Tailor-made Antibodies
and Tools for Life Science
Home | | | | | Technical Support

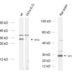
Vti1a antibody - 165 003 K.O.

Vti1a is a SNARE protein involved in the trans-Golgi network trafficking
Rabbit polyclonal purified antibody
Cat. No.: 165 003
Amount: 50 µg
Price: $460.00
Cat. No. 165 003 50 µg specific antibody, lyophilized. Affinity purified with the immunogen. Albumin was added for stabilization. For reconstitution add 50 µl H2O to get a 1mg/ml solution in PBS. Then aliquot and store at -20°C to -80°C until use.
Antibodies should be stored at +4°C when still lyophilized. Do not freeze!
Applications
 
WB: 1 : 1000 (AP staining) gallery  
IP: yes
ICC: 1 : 500 gallery  
IHC: 1 : 500 gallery  
IHC-P: 1 : 500 gallery  

Western blot (WB); separation of proteins by PAGE and subsequent transfer to a membrane. Detection of target molecules is carried out with antibodies. Some antibodies require special sample preparation steps. For details, please refer to the “Remarks” section.

Immunoprecipitation (IP); Immunoisolation or pulldown of a target molecule using an antibody. For details and product specific hints, please refer to the ”Remarks” section.

Immunocytochemistry (ICC) on 4% PFA fixed cells. Immunoreactivity is usually revealed by fluorescence. Some antibodies require special fixation methods. For details, please refer to the “Remarks” section.

Immunohistochemistry (IHC) on 4% PFA perfusion fixed tissue with 24h PFA post fixation. Immunoreactivity is usually revealed by fluorescence or a chromogenic substrate. Some antibodies require special fixation methods or antigen retrieval steps. For details, please refer to the ”Remarks” section.

Immunohistochemistry (IHC-P) of formalin fixed, paraffin embedded (FFPE) tissue (some antibodies require special antigen retrieval steps, please refer to the ”Remarks” section). Immunoreactivity is usually revealed by fluorescence or a chromogenic substrate.

Immunogen Recombinant protein corresponding to AA 2 to 185 from mouse Vti1a (UniProt Id: O89116)
Reactivity Reacts with: rat (Q9JI51), mouse (O89116).
Other species not tested yet.
Specificity K.O. validated
Matching control protein/peptide 165-0P
Data sheet Datasheet 165_003

References for Vti1a - 165 003

α-Synuclein induced cholesterol lowering increases tonic and reduces depolarization-evoked synaptic vesicle recycling and glutamate release.
Lazarevic V, Yang Y, Paslawski W, Svenningsson P
NPJ Parkinson's disease (2022) 81: 71. 165 003 WB, ICC; KD verified; tested species: mouse
A trap mutant reveals the physiological client spectrum of TRC40.
Coy-Vergara J, Rivera-Monroy J, Urlaub H, Lenz C, Schwappach B
Journal of cell science (2019) 13213: . 165 003 WB; tested species: human
α-Synuclein induced cholesterol lowering increases tonic and reduces depolarization-evoked synaptic vesicle recycling and glutamate release.
Lazarevic V, Yang Y, Paslawski W, Svenningsson P
NPJ Parkinson's disease (2022) 81: 71. 165 003 WB, ICC; KD verified; tested species: mouse
Single synapse glutamate imaging reveals multiple levels of release mode regulation in mammalian synapses.
Farsi Z, Walde M, Klementowicz AE, Paraskevopoulou F, Woehler A
iScience (2021) 241: 101909. 165 003 ICC; tested species: rat
Cat. No.: 165 003
Amount: 50 µg
Price: $460.00
α-Synuclein induced cholesterol lowering increases tonic and reduces depolarization-evoked synaptic vesicle recycling and glutamate release.
Lazarevic V, Yang Y, Paslawski W, Svenningsson P
NPJ Parkinson's disease (2022) 81: 71. 165 003 WB, ICC; KD verified; tested species: mouse
A trap mutant reveals the physiological client spectrum of TRC40.
Coy-Vergara J, Rivera-Monroy J, Urlaub H, Lenz C, Schwappach B
Journal of cell science (2019) 13213: . 165 003 WB; tested species: human
α-Synuclein induced cholesterol lowering increases tonic and reduces depolarization-evoked synaptic vesicle recycling and glutamate release.
Lazarevic V, Yang Y, Paslawski W, Svenningsson P
NPJ Parkinson's disease (2022) 81: 71. 165 003 WB, ICC; KD verified; tested species: mouse
Single synapse glutamate imaging reveals multiple levels of release mode regulation in mammalian synapses.
Farsi Z, Walde M, Klementowicz AE, Paraskevopoulou F, Woehler A
iScience (2021) 241: 101909. 165 003 ICC; tested species: rat
Background

Vti1a and Vti1b are mammalian SNARE proteins which have been identified as homologs of the yeast Vtip protein which is part of several SNARE complexes involved in transport.
Vti1a interacts with the cis-Golgi t-SNARE syntaxin 5 and the trans-Golgi network SNAREs syntaxin 6, syntaxin 16 and vamp 4.
Recently a brain-specific splice variant of Vti1a has been described. This Vti1a-β protein is associated with small synaptic vesicles, clathrin coated vesicles and endosomes. It is part of a SNARE complex different from the synaptic exocytotic compex since it does not co-immunoprecipitate with syntaxin 1 or SNAP 25. It is composed of syntaxin 6, syntaxin 16, vamp 4 and Vti1a-β which may play a role in biogenesis and/or recycling of synaptic vesicles. Nevertheless it behaves like a typical SNARE complex and can bind NSF and α/β-SNAP.

Certificates

ISO 9001 2015 Quality Management System and Green Lab Platinum certification level for sustaining laboratory processes.

Newsletter

Sign up for our newsletter and get the latest updates and news.
 

Please provide a valid E-Mail-Address
Please provide a valid First name
Please provide a valid Last name