Tailor-made Antibodies
and Tools for Life Science
Home | | | | | Technical Support

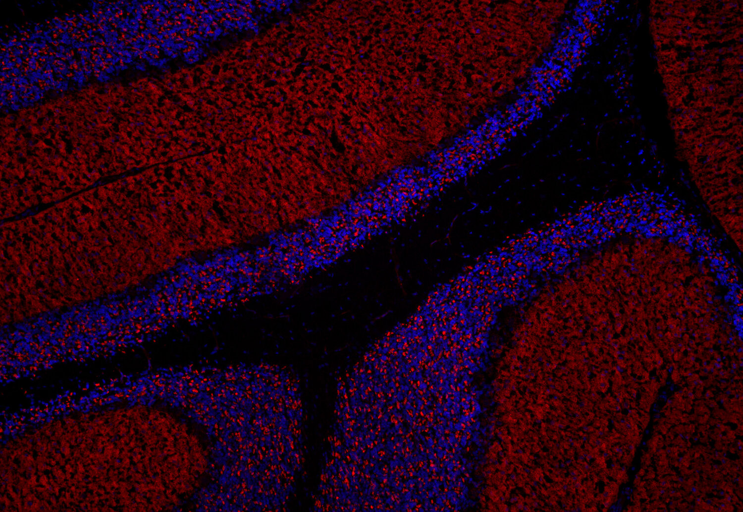
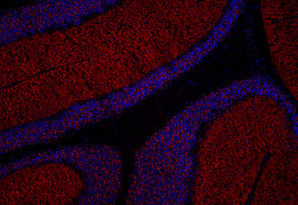
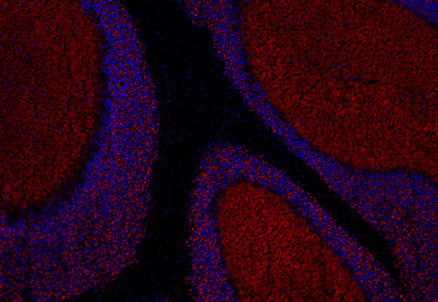
Shank3 antibody - 162 304 K.O.

Shanks are multidomain proteins of the postsynaptic density
Guinea pig polyclonal antiserum
Cat. No.: 162 304
Amount: 100 µl
Price: $375.00
Cat. No. 162 304 100 µl antiserum, lyophilized. For reconstitution add 100 µl H2O, then aliquot and store at -20°C until use.
Antibodies should be stored at +4°C when still lyophilized. Do not freeze!
Applications
 
WB: 1 : 1000 (AP staining) (see remarks) gallery  
IP: yes
ICC: 1 : 500 up to 1 : 2000 gallery  
IHC: external data (see remarks) gallery  
IHC-P: 1 : 500 gallery  
IHC-Fr: 1 : 500 (see remarks) gallery  
ExM: external data (see remarks) gallery  

Western blot (WB); separation of proteins by PAGE and subsequent transfer to a membrane. Detection of target molecules is carried out with antibodies. Some antibodies require special sample preparation steps. For details, please refer to the “Remarks” section.

Immunoprecipitation (IP); Immunoisolation or pulldown of a target molecule using an antibody. For details and product specific hints, please refer to the ”Remarks” section.

Immunocytochemistry (ICC) on 4% PFA fixed cells. Immunoreactivity is usually revealed by fluorescence. Some antibodies require special fixation methods. For details, please refer to the “Remarks” section.

Immunohistochemistry (IHC) on 4% PFA perfusion fixed tissue with 24h PFA post fixation. Immunoreactivity is usually revealed by fluorescence or a chromogenic substrate. Some antibodies require special fixation methods or antigen retrieval steps. For details, please refer to the ”Remarks” section.

Immunohistochemistry (IHC-P) of formalin fixed, paraffin embedded (FFPE) tissue (some antibodies require special antigen retrieval steps, please refer to the ”Remarks” section). Immunoreactivity is usually revealed by fluorescence or a chromogenic substrate.

Immunohistochemistry on fresh frozen (IHC-Fr) cryo-tissue-sections. In contrast to standard PFA perfusion fixed tissues, fresh frozen cryo-tissue-sections can be variably postfixed with alcohols, acetone or PFA. Alcohol or acetone fixation is e.g. of advantage for antigens masked by PFA crosslinking. For recommended postfixation, please refer to the ”Remarks” section. Immunoreactivity is usually revealed by fluorescence or a chromogenic substrate.

Expansion Microscopy (ExM) is a sample preparation and imaging method which employs a dense interconnected web of swellable polymer within a biological specimen. A significantly higher effective resolution can be achieved with a standard microscope setup. For additional experimental details, please refer to the Remarks section.

Immunogen Recombinant protein corresponding to residues near the carboxy terminus of rat Shank3 (UniProt Id: Q9JLU4)
Reactivity Reacts with: rat (Q9JLU4), mouse (Q4ACU6).
Other species not tested yet.
Specificity Antigen used for immunization is present in all Shank3 isoforms described for rat and in all isoforms described for mouse except Shank3-B and Shank3-C4. K.O. validated PubMed: 33115499
Remarks

WB: Due to the large size of this protein, we recommend NuPAGE 3-8% Tris-Acetate gels for SDS-PAGE.
IHC: This antibody has been successfully applied and published for this method by customers (see application-specific references). It has not been validated using our standard protocols.
IHC-Fr: 4% formaldehyde/PFA fixation is recommended.
ExM: This antibody has been successfully applied and published for this method by customers (see application-specific references).

Data sheet Datasheet 162_304

References for Shank3 - 162 304

SHANK3 Antibody Validation: Differential Performance in Western Blotting, Immunocyto- and Immunohistochemistry.
Lutz AK, Bauer HF, Ioannidis V, Schön M, Boeckers TM
Frontiers in synaptic neuroscience (2022) 14: 890231. 162 304 WB, ICC, IHC; tested species: mouse
A bidirectional switch in the Shank3 phosphorylation state biases synapses toward up- or downscaling.
Wu CH, Tatavarty V, Jean Beltran PM, Guerrero AA, Keshishian H, Krug K, MacMullan MA, Li L, Carr SA, Cottrell JR, Turrigiano GG, et al.
eLife (2022) 11: . 162 304 WB, IP, ICC; tested species: rat
Germline AGO2 mutations impair RNA interference and human neurological development.
Lessel D, Zeitler DM, Reijnders MRF, Kazantsev A, Hassani Nia F, Bartholomäus A, Martens V, Bruckmann A, Graus V, McConkie-Rosell A, McDonald M, et al.
Nature communications (2020) 111: 5797. 162 304 WB, ICC; KD verified; tested species: rat
Targeting of δ-catenin to postsynaptic sites through interaction with the Shank3 N-terminus.
Hassani Nia F, Woike D, Martens V, Klüssendorf M, Hönck HH, Harder S, Kreienkamp HJ
Molecular autism (2020) 111: 85. 162 304 WB; KO verified; tested species: mouse
Chronic Toxoplasma infection is associated with distinct alterations in the synaptic protein composition.
Lang D, Schott BH, van Ham M, Morton L, Kulikovskaja L, Herrera-Molina R, Pielot R, Klawonn F, Montag D, Jänsch L, Gundelfinger ED, et al.
Journal of neuroinflammation (2018) 151: 216. 162 304 WB, IHC; tested species: mouse
A bidirectional switch in the Shank3 phosphorylation state biases synapses toward up- or downscaling.
Wu CH, Tatavarty V, Jean Beltran PM, Guerrero AA, Keshishian H, Krug K, MacMullan MA, Li L, Carr SA, Cottrell JR, Turrigiano GG, et al.
eLife (2022) 11: . 162 304 WB, IP, ICC; tested species: rat
Variants in LRRC7 lead to intellectual disability, autism, aggression and abnormal eating behaviors.
Willim J, Woike D, Greene D, Das S, Pfeifer K, Yuan W, Lindsey A, Itani O, Böhme AL, Tibbe D, Hönck HH, et al.
Nature communications (2024) 151: 7909. 162 304 ICC; tested species: rat
Polar lipids modify Alzheimer's Disease pathology by reducing astrocyte pro-inflammatory signaling through platelet-activating factor receptor (PTAFR) modulation.
Hans S, Stanton JE, Sauer AK, Shiels K, Saha SK, Lordan R, Tsoupras A, Zabetakis I, Grabrucker AM
Lipids in health and disease (2024) 231: 113. 162 304 ICC; tested species: rat
Non-canonical function of ADAM10 in presynaptic plasticity.
Bär J, Fanutza T, Reimann CC, Seipold L, Grohe M, Bolter JR, Delfs F, Bucher M, Gee CE, Schweizer M, Saftig P, et al.
Cellular and molecular life sciences : CMLS (2024) 811: 342. 162 304 ICC; tested species: mouse
Jacob-induced transcriptional inactivation of CREB promotes Aβ-induced synapse loss in Alzheimer's disease.
Grochowska KM, Gomes GM, Raman R, Kaushik R, Sosulina L, Kaneko H, Oelschlegel AM, Yuanxiang P, Reyes-Resina I, Bayraktar G, Samer S, et al.
The EMBO journal (2023) : e112453. 162 304 ICC, IHC; tested species: mouse
Golgi satellites are essential for polysialylation of NCAM and expression of LTP at distal synapses.
Andres-Alonso M, Borgmeyer M, Mirzapourdelavar H, Lormann J, Klein K, Schweizer M, Hoffmeister-Ullerich S, Oelschlegel AM, Dityatev A, Kreutz MR
Cell reports (2023) 427: 112692. 162 304 ICC, IHC; tested species: mouse
Chaperone-mediated autophagy in neuronal dendrites utilizes activity-dependent lysosomal exocytosis for protein disposal.
Grochowska KM, Sperveslage M, Raman R, Failla AV, Głów D, Schulze C, Laprell L, Fehse B, Kreutz MR
Cell reports (2023) 428: 112998. 162 304 ICC; tested species: rat
SHANK3 Antibody Validation: Differential Performance in Western Blotting, Immunocyto- and Immunohistochemistry.
Lutz AK, Bauer HF, Ioannidis V, Schön M, Boeckers TM
Frontiers in synaptic neuroscience (2022) 14: 890231. 162 304 WB, ICC, IHC; tested species: mouse
A bidirectional switch in the Shank3 phosphorylation state biases synapses toward up- or downscaling.
Wu CH, Tatavarty V, Jean Beltran PM, Guerrero AA, Keshishian H, Krug K, MacMullan MA, Li L, Carr SA, Cottrell JR, Turrigiano GG, et al.
eLife (2022) 11: . 162 304 WB, IP, ICC; tested species: rat
Multiomics of synaptic junctions reveals altered lipid metabolism and signaling following environmental enrichment.
Borgmeyer M, Coman C, Has C, Schött HF, Li T, Westhoff P, Cheung YFH, Hoffmann N, Yuanxiang P, Behnisch T, Gomes GM, et al.
Cell reports (2021) 371: 109797. 162 304 ICC, IHC; tested species: mouse,rat
The histone demethylase PHF8 regulates astrocyte differentiation and function.
Iacobucci S, Padilla N, Gabrielli M, Navarro C, Lombardi M, Vicioso-Mantis M, Verderio C, de la Cruz X, Martínez-Balbás MA
Development (Cambridge, England) (2021) 14812: . 162 304 ICC; tested species: mouse
Ciliary neuropeptidergic signaling dynamically regulates excitatory synapses in postnatal neocortical pyramidal neurons.
Tereshko L, Gao Y, Cary BA, Turrigiano GG, Sengupta P
eLife (2021) 10: . 162 304 ICC; tested species: rat
Autism-associated SHANK3 missense point mutations impact conformational fluctuations and protein turnover at synapses.
Bucher M, Niebling S, Han Y, Molodenskiy D, Hassani Nia F, Kreienkamp HJ, Svergun D, Kim E, Kostyukova AS, Kreutz MR, Mikhaylova M, et al.
eLife (2021) 10: . 162 304 ICC; tested species: rat
Germline AGO2 mutations impair RNA interference and human neurological development.
Lessel D, Zeitler DM, Reijnders MRF, Kazantsev A, Hassani Nia F, Bartholomäus A, Martens V, Bruckmann A, Graus V, McConkie-Rosell A, McDonald M, et al.
Nature communications (2020) 111: 5797. 162 304 WB, ICC; KD verified; tested species: rat
USP8 Deubiquitinates SHANK3 to Control Synapse Density and SHANK3 Activity-dependent Protein Levels.
Kerrisk Campbell M, Sheng M
The Journal of neuroscience : the official journal of the Society for Neuroscience (2018) : . 162 304 ICC; tested species: rat
A septal-ventral tegmental area circuit drives exploratory behavior.
Mocellin P, Barnstedt O, Luxem K, Kaneko H, Vieweg S, Henschke JU, Dalügge D, Fuhrmann F, Karpova A, Pakan JMP, Kreutz MR, et al.
Neuron (2024) : . 162 304 IHC; tested species: mouse
Multisensory gamma stimulation mitigates the effects of demyelination induced by cuprizone in male mice.
Rodrigues-Amorim D, Bozzelli PL, Kim T, Liu L, Gibson O, Yang CY, Murdock MH, Galiana-Melendez F, Schatz B, Davison A, Islam MR, et al.
Nature communications (2024) 151: 6744. 162 304 IHC; tested species: mouse
Jacob-induced transcriptional inactivation of CREB promotes Aβ-induced synapse loss in Alzheimer's disease.
Grochowska KM, Gomes GM, Raman R, Kaushik R, Sosulina L, Kaneko H, Oelschlegel AM, Yuanxiang P, Reyes-Resina I, Bayraktar G, Samer S, et al.
The EMBO journal (2023) : e112453. 162 304 ICC, IHC; tested species: mouse
Golgi satellites are essential for polysialylation of NCAM and expression of LTP at distal synapses.
Andres-Alonso M, Borgmeyer M, Mirzapourdelavar H, Lormann J, Klein K, Schweizer M, Hoffmeister-Ullerich S, Oelschlegel AM, Dityatev A, Kreutz MR
Cell reports (2023) 427: 112692. 162 304 ICC, IHC; tested species: mouse
SHANK3 Antibody Validation: Differential Performance in Western Blotting, Immunocyto- and Immunohistochemistry.
Lutz AK, Bauer HF, Ioannidis V, Schön M, Boeckers TM
Frontiers in synaptic neuroscience (2022) 14: 890231. 162 304 WB, ICC, IHC; tested species: mouse
Multiomics of synaptic junctions reveals altered lipid metabolism and signaling following environmental enrichment.
Borgmeyer M, Coman C, Has C, Schött HF, Li T, Westhoff P, Cheung YFH, Hoffmann N, Yuanxiang P, Behnisch T, Gomes GM, et al.
Cell reports (2021) 371: 109797. 162 304 ICC, IHC; tested species: mouse,rat
A High-Resolution Method for Quantitative Molecular Analysis of Functionally Characterized Individual Synapses.
Holderith N, Heredi J, Kis V, Nusser Z
Cell reports (2020) 324: 107968. 162 304 IHC; tested species: rat
Chronic Toxoplasma infection is associated with distinct alterations in the synaptic protein composition.
Lang D, Schott BH, van Ham M, Morton L, Kulikovskaja L, Herrera-Molina R, Pielot R, Klawonn F, Montag D, Jänsch L, Gundelfinger ED, et al.
Journal of neuroinflammation (2018) 151: 216. 162 304 WB, IHC; tested species: mouse
Light-microscopy-based connectomic reconstruction of mammalian brain tissue.
Tavakoli MR, Lyudchik J, Januszewski M, Vistunou V, Agudelo Dueñas N, Vorlaufer J, Sommer C, Kreuzinger C, Oliveira B, Cenameri A, Novarino G, et al.
Nature (2025) 6428067: 398-410. 162 304 ExM
Mapping proteomic composition of excitatory postsynaptic sites in the cerebellar cortex.
Robinson K, Delhaye M, Craig AM
Frontiers in molecular neuroscience (2024) 17: 1381534. 162 304 ExM; tested species: mouse
Cat. No.: 162 304
Amount: 100 µl
Price: $375.00
SHANK3 Antibody Validation: Differential Performance in Western Blotting, Immunocyto- and Immunohistochemistry.
Lutz AK, Bauer HF, Ioannidis V, Schön M, Boeckers TM
Frontiers in synaptic neuroscience (2022) 14: 890231. 162 304 WB, ICC, IHC; tested species: mouse
A bidirectional switch in the Shank3 phosphorylation state biases synapses toward up- or downscaling.
Wu CH, Tatavarty V, Jean Beltran PM, Guerrero AA, Keshishian H, Krug K, MacMullan MA, Li L, Carr SA, Cottrell JR, Turrigiano GG, et al.
eLife (2022) 11: . 162 304 WB, IP, ICC; tested species: rat
Germline AGO2 mutations impair RNA interference and human neurological development.
Lessel D, Zeitler DM, Reijnders MRF, Kazantsev A, Hassani Nia F, Bartholomäus A, Martens V, Bruckmann A, Graus V, McConkie-Rosell A, McDonald M, et al.
Nature communications (2020) 111: 5797. 162 304 WB, ICC; KD verified; tested species: rat
Targeting of δ-catenin to postsynaptic sites through interaction with the Shank3 N-terminus.
Hassani Nia F, Woike D, Martens V, Klüssendorf M, Hönck HH, Harder S, Kreienkamp HJ
Molecular autism (2020) 111: 85. 162 304 WB; KO verified; tested species: mouse
Chronic Toxoplasma infection is associated with distinct alterations in the synaptic protein composition.
Lang D, Schott BH, van Ham M, Morton L, Kulikovskaja L, Herrera-Molina R, Pielot R, Klawonn F, Montag D, Jänsch L, Gundelfinger ED, et al.
Journal of neuroinflammation (2018) 151: 216. 162 304 WB, IHC; tested species: mouse
A bidirectional switch in the Shank3 phosphorylation state biases synapses toward up- or downscaling.
Wu CH, Tatavarty V, Jean Beltran PM, Guerrero AA, Keshishian H, Krug K, MacMullan MA, Li L, Carr SA, Cottrell JR, Turrigiano GG, et al.
eLife (2022) 11: . 162 304 WB, IP, ICC; tested species: rat
Variants in LRRC7 lead to intellectual disability, autism, aggression and abnormal eating behaviors.
Willim J, Woike D, Greene D, Das S, Pfeifer K, Yuan W, Lindsey A, Itani O, Böhme AL, Tibbe D, Hönck HH, et al.
Nature communications (2024) 151: 7909. 162 304 ICC; tested species: rat
Polar lipids modify Alzheimer's Disease pathology by reducing astrocyte pro-inflammatory signaling through platelet-activating factor receptor (PTAFR) modulation.
Hans S, Stanton JE, Sauer AK, Shiels K, Saha SK, Lordan R, Tsoupras A, Zabetakis I, Grabrucker AM
Lipids in health and disease (2024) 231: 113. 162 304 ICC; tested species: rat
Non-canonical function of ADAM10 in presynaptic plasticity.
Bär J, Fanutza T, Reimann CC, Seipold L, Grohe M, Bolter JR, Delfs F, Bucher M, Gee CE, Schweizer M, Saftig P, et al.
Cellular and molecular life sciences : CMLS (2024) 811: 342. 162 304 ICC; tested species: mouse
Jacob-induced transcriptional inactivation of CREB promotes Aβ-induced synapse loss in Alzheimer's disease.
Grochowska KM, Gomes GM, Raman R, Kaushik R, Sosulina L, Kaneko H, Oelschlegel AM, Yuanxiang P, Reyes-Resina I, Bayraktar G, Samer S, et al.
The EMBO journal (2023) : e112453. 162 304 ICC, IHC; tested species: mouse
Golgi satellites are essential for polysialylation of NCAM and expression of LTP at distal synapses.
Andres-Alonso M, Borgmeyer M, Mirzapourdelavar H, Lormann J, Klein K, Schweizer M, Hoffmeister-Ullerich S, Oelschlegel AM, Dityatev A, Kreutz MR
Cell reports (2023) 427: 112692. 162 304 ICC, IHC; tested species: mouse
Chaperone-mediated autophagy in neuronal dendrites utilizes activity-dependent lysosomal exocytosis for protein disposal.
Grochowska KM, Sperveslage M, Raman R, Failla AV, Głów D, Schulze C, Laprell L, Fehse B, Kreutz MR
Cell reports (2023) 428: 112998. 162 304 ICC; tested species: rat
SHANK3 Antibody Validation: Differential Performance in Western Blotting, Immunocyto- and Immunohistochemistry.
Lutz AK, Bauer HF, Ioannidis V, Schön M, Boeckers TM
Frontiers in synaptic neuroscience (2022) 14: 890231. 162 304 WB, ICC, IHC; tested species: mouse
A bidirectional switch in the Shank3 phosphorylation state biases synapses toward up- or downscaling.
Wu CH, Tatavarty V, Jean Beltran PM, Guerrero AA, Keshishian H, Krug K, MacMullan MA, Li L, Carr SA, Cottrell JR, Turrigiano GG, et al.
eLife (2022) 11: . 162 304 WB, IP, ICC; tested species: rat
Multiomics of synaptic junctions reveals altered lipid metabolism and signaling following environmental enrichment.
Borgmeyer M, Coman C, Has C, Schött HF, Li T, Westhoff P, Cheung YFH, Hoffmann N, Yuanxiang P, Behnisch T, Gomes GM, et al.
Cell reports (2021) 371: 109797. 162 304 ICC, IHC; tested species: mouse,rat
The histone demethylase PHF8 regulates astrocyte differentiation and function.
Iacobucci S, Padilla N, Gabrielli M, Navarro C, Lombardi M, Vicioso-Mantis M, Verderio C, de la Cruz X, Martínez-Balbás MA
Development (Cambridge, England) (2021) 14812: . 162 304 ICC; tested species: mouse
Ciliary neuropeptidergic signaling dynamically regulates excitatory synapses in postnatal neocortical pyramidal neurons.
Tereshko L, Gao Y, Cary BA, Turrigiano GG, Sengupta P
eLife (2021) 10: . 162 304 ICC; tested species: rat
Autism-associated SHANK3 missense point mutations impact conformational fluctuations and protein turnover at synapses.
Bucher M, Niebling S, Han Y, Molodenskiy D, Hassani Nia F, Kreienkamp HJ, Svergun D, Kim E, Kostyukova AS, Kreutz MR, Mikhaylova M, et al.
eLife (2021) 10: . 162 304 ICC; tested species: rat
Germline AGO2 mutations impair RNA interference and human neurological development.
Lessel D, Zeitler DM, Reijnders MRF, Kazantsev A, Hassani Nia F, Bartholomäus A, Martens V, Bruckmann A, Graus V, McConkie-Rosell A, McDonald M, et al.
Nature communications (2020) 111: 5797. 162 304 WB, ICC; KD verified; tested species: rat
USP8 Deubiquitinates SHANK3 to Control Synapse Density and SHANK3 Activity-dependent Protein Levels.
Kerrisk Campbell M, Sheng M
The Journal of neuroscience : the official journal of the Society for Neuroscience (2018) : . 162 304 ICC; tested species: rat
A septal-ventral tegmental area circuit drives exploratory behavior.
Mocellin P, Barnstedt O, Luxem K, Kaneko H, Vieweg S, Henschke JU, Dalügge D, Fuhrmann F, Karpova A, Pakan JMP, Kreutz MR, et al.
Neuron (2024) : . 162 304 IHC; tested species: mouse
Multisensory gamma stimulation mitigates the effects of demyelination induced by cuprizone in male mice.
Rodrigues-Amorim D, Bozzelli PL, Kim T, Liu L, Gibson O, Yang CY, Murdock MH, Galiana-Melendez F, Schatz B, Davison A, Islam MR, et al.
Nature communications (2024) 151: 6744. 162 304 IHC; tested species: mouse
Jacob-induced transcriptional inactivation of CREB promotes Aβ-induced synapse loss in Alzheimer's disease.
Grochowska KM, Gomes GM, Raman R, Kaushik R, Sosulina L, Kaneko H, Oelschlegel AM, Yuanxiang P, Reyes-Resina I, Bayraktar G, Samer S, et al.
The EMBO journal (2023) : e112453. 162 304 ICC, IHC; tested species: mouse
Golgi satellites are essential for polysialylation of NCAM and expression of LTP at distal synapses.
Andres-Alonso M, Borgmeyer M, Mirzapourdelavar H, Lormann J, Klein K, Schweizer M, Hoffmeister-Ullerich S, Oelschlegel AM, Dityatev A, Kreutz MR
Cell reports (2023) 427: 112692. 162 304 ICC, IHC; tested species: mouse
SHANK3 Antibody Validation: Differential Performance in Western Blotting, Immunocyto- and Immunohistochemistry.
Lutz AK, Bauer HF, Ioannidis V, Schön M, Boeckers TM
Frontiers in synaptic neuroscience (2022) 14: 890231. 162 304 WB, ICC, IHC; tested species: mouse
Multiomics of synaptic junctions reveals altered lipid metabolism and signaling following environmental enrichment.
Borgmeyer M, Coman C, Has C, Schött HF, Li T, Westhoff P, Cheung YFH, Hoffmann N, Yuanxiang P, Behnisch T, Gomes GM, et al.
Cell reports (2021) 371: 109797. 162 304 ICC, IHC; tested species: mouse,rat
A High-Resolution Method for Quantitative Molecular Analysis of Functionally Characterized Individual Synapses.
Holderith N, Heredi J, Kis V, Nusser Z
Cell reports (2020) 324: 107968. 162 304 IHC; tested species: rat
Chronic Toxoplasma infection is associated with distinct alterations in the synaptic protein composition.
Lang D, Schott BH, van Ham M, Morton L, Kulikovskaja L, Herrera-Molina R, Pielot R, Klawonn F, Montag D, Jänsch L, Gundelfinger ED, et al.
Journal of neuroinflammation (2018) 151: 216. 162 304 WB, IHC; tested species: mouse
Light-microscopy-based connectomic reconstruction of mammalian brain tissue.
Tavakoli MR, Lyudchik J, Januszewski M, Vistunou V, Agudelo Dueñas N, Vorlaufer J, Sommer C, Kreuzinger C, Oliveira B, Cenameri A, Novarino G, et al.
Nature (2025) 6428067: 398-410. 162 304 ExM
Mapping proteomic composition of excitatory postsynaptic sites in the cerebellar cortex.
Robinson K, Delhaye M, Craig AM
Frontiers in molecular neuroscience (2024) 17: 1381534. 162 304 ExM; tested species: mouse
Background

Shank1, 2 and 3 are major proteins of the postsynaptic density (PSD). They are composed of several protein-protein interaction domains like PDZ-, homer- and ABP1-binding domains which allow them to crosslink ionotopic and metabotropic glutamate receptor complexes with each other and to the actin-cytoskeleton.

Certificates

ISO 9001 2015 Quality Management System and Green Lab Platinum certification level for sustaining laboratory processes.

Newsletter

Sign up for our newsletter and get the latest updates and news.
 

Please provide a valid E-Mail-Address
Please provide a valid First name
Please provide a valid Last name