Tailor-made Antibodies
and Tools for Life Science
Home | | | | | Technical Support

Neurofilament M antibody - 171 248

Neurofilaments are major neuronal intermediate filaments
Rabbit monoclonal recombinant IgG
Cat. No.: 171 248
Amount: 50 µg
Price: $420.00
Cat. No. 171 248 50 µg purified recombinant IgG, lyophilized. Albumin and azide were added for stabilization. For reconstitution add 50 µl H2O to get a 1mg/ml solution in PBS. Then aliquot and store at -20°C to -80°C until use.
Antibodies should be stored at +4°C when still lyophilized. Do not freeze!
Applications
 
WB: 1 : 1000 (AP staining) gallery  
IP: not tested yet
ICC: 1 : 500 gallery  
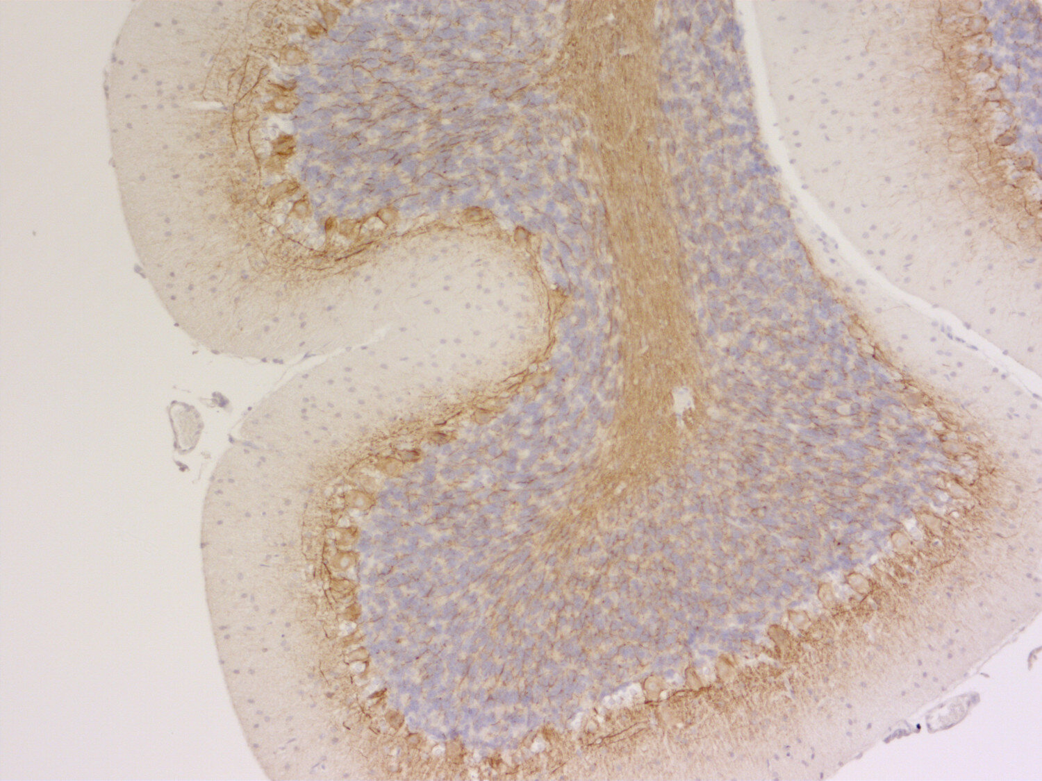
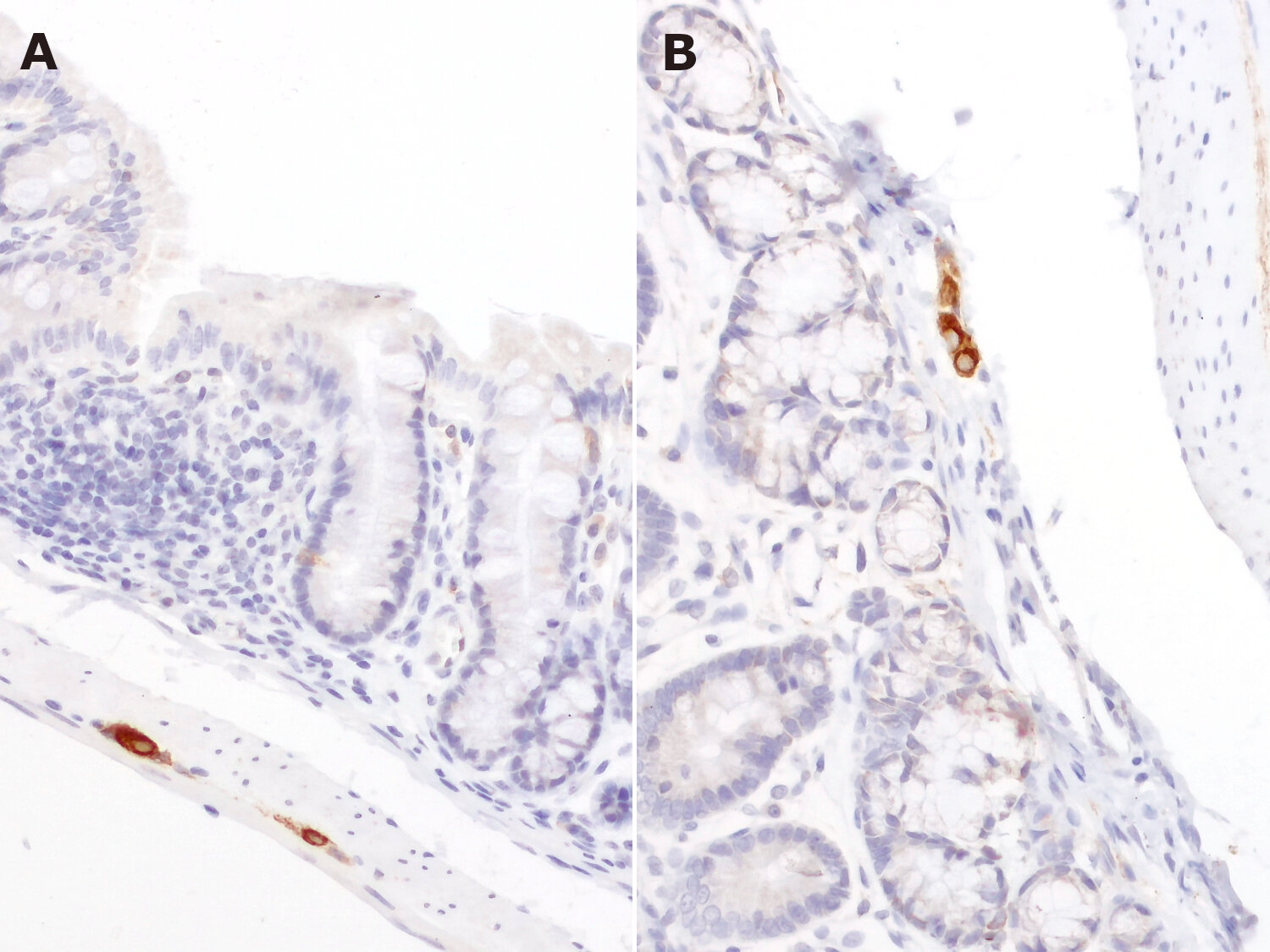
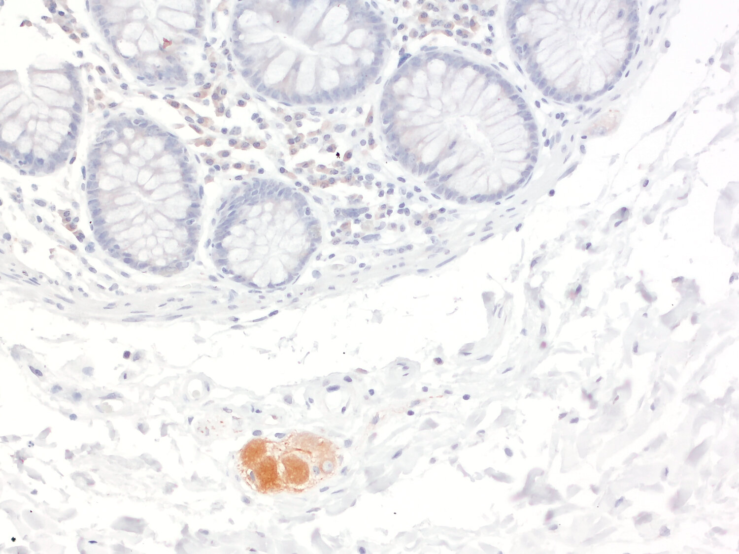
IHC: 1 : 500 gallery  
IHC-P: 1 : 1000 up to 1 : 5000 gallery  

Western blot (WB); separation of proteins by PAGE and subsequent transfer to a membrane. Detection of target molecules is carried out with antibodies. Some antibodies require special sample preparation steps. For details, please refer to the “Remarks” section.

Immunoprecipitation (IP); Immunoisolation or pulldown of a target molecule using an antibody. For details and product specific hints, please refer to the ”Remarks” section.

Immunocytochemistry (ICC) on 4% PFA fixed cells. Immunoreactivity is usually revealed by fluorescence. Some antibodies require special fixation methods. For details, please refer to the “Remarks” section.

Immunohistochemistry (IHC) on 4% PFA perfusion fixed tissue with 24h PFA post fixation. Immunoreactivity is usually revealed by fluorescence or a chromogenic substrate. Some antibodies require special fixation methods or antigen retrieval steps. For details, please refer to the ”Remarks” section.

Immunohistochemistry (IHC-P) of formalin fixed, paraffin embedded (FFPE) tissue (some antibodies require special antigen retrieval steps, please refer to the ”Remarks” section). Immunoreactivity is usually revealed by fluorescence or a chromogenic substrate.

Clone Rb103H5A1
Subtype IgG1 (κ light chain)
Immunogen Recombinant protein corresponding to AA 761 to 846 from rat Neurofilament M (UniProt Id: P12839)
Reactivity Reacts with: mouse (P08553), rat (P12839).
Other species not tested yet.
Remarks

This antibody is a chimeric antibody based on the monoclonal mouse antibody clone 103H5A1. The constant regions of the heavy and light chains have been replaced by rabbit specific sequences. Therefore, the antibody can be used with standard anti-rabbit secondary reagents. The antibody has been expressed in mammalian cells.

Data sheet Datasheet 171_248
Cat. No.: 171 248
Amount: 50 µg
Price: $420.00
Background

Neurofilaments (NFs) are intermediate filaments essential for providing structural support to neurons, particularly within axons. They play a crucial role in maintaining axonal diameter, which directly influences nerve conduction velocity (1). Neurofilaments are composed of three primary subunits - NF-L (light), NF-M (medium) and NF-H (heavy) – along with an NF-associated protein. In the adult central nervous system (CNS), α-internexin serves as the fourth neurofilament subunit, whereas in the peripheral nervous system (PNS), peripherin takes on this role (2).
Beyond their structural function, neurofilaments are also valuable biomarkers in both research and clinical settings. They are widely used in immunohistochemistry to stain and visualize axons, particularly in peripheral nerves and the CNS. Increased levels of neurofilament proteins in cerebrospinal fluid (CSF) or blood are strongly associated with neurodegenerative diseases, such as amyotrophic lateral sclerosis (ALS), multiple sclerosis (MS), and Alzheimer’s disease (3). In peripheral nerve studies, neurofilament staining is often combined with other markers, such as S100, to provide a more comprehensive assessment of nerve structure and pathology (4).

Certificates

ISO 9001 2015 Quality Management System and Green Lab Platinum certification level for sustaining laboratory processes.

Newsletter

Sign up for our newsletter and get the latest updates and news.
 

Please provide a valid E-Mail-Address
Please provide a valid First name
Please provide a valid Last name