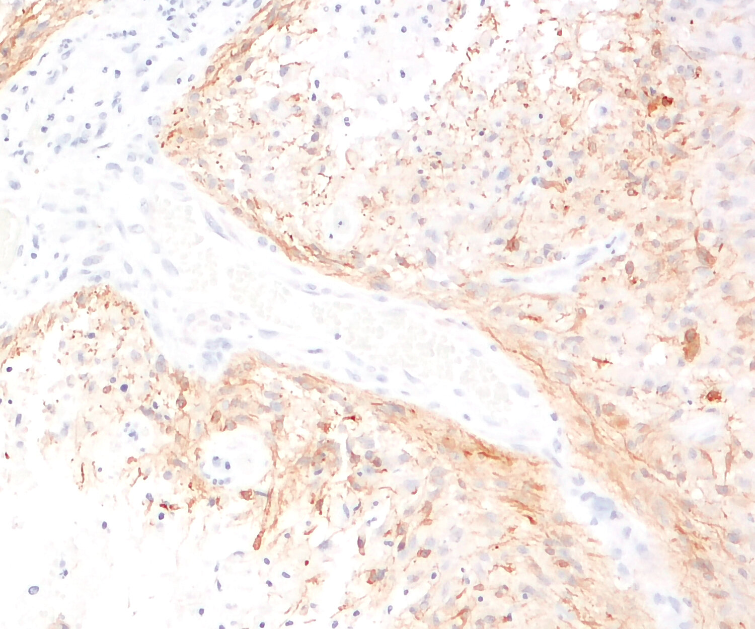
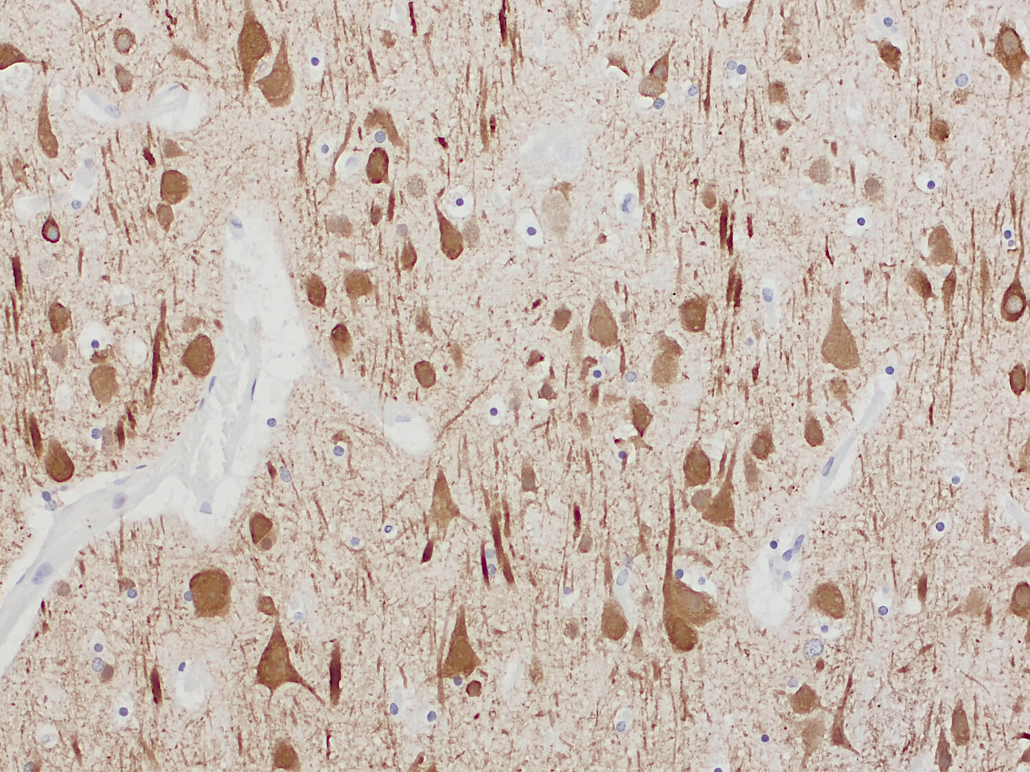
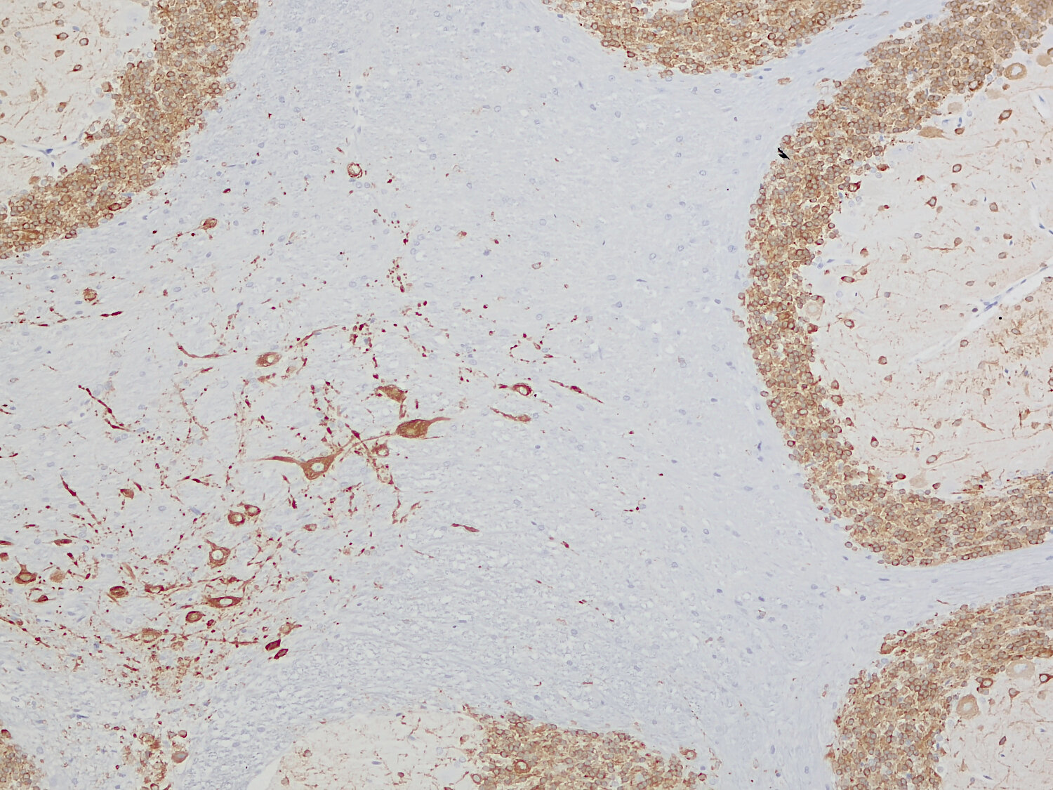
IHC: 1 : 200 up to 1 : 500 gallery  
IHC-P: 1 : 500 up to 1 : 2000 gallery  
IHC-Fr: 1 : 500 (see remarks) gallery  
IHC-G: 1 : 500 (see remarks) gallery  
DNA-PAINT: external data (see remarks)

Western blot (WB); separation of proteins by PAGE and subsequent transfer to a membrane. Detection of target molecules is carried out with antibodies. Some antibodies require special sample preparation steps. For details, please refer to the “Remarks” section.

Immunoprecipitation (IP); Immunoisolation or pulldown of a target molecule using an antibody. For details and product specific hints, please refer to the ”Remarks” section.

Immunocytochemistry (ICC) on 4% PFA fixed cells. Immunoreactivity is usually revealed by fluorescence. Some antibodies require special fixation methods. For details, please refer to the “Remarks” section.

Immunohistochemistry (IHC) on 4% PFA perfusion fixed tissue with 24h PFA post fixation. Immunoreactivity is usually revealed by fluorescence or a chromogenic substrate. Some antibodies require special fixation methods or antigen retrieval steps. For details, please refer to the ”Remarks” section.

Immunohistochemistry (IHC-P) of formalin fixed, paraffin embedded (FFPE) tissue (some antibodies require special antigen retrieval steps, please refer to the ”Remarks” section). Immunoreactivity is usually revealed by fluorescence or a chromogenic substrate.

Immunohistochemistry on fresh frozen (IHC-Fr) cryo-tissue-sections. In contrast to standard PFA perfusion fixed tissues, fresh frozen cryo-tissue-sections can be variably postfixed with alcohols, acetone or PFA. Alcohol or acetone fixation is e.g. of advantage for antigens masked by PFA crosslinking. For recommended postfixation, please refer to the ”Remarks” section. Immunoreactivity is usually revealed by fluorescence or a chromogenic substrate.

Immunohistochemistry on glyoxal fixed (IHC-G) tissue. The tissue is perfused with saline and afterwards immersion fixed with a glyoxal solution. For details of the glyoxal solution, please refer to the remarks section. Immunoreactivity is usually revealed by fluorescence.

In antibody-based DNA-PAINT (Point Accumulation in Nanoscale Topography), a short oligomeric docking strand is coupled to a specific antibody. The transient association of the fluorophore to the antibody is mediated by the pairing of a short fluorescently labeled complementary imager DNA strand. DNA-PAINT allows super-resolution imaging and the imaging of a huge number of antibodies on the same biological sample in a single multiplex experiment. For additional experimental details refer to the Remarks section.

Clone 198A5
Subtype IgG1 (κ light chain)
Immunogen Recombinant protein corresponding to residues near the amino terminus of human Map2 (UniProt Id: P11137-4)
Epitop AA 82 to 96 from human MAP2-4 hu (UniProt Id: P11137-4)
Reactivity Reacts with: human (P11137), rat (P15146), mouse (P20357).
No signal: zebrafish.
Other species not tested yet.
Specificity Specific for MAP2; recognizes all four isoforms.
Matching control protein/peptide 188-0P
Remarks

WB: Due to the large size of this protein, we recommend NuPAGE 3-8% Tris-Acetate gels for SDS-PAGE.
ICC: The following fixatives are possible: 4% formaldehyde/PFA, methanol.
IHC-Fr: Acetone fixation is recommended.
IHC-G: The following fixatives are possible: 3% glyoxal, 9% glyoxal.
DNA-PAINT: This antibody has been successfully applied and published for this method by customers (see application-specific references).

Data sheet Datasheet 188_011

References for MAP2 - 188 011

Neuronal-targeted TFEB rescues dysfunction of the autophagy-lysosomal pathway and alleviates ischemic injury in permanent cerebral ischemia.
Liu Y, Xue X, Zhang H, Che X, Luo J, Wang P, Xu J, Xing Z, Yuan L, Liu Y, Fu X, et al.
Autophagy (2018) : . 188 011 WB; tested species: rat
TRPM2 and CaMKII Signaling Drives Excessive GABAergic Synaptic Inhibition Following Ischemia.
Burch AM, Garcia JD, O'Leary H, Haas A, Orfila JE, Tiemeier E, Chalmers N, Smith KR, Quillinan N, Herson PS
The Journal of neuroscience : the official journal of the Society for Neuroscience (2024) 4419: . 188 011 ICC; tested species: mouse
Functional specificity of liquid-liquid phase separation at the synapse.
Guzikowski NJ, Kavalali ET
Nature communications (2024) 151: 10103. 188 011 ICC; tested species: rat
High-Content Screening of Synaptic Density Modulators in Primary Neuronal Cultures.
Coulon A, Siedlecki-Wullich D, Najdek C, Gelle C, Ayral AM, Demiautte F, Lambert E, Vandeputte A, Brodin P, Mendes T, Lambert JC, et al.
Current protocols (2023) 310: e904. 188 011 ICC; tested species: rat
Aminoprocalcitonin protects against hippocampal neuronal death via preserving oxidative phosphorylation in refractory status epilepticus.
Song C, Zhao J, Hao J, Mi D, Zhang J, Liu Y, Wu S, Gao F, Jiang W
Cell death discovery (2023) 91: 144. 188 011 ICC; tested species: rat
Disruption of mTORC1 rescues neuronal overgrowth and synapse function dysregulated by Pten loss.
Tariq K, Cullen E, Getz SA, Conching AKS, Goyette AR, Prina ML, Wang W, Li M, Weston MC, Luikart BW
Cell reports (2022) 415: 111574. 188 011 ICC; tested species: mouse
Phosphorylation of neuroligin-2 by PKA regulates its cell surface abundance and synaptic stabilization.
Halff EF, Hannan S, Kwanthongdee J, Lesept F, Smart TG, Kittler JT
Science signaling (2022) 15739: eabg2505. 188 011 ICC; tested species: rat
Muskelin regulates actin-dependent synaptic changes and intrinsic brain activity relevant to behavioral and cognitive processes.
Muhia M, YuanXiang P, Sedlacik J, Schwarz JR, Heisler FF, Gromova KV, Thies E, Breiden P, Pechmann Y, Kreutz MR, Kneussel M, et al.
Communications biology (2022) 51: 589. 188 011 ICC; tested species: human
FEZ1 forms complexes with CRMP1 and DCC to regulate axon and dendrite development.
Chua JY, Ng SJ, Yagensky O, Wanker EE, Chua JJE
eNeuro (2021) : . 188 011 ICC; tested species: rat
ZnT1 is a neuronal Zn2+/Ca2+ exchanger.
Gottesman N, Asraf H, Bogdanovic M, Sekler I, Tzounopoulos T, Aizenman E, Hershfinkel M
Cell calcium (2021) 101: 102505. 188 011 ICC; tested species: mouse
ASCL1- and DLX2-induced GABAergic neurons from hiPSC-derived NPCs.
Barretto N, Zhang H, Powell SK, Fernando MB, Zhang S, Flaherty EK, Ho SM, Slesinger PA, Duan J, Brennand KJ
Journal of neuroscience methods (2020) 334: 108548. 188 011 ICC; tested species: human
Genetic inactivation of mTORC1 or mTORC2 in neurons reveals distinct functions in glutamatergic synaptic transmission.
McCabe MP, Cullen ER, Barrows CM, Shore AN, Tooke KI, Laprade KA, Stafford JM, Weston MC
eLife (2020) 9: . 188 011 ICC; tested species: mouse
Pyk2 overexpression in postsynaptic neurons blocks amyloid β1-42-induced synaptotoxicity in microfluidic co-cultures.
Kilinc D, Vreulx AC, Mendes T, Flaig A, Marques-Coelho D, Verschoore M, Demiautte F, Amouyel P,  , Eysert F, Dourlen P, et al.
Brain communications (2020) 22: fcaa139. 188 011 ICC; tested species: rat
Biocompatibility of a Magnetic Tunnel Junction Sensor Array for the Detection of Neuronal Signals in Culture.
Moretti D, DiFrancesco ML, Sharma PP, Dante S, Albisetti E, Monticelli M, Bertacco R, Petti D, Baldelli P, Benfenati F
Frontiers in neuroscience (2018) 12: 909. 188 011 ICC; tested species: rat
Lymphoblast-derived integration-free iPSC line AD-TREM2-1 from a 67year-old Alzheimer's disease patient expressing the TREM2 p.R47H variant.
Martins S, Yigit H, Bohndorf M, Graffmann N, Fiszl AR, Wruck W, Sleegers K, Van Broeckhoven C, Adjaye J
Stem cell research (2018) 29: 60-63. 188 011 ICC; tested species: human
Caldendrin Directly Couples Postsynaptic Calcium Signals to Actin Remodeling in Dendritic Spines.
Mikhaylova M, Bär J, van Bommel B, Schätzle P, YuanXiang P, Raman R, Hradsky J, Konietzny A, Loktionov EY, Reddy PP, Lopez-Rojas J, et al.
Neuron (2018) 975: 1110-1125.e14. 188 011 ICC; tested species: mouse
PTEN Loss Increases the Connectivity of Fast Synaptic Motifs and Functional Connectivity in a Developing Hippocampal Network.
Barrows CM, McCabe MP, Chen H, Swann JW, Weston MC
The Journal of neuroscience : the official journal of the Society for Neuroscience (2017) 3736: 8595-8611. 188 011 ICC; tested species: mouse
BMP7-induced dendritic growth in sympathetic neurons requires p75(NTR) signaling.
Courter LA, Shaffo FC, Ghogha A, Parrish DJ, Lorentz CU, Habecker BA, Lein PJ
Developmental neurobiology (2016) 769: 1003-13. 188 011 ICC
Brain extracellular matrix retains connectivity in neuronal networks.
Bikbaev A, Frischknecht R, Heine M
Scientific reports (2015) 5: 14527. 188 011 ICC
A soluble biocompatible guanidine-containing polyamidoamine as promoter of primary brain cell adhesion and in vitro cell culturing.
Tonna N, Bianco F, Matteoli M, Cagnoli C, Antonucci F, Manfredi A, Mauro N, Ranucci E, Ferruti P
Science and technology of advanced materials (2014) 154: 045007. 188 011 ICC
Structure of excitatory synapses and GABAA receptor localization at inhibitory synapses are regulated by neuroplastin-65.
Herrera-Molina R, Sarto-Jackson I, Montenegro-Venegas C, Heine M, Smalla KH, Seidenbecher CI, Beesley PW, Gundelfinger ED, Montag D
The Journal of biological chemistry (2014) 28913: 8973-88. 188 011 ICC; tested species: mouse
Combinatorial hedgehog and mitogen signaling promotes the in vitro expansion but not retinal differentiation potential of retinal progenitor cells.
Ringuette R, Wang Y, Atkins M, Mears AJ, Yan K, Wallace VA
Investigative ophthalmology & visual science (2014) 551: 43-54. 188 011 ICC; tested species: mouse
Quantitative analysis of synaptic vesicle Rabs uncovers distinct yet overlapping roles for Rab3a and Rab27b in Ca2+-triggered exocytosis.
Pavlos NJ, Grønborg M, Riedel D, Chua JJ, Boyken J, Kloepper TH, Urlaub H, Rizzoli SO, Jahn R
The Journal of neuroscience : the official journal of the Society for Neuroscience (2010) 3040: 13441-53. 188 011 ICC
Activity-dependent localization and dynamics of STIM1 and STIM2 at ER-PM contacts in hippocampal neurons.
Chhikara A, Maciąg F, Sorusch N, Heine M
Cell reports (2025) 4410: 116290. 188 011 IHC; tested species: mouse
The Astrocytic Zinc Transporter ZIP12 Is a Synaptic Protein That Contributes to Synaptic Zinc Levels in the Mouse Auditory Cortex.
Manning A, Mendelson BZ, Bender PTR, Bainer K, Ruby R, Shifflett VR, Dariano DF, Webb BA, Geldenhuys WJ, Anderson CT
The Journal of neuroscience : the official journal of the Society for Neuroscience (2025) 4513: . 188 011 IHC; tested species: mouse
The role of α-tubulin tyrosination in controlling the structure and function of hippocampal neurons.
Hosseini S, van Ham M, Erck C, Korte M, Michaelsen-Preusse K
Frontiers in molecular neuroscience (2022) 15: 931859. 188 011 IHC; tested species: mouse
Targeted proteoform mapping uncovers specific Neurexin-3 variants required for dendritic inhibition.
Hauser D, Behr K, Konno K, Schreiner D, Schmidt A, Watanabe M, Bischofberger J, Scheiffele P
Neuron (2022) 11013: 2094-2109.e10. 188 011 IHC; tested species: mouse
mTORC2 inhibition improves morphological effects of PTEN loss, but does not correct synaptic dysfunction or prevent seizures.
Cullen ER, Tariq K, Shore AN, Luikart BW, Weston MC
The Journal of neuroscience : the official journal of the Society for Neuroscience (2022) : . 188 011 IHC; tested species: mouse
Presence of ethanol-sensitive and ethanol-insensitive glycine receptors in the ventral tegmental area and prefrontal cortex in mice.
Araya A, Gallegos S, Viveros R, San Martin L, Muñoz B, Harvey RJ, Zeilhofer HU, Aguayo LG
British journal of pharmacology (2021) 17823: 4691-4707. 188 011 IHC; tested species: mouse
Re-evaluation of neuronal P2X7 expression using novel mouse models and a P2X7-specific nanobody.
Kaczmarek-Hajek K, Zhang J, Kopp R, Grosche A, Rissiek B, Saul A, Bruzzone S, Engel T, Jooss T, Krautloher A, Schuster S, et al.
eLife (2018) 7: . 188 011 IHC; tested species: mouse
Genetically Induced Retrograde Amnesia of Associative Memories After Neuroplastin Ablation.
Bhattacharya S, Herrera-Molina R, Sabanov V, Ahmed T, Iscru E, Stöber F, Richter K, Fischer KD, Angenstein F, Goldschmidt J, Beesley PW, et al.
Biological psychiatry (2017) 812: 124-135. 188 011 IHC
Up-regulation of neurofilament light chains is associated with diminished immunoreactivities for MAP2 and tau after ischemic stroke in rodents and in a human case.
Härtig W, Krueger M, Hofmann S, Preißler H, Märkel M, Frydrychowicz C, Mueller WC, Bechmann I, Michalski D
Journal of chemical neuroanatomy (2016) 78: 140-148. 188 011 IHC
Human adipose-derived stem cells partially rescue the stroke syndromes by promoting spatial learning and memory in mouse middle cerebral artery occlusion model.
Zhou F, Gao S, Wang L, Sun C, Chen L, Yuan P, Zhao H, Yi Y, Qin Y, Dong Z, Cao L, et al.
Stem cell research & therapy (2015) 6: 92. 188 011 IHC; tested species: mouse
Influenza A Virus (H1N1) Infection Induces Microglial Activation and Temporal Dysbalance in Glutamatergic Synaptic Transmission.
Düsedau HP, Steffen J, Figueiredo CA, Boehme JD, Schultz K, Erck C, Korte M, Faber-Zuschratter H, Smalla KH, Dieterich D, Kröger A, et al.
mBio (2021) 125: e0177621. 188 011 IHC-P; tested species: mouse
Spatial proteomics in neurons at single-protein resolution.
Unterauer EM, Shetab Boushehri S, Jevdokimenko K, Masullo LA, Ganji M, Sograte-Idrissi S, Kowalewski R, Strauss S, Reinhardt SCM, Perovic A, Marr C, et al.
Cell (2024) 1877: 1785-1800.e16. 188 011 DNA-PAINT; tested species: rat
Cat. No.: 188 011
Amount: 100 µg
Price: $425.00
Neuronal-targeted TFEB rescues dysfunction of the autophagy-lysosomal pathway and alleviates ischemic injury in permanent cerebral ischemia.
Liu Y, Xue X, Zhang H, Che X, Luo J, Wang P, Xu J, Xing Z, Yuan L, Liu Y, Fu X, et al.
Autophagy (2018) : . 188 011 WB; tested species: rat
TRPM2 and CaMKII Signaling Drives Excessive GABAergic Synaptic Inhibition Following Ischemia.
Burch AM, Garcia JD, O'Leary H, Haas A, Orfila JE, Tiemeier E, Chalmers N, Smith KR, Quillinan N, Herson PS
The Journal of neuroscience : the official journal of the Society for Neuroscience (2024) 4419: . 188 011 ICC; tested species: mouse
Functional specificity of liquid-liquid phase separation at the synapse.
Guzikowski NJ, Kavalali ET
Nature communications (2024) 151: 10103. 188 011 ICC; tested species: rat
High-Content Screening of Synaptic Density Modulators in Primary Neuronal Cultures.
Coulon A, Siedlecki-Wullich D, Najdek C, Gelle C, Ayral AM, Demiautte F, Lambert E, Vandeputte A, Brodin P, Mendes T, Lambert JC, et al.
Current protocols (2023) 310: e904. 188 011 ICC; tested species: rat
Aminoprocalcitonin protects against hippocampal neuronal death via preserving oxidative phosphorylation in refractory status epilepticus.
Song C, Zhao J, Hao J, Mi D, Zhang J, Liu Y, Wu S, Gao F, Jiang W
Cell death discovery (2023) 91: 144. 188 011 ICC; tested species: rat
Disruption of mTORC1 rescues neuronal overgrowth and synapse function dysregulated by Pten loss.
Tariq K, Cullen E, Getz SA, Conching AKS, Goyette AR, Prina ML, Wang W, Li M, Weston MC, Luikart BW
Cell reports (2022) 415: 111574. 188 011 ICC; tested species: mouse
Phosphorylation of neuroligin-2 by PKA regulates its cell surface abundance and synaptic stabilization.
Halff EF, Hannan S, Kwanthongdee J, Lesept F, Smart TG, Kittler JT
Science signaling (2022) 15739: eabg2505. 188 011 ICC; tested species: rat
Muskelin regulates actin-dependent synaptic changes and intrinsic brain activity relevant to behavioral and cognitive processes.
Muhia M, YuanXiang P, Sedlacik J, Schwarz JR, Heisler FF, Gromova KV, Thies E, Breiden P, Pechmann Y, Kreutz MR, Kneussel M, et al.
Communications biology (2022) 51: 589. 188 011 ICC; tested species: human
FEZ1 forms complexes with CRMP1 and DCC to regulate axon and dendrite development.
Chua JY, Ng SJ, Yagensky O, Wanker EE, Chua JJE
eNeuro (2021) : . 188 011 ICC; tested species: rat
ZnT1 is a neuronal Zn2+/Ca2+ exchanger.
Gottesman N, Asraf H, Bogdanovic M, Sekler I, Tzounopoulos T, Aizenman E, Hershfinkel M
Cell calcium (2021) 101: 102505. 188 011 ICC; tested species: mouse
ASCL1- and DLX2-induced GABAergic neurons from hiPSC-derived NPCs.
Barretto N, Zhang H, Powell SK, Fernando MB, Zhang S, Flaherty EK, Ho SM, Slesinger PA, Duan J, Brennand KJ
Journal of neuroscience methods (2020) 334: 108548. 188 011 ICC; tested species: human
Genetic inactivation of mTORC1 or mTORC2 in neurons reveals distinct functions in glutamatergic synaptic transmission.
McCabe MP, Cullen ER, Barrows CM, Shore AN, Tooke KI, Laprade KA, Stafford JM, Weston MC
eLife (2020) 9: . 188 011 ICC; tested species: mouse
Pyk2 overexpression in postsynaptic neurons blocks amyloid β1-42-induced synaptotoxicity in microfluidic co-cultures.
Kilinc D, Vreulx AC, Mendes T, Flaig A, Marques-Coelho D, Verschoore M, Demiautte F, Amouyel P,  , Eysert F, Dourlen P, et al.
Brain communications (2020) 22: fcaa139. 188 011 ICC; tested species: rat
Biocompatibility of a Magnetic Tunnel Junction Sensor Array for the Detection of Neuronal Signals in Culture.
Moretti D, DiFrancesco ML, Sharma PP, Dante S, Albisetti E, Monticelli M, Bertacco R, Petti D, Baldelli P, Benfenati F
Frontiers in neuroscience (2018) 12: 909. 188 011 ICC; tested species: rat
Lymphoblast-derived integration-free iPSC line AD-TREM2-1 from a 67year-old Alzheimer's disease patient expressing the TREM2 p.R47H variant.
Martins S, Yigit H, Bohndorf M, Graffmann N, Fiszl AR, Wruck W, Sleegers K, Van Broeckhoven C, Adjaye J
Stem cell research (2018) 29: 60-63. 188 011 ICC; tested species: human
Caldendrin Directly Couples Postsynaptic Calcium Signals to Actin Remodeling in Dendritic Spines.
Mikhaylova M, Bär J, van Bommel B, Schätzle P, YuanXiang P, Raman R, Hradsky J, Konietzny A, Loktionov EY, Reddy PP, Lopez-Rojas J, et al.
Neuron (2018) 975: 1110-1125.e14. 188 011 ICC; tested species: mouse
PTEN Loss Increases the Connectivity of Fast Synaptic Motifs and Functional Connectivity in a Developing Hippocampal Network.
Barrows CM, McCabe MP, Chen H, Swann JW, Weston MC
The Journal of neuroscience : the official journal of the Society for Neuroscience (2017) 3736: 8595-8611. 188 011 ICC; tested species: mouse
BMP7-induced dendritic growth in sympathetic neurons requires p75(NTR) signaling.
Courter LA, Shaffo FC, Ghogha A, Parrish DJ, Lorentz CU, Habecker BA, Lein PJ
Developmental neurobiology (2016) 769: 1003-13. 188 011 ICC
Brain extracellular matrix retains connectivity in neuronal networks.
Bikbaev A, Frischknecht R, Heine M
Scientific reports (2015) 5: 14527. 188 011 ICC
A soluble biocompatible guanidine-containing polyamidoamine as promoter of primary brain cell adhesion and in vitro cell culturing.
Tonna N, Bianco F, Matteoli M, Cagnoli C, Antonucci F, Manfredi A, Mauro N, Ranucci E, Ferruti P
Science and technology of advanced materials (2014) 154: 045007. 188 011 ICC
Structure of excitatory synapses and GABAA receptor localization at inhibitory synapses are regulated by neuroplastin-65.
Herrera-Molina R, Sarto-Jackson I, Montenegro-Venegas C, Heine M, Smalla KH, Seidenbecher CI, Beesley PW, Gundelfinger ED, Montag D
The Journal of biological chemistry (2014) 28913: 8973-88. 188 011 ICC; tested species: mouse
Combinatorial hedgehog and mitogen signaling promotes the in vitro expansion but not retinal differentiation potential of retinal progenitor cells.
Ringuette R, Wang Y, Atkins M, Mears AJ, Yan K, Wallace VA
Investigative ophthalmology & visual science (2014) 551: 43-54. 188 011 ICC; tested species: mouse
Quantitative analysis of synaptic vesicle Rabs uncovers distinct yet overlapping roles for Rab3a and Rab27b in Ca2+-triggered exocytosis.
Pavlos NJ, Grønborg M, Riedel D, Chua JJ, Boyken J, Kloepper TH, Urlaub H, Rizzoli SO, Jahn R
The Journal of neuroscience : the official journal of the Society for Neuroscience (2010) 3040: 13441-53. 188 011 ICC
Activity-dependent localization and dynamics of STIM1 and STIM2 at ER-PM contacts in hippocampal neurons.
Chhikara A, Maciąg F, Sorusch N, Heine M
Cell reports (2025) 4410: 116290. 188 011 IHC; tested species: mouse
The Astrocytic Zinc Transporter ZIP12 Is a Synaptic Protein That Contributes to Synaptic Zinc Levels in the Mouse Auditory Cortex.
Manning A, Mendelson BZ, Bender PTR, Bainer K, Ruby R, Shifflett VR, Dariano DF, Webb BA, Geldenhuys WJ, Anderson CT
The Journal of neuroscience : the official journal of the Society for Neuroscience (2025) 4513: . 188 011 IHC; tested species: mouse
The role of α-tubulin tyrosination in controlling the structure and function of hippocampal neurons.
Hosseini S, van Ham M, Erck C, Korte M, Michaelsen-Preusse K
Frontiers in molecular neuroscience (2022) 15: 931859. 188 011 IHC; tested species: mouse
Targeted proteoform mapping uncovers specific Neurexin-3 variants required for dendritic inhibition.
Hauser D, Behr K, Konno K, Schreiner D, Schmidt A, Watanabe M, Bischofberger J, Scheiffele P
Neuron (2022) 11013: 2094-2109.e10. 188 011 IHC; tested species: mouse
mTORC2 inhibition improves morphological effects of PTEN loss, but does not correct synaptic dysfunction or prevent seizures.
Cullen ER, Tariq K, Shore AN, Luikart BW, Weston MC
The Journal of neuroscience : the official journal of the Society for Neuroscience (2022) : . 188 011 IHC; tested species: mouse
Presence of ethanol-sensitive and ethanol-insensitive glycine receptors in the ventral tegmental area and prefrontal cortex in mice.
Araya A, Gallegos S, Viveros R, San Martin L, Muñoz B, Harvey RJ, Zeilhofer HU, Aguayo LG
British journal of pharmacology (2021) 17823: 4691-4707. 188 011 IHC; tested species: mouse
Re-evaluation of neuronal P2X7 expression using novel mouse models and a P2X7-specific nanobody.
Kaczmarek-Hajek K, Zhang J, Kopp R, Grosche A, Rissiek B, Saul A, Bruzzone S, Engel T, Jooss T, Krautloher A, Schuster S, et al.
eLife (2018) 7: . 188 011 IHC; tested species: mouse
Genetically Induced Retrograde Amnesia of Associative Memories After Neuroplastin Ablation.
Bhattacharya S, Herrera-Molina R, Sabanov V, Ahmed T, Iscru E, Stöber F, Richter K, Fischer KD, Angenstein F, Goldschmidt J, Beesley PW, et al.
Biological psychiatry (2017) 812: 124-135. 188 011 IHC
Up-regulation of neurofilament light chains is associated with diminished immunoreactivities for MAP2 and tau after ischemic stroke in rodents and in a human case.
Härtig W, Krueger M, Hofmann S, Preißler H, Märkel M, Frydrychowicz C, Mueller WC, Bechmann I, Michalski D
Journal of chemical neuroanatomy (2016) 78: 140-148. 188 011 IHC
Human adipose-derived stem cells partially rescue the stroke syndromes by promoting spatial learning and memory in mouse middle cerebral artery occlusion model.
Zhou F, Gao S, Wang L, Sun C, Chen L, Yuan P, Zhao H, Yi Y, Qin Y, Dong Z, Cao L, et al.
Stem cell research & therapy (2015) 6: 92. 188 011 IHC; tested species: mouse
Influenza A Virus (H1N1) Infection Induces Microglial Activation and Temporal Dysbalance in Glutamatergic Synaptic Transmission.
Düsedau HP, Steffen J, Figueiredo CA, Boehme JD, Schultz K, Erck C, Korte M, Faber-Zuschratter H, Smalla KH, Dieterich D, Kröger A, et al.
mBio (2021) 125: e0177621. 188 011 IHC-P; tested species: mouse
Spatial proteomics in neurons at single-protein resolution.
Unterauer EM, Shetab Boushehri S, Jevdokimenko K, Masullo LA, Ganji M, Sograte-Idrissi S, Kowalewski R, Strauss S, Reinhardt SCM, Perovic A, Marr C, et al.
Cell (2024) 1877: 1785-1800.e16. 188 011 DNA-PAINT; tested species: rat
Background

There are two major classes of heat-stable microtubule-associated proteins (MAPs): MAP2 and tau (MAPT). Both bind microtubules and regulate their polymerization and stability—a critical process for maintaining cellular architecture and dynamics (1).


MAP2 exists in four main isoforms—MAP2A, MAP2B, MAP2C, and MAP2D—via alternative splicing. The high molecular weight isoforms MAP2A/B (~250 kDa) and lower molecular weight isoforms MAP2C/D (~70 kDa) all share a conserved microtubule-binding core domain, important for dendritic stabilization and neuritogenesis (2).


Since microtubule dynamics are central to cell division, migration, and morphology, aberrations in MAP2 and tau expression have been implicated in several types of cancer. 


Consequently, MAP2 expression has diagnostic and prognostic relevance in neuro-oncology. MAP2 immunoreactivity helps distinguish glial neoplasms in neuropathology, and its expression tends to vary according to tumor grade (3). While classic low-grade gliomas often show robust MAP2 staining, higher-grade tumors may exhibit less-specific and more heterogeneous patterns. Moreover, in melanoma, reduced MAP2 expression correlates with increased tumor aggressiveness, underscoring its potential role as a tumor suppressive marker (4).

Certificates

ISO 9001 2015 Quality Management System and Green Lab Platinum certification level for sustaining laboratory processes.

Newsletter

Sign up for our newsletter and get the latest updates and news.
 

Please provide a valid E-Mail-Address
Please provide a valid First name
Please provide a valid Last name