Tailor-made Antibodies
and Tools for Life Science
Home | | | | | Technical Support

alpha-Internexin antibody - 167 003

alpha-Internexin is a type IV intermediate filament of neurons
Rabbit polyclonal purified antibody
Cat. No.: 167 003
Amount: 50 µg
Price: $460.00
Cat. No. 167 003 50 µg specific antibody, lyophilized. Affinity purified with the immunogen. For reconstitution add 50 µl H2O to get a 1mg/ml solution in PBS. Then aliquot and store at -20°C to -80°C until use.
Antibodies should be stored at +4°C when still lyophilized. Do not freeze!
Applications
 
WB: 1 : 1000 (AP staining) gallery  
IP: not tested yet
ICC: 1 : 500 up to 1 : 1000 (see remarks) gallery  
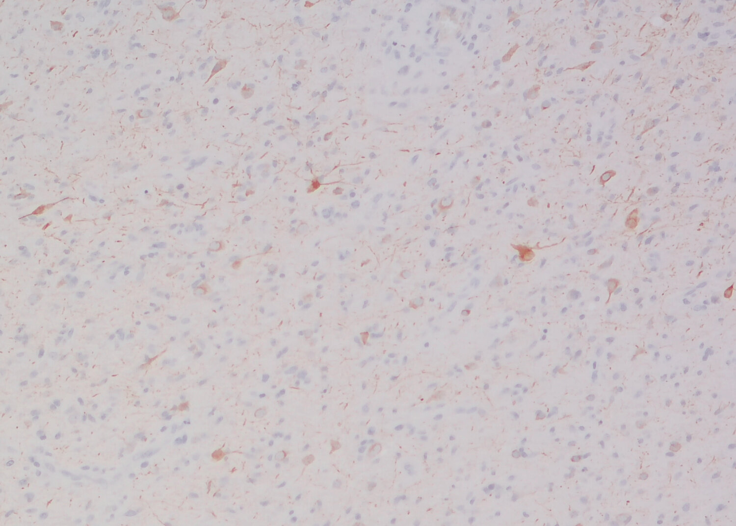
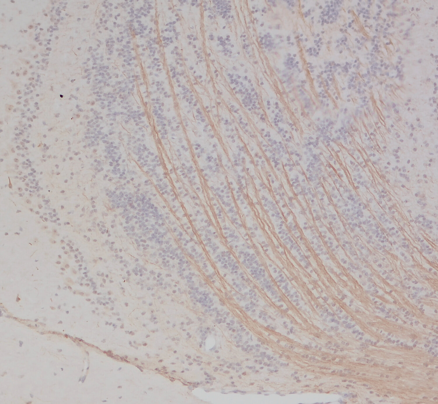
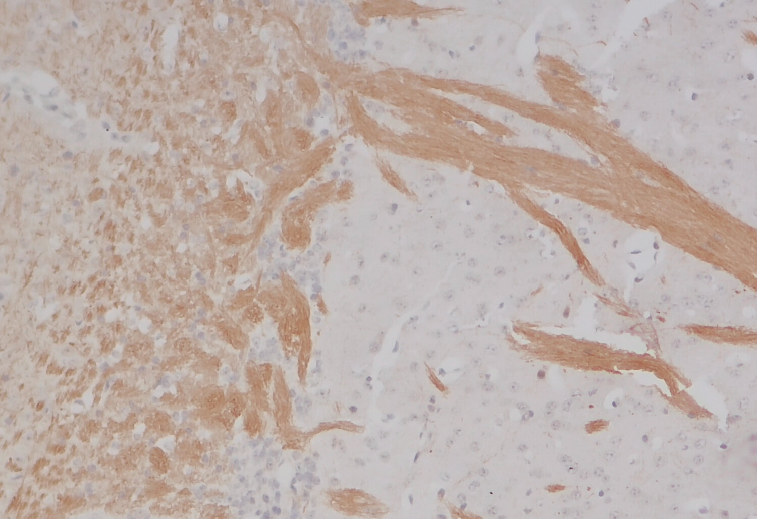
IHC: 1 : 500 (see remarks) gallery  
IHC-P (FFPE): 1 : 200 (see remarks) gallery  
IHC-Fr: 1 : 500 (see remarks) gallery  

Western blot (WB); separation of proteins by PAGE and subsequent transfer to a membrane. Detection of target molecules is carried out with antibodies. Some antibodies require special sample preparation steps. For details, please refer to the “Remarks” section.

Immunoprecipitation (IP); Immunoisolation or pulldown of a target molecule using an antibody. For details and product specific hints, please refer to the ”Remarks” section.

Immunocytochemistry (ICC) on 4% PFA fixed cells. Immunoreactivity is usually revealed by fluorescence. Some antibodies require special fixation methods. For details, please refer to the “Remarks” section.

Immunohistochemistry (IHC) on 4% PFA perfusion fixed tissue with 24h PFA post fixation. Immunoreactivity is usually revealed by fluorescence or a chromogenic substrate. Some antibodies require special fixation methods or antigen retrieval steps. For details, please refer to the ”Remarks” section.

Immunohistochemistry (IHC-P) of formalin fixed, paraffin embedded (FFPE) tissue (some antibodies require special antigen retrieval steps, please refer to the ”Remarks” section). Immunoreactivity is usually revealed by fluorescence or a chromogenic substrate.

Immunohistochemistry on fresh frozen (IHC-Fr) cryo-tissue-sections. In contrast to standard PFA perfusion fixed tissues, fresh frozen cryo-tissue-sections can be variably postfixed with alcohols, acetone or PFA. Alcohol or acetone fixation is e.g. of advantage for antigens masked by PFA crosslinking. For recommended postfixation, please refer to the ”Remarks” section. Immunoreactivity is usually revealed by fluorescence or a chromogenic substrate.

Immunogen Full-length recombinant human α-Internexin (UniProt Id: Q16352)
Reactivity Reacts with: mouse (P46660), rat (P23565), human (Q16352).
Other species not tested yet.
Remarks

ICC: Methanol fixation is recommended.
The following fixatives are not advised: 4% formaldehyde/PFA.
IHC: Antigen retrieval with citrate buffer pH 6 is required.
IHC-P (FFPE): Antigen retrieval with Tris-EDTA buffer pH 9 is recommended for chromogenic detection.
IHC-Fr: Acetone fixation is recommended.

Data sheet Datasheet 167_003
Cat. No.: 167 003
Amount: 50 µg
Price: $460.00

Alpha-Internexin (red) and Neurofilament L (green) staining in a mouse hippocampus section

Background

The cytoskeleton of most eukaryotic cells is composed of three distinct components: Actin-based microfilaments, tubulin based microtubules and intermediate filaments (IFs).
α-Internexin is a neuronal intermediate filament of type four. It is assumed to be expressed by all neurons and preceeds the onset of the expression of the heavy, medium and light variants of neurofilaments which are major components of the neuronal IFs.
Alterations in the phosphorylation state of IFs have been associated with neurodegenerative diseases like Alzheimer, Parkinson, dementia with Lewy bodies (DLB), and motor neuron disease (MND).

Certificates

ISO 9001 2015 Quality Management System and Green Lab Platinum certification level for sustaining laboratory processes.

Newsletter

Sign up for our newsletter and get the latest updates and news.
 

Please provide a valid E-Mail-Address
Please provide a valid First name
Please provide a valid Last name