Tailor-made Antibodies
and Tools for Life Science
Home | | | | | Technical Support

GluA2 (AMPA2) antibody - 182 008

GluAs are ionotropic glutamate receptors involved in rapid excitatory neurotransmission
Rabbit monoclonal recombinant IgG
Cat. No.: 182 008
Amount: 50 µg
Price: $420.00
Cat. No. 182 008 50 µg purified recombinant IgG, lyophilized. Albumin and azide were added for stabilization. For reconstitution add 50 µl H2O to get a 1mg/ml solution in PBS. Then aliquot and store at -20°C to -80°C until use.
Antibodies should be stored at +4°C when still lyophilized. Do not freeze!
Applications
 
WB: 1 : 1000 up to 1 : 5000 (AP staining) gallery  
IP: not tested yet
ICC: 1 : 500 up to 1 : 1000 gallery  
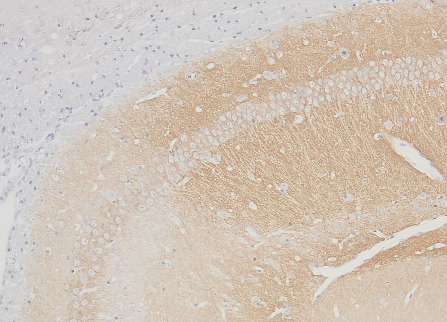
IHC: 1 : 500 gallery  
IHC-P: 1 : 1000 gallery  

Western blot (WB); separation of proteins by PAGE and subsequent transfer to a membrane. Detection of target molecules is carried out with antibodies. Some antibodies require special sample preparation steps. For details, please refer to the “Remarks” section.

Immunoprecipitation (IP); Immunoisolation or pulldown of a target molecule using an antibody. For details and product specific hints, please refer to the ”Remarks” section.

Immunocytochemistry (ICC) on 4% PFA fixed cells. Immunoreactivity is usually revealed by fluorescence. Some antibodies require special fixation methods. For details, please refer to the “Remarks” section.

Immunohistochemistry (IHC) on 4% PFA perfusion fixed tissue with 24h PFA post fixation. Immunoreactivity is usually revealed by fluorescence or a chromogenic substrate. Some antibodies require special fixation methods or antigen retrieval steps. For details, please refer to the ”Remarks” section.

Immunohistochemistry (IHC-P) of formalin fixed, paraffin embedded (FFPE) tissue (some antibodies require special antigen retrieval steps, please refer to the ”Remarks” section). Immunoreactivity is usually revealed by fluorescence or a chromogenic substrate.

Clone Rb4G7
Subtype IgG1 (κ light chain)
Immunogen Recombinant protein corresponding to residues near the carboxy terminus of rat GluA2 (UniProt Id: P19491)
Reactivity Reacts with: mouse (P23819), rat (P19491).
Other species not tested yet.
Matching control protein/peptide 182-1P
Remarks

This antibody is a chimeric antibody based on the monoclonal rat antibody SY-4G7. The constant regions of the heavy and light chains have been replaced with rabbit specific sequences. The antibody can therefore be used with standard anti-rabbit secondary reagents. The antibody has been expressed in mammalian cells.

Data sheet Datasheet 182_008
Cat. No.: 182 008
Amount: 50 µg
Price: $420.00
Background

Ionotropic glutamate receptors (iGluRs) mediate rapid excitatory neurotransmission in the mammalian CNS. They can be subdivided into three major groups, the AMPA/GluA, NMDA/GluN and kainate/GluK receptors (KARs). mRNAs coding for glutamate receptors are substrates for an adenosine deaminase acting on RNA (ADAR) that increases the diversity of these proteins.
Glutamate receptors of the AMPA subtype are monovalent cation channels and are composed of the four AMPA subunits GluA 1, GluA 2, GluA 3, and GluA 4.

 

For more information on protein expression pattern, please refer to the overview image in our SYSY Antibodies ATLAS.

Certificates

ISO 9001 2015 Quality Management System and Green Lab Platinum certification level for sustaining laboratory processes.

Newsletter

Sign up for our newsletter and get the latest updates and news.
 

Please provide a valid E-Mail-Address
Please provide a valid First name
Please provide a valid Last name