Tailor-made Antibodies
and Tools for Life Science
Home | | | | | Technical Support

Caveolin1 antibody - 161 003

Caveolin1 is the major coat protein of caveolae
Rabbit polyclonal purified antibody
Cat. No.: 161 003
Amount: 50 µg
Price: $460.00
Cat. No. 161 003 50 µg specific antibody, lyophilized. Affinity purified with the immunogen. Albumin was added for stabilization. For reconstitution add 50 µl H2O to get a 1mg/ml solution in PBS. Then aliquot and store at -20°C to -80°C until use.
Antibodies should be stored at +4°C when still lyophilized. Do not freeze!
Applications
 
WB: 1 : 1000 (AP staining) gallery  
IP: yes
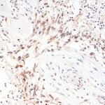
ICC: 1 : 100 up to 1 : 500 gallery  
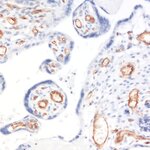
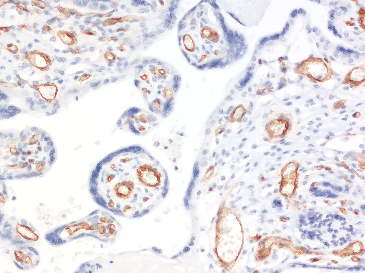
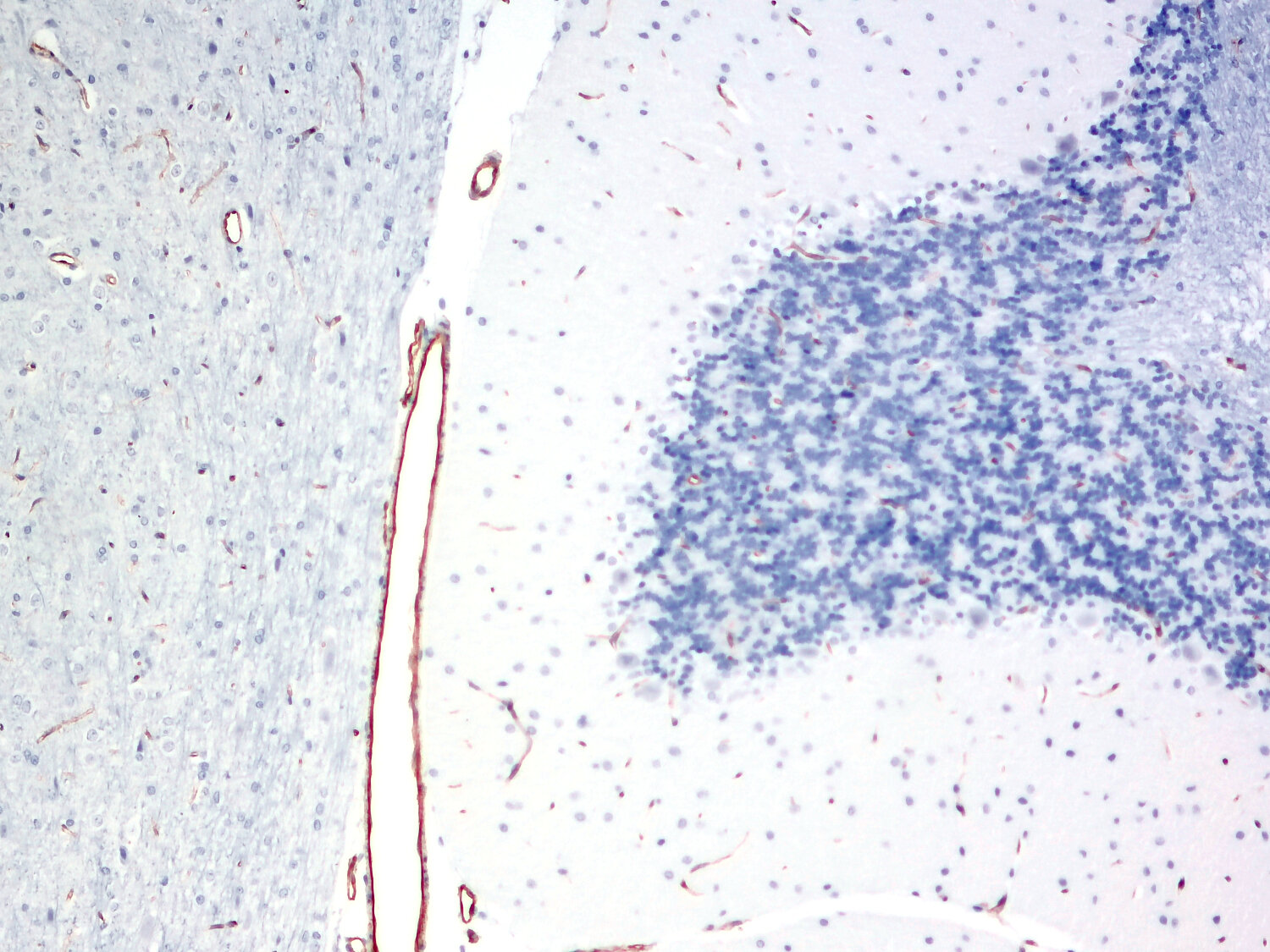
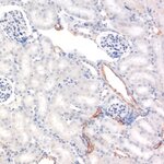
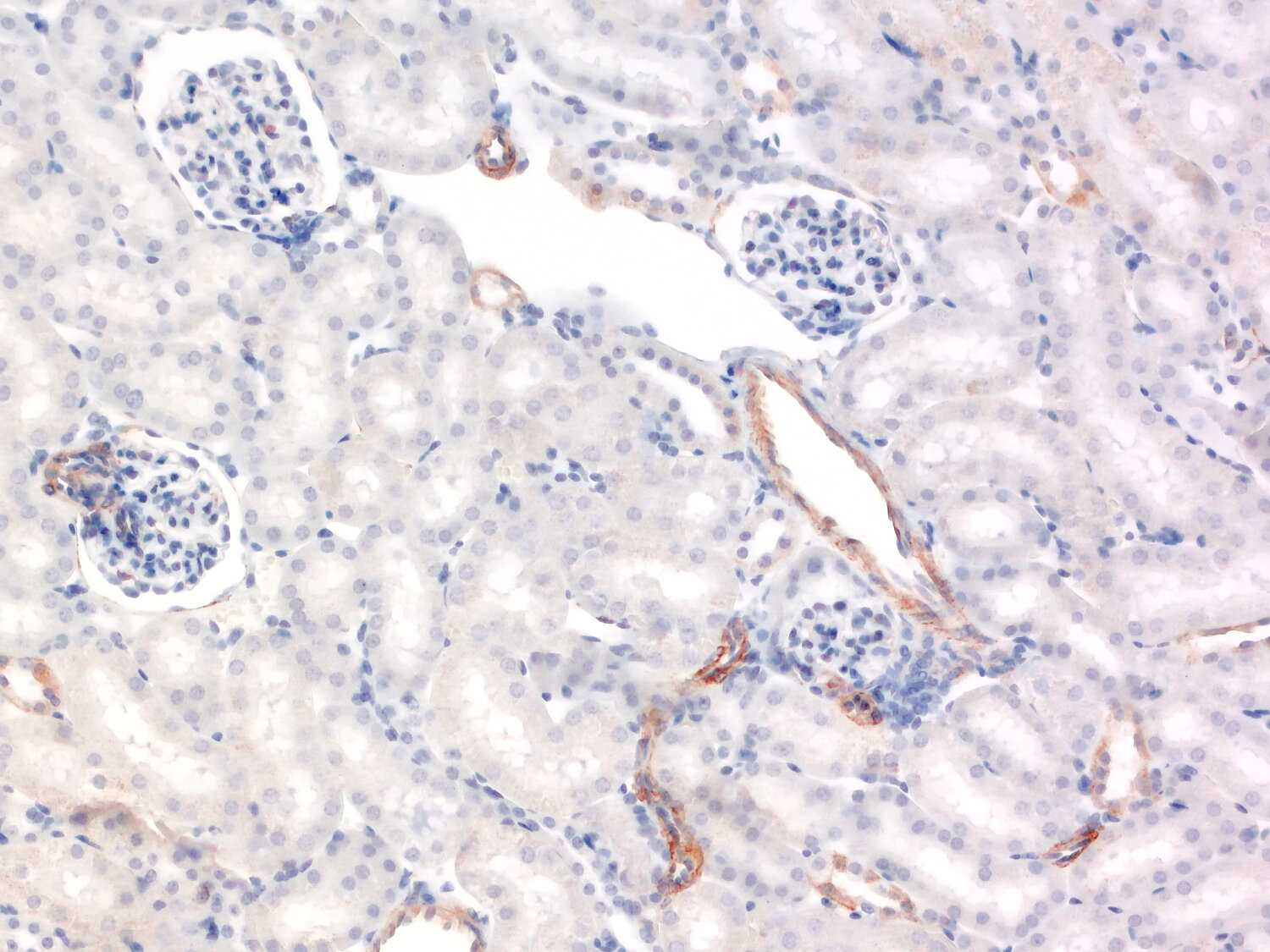
IHC: 1 : 500 up to 1 : 1000 (see remarks) gallery  
IHC-P: 1 : 1000 gallery  
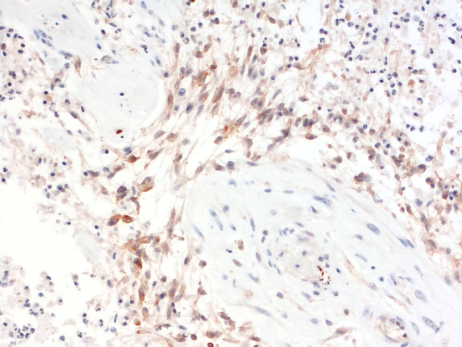
IHC-Fr: 1 : 500 (see remarks) gallery  
IHC-G: 1 : 500 up to 1 : 1000 (see remarks) gallery  

Western blot (WB); separation of proteins by PAGE and subsequent transfer to a membrane. Detection of target molecules is carried out with antibodies. Some antibodies require special sample preparation steps. For details, please refer to the “Remarks” section.

Immunoprecipitation (IP); Immunoisolation or pulldown of a target molecule using an antibody. For details and product specific hints, please refer to the ”Remarks” section.

Immunocytochemistry (ICC) on 4% PFA fixed cells. Immunoreactivity is usually revealed by fluorescence. Some antibodies require special fixation methods. For details, please refer to the “Remarks” section.

Immunohistochemistry (IHC) on 4% PFA perfusion fixed tissue with 24h PFA post fixation. Immunoreactivity is usually revealed by fluorescence or a chromogenic substrate. Some antibodies require special fixation methods or antigen retrieval steps. For details, please refer to the ”Remarks” section.

Immunohistochemistry (IHC-P) of formalin fixed, paraffin embedded (FFPE) tissue (some antibodies require special antigen retrieval steps, please refer to the ”Remarks” section). Immunoreactivity is usually revealed by fluorescence or a chromogenic substrate.

Immunohistochemistry on fresh frozen (IHC-Fr) cryo-tissue-sections. In contrast to standard PFA perfusion fixed tissues, fresh frozen cryo-tissue-sections can be variably postfixed with alcohols, acetone or PFA. Alcohol or acetone fixation is e.g. of advantage for antigens masked by PFA crosslinking. For recommended postfixation, please refer to the ”Remarks” section. Immunoreactivity is usually revealed by fluorescence or a chromogenic substrate.

Immunohistochemistry on glyoxal fixed (IHC-G) tissue. The tissue is perfused with saline and afterwards immersion fixed with a glyoxal solution. For details of the glyoxal solution, please refer to the remarks section. Immunoreactivity is usually revealed by fluorescence.

Immunogen Synthetic peptide corresponding to AA 1 to 17 from rat Caveolin1 (UniProt Id: P41350)
Reactivity Reacts with: human (Q03135), rat (P41350), mouse (P49817), dog, pig, cow, monkey.
No signal: zebrafish.
Other species not tested yet.
Matching control protein/peptide 161-0P
Remarks

IHC: Antigen retrieval with Tris-EDTA buffer pH 9 is required.
IHC-Fr: Methanol fixation is recommended.
IHC-G: The following fixatives are possible: 3% glyoxal, 9% glyoxal.

Data sheet Datasheet 161_003

References for Caveolin1 - 161 003

Involvement of the Cdc42 pathway in CFTR post-translational turnover and in its plasma membrane stability in airway epithelial cells.
Ferru-Clément R, Fresquet F, Norez C, Métayé T, Becq F, Kitzis A, Thoreau V
PloS one (2015) 103: e0118943. 161 003 WB
Spatial proteomics in neurons at single-protein resolution.
Unterauer EM, Shetab Boushehri S, Jevdokimenko K, Masullo LA, Ganji M, Sograte-Idrissi S, Kowalewski R, Strauss S, Reinhardt SCM, Perovic A, Marr C, et al.
Cell (2024) 1877: 1785-1800.e16. 161 003 DNA-PAINT; tested species: rat
Cat. No.: 161 003
Amount: 50 µg
Price: $460.00
Involvement of the Cdc42 pathway in CFTR post-translational turnover and in its plasma membrane stability in airway epithelial cells.
Ferru-Clément R, Fresquet F, Norez C, Métayé T, Becq F, Kitzis A, Thoreau V
PloS one (2015) 103: e0118943. 161 003 WB
Spatial proteomics in neurons at single-protein resolution.
Unterauer EM, Shetab Boushehri S, Jevdokimenko K, Masullo LA, Ganji M, Sograte-Idrissi S, Kowalewski R, Strauss S, Reinhardt SCM, Perovic A, Marr C, et al.
Cell (2024) 1877: 1785-1800.e16. 161 003 DNA-PAINT; tested species: rat
Background

Caveolae are distinct flask shaped invaginations which contain high concentrations of cholesterol and sphingolipids. These subcellular compartments can be found at the surface of many cell types. The primary structural proteins of caveolae are caveolins, a family comprising three members: caveolin1, caveolin2, and caveolin3. Caveolin1 exists in two isoforms, caveolin1α and caveolin1β, which differ in their N-terminal sequences. Caveolin1 is ubiquitously expressed in all cell types and is the predominant coat protein of endothelial caveolae. Caveolin1 is essential in multiple cellular processes, including membrane trafficking, cholesterol homeostasis, signal transduction, and cellular communication (1).  Knockout studies have demonstrated that the absence of caveolin1 leads to a complete loss of caveolae structures in various cell types, underscoring its essential role in caveolae formation (2). Its dysregulation has been implicated in cardiovascular diseases, neurodegenerative disorders, metabolic diseases, and cancer (3). Caveolin1 plays a complex role in glioblastoma (GBM), the most aggressive primary brain tumor. Its function in GBM appears to be context-dependent, exhibiting both tumor-promoting and tumor-suppressing activities (4).

Certificates

ISO 9001 2015 Quality Management System and Green Lab Platinum certification level for sustaining laboratory processes.

Newsletter

Sign up for our newsletter and get the latest updates and news.
 

Please provide a valid E-Mail-Address
Please provide a valid First name
Please provide a valid Last name