Tailor-made Antibodies
and Tools for Life Science
Home | | | | | Technical Support

Homer1b/c antibody - 160 025

Homer1 , 2 and 3 are post synaptic density (PSD) proteins involved in the targeting of glutamate receptors
Guinea pig polyclonal purified antibody
Cat. No.: 160 025
Amount: 50 µg
Price: $465.00
Cat. No. 160 025 50 µg specific antibody, lyophilized. Affinity purified with the immunogen. Albumin and azide were added for stabilization. For reconstitution add 50 µl H2O to get a 1mg/ml solution in PBS. Then aliquot and store at -20°C to -80°C until use.
Antibodies should be stored at +4°C when still lyophilized. Do not freeze!
Applications
 
WB: 1 : 1000 (AP staining) gallery  
IP: yes
ICC: 1 : 500 gallery  
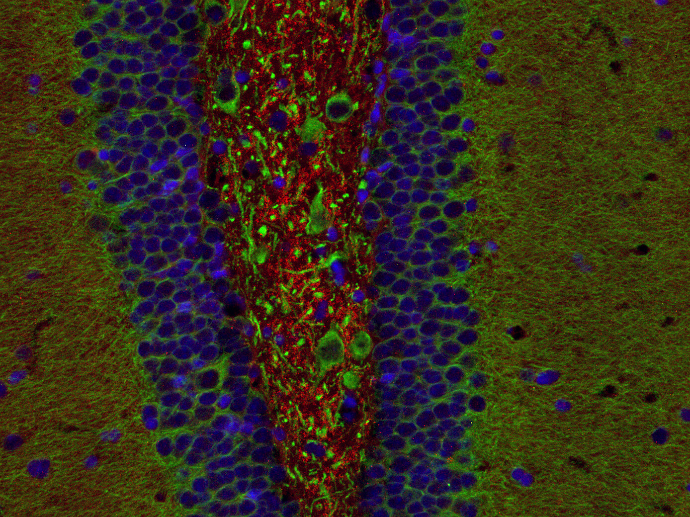
IHC: 1 : 100 up to 1 : 200 gallery  
IHC-P: 1 : 500 gallery  

Western blot (WB); separation of proteins by PAGE and subsequent transfer to a membrane. Detection of target molecules is carried out with antibodies. Some antibodies require special sample preparation steps. For details, please refer to the “Remarks” section.

Immunoprecipitation (IP); Immunoisolation or pulldown of a target molecule using an antibody. For details and product specific hints, please refer to the ”Remarks” section.

Immunocytochemistry (ICC) on 4% PFA fixed cells. Immunoreactivity is usually revealed by fluorescence. Some antibodies require special fixation methods. For details, please refer to the “Remarks” section.

Immunohistochemistry (IHC) on 4% PFA perfusion fixed tissue with 24h PFA post fixation. Immunoreactivity is usually revealed by fluorescence or a chromogenic substrate. Some antibodies require special fixation methods or antigen retrieval steps. For details, please refer to the ”Remarks” section.

Immunohistochemistry (IHC-P) of formalin fixed, paraffin embedded (FFPE) tissue (some antibodies require special antigen retrieval steps, please refer to the ”Remarks” section). Immunoreactivity is usually revealed by fluorescence or a chromogenic substrate.

Immunogen Recombinant protein corresponding to the c-terminal half of human Homer 1b (UniProt Id: Q86YM7-1)
Reactivity Reacts with: mouse (Q9Z2Y3), rat (Q9Z214), human (Q86YM7-1).
Other species not tested yet.
Specificity Specific for Homer 1 b and 1c. No cross-reactivity to Homer 1a
Data sheet 160_025.pdf

References for Homer1b/c - 160 025

Alteration of NMDA receptor trafficking as a cellular hallmark of psychosis.
Espana A, Seth H, Jézéquel J, Huang T, Bouchet D, Lepleux M, Gréa H, Bechter K, Schneider M, Hanse E, Groc L, et al.
Translational psychiatry (2021) 111: 444. 160 025 ICC; tested species: rat
Synaptic disruption and CREB-regulated transcription are restored by K+ channel blockers in ALS.
Catanese A, Rajkumar S, Sommer D, Freisem D, Wirth A, Aly A, Massa-López D, Olivieri A, Torelli F, Ioannidis V, Lipecka J, et al.
EMBO molecular medicine (2021) 137: e13131. 160 025 ICC; tested species: human
Neuroligin-4 Regulates Excitatory Synaptic Transmission in Human Neurons.
Marro SG, Chanda S, Yang N, Janas JA, Valperga G, Trotter J, Zhou B, Merrill S, Yousif I, Shelby H, Vogel H, et al.
Neuron (2019) 1034: 617-626.e6. 160 025 ICC; tested species: human
Cat. No.: 160 025
Amount: 50 µg
Price: $465.00
Alteration of NMDA receptor trafficking as a cellular hallmark of psychosis.
Espana A, Seth H, Jézéquel J, Huang T, Bouchet D, Lepleux M, Gréa H, Bechter K, Schneider M, Hanse E, Groc L, et al.
Translational psychiatry (2021) 111: 444. 160 025 ICC; tested species: rat
Synaptic disruption and CREB-regulated transcription are restored by K+ channel blockers in ALS.
Catanese A, Rajkumar S, Sommer D, Freisem D, Wirth A, Aly A, Massa-López D, Olivieri A, Torelli F, Ioannidis V, Lipecka J, et al.
EMBO molecular medicine (2021) 137: e13131. 160 025 ICC; tested species: human
Neuroligin-4 Regulates Excitatory Synaptic Transmission in Human Neurons.
Marro SG, Chanda S, Yang N, Janas JA, Valperga G, Trotter J, Zhou B, Merrill S, Yousif I, Shelby H, Vogel H, et al.
Neuron (2019) 1034: 617-626.e6. 160 025 ICC; tested species: human
Background

Homer is a scaffolding protein localized in the postsynaptic density (PSD) and is highly enriched at excitatory synapses. It acts as a molecular adaptor by binding to metabotropic glutamate receptors (mGluRs) (1), TRPC1 channels, Shank family proteins (2), and several other signaling molecules, organizing them into distinct clusters and thereby establishing specific signaling domains within the PSD. 
By cross-linking these proteins, Homer plays a crucial role in structural and functional organization of the PSD, contributing to the maturation of dendritic spines and the regulation of synaptic plasticity. Homer and Shank, in particular, form a mesh-like matrix that serves as a platform for assembly of other PSD proteins (3).
There are three main Homer isoforms—Homer1, Homer2, and Homer3—each of which is subject to alternative splicing, producing multiple splice variants such as a, b, c, and d. These variants can have distinct functional properties, and their dynamic redistribution at synapses is involved in remodeling the PSD in response to neuronal activity (4).
Emerging evidence suggests broader roles for Homer1b/c beyond synaptic scaffolding, including in non-neuronal contexts, although their specific involvement in cancer remains unclear (5).

 

For more information on protein expression pattern, please refer to the overview image in our SYSY Antibodies ATLAS.