Tailor-made Antibodies
and Tools for Life Science
Home | | | | | Technical Support

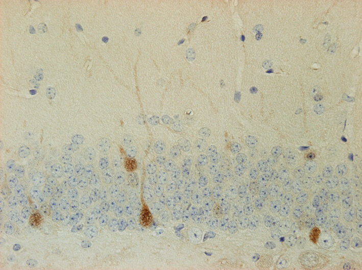
Arc antibody - 156 003 K.O.

Arc is a cytoskeleton-associated protein involved in neuronal plasticity
Rabbit polyclonal purified antibody
Cat. No.: 156 003
Amount: 50 µg
Price: $480.00
Cat. No. 156 003 50 µg specific antibody, lyophilized. Affinity purified with the immunogen. Albumin and azide were added for stabilization. For reconstitution add 50 µl H2O to get a 1mg/ml solution in PBS. Then aliquot and store at -20°C to -80°C until use.
Antibodies should be stored at +4°C when still lyophilized. Do not freeze!
Applications
 
WB: 1 : 500 up to 1 : 2000 (AP staining) gallery  
IP: yes
ICC: 1 : 1000 gallery  
IHC: 1 : 1000 gallery  
IHC-P: 1 : 1000 gallery  
ELISA

Western blot (WB); separation of proteins by PAGE and subsequent transfer to a membrane. Detection of target molecules is carried out with antibodies. Some antibodies require special sample preparation steps. For details, please refer to the “Remarks” section.

Immunoprecipitation (IP); Immunoisolation or pulldown of a target molecule using an antibody. For details and product specific hints, please refer to the ”Remarks” section.

Immunocytochemistry (ICC) on 4% PFA fixed cells. Immunoreactivity is usually revealed by fluorescence. Some antibodies require special fixation methods. For details, please refer to the “Remarks” section.

Immunohistochemistry (IHC) on 4% PFA perfusion fixed tissue with 24h PFA post fixation. Immunoreactivity is usually revealed by fluorescence or a chromogenic substrate. Some antibodies require special fixation methods or antigen retrieval steps. For details, please refer to the ”Remarks” section.

Immunohistochemistry (IHC-P) of formalin fixed, paraffin embedded (FFPE) tissue (some antibodies require special antigen retrieval steps, please refer to the ”Remarks” section). Immunoreactivity is usually revealed by fluorescence or a chromogenic substrate.

Enzyme-linked immunosorbent assay (ELISA); a frequently employed method to quantify target-molecules in solution. The detection of some proteins requires special solubilization steps. For further information, please refer to the „Remarks“ section.

Immunogen Full-length recombinant mouse Arc (UniProt Id: Q9WV31)
Reactivity Reacts with: rat (Q63053), mouse (Q9WV31).
No signal: zebrafish.
Other species not tested yet.
Specificity Specific for arc. K.O. validated PubMed: 22539853
Data sheet Datasheet 156_003

References for Arc - 156 003

ARC/ARG3.1 binds the nuclear polyadenylate-binding protein RRM and regulates neuronal activity-dependent formation of nuclear speckles.
Kanhema T, Parobczak K, Patil S, Holm-Kaczmarek D, Hallin EI, Ludwiczak J, Szczepankiewicz AA, Pauzin FP, Mahboob A, Szum A, Ishizuka Y, et al.
Cell reports (2025) 444: 115525. 156 003 WB, IHC; tested species: rat
TARPγ2-Derived Peptide Enhances Early-Phase Long-Term Potentiation and Impairs Memory Retention in Male Rats.
Mátyás D, Tukacs V, Tóth V, Baracskay P, Pap SK, Stráner P, Hiền TM, Hunyadi-Gulyás É, Darula Z, Perczel A, Kékesi KA, et al.
Brain sciences (2025) 158: . 156 003 WB; tested species: rat
Temporal and protein-specific S-palmitoylation supports synaptic and neural network plasticity.
Pytyś A, Ijaz R, Buszka A, Miłek J, Figiel I, Wardaszka-Pianka P, Roszkowska M, Mierzwa N, Wojtas A, Kerstein E, Serwa R, et al.
Cellular and molecular life sciences : CMLS (2025) 821: 355. 156 003 WB; tested species: rat
Contrasting Effects of an Atherogenic Diet and High-Protein/Unsaturated Fatty Acids Diet on the Accelerated Aging Mouse Model SAMP8 Phenotype.
Llanquinao J, Jara C, Cortés-Díaz D, Kerr B, Tapia-Rojas C
Neurology international (2024) 165: 1066-1085. 156 003 WB; tested species: mouse
Enhancing mRNA Interactions by Engineering the Arc Protein with Nucleocapsid Domain.
Upadhayay V, Gu W, Yu Q
Langmuir : the ACS journal of surfaces and colloids (2024) 4044: 23473-23482. 156 003 WB
PNMA2 forms immunogenic non-enveloped virus-like capsids associated with paraneoplastic neurological syndrome.
Xu J, Erlendsson S, Singh M, Holling GA, Regier M, Ibiricu I, Einstein J, Hantak MP, Day GS, Piquet AL, Smith TL, et al.
Cell (2024) 1874: 831-845.e19. 156 003 WB; tested species: rat
MSK1 is required for the experience- and ampakine-dependent enhancement of spatial reference memory and reversal learning and for the induction of Arc and BDNF.
Morè L, Privitera L, Lopes M, Arthur JSC, Lauterborn JC, Corrêa SAL, Frenguelli BG
Neuropharmacology (2024) : 110110. 156 003 WB; tested species: mouse
Biphasic Npas4 expression promotes inhibitory plasticity and suppression of fear memory consolidation in mice.
Brito DVC, Kupke J, Sokolov R, Cambridge S, Both M, Bengtson CP, Rozov A, Oliveira AMM
Molecular psychiatry (2024) : . 156 003 WB; tested species: mouse
Detection of Arc/Arg3.1 oligomers in rat brain: constitutive and synaptic activity-evoked dimer expression in vivo.
Mergiya TF, Gundersen JET, Kanhema T, Brighter G, Ishizuka Y, Bramham CR
Frontiers in molecular neuroscience (2023) 16: 1142361. 156 003 WB; tested species: rat
Activity-regulated cytoskeletal-associated protein (Arc) in presynaptic terminals and extracellular vesicles in hippocampal synapses.
Ringsevjen H, Egbenya DL, Bieler M, Davanger S, Hussain S
Frontiers in molecular neuroscience (2023) 16: 1225533. 156 003 WB, IHC, EM; tested species: rat
Neuronal activity drives IGF2 expression from pericytes to form long-term memory.
Pandey K, Bessières B, Sheng SL, Taranda J, Osten P, Sandovici I, Constancia M, Alberini CM
Neuron (2023) 11123: 3819-3836.e8. 156 003 WB, IHC; tested species: mouse
Arc controls alcohol cue relapse by a central amygdala mechanism.
Pagano R, Salamian A, Zielinski J, Beroun A, Nalberczak-Skóra M, Skonieczna E, Cały A, Tay N, Banaschewski T, Desrivières S, Grigis A, et al.
Molecular psychiatry (2023) 282: 733-745. 156 003 WB, IHC; KO verified; tested species: mouse
Light activates Ube3a, an Angelman syndrome-associated gene, by mediating the chromatin structures during postnatal development of mouse retina.
Lin CW, Cheng YC, Yang CH, Huang HS
Journal of neurochemistry (2023) 1676: 766-777. 156 003 WB; tested species: mouse
The E3 ubiquitin ligase RNF216/TRIAD3 is a key coordinator of the hypothalamic-pituitary-gonadal axis.
George AJ, Dong B, Lail H, Gomez M, Hoffiz YC, Ware CB, Fang N, Murphy AZ, Hrabovszky E, Wanders D, Mabb AM, et al.
iScience (2022) 256: 104386. 156 003 WB; tested species: mouse
Development and Validation of Arc Nanobodies: New Tools for Probing Arc Dynamics and Function.
Ishizuka Y, Mergiya TF, Baldinotti R, Xu J, Hallin EI, Markússon S, Kursula P, Bramham CR
Neurochemical research (2022) : . 156 003 WB; tested species: rat
Sex-dependent responsiveness of hippocampal neurons to sex neurosteroids: A role of Arc/Arg3.1.
Brökling J, Brunne B, Rune GM
Journal of neuroendocrinology (2022) : e13090. 156 003 WB, ICC; tested species: rat
Synapse-specific changes in Arc and BDNF in rat hippocampus following chronic temporal lobe epilepsy.
Egbenya DL, Hussain S, Lai YC, Anderson AE, Davanger S
Neuroscience research (2022) : . 156 003 WB, EM; tested species: rat
Phosphorylation-dependent control of Activity-regulated cytoskeleton-associated protein (Arc) protein by TNIK.
Walczyk-Mooradally A, Holborn J, Singh K, Tyler M, Patnaik D, Wesseling H, Brandon NJ, Steen J, Graether SP, Haggarty SJ, Lalonde J, et al.
Journal of neurochemistry (2021) 1585: 1058-1073. 156 003 WB; tested species: mouse
Nrg1 haploinsufficiency alters inhibitory cortical circuits.
Navarro-Gonzalez C, Carceller H, Benito Vicente M, Serra I, Navarrete M, Domínguez-Canterla Y, Rodríguez-Prieto Á, González-Manteiga A, Fazzari P
Neurobiology of disease (2021) 157: 105442. 156 003 WB; tested species: mouse
Missense mutation of Fmr1 results in impaired AMPAR-mediated plasticity and socio-cognitive deficits in mice.
Prieto M, Folci A, Poupon G, Schiavi S, Buzzelli V, Pronot M, François U, Pousinha P, Lattuada N, Abelanet S, Castagnola S, et al.
Nature communications (2021) 121: 1557. 156 003 WB; tested species: mouse
Melatonin alters neuronal architecture and increases cysteine-rich protein 1 signaling in the male mouse hippocampus.
Ang MJ, Kang S, Moon C
Journal of neuroscience research (2020) : . 156 003 WB; tested species: mouse
Neuronal ensemble-specific DNA methylation strengthens engram stability.
Gulmez Karaca K, Kupke J, Brito DVC, Zeuch B, Thome C, Weichenhan D, Lutsik P, Plass C, Oliveira AMM
Nature communications (2020) 111: 639. 156 003 WB, IHC; tested species: mouse
Hormetic-Like Effects of L-Homocysteine on Synaptic Structure, Function, and Aβ Aggregation.
Montecinos-Oliva C, Arrázola MS, Jara C, Tapia-Rojas C, Inestrosa NC
Pharmaceuticals (Basel, Switzerland) (2020) 132: . 156 003 WB; tested species: mouse
Firing Rate Homeostasis Can Occur in the Absence of Neuronal Activity-Regulated Transcription.
Tyssowski KM, Letai KC, Rendall SD, Tan C, Nizhnik A, Kaeser PS, Gray JM
The Journal of neuroscience : the official journal of the Society for Neuroscience (2019) 3950: 9885-9899. 156 003 WB; KO verified; tested species: mouse
Neurobiological substrates of persistent working memory deficits and cocaine-seeking in the prelimbic cortex of rats with a history of extended access to cocaine self-administration.
Gobin C, Shallcross J, Schwendt M
Neurobiology of learning and memory (2019) : . 156 003 WB; tested species: rat
Disturbed prefrontal cortex activity in the absence of schizophrenia-like behavioral dysfunction in Arc/Arg3.1 deficient mice.
Gao X, Grendel J, Muhia M, Castro-Gomez S, Süsens U, Isbrandt D, Kneussel M, Kuhl D, Ohana O
The Journal of neuroscience : the official journal of the Society for Neuroscience (2019) : . 156 003 WB; KO verified; tested species: mouse
Sam68 Enables Metabotropic Glutamate Receptor-Dependent LTD in Distal Dendritic Regions of CA1 Hippocampal Neurons.
Klein ME, Younts TJ, Cobo CF, Buxbaum AR, Aow J, Erdjument-Bromage H, Richard S, Malinow R, Neubert TA, Singer RH, Castillo PE, et al.
Cell reports (2019) 297: 1789-1799.e6. 156 003 WB; tested species: mouse
Impaired dopamine- and adenosine-mediated signaling and plasticity in a novel rodent model for DYT25 dystonia.
Yu-Taeger L, Ott T, Bonsi P, Tomczak C, Wassouf Z, Martella G, Sciamanna G, Imbriani P, Ponterio G, Tassone A, Schulze-Hentrich JM, et al.
Neurobiology of disease (2019) : 104634. 156 003 WB; tested species: rat
Developmental changes in plasticity, synaptic, glia, and connectivity protein levels in rat basolateral amygdala.
Bessières B, Jia M, Travaglia A, Alberini CM
Learning & memory (Cold Spring Harbor, N.Y.) (2019) 2611: 436-448. 156 003 WB; tested species: rat
Upf1 regulates neurite outgrowth and branching by transcriptional and post-transcriptional modulation of Arc.
Ryu HG, Seo JY, Jung Y, Kim SW, Kim E, Jang SK, Kim KT
Journal of cell science (2019) 1322: . 156 003 WB, ICC; KD verified; tested species: mouse
Developmental changes in plasticity, synaptic, glia, and connectivity protein levels in rat medial prefrontal cortex.
Jia M, Travaglia A, Pollonini G, Fedele G, Alberini CM
Learning & memory (Cold Spring Harbor, N.Y.) (2018) 2510: 533-543. 156 003 WB; tested species: rat
StaPLs: versatile genetically encoded modules for engineering drug-inducible proteins.
Jacobs CL, Badiee RK, Lin MZ
Nature methods (2018) 157: 523-526. 156 003 WB; tested species: human
The Temporal Dynamics of Arc Expression Regulate Cognitive Flexibility.
Wall MJ, Collins DR, Chery SL, Allen ZD, Pastuzyn ED, George AJ, Nikolova VD, Moy SS, Philpot BD, Shepherd JD, Müller J, et al.
Neuron (2018) : . 156 003 WB, ICC; tested species: mouse
MEF2A regulates mGluR-dependent AMPA receptor trafficking independently of Arc/Arg3.1.
Carmichael RE, Wilkinson KA, Craig TJ, Ashby MC, Henley JM
Scientific reports (2018) 81: 5263. 156 003 WB; tested species: rat
Autism-like behavior caused by deletion of vaccinia-related kinase 3 is improved by TrkB stimulation.
Kang MS, Choi TY, Ryu HG, Lee D, Lee SH, Choi SY, Kim KT
The Journal of experimental medicine (2017) 21410: 2947-2966. 156 003 WB; tested species: mouse
Hierarchical organization and genetically separable subfamilies of PSD95 postsynaptic supercomplexes.
Frank RAW, Zhu F, Komiyama NH, Grant SGN
Journal of neurochemistry (2017) 1424: 504-511. 156 003 WB; tested species: mouse
Vagus Nerve Stimulation Enhances Extinction of Conditioned Fear in Rats and Modulates Arc Protein, CaMKII, and GluN2B-Containing NMDA Receptors in the Basolateral Amygdala.
Alvarez-Dieppa AC, Griffin K, Cavalier S, McIntyre CK
Neural plasticity (2016) 2016: 4273280. 156 003 WB; tested species: rat
Calmodulin activity regulates group I metabotropic glutamate receptor-mediated signal transduction and synaptic depression.
Sethna F, Zhang M, Kaphzan H, Klann E, Autio D, Cox CL, Wang H
Journal of neuroscience research (2016) 945: 401-8. 156 003 WB
Intracellular mGluR5 plays a critical role in neuropathic pain.
Vincent K, Cornea VM, Jong YJ, Laferrière A, Kumar N, Mickeviciute A, Fung JS, Bandegi P, Ribeiro-da-Silva A, O'Malley KL, Coderre TJ, et al.
Nature communications (2016) 7: 10604. 156 003 WB
BDNF in Lower Brain Parts Modifies Auditory Fiber Activity to Gain Fidelity but Increases the Risk for Generation of Central Noise After Injury.
Chumak T, Rüttiger L, Lee SC, Campanelli D, Zuccotti A, Singer W, Popelář J, Gutsche K, Geisler HS, Schraven SP, Jaumann M, et al.
Molecular neurobiology (2016) 538: 5607-27. 156 003 WB, IHC
MSK1 regulates homeostatic and experience-dependent synaptic plasticity.
Corrêa SA, Hunter CJ, Palygin O, Wauters SC, Martin KJ, McKenzie C, McKelvey K, Morris RG, Pankratov Y, Arthur JS, Frenguelli BG, et al.
The Journal of neuroscience : the official journal of the Society for Neuroscience (2012) 3238: 13039-51. 156 003 WB; tested species: mouse
Evidence for a fragile X mental retardation protein-mediated translational switch in metabotropic glutamate receptor-triggered Arc translation and long-term depression.
Niere F, Wilkerson JR, Huber KM
The Journal of neuroscience : the official journal of the Society for Neuroscience (2012) 3217: 5924-36. 156 003 WB, ICC; KO verified; tested species: mouse
Astrocyte-neuron lactate transport is required for long-term memory formation.
Suzuki A, Stern SA, Bozdagi O, Huntley GW, Walker RH, Magistretti PJ, Alberini CM
Cell (2011) 1445: 810-23. 156 003 WB; tested species: rat
Post-training disruption of Arc protein expression in the anterior cingulate cortex impairs long-term memory for inhibitory avoidance training.
Holloway CM, McIntyre CK
Neurobiology of learning and memory (2011) 954: 425-32. 156 003 WB, IHC; tested species: rat
Memory-enhancing corticosterone treatment increases amygdala norepinephrine and Arc protein expression in hippocampal synaptic fractions.
McReynolds JR, Donowho K, Abdi A, McGaugh JL, Roozendaal B, McIntyre CK
Neurobiology of learning and memory (2010) 933: 312-21. 156 003 WB, IHC; tested species: rat
Positive AMPA receptor modulation rapidly stimulates BDNF release and increases dendritic mRNA translation.
Jourdi H, Hsu YT, Zhou M, Qin Q, Bi X, Baudry M
The Journal of neuroscience : the official journal of the Society for Neuroscience (2009) 2927: 8688-97. 156 003 WB; tested species: rat
The levo enantiomer of amphetamine increases memory consolidation and gene expression in the hippocampus without producing locomotor stimulation.
Wiig KA, Whitlock JR, Epstein MH, Carpenter RL, Bear MF
Neurobiology of learning and memory (2009) 921: 106-13. 156 003 WB; tested species: rat
Activity-Regulated Cytoskeleton-Associated Protein Controls AMPAR Endocytosis through a Direct Interaction with Clathrin-Adaptor Protein 2.
DaSilva LL, Wall MJ, P de Almeida L, Wauters SC, Januário YC, Müller J, Corrêa SA
eNeuro () 33: . 156 003 WB, IP
Activity-Regulated Cytoskeleton-Associated Protein Controls AMPAR Endocytosis through a Direct Interaction with Clathrin-Adaptor Protein 2.
DaSilva LL, Wall MJ, P de Almeida L, Wauters SC, Januário YC, Müller J, Corrêa SA
eNeuro () 33: . 156 003 WB, IP
Neurons with granulovacuolar degeneration bodies are resilient to tau-induced protein synthesis impairment.
Smits JFM, Ligthart TW, Jorge-Oliva M, Middelhoff S, Schipper F, Pita-Illobre D, Li KW, Scheper W
Science advances (2026) 1210: eaea8940. 156 003 ICC; tested species: mouse
Cell-type- and locus-specific epigenetic editing of memory expression.
Coda DM, Watt L, Glauser L, Batiuk MY, Burns AM, Stahl CL, Wong LY, Gräff J
Nature genetics (2025) 5711: 2661-2668. 156 003 ICC, IHC; KD verified; tested species: mouse
Synaptic rearrangement of NMDA receptors controls memory engram formation and malleability in the cortex.
Bessières B, Dupuis J, Groc L, Bontempi B, Nicole O
Science advances (2024) 1035: eado1148. 156 003 ICC; tested species: mouse
Sex-dependent responsiveness of hippocampal neurons to sex neurosteroids: A role of Arc/Arg3.1.
Brökling J, Brunne B, Rune GM
Journal of neuroendocrinology (2022) : e13090. 156 003 WB, ICC; tested species: rat
Dendritic autophagy degrades postsynaptic proteins and is required for long-term synaptic depression in mice.
Kallergi E, Daskalaki AD, Kolaxi A, Camus C, Ioannou E, Mercaldo V, Haberkant P, Stein F, Sidiropoulou K, Dalezios Y, Savitski MM, et al.
Nature communications (2022) 131: 680. 156 003 ICC; tested species: mouse
Secreted Amyloid Precursor Protein-Alpha Enhances LTP Through the Synthesis and Trafficking of Ca2+-Permeable AMPA Receptors.
Livingstone RW, Elder MK, Singh A, Westlake CM, Tate WP, Abraham WC, Williams JM
Frontiers in molecular neuroscience (2021) 14: 660208. 156 003 ICC; KD verified; tested species: rat
Regulation of metabotropic glutamate receptor internalization and synaptic AMPA receptor endocytosis by the post-synaptic protein Norbin.
Ojha P, Pal S, Bhattacharyya S
The Journal of neuroscience : the official journal of the Society for Neuroscience (2021) : . 156 003 ICC; tested species: mouse
Upf1 regulates neurite outgrowth and branching by transcriptional and post-transcriptional modulation of Arc.
Ryu HG, Seo JY, Jung Y, Kim SW, Kim E, Jang SK, Kim KT
Journal of cell science (2019) 1322: . 156 003 WB, ICC; KD verified; tested species: mouse
Secreted Amyloid Precursor Protein-Alpha Promotes Arc Protein Synthesis in Hippocampal Neurons.
Livingstone RW, Elder MK, Barrett MC, Westlake CM, Peppercorn K, Tate WP, Abraham WC, Williams JM
Frontiers in molecular neuroscience (2019) 12: 198. 156 003 ICC; tested species: rat
The Temporal Dynamics of Arc Expression Regulate Cognitive Flexibility.
Wall MJ, Collins DR, Chery SL, Allen ZD, Pastuzyn ED, George AJ, Nikolova VD, Moy SS, Philpot BD, Shepherd JD, Müller J, et al.
Neuron (2018) : . 156 003 WB, ICC; tested species: mouse
Evidence for a fragile X mental retardation protein-mediated translational switch in metabotropic glutamate receptor-triggered Arc translation and long-term depression.
Niere F, Wilkerson JR, Huber KM
The Journal of neuroscience : the official journal of the Society for Neuroscience (2012) 3217: 5924-36. 156 003 WB, ICC; KO verified; tested species: mouse
Rapid translation of Arc/Arg3.1 selectively mediates mGluR-dependent LTD through persistent increases in AMPAR endocytosis rate.
Waung MW, Pfeiffer BE, Nosyreva ED, Ronesi JA, Huber KM
Neuron (2008) 591: 84-97. 156 003 ICC, IHC; tested species: rat
Histone Hypervariants H2A.Z.1 and H2A.Z.2 Play Independent and Context-Specific Roles in Neuronal Activity-Induced Transcription ofArc/Arg3.1and Other Immediate Early Genes.
Dunn CJ, Sarkar P, Bailey ER, Farris S, Zhao M, Ward JM, Dudek SM, Saha RN
eNeuro () 44: . 156 003 ICC; tested species: rat
ARC/ARG3.1 binds the nuclear polyadenylate-binding protein RRM and regulates neuronal activity-dependent formation of nuclear speckles.
Kanhema T, Parobczak K, Patil S, Holm-Kaczmarek D, Hallin EI, Ludwiczak J, Szczepankiewicz AA, Pauzin FP, Mahboob A, Szum A, Ishizuka Y, et al.
Cell reports (2025) 444: 115525. 156 003 WB, IHC; tested species: rat
Cocaine-context memories are transcriptionally encoded in nucleus accumbens Arc ensembles.
Salery M, Godino A, Xu YQ, Fullard JF, Durand-de Cuttoli R, LaBanca AR, Holt LM, Russo SJ, Roussos P, Nestler EJ
Nature communications (2025) 161: 6084. 156 003 IHC; tested species: mouse
Selectively vulnerable deep cortical layer 5/6 fast-spiking interneurons in Alzheimer's disease models in vivo.
Papanikolaou A, Graykowski D, Lee BI, Yang M, Ellingford R, Zünkler J, Bond SA, Rowland JM, Rajani RM, Harris SS, Sharp DJ, et al.
Neuron (2025) : . 156 003 IHC; tested species: mouse
Neuronal type-specific modulation of cognition and AP-1 signaling by early-life rearing conditions.
Alaiz-Noya M, Miozzo F, Fuentes-Ramos M, Machnicka MA, Kurowska M, Herrera ML, Del Blanco B, Ninerola S, Bustos-Martínez I, Wilczynski B, Barco A, et al.
Nature communications (2025) 161: 9710. 156 003 IHC; tested species: mouse
Immediate-early genes Arc and c-Fos show divergent brain-wide expression following contextual fear conditioning.
Bulthuis NE, Quintana LI, Stackmann M, Denny CA
Communications biology (2025) 81: 1452. 156 003 IHC; tested species: mouse
Cell-type- and locus-specific epigenetic editing of memory expression.
Coda DM, Watt L, Glauser L, Batiuk MY, Burns AM, Stahl CL, Wong LY, Gräff J
Nature genetics (2025) 5711: 2661-2668. 156 003 ICC, IHC; KD verified; tested species: mouse
Audiovisual gamma stimulation restores hippocampal neurogenesis and neural circuit plasticity in aging mice.
Trinchero MF, Herrero M, Mugnaini M, Soldi N, Aguilar-Arredondo A, Benas S, Satorre IG, Kropff E, Schinder AF
Molecular psychiatry (2025) : . 156 003 IHC; tested species: mouse
ABBA+BraiAn, an integrated suite for whole-brain mapping, reveals brain-wide differences in immediate-early genes induction upon learning.
Chiaruttini N, Castoldi C, Requie LM, Camarena-Delgado C, Dal Bianco B, Gräff J, Seitz A, Silva BA
Cell reports (2025) 447: 115876. 156 003 IHC; tested species: mouse
Hyperactivation of MEK1 in cortical glutamatergic neurons results in projection axon deficits and aberrant motor learning.
Bjorklund GR, Rees KP, Balasubramanian K, Hewitt LT, Nishimura K, Newbern JM
Disease models & mechanisms (2024) 176: . 156 003 IHC; tested species: mouse
Adult zymosan re-exposure exacerbates the molecular alterations in the brainstem rostral ventromedial medulla of rats with early life zymosan-induced cystitis.
Talluri B, Addya S, Terashvili M, Medda BK, Banerjee A, Shaker R, Sengupta JN, Banerjee B
Neurobiology of pain (Cambridge, Mass.) (2024) 16: 100160. 156 003 IHC; tested species: rat
Phospholipase C beta 1 in the dentate gyrus gates fear memory formation through regulation of neuronal excitability.
Lee J, Jeong Y, Park S, Kim S, Oh H, Jin JA, Sohn JW, Kim D, Shin HS, Do Heo W
Science advances (2024) 1027: eadj4433. 156 003 IHC; tested species: rat
Visuotactile integration facilitates mirror-induced self-directed behavior through activation of hippocampal neuronal ensembles in mice.
Yokose J, Marks WD, Kitamura T
Neuron (2024) 1122: 306-318.e8. 156 003 IHC; tested species: mouse
Data on electroconvulsive seizure in mice, effects of anesthesia on immediate early gene expression.
Ozols AB, Meyers KT, Damphousse CC, Campbell JM, Khoshaba R, Wallace SG, Hu C, Marrone DF, Gallitano AL
Data in brief (2024) 54: 110365. 156 003 IHC; tested species: mouse
EZH2-dependent epigenetic reprogramming in the central nucleus of amygdala regulates adult anxiety in both sexes after adolescent alcohol exposure.
Bohnsack JP, Zhang H, Pandey SC
Translational psychiatry (2024) 141: 197. 156 003 IHC; tested species: rat
Systems consolidation induces multiple memory engrams for a flexible recall strategy in observational fear memory in male mice.
Terranova JI, Yokose J, Osanai H, Ogawa SK, Kitamura T
Nature communications (2023) 141: 3976. 156 003 IHC; tested species: mouse
Diverse processing of pharmacological and natural rewards by the central amygdala.
Bijoch Ł, Klos J, Pękała M, Fiołna K, Kaczmarek L, Beroun A
Cell reports (2023) 429: 113036. 156 003 IHC; tested species: mouse
Striatal mGlu5-mediated synaptic plasticity is independently regulated by location-specific receptor pools and divergent signaling pathways.
Jong YI, Izumi Y, Harmon SK, Zorumski CF, ÓMalley KL
The Journal of biological chemistry (2023) 2998: 104949. 156 003 IHC; tested species: mouse
Neuronal activity drives IGF2 expression from pericytes to form long-term memory.
Pandey K, Bessières B, Sheng SL, Taranda J, Osten P, Sandovici I, Constancia M, Alberini CM
Neuron (2023) 11123: 3819-3836.e8. 156 003 WB, IHC; tested species: mouse
Arc controls alcohol cue relapse by a central amygdala mechanism.
Pagano R, Salamian A, Zielinski J, Beroun A, Nalberczak-Skóra M, Skonieczna E, Cały A, Tay N, Banaschewski T, Desrivières S, Grigis A, et al.
Molecular psychiatry (2023) 282: 733-745. 156 003 WB, IHC; KO verified; tested species: mouse
Activity-regulated cytoskeletal-associated protein (Arc) in presynaptic terminals and extracellular vesicles in hippocampal synapses.
Ringsevjen H, Egbenya DL, Bieler M, Davanger S, Hussain S
Frontiers in molecular neuroscience (2023) 16: 1225533. 156 003 WB, IHC, EM; tested species: rat
Bank voles show more impulsivity in IntelliCage learning tasks than wood mice.
Marielle J, Jovana M, David P W, Christopher R P, Toshihiro E, Seico B, Irmgard A
Neuroscience (2022) : . 156 003 IHC; tested species: mouse
Early death in a mouse model of Alzheimer's disease exacerbated by microglial loss of TAM receptor signaling.
Huang Y, Lemke G
Proceedings of the National Academy of Sciences of the United States of America (2022) 11941: e2204306119. 156 003 IHC; tested species: mouse
Extrahippocampal seizure and memory circuits overlap.
Naik AA, Brodovskaya A, Subedi S, Akram A, Kapur J
eNeuro (2022) : . 156 003 IHC; tested species: mouse
Hippocampal-amygdala memory circuits govern experience-dependent observational fear.
Terranova JI, Yokose J, Osanai H, Marks WD, Yamamoto J, Ogawa SK, Kitamura T
Neuron (2022) : . 156 003 IHC; tested species: mouse
Luteolin relieves lung cancer-induced bone pain by inhibiting NLRP3 inflammasomes and glial activation in the spinal dorsal horn in mice.
Zhou YS, Cui Y, Zheng JX, Quan YQ, Wu SX, Xu H, Han Y
Phytomedicine : international journal of phytotherapy and phytopharmacology (2022) 96: 153910. 156 003 IHC; tested species: mouse
Dissociable roles of the nucleus accumbens core and shell subregions in the expression and extinction of conditioned fear.
Dutta S, Beaver J, Halcomb CJ, Jasnow AM
Neurobiology of stress (2021) 15: 100365. 156 003 IHC; tested species: mouse
Light-guided sectioning for precise in situ localization and tissue interface analysis for brain-implanted optical fibers and GRIN lenses.
Kahan A, Greenbaum A, Jang MJ, Robinson JE, Cho JR, Chen X, Kassraian P, Wagenaar DA, Gradinaru V
Cell reports (2021) 3613: 109744. 156 003 IHC; tested species: mouse
Mechanism of seizure-induced retrograde amnesia.
Naik AA, Sun H, Williams CL, Weller DS, Julius Zhu J, Kapur J
Progress in neurobiology (2021) 200: 101984. 156 003 IHC; tested species: mouse
Synaptic plasticity-dependent competition rule influences memory formation.
Jeong Y, Cho HY, Kim M, Oh JP, Kang MS, Yoo M, Lee HS, Han JH
Nature communications (2021) 121: 3915. 156 003 IHC; tested species: mouse
Activity in projection neurons from prelimbic cortex to the PVT is necessary for retrieval of morphine withdrawal memory.
Yu L, Chu C, Yuan Y, Guo X, Lei C, Sheng H, Yang L, Cui D, Lai B, Zheng P
Cell reports (2021) 351: 108958. 156 003 IHC; tested species: mouse
Astrocytic cAMP modulates memory via synaptic plasticity.
Zhou Z, Okamoto K, Onodera J, Hiragi T, Andoh M, Ikawa M, Tanaka KF, Ikegaya Y, Koyama R
Proceedings of the National Academy of Sciences of the United States of America (2021) 1183: . 156 003 IHC; tested species: mouse
A role for CIM6P/IGF2 receptor in memory consolidation and enhancement.
Yu XW, Pandey K, Katzman AC, Alberini CM
eLife (2020) 9: . 156 003 IHC; tested species: rat
Low-dose alcohol: Interoceptive and molecular effects and the role of dentate gyrus in rats.
Randall PA, Lovelock DF, VanVoorhies K, Agan VE, Kash TL, Besheer J
Addiction biology (2020) : e12965. 156 003 IHC; tested species: rat
Tinnitus rat model generated by laser-induced shock wave; a platform for analyzing the central nervous system after tinnitus generation.
Niwa K, Mizutari K, Matsui T, Kawauchi S, Sato S, Shiotani A, Kobayashi Y
Auris, nasus, larynx (2020) : . 156 003 IHC; tested species: rat
Autophagy coupled to translation is required for long-term memory.
Pandey K, Yu XW, Steinmetz A, Alberini CM
Autophagy (2020) : . 156 003 IHC; tested species: rat
Neuronal ensemble-specific DNA methylation strengthens engram stability.
Gulmez Karaca K, Kupke J, Brito DVC, Zeuch B, Thome C, Weichenhan D, Lutsik P, Plass C, Oliveira AMM
Nature communications (2020) 111: 639. 156 003 WB, IHC; tested species: mouse
The Noonan Syndrome-linked Raf1L613V mutation drives increased glial number in the mouse cortex and enhanced learning.
Holter MC, Hewitt LT, Koebele SV, Judd JM, Xing L, Bimonte-Nelson HA, Conrad CD, Araki T, Neel BG, Snider WD, Newbern JM, et al.
PLoS genetics (2019) 154: e1008108. 156 003 IHC; tested species: mouse
Vestibular Compensation after Vestibular Dysfunction Induced by Arsanilic Acid in Mice.
Ito T, Tatsumi K, Takimoto Y, Nishimura T, Imai T, Yamanaka T, Takeda N, Wanaka A, Kitahara T
Brain sciences (2019) 911: . 156 003 IHC; tested species: mouse
Lactate from astrocytes fuels learning-induced mRNA translation in excitatory and inhibitory neurons.
Descalzi G, Gao V, Steinman MQ, Suzuki A, Alberini CM
Communications biology (2019) 2: 247. 156 003 IHC; tested species: rat
Effects of anisomycin infusions into the dorsal striatum on memory consolidation of intense training and neurotransmitter activity.
González-Franco DA, Bello-Medina PC, Serafín N, Prado-Alcalá RA, Quirarte GL
Brain research bulletin (2019) : . 156 003 IHC; tested species: rat
Crucial role of feedback signals from prelimbic cortex to basolateral amygdala in the retrieval of morphine withdrawal memory.
Song J, Shao D, Guo X, Zhao Y, Cui D, Ma Q, Sheng H, Ma L, Lai B, Chen M, Zheng P, et al.
Science advances (2019) 52: eaat3210. 156 003 IHC; tested species: mouse
Hes1 expression in mature neurons in the adult mouse brain is required for normal behaviors.
Matsuzaki T, Yoshihara T, Ohtsuka T, Kageyama R
Scientific reports (2019) 91: 8251. 156 003 IHC; tested species: mouse
Copulation induces expression of the immediate early gene Arc in mating-relevant brain regions of the male rat.
Turner JM, Will RG, Harvey EA, Hattori T, Tobiansky DJ, Nutsch VL, Martz JR, Dominguez JM
Behavioural brain research (2019) : 112006. 156 003 IHC; tested species: rat
Activity-dependent reconnection of adult-born dentate granule cells in a mouse model of frontotemporal dementia.
Terreros-Roncal J, Flor-García M, Moreno-Jiménez EP, Pallas-Bazarra N, Rábano A, Sah N, van Praag H, Giacomini D, Schinder AF, Ávila J, Llorens-Martín M, et al.
The Journal of neuroscience : the official journal of the Society for Neuroscience (2019) : . 156 003 IHC; tested species: mouse
Evidence supporting a role for astrocytes in the regulation of cognitive flexibility and neuronal oscillations through the Ca2+ binding protein S100β.
Brockett AT, Kane GA, Monari PK, Briones BA, Vigneron PA, Barber GA, Bermudez A, Dieffenbach U, Kloth AD, Buschman TJ, Gould E, et al.
PloS one (2018) 134: e0195726. 156 003 IHC; tested species: rat
Molecular and Circuit-Dynamical Identification of Top-Down Neural Mechanisms for Restraint of Reward Seeking.
Kim CK, Ye L, Jennings JH, Pichamoorthy N, Tang DD, Yoo AW, Ramakrishnan C, Deisseroth K
Cell (2017) 1705: 1013-1027.e14. 156 003 IHC; tested species: mouse
Homeostatic Changes in GABA and Glutamate Receptors on Excitatory Cortical Neurons during Sleep Deprivation and Recovery.
Del Cid-Pellitero E, Plavski A, Mainville L, Jones BE
Frontiers in systems neuroscience (2017) 11: 17. 156 003 IHC; tested species: mouse
c-Fos and Arc/Arg3.1 expression in auditory and visual cortices after hearing loss: Evidence of sensory crossmodal reorganization in adult rats.
Pernia M, Estevez S, Poveda C, Plaza I, Carro J, Juiz JM, Merchan MA
The Journal of comparative neurology (2017) 52512: 2677-2689. 156 003 IHC
Delayed Degradation and Impaired Dendritic Delivery of Intron-LackingEGFP-Arc/Arg3.1mRNA inEGFP-ArcTransgenic Mice.
Steward O, Matsudaira Yee K, Farris S, Pirbhoy PS, Worley P, Okamura K, Okuno H, Bito H
Frontiers in molecular neuroscience (2017) 10: 435. 156 003 IHC; tested species: mouse
Arc restores juvenile plasticity in adult mouse visual cortex.
Jenks KR, Kim T, Pastuzyn ED, Okuno H, Taibi AV, Bito H, Bear MF, Shepherd JD
Proceedings of the National Academy of Sciences of the United States of America (2017) 11434: 9182-9187. 156 003 IHC; KO verified; tested species: mouse
Chronic pregabalin treatment decreases excitability of dentate gyrus and accelerates maturation of adult-born granule cells.
Lempel AA, Coll L, Schinder AF, Uchitel OD, Piriz J
Journal of neurochemistry (2017) 1402: 257-267. 156 003 IHC; tested species: mouse
Experience-Dependent Plasticity in Accessory Olfactory Bulb Interneurons following Male-Male Social Interaction.
Cansler HL, Maksimova MA, Meeks JP
The Journal of neuroscience : the official journal of the Society for Neuroscience (2017) 3730: 7240-7252. 156 003 IHC; tested species: mouse
Dentate Gyrus Contributes to Retrieval as well as Encoding: Evidence from Context Fear Conditioning, Recall, and Extinction.
Bernier BE, Lacagnina AF, Ayoub A, Shue F, Zemelman BV, Krasne FB, Drew MR
The Journal of neuroscience : the official journal of the Society for Neuroscience (2017) 3726: 6359-6371. 156 003 IHC; tested species: mouse
BDNF in Lower Brain Parts Modifies Auditory Fiber Activity to Gain Fidelity but Increases the Risk for Generation of Central Noise After Injury.
Chumak T, Rüttiger L, Lee SC, Campanelli D, Zuccotti A, Singer W, Popelář J, Gutsche K, Geisler HS, Schraven SP, Jaumann M, et al.
Molecular neurobiology (2016) 538: 5607-27. 156 003 WB, IHC
Stress in utero alters neonatal stress-induced regulation of the synaptic plasticity proteins Arc and Egr1 in a sex-specific manner.
Gröger N, Bock J, Goehler D, Blume N, Lisson N, Poeggel G, Braun K
Brain structure & function (2016) 2211: 679-85. 156 003 IHC
Calcium dysregulation via L-type voltage-dependent calcium channels and ryanodine receptors underlies memory deficits and synaptic dysfunction during chronic neuroinflammation.
Hopp SC, D'Angelo HM, Royer SE, Kaercher RM, Crockett AM, Adzovic L, Wenk GL
Journal of neuroinflammation (2015) 12: 56. 156 003 IHC
Long-delayed expression of the immediate early gene Arc/Arg3.1 refines neuronal circuits to perpetuate fear memory.
Nakayama D, Iwata H, Teshirogi C, Ikegaya Y, Matsuki N, Nomura H
The Journal of neuroscience : the official journal of the Society for Neuroscience (2015) 352: 819-30. 156 003 IHC; tested species: mouse
The supramammillary nucleus and the claustrum activate the cortex during REM sleep.
Renouard L, Billwiller F, Ogawa K, Clément O, Camargo N, Abdelkarim M, Gay N, Scoté-Blachon C, Touré R, Libourel PA, Ravassard P, et al.
Science advances (2015) 13: e1400177. 156 003 IHC
Selective localization of arc mRNA in dendrites involves activity- and translation-dependent mRNA degradation.
Farris S, Lewandowski G, Cox CD, Steward O
The Journal of neuroscience : the official journal of the Society for Neuroscience (2014) 3413: 4481-93. 156 003 IHC; tested species: rat
The participation of cortical amygdala in innate, odour-driven behaviour.
Root CM, Denny CA, Hen R, Axel R
Nature (2014) 5157526: 269-73. 156 003 IHC; tested species: mouse
The reduced cochlear output and the failure to adapt the central auditory response causes tinnitus in noise exposed rats.
Rüttiger L, Singer W, Panford-Walsh R, Matsumoto M, Lee SC, Zuccotti A, Zimmermann U, Jaumann M, Rohbock K, Xiong H, Knipper M, et al.
PloS one (2013) 83: e57247. 156 003 IHC; tested species: rat
Isolation rearing attenuates social interaction-induced expression of immediate early gene protein products in the medial prefrontal cortex of male and female rats.
Wall VL, Fischer EK, Bland ST
Physiology & behavior (2012) 1073: 440-50. 156 003 IHC; tested species: rat
The timing for neuronal maturation in the adult hippocampus is modulated by local network activity.
Piatti VC, Davies-Sala MG, Espósito MS, Mongiat LA, Trinchero MF, Schinder AF
The Journal of neuroscience : the official journal of the Society for Neuroscience (2011) 3121: 7715-28. 156 003 IHC; tested species: mouse
Post-training disruption of Arc protein expression in the anterior cingulate cortex impairs long-term memory for inhibitory avoidance training.
Holloway CM, McIntyre CK
Neurobiology of learning and memory (2011) 954: 425-32. 156 003 WB, IHC; tested species: rat
Memory-enhancing corticosterone treatment increases amygdala norepinephrine and Arc protein expression in hippocampal synaptic fractions.
McReynolds JR, Donowho K, Abdi A, McGaugh JL, Roozendaal B, McIntyre CK
Neurobiology of learning and memory (2010) 933: 312-21. 156 003 WB, IHC; tested species: rat
Rapid translation of Arc/Arg3.1 selectively mediates mGluR-dependent LTD through persistent increases in AMPAR endocytosis rate.
Waung MW, Pfeiffer BE, Nosyreva ED, Ronesi JA, Huber KM
Neuron (2008) 591: 84-97. 156 003 ICC, IHC; tested species: rat
Midazolam reverses salicylate-induced changes in brain-derived neurotrophic factor and arg3.1 expression: implications for tinnitus perception and auditory plasticity.
Panford-Walsh R, Singer W, Rüttiger L, Hadjab S, Tan J, Geisler HS, Zimmermann U, Köpschall I, Rohbock K, Vieljans A, Oestreicher E, et al.
Molecular pharmacology (2008) 743: 595-604. 156 003 IHC; tested species: rat
Multi-session delivery of synchronous rTMS and sensory stimulation induces long-term plasticity.
Zhong M, Cywiak C, Metto AC, Liu X, Qian C, Pelled G
Brain stimulation () 144: 884-894. 156 003 IHC; tested species: rat
Spatial proteomics in neurons at single-protein resolution.
Unterauer EM, Shetab Boushehri S, Jevdokimenko K, Masullo LA, Ganji M, Sograte-Idrissi S, Kowalewski R, Strauss S, Reinhardt SCM, Perovic A, Marr C, et al.
Cell (2024) 1877: 1785-1800.e16. 156 003 DNA-PAINT; tested species: rat
Activity-regulated cytoskeletal-associated protein (Arc) in presynaptic terminals and extracellular vesicles in hippocampal synapses.
Ringsevjen H, Egbenya DL, Bieler M, Davanger S, Hussain S
Frontiers in molecular neuroscience (2023) 16: 1225533. 156 003 WB, IHC, EM; tested species: rat
Synapse-specific changes in Arc and BDNF in rat hippocampus following chronic temporal lobe epilepsy.
Egbenya DL, Hussain S, Lai YC, Anderson AE, Davanger S
Neuroscience research (2022) : . 156 003 WB, EM; tested species: rat
Granule Cell Ensembles in Mouse Dentate Gyrus Rapidly Upregulate the Plasticity-Related Protein Synaptopodin after Exploration Behavior.
Paul MH, Choi M, Schlaudraff J, Deller T, Del Turco D
Cerebral cortex (New York, N.Y. : 1991) (2019) : . 156 003 EM; tested species: mouse
Late maturation of adult-born neurons in the temporal dentate gyrus.
Snyder JS, Ferrante SC, Cameron HA
PloS one (2012) 711: e48757. 156 003 ; tested species: rat
Cat. No.: 156 003
Amount: 50 µg
Price: $480.00
ARC/ARG3.1 binds the nuclear polyadenylate-binding protein RRM and regulates neuronal activity-dependent formation of nuclear speckles.
Kanhema T, Parobczak K, Patil S, Holm-Kaczmarek D, Hallin EI, Ludwiczak J, Szczepankiewicz AA, Pauzin FP, Mahboob A, Szum A, Ishizuka Y, et al.
Cell reports (2025) 444: 115525. 156 003 WB, IHC; tested species: rat
TARPγ2-Derived Peptide Enhances Early-Phase Long-Term Potentiation and Impairs Memory Retention in Male Rats.
Mátyás D, Tukacs V, Tóth V, Baracskay P, Pap SK, Stráner P, Hiền TM, Hunyadi-Gulyás É, Darula Z, Perczel A, Kékesi KA, et al.
Brain sciences (2025) 158: . 156 003 WB; tested species: rat
Temporal and protein-specific S-palmitoylation supports synaptic and neural network plasticity.
Pytyś A, Ijaz R, Buszka A, Miłek J, Figiel I, Wardaszka-Pianka P, Roszkowska M, Mierzwa N, Wojtas A, Kerstein E, Serwa R, et al.
Cellular and molecular life sciences : CMLS (2025) 821: 355. 156 003 WB; tested species: rat
Contrasting Effects of an Atherogenic Diet and High-Protein/Unsaturated Fatty Acids Diet on the Accelerated Aging Mouse Model SAMP8 Phenotype.
Llanquinao J, Jara C, Cortés-Díaz D, Kerr B, Tapia-Rojas C
Neurology international (2024) 165: 1066-1085. 156 003 WB; tested species: mouse
Enhancing mRNA Interactions by Engineering the Arc Protein with Nucleocapsid Domain.
Upadhayay V, Gu W, Yu Q
Langmuir : the ACS journal of surfaces and colloids (2024) 4044: 23473-23482. 156 003 WB
PNMA2 forms immunogenic non-enveloped virus-like capsids associated with paraneoplastic neurological syndrome.
Xu J, Erlendsson S, Singh M, Holling GA, Regier M, Ibiricu I, Einstein J, Hantak MP, Day GS, Piquet AL, Smith TL, et al.
Cell (2024) 1874: 831-845.e19. 156 003 WB; tested species: rat
MSK1 is required for the experience- and ampakine-dependent enhancement of spatial reference memory and reversal learning and for the induction of Arc and BDNF.
Morè L, Privitera L, Lopes M, Arthur JSC, Lauterborn JC, Corrêa SAL, Frenguelli BG
Neuropharmacology (2024) : 110110. 156 003 WB; tested species: mouse
Biphasic Npas4 expression promotes inhibitory plasticity and suppression of fear memory consolidation in mice.
Brito DVC, Kupke J, Sokolov R, Cambridge S, Both M, Bengtson CP, Rozov A, Oliveira AMM
Molecular psychiatry (2024) : . 156 003 WB; tested species: mouse
Detection of Arc/Arg3.1 oligomers in rat brain: constitutive and synaptic activity-evoked dimer expression in vivo.
Mergiya TF, Gundersen JET, Kanhema T, Brighter G, Ishizuka Y, Bramham CR
Frontiers in molecular neuroscience (2023) 16: 1142361. 156 003 WB; tested species: rat
Activity-regulated cytoskeletal-associated protein (Arc) in presynaptic terminals and extracellular vesicles in hippocampal synapses.
Ringsevjen H, Egbenya DL, Bieler M, Davanger S, Hussain S
Frontiers in molecular neuroscience (2023) 16: 1225533. 156 003 WB, IHC, EM; tested species: rat
Neuronal activity drives IGF2 expression from pericytes to form long-term memory.
Pandey K, Bessières B, Sheng SL, Taranda J, Osten P, Sandovici I, Constancia M, Alberini CM
Neuron (2023) 11123: 3819-3836.e8. 156 003 WB, IHC; tested species: mouse
Arc controls alcohol cue relapse by a central amygdala mechanism.
Pagano R, Salamian A, Zielinski J, Beroun A, Nalberczak-Skóra M, Skonieczna E, Cały A, Tay N, Banaschewski T, Desrivières S, Grigis A, et al.
Molecular psychiatry (2023) 282: 733-745. 156 003 WB, IHC; KO verified; tested species: mouse
Light activates Ube3a, an Angelman syndrome-associated gene, by mediating the chromatin structures during postnatal development of mouse retina.
Lin CW, Cheng YC, Yang CH, Huang HS
Journal of neurochemistry (2023) 1676: 766-777. 156 003 WB; tested species: mouse
The E3 ubiquitin ligase RNF216/TRIAD3 is a key coordinator of the hypothalamic-pituitary-gonadal axis.
George AJ, Dong B, Lail H, Gomez M, Hoffiz YC, Ware CB, Fang N, Murphy AZ, Hrabovszky E, Wanders D, Mabb AM, et al.
iScience (2022) 256: 104386. 156 003 WB; tested species: mouse
Development and Validation of Arc Nanobodies: New Tools for Probing Arc Dynamics and Function.
Ishizuka Y, Mergiya TF, Baldinotti R, Xu J, Hallin EI, Markússon S, Kursula P, Bramham CR
Neurochemical research (2022) : . 156 003 WB; tested species: rat
Sex-dependent responsiveness of hippocampal neurons to sex neurosteroids: A role of Arc/Arg3.1.
Brökling J, Brunne B, Rune GM
Journal of neuroendocrinology (2022) : e13090. 156 003 WB, ICC; tested species: rat
Synapse-specific changes in Arc and BDNF in rat hippocampus following chronic temporal lobe epilepsy.
Egbenya DL, Hussain S, Lai YC, Anderson AE, Davanger S
Neuroscience research (2022) : . 156 003 WB, EM; tested species: rat
Phosphorylation-dependent control of Activity-regulated cytoskeleton-associated protein (Arc) protein by TNIK.
Walczyk-Mooradally A, Holborn J, Singh K, Tyler M, Patnaik D, Wesseling H, Brandon NJ, Steen J, Graether SP, Haggarty SJ, Lalonde J, et al.
Journal of neurochemistry (2021) 1585: 1058-1073. 156 003 WB; tested species: mouse
Nrg1 haploinsufficiency alters inhibitory cortical circuits.
Navarro-Gonzalez C, Carceller H, Benito Vicente M, Serra I, Navarrete M, Domínguez-Canterla Y, Rodríguez-Prieto Á, González-Manteiga A, Fazzari P
Neurobiology of disease (2021) 157: 105442. 156 003 WB; tested species: mouse
Missense mutation of Fmr1 results in impaired AMPAR-mediated plasticity and socio-cognitive deficits in mice.
Prieto M, Folci A, Poupon G, Schiavi S, Buzzelli V, Pronot M, François U, Pousinha P, Lattuada N, Abelanet S, Castagnola S, et al.
Nature communications (2021) 121: 1557. 156 003 WB; tested species: mouse
Melatonin alters neuronal architecture and increases cysteine-rich protein 1 signaling in the male mouse hippocampus.
Ang MJ, Kang S, Moon C
Journal of neuroscience research (2020) : . 156 003 WB; tested species: mouse
Neuronal ensemble-specific DNA methylation strengthens engram stability.
Gulmez Karaca K, Kupke J, Brito DVC, Zeuch B, Thome C, Weichenhan D, Lutsik P, Plass C, Oliveira AMM
Nature communications (2020) 111: 639. 156 003 WB, IHC; tested species: mouse
Hormetic-Like Effects of L-Homocysteine on Synaptic Structure, Function, and Aβ Aggregation.
Montecinos-Oliva C, Arrázola MS, Jara C, Tapia-Rojas C, Inestrosa NC
Pharmaceuticals (Basel, Switzerland) (2020) 132: . 156 003 WB; tested species: mouse
Firing Rate Homeostasis Can Occur in the Absence of Neuronal Activity-Regulated Transcription.
Tyssowski KM, Letai KC, Rendall SD, Tan C, Nizhnik A, Kaeser PS, Gray JM
The Journal of neuroscience : the official journal of the Society for Neuroscience (2019) 3950: 9885-9899. 156 003 WB; KO verified; tested species: mouse
Neurobiological substrates of persistent working memory deficits and cocaine-seeking in the prelimbic cortex of rats with a history of extended access to cocaine self-administration.
Gobin C, Shallcross J, Schwendt M
Neurobiology of learning and memory (2019) : . 156 003 WB; tested species: rat
Disturbed prefrontal cortex activity in the absence of schizophrenia-like behavioral dysfunction in Arc/Arg3.1 deficient mice.
Gao X, Grendel J, Muhia M, Castro-Gomez S, Süsens U, Isbrandt D, Kneussel M, Kuhl D, Ohana O
The Journal of neuroscience : the official journal of the Society for Neuroscience (2019) : . 156 003 WB; KO verified; tested species: mouse
Sam68 Enables Metabotropic Glutamate Receptor-Dependent LTD in Distal Dendritic Regions of CA1 Hippocampal Neurons.
Klein ME, Younts TJ, Cobo CF, Buxbaum AR, Aow J, Erdjument-Bromage H, Richard S, Malinow R, Neubert TA, Singer RH, Castillo PE, et al.
Cell reports (2019) 297: 1789-1799.e6. 156 003 WB; tested species: mouse
Impaired dopamine- and adenosine-mediated signaling and plasticity in a novel rodent model for DYT25 dystonia.
Yu-Taeger L, Ott T, Bonsi P, Tomczak C, Wassouf Z, Martella G, Sciamanna G, Imbriani P, Ponterio G, Tassone A, Schulze-Hentrich JM, et al.
Neurobiology of disease (2019) : 104634. 156 003 WB; tested species: rat
Developmental changes in plasticity, synaptic, glia, and connectivity protein levels in rat basolateral amygdala.
Bessières B, Jia M, Travaglia A, Alberini CM
Learning & memory (Cold Spring Harbor, N.Y.) (2019) 2611: 436-448. 156 003 WB; tested species: rat
Upf1 regulates neurite outgrowth and branching by transcriptional and post-transcriptional modulation of Arc.
Ryu HG, Seo JY, Jung Y, Kim SW, Kim E, Jang SK, Kim KT
Journal of cell science (2019) 1322: . 156 003 WB, ICC; KD verified; tested species: mouse
Developmental changes in plasticity, synaptic, glia, and connectivity protein levels in rat medial prefrontal cortex.
Jia M, Travaglia A, Pollonini G, Fedele G, Alberini CM
Learning & memory (Cold Spring Harbor, N.Y.) (2018) 2510: 533-543. 156 003 WB; tested species: rat
StaPLs: versatile genetically encoded modules for engineering drug-inducible proteins.
Jacobs CL, Badiee RK, Lin MZ
Nature methods (2018) 157: 523-526. 156 003 WB; tested species: human
The Temporal Dynamics of Arc Expression Regulate Cognitive Flexibility.
Wall MJ, Collins DR, Chery SL, Allen ZD, Pastuzyn ED, George AJ, Nikolova VD, Moy SS, Philpot BD, Shepherd JD, Müller J, et al.
Neuron (2018) : . 156 003 WB, ICC; tested species: mouse
MEF2A regulates mGluR-dependent AMPA receptor trafficking independently of Arc/Arg3.1.
Carmichael RE, Wilkinson KA, Craig TJ, Ashby MC, Henley JM
Scientific reports (2018) 81: 5263. 156 003 WB; tested species: rat
Autism-like behavior caused by deletion of vaccinia-related kinase 3 is improved by TrkB stimulation.
Kang MS, Choi TY, Ryu HG, Lee D, Lee SH, Choi SY, Kim KT
The Journal of experimental medicine (2017) 21410: 2947-2966. 156 003 WB; tested species: mouse
Hierarchical organization and genetically separable subfamilies of PSD95 postsynaptic supercomplexes.
Frank RAW, Zhu F, Komiyama NH, Grant SGN
Journal of neurochemistry (2017) 1424: 504-511. 156 003 WB; tested species: mouse
Vagus Nerve Stimulation Enhances Extinction of Conditioned Fear in Rats and Modulates Arc Protein, CaMKII, and GluN2B-Containing NMDA Receptors in the Basolateral Amygdala.
Alvarez-Dieppa AC, Griffin K, Cavalier S, McIntyre CK
Neural plasticity (2016) 2016: 4273280. 156 003 WB; tested species: rat
Calmodulin activity regulates group I metabotropic glutamate receptor-mediated signal transduction and synaptic depression.
Sethna F, Zhang M, Kaphzan H, Klann E, Autio D, Cox CL, Wang H
Journal of neuroscience research (2016) 945: 401-8. 156 003 WB
Intracellular mGluR5 plays a critical role in neuropathic pain.
Vincent K, Cornea VM, Jong YJ, Laferrière A, Kumar N, Mickeviciute A, Fung JS, Bandegi P, Ribeiro-da-Silva A, O'Malley KL, Coderre TJ, et al.
Nature communications (2016) 7: 10604. 156 003 WB
BDNF in Lower Brain Parts Modifies Auditory Fiber Activity to Gain Fidelity but Increases the Risk for Generation of Central Noise After Injury.
Chumak T, Rüttiger L, Lee SC, Campanelli D, Zuccotti A, Singer W, Popelář J, Gutsche K, Geisler HS, Schraven SP, Jaumann M, et al.
Molecular neurobiology (2016) 538: 5607-27. 156 003 WB, IHC
MSK1 regulates homeostatic and experience-dependent synaptic plasticity.
Corrêa SA, Hunter CJ, Palygin O, Wauters SC, Martin KJ, McKenzie C, McKelvey K, Morris RG, Pankratov Y, Arthur JS, Frenguelli BG, et al.
The Journal of neuroscience : the official journal of the Society for Neuroscience (2012) 3238: 13039-51. 156 003 WB; tested species: mouse
Evidence for a fragile X mental retardation protein-mediated translational switch in metabotropic glutamate receptor-triggered Arc translation and long-term depression.
Niere F, Wilkerson JR, Huber KM
The Journal of neuroscience : the official journal of the Society for Neuroscience (2012) 3217: 5924-36. 156 003 WB, ICC; KO verified; tested species: mouse
Astrocyte-neuron lactate transport is required for long-term memory formation.
Suzuki A, Stern SA, Bozdagi O, Huntley GW, Walker RH, Magistretti PJ, Alberini CM
Cell (2011) 1445: 810-23. 156 003 WB; tested species: rat
Post-training disruption of Arc protein expression in the anterior cingulate cortex impairs long-term memory for inhibitory avoidance training.
Holloway CM, McIntyre CK
Neurobiology of learning and memory (2011) 954: 425-32. 156 003 WB, IHC; tested species: rat
Memory-enhancing corticosterone treatment increases amygdala norepinephrine and Arc protein expression in hippocampal synaptic fractions.
McReynolds JR, Donowho K, Abdi A, McGaugh JL, Roozendaal B, McIntyre CK
Neurobiology of learning and memory (2010) 933: 312-21. 156 003 WB, IHC; tested species: rat
Positive AMPA receptor modulation rapidly stimulates BDNF release and increases dendritic mRNA translation.
Jourdi H, Hsu YT, Zhou M, Qin Q, Bi X, Baudry M
The Journal of neuroscience : the official journal of the Society for Neuroscience (2009) 2927: 8688-97. 156 003 WB; tested species: rat
The levo enantiomer of amphetamine increases memory consolidation and gene expression in the hippocampus without producing locomotor stimulation.
Wiig KA, Whitlock JR, Epstein MH, Carpenter RL, Bear MF
Neurobiology of learning and memory (2009) 921: 106-13. 156 003 WB; tested species: rat
Activity-Regulated Cytoskeleton-Associated Protein Controls AMPAR Endocytosis through a Direct Interaction with Clathrin-Adaptor Protein 2.
DaSilva LL, Wall MJ, P de Almeida L, Wauters SC, Januário YC, Müller J, Corrêa SA
eNeuro () 33: . 156 003 WB, IP
Activity-Regulated Cytoskeleton-Associated Protein Controls AMPAR Endocytosis through a Direct Interaction with Clathrin-Adaptor Protein 2.
DaSilva LL, Wall MJ, P de Almeida L, Wauters SC, Januário YC, Müller J, Corrêa SA
eNeuro () 33: . 156 003 WB, IP
Neurons with granulovacuolar degeneration bodies are resilient to tau-induced protein synthesis impairment.
Smits JFM, Ligthart TW, Jorge-Oliva M, Middelhoff S, Schipper F, Pita-Illobre D, Li KW, Scheper W
Science advances (2026) 1210: eaea8940. 156 003 ICC; tested species: mouse
Cell-type- and locus-specific epigenetic editing of memory expression.
Coda DM, Watt L, Glauser L, Batiuk MY, Burns AM, Stahl CL, Wong LY, Gräff J
Nature genetics (2025) 5711: 2661-2668. 156 003 ICC, IHC; KD verified; tested species: mouse
Synaptic rearrangement of NMDA receptors controls memory engram formation and malleability in the cortex.
Bessières B, Dupuis J, Groc L, Bontempi B, Nicole O
Science advances (2024) 1035: eado1148. 156 003 ICC; tested species: mouse
Sex-dependent responsiveness of hippocampal neurons to sex neurosteroids: A role of Arc/Arg3.1.
Brökling J, Brunne B, Rune GM
Journal of neuroendocrinology (2022) : e13090. 156 003 WB, ICC; tested species: rat
Dendritic autophagy degrades postsynaptic proteins and is required for long-term synaptic depression in mice.
Kallergi E, Daskalaki AD, Kolaxi A, Camus C, Ioannou E, Mercaldo V, Haberkant P, Stein F, Sidiropoulou K, Dalezios Y, Savitski MM, et al.
Nature communications (2022) 131: 680. 156 003 ICC; tested species: mouse
Secreted Amyloid Precursor Protein-Alpha Enhances LTP Through the Synthesis and Trafficking of Ca2+-Permeable AMPA Receptors.
Livingstone RW, Elder MK, Singh A, Westlake CM, Tate WP, Abraham WC, Williams JM
Frontiers in molecular neuroscience (2021) 14: 660208. 156 003 ICC; KD verified; tested species: rat
Regulation of metabotropic glutamate receptor internalization and synaptic AMPA receptor endocytosis by the post-synaptic protein Norbin.
Ojha P, Pal S, Bhattacharyya S
The Journal of neuroscience : the official journal of the Society for Neuroscience (2021) : . 156 003 ICC; tested species: mouse
Upf1 regulates neurite outgrowth and branching by transcriptional and post-transcriptional modulation of Arc.
Ryu HG, Seo JY, Jung Y, Kim SW, Kim E, Jang SK, Kim KT
Journal of cell science (2019) 1322: . 156 003 WB, ICC; KD verified; tested species: mouse
Secreted Amyloid Precursor Protein-Alpha Promotes Arc Protein Synthesis in Hippocampal Neurons.
Livingstone RW, Elder MK, Barrett MC, Westlake CM, Peppercorn K, Tate WP, Abraham WC, Williams JM
Frontiers in molecular neuroscience (2019) 12: 198. 156 003 ICC; tested species: rat
The Temporal Dynamics of Arc Expression Regulate Cognitive Flexibility.
Wall MJ, Collins DR, Chery SL, Allen ZD, Pastuzyn ED, George AJ, Nikolova VD, Moy SS, Philpot BD, Shepherd JD, Müller J, et al.
Neuron (2018) : . 156 003 WB, ICC; tested species: mouse
Evidence for a fragile X mental retardation protein-mediated translational switch in metabotropic glutamate receptor-triggered Arc translation and long-term depression.
Niere F, Wilkerson JR, Huber KM
The Journal of neuroscience : the official journal of the Society for Neuroscience (2012) 3217: 5924-36. 156 003 WB, ICC; KO verified; tested species: mouse
Rapid translation of Arc/Arg3.1 selectively mediates mGluR-dependent LTD through persistent increases in AMPAR endocytosis rate.
Waung MW, Pfeiffer BE, Nosyreva ED, Ronesi JA, Huber KM
Neuron (2008) 591: 84-97. 156 003 ICC, IHC; tested species: rat
Histone Hypervariants H2A.Z.1 and H2A.Z.2 Play Independent and Context-Specific Roles in Neuronal Activity-Induced Transcription ofArc/Arg3.1and Other Immediate Early Genes.
Dunn CJ, Sarkar P, Bailey ER, Farris S, Zhao M, Ward JM, Dudek SM, Saha RN
eNeuro () 44: . 156 003 ICC; tested species: rat
ARC/ARG3.1 binds the nuclear polyadenylate-binding protein RRM and regulates neuronal activity-dependent formation of nuclear speckles.
Kanhema T, Parobczak K, Patil S, Holm-Kaczmarek D, Hallin EI, Ludwiczak J, Szczepankiewicz AA, Pauzin FP, Mahboob A, Szum A, Ishizuka Y, et al.
Cell reports (2025) 444: 115525. 156 003 WB, IHC; tested species: rat
Cocaine-context memories are transcriptionally encoded in nucleus accumbens Arc ensembles.
Salery M, Godino A, Xu YQ, Fullard JF, Durand-de Cuttoli R, LaBanca AR, Holt LM, Russo SJ, Roussos P, Nestler EJ
Nature communications (2025) 161: 6084. 156 003 IHC; tested species: mouse
Selectively vulnerable deep cortical layer 5/6 fast-spiking interneurons in Alzheimer's disease models in vivo.
Papanikolaou A, Graykowski D, Lee BI, Yang M, Ellingford R, Zünkler J, Bond SA, Rowland JM, Rajani RM, Harris SS, Sharp DJ, et al.
Neuron (2025) : . 156 003 IHC; tested species: mouse
Neuronal type-specific modulation of cognition and AP-1 signaling by early-life rearing conditions.
Alaiz-Noya M, Miozzo F, Fuentes-Ramos M, Machnicka MA, Kurowska M, Herrera ML, Del Blanco B, Ninerola S, Bustos-Martínez I, Wilczynski B, Barco A, et al.
Nature communications (2025) 161: 9710. 156 003 IHC; tested species: mouse
Immediate-early genes Arc and c-Fos show divergent brain-wide expression following contextual fear conditioning.
Bulthuis NE, Quintana LI, Stackmann M, Denny CA
Communications biology (2025) 81: 1452. 156 003 IHC; tested species: mouse
Cell-type- and locus-specific epigenetic editing of memory expression.
Coda DM, Watt L, Glauser L, Batiuk MY, Burns AM, Stahl CL, Wong LY, Gräff J
Nature genetics (2025) 5711: 2661-2668. 156 003 ICC, IHC; KD verified; tested species: mouse
Audiovisual gamma stimulation restores hippocampal neurogenesis and neural circuit plasticity in aging mice.
Trinchero MF, Herrero M, Mugnaini M, Soldi N, Aguilar-Arredondo A, Benas S, Satorre IG, Kropff E, Schinder AF
Molecular psychiatry (2025) : . 156 003 IHC; tested species: mouse
ABBA+BraiAn, an integrated suite for whole-brain mapping, reveals brain-wide differences in immediate-early genes induction upon learning.
Chiaruttini N, Castoldi C, Requie LM, Camarena-Delgado C, Dal Bianco B, Gräff J, Seitz A, Silva BA
Cell reports (2025) 447: 115876. 156 003 IHC; tested species: mouse
Hyperactivation of MEK1 in cortical glutamatergic neurons results in projection axon deficits and aberrant motor learning.
Bjorklund GR, Rees KP, Balasubramanian K, Hewitt LT, Nishimura K, Newbern JM
Disease models & mechanisms (2024) 176: . 156 003 IHC; tested species: mouse
Adult zymosan re-exposure exacerbates the molecular alterations in the brainstem rostral ventromedial medulla of rats with early life zymosan-induced cystitis.
Talluri B, Addya S, Terashvili M, Medda BK, Banerjee A, Shaker R, Sengupta JN, Banerjee B
Neurobiology of pain (Cambridge, Mass.) (2024) 16: 100160. 156 003 IHC; tested species: rat
Phospholipase C beta 1 in the dentate gyrus gates fear memory formation through regulation of neuronal excitability.
Lee J, Jeong Y, Park S, Kim S, Oh H, Jin JA, Sohn JW, Kim D, Shin HS, Do Heo W
Science advances (2024) 1027: eadj4433. 156 003 IHC; tested species: rat
Visuotactile integration facilitates mirror-induced self-directed behavior through activation of hippocampal neuronal ensembles in mice.
Yokose J, Marks WD, Kitamura T
Neuron (2024) 1122: 306-318.e8. 156 003 IHC; tested species: mouse
Data on electroconvulsive seizure in mice, effects of anesthesia on immediate early gene expression.
Ozols AB, Meyers KT, Damphousse CC, Campbell JM, Khoshaba R, Wallace SG, Hu C, Marrone DF, Gallitano AL
Data in brief (2024) 54: 110365. 156 003 IHC; tested species: mouse
EZH2-dependent epigenetic reprogramming in the central nucleus of amygdala regulates adult anxiety in both sexes after adolescent alcohol exposure.
Bohnsack JP, Zhang H, Pandey SC
Translational psychiatry (2024) 141: 197. 156 003 IHC; tested species: rat
Systems consolidation induces multiple memory engrams for a flexible recall strategy in observational fear memory in male mice.
Terranova JI, Yokose J, Osanai H, Ogawa SK, Kitamura T
Nature communications (2023) 141: 3976. 156 003 IHC; tested species: mouse
Diverse processing of pharmacological and natural rewards by the central amygdala.
Bijoch Ł, Klos J, Pękała M, Fiołna K, Kaczmarek L, Beroun A
Cell reports (2023) 429: 113036. 156 003 IHC; tested species: mouse
Striatal mGlu5-mediated synaptic plasticity is independently regulated by location-specific receptor pools and divergent signaling pathways.
Jong YI, Izumi Y, Harmon SK, Zorumski CF, ÓMalley KL
The Journal of biological chemistry (2023) 2998: 104949. 156 003 IHC; tested species: mouse
Neuronal activity drives IGF2 expression from pericytes to form long-term memory.
Pandey K, Bessières B, Sheng SL, Taranda J, Osten P, Sandovici I, Constancia M, Alberini CM
Neuron (2023) 11123: 3819-3836.e8. 156 003 WB, IHC; tested species: mouse
Arc controls alcohol cue relapse by a central amygdala mechanism.
Pagano R, Salamian A, Zielinski J, Beroun A, Nalberczak-Skóra M, Skonieczna E, Cały A, Tay N, Banaschewski T, Desrivières S, Grigis A, et al.
Molecular psychiatry (2023) 282: 733-745. 156 003 WB, IHC; KO verified; tested species: mouse
Activity-regulated cytoskeletal-associated protein (Arc) in presynaptic terminals and extracellular vesicles in hippocampal synapses.
Ringsevjen H, Egbenya DL, Bieler M, Davanger S, Hussain S
Frontiers in molecular neuroscience (2023) 16: 1225533. 156 003 WB, IHC, EM; tested species: rat
Bank voles show more impulsivity in IntelliCage learning tasks than wood mice.
Marielle J, Jovana M, David P W, Christopher R P, Toshihiro E, Seico B, Irmgard A
Neuroscience (2022) : . 156 003 IHC; tested species: mouse
Early death in a mouse model of Alzheimer's disease exacerbated by microglial loss of TAM receptor signaling.
Huang Y, Lemke G
Proceedings of the National Academy of Sciences of the United States of America (2022) 11941: e2204306119. 156 003 IHC; tested species: mouse
Extrahippocampal seizure and memory circuits overlap.
Naik AA, Brodovskaya A, Subedi S, Akram A, Kapur J
eNeuro (2022) : . 156 003 IHC; tested species: mouse
Hippocampal-amygdala memory circuits govern experience-dependent observational fear.
Terranova JI, Yokose J, Osanai H, Marks WD, Yamamoto J, Ogawa SK, Kitamura T
Neuron (2022) : . 156 003 IHC; tested species: mouse
Luteolin relieves lung cancer-induced bone pain by inhibiting NLRP3 inflammasomes and glial activation in the spinal dorsal horn in mice.
Zhou YS, Cui Y, Zheng JX, Quan YQ, Wu SX, Xu H, Han Y
Phytomedicine : international journal of phytotherapy and phytopharmacology (2022) 96: 153910. 156 003 IHC; tested species: mouse
Dissociable roles of the nucleus accumbens core and shell subregions in the expression and extinction of conditioned fear.
Dutta S, Beaver J, Halcomb CJ, Jasnow AM
Neurobiology of stress (2021) 15: 100365. 156 003 IHC; tested species: mouse
Light-guided sectioning for precise in situ localization and tissue interface analysis for brain-implanted optical fibers and GRIN lenses.
Kahan A, Greenbaum A, Jang MJ, Robinson JE, Cho JR, Chen X, Kassraian P, Wagenaar DA, Gradinaru V
Cell reports (2021) 3613: 109744. 156 003 IHC; tested species: mouse
Mechanism of seizure-induced retrograde amnesia.
Naik AA, Sun H, Williams CL, Weller DS, Julius Zhu J, Kapur J
Progress in neurobiology (2021) 200: 101984. 156 003 IHC; tested species: mouse
Synaptic plasticity-dependent competition rule influences memory formation.
Jeong Y, Cho HY, Kim M, Oh JP, Kang MS, Yoo M, Lee HS, Han JH
Nature communications (2021) 121: 3915. 156 003 IHC; tested species: mouse
Activity in projection neurons from prelimbic cortex to the PVT is necessary for retrieval of morphine withdrawal memory.
Yu L, Chu C, Yuan Y, Guo X, Lei C, Sheng H, Yang L, Cui D, Lai B, Zheng P
Cell reports (2021) 351: 108958. 156 003 IHC; tested species: mouse
Astrocytic cAMP modulates memory via synaptic plasticity.
Zhou Z, Okamoto K, Onodera J, Hiragi T, Andoh M, Ikawa M, Tanaka KF, Ikegaya Y, Koyama R
Proceedings of the National Academy of Sciences of the United States of America (2021) 1183: . 156 003 IHC; tested species: mouse
A role for CIM6P/IGF2 receptor in memory consolidation and enhancement.
Yu XW, Pandey K, Katzman AC, Alberini CM
eLife (2020) 9: . 156 003 IHC; tested species: rat
Low-dose alcohol: Interoceptive and molecular effects and the role of dentate gyrus in rats.
Randall PA, Lovelock DF, VanVoorhies K, Agan VE, Kash TL, Besheer J
Addiction biology (2020) : e12965. 156 003 IHC; tested species: rat
Tinnitus rat model generated by laser-induced shock wave; a platform for analyzing the central nervous system after tinnitus generation.
Niwa K, Mizutari K, Matsui T, Kawauchi S, Sato S, Shiotani A, Kobayashi Y
Auris, nasus, larynx (2020) : . 156 003 IHC; tested species: rat
Autophagy coupled to translation is required for long-term memory.
Pandey K, Yu XW, Steinmetz A, Alberini CM
Autophagy (2020) : . 156 003 IHC; tested species: rat
Neuronal ensemble-specific DNA methylation strengthens engram stability.
Gulmez Karaca K, Kupke J, Brito DVC, Zeuch B, Thome C, Weichenhan D, Lutsik P, Plass C, Oliveira AMM
Nature communications (2020) 111: 639. 156 003 WB, IHC; tested species: mouse
The Noonan Syndrome-linked Raf1L613V mutation drives increased glial number in the mouse cortex and enhanced learning.
Holter MC, Hewitt LT, Koebele SV, Judd JM, Xing L, Bimonte-Nelson HA, Conrad CD, Araki T, Neel BG, Snider WD, Newbern JM, et al.
PLoS genetics (2019) 154: e1008108. 156 003 IHC; tested species: mouse
Vestibular Compensation after Vestibular Dysfunction Induced by Arsanilic Acid in Mice.
Ito T, Tatsumi K, Takimoto Y, Nishimura T, Imai T, Yamanaka T, Takeda N, Wanaka A, Kitahara T
Brain sciences (2019) 911: . 156 003 IHC; tested species: mouse
Lactate from astrocytes fuels learning-induced mRNA translation in excitatory and inhibitory neurons.
Descalzi G, Gao V, Steinman MQ, Suzuki A, Alberini CM
Communications biology (2019) 2: 247. 156 003 IHC; tested species: rat
Effects of anisomycin infusions into the dorsal striatum on memory consolidation of intense training and neurotransmitter activity.
González-Franco DA, Bello-Medina PC, Serafín N, Prado-Alcalá RA, Quirarte GL
Brain research bulletin (2019) : . 156 003 IHC; tested species: rat
Crucial role of feedback signals from prelimbic cortex to basolateral amygdala in the retrieval of morphine withdrawal memory.
Song J, Shao D, Guo X, Zhao Y, Cui D, Ma Q, Sheng H, Ma L, Lai B, Chen M, Zheng P, et al.
Science advances (2019) 52: eaat3210. 156 003 IHC; tested species: mouse
Hes1 expression in mature neurons in the adult mouse brain is required for normal behaviors.
Matsuzaki T, Yoshihara T, Ohtsuka T, Kageyama R
Scientific reports (2019) 91: 8251. 156 003 IHC; tested species: mouse
Copulation induces expression of the immediate early gene Arc in mating-relevant brain regions of the male rat.
Turner JM, Will RG, Harvey EA, Hattori T, Tobiansky DJ, Nutsch VL, Martz JR, Dominguez JM
Behavioural brain research (2019) : 112006. 156 003 IHC; tested species: rat
Activity-dependent reconnection of adult-born dentate granule cells in a mouse model of frontotemporal dementia.
Terreros-Roncal J, Flor-García M, Moreno-Jiménez EP, Pallas-Bazarra N, Rábano A, Sah N, van Praag H, Giacomini D, Schinder AF, Ávila J, Llorens-Martín M, et al.
The Journal of neuroscience : the official journal of the Society for Neuroscience (2019) : . 156 003 IHC; tested species: mouse
Evidence supporting a role for astrocytes in the regulation of cognitive flexibility and neuronal oscillations through the Ca2+ binding protein S100β.
Brockett AT, Kane GA, Monari PK, Briones BA, Vigneron PA, Barber GA, Bermudez A, Dieffenbach U, Kloth AD, Buschman TJ, Gould E, et al.
PloS one (2018) 134: e0195726. 156 003 IHC; tested species: rat
Molecular and Circuit-Dynamical Identification of Top-Down Neural Mechanisms for Restraint of Reward Seeking.
Kim CK, Ye L, Jennings JH, Pichamoorthy N, Tang DD, Yoo AW, Ramakrishnan C, Deisseroth K
Cell (2017) 1705: 1013-1027.e14. 156 003 IHC; tested species: mouse
Homeostatic Changes in GABA and Glutamate Receptors on Excitatory Cortical Neurons during Sleep Deprivation and Recovery.
Del Cid-Pellitero E, Plavski A, Mainville L, Jones BE
Frontiers in systems neuroscience (2017) 11: 17. 156 003 IHC; tested species: mouse
c-Fos and Arc/Arg3.1 expression in auditory and visual cortices after hearing loss: Evidence of sensory crossmodal reorganization in adult rats.
Pernia M, Estevez S, Poveda C, Plaza I, Carro J, Juiz JM, Merchan MA
The Journal of comparative neurology (2017) 52512: 2677-2689. 156 003 IHC
Delayed Degradation and Impaired Dendritic Delivery of Intron-LackingEGFP-Arc/Arg3.1mRNA inEGFP-ArcTransgenic Mice.
Steward O, Matsudaira Yee K, Farris S, Pirbhoy PS, Worley P, Okamura K, Okuno H, Bito H
Frontiers in molecular neuroscience (2017) 10: 435. 156 003 IHC; tested species: mouse
Arc restores juvenile plasticity in adult mouse visual cortex.
Jenks KR, Kim T, Pastuzyn ED, Okuno H, Taibi AV, Bito H, Bear MF, Shepherd JD
Proceedings of the National Academy of Sciences of the United States of America (2017) 11434: 9182-9187. 156 003 IHC; KO verified; tested species: mouse
Chronic pregabalin treatment decreases excitability of dentate gyrus and accelerates maturation of adult-born granule cells.
Lempel AA, Coll L, Schinder AF, Uchitel OD, Piriz J
Journal of neurochemistry (2017) 1402: 257-267. 156 003 IHC; tested species: mouse
Experience-Dependent Plasticity in Accessory Olfactory Bulb Interneurons following Male-Male Social Interaction.
Cansler HL, Maksimova MA, Meeks JP
The Journal of neuroscience : the official journal of the Society for Neuroscience (2017) 3730: 7240-7252. 156 003 IHC; tested species: mouse
Dentate Gyrus Contributes to Retrieval as well as Encoding: Evidence from Context Fear Conditioning, Recall, and Extinction.
Bernier BE, Lacagnina AF, Ayoub A, Shue F, Zemelman BV, Krasne FB, Drew MR
The Journal of neuroscience : the official journal of the Society for Neuroscience (2017) 3726: 6359-6371. 156 003 IHC; tested species: mouse
BDNF in Lower Brain Parts Modifies Auditory Fiber Activity to Gain Fidelity but Increases the Risk for Generation of Central Noise After Injury.
Chumak T, Rüttiger L, Lee SC, Campanelli D, Zuccotti A, Singer W, Popelář J, Gutsche K, Geisler HS, Schraven SP, Jaumann M, et al.
Molecular neurobiology (2016) 538: 5607-27. 156 003 WB, IHC
Stress in utero alters neonatal stress-induced regulation of the synaptic plasticity proteins Arc and Egr1 in a sex-specific manner.
Gröger N, Bock J, Goehler D, Blume N, Lisson N, Poeggel G, Braun K
Brain structure & function (2016) 2211: 679-85. 156 003 IHC
Calcium dysregulation via L-type voltage-dependent calcium channels and ryanodine receptors underlies memory deficits and synaptic dysfunction during chronic neuroinflammation.
Hopp SC, D'Angelo HM, Royer SE, Kaercher RM, Crockett AM, Adzovic L, Wenk GL
Journal of neuroinflammation (2015) 12: 56. 156 003 IHC
Long-delayed expression of the immediate early gene Arc/Arg3.1 refines neuronal circuits to perpetuate fear memory.
Nakayama D, Iwata H, Teshirogi C, Ikegaya Y, Matsuki N, Nomura H
The Journal of neuroscience : the official journal of the Society for Neuroscience (2015) 352: 819-30. 156 003 IHC; tested species: mouse
The supramammillary nucleus and the claustrum activate the cortex during REM sleep.
Renouard L, Billwiller F, Ogawa K, Clément O, Camargo N, Abdelkarim M, Gay N, Scoté-Blachon C, Touré R, Libourel PA, Ravassard P, et al.
Science advances (2015) 13: e1400177. 156 003 IHC
Selective localization of arc mRNA in dendrites involves activity- and translation-dependent mRNA degradation.
Farris S, Lewandowski G, Cox CD, Steward O
The Journal of neuroscience : the official journal of the Society for Neuroscience (2014) 3413: 4481-93. 156 003 IHC; tested species: rat
The participation of cortical amygdala in innate, odour-driven behaviour.
Root CM, Denny CA, Hen R, Axel R
Nature (2014) 5157526: 269-73. 156 003 IHC; tested species: mouse
The reduced cochlear output and the failure to adapt the central auditory response causes tinnitus in noise exposed rats.
Rüttiger L, Singer W, Panford-Walsh R, Matsumoto M, Lee SC, Zuccotti A, Zimmermann U, Jaumann M, Rohbock K, Xiong H, Knipper M, et al.
PloS one (2013) 83: e57247. 156 003 IHC; tested species: rat
Isolation rearing attenuates social interaction-induced expression of immediate early gene protein products in the medial prefrontal cortex of male and female rats.
Wall VL, Fischer EK, Bland ST
Physiology & behavior (2012) 1073: 440-50. 156 003 IHC; tested species: rat
The timing for neuronal maturation in the adult hippocampus is modulated by local network activity.
Piatti VC, Davies-Sala MG, Espósito MS, Mongiat LA, Trinchero MF, Schinder AF
The Journal of neuroscience : the official journal of the Society for Neuroscience (2011) 3121: 7715-28. 156 003 IHC; tested species: mouse
Post-training disruption of Arc protein expression in the anterior cingulate cortex impairs long-term memory for inhibitory avoidance training.
Holloway CM, McIntyre CK
Neurobiology of learning and memory (2011) 954: 425-32. 156 003 WB, IHC; tested species: rat
Memory-enhancing corticosterone treatment increases amygdala norepinephrine and Arc protein expression in hippocampal synaptic fractions.
McReynolds JR, Donowho K, Abdi A, McGaugh JL, Roozendaal B, McIntyre CK
Neurobiology of learning and memory (2010) 933: 312-21. 156 003 WB, IHC; tested species: rat
Rapid translation of Arc/Arg3.1 selectively mediates mGluR-dependent LTD through persistent increases in AMPAR endocytosis rate.
Waung MW, Pfeiffer BE, Nosyreva ED, Ronesi JA, Huber KM
Neuron (2008) 591: 84-97. 156 003 ICC, IHC; tested species: rat
Midazolam reverses salicylate-induced changes in brain-derived neurotrophic factor and arg3.1 expression: implications for tinnitus perception and auditory plasticity.
Panford-Walsh R, Singer W, Rüttiger L, Hadjab S, Tan J, Geisler HS, Zimmermann U, Köpschall I, Rohbock K, Vieljans A, Oestreicher E, et al.
Molecular pharmacology (2008) 743: 595-604. 156 003 IHC; tested species: rat
Multi-session delivery of synchronous rTMS and sensory stimulation induces long-term plasticity.
Zhong M, Cywiak C, Metto AC, Liu X, Qian C, Pelled G
Brain stimulation () 144: 884-894. 156 003 IHC; tested species: rat
Spatial proteomics in neurons at single-protein resolution.
Unterauer EM, Shetab Boushehri S, Jevdokimenko K, Masullo LA, Ganji M, Sograte-Idrissi S, Kowalewski R, Strauss S, Reinhardt SCM, Perovic A, Marr C, et al.
Cell (2024) 1877: 1785-1800.e16. 156 003 DNA-PAINT; tested species: rat
Activity-regulated cytoskeletal-associated protein (Arc) in presynaptic terminals and extracellular vesicles in hippocampal synapses.
Ringsevjen H, Egbenya DL, Bieler M, Davanger S, Hussain S
Frontiers in molecular neuroscience (2023) 16: 1225533. 156 003 WB, IHC, EM; tested species: rat
Synapse-specific changes in Arc and BDNF in rat hippocampus following chronic temporal lobe epilepsy.
Egbenya DL, Hussain S, Lai YC, Anderson AE, Davanger S
Neuroscience research (2022) : . 156 003 WB, EM; tested species: rat
Granule Cell Ensembles in Mouse Dentate Gyrus Rapidly Upregulate the Plasticity-Related Protein Synaptopodin after Exploration Behavior.
Paul MH, Choi M, Schlaudraff J, Deller T, Del Turco D
Cerebral cortex (New York, N.Y. : 1991) (2019) : . 156 003 EM; tested species: mouse
Late maturation of adult-born neurons in the temporal dentate gyrus.
Snyder JS, Ferrante SC, Cameron HA
PloS one (2012) 711: e48757. 156 003 ; tested species: rat
Background

Immediate-early genes (IEGs) are rapidly induced after patterned synaptic activity. Genes that are involved in this complex response code for transcription and growth factors, metabolic and signaling enzymes, small GTP binding proteins and structural proteins. Some of these proteins may play a crucial role in long term plasticity which is important for learning processes.
The activity regulated cytoskeleton associated protein Arc or Arg 3.1 is enriched in dendrites and colocalizes with F-Actin. Direct interaction of Arc with actin has also been demonstrated by biochemical studies.

Certificates

ISO 9001 2015 Quality Management System and Green Lab Platinum certification level for sustaining laboratory processes.

Newsletter

Sign up for our newsletter and get the latest updates and news.
 

Please provide a valid E-Mail-Address
Please provide a valid First name
Please provide a valid Last name