|
|
|
|
| Cat. No. 168 013 |
50 µg specific antibody, lyophilized. Affinity purified with the immunogen. Albumin was added for stabilization. For reconstitution add 50 µl H2O to get a 1mg/ml solution in PBS. Then aliquot and store at -20°C to -80°C until use. Antibodies should be stored at +4°C when still lyophilized. Do not freeze! |
| Applications | |
| Immunogen | Recombinant protein corresponding to AA 1 to 221 from rat Rab27A (UniProt Id: P23640) |
| Reactivity |
Reacts with: rat (P23640), mouse (Q9ERI2), human (P51159). Other species not tested yet. |
| Specificity | Specific for rab 27A. No cross reactivity to rab 27B. K.O. validated PubMed: 25951179 |
| Matching control protein/peptide | 168-0P |
| Remarks |
Only the non-conserved C-terminal part of the protein was used for affinity purification to achieve specificity. |
| Data sheet | Datasheet 168_013 |
|
|
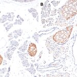
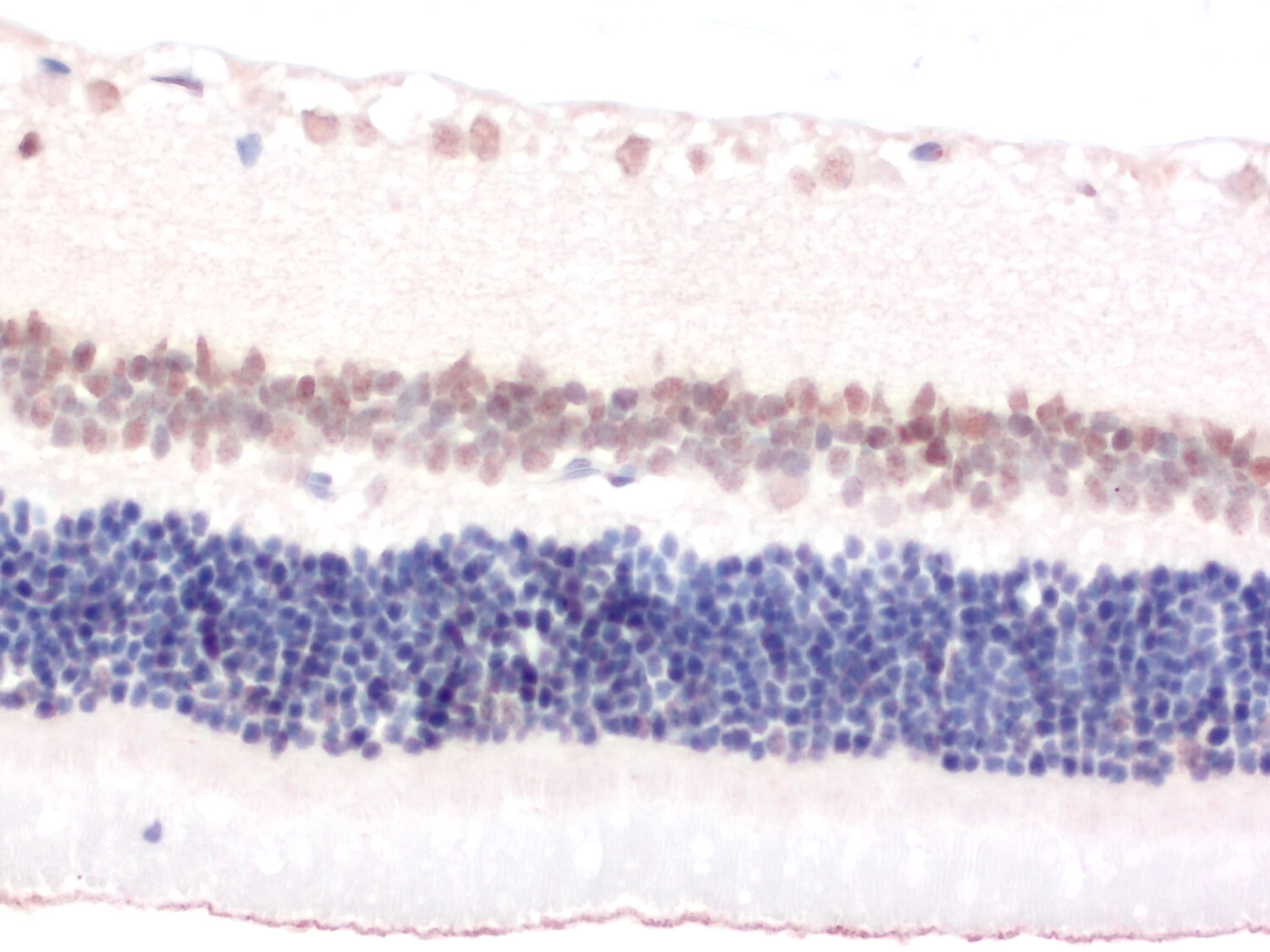
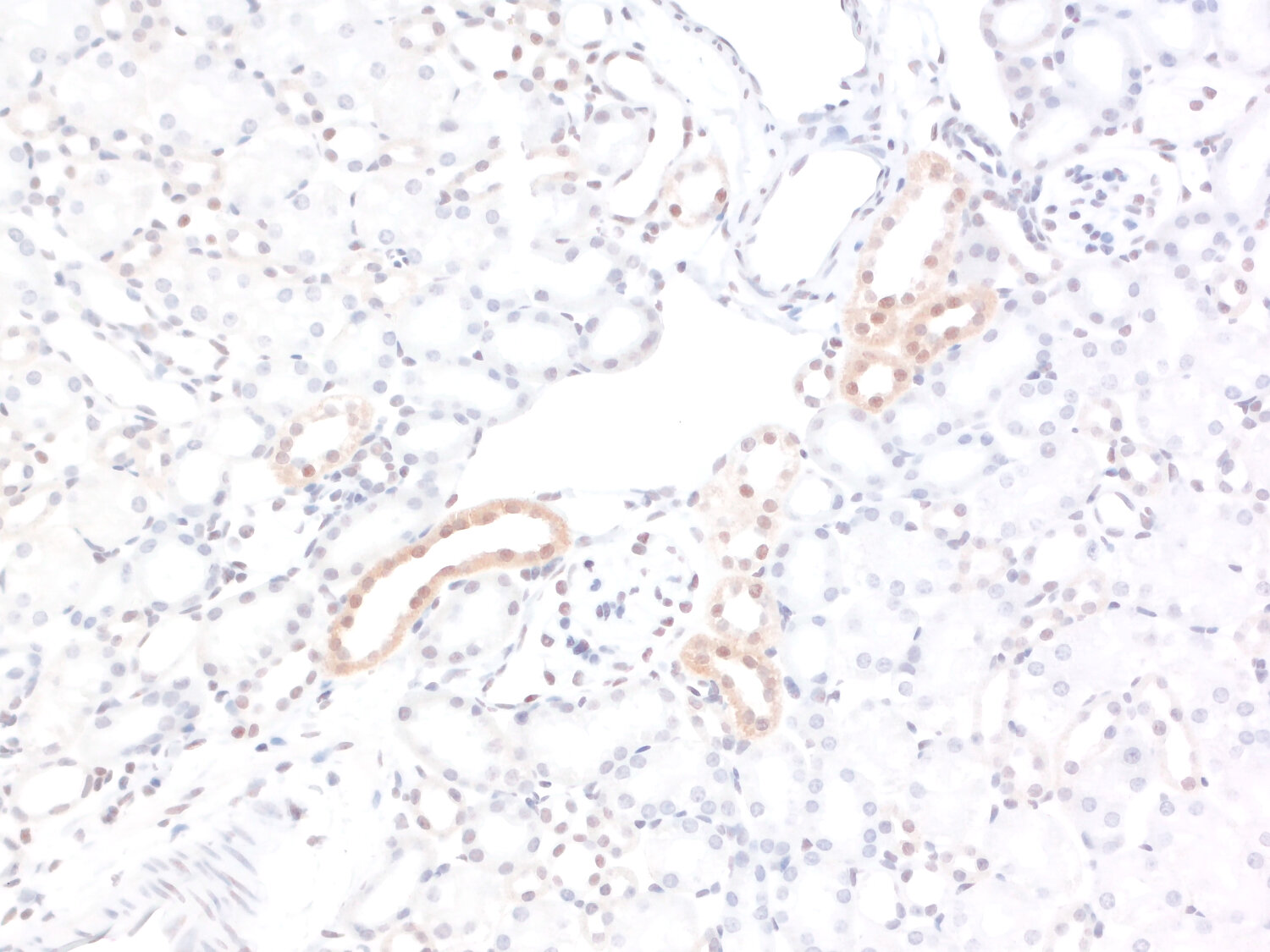
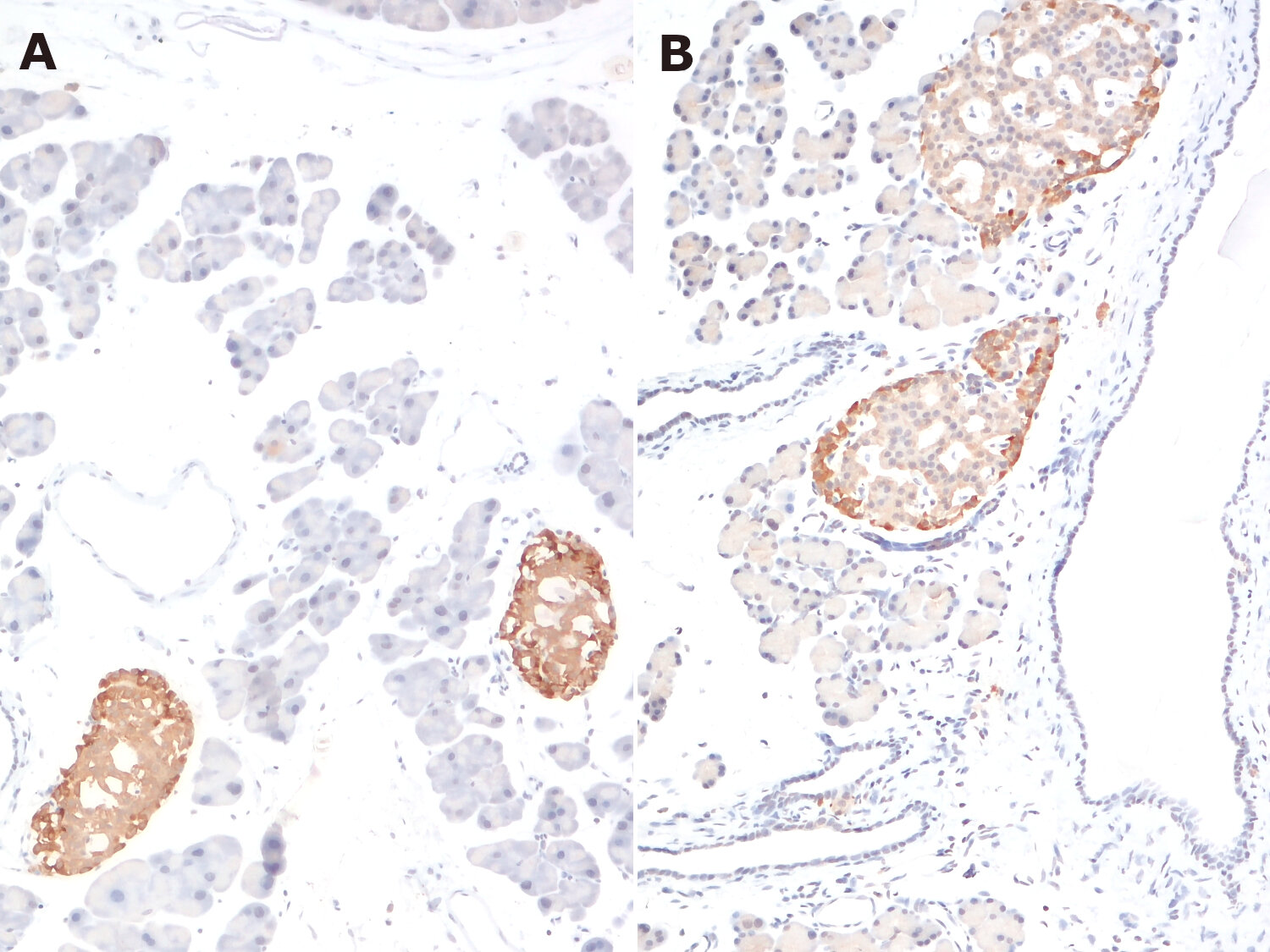
Rab27 proteins are members of the Rab protein family that belongs to the ras-related superfamily of small monomeric GTPases. These proteins play a crucial role in intracellular vesicle trafficking, particularly in the fusion of vesicles or organelles with their target membranes (1, 2). Two Rab27 isoforms, Rab27A and 27B, have been described so far.
Mutations in the RAB27A gene have been shown to be responsible for the Griscelli syndrome characterized by pigment dilution of the hair and an uncontrolled T-lymphocyte and macrophage activation. This disorder is probably caused by a dysfunction of melanosomes in melanocytes and lytic granules in CD8+ cytotoxic T lymphocytes (CTLs) (3). Additionally, Rab27A is located on mature insulin granules of pancreatic β-cells highlighting its role in insulin secretion (4, 5). Moreover, Rab27A is expressed in the retinal pigment epithelium and choriocapillaris, suggesting a functional role in ocular physiology (6). In patients with Griscelli syndrome caused by missense mutations in RAB27A, Rab27B expression is upregulated, partially compensating for the loss of Rab27A function. Rab27B has been found to regulate amylase secretion in parotid acinar cells, further emphasizing its role in exocytosis (7, 8).
Furthermore, a study by (9) revealed that Rab27A plays a critical role in the processing of inflammatory pain in mice and demonstrated that Rab27A is highly expressed in sensory neurons and the superficial dorsal horn of the spinal cord. Further studies have expanded the functional scope of Rab27A, revealing its involvement in renal fibrosis through the regulation of exosome secretion (10).