Tailor-made Antibodies
and Tools for Life Science
Home | | | | | Technical Support

Shank3 antibody - 162 311

Shanks are multidomain proteins of the postsynaptic density
Mouse monoclonal purified IgG
Cat. No.: 162 311
Amount: 100 µg
Price: $420.00
Cat. No. 162 311 100 µg purified IgG, lyophilized. Albumin was added for stabilization. For reconstitution add 100 µl H2O to get a 1mg/ml solution in PBS. Then aliquot and store at -20°C to -80°C until use.
Antibodies should be stored at +4°C when still lyophilized. Do not freeze!
Applications
 
WB: 1 : 500 up to 1 : 1000 (AP staining) (see remarks) gallery  
IP: not tested yet
ICC: 1 : 500 gallery  
IHC: not recommended (see remarks)
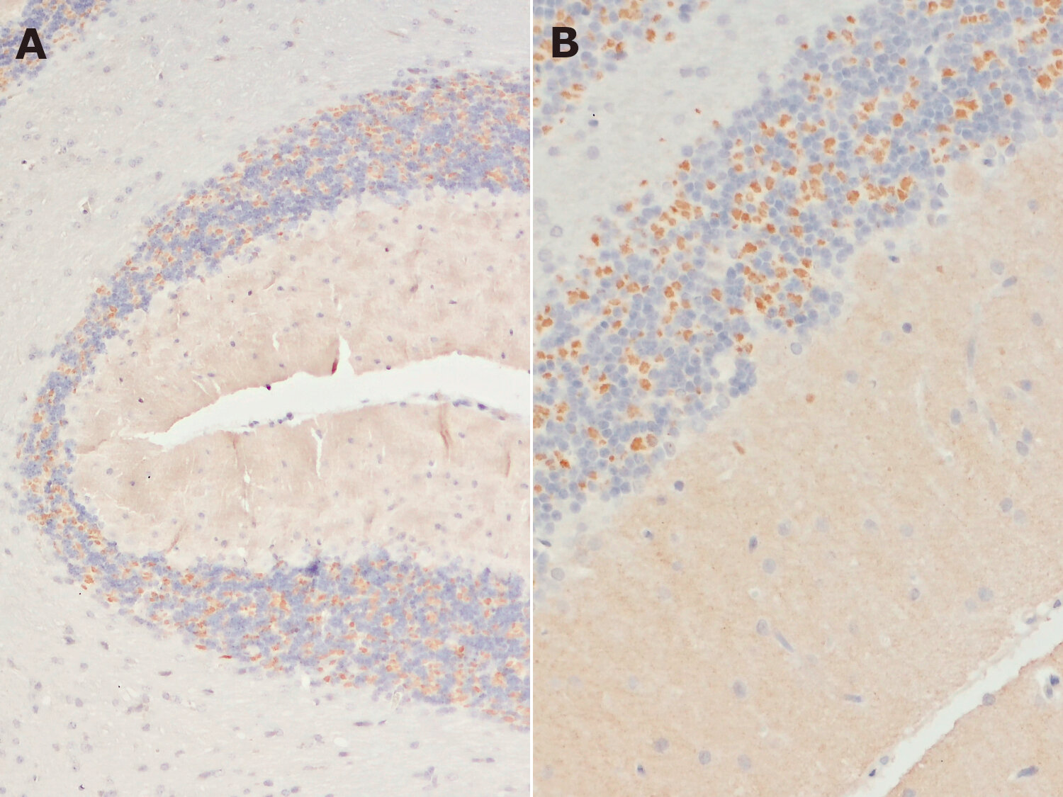
IHC-P: 1 : 200 (see remarks) gallery  
IHC-Fr: 1 : 500 (see remarks) gallery  

Western blot (WB); separation of proteins by PAGE and subsequent transfer to a membrane. Detection of target molecules is carried out with antibodies. Some antibodies require special sample preparation steps. For details, please refer to the “Remarks” section.

Immunoprecipitation (IP); Immunoisolation or pulldown of a target molecule using an antibody. For details and product specific hints, please refer to the ”Remarks” section.

Immunocytochemistry (ICC) on 4% PFA fixed cells. Immunoreactivity is usually revealed by fluorescence. Some antibodies require special fixation methods. For details, please refer to the “Remarks” section.

Immunohistochemistry (IHC) on 4% PFA perfusion fixed tissue with 24h PFA post fixation. Immunoreactivity is usually revealed by fluorescence or a chromogenic substrate. Some antibodies require special fixation methods or antigen retrieval steps. For details, please refer to the ”Remarks” section.

Immunohistochemistry (IHC-P) of formalin fixed, paraffin embedded (FFPE) tissue (some antibodies require special antigen retrieval steps, please refer to the ”Remarks” section). Immunoreactivity is usually revealed by fluorescence or a chromogenic substrate.

Immunohistochemistry on fresh frozen (IHC-Fr) cryo-tissue-sections. In contrast to standard PFA perfusion fixed tissues, fresh frozen cryo-tissue-sections can be variably postfixed with alcohols, acetone or PFA. Alcohol or acetone fixation is e.g. of advantage for antigens masked by PFA crosslinking. For recommended postfixation, please refer to the ”Remarks” section. Immunoreactivity is usually revealed by fluorescence or a chromogenic substrate.

Clone 144B12
Subtype IgG1 (κ light chain)
Immunogen Recombinant protein corresponding to residues near the carboxy terminus of rat Shank3 (UniProt Id: Q9JLU4)
Reactivity Reacts with: rat (Q9JLU4), mouse (Q4ACU6).
Other species not tested yet.
Specificity Specific for Shank3
Remarks

WB: Due to the large size of this protein, we recommend NuPAGE 3-8% Tris-Acetate gels for SDS-PAGE.
IHC: This antibody has been successfully used and published for this application by customers (see application-specific references). It is not compatible with our standard protocols.
IHC-P: Antigen retrieval with Tris-EDTA buffer pH 9 is recommended for chromogenic detection.
For chromogenic detection, an optimized AGR time of 20 minutes is recommended for best results.
IHC-Fr: The following fixatives are possible: acetone, 4% formaldehyde/PFA.
Methanol fixation is not advised.

Data sheet Datasheet 162_311

References for Shank3 - 162 311

SHANK3 Antibody Validation: Differential Performance in Western Blotting, Immunocyto- and Immunohistochemistry.
Lutz AK, Bauer HF, Ioannidis V, Schön M, Boeckers TM
Frontiers in synaptic neuroscience (2022) 14: 890231. 162 311 WB, IHC; tested species: mouse
A synaptic molecular dependency network in knockdown of autism- and schizophrenia-associated genes revealed by multiplexed imaging.
Falkovich R, Danielson EW, Perez de Arce K, Wamhoff EC, Strother J, Lapteva AP, Sheng M, Cottrell JR, Bathe M
Cell reports (2023) 425: 112430. 162 311 ICC; KD verified; tested species: rat
SHANK3 Antibody Validation: Differential Performance in Western Blotting, Immunocyto- and Immunohistochemistry.
Lutz AK, Bauer HF, Ioannidis V, Schön M, Boeckers TM
Frontiers in synaptic neuroscience (2022) 14: 890231. 162 311 WB, IHC; tested species: mouse
Cat. No.: 162 311
Amount: 100 µg
Price: $420.00
SHANK3 Antibody Validation: Differential Performance in Western Blotting, Immunocyto- and Immunohistochemistry.
Lutz AK, Bauer HF, Ioannidis V, Schön M, Boeckers TM
Frontiers in synaptic neuroscience (2022) 14: 890231. 162 311 WB, IHC; tested species: mouse
A synaptic molecular dependency network in knockdown of autism- and schizophrenia-associated genes revealed by multiplexed imaging.
Falkovich R, Danielson EW, Perez de Arce K, Wamhoff EC, Strother J, Lapteva AP, Sheng M, Cottrell JR, Bathe M
Cell reports (2023) 425: 112430. 162 311 ICC; KD verified; tested species: rat
SHANK3 Antibody Validation: Differential Performance in Western Blotting, Immunocyto- and Immunohistochemistry.
Lutz AK, Bauer HF, Ioannidis V, Schön M, Boeckers TM
Frontiers in synaptic neuroscience (2022) 14: 890231. 162 311 WB, IHC; tested species: mouse
Background

Shank1, 2 and 3 are major proteins of the postsynaptic density (PSD). They are composed of several protein-protein interaction domains like PDZ-, homer- and ABP1-binding domains which allow them to crosslink ionotopic and metabotropic glutamate receptor complexes with each other and to the actin-cytoskeleton.

Certificates

ISO 9001 2015 Quality Management System and Green Lab Platinum certification level for sustaining laboratory processes.

Newsletter

Sign up for our newsletter and get the latest updates and news.
 

Please provide a valid E-Mail-Address
Please provide a valid First name
Please provide a valid Last name