Tailor-made Antibodies
and Tools for Life Science
Home | | | | | Technical Support

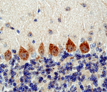
Vti1b antibody - 164 002 K.O.

Vti1b is a SNARE protein involved in endosomal fusion events
Rabbit polyclonal antiserum
Cat. No.: 164 002
Amount: 200 µl
Price: $360.00
Cat. No. 164 002 200 µl antiserum, lyophilized. For reconstitution add 200 µl H2O, then aliquot and store at -20°C until use.
Antibodies should be stored at +4°C when still lyophilized. Do not freeze!
Applications
 
WB: 1 : 1000 (AP staining) gallery  
IP: yes
ICC: 1 : 1000 gallery  
IHC: 1 : 200 gallery  
IHC-P: 1 : 250 gallery  

Western blot (WB); separation of proteins by PAGE and subsequent transfer to a membrane. Detection of target molecules is carried out with antibodies. Some antibodies require special sample preparation steps. For details, please refer to the “Remarks” section.

Immunoprecipitation (IP); Immunoisolation or pulldown of a target molecule using an antibody. For details and product specific hints, please refer to the ”Remarks” section.

Immunocytochemistry (ICC) on 4% PFA fixed cells. Immunoreactivity is usually revealed by fluorescence. Some antibodies require special fixation methods. For details, please refer to the “Remarks” section.

Immunohistochemistry (IHC) on 4% PFA perfusion fixed tissue with 24h PFA post fixation. Immunoreactivity is usually revealed by fluorescence or a chromogenic substrate. Some antibodies require special fixation methods or antigen retrieval steps. For details, please refer to the ”Remarks” section.

Immunohistochemistry (IHC-P) of formalin fixed, paraffin embedded (FFPE) tissue (some antibodies require special antigen retrieval steps, please refer to the ”Remarks” section). Immunoreactivity is usually revealed by fluorescence or a chromogenic substrate.

Immunogen Recombinant protein corresponding to AA 1 to 206 from rat Vti1b (UniProt Id: P58200)
Reactivity Reacts with: human (Q9UEU0), rat (P58200), mouse (O88384).
No signal: zebrafish.
Other species not tested yet.
Specificity K.O. validated PubMed: 30335684
Matching control protein/peptide 164-0P
Data sheet Datasheet 164_002

References for Vti1b - 164 002

The double deficiency of the SNARE proteins vti1a and vti1b affects neurite outgrowth and signaling in N1E-115 neuroblastoma cells.
Kotschnew K, Winkler D, Reckmann J, Mann C, Schweigert A, Tellkamp G, Müller KM, Fischer von Mollard G
European journal of cell biology (2024) 1034: 151461. 164 002 WB; KO verified; tested species: mouse
Lysosomal exocytosis releases pathogenic α-synuclein species from neurons in synucleinopathy models.
Xie YX, Naseri NN, Fels J, Kharel P, Na Y, Lane D, Burré J, Sharma M
Nature communications (2022) 131: 4918. 164 002 WB; tested species: mouse
Dysregulation of the AP2M1 phosphorylation cycle by LRRK2 impairs endocytosis and leads to dopaminergic neurodegeneration.
Liu Q, Bautista-Gomez J, Higgins DA, Yu J, Xiong Y
Science signaling (2021) 14693: . 164 002 WB; tested species: mouse
Interorganelle Tethering to Endocytic Organelles Determines Directional Cytokine Transport in CD4+ T Cells.
Zhou Y, Zhao R, Schwarz EC, Akbar R, Kaba M, Pattu V, Helms V, Rieger H, Nunes-Hasler P, Qu B
Journal of immunology (Baltimore, Md. : 1950) (2020) : . 164 002 WB, ICC; KD verified; tested species: human
SPRED2 deficiency elicits cardiac arrhythmias and premature death via impaired autophagy.
Ullrich M, Aßmus B, Augustin AM, Häbich H, Abeßer M, Martin Machado J, Werner F, Erkens R, Arias-Loza AP, Umbenhauer S, Wagner H, et al.
Journal of molecular and cellular cardiology (2019) 129: 13-26. 164 002 WB; tested species: mouse
A trap mutant reveals the physiological client spectrum of TRC40.
Coy-Vergara J, Rivera-Monroy J, Urlaub H, Lenz C, Schwappach B
Journal of cell science (2019) 13213: . 164 002 WB; tested species: human
Syntaxin 8 regulates platelet dense granule secretion, aggregation, and thrombus stability.
Golebiewska EM, Harper MT, Williams CM, Savage JS, Goggs R, Fischer von Mollard G, Poole AW
The Journal of biological chemistry (2015) 2903: 1536-45. 164 002 WB
Vti1a identifies a vesicle pool that preferentially recycles at rest and maintains spontaneous neurotransmission.
Ramirez DM, Khvotchev M, Trauterman B, Kavalali ET
Neuron (2012) 731: 121-34. 164 002 WB; tested species: rat
Syntaxin 11 binds Vti1b and regulates late endosome to lysosome fusion in macrophages.
Offenhäuser C, Lei N, Roy S, Collins BM, Stow JL, Murray RZ
Traffic (Copenhagen, Denmark) (2011) 126: 762-73. 164 002 WB, IP, ICC
Lysosomal fusion and SNARE function are impaired by cholesterol accumulation in lysosomal storage disorders.
Fraldi A, Annunziata F, Lombardi A, Kaiser HJ, Medina DL, Spampanato C, Fedele AO, Polishchuk R, Sorrentino NC, Simons K, Ballabio A, et al.
The EMBO journal (2010) 2921: 3607-20. 164 002 WB, ICC; tested species: mouse
Syntaxin 11 binds Vti1b and regulates late endosome to lysosome fusion in macrophages.
Offenhäuser C, Lei N, Roy S, Collins BM, Stow JL, Murray RZ
Traffic (Copenhagen, Denmark) (2011) 126: 762-73. 164 002 WB, IP, ICC
Interorganelle Tethering to Endocytic Organelles Determines Directional Cytokine Transport in CD4+ T Cells.
Zhou Y, Zhao R, Schwarz EC, Akbar R, Kaba M, Pattu V, Helms V, Rieger H, Nunes-Hasler P, Qu B
Journal of immunology (Baltimore, Md. : 1950) (2020) : . 164 002 WB, ICC; KD verified; tested species: human
Vti1b promotes TRPV1 sensitization during inflammatory pain.
Sondermann JR, Barry AM, Jahn O, Michel N, Abdelaziz R, Kügler S, Gomez-Varela D, Schmidt M
Pain (2019) 1602: 508-527. 164 002 ICC, IHC; KO,KD verified; tested species: mouse
Oxidized phagosomal NOX2 complex is replenished from lysosomes.
Dingjan I, Linders PT, van den Bekerom L, Baranov MV, Halder P, Ter Beest M, van den Bogaart G
Journal of cell science (2017) 1307: 1285-1298. 164 002 ICC; tested species: human
Docking of lytic granules at the immunological synapse in human CTL requires Vti1b-dependent pairing with CD3 endosomes.
Qu B, Pattu V, Junker C, Schwarz EC, Bhat SS, Kummerow C, Marshall M, Matti U, Neumann F, Pfreundschuh M, Becherer U, et al.
Journal of immunology (Baltimore, Md. : 1950) (2011) 18612: 6894-904. 164 002 ICC
Syntaxin 11 binds Vti1b and regulates late endosome to lysosome fusion in macrophages.
Offenhäuser C, Lei N, Roy S, Collins BM, Stow JL, Murray RZ
Traffic (Copenhagen, Denmark) (2011) 126: 762-73. 164 002 WB, IP, ICC
Lysosomal fusion and SNARE function are impaired by cholesterol accumulation in lysosomal storage disorders.
Fraldi A, Annunziata F, Lombardi A, Kaiser HJ, Medina DL, Spampanato C, Fedele AO, Polishchuk R, Sorrentino NC, Simons K, Ballabio A, et al.
The EMBO journal (2010) 2921: 3607-20. 164 002 WB, ICC; tested species: mouse
Vti1b promotes TRPV1 sensitization during inflammatory pain.
Sondermann JR, Barry AM, Jahn O, Michel N, Abdelaziz R, Kügler S, Gomez-Varela D, Schmidt M
Pain (2019) 1602: 508-527. 164 002 ICC, IHC; KO,KD verified; tested species: mouse
Cat. No.: 164 002
Amount: 200 µl
Price: $360.00
The double deficiency of the SNARE proteins vti1a and vti1b affects neurite outgrowth and signaling in N1E-115 neuroblastoma cells.
Kotschnew K, Winkler D, Reckmann J, Mann C, Schweigert A, Tellkamp G, Müller KM, Fischer von Mollard G
European journal of cell biology (2024) 1034: 151461. 164 002 WB; KO verified; tested species: mouse
Lysosomal exocytosis releases pathogenic α-synuclein species from neurons in synucleinopathy models.
Xie YX, Naseri NN, Fels J, Kharel P, Na Y, Lane D, Burré J, Sharma M
Nature communications (2022) 131: 4918. 164 002 WB; tested species: mouse
Dysregulation of the AP2M1 phosphorylation cycle by LRRK2 impairs endocytosis and leads to dopaminergic neurodegeneration.
Liu Q, Bautista-Gomez J, Higgins DA, Yu J, Xiong Y
Science signaling (2021) 14693: . 164 002 WB; tested species: mouse
Interorganelle Tethering to Endocytic Organelles Determines Directional Cytokine Transport in CD4+ T Cells.
Zhou Y, Zhao R, Schwarz EC, Akbar R, Kaba M, Pattu V, Helms V, Rieger H, Nunes-Hasler P, Qu B
Journal of immunology (Baltimore, Md. : 1950) (2020) : . 164 002 WB, ICC; KD verified; tested species: human
SPRED2 deficiency elicits cardiac arrhythmias and premature death via impaired autophagy.
Ullrich M, Aßmus B, Augustin AM, Häbich H, Abeßer M, Martin Machado J, Werner F, Erkens R, Arias-Loza AP, Umbenhauer S, Wagner H, et al.
Journal of molecular and cellular cardiology (2019) 129: 13-26. 164 002 WB; tested species: mouse
A trap mutant reveals the physiological client spectrum of TRC40.
Coy-Vergara J, Rivera-Monroy J, Urlaub H, Lenz C, Schwappach B
Journal of cell science (2019) 13213: . 164 002 WB; tested species: human
Syntaxin 8 regulates platelet dense granule secretion, aggregation, and thrombus stability.
Golebiewska EM, Harper MT, Williams CM, Savage JS, Goggs R, Fischer von Mollard G, Poole AW
The Journal of biological chemistry (2015) 2903: 1536-45. 164 002 WB
Vti1a identifies a vesicle pool that preferentially recycles at rest and maintains spontaneous neurotransmission.
Ramirez DM, Khvotchev M, Trauterman B, Kavalali ET
Neuron (2012) 731: 121-34. 164 002 WB; tested species: rat
Syntaxin 11 binds Vti1b and regulates late endosome to lysosome fusion in macrophages.
Offenhäuser C, Lei N, Roy S, Collins BM, Stow JL, Murray RZ
Traffic (Copenhagen, Denmark) (2011) 126: 762-73. 164 002 WB, IP, ICC
Lysosomal fusion and SNARE function are impaired by cholesterol accumulation in lysosomal storage disorders.
Fraldi A, Annunziata F, Lombardi A, Kaiser HJ, Medina DL, Spampanato C, Fedele AO, Polishchuk R, Sorrentino NC, Simons K, Ballabio A, et al.
The EMBO journal (2010) 2921: 3607-20. 164 002 WB, ICC; tested species: mouse
Syntaxin 11 binds Vti1b and regulates late endosome to lysosome fusion in macrophages.
Offenhäuser C, Lei N, Roy S, Collins BM, Stow JL, Murray RZ
Traffic (Copenhagen, Denmark) (2011) 126: 762-73. 164 002 WB, IP, ICC
Interorganelle Tethering to Endocytic Organelles Determines Directional Cytokine Transport in CD4+ T Cells.
Zhou Y, Zhao R, Schwarz EC, Akbar R, Kaba M, Pattu V, Helms V, Rieger H, Nunes-Hasler P, Qu B
Journal of immunology (Baltimore, Md. : 1950) (2020) : . 164 002 WB, ICC; KD verified; tested species: human
Vti1b promotes TRPV1 sensitization during inflammatory pain.
Sondermann JR, Barry AM, Jahn O, Michel N, Abdelaziz R, Kügler S, Gomez-Varela D, Schmidt M
Pain (2019) 1602: 508-527. 164 002 ICC, IHC; KO,KD verified; tested species: mouse
Oxidized phagosomal NOX2 complex is replenished from lysosomes.
Dingjan I, Linders PT, van den Bekerom L, Baranov MV, Halder P, Ter Beest M, van den Bogaart G
Journal of cell science (2017) 1307: 1285-1298. 164 002 ICC; tested species: human
Docking of lytic granules at the immunological synapse in human CTL requires Vti1b-dependent pairing with CD3 endosomes.
Qu B, Pattu V, Junker C, Schwarz EC, Bhat SS, Kummerow C, Marshall M, Matti U, Neumann F, Pfreundschuh M, Becherer U, et al.
Journal of immunology (Baltimore, Md. : 1950) (2011) 18612: 6894-904. 164 002 ICC
Syntaxin 11 binds Vti1b and regulates late endosome to lysosome fusion in macrophages.
Offenhäuser C, Lei N, Roy S, Collins BM, Stow JL, Murray RZ
Traffic (Copenhagen, Denmark) (2011) 126: 762-73. 164 002 WB, IP, ICC
Lysosomal fusion and SNARE function are impaired by cholesterol accumulation in lysosomal storage disorders.
Fraldi A, Annunziata F, Lombardi A, Kaiser HJ, Medina DL, Spampanato C, Fedele AO, Polishchuk R, Sorrentino NC, Simons K, Ballabio A, et al.
The EMBO journal (2010) 2921: 3607-20. 164 002 WB, ICC; tested species: mouse
Vti1b promotes TRPV1 sensitization during inflammatory pain.
Sondermann JR, Barry AM, Jahn O, Michel N, Abdelaziz R, Kügler S, Gomez-Varela D, Schmidt M
Pain (2019) 1602: 508-527. 164 002 ICC, IHC; KO,KD verified; tested species: mouse
Background

Vti1b is a member of the SNARE family of proteins. It predominantly localizes to endosomal membranes, vesicles and tubules of the TGN. Vti1b is involved in the fusion of late endosomes and forms complexes with endobrevin, syntaxin 7 and syntaxin 8.

Certificates

ISO 9001 2015 Quality Management System and Green Lab Platinum certification level for sustaining laboratory processes.

Newsletter

Sign up for our newsletter and get the latest updates and news.
 

Please provide a valid E-Mail-Address
Please provide a valid First name
Please provide a valid Last name