Tailor-made Antibodies
and Tools for Life Science
Home | | | | | Technical Support

Pax6 antibody - 153 011 K.O.

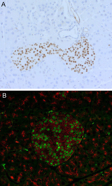
Pax6 is a transcription factor involved in the regulation of eye and brain development
Mouse monoclonal purified IgG
Cat. No.: 153 011
Amount: 100 µg
Price: $420.00
Cat. No. 153 011 100 µg purified IgG, lyophilized. Albumin and azide were added for stabilization. For reconstitution add 100 µl H2O to get a 1mg/ml solution in PBS. Then aliquot and store at -20°C to -80°C until use.
Antibodies should be stored at +4°C when still lyophilized. Do not freeze!
Applications
 
WB: 1 : 1000 (AP staining) (see remarks) gallery  
IP: not tested yet
ICC: external data (see remarks)
IHC: not tested yet
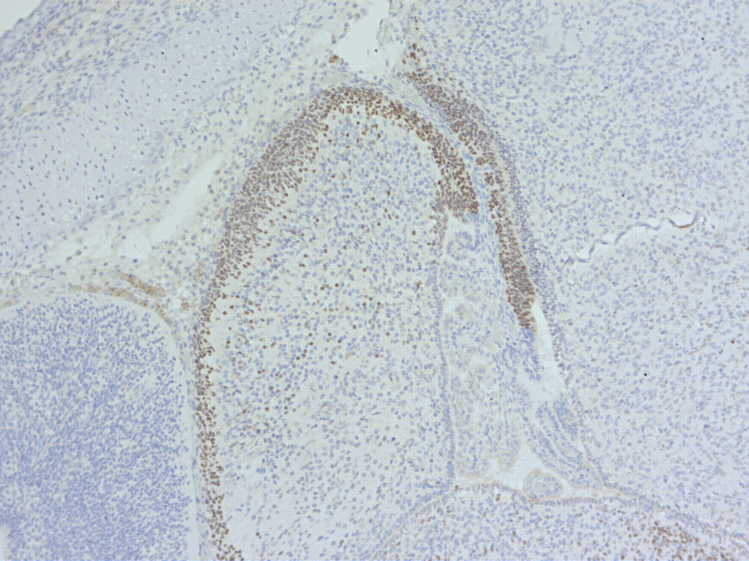
IHC-P: 1 : 100 up to 1 : 500 (see remarks) gallery  

Western blot (WB); separation of proteins by PAGE and subsequent transfer to a membrane. Detection of target molecules is carried out with antibodies. Some antibodies require special sample preparation steps. For details, please refer to the “Remarks” section.

Immunoprecipitation (IP); Immunoisolation or pulldown of a target molecule using an antibody. For details and product specific hints, please refer to the ”Remarks” section.

Immunocytochemistry (ICC) on 4% PFA fixed cells. Immunoreactivity is usually revealed by fluorescence. Some antibodies require special fixation methods. For details, please refer to the “Remarks” section.

Immunohistochemistry (IHC) on 4% PFA perfusion fixed tissue with 24h PFA post fixation. Immunoreactivity is usually revealed by fluorescence or a chromogenic substrate. Some antibodies require special fixation methods or antigen retrieval steps. For details, please refer to the ”Remarks” section.

Immunohistochemistry (IHC-P) of formalin fixed, paraffin embedded (FFPE) tissue (some antibodies require special antigen retrieval steps, please refer to the ”Remarks” section). Immunoreactivity is usually revealed by fluorescence or a chromogenic substrate.

Clone AD2.38
Subtype IgG1 (λ light chain)
Immunogen Recombinant protein corresponding to AA 1 to 422 from mouse Pax6 (UniProt Id: P63015)
Epitop AA 4 to 130 from mouse Pax6 (UniProt Id: P63015)
Reactivity Reacts with: human (P26367), rat (P63016), mouse (P63015), chicken.
Other species not tested yet.
Specificity K.O. validated PubMed: 10409504
Remarks

WB: Nuclear extracts from tissues should be used for Western blot experiments to increase the concentration of Pax 6.
ICC: This antibody has been successfully applied and published for this method by customers (see application-specific references). It has not been validated using our standard protocols.
IHC-P: Antigen retrieval with Tris-EDTA buffer pH 9 is recommended for chromogenic detection.
For chromogenic detection, an optimized AGR time of 30 minutes is recommended for best results.
Antigen retrieval with Tris-EDTA buffer pH 9 is recommended for fluorescent detection.

Data sheet Datasheet 153_011

References for Pax6 - 153 011

Role of Pax6 in development of the cerebellar system.
Engelkamp D, Rashbass P, Seawright A, van Heyningen V
Development (Cambridge, England) (1999) 12616: 3585-96. 153 011 WB, IHC; KO verified; tested species: mouse
Generation of an induced pluripotent stem cell line HHUUKDi013-A (ISRM-AATD-iPSC-3) from a pediatric patient of Alpha-I Antitrypsin Deficiency (AATD).
Loerch C, Hokamp R, Wruck W, Katzer D, Weigert A, Machui A, Graffmann N, Ganschow R, Adjaye J
Stem cell research (2025) 87: 103762. 153 011 ICC; tested species: human
Induction of granule and Purkinje cells from primary cultured mouse cerebellar progenitors.
Zhang T, Liu T, Hassan BA
STAR protocols (2021) 23: 100760. 153 011 ICC; tested species: mouse
IPSC-Derived Neuronal Cultures Carrying the Alzheimer's Disease Associated TREM2 R47H Variant Enables the Construction of an Aβ-Induced Gene Regulatory Network.
Martins S, Müller-Schiffmann A, Erichsen L, Bohndorf M, Wruck W, Sleegers K, Van Broeckhoven C, Korth C, Adjaye J
International journal of molecular sciences (2020) 2112: . 153 011 ICC; tested species: human
Mutations in the Heterotopia Gene Eml1/EML1 Severely Disrupt the Formation of Primary Cilia.
Uzquiano A, Cifuentes-Diaz C, Jabali A, Romero DM, Houllier A, Dingli F, Maillard C, Boland A, Deleuze JF, Loew D, Mancini GMS, et al.
Cell reports (2019) 286: 1596-1611.e10. 153 011 ICC; tested species: mouse
Lymphoblast-derived integration-free iPSC lines from a female and male Alzheimer's disease patient expressing different copy numbers of a coding CNV in the Alzheimer risk gene CR1.
Schröter F, Sleegers K, Van Cauwenberghe C, Bohndorf M, Wruck W, Van Broeckhoven C, Adjaye J
Stem cell research (2016) 173: 560-563. 153 011 ICC
Lymphoblast-derived integration-free iPS cell line from a female 67-year-old Alzheimer's disease patient with TREM2 (R47H) missense mutation.
Schröter F, Sleegers K, Cuyvers E, Bohndorf M, Wruck W, Van Broeckhoven C, Adjaye J
Stem cell research (2016) 173: 553-555. 153 011 ICC
INSIHGT: an accessible multi-scale, multi-modal 3D spatial biology platform.
Yau CN, Hung JTS, Campbell RAA, Wong TCY, Huang B, Wong BTY, Chow NKN, Zhang L, Tsoi EPL, Tan Y, Li JJX, et al.
Nature communications (2024) 151: 10888. 153 011 IHC; tested species: mouse
Generation of excitatory and inhibitory neurons from common progenitors via Notch signaling in the cerebellum.
Zhang T, Liu T, Mora N, Guegan J, Bertrand M, Contreras X, Hansen AH, Streicher C, Anderle M, Danda N, Tiberi L, et al.
Cell reports (2021) 3510: 109208. 153 011 IHC; tested species: mouse
Lymphoblast-derived integration-free ISRM-CON9 iPS cell line from a 75year old female.
Martins S, Bohndorf M, Schröter F, Assar F, Wruck W, Sleegers K, Van Broeckhoven C, Adjaye J
Stem cell research (2018) 26: 76-79. 153 011 IHC; tested species: human
Compartment-specific transcription factors orchestrate angiogenesis gradients in the embryonic brain.
Vasudevan A, Long JE, Crandall JE, Rubenstein JL, Bhide PG
Nature neuroscience (2008) 114: 429-39. 153 011 IHC
Role of Pax6 in development of the cerebellar system.
Engelkamp D, Rashbass P, Seawright A, van Heyningen V
Development (Cambridge, England) (1999) 12616: 3585-96. 153 011 WB, IHC; KO verified; tested species: mouse
Cat. No.: 153 011
Amount: 100 µg
Price: $420.00
Role of Pax6 in development of the cerebellar system.
Engelkamp D, Rashbass P, Seawright A, van Heyningen V
Development (Cambridge, England) (1999) 12616: 3585-96. 153 011 WB, IHC; KO verified; tested species: mouse
Generation of an induced pluripotent stem cell line HHUUKDi013-A (ISRM-AATD-iPSC-3) from a pediatric patient of Alpha-I Antitrypsin Deficiency (AATD).
Loerch C, Hokamp R, Wruck W, Katzer D, Weigert A, Machui A, Graffmann N, Ganschow R, Adjaye J
Stem cell research (2025) 87: 103762. 153 011 ICC; tested species: human
Induction of granule and Purkinje cells from primary cultured mouse cerebellar progenitors.
Zhang T, Liu T, Hassan BA
STAR protocols (2021) 23: 100760. 153 011 ICC; tested species: mouse
IPSC-Derived Neuronal Cultures Carrying the Alzheimer's Disease Associated TREM2 R47H Variant Enables the Construction of an Aβ-Induced Gene Regulatory Network.
Martins S, Müller-Schiffmann A, Erichsen L, Bohndorf M, Wruck W, Sleegers K, Van Broeckhoven C, Korth C, Adjaye J
International journal of molecular sciences (2020) 2112: . 153 011 ICC; tested species: human
Mutations in the Heterotopia Gene Eml1/EML1 Severely Disrupt the Formation of Primary Cilia.
Uzquiano A, Cifuentes-Diaz C, Jabali A, Romero DM, Houllier A, Dingli F, Maillard C, Boland A, Deleuze JF, Loew D, Mancini GMS, et al.
Cell reports (2019) 286: 1596-1611.e10. 153 011 ICC; tested species: mouse
Lymphoblast-derived integration-free iPSC lines from a female and male Alzheimer's disease patient expressing different copy numbers of a coding CNV in the Alzheimer risk gene CR1.
Schröter F, Sleegers K, Van Cauwenberghe C, Bohndorf M, Wruck W, Van Broeckhoven C, Adjaye J
Stem cell research (2016) 173: 560-563. 153 011 ICC
Lymphoblast-derived integration-free iPS cell line from a female 67-year-old Alzheimer's disease patient with TREM2 (R47H) missense mutation.
Schröter F, Sleegers K, Cuyvers E, Bohndorf M, Wruck W, Van Broeckhoven C, Adjaye J
Stem cell research (2016) 173: 553-555. 153 011 ICC
INSIHGT: an accessible multi-scale, multi-modal 3D spatial biology platform.
Yau CN, Hung JTS, Campbell RAA, Wong TCY, Huang B, Wong BTY, Chow NKN, Zhang L, Tsoi EPL, Tan Y, Li JJX, et al.
Nature communications (2024) 151: 10888. 153 011 IHC; tested species: mouse
Generation of excitatory and inhibitory neurons from common progenitors via Notch signaling in the cerebellum.
Zhang T, Liu T, Mora N, Guegan J, Bertrand M, Contreras X, Hansen AH, Streicher C, Anderle M, Danda N, Tiberi L, et al.
Cell reports (2021) 3510: 109208. 153 011 IHC; tested species: mouse
Lymphoblast-derived integration-free ISRM-CON9 iPS cell line from a 75year old female.
Martins S, Bohndorf M, Schröter F, Assar F, Wruck W, Sleegers K, Van Broeckhoven C, Adjaye J
Stem cell research (2018) 26: 76-79. 153 011 IHC; tested species: human
Compartment-specific transcription factors orchestrate angiogenesis gradients in the embryonic brain.
Vasudevan A, Long JE, Crandall JE, Rubenstein JL, Bhide PG
Nature neuroscience (2008) 114: 429-39. 153 011 IHC
Role of Pax6 in development of the cerebellar system.
Engelkamp D, Rashbass P, Seawright A, van Heyningen V
Development (Cambridge, England) (1999) 12616: 3585-96. 153 011 WB, IHC; KO verified; tested species: mouse
Background
Pax 6 (Sey) proteins regulate transcription and are composed of two DNA binding motives, an N-terminal paired domain (PD) and a C-terminal homeodomain (HD).
Mutations or deletions in the Pax 6 gene cause severe defects in the development of the eye and the central nervous system (CNS). The Pax 6 mRNA is alternatively spliced at position 47 and is translated into two proteins of 46 and 48 kDa. The amino acid sequence and basic regulatory mechanisms of Pax 6 are conserved from invertebrates to mammals.

Certificates

ISO 9001 2015 Quality Management System and Green Lab Platinum certification level for sustaining laboratory processes.

Newsletter

Sign up for our newsletter and get the latest updates and news.
 

Please provide a valid E-Mail-Address
Please provide a valid First name
Please provide a valid Last name