Tailor-made Antibodies
and Tools for Life Science
Home | | | | | Technical Support

Synaptopodin antibody - 163 011 K.O.

Synaptopodin is an actin associated protein present in renal podocytes and telencephalic dendrites
Mouse monoclonal purified IgG
Cat. No.: 163 011
Amount: 100 µg
Price: $420.00
Cat. No. 163 011 100 µg purified IgG, lyophilized. Albumin and azide were added for stabilization. For reconstitution add 100 µl H2O to get a 1mg/ml solution in PBS. Then aliquot and store at -20°C to -80°C until use.
Antibodies should be stored at +4°C when still lyophilized. Do not freeze!
Applications
 
WB: 1 : 1000 (AP staining) gallery  
IP: not tested yet
ICC: 1 : 500 gallery  
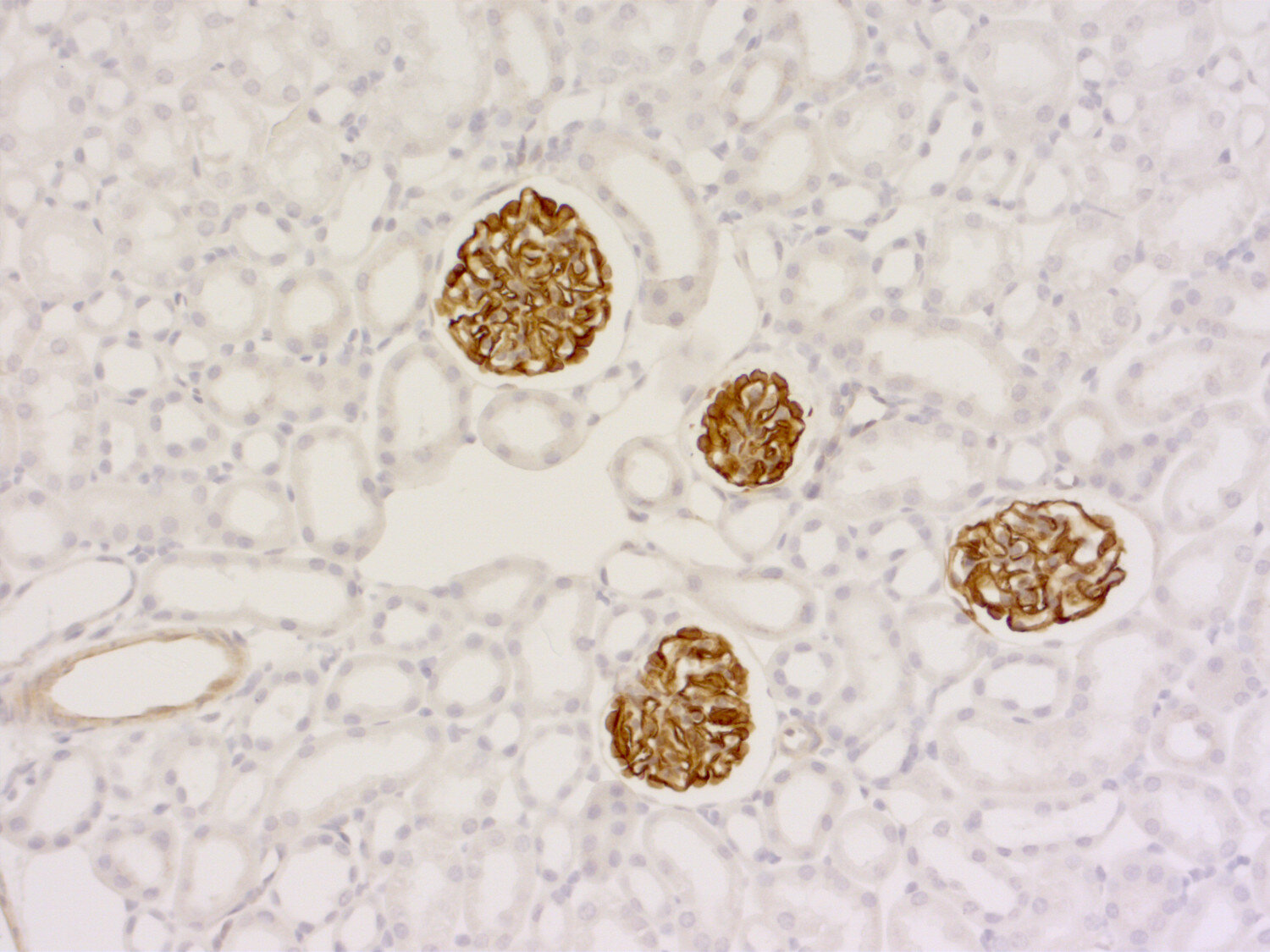
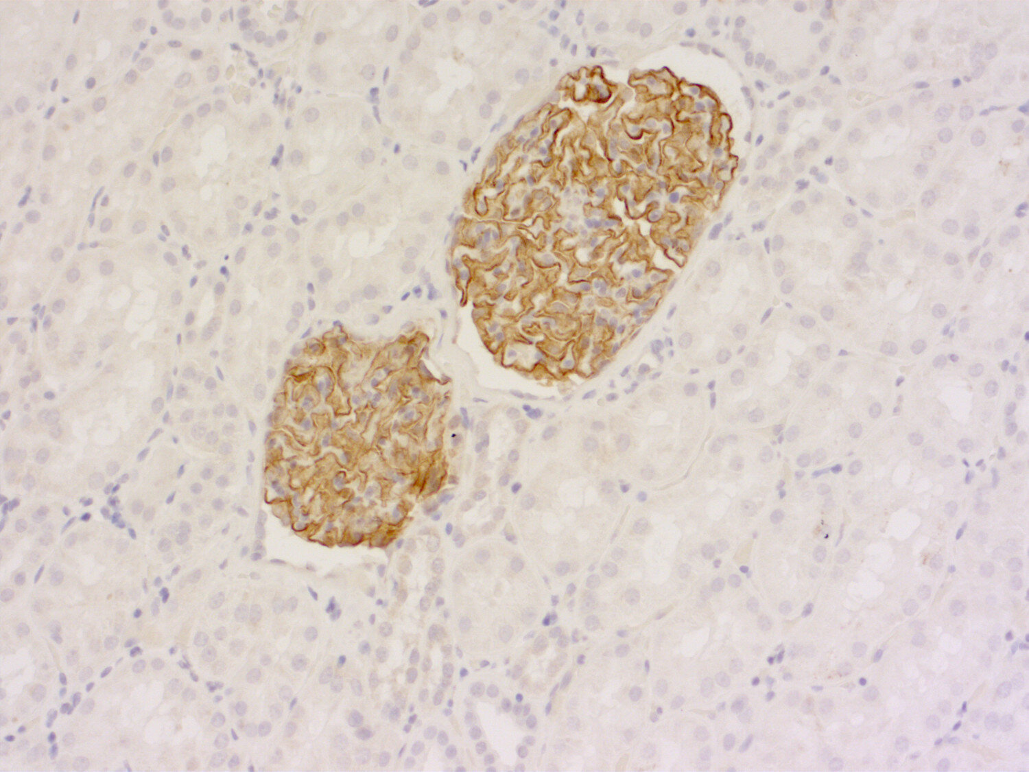
IHC: 1 : 500 gallery  
IHC-P (FFPE): 1 : 200 up to 1 : 1000 (see remarks) gallery  

Western blot (WB); separation of proteins by PAGE and subsequent transfer to a membrane. Detection of target molecules is carried out with antibodies. Some antibodies require special sample preparation steps. For details, please refer to the “Remarks” section.

Immunoprecipitation (IP); Immunoisolation or pulldown of a target molecule using an antibody. For details and product specific hints, please refer to the ”Remarks” section.

Immunocytochemistry (ICC) on 4% PFA fixed cells. Immunoreactivity is usually revealed by fluorescence. Some antibodies require special fixation methods. For details, please refer to the “Remarks” section.

Immunohistochemistry (IHC) on 4% PFA perfusion fixed tissue with 24h PFA post fixation. Immunoreactivity is usually revealed by fluorescence or a chromogenic substrate. Some antibodies require special fixation methods or antigen retrieval steps. For details, please refer to the ”Remarks” section.

Immunohistochemistry (IHC-P) of formalin fixed, paraffin embedded (FFPE) tissue (some antibodies require special antigen retrieval steps, please refer to the ”Remarks” section). Immunoreactivity is usually revealed by fluorescence or a chromogenic substrate.

Clone 109C1
Subtype IgG2a (κ light chain)
Immunogen Recombinant protein corresponding to residues near the central region of mouse Synaptopodin. (UniProt Id: Q8CC35)
Reactivity Reacts with: mouse (Q8CC35), rat (Q9Z327), human (Q8N3V7).
Other species not tested yet.
Specificity This antibody detects the renal Synpo-long and the neuronal Synpo-short isofoms but is negativ for the T-variant. K.O. validated
Matching control protein/peptide 163-0P
Remarks

IHC-P (FFPE): A higher concentration (1 : 200) is recommended for human tissue samples.

Data sheet Datasheet 163_011
Cat. No.: 163 011
Amount: 100 µg
Price: $420.00
Background

Synaptopodin is the founding member of a class of proline-rich actin-associated proteins and has been originally identified in podocytes of renal glomeruli (1, 2). In brain it localizes to the post-synaptic density (PSD) and the spine aparatus (1). In humans, three isoforms of synaptopodin with a distinct expression profile have been identified, neuronal Synpo-short, renal Synpo-long and Synpo-T. All three isoforms interact with alpha-actinin and induce alpha-actinin-induced actin filaments (3).
Synaptopodin deficient mice lack the dendritic spine apparatus and exhibit impaired activity-dependent long-term synaptic plasticity (4).

 

For more information on protein expression pattern, please refer to the overview image in our SYSY Antibodies ATLAS.

Certificates

ISO 9001 2015 Quality Management System and Green Lab Platinum certification level for sustaining laboratory processes.

Newsletter

Sign up for our newsletter and get the latest updates and news.
 

Please provide a valid E-Mail-Address
Please provide a valid First name
Please provide a valid Last name