Tailor-made Antibodies
and Tools for Life Science
Home | | | | | Technical Support

Endophilin1 antibody - 159 002 K.O.

Endophilin1 is an SH3 domain protein involved in clathrin mediated endocytosis
Rabbit polyclonal antiserum
Cat. No.: 159 002
Amount: 200 µl
Price: $360.00
Cat. No. 159 002 200 µl antiserum, lyophilized. For reconstitution add 200 µl H2O, then aliquot and store at -20°C until use.
Antibodies should be stored at +4°C when still lyophilized. Do not freeze!
Applications
 
WB: 1 : 1000 up to 1 : 10000 (AP staining) gallery  
IP: yes
ICC: 1 : 500 gallery  
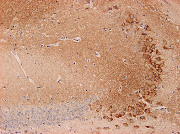
IHC: 1 : 200 gallery  
IHC-P (FFPE): 1 : 1000 gallery  

Western blot (WB); separation of proteins by PAGE and subsequent transfer to a membrane. Detection of target molecules is carried out with antibodies. Some antibodies require special sample preparation steps. For details, please refer to the “Remarks” section.

Immunoprecipitation (IP); Immunoisolation or pulldown of a target molecule using an antibody. For details and product specific hints, please refer to the ”Remarks” section.

Immunocytochemistry (ICC) on 4% PFA fixed cells. Immunoreactivity is usually revealed by fluorescence. Some antibodies require special fixation methods. For details, please refer to the “Remarks” section.

Immunohistochemistry (IHC) on 4% PFA perfusion fixed tissue with 24h PFA post fixation. Immunoreactivity is usually revealed by fluorescence or a chromogenic substrate. Some antibodies require special fixation methods or antigen retrieval steps. For details, please refer to the ”Remarks” section.

Immunohistochemistry (IHC-P) of formalin fixed, paraffin embedded (FFPE) tissue (some antibodies require special antigen retrieval steps, please refer to the ”Remarks” section). Immunoreactivity is usually revealed by fluorescence or a chromogenic substrate.

Immunogen Synthetic peptide corresponding to AA 256 to 276 from mouse Endophilin1 (UniProt Id: Q62420)
Reactivity Reacts with: rat (O35179), mouse (Q62420).
Other species not tested yet.
Specificity K.O. validated PubMed: 29892212
Matching control protein/peptide 159-0P
Data sheet Datasheet 159_002

References for Endophilin1 - 159 002

Central biogenic amine deficiency with concomitant exploratory behavioral deficits in Dnajc12 knock-out mice.
Deng IB, Follett J, Fox JD, Wall S, Farrer MJ
NPJ Parkinson's disease (2025) 111: 143. 159 002 WB; tested species: mouse
Dopamine transporter and synaptic vesicle sorting defects underlie auxilin-associated Parkinson's disease.
Vidyadhara DJ, Somayaji M, Wade N, Yücel B, Zhao H, Shashaank N, Ribaudo J, Gupta J, Lam TT, Sames D, Greene LE, et al.
Cell reports (2023) 423: 112231. 159 002 WB, IHC; tested species: mouse
A novel synaptopathy-defective synaptic vesicle protein trafficking in the mutant CHMP2B mouse model of frontotemporal dementia.
Clayton EL, Bonnycastle K, Isaacs AM, Cousin MA, Schorge S
Journal of neurochemistry (2022) 1603: 412-425. 159 002 WB; tested species: mouse
Selective endocytosis of Ca2+-permeable AMPARs by the Alzheimer's disease risk factor CALM bidirectionally controls synaptic plasticity.
Azarnia Tehran D, Kochlamazashvili G, Pampaloni NP, Sposini S, Shergill JK, Lehmann M, Pashkova N, Schmidt C, Löwe D, Napieczynska H, Heuser A, et al.
Science advances (2022) 821: eabl5032. 159 002 WB; tested species: mouse
Identification of substrates of palmitoyl protein thioesterase 1 highlights roles of depalmitoylation in disulfide bond formation and synaptic function.
Gorenberg EL, Massaro Tieze S, Yücel B, Zhao HR, Chou V, Wirak GS, Tomita S, Lam TT, Chandra SS
PLoS biology (2022) 203: e3001590. 159 002 WB; tested species: mouse
Reduced dynamin-1 levels in neurons lacking MUNC18-1.
Lammertse HCA, Moro A, Saarloos I, Toonen RF, Verhage M
Journal of cell science (2022) 13522: . 159 002 WB; tested species: mouse
Synaptic AP2 CCV life cycle regulation by the Eps15, ITSN1, Sgip1/AP2, synaptojanin1 interactome.
Mishra R, Sengül GF, Candiello E, Schu P
Scientific reports (2021) 111: 8007. 159 002 WB; tested species: mouse
VGLUT1 Binding to Endophilin or Intersectin1 and Dynamin Phosphorylation in a Diurnal Context.
Richter K, Schmutz I, Darna M, Zander JF, Chavan R, Albrecht U, Ahnert-Hilger G
Neuroscience (2018) 371: 29-37. 159 002 WB; tested species: mouse
Endophilin A1 Promotes Actin Polymerization in Dendritic Spines Required for Synaptic Potentiation.
Yang Y, Chen J, Guo Z, Deng S, Du X, Zhu S, Ye C, Shi YS, Liu JJ
Frontiers in molecular neuroscience (2018) 11: 177. 159 002 WB, ICC, IHC; KO verified; tested species: mouse
Parkinson Sac Domain Mutation in Synaptojanin 1 Impairs Clathrin Uncoating at Synapses and Triggers Dystrophic Changes in Dopaminergic Axons.
Cao M, Wu Y, Ashrafi G, McCartney AJ, Wheeler H, Bushong EA, Boassa D, Ellisman MH, Ryan TA, De Camilli P
Neuron (2017) 934: 882-896.e5. 159 002 WB; tested species: mouse
Serotonin Transporter Associated Protein Complexes Are Enriched in Synaptic Vesicle Proteins and Proteins Involved in Energy Metabolism and Ion Homeostasis.
Haase J, Grudzinska-Goebel J, Müller HK, Münster-Wandowski A, Chow E, Wynne K, Farsi Z, Zander JF, Ahnert-Hilger G
ACS chemical neuroscience (2017) 85: 1101-1116. 159 002 WB; tested species: mouse,rat
Cbl-family ubiquitin ligases and their recruitment of CIN85 are largely dispensable for epidermal growth factor receptor endocytosis.
Ahmad G, Mohapatra BC, Schulte NA, Nadeau SA, Luan H, Zutshi N, Tom E, Ortega-Cava C, Tu C, Sanada M, Ogawa S, et al.
The international journal of biochemistry & cell biology (2014) 57: 123-34. 159 002 WB; tested species: mouse
A local, periactive zone endocytic machinery at photoreceptor synapses in close vicinity to synaptic ribbons.
Wahl S, Katiyar R, Schmitz F
The Journal of neuroscience : the official journal of the Society for Neuroscience (2013) 3325: 10278-300. 159 002 WB, ICC
Trafficking proteins show limited differences in mobility across different postsynaptic spines.
Mougios N, Opazo F, Rizzoli SO, Reshetniak S
iScience (2023) 262: 105971. 159 002 ICC; tested species: rat
Immunofluorescence staining of phosphoinositides in primary mouse hippocampal neurons in dissociated culture.
Guo Z, Tong C, Yang Y, Liu JJ
STAR protocols (2022) 33: 101549. 159 002 ICC; tested species: mouse
Distinct synaptic vesicle recycling in inhibitory nerve terminals is coordinated by SV2A.
Bae JR, Lee W, Jo YO, Han S, Koh S, Song WK, Kim SH
Progress in neurobiology (2020) : 101879. 159 002 ICC; tested species: rat
Endophilin A1 Promotes Actin Polymerization in Dendritic Spines Required for Synaptic Potentiation.
Yang Y, Chen J, Guo Z, Deng S, Du X, Zhu S, Ye C, Shi YS, Liu JJ
Frontiers in molecular neuroscience (2018) 11: 177. 159 002 WB, ICC, IHC; KO verified; tested species: mouse
Endophilin-A Deficiency Induces the Foxo3a-Fbxo32 Network in the Brain and Causes Dysregulation of Autophagy and the Ubiquitin-Proteasome System.
Murdoch JD, Rostosky CM, Gowrisankaran S, Arora AS, Soukup SF, Vidal R, Capece V, Freytag S, Fischer A, Verstreken P, Bonn S, et al.
Cell reports (2016) 174: 1071-1086. 159 002 ICC; tested species: mouse
Human autoantibodies to amphiphysin induce defective presynaptic vesicle dynamics and composition.
Werner C, Pauli M, Doose S, Weishaupt A, Haselmann H, Grünewald B, Sauer M, Heckmann M, Toyka KV, Asan E, Sommer C, et al.
Brain : a journal of neurology (2016) 139Pt 2: 365-79. 159 002 ICC; tested species: rat
Composition of isolated synaptic boutons reveals the amounts of vesicle trafficking proteins.
Wilhelm BG, Mandad S, Truckenbrodt S, Kröhnert K, Schäfer C, Rammner B, Koo SJ, Claßen GA, Krauss M, Haucke V, Urlaub H, et al.
Science (New York, N.Y.) (2014) 3446187: 1023-8. 159 002 ICC, IHC; tested species: mouse,rat
A local, periactive zone endocytic machinery at photoreceptor synapses in close vicinity to synaptic ribbons.
Wahl S, Katiyar R, Schmitz F
The Journal of neuroscience : the official journal of the Society for Neuroscience (2013) 3325: 10278-300. 159 002 WB, ICC
Synaptic vesicle endocytosis deficits underlie cognitive dysfunction in mouse models of GBA-linked Parkinson's disease and dementia with Lewy bodies.
Vidyadhara DJ, Bäckström D, Chakraborty R, Ruan J, Park JM, Mistry PK, Chandra SS
Nature communications (2025) 161: 8484. 159 002 IHC; tested species: mouse
Mechanisms mediating dynamic changes in neural responses during deep brain stimulation.
Dale JA, Schmidt SL, Mitchell KT, Peters JJ, Turner DA, Grill WM
Brain stimulation (2025) 191: 103002. 159 002 IHC; tested species: rat
Dopamine transporter and synaptic vesicle sorting defects underlie auxilin-associated Parkinson's disease.
Vidyadhara DJ, Somayaji M, Wade N, Yücel B, Zhao H, Shashaank N, Ribaudo J, Gupta J, Lam TT, Sames D, Greene LE, et al.
Cell reports (2023) 423: 112231. 159 002 WB, IHC; tested species: mouse
Cochlear transcript diversity and its role in auditory functions implied by an otoferlin short isoform.
Liu H, Liu H, Wang L, Song L, Jiang G, Lu Q, Yang T, Peng H, Cai R, Zhao X, Zhao T, et al.
Nature communications (2023) 141: 3085. 159 002 IHC; tested species: mouse
Loss of the parkinsonism-associated protein FBXO7 in glutamatergic forebrain neurons in mice leads to abnormal motor behavior and synaptic defects.
Wang J, Joseph S, Vingill S, Dere E, Tatenhorst L, Ronnenberg A, Lingor P, Preisinger C, Ehrenreich H, Schulz JB, Stegmüller J, et al.
Journal of neurochemistry (2023) : . 159 002 IHC; tested species: mouse
The first synapse in vision in the aging mouse retina.
Gierke K, Lux UT, Regus-Leidig H, Brandstätter JH
Frontiers in cellular neuroscience (2023) 17: 1291054. 159 002 IHC; tested species: mouse
Tat-Endophilin A1 Fusion Protein Protects Neurons from Ischemic Damage in the Gerbil Hippocampus: A Possible Mechanism of Lipid Peroxidation and Neuroinflammation Mitigation as Well as Synaptic Plasticity.
Jung HY, Kwon HJ, Kim W, Hwang IK, Choi GM, Chang IB, Kim DW, Moon SM
Cells (2021) 102: . 159 002 IHC
Endophilin A1 Promotes Actin Polymerization in Dendritic Spines Required for Synaptic Potentiation.
Yang Y, Chen J, Guo Z, Deng S, Du X, Zhu S, Ye C, Shi YS, Liu JJ
Frontiers in molecular neuroscience (2018) 11: 177. 159 002 WB, ICC, IHC; KO verified; tested species: mouse
Evidence for a Clathrin-independent mode of endocytosis at a continuously active sensory synapse.
Fuchs M, Brandstätter JH, Regus-Leidig H
Frontiers in cellular neuroscience (2014) 8: 60. 159 002 IHC, EM; tested species: rat
Composition of isolated synaptic boutons reveals the amounts of vesicle trafficking proteins.
Wilhelm BG, Mandad S, Truckenbrodt S, Kröhnert K, Schäfer C, Rammner B, Koo SJ, Claßen GA, Krauss M, Haucke V, Urlaub H, et al.
Science (New York, N.Y.) (2014) 3446187: 1023-8. 159 002 ICC, IHC; tested species: mouse,rat
Evidence for a Clathrin-independent mode of endocytosis at a continuously active sensory synapse.
Fuchs M, Brandstätter JH, Regus-Leidig H
Frontiers in cellular neuroscience (2014) 8: 60. 159 002 IHC, EM; tested species: rat
Endosomal sorting of readily releasable synaptic vesicles.
Hoopmann P, Punge A, Barysch SV, Westphal V, Bückers J, Opazo F, Bethani I, Lauterbach MA, Hell SW, Rizzoli SO
Proceedings of the National Academy of Sciences of the United States of America (2010) 10744: 19055-60. 159 002
Cat. No.: 159 002
Amount: 200 µl
Price: $360.00
Central biogenic amine deficiency with concomitant exploratory behavioral deficits in Dnajc12 knock-out mice.
Deng IB, Follett J, Fox JD, Wall S, Farrer MJ
NPJ Parkinson's disease (2025) 111: 143. 159 002 WB; tested species: mouse
Dopamine transporter and synaptic vesicle sorting defects underlie auxilin-associated Parkinson's disease.
Vidyadhara DJ, Somayaji M, Wade N, Yücel B, Zhao H, Shashaank N, Ribaudo J, Gupta J, Lam TT, Sames D, Greene LE, et al.
Cell reports (2023) 423: 112231. 159 002 WB, IHC; tested species: mouse
A novel synaptopathy-defective synaptic vesicle protein trafficking in the mutant CHMP2B mouse model of frontotemporal dementia.
Clayton EL, Bonnycastle K, Isaacs AM, Cousin MA, Schorge S
Journal of neurochemistry (2022) 1603: 412-425. 159 002 WB; tested species: mouse
Selective endocytosis of Ca2+-permeable AMPARs by the Alzheimer's disease risk factor CALM bidirectionally controls synaptic plasticity.
Azarnia Tehran D, Kochlamazashvili G, Pampaloni NP, Sposini S, Shergill JK, Lehmann M, Pashkova N, Schmidt C, Löwe D, Napieczynska H, Heuser A, et al.
Science advances (2022) 821: eabl5032. 159 002 WB; tested species: mouse
Identification of substrates of palmitoyl protein thioesterase 1 highlights roles of depalmitoylation in disulfide bond formation and synaptic function.
Gorenberg EL, Massaro Tieze S, Yücel B, Zhao HR, Chou V, Wirak GS, Tomita S, Lam TT, Chandra SS
PLoS biology (2022) 203: e3001590. 159 002 WB; tested species: mouse
Reduced dynamin-1 levels in neurons lacking MUNC18-1.
Lammertse HCA, Moro A, Saarloos I, Toonen RF, Verhage M
Journal of cell science (2022) 13522: . 159 002 WB; tested species: mouse
Synaptic AP2 CCV life cycle regulation by the Eps15, ITSN1, Sgip1/AP2, synaptojanin1 interactome.
Mishra R, Sengül GF, Candiello E, Schu P
Scientific reports (2021) 111: 8007. 159 002 WB; tested species: mouse
VGLUT1 Binding to Endophilin or Intersectin1 and Dynamin Phosphorylation in a Diurnal Context.
Richter K, Schmutz I, Darna M, Zander JF, Chavan R, Albrecht U, Ahnert-Hilger G
Neuroscience (2018) 371: 29-37. 159 002 WB; tested species: mouse
Endophilin A1 Promotes Actin Polymerization in Dendritic Spines Required for Synaptic Potentiation.
Yang Y, Chen J, Guo Z, Deng S, Du X, Zhu S, Ye C, Shi YS, Liu JJ
Frontiers in molecular neuroscience (2018) 11: 177. 159 002 WB, ICC, IHC; KO verified; tested species: mouse
Parkinson Sac Domain Mutation in Synaptojanin 1 Impairs Clathrin Uncoating at Synapses and Triggers Dystrophic Changes in Dopaminergic Axons.
Cao M, Wu Y, Ashrafi G, McCartney AJ, Wheeler H, Bushong EA, Boassa D, Ellisman MH, Ryan TA, De Camilli P
Neuron (2017) 934: 882-896.e5. 159 002 WB; tested species: mouse
Serotonin Transporter Associated Protein Complexes Are Enriched in Synaptic Vesicle Proteins and Proteins Involved in Energy Metabolism and Ion Homeostasis.
Haase J, Grudzinska-Goebel J, Müller HK, Münster-Wandowski A, Chow E, Wynne K, Farsi Z, Zander JF, Ahnert-Hilger G
ACS chemical neuroscience (2017) 85: 1101-1116. 159 002 WB; tested species: mouse,rat
Cbl-family ubiquitin ligases and their recruitment of CIN85 are largely dispensable for epidermal growth factor receptor endocytosis.
Ahmad G, Mohapatra BC, Schulte NA, Nadeau SA, Luan H, Zutshi N, Tom E, Ortega-Cava C, Tu C, Sanada M, Ogawa S, et al.
The international journal of biochemistry & cell biology (2014) 57: 123-34. 159 002 WB; tested species: mouse
A local, periactive zone endocytic machinery at photoreceptor synapses in close vicinity to synaptic ribbons.
Wahl S, Katiyar R, Schmitz F
The Journal of neuroscience : the official journal of the Society for Neuroscience (2013) 3325: 10278-300. 159 002 WB, ICC
Trafficking proteins show limited differences in mobility across different postsynaptic spines.
Mougios N, Opazo F, Rizzoli SO, Reshetniak S
iScience (2023) 262: 105971. 159 002 ICC; tested species: rat
Immunofluorescence staining of phosphoinositides in primary mouse hippocampal neurons in dissociated culture.
Guo Z, Tong C, Yang Y, Liu JJ
STAR protocols (2022) 33: 101549. 159 002 ICC; tested species: mouse
Distinct synaptic vesicle recycling in inhibitory nerve terminals is coordinated by SV2A.
Bae JR, Lee W, Jo YO, Han S, Koh S, Song WK, Kim SH
Progress in neurobiology (2020) : 101879. 159 002 ICC; tested species: rat
Endophilin A1 Promotes Actin Polymerization in Dendritic Spines Required for Synaptic Potentiation.
Yang Y, Chen J, Guo Z, Deng S, Du X, Zhu S, Ye C, Shi YS, Liu JJ
Frontiers in molecular neuroscience (2018) 11: 177. 159 002 WB, ICC, IHC; KO verified; tested species: mouse
Endophilin-A Deficiency Induces the Foxo3a-Fbxo32 Network in the Brain and Causes Dysregulation of Autophagy and the Ubiquitin-Proteasome System.
Murdoch JD, Rostosky CM, Gowrisankaran S, Arora AS, Soukup SF, Vidal R, Capece V, Freytag S, Fischer A, Verstreken P, Bonn S, et al.
Cell reports (2016) 174: 1071-1086. 159 002 ICC; tested species: mouse
Human autoantibodies to amphiphysin induce defective presynaptic vesicle dynamics and composition.
Werner C, Pauli M, Doose S, Weishaupt A, Haselmann H, Grünewald B, Sauer M, Heckmann M, Toyka KV, Asan E, Sommer C, et al.
Brain : a journal of neurology (2016) 139Pt 2: 365-79. 159 002 ICC; tested species: rat
Composition of isolated synaptic boutons reveals the amounts of vesicle trafficking proteins.
Wilhelm BG, Mandad S, Truckenbrodt S, Kröhnert K, Schäfer C, Rammner B, Koo SJ, Claßen GA, Krauss M, Haucke V, Urlaub H, et al.
Science (New York, N.Y.) (2014) 3446187: 1023-8. 159 002 ICC, IHC; tested species: mouse,rat
A local, periactive zone endocytic machinery at photoreceptor synapses in close vicinity to synaptic ribbons.
Wahl S, Katiyar R, Schmitz F
The Journal of neuroscience : the official journal of the Society for Neuroscience (2013) 3325: 10278-300. 159 002 WB, ICC
Synaptic vesicle endocytosis deficits underlie cognitive dysfunction in mouse models of GBA-linked Parkinson's disease and dementia with Lewy bodies.
Vidyadhara DJ, Bäckström D, Chakraborty R, Ruan J, Park JM, Mistry PK, Chandra SS
Nature communications (2025) 161: 8484. 159 002 IHC; tested species: mouse
Mechanisms mediating dynamic changes in neural responses during deep brain stimulation.
Dale JA, Schmidt SL, Mitchell KT, Peters JJ, Turner DA, Grill WM
Brain stimulation (2025) 191: 103002. 159 002 IHC; tested species: rat
Dopamine transporter and synaptic vesicle sorting defects underlie auxilin-associated Parkinson's disease.
Vidyadhara DJ, Somayaji M, Wade N, Yücel B, Zhao H, Shashaank N, Ribaudo J, Gupta J, Lam TT, Sames D, Greene LE, et al.
Cell reports (2023) 423: 112231. 159 002 WB, IHC; tested species: mouse
Cochlear transcript diversity and its role in auditory functions implied by an otoferlin short isoform.
Liu H, Liu H, Wang L, Song L, Jiang G, Lu Q, Yang T, Peng H, Cai R, Zhao X, Zhao T, et al.
Nature communications (2023) 141: 3085. 159 002 IHC; tested species: mouse
Loss of the parkinsonism-associated protein FBXO7 in glutamatergic forebrain neurons in mice leads to abnormal motor behavior and synaptic defects.
Wang J, Joseph S, Vingill S, Dere E, Tatenhorst L, Ronnenberg A, Lingor P, Preisinger C, Ehrenreich H, Schulz JB, Stegmüller J, et al.
Journal of neurochemistry (2023) : . 159 002 IHC; tested species: mouse
The first synapse in vision in the aging mouse retina.
Gierke K, Lux UT, Regus-Leidig H, Brandstätter JH
Frontiers in cellular neuroscience (2023) 17: 1291054. 159 002 IHC; tested species: mouse
Tat-Endophilin A1 Fusion Protein Protects Neurons from Ischemic Damage in the Gerbil Hippocampus: A Possible Mechanism of Lipid Peroxidation and Neuroinflammation Mitigation as Well as Synaptic Plasticity.
Jung HY, Kwon HJ, Kim W, Hwang IK, Choi GM, Chang IB, Kim DW, Moon SM
Cells (2021) 102: . 159 002 IHC
Endophilin A1 Promotes Actin Polymerization in Dendritic Spines Required for Synaptic Potentiation.
Yang Y, Chen J, Guo Z, Deng S, Du X, Zhu S, Ye C, Shi YS, Liu JJ
Frontiers in molecular neuroscience (2018) 11: 177. 159 002 WB, ICC, IHC; KO verified; tested species: mouse
Evidence for a Clathrin-independent mode of endocytosis at a continuously active sensory synapse.
Fuchs M, Brandstätter JH, Regus-Leidig H
Frontiers in cellular neuroscience (2014) 8: 60. 159 002 IHC, EM; tested species: rat
Composition of isolated synaptic boutons reveals the amounts of vesicle trafficking proteins.
Wilhelm BG, Mandad S, Truckenbrodt S, Kröhnert K, Schäfer C, Rammner B, Koo SJ, Claßen GA, Krauss M, Haucke V, Urlaub H, et al.
Science (New York, N.Y.) (2014) 3446187: 1023-8. 159 002 ICC, IHC; tested species: mouse,rat
Evidence for a Clathrin-independent mode of endocytosis at a continuously active sensory synapse.
Fuchs M, Brandstätter JH, Regus-Leidig H
Frontiers in cellular neuroscience (2014) 8: 60. 159 002 IHC, EM; tested species: rat
Endosomal sorting of readily releasable synaptic vesicles.
Hoopmann P, Punge A, Barysch SV, Westphal V, Bückers J, Opazo F, Bethani I, Lauterbach MA, Hell SW, Rizzoli SO
Proceedings of the National Academy of Sciences of the United States of America (2010) 10744: 19055-60. 159 002
Background

Endophilins are SH3 domain proteins involved in endocytosis. Both, Endophilin 1 and 2 have been shown to play important roles in clathrin mediated synaptic vesicle recycling. They recruite and stabilize the polyphosphoinositide phosphatase synaptojanin at nerve terminals.

The divergent C-terminal tail of VgluT1 has been reported to be a binding partner of Endophilin A1.

In contrast to Endophilin 1 that shows a brain specific expression, Endophilin 2 is abundantly expressed in different tissues.

Certificates

ISO 9001 2015 Quality Management System and Green Lab Platinum certification level for sustaining laboratory processes.

Newsletter

Sign up for our newsletter and get the latest updates and news.
 

Please provide a valid E-Mail-Address
Please provide a valid First name
Please provide a valid Last name