Tailor-made Antibodies
and Tools for Life Science
Home | | | | | Technical Support

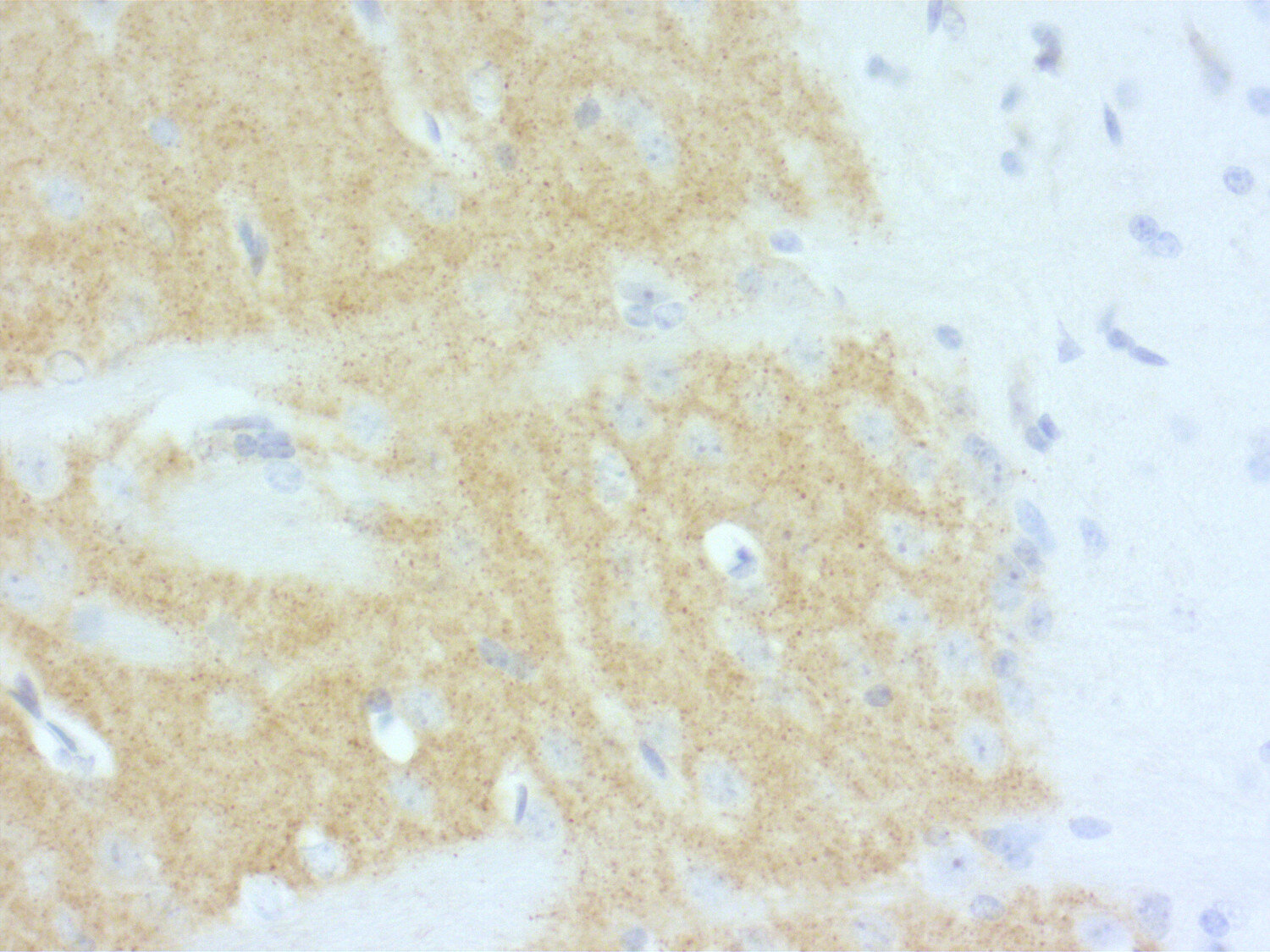
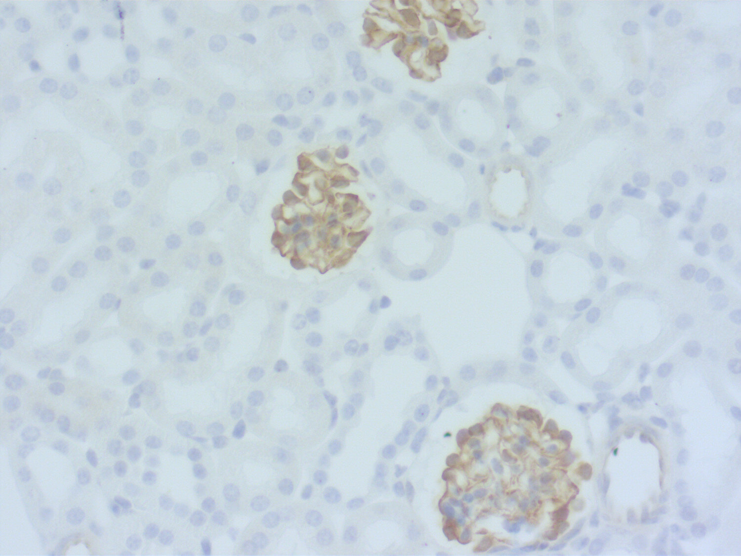
Synaptopodin antibody - 163 004 K.O.

Synaptopodin is an actin associated protein present in renal podocytes and telencephalic dendrites
Guinea pig polyclonal antiserum
Cat. No.: 163 004
Amount: 100 µl
Price: $375.00
Cat. No. 163 004 100 µl antiserum, lyophilized. For reconstitution add 100 µl H2O, then aliquot and store at -20°C until use.
Antibodies should be stored at +4°C when still lyophilized. Do not freeze!
Applications
 
WB: 1 : 500 up to 1 : 1000 (AP staining) (see remarks) gallery  
IP: not tested yet
ICC: 1 : 500 gallery  
IHC: 1 : 200 gallery  
IHC-P: 1 : 200 up to 1 : 500 gallery  
ExM: external data (see remarks)

Western blot (WB); separation of proteins by PAGE and subsequent transfer to a membrane. Detection of target molecules is carried out with antibodies. Some antibodies require special sample preparation steps. For details, please refer to the “Remarks” section.

Immunoprecipitation (IP); Immunoisolation or pulldown of a target molecule using an antibody. For details and product specific hints, please refer to the ”Remarks” section.

Immunocytochemistry (ICC) on 4% PFA fixed cells. Immunoreactivity is usually revealed by fluorescence. Some antibodies require special fixation methods. For details, please refer to the “Remarks” section.

Immunohistochemistry (IHC) on 4% PFA perfusion fixed tissue with 24h PFA post fixation. Immunoreactivity is usually revealed by fluorescence or a chromogenic substrate. Some antibodies require special fixation methods or antigen retrieval steps. For details, please refer to the ”Remarks” section.

Immunohistochemistry (IHC-P) of formalin fixed, paraffin embedded (FFPE) tissue (some antibodies require special antigen retrieval steps, please refer to the ”Remarks” section). Immunoreactivity is usually revealed by fluorescence or a chromogenic substrate.

Expansion Microscopy (ExM) is a sample preparation and imaging method which employs a dense interconnected web of swellable polymer within a biological specimen. A significantly higher effective resolution can be achieved with a standard microscope setup. For additional experimental details, please refer to the Remarks section.

Immunogen Recombinant protein corresponding to residues near the central region of mouse Synaptopodin. (UniProt Id: Q8CC35)
Reactivity Reacts with: rat (Q9Z327), mouse (Q8CC35), human (Q8N3V7).
Other species not tested yet.
Specificity This antibody detects the renal Synpo-long and the neuronal Synpo-short isofoms but is negativ for the T-variant. K.O. validated PubMed: 28922860
Matching control protein/peptide 163-0P
Remarks

WB: The antibody is less sensitive than the rabbit antiserum (cat. no. 163 002).
ExM: This antibody has been successfully applied and published for this method by customers (see application-specific references).

Data sheet Datasheet 163_004

References for Synaptopodin - 163 004

Smad4 promotes diabetic nephropathy by modulating glycolysis and OXPHOS.
Li J, Sun YBY, Chen W, Fan J, Li S, Qu X, Chen Q, Chen R, Zhu D, Zhang J, Wu Z, et al.
EMBO reports (2020) : e48781. 163 004 WB, IHC; tested species: mouse
CPT1A Protects Podocytes From Lipotoxicity and Apoptosis In Vitro and Alleviates Diabetic Nephropathy In Vivo.
Xie Y, Yuan Q, Tang B, Xie Y, Cao Y, Qiu Y, Zeng J, Wang Z, Su H, Zhang C
Diabetes (2024) 736: 879-895. 163 004 ICC, IHC-P; tested species: mouse,human
Stabilization of Spine Synaptopodin by mGluR1 Is Required for mGluR-LTD.
Speranza L, Inglebert Y, De Sanctis C, Wu PY, Kalinowska M, McKinney RA, Francesconi A
The Journal of neuroscience : the official journal of the Society for Neuroscience (2022) 429: 1666-1678. 163 004 ICC; tested species: mouse
An ex vivo culture model of kidney podocyte injury reveals mechanosensitive, synaptopodin-templating, sarcomere-like structures.
Jiang S, Alisafaei F, Huang YY, Hong Y, Peng X, Qu C, Puapatanakul P, Jain S, Miner JH, Genin GM, Suleiman HY, et al.
Science advances (2022) 835: eabn6027. 163 004 ICC; tested species: human,mouse
Synaptopodin Is Dispensable for Normal Podocyte Homeostasis but Is Protective in the Context of Acute Podocyte Injury.
Ning L, Suleiman HY, Miner JH
Journal of the American Society of Nephrology : JASN (2020) 3112: 2815-2832. 163 004 ICC; KO verified; tested species: mouse
The Role of Synaptopodin in Membrane Protein Diffusion in the Dendritic Spine Neck.
Wang L, Dumoulin A, Renner M, Triller A, Specht CG
PloS one (2016) 112: e0148310. 163 004 ICC
Remodeling synaptic connections via engineered neuron-astrocyte interactions.
Kim SH, Won W, Kim GH, Kook YH, Son S, Choi S, Kang DY, Park MG, Choi YJ, Won SS, Shin J, et al.
Nature communications (2026) 171: . 163 004 IHC; tested species: mouse
Structural plasticity of the axon initial segment in hippocampal granule cells after entorhinal denervation.
Schneider AJ, Bozic F, Zelic M, Rößler N, Smilovic D, Vuksic M, Engelhardt M, Deller T, Fellenz M
Brain research bulletin (2026) 237: 111790. 163 004 IHC; tested species: mouse
Mouse Alport podocytes are susceptible to AAV9 transduction in vivo.
Lin MH, Omachi K, Begin JF, Richardson JL, Miner JH
Kidney international (2025) : . 163 004 IHC; tested species: mouse
Autoantibody-triggered podocyte membrane budding drives autoimmune kidney disease.
Lahme K, Sachs W, Froembling S, Loreth D, Böttcher-Dierks V, Neumann K, Hann FM, Arkan N, Brehler M, Reichelt J, Sgries A, et al.
Cell (2025) : . 163 004 IHC; tested species: mouse
The proteasome modulates endocytosis specifically in glomerular cells to promote kidney filtration.
Sachs W, Blume L, Loreth D, Schebsdat L, Hatje F, Koehler S, Wedekind U, Sachs M, Zieliniski S, Brand J, Conze C, et al.
Nature communications (2024) 151: 1897. 163 004 IHC; tested species: mouse
Maintenance of Lognormal-Like Skewed Dendritic Spine Size Distributions in Dentate Granule Cells of TNF, TNF-R1, TNF-R2, and TNF-R1/2-Deficient Mice.
Rößler N, Smilovic D, Vuksic M, Jedlicka P, Deller T
The Journal of comparative neurology (2024) 5327: e25645. 163 004 IHC; tested species: mouse
DOT1L protects against podocyte injury in diabetic kidney disease through phospholipase C-like 1.
Hu Y, Ye S, Kong J, Zhou Q, Wang Z, Zhang Y, Yan H, Wang Y, Li T, Xie Y, Chen B, et al.
Cell communication and signaling : CCS (2024) 221: 519. 163 004 IHC; tested species: mouse
Loss of tumor necrosis factor (TNF)-receptor 1 and TNF-receptor 2 partially replicate effects of TNF deficiency on dendritic spines of granule cells in mouse dentate gyrus.
Smilovic D, Rietsche M, Fellenz M, Drakew A, Vuksic M, Deller T
The Journal of comparative neurology (2023) 5312: 281-293. 163 004 IHC; tested species: mouse
Combined DiI and Antibody Labeling Reveals Complex Dysgenesis of Hippocampal Dendritic Spines in a Mouse Model of Fragile X Syndrome.
Speranza L, Filiz KD, Goebel S, Perrone-Capano C, Pulcrano S, Volpicelli F, Francesconi A
Biomedicines (2022) 1011: . 163 004 IHC; tested species: mouse
Asparaginyl endopeptidase protects against podocyte injury in diabetic nephropathy through cleaving cofilin-1.
Lei C, Li M, Qiu Y, Xie Y, Hao Z, Yin X, Zhang Z, Su H, Yang L, Lin J, Hammes HP, et al.
Cell death & disease (2022) 132: 184. 163 004 IHC; tested species: mouse
Constitutive tumor necrosis factor (TNF)-deficiency causes a reduction in spine density in mouse dentate granule cells accompanied by homeostatic adaptations of spine head size.
Smilovic D, Rietsche M, Drakew A, Vuksic M, Deller T
The Journal of comparative neurology (2021) : . 163 004 IHC; tested species: mouse
Smad4 promotes diabetic nephropathy by modulating glycolysis and OXPHOS.
Li J, Sun YBY, Chen W, Fan J, Li S, Qu X, Chen Q, Chen R, Zhu D, Zhang J, Wu Z, et al.
EMBO reports (2020) : e48781. 163 004 WB, IHC; tested species: mouse
Anaerobic Glycolysis Maintains the Glomerular Filtration Barrier Independent of Mitochondrial Metabolism and Dynamics.
Brinkkoetter PT, Bork T, Salou S, Liang W, Mizi A, Özel C, Koehler S, Hagmann HH, Ising C, Kuczkowski A, Schnyder S, et al.
Cell reports (2019) 275: 1551-1566.e5. 163 004 IHC; tested species: mouse
Granule Cell Ensembles in Mouse Dentate Gyrus Rapidly Upregulate the Plasticity-Related Protein Synaptopodin after Exploration Behavior.
Paul MH, Choi M, Schlaudraff J, Deller T, Del Turco D
Cerebral cortex (New York, N.Y. : 1991) (2019) : . 163 004 IHC; tested species: mouse
Structural Plasticity of Synaptopodin in the Axon Initial Segment during Visual Cortex Development.
Schlüter A, Del Turco D, Deller T, Gutzmann A, Schultz C, Engelhardt M
Cerebral cortex (New York, N.Y. : 1991) (2017) 279: 4662-4675. 163 004 IHC; KO verified
Targeting SMPDL3B to Ameliorate Radiation- and Cisplatin-Induced Renal Toxicity.
Ahmad A, Mallela SK, Ansari S, Alnukhali M, Merscher S, Mitrofanova A, Zeidan YH, Pollack A, Fornoni A, Marples B
Cells (2026) 152: . 163 004 IHC-P; tested species: mouse
Pathology-oriented multiplexing enables integrative disease mapping.
Kuehl M, Okabayashi Y, Wong MN, Gernhold L, Gut G, Kaiser N, Schwerk M, Gräfe SK, Ma FY, Tanevski J, Schäfer PSL, et al.
Nature (2025) : . 163 004 IHC-P; tested species: mouse
CPT1A Protects Podocytes From Lipotoxicity and Apoptosis In Vitro and Alleviates Diabetic Nephropathy In Vivo.
Xie Y, Yuan Q, Tang B, Xie Y, Cao Y, Qiu Y, Zeng J, Wang Z, Su H, Zhang C
Diabetes (2024) 736: 879-895. 163 004 ICC, IHC-P; tested species: mouse,human
Expansion-enhanced super-resolution radial fluctuations enable nanoscale molecular profiling of pathology specimens.
Kylies D, Zimmermann M, Haas F, Schwerk M, Kuehl M, Brehler M, Czogalla J, Hernandez LC, Konczalla L, Okabayashi Y, Menzel J, et al.
Nature nanotechnology (2023) : . 163 004 IHC-P, ExM; tested species: human,mouse
The classical pathway triggers pathogenic complement activation in membranous nephropathy.
Seifert L, Zahner G, Meyer-Schwesinger C, Hickstein N, Dehde S, Wulf S, Köllner SMS, Lucas R, Kylies D, Froembling S, Zielinski S, et al.
Nature communications (2023) 141: 473. 163 004 IHC-P; tested species: mouse
SMPDL3b modulates radiation-induced DNA damage response in renal podocytes.
Francis M, Ahmad A, Bodgi L, Azzam P, Youssef T, Abou Daher A, Eid AA, Fornoni A, Pollack A, Marples B, Zeidan YH, et al.
FASEB journal : official publication of the Federation of American Societies for Experimental Biology (2022) 3610: e22545. 163 004 IHC-P; tested species: mouse
Th17 cell plasticity towards a T-bet-dependent Th1 phenotype is required for bacterial control in Staphylococcus aureus infection.
Bartsch P, Kilian C, Hellmig M, Paust HJ, Borchers A, Sivayoganathan A, Enk L, Zhao Y, Shaikh N, Büttner H, Wong MN, et al.
PLoS pathogens (2022) 184: e1010430. 163 004 IHC-P; tested species: mouse
Podocyte endowment and the impact of adult body size on kidney health.
Cullen-McEwen LA, van der Wolde J, Haruhara K, Tribolet L, Dowling JP, Bertram MG, de Matteo R, Haas F, Czogalla J, Okabayashi Y, Armitage JA, et al.
American journal of physiology. Renal physiology (2021) 3213: F322-F334. 163 004 IHC-P; tested species: mouse
Expansion-enhanced super-resolution radial fluctuations enable nanoscale molecular profiling of pathology specimens.
Kylies D, Zimmermann M, Haas F, Schwerk M, Kuehl M, Brehler M, Czogalla J, Hernandez LC, Konczalla L, Okabayashi Y, Menzel J, et al.
Nature nanotechnology (2023) : . 163 004 IHC-P, ExM; tested species: human,mouse
Cat. No.: 163 004
Amount: 100 µl
Price: $375.00
Smad4 promotes diabetic nephropathy by modulating glycolysis and OXPHOS.
Li J, Sun YBY, Chen W, Fan J, Li S, Qu X, Chen Q, Chen R, Zhu D, Zhang J, Wu Z, et al.
EMBO reports (2020) : e48781. 163 004 WB, IHC; tested species: mouse
CPT1A Protects Podocytes From Lipotoxicity and Apoptosis In Vitro and Alleviates Diabetic Nephropathy In Vivo.
Xie Y, Yuan Q, Tang B, Xie Y, Cao Y, Qiu Y, Zeng J, Wang Z, Su H, Zhang C
Diabetes (2024) 736: 879-895. 163 004 ICC, IHC-P; tested species: mouse,human
Stabilization of Spine Synaptopodin by mGluR1 Is Required for mGluR-LTD.
Speranza L, Inglebert Y, De Sanctis C, Wu PY, Kalinowska M, McKinney RA, Francesconi A
The Journal of neuroscience : the official journal of the Society for Neuroscience (2022) 429: 1666-1678. 163 004 ICC; tested species: mouse
An ex vivo culture model of kidney podocyte injury reveals mechanosensitive, synaptopodin-templating, sarcomere-like structures.
Jiang S, Alisafaei F, Huang YY, Hong Y, Peng X, Qu C, Puapatanakul P, Jain S, Miner JH, Genin GM, Suleiman HY, et al.
Science advances (2022) 835: eabn6027. 163 004 ICC; tested species: human,mouse
Synaptopodin Is Dispensable for Normal Podocyte Homeostasis but Is Protective in the Context of Acute Podocyte Injury.
Ning L, Suleiman HY, Miner JH
Journal of the American Society of Nephrology : JASN (2020) 3112: 2815-2832. 163 004 ICC; KO verified; tested species: mouse
The Role of Synaptopodin in Membrane Protein Diffusion in the Dendritic Spine Neck.
Wang L, Dumoulin A, Renner M, Triller A, Specht CG
PloS one (2016) 112: e0148310. 163 004 ICC
Remodeling synaptic connections via engineered neuron-astrocyte interactions.
Kim SH, Won W, Kim GH, Kook YH, Son S, Choi S, Kang DY, Park MG, Choi YJ, Won SS, Shin J, et al.
Nature communications (2026) 171: . 163 004 IHC; tested species: mouse
Structural plasticity of the axon initial segment in hippocampal granule cells after entorhinal denervation.
Schneider AJ, Bozic F, Zelic M, Rößler N, Smilovic D, Vuksic M, Engelhardt M, Deller T, Fellenz M
Brain research bulletin (2026) 237: 111790. 163 004 IHC; tested species: mouse
Mouse Alport podocytes are susceptible to AAV9 transduction in vivo.
Lin MH, Omachi K, Begin JF, Richardson JL, Miner JH
Kidney international (2025) : . 163 004 IHC; tested species: mouse
Autoantibody-triggered podocyte membrane budding drives autoimmune kidney disease.
Lahme K, Sachs W, Froembling S, Loreth D, Böttcher-Dierks V, Neumann K, Hann FM, Arkan N, Brehler M, Reichelt J, Sgries A, et al.
Cell (2025) : . 163 004 IHC; tested species: mouse
The proteasome modulates endocytosis specifically in glomerular cells to promote kidney filtration.
Sachs W, Blume L, Loreth D, Schebsdat L, Hatje F, Koehler S, Wedekind U, Sachs M, Zieliniski S, Brand J, Conze C, et al.
Nature communications (2024) 151: 1897. 163 004 IHC; tested species: mouse
Maintenance of Lognormal-Like Skewed Dendritic Spine Size Distributions in Dentate Granule Cells of TNF, TNF-R1, TNF-R2, and TNF-R1/2-Deficient Mice.
Rößler N, Smilovic D, Vuksic M, Jedlicka P, Deller T
The Journal of comparative neurology (2024) 5327: e25645. 163 004 IHC; tested species: mouse
DOT1L protects against podocyte injury in diabetic kidney disease through phospholipase C-like 1.
Hu Y, Ye S, Kong J, Zhou Q, Wang Z, Zhang Y, Yan H, Wang Y, Li T, Xie Y, Chen B, et al.
Cell communication and signaling : CCS (2024) 221: 519. 163 004 IHC; tested species: mouse
Loss of tumor necrosis factor (TNF)-receptor 1 and TNF-receptor 2 partially replicate effects of TNF deficiency on dendritic spines of granule cells in mouse dentate gyrus.
Smilovic D, Rietsche M, Fellenz M, Drakew A, Vuksic M, Deller T
The Journal of comparative neurology (2023) 5312: 281-293. 163 004 IHC; tested species: mouse
Combined DiI and Antibody Labeling Reveals Complex Dysgenesis of Hippocampal Dendritic Spines in a Mouse Model of Fragile X Syndrome.
Speranza L, Filiz KD, Goebel S, Perrone-Capano C, Pulcrano S, Volpicelli F, Francesconi A
Biomedicines (2022) 1011: . 163 004 IHC; tested species: mouse
Asparaginyl endopeptidase protects against podocyte injury in diabetic nephropathy through cleaving cofilin-1.
Lei C, Li M, Qiu Y, Xie Y, Hao Z, Yin X, Zhang Z, Su H, Yang L, Lin J, Hammes HP, et al.
Cell death & disease (2022) 132: 184. 163 004 IHC; tested species: mouse
Constitutive tumor necrosis factor (TNF)-deficiency causes a reduction in spine density in mouse dentate granule cells accompanied by homeostatic adaptations of spine head size.
Smilovic D, Rietsche M, Drakew A, Vuksic M, Deller T
The Journal of comparative neurology (2021) : . 163 004 IHC; tested species: mouse
Smad4 promotes diabetic nephropathy by modulating glycolysis and OXPHOS.
Li J, Sun YBY, Chen W, Fan J, Li S, Qu X, Chen Q, Chen R, Zhu D, Zhang J, Wu Z, et al.
EMBO reports (2020) : e48781. 163 004 WB, IHC; tested species: mouse
Anaerobic Glycolysis Maintains the Glomerular Filtration Barrier Independent of Mitochondrial Metabolism and Dynamics.
Brinkkoetter PT, Bork T, Salou S, Liang W, Mizi A, Özel C, Koehler S, Hagmann HH, Ising C, Kuczkowski A, Schnyder S, et al.
Cell reports (2019) 275: 1551-1566.e5. 163 004 IHC; tested species: mouse
Granule Cell Ensembles in Mouse Dentate Gyrus Rapidly Upregulate the Plasticity-Related Protein Synaptopodin after Exploration Behavior.
Paul MH, Choi M, Schlaudraff J, Deller T, Del Turco D
Cerebral cortex (New York, N.Y. : 1991) (2019) : . 163 004 IHC; tested species: mouse
Structural Plasticity of Synaptopodin in the Axon Initial Segment during Visual Cortex Development.
Schlüter A, Del Turco D, Deller T, Gutzmann A, Schultz C, Engelhardt M
Cerebral cortex (New York, N.Y. : 1991) (2017) 279: 4662-4675. 163 004 IHC; KO verified
Targeting SMPDL3B to Ameliorate Radiation- and Cisplatin-Induced Renal Toxicity.
Ahmad A, Mallela SK, Ansari S, Alnukhali M, Merscher S, Mitrofanova A, Zeidan YH, Pollack A, Fornoni A, Marples B
Cells (2026) 152: . 163 004 IHC-P; tested species: mouse
Pathology-oriented multiplexing enables integrative disease mapping.
Kuehl M, Okabayashi Y, Wong MN, Gernhold L, Gut G, Kaiser N, Schwerk M, Gräfe SK, Ma FY, Tanevski J, Schäfer PSL, et al.
Nature (2025) : . 163 004 IHC-P; tested species: mouse
CPT1A Protects Podocytes From Lipotoxicity and Apoptosis In Vitro and Alleviates Diabetic Nephropathy In Vivo.
Xie Y, Yuan Q, Tang B, Xie Y, Cao Y, Qiu Y, Zeng J, Wang Z, Su H, Zhang C
Diabetes (2024) 736: 879-895. 163 004 ICC, IHC-P; tested species: mouse,human
Expansion-enhanced super-resolution radial fluctuations enable nanoscale molecular profiling of pathology specimens.
Kylies D, Zimmermann M, Haas F, Schwerk M, Kuehl M, Brehler M, Czogalla J, Hernandez LC, Konczalla L, Okabayashi Y, Menzel J, et al.
Nature nanotechnology (2023) : . 163 004 IHC-P, ExM; tested species: human,mouse
The classical pathway triggers pathogenic complement activation in membranous nephropathy.
Seifert L, Zahner G, Meyer-Schwesinger C, Hickstein N, Dehde S, Wulf S, Köllner SMS, Lucas R, Kylies D, Froembling S, Zielinski S, et al.
Nature communications (2023) 141: 473. 163 004 IHC-P; tested species: mouse
SMPDL3b modulates radiation-induced DNA damage response in renal podocytes.
Francis M, Ahmad A, Bodgi L, Azzam P, Youssef T, Abou Daher A, Eid AA, Fornoni A, Pollack A, Marples B, Zeidan YH, et al.
FASEB journal : official publication of the Federation of American Societies for Experimental Biology (2022) 3610: e22545. 163 004 IHC-P; tested species: mouse
Th17 cell plasticity towards a T-bet-dependent Th1 phenotype is required for bacterial control in Staphylococcus aureus infection.
Bartsch P, Kilian C, Hellmig M, Paust HJ, Borchers A, Sivayoganathan A, Enk L, Zhao Y, Shaikh N, Büttner H, Wong MN, et al.
PLoS pathogens (2022) 184: e1010430. 163 004 IHC-P; tested species: mouse
Podocyte endowment and the impact of adult body size on kidney health.
Cullen-McEwen LA, van der Wolde J, Haruhara K, Tribolet L, Dowling JP, Bertram MG, de Matteo R, Haas F, Czogalla J, Okabayashi Y, Armitage JA, et al.
American journal of physiology. Renal physiology (2021) 3213: F322-F334. 163 004 IHC-P; tested species: mouse
Expansion-enhanced super-resolution radial fluctuations enable nanoscale molecular profiling of pathology specimens.
Kylies D, Zimmermann M, Haas F, Schwerk M, Kuehl M, Brehler M, Czogalla J, Hernandez LC, Konczalla L, Okabayashi Y, Menzel J, et al.
Nature nanotechnology (2023) : . 163 004 IHC-P, ExM; tested species: human,mouse
Background

Synaptopodin is the founding member of a class of proline-rich actin-associated proteins and has been originally identified in podocytes of renal glomeruli (1, 2). In brain it localizes to the post-synaptic density (PSD) and the spine aparatus (1). In humans, three isoforms of synaptopodin with a distinct expression profile have been identified, neuronal Synpo-short, renal Synpo-long and Synpo-T. All three isoforms interact with alpha-actinin and induce alpha-actinin-induced actin filaments (3).
Synaptopodin deficient mice lack the dendritic spine apparatus and exhibit impaired activity-dependent long-term synaptic plasticity (4).

 

For more information on protein expression pattern, please refer to the overview image in our SYSY Antibodies ATLAS.

Certificates

ISO 9001 2015 Quality Management System and Green Lab Platinum certification level for sustaining laboratory processes.

Newsletter

Sign up for our newsletter and get the latest updates and news.
 

Please provide a valid E-Mail-Address
Please provide a valid First name
Please provide a valid Last name