Tailor-made Antibodies
and Tools for Life Science
Home | | | | | Technical Support

Synaptopodin antibody - 163 008 K.O.

Synaptopodin is an actin associated protein present in renal podocytes and telencephalic dendrites
Rabbit monoclonal recombinant IgG
Cat. No.: 163 008
Amount: 50 µg
Price: $420.00
Cat. No. 163 008 50 µg purified recombinant IgG, lyophilized. Albumin and azide were added for stabilization. For reconstitution add 50 µl H2O to get a 1mg/ml solution in PBS. Then aliquot and store at -20°C to -80°C until use.
Antibodies should be stored at +4°C when still lyophilized. Do not freeze!
Applications
 
WB: 1 : 1000 (AP staining) gallery  
IP: not tested yet
ICC: 1 : 500 up to 1 : 1000 gallery  
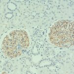
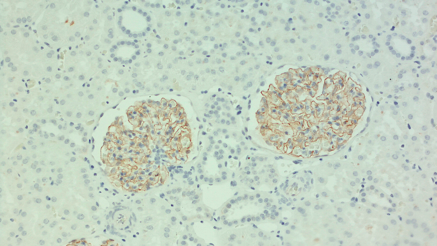
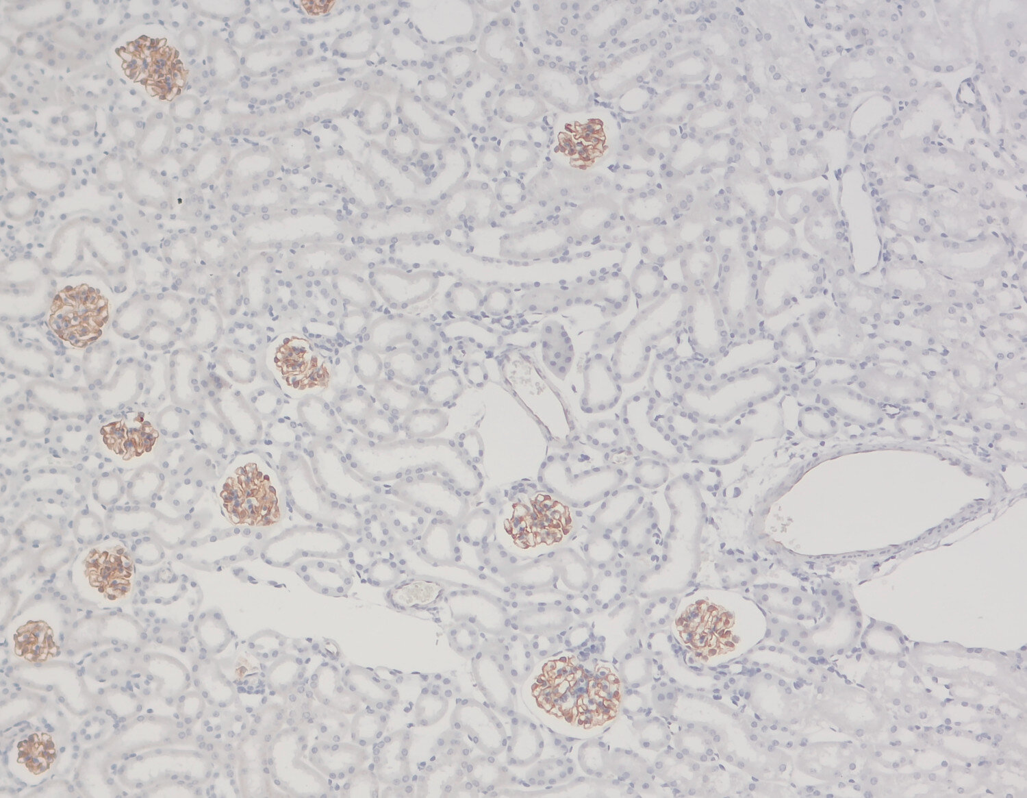
IHC: 1 : 500 gallery  
IHC-P: 1 : 200 up to 1 : 4000 gallery  

Western blot (WB); separation of proteins by PAGE and subsequent transfer to a membrane. Detection of target molecules is carried out with antibodies. Some antibodies require special sample preparation steps. For details, please refer to the “Remarks” section.

Immunoprecipitation (IP); Immunoisolation or pulldown of a target molecule using an antibody. For details and product specific hints, please refer to the ”Remarks” section.

Immunocytochemistry (ICC) on 4% PFA fixed cells. Immunoreactivity is usually revealed by fluorescence. Some antibodies require special fixation methods. For details, please refer to the “Remarks” section.

Immunohistochemistry (IHC) on 4% PFA perfusion fixed tissue with 24h PFA post fixation. Immunoreactivity is usually revealed by fluorescence or a chromogenic substrate. Some antibodies require special fixation methods or antigen retrieval steps. For details, please refer to the ”Remarks” section.

Immunohistochemistry (IHC-P) of formalin fixed, paraffin embedded (FFPE) tissue (some antibodies require special antigen retrieval steps, please refer to the ”Remarks” section). Immunoreactivity is usually revealed by fluorescence or a chromogenic substrate.

Clone Rb109C1
Subtype IgG1 (κ light chain)
Immunogen Recombinant protein corresponding to residues near the central region of mouse Synaptopodin. (UniProt Id: Q8CC35)
Reactivity Reacts with: rat (Q9Z327), human (Q8N3V7), mouse (Q8CC35).
Other species not tested yet.
Specificity This antibody detects the renal Synpo-long and the neuronal Synpo-short isofoms but is negativ for the T-variant. K.O. validated
Remarks

This antibody is a chimeric antibody based on the monoclonal mouse antibody 109C1. The constant regions of the heavy and light chains have been replaced with rabbit specific sequences. The antibody can therefore be used with standard anti-rabbit secondary reagents. The antibody has been expressed in mammalian cells.

Data sheet 163_008.pdf
Cat. No.: 163 008
Amount: 50 µg
Price: $420.00
Background

Synaptopodin is the founding member of a class of proline-rich actin-associated proteins and has been originally identified in podocytes of renal glomeruli (1, 2). In brain it localizes to the post-synaptic density (PSD) and the spine aparatus (1). In humans, three isoforms of synaptopodin with a distinct expression profile have been identified, neuronal Synpo-short, renal Synpo-long and Synpo-T. All three isoforms interact with alpha-actinin and induce alpha-actinin-induced actin filaments (3).
Synaptopodin deficient mice lack the dendritic spine apparatus and exhibit impaired activity-dependent long-term synaptic plasticity (4).

 

For more information on protein expression pattern, please refer to the overview image in our SYSY Antibodies ATLAS.