Tailor-made Antibodies
and Tools for Life Science
Home | | | | | Technical Support

GluA1 (AMPA1) antibody - 182 011 K.O.

GluAs are ionotropic glutamate receptors involved in rapid excitatory neurotransmission
Mouse monoclonal purified IgG
Cat. No.: 182 011
Amount: 100 µg
Price: $435.00
Cat. No. 182 011 100 µg purified IgG, lyophilized. Albumin and azide were added for stabilization. For reconstitution add 100 µl H2O to get a 1mg/ml solution in PBS. Then aliquot and store at -20°C to -80°C until use.
Antibodies should be stored at +4°C when still lyophilized. Do not freeze!
Applications
 
WB: 1 : 500 up to 1 : 1000 (AP staining) (see remarks) gallery  
IP: yes
ICC: 1 : 200 gallery  
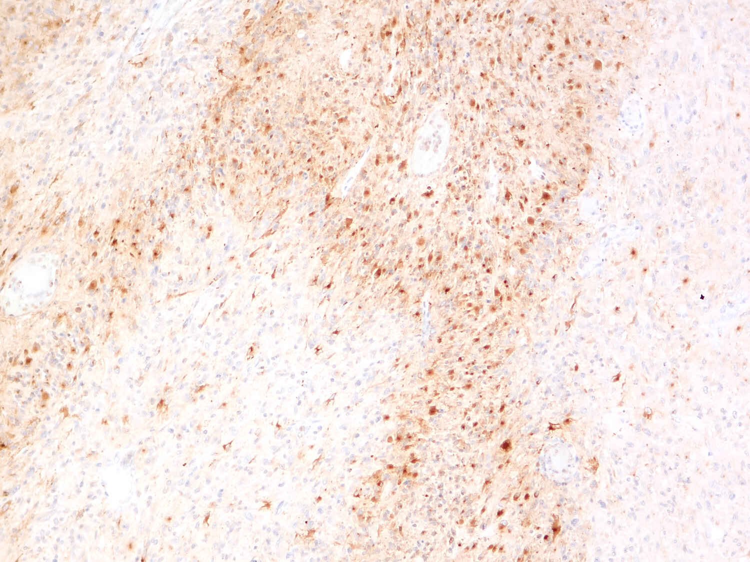
IHC: 1 : 200 gallery  
IHC-P (FFPE): 1 : 200 gallery  
DNA-PAINT: external data (see remarks)

Western blot (WB); separation of proteins by PAGE and subsequent transfer to a membrane. Detection of target molecules is carried out with antibodies. Some antibodies require special sample preparation steps. For details, please refer to the “Remarks” section.

Immunoprecipitation (IP); Immunoisolation or pulldown of a target molecule using an antibody. For details and product specific hints, please refer to the ”Remarks” section.

Immunocytochemistry (ICC) on 4% PFA fixed cells. Immunoreactivity is usually revealed by fluorescence. Some antibodies require special fixation methods. For details, please refer to the “Remarks” section.

Immunohistochemistry (IHC) on 4% PFA perfusion fixed tissue with 24h PFA post fixation. Immunoreactivity is usually revealed by fluorescence or a chromogenic substrate. Some antibodies require special fixation methods or antigen retrieval steps. For details, please refer to the ”Remarks” section.

Immunohistochemistry (IHC-P) of formalin fixed, paraffin embedded (FFPE) tissue (some antibodies require special antigen retrieval steps, please refer to the ”Remarks” section). Immunoreactivity is usually revealed by fluorescence or a chromogenic substrate.

In antibody-based DNA-PAINT (Point Accumulation in Nanoscale Topography), a short oligomeric docking strand is coupled to a specific antibody. The transient association of the fluorophore to the antibody is mediated by the pairing of a short fluorescently labeled complementary imager DNA strand. DNA-PAINT allows super-resolution imaging and the imaging of a huge number of antibodies on the same biological sample in a single multiplex experiment. For additional experimental details refer to the Remarks section.

Clone 160E5
Subtype IgG2b (κ light chain)
Immunogen Synthetic peptide corresponding to C-terminal residues of rat GluA1 (UniProt Id: P19490)
Reactivity Reacts with: human (P42261), rat (P19490), mouse (P23818).
No signal: zebrafish.
Other species not tested yet.
Specificity K.O. validated
Matching control protein/peptide 182-01P
Remarks

WB: This antibody is less sensitive than the rabbit polyclonal antibody (cat. no. 182 003).
DNA-PAINT: This antibody has been successfully applied and published for this method by customers (see application-specific references).

Data sheet Datasheet 182_011

References for GluA1 - 182 011

Human DDIT4L intron retention contributes to cognitive impairment and amyloid plaque formation.
Li KC, Shi HX, Li Z, You P, Pan J, Cai YC, Li JW, Ma XF, Zhang S, Diao L, Cai B, et al.
Cell discovery (2025) 111: 12. 182 011 WB, IHC; tested species: mouse
Neurochemical alterations in the cerebellum of Friedreich's Ataxia mouse models.
Mercado-Ayón E, Talgo E, Flatley L, Coulman J, Lynch DR
Experimental neurology (2025) 386: 115176. 182 011 WB; tested species: mouse
Microglia modulate TNFα-mediated synaptic plasticity.
Kleidonas D, Kirsch M, Andrieux G, Pfeifer D, Boerries M, Vlachos A
Glia (2023) 719: 2117-2136. 182 011 WB, IHC; tested species: mouse
CDKL5 deficiency in adult glutamatergic neurons alters synaptic activity and causes spontaneous seizures via TrkB signaling.
Zhu ZA, Li YY, Xu J, Xue H, Feng X, Zhu YC, Xiong ZQ
Cell reports (2023) 4210: 113202. 182 011 WB; tested species: mouse
PDI augments kainic acid-induced seizure activity and neuronal death by inhibiting PP2A-GluA2-PICK1-mediated AMPA receptor internalization in the mouse hippocampus.
Lee DS, Kim TH, Park H, Kim JE
Scientific reports (2023) 131: 13927. 182 011 WB; tested species: mouse
AMPA Receptor Antagonists Facilitate NEDD4-2-Mediated GRIA1 Ubiquitination by Regulating PP2B-ERK1/2-SGK1 Pathway in Chronic Epilepsy Rats.
Kim JE, Lee DS, Park H, Kim TH, Kang TC
Biomedicines (2021) 98: . 182 011 WB, IP; tested species: rat
ELKS1 Captures Rab6-Marked Vesicular Cargo in Presynaptic Nerve Terminals.
Nyitrai H, Wang SSH, Kaeser PS
Cell reports (2020) 3110: 107712. 182 011 WB; tested species: mouse
Chronic mild corticosterone exposure during adolescence enhances behaviors and upregulates neuroplasticity-related proteins in rat hippocampus.
Li J, Li Y, Sun Y, Wang H, Liu X, Zhao Y, Wang H, Su Y, Si T
Progress in neuro-psychopharmacology & biological psychiatry (2019) 89: 400-411. 182 011 WB; tested species: rat
Kibra Modulates Learning and Memory via Binding to Dendrin.
Ji Z, Li H, Yang Z, Huang X, Ke X, Ma S, Lin Z, Lu Y, Zhang M
Cell reports (2019) 268: 2064-2077.e7. 182 011 WB; tested species: mouse
Hippocampal Memory Recovery After Acute Stress: A Behavioral, Morphological and Molecular Study.
Aguayo FI, Tejos-Bravo M, Díaz-Véliz G, Pacheco A, García-Rojo G, Corrales W, Olave FA, Aliaga E, Ulloa JL, Avalos AM, Román-Albasini L, et al.
Frontiers in molecular neuroscience (2018) 11: 283. 182 011 WB; tested species: rat
Heterogeneity of Cell Surface Glutamate and GABA Receptor Expression in Shank and CNTN4 Autism Mouse Models.
Heise C, Preuss JM, Schroeder JC, Battaglia CR, Kolibius J, Schmid R, Kreutz MR, Kas MJH, Burbach JPH, Boeckers TM
Frontiers in molecular neuroscience (2018) 11: 212. 182 011 WB; tested species: mouse
STIM2 regulates AMPA receptor trafficking and plasticity at hippocampal synapses.
Yap KA, Shetty MS, Garcia-Alvarez G, Lu B, Alagappan D, Oh-Hora M, Sajikumar S, Fivaz M
Neurobiology of learning and memory (2017) 138: 54-61. 182 011 WB
Chronic Stress Triggers Expression of Immediate Early Genes and Differentially Affects the Expression of AMPA and NMDA Subunits in Dorsal and Ventral Hippocampus of Rats.
Pacheco A, Aguayo FI, Aliaga E, Muñoz M, García-Rojo G, Olave FA, Parra-Fiedler NA, García-Pérez A, Tejos-Bravo M, Rojas PS, Parra CS, et al.
Frontiers in molecular neuroscience (2017) 10: 244. 182 011 WB; tested species: rat
Olanzapine Reverses MK-801-Induced Cognitive Deficits and Region-Specific Alterations of NMDA Receptor Subunits.
Liu X, Li J, Guo C, Wang H, Sun Y, Wang H, Su YA, Li K, Si T
Frontiers in behavioral neuroscience (2017) 11: 260. 182 011 WB; tested species: rat
Fusion Competent Synaptic Vesicles Persist upon Active Zone Disruption and Loss of Vesicle Docking.
Wang SSH, Held RG, Wong MY, Liu C, Karakhanyan A, Kaeser PS
Neuron (2016) 914: 777-791. 182 011 WB, ICC
Synaptic function of nicastrin in hippocampal neurons.
Lee SH, Sharma M, Südhof TC, Shen J
Proceedings of the National Academy of Sciences of the United States of America (2014) 11124: 8973-8. 182 011 WB; tested species: mouse
Molecular Characterization of AMPA-Receptor-Containing Vesicles.
Peters JJ, Leitz J, Oses-Prieto JA, Burlingame AL, Brunger AT
Frontiers in molecular neuroscience (2021) 14: 754631. 182 011 IP; tested species: mouse
AMPA Receptor Antagonists Facilitate NEDD4-2-Mediated GRIA1 Ubiquitination by Regulating PP2B-ERK1/2-SGK1 Pathway in Chronic Epilepsy Rats.
Kim JE, Lee DS, Park H, Kim TH, Kang TC
Biomedicines (2021) 98: . 182 011 WB, IP; tested species: rat
EPSILON: a method for pulse-chase labeling to probe synaptic AMPAR exocytosis during memory formation.
Kim D, Park P, Li X, Wong-Campos JD, Tian H, Moult EM, Grimm JB, Lavis LD, Cohen AE
Nature neuroscience (2025) 285: 1099-1107. 182 011 ICC, IHC; tested species: mouse
Abl2 Kinase Differentially Regulates iGluRs Current Activity and Synaptic Localization.
Kabirova M, Reichenstein M, Borovok N, Sheinin A, Gorobets D, Michaelevski I
Cellular and molecular neurobiology (2023) 436: 2785-2799. 182 011 ICC; tested species: rat
Copine-6 is a Ca2+ sensor for activity-induced AMPA receptor exocytosis.
Tan JZA, Jang SE, Batallas-Borja A, Bhembre N, Chandra M, Zhang L, Guo H, Ringuet MT, Widagdo J, Collins BM, Anggono V, et al.
Cell reports (2023) 4212: 113460. 182 011 ICC; tested species: rat
PKC-phosphorylation of Liprin-α3 triggers phase separation and controls presynaptic active zone structure.
Emperador-Melero J, Wong MY, Wang SSH, de Nola G, Nyitrai H, Kirchhausen T, Kaeser PS
Nature communications (2021) 121: 3057. 182 011 ICC; tested species: mouse
Fusion Competent Synaptic Vesicles Persist upon Active Zone Disruption and Loss of Vesicle Docking.
Wang SSH, Held RG, Wong MY, Liu C, Karakhanyan A, Kaeser PS
Neuron (2016) 914: 777-791. 182 011 WB, ICC
Super-Resolution Microscopy Reveals Presynaptic Localization of the ALS/FTD Related Protein FUS in Hippocampal Neurons.
Schoen M, Reichel JM, Demestre M, Putz S, Deshpande D, Proepper C, Liebau S, Schmeisser MJ, Ludolph AC, Michaelis J, Boeckers TM, et al.
Frontiers in cellular neuroscience (2015) 9: 496. 182 011 ICC; tested species: rat
Enhanced recruitment of endosomal Na+/H+ exchanger NHE6 into Dendritic spines of hippocampal pyramidal neurons during NMDA receptor-dependent long-term potentiation.
Deane EC, Ilie AE, Sizdahkhani S, Das Gupta M, Orlowski J, McKinney RA
The Journal of neuroscience : the official journal of the Society for Neuroscience (2013) 332: 595-610. 182 011 ICC
Synapse associated protein 102 (SAP102) binds the C-terminal part of the scaffolding protein neurobeachin.
Lauks J, Klemmer P, Farzana F, Karupothula R, Zalm R, Cooke NE, Li KW, Smit AB, Toonen R, Verhage M
PloS one (2012) 76: e39420. 182 011 ICC
Human DDIT4L intron retention contributes to cognitive impairment and amyloid plaque formation.
Li KC, Shi HX, Li Z, You P, Pan J, Cai YC, Li JW, Ma XF, Zhang S, Diao L, Cai B, et al.
Cell discovery (2025) 111: 12. 182 011 WB, IHC; tested species: mouse
EPSILON: a method for pulse-chase labeling to probe synaptic AMPAR exocytosis during memory formation.
Kim D, Park P, Li X, Wong-Campos JD, Tian H, Moult EM, Grimm JB, Lavis LD, Cohen AE
Nature neuroscience (2025) 285: 1099-1107. 182 011 ICC, IHC; tested species: mouse
SRF-deficient astrocytes provide neuroprotection in mouse models of excitotoxicity and neurodegeneration.
Thumu SCR, Jain M, Soman S, Das S, Verma V, Nandi A, Gutmann DH, Jayaprakash B, Nair D, Clement JP, Marathe S, et al.
eLife (2024) 13: . 182 011 IHC; tested species: mouse
INSIHGT: an accessible multi-scale, multi-modal 3D spatial biology platform.
Yau CN, Hung JTS, Campbell RAA, Wong TCY, Huang B, Wong BTY, Chow NKN, Zhang L, Tsoi EPL, Tan Y, Li JJX, et al.
Nature communications (2024) 151: 10888. 182 011 IHC; tested species: mouse
Maintenance of a central high frequency synapse in the absence of synaptic activity.
Lessle S, Ebbers L, Dörflinger Y, Hoppe S, Kaiser M, Nothwang HG, Körber C
Frontiers in cellular neuroscience (2024) 18: 1404206. 182 011 IHC; tested species: mouse
Microglia modulate TNFα-mediated synaptic plasticity.
Kleidonas D, Kirsch M, Andrieux G, Pfeifer D, Boerries M, Vlachos A
Glia (2023) 719: 2117-2136. 182 011 WB, IHC; tested species: mouse
Loss of miR-183/96 alters synaptic strength via pre- and postsynaptic mechanisms at a central synapse.
Krohs C, Körber C, Ebbers L, Altaf F, Hollje G, Hoppe S, Dörflinger Y, Prosser HM, Nothwang HG
The Journal of neuroscience : the official journal of the Society for Neuroscience (2021) : . 182 011 IHC; tested species: mouse
Spatial proteomics in neurons at single-protein resolution.
Unterauer EM, Shetab Boushehri S, Jevdokimenko K, Masullo LA, Ganji M, Sograte-Idrissi S, Kowalewski R, Strauss S, Reinhardt SCM, Perovic A, Marr C, et al.
Cell (2024) 1877: 1785-1800.e16. 182 011 DNA-PAINT; tested species: rat
Cat. No.: 182 011
Amount: 100 µg
Price: $435.00
Human DDIT4L intron retention contributes to cognitive impairment and amyloid plaque formation.
Li KC, Shi HX, Li Z, You P, Pan J, Cai YC, Li JW, Ma XF, Zhang S, Diao L, Cai B, et al.
Cell discovery (2025) 111: 12. 182 011 WB, IHC; tested species: mouse
Neurochemical alterations in the cerebellum of Friedreich's Ataxia mouse models.
Mercado-Ayón E, Talgo E, Flatley L, Coulman J, Lynch DR
Experimental neurology (2025) 386: 115176. 182 011 WB; tested species: mouse
Microglia modulate TNFα-mediated synaptic plasticity.
Kleidonas D, Kirsch M, Andrieux G, Pfeifer D, Boerries M, Vlachos A
Glia (2023) 719: 2117-2136. 182 011 WB, IHC; tested species: mouse
CDKL5 deficiency in adult glutamatergic neurons alters synaptic activity and causes spontaneous seizures via TrkB signaling.
Zhu ZA, Li YY, Xu J, Xue H, Feng X, Zhu YC, Xiong ZQ
Cell reports (2023) 4210: 113202. 182 011 WB; tested species: mouse
PDI augments kainic acid-induced seizure activity and neuronal death by inhibiting PP2A-GluA2-PICK1-mediated AMPA receptor internalization in the mouse hippocampus.
Lee DS, Kim TH, Park H, Kim JE
Scientific reports (2023) 131: 13927. 182 011 WB; tested species: mouse
AMPA Receptor Antagonists Facilitate NEDD4-2-Mediated GRIA1 Ubiquitination by Regulating PP2B-ERK1/2-SGK1 Pathway in Chronic Epilepsy Rats.
Kim JE, Lee DS, Park H, Kim TH, Kang TC
Biomedicines (2021) 98: . 182 011 WB, IP; tested species: rat
ELKS1 Captures Rab6-Marked Vesicular Cargo in Presynaptic Nerve Terminals.
Nyitrai H, Wang SSH, Kaeser PS
Cell reports (2020) 3110: 107712. 182 011 WB; tested species: mouse
Chronic mild corticosterone exposure during adolescence enhances behaviors and upregulates neuroplasticity-related proteins in rat hippocampus.
Li J, Li Y, Sun Y, Wang H, Liu X, Zhao Y, Wang H, Su Y, Si T
Progress in neuro-psychopharmacology & biological psychiatry (2019) 89: 400-411. 182 011 WB; tested species: rat
Kibra Modulates Learning and Memory via Binding to Dendrin.
Ji Z, Li H, Yang Z, Huang X, Ke X, Ma S, Lin Z, Lu Y, Zhang M
Cell reports (2019) 268: 2064-2077.e7. 182 011 WB; tested species: mouse
Hippocampal Memory Recovery After Acute Stress: A Behavioral, Morphological and Molecular Study.
Aguayo FI, Tejos-Bravo M, Díaz-Véliz G, Pacheco A, García-Rojo G, Corrales W, Olave FA, Aliaga E, Ulloa JL, Avalos AM, Román-Albasini L, et al.
Frontiers in molecular neuroscience (2018) 11: 283. 182 011 WB; tested species: rat
Heterogeneity of Cell Surface Glutamate and GABA Receptor Expression in Shank and CNTN4 Autism Mouse Models.
Heise C, Preuss JM, Schroeder JC, Battaglia CR, Kolibius J, Schmid R, Kreutz MR, Kas MJH, Burbach JPH, Boeckers TM
Frontiers in molecular neuroscience (2018) 11: 212. 182 011 WB; tested species: mouse
STIM2 regulates AMPA receptor trafficking and plasticity at hippocampal synapses.
Yap KA, Shetty MS, Garcia-Alvarez G, Lu B, Alagappan D, Oh-Hora M, Sajikumar S, Fivaz M
Neurobiology of learning and memory (2017) 138: 54-61. 182 011 WB
Chronic Stress Triggers Expression of Immediate Early Genes and Differentially Affects the Expression of AMPA and NMDA Subunits in Dorsal and Ventral Hippocampus of Rats.
Pacheco A, Aguayo FI, Aliaga E, Muñoz M, García-Rojo G, Olave FA, Parra-Fiedler NA, García-Pérez A, Tejos-Bravo M, Rojas PS, Parra CS, et al.
Frontiers in molecular neuroscience (2017) 10: 244. 182 011 WB; tested species: rat
Olanzapine Reverses MK-801-Induced Cognitive Deficits and Region-Specific Alterations of NMDA Receptor Subunits.
Liu X, Li J, Guo C, Wang H, Sun Y, Wang H, Su YA, Li K, Si T
Frontiers in behavioral neuroscience (2017) 11: 260. 182 011 WB; tested species: rat
Fusion Competent Synaptic Vesicles Persist upon Active Zone Disruption and Loss of Vesicle Docking.
Wang SSH, Held RG, Wong MY, Liu C, Karakhanyan A, Kaeser PS
Neuron (2016) 914: 777-791. 182 011 WB, ICC
Synaptic function of nicastrin in hippocampal neurons.
Lee SH, Sharma M, Südhof TC, Shen J
Proceedings of the National Academy of Sciences of the United States of America (2014) 11124: 8973-8. 182 011 WB; tested species: mouse
Molecular Characterization of AMPA-Receptor-Containing Vesicles.
Peters JJ, Leitz J, Oses-Prieto JA, Burlingame AL, Brunger AT
Frontiers in molecular neuroscience (2021) 14: 754631. 182 011 IP; tested species: mouse
AMPA Receptor Antagonists Facilitate NEDD4-2-Mediated GRIA1 Ubiquitination by Regulating PP2B-ERK1/2-SGK1 Pathway in Chronic Epilepsy Rats.
Kim JE, Lee DS, Park H, Kim TH, Kang TC
Biomedicines (2021) 98: . 182 011 WB, IP; tested species: rat
EPSILON: a method for pulse-chase labeling to probe synaptic AMPAR exocytosis during memory formation.
Kim D, Park P, Li X, Wong-Campos JD, Tian H, Moult EM, Grimm JB, Lavis LD, Cohen AE
Nature neuroscience (2025) 285: 1099-1107. 182 011 ICC, IHC; tested species: mouse
Abl2 Kinase Differentially Regulates iGluRs Current Activity and Synaptic Localization.
Kabirova M, Reichenstein M, Borovok N, Sheinin A, Gorobets D, Michaelevski I
Cellular and molecular neurobiology (2023) 436: 2785-2799. 182 011 ICC; tested species: rat
Copine-6 is a Ca2+ sensor for activity-induced AMPA receptor exocytosis.
Tan JZA, Jang SE, Batallas-Borja A, Bhembre N, Chandra M, Zhang L, Guo H, Ringuet MT, Widagdo J, Collins BM, Anggono V, et al.
Cell reports (2023) 4212: 113460. 182 011 ICC; tested species: rat
PKC-phosphorylation of Liprin-α3 triggers phase separation and controls presynaptic active zone structure.
Emperador-Melero J, Wong MY, Wang SSH, de Nola G, Nyitrai H, Kirchhausen T, Kaeser PS
Nature communications (2021) 121: 3057. 182 011 ICC; tested species: mouse
Fusion Competent Synaptic Vesicles Persist upon Active Zone Disruption and Loss of Vesicle Docking.
Wang SSH, Held RG, Wong MY, Liu C, Karakhanyan A, Kaeser PS
Neuron (2016) 914: 777-791. 182 011 WB, ICC
Super-Resolution Microscopy Reveals Presynaptic Localization of the ALS/FTD Related Protein FUS in Hippocampal Neurons.
Schoen M, Reichel JM, Demestre M, Putz S, Deshpande D, Proepper C, Liebau S, Schmeisser MJ, Ludolph AC, Michaelis J, Boeckers TM, et al.
Frontiers in cellular neuroscience (2015) 9: 496. 182 011 ICC; tested species: rat
Enhanced recruitment of endosomal Na+/H+ exchanger NHE6 into Dendritic spines of hippocampal pyramidal neurons during NMDA receptor-dependent long-term potentiation.
Deane EC, Ilie AE, Sizdahkhani S, Das Gupta M, Orlowski J, McKinney RA
The Journal of neuroscience : the official journal of the Society for Neuroscience (2013) 332: 595-610. 182 011 ICC
Synapse associated protein 102 (SAP102) binds the C-terminal part of the scaffolding protein neurobeachin.
Lauks J, Klemmer P, Farzana F, Karupothula R, Zalm R, Cooke NE, Li KW, Smit AB, Toonen R, Verhage M
PloS one (2012) 76: e39420. 182 011 ICC
Human DDIT4L intron retention contributes to cognitive impairment and amyloid plaque formation.
Li KC, Shi HX, Li Z, You P, Pan J, Cai YC, Li JW, Ma XF, Zhang S, Diao L, Cai B, et al.
Cell discovery (2025) 111: 12. 182 011 WB, IHC; tested species: mouse
EPSILON: a method for pulse-chase labeling to probe synaptic AMPAR exocytosis during memory formation.
Kim D, Park P, Li X, Wong-Campos JD, Tian H, Moult EM, Grimm JB, Lavis LD, Cohen AE
Nature neuroscience (2025) 285: 1099-1107. 182 011 ICC, IHC; tested species: mouse
SRF-deficient astrocytes provide neuroprotection in mouse models of excitotoxicity and neurodegeneration.
Thumu SCR, Jain M, Soman S, Das S, Verma V, Nandi A, Gutmann DH, Jayaprakash B, Nair D, Clement JP, Marathe S, et al.
eLife (2024) 13: . 182 011 IHC; tested species: mouse
INSIHGT: an accessible multi-scale, multi-modal 3D spatial biology platform.
Yau CN, Hung JTS, Campbell RAA, Wong TCY, Huang B, Wong BTY, Chow NKN, Zhang L, Tsoi EPL, Tan Y, Li JJX, et al.
Nature communications (2024) 151: 10888. 182 011 IHC; tested species: mouse
Maintenance of a central high frequency synapse in the absence of synaptic activity.
Lessle S, Ebbers L, Dörflinger Y, Hoppe S, Kaiser M, Nothwang HG, Körber C
Frontiers in cellular neuroscience (2024) 18: 1404206. 182 011 IHC; tested species: mouse
Microglia modulate TNFα-mediated synaptic plasticity.
Kleidonas D, Kirsch M, Andrieux G, Pfeifer D, Boerries M, Vlachos A
Glia (2023) 719: 2117-2136. 182 011 WB, IHC; tested species: mouse
Loss of miR-183/96 alters synaptic strength via pre- and postsynaptic mechanisms at a central synapse.
Krohs C, Körber C, Ebbers L, Altaf F, Hollje G, Hoppe S, Dörflinger Y, Prosser HM, Nothwang HG
The Journal of neuroscience : the official journal of the Society for Neuroscience (2021) : . 182 011 IHC; tested species: mouse
Spatial proteomics in neurons at single-protein resolution.
Unterauer EM, Shetab Boushehri S, Jevdokimenko K, Masullo LA, Ganji M, Sograte-Idrissi S, Kowalewski R, Strauss S, Reinhardt SCM, Perovic A, Marr C, et al.
Cell (2024) 1877: 1785-1800.e16. 182 011 DNA-PAINT; tested species: rat
Background

Ionotropic glutamate receptors (iGluRs) mediate rapid excitatory neurotransmission in the mammalian CNS. They can be subdivided into three major groups, the AMPA/GluA, NMDA/GluN and kainate/GluK receptors (KAR). mRNAs coding for glutamate receptors are substrates for an adenosine deaminase acting on RNA (ADAR) that increases the diversity of these proteins.
Glutamate receptors of the AMPA subtype are monovalent cation channels and are composed of the four AMPA subunits GluA1, GluA2, GluA3, and GluA4.

Certificates

ISO 9001 2015 Quality Management System and Green Lab Platinum certification level for sustaining laboratory processes.

Newsletter

Sign up for our newsletter and get the latest updates and news.
 

Please provide a valid E-Mail-Address
Please provide a valid First name
Please provide a valid Last name