Glycine receptor antibody - 146 011

An inhibitory receptor in the nervous system
Mouse monoclonal purified IgG
Cat. No.: 146 011
Amount: 100 µg
Price: $425.00
Cat. No. 146 011 100 µg purified IgG, lyophilized. Albumin and azide were added for stabilization. For reconstitution add 100 µl H2O to get a 1mg/ml solution in PBS. Then aliquot and store at -20°C to -80°C until use.
Antibodies should be stored at +4°C when still lyophilized. Do not freeze!
Applications
 
WB: 1 : 500 up to 1 : 1000 (AP staining) gallery  
IP: yes
ICC: external data (see remarks)
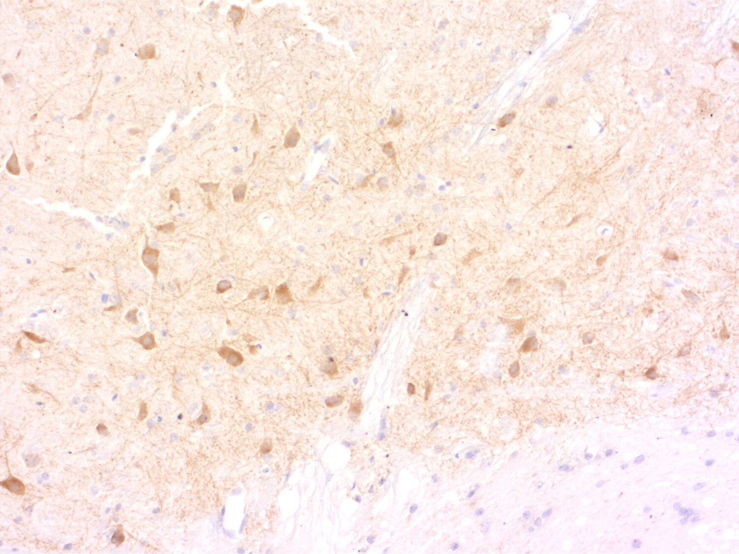
IHC: 1 : 250 (see remarks) gallery  
IHC-P (FFPE): 1 : 100 up to 1 : 500 gallery  
FACS: yes

Western blot (WB); separation of proteins by PAGE and subsequent transfer to a membrane. Detection of target molecules is carried out with antibodies. Some antibodies require special sample preparation steps. For details, please refer to the “Remarks” section.

Immunoprecipitation (IP); Immunoisolation or pulldown of a target molecule using an antibody. For details and product specific hints, please refer to the ”Remarks” section.

Immunocytochemistry (ICC) on 4% PFA fixed cells. Immunoreactivity is usually revealed by fluorescence. Some antibodies require special fixation methods. For details, please refer to the “Remarks” section.

Immunohistochemistry (IHC) on 4% PFA perfusion fixed tissue with 24h PFA post fixation. Immunoreactivity is usually revealed by fluorescence or a chromogenic substrate. Some antibodies require special fixation methods or antigen retrieval steps. For details, please refer to the ”Remarks” section.

Immunohistochemistry (IHC-P) of formalin fixed, paraffin embedded (FFPE) tissue (some antibodies require special antigen retrieval steps, please refer to the ”Remarks” section). Immunoreactivity is usually revealed by fluorescence or a chromogenic substrate.

Fluorescence-activated cell sorting (FACS); usually cells are fluorescently labeled with antibodies against cell-surface antigens followed by cell-sorter analysis.

Clone mAb4a
Subtype IgG1 (κ light chain)
Immunogen Nativ Protein corresponding to AA 1 to 457 from rat Glycine receptor α1 (UniProt Id: P07727)
Epitop AA 96 to 105 from rat Glycine receptor α1 (UniProt Id: P07727)
Reactivity Reacts with: human (P23415, P23416, P48167), rat (P07727, P22771, P20781), mouse (Q64018, Q7TNC8, P48168), pig, zebrafish.
Other species not tested yet.
Specificity Specific for all glycine receptor subunits.
Remarks

ICC: This antibody has been successfully applied and published for this method by customers (see application-specific references). It has not been validated using our standard protocols.
IHC: Antigen retrieval with methanol/acetic acid is required.
For details see Dumoulin A, Triller A & Dieudonné S (2001).

Data sheet Datasheet 146_011

References for Glycine receptor - 146 011

Impaired Presynaptic Function Contributes Significantly to the Pathology of Glycine Receptor Autoantibodies.
Wiessler AL, Zheng F, Werner C, Habib M, Tuzun E, Alzheimer C, Sommer C, Villmann C
Neurology(R) neuroimmunology & neuroinflammation (2025) 122: e200364. 146 011 WB, ICC; tested species: mouse
Glycine Receptor β-Targeting Autoantibodies Contribute to the Pathology of Autoimmune Diseases.
Wiessler AL, Talucci I, Piro I, Seefried S, Hörlin V, Baykan BB, Tüzün E, Schaefer N, Maric HM, Sommer C, Villmann C, et al.
Neurology(R) neuroimmunology & neuroinflammation (2024) 112: e200187. 146 011 WB, ICC; tested species: human,mouse
Glycine receptor autoantibody binding to the extracellular domain is independent from receptor glycosylation.
Rauschenberger V, Piro I, Kasaragod VB, Hörlin V, Eckes AL, Kluck CJ, Schindelin H, Meinck HM, Wickel J, Geis C, Tüzün E, et al.
Frontiers in molecular neuroscience (2023) 16: 1089101. 146 011 WB, UPTAKE; tested species: human
Altered expression of synaptic proteins and adhesion molecules in the hippocampus and cortex following the onset of diabetes in nonobese diabetic mice.
Yokokawa T, Kido K, Sato K, Hayashi T, Fujita S
Physiological reports (2023) 118: e15673. 146 011 WB; tested species: mouse
Loss, Gain and Altered Function of GlyR α2 Subunit Mutations in Neurodevelopmental Disorders.
Chen X, Wilson KA, Schaefer N, De Hayr L, Windsor M, Scalais E, van Rijckevorsel G, Stouffs K, Villmann C, O'Mara ML, Lynch JW, et al.
Frontiers in molecular neuroscience (2022) 15: 886729. 146 011 WB; tested species: human
A novel glycine receptor variant with startle disease affects syndapin I and glycinergic inhibition.
Langlhofer G, Schaefer N, Maric HM, Keramidas A, Zhang Y, Baumann P, Blum R, Breitinger U, Strømgaard K, Schlosser A, Kessels MM, et al.
The Journal of neuroscience : the official journal of the Society for Neuroscience (2020) : . 146 011 WB, ICC; tested species: human
Glycine Receptor Autoantibodies Impair Receptor Function and Induce Motor Dysfunction.
Rauschenberger V, von Wardenburg N, Schaefer N, Ogino K, Hirata H, Lillesaar C, Kluck CJ, Meinck HM, Borrmann M, Weishaupt A, Doppler K, et al.
Annals of neurology (2020) 883: 544-561. 146 011 WB, IHC, UPTAKE; tested species: human,zebrafish
Disruption of a Structurally Important Extracellular Element in the Glycine Receptor Leads to Decreased Synaptic Integration and Signaling Resulting in Severe Startle Disease.
Schaefer N, Berger A, van Brederode J, Zheng F, Zhang Y, Leacock S, Littau L, Jablonka S, Malhotra S, Topf M, Winter F, et al.
The Journal of neuroscience : the official journal of the Society for Neuroscience (2017) 3733: 7948-7961. 146 011 WB; tested species: mouse
The GlyR Extracellular β8-β9 Loop - A Functional Determinant of Agonist Potency.
Janzen D, Schaefer N, Delto C, Schindelin H, Villmann C
Frontiers in molecular neuroscience (2017) 10: 322. 146 011 WB, ICC; tested species: human
Gephyrin-binding peptides visualize postsynaptic sites and modulate neurotransmission.
Maric HM, Hausrat TJ, Neubert F, Dalby NO, Doose S, Sauer M, Kneussel M, Strømgaard K
Nature chemical biology (2017) 132: 153-160. 146 011 WB; tested species: mouse
Disturbed neuronal ER-Golgi sorting of unassembled glycine receptors suggests altered subcellular processing is a cause of human hyperekplexia.
Schaefer N, Kluck CJ, Price KL, Meiselbach H, Vornberger N, Schwarzinger S, Hartmann S, Langlhofer G, Schulz S, Schlegel N, Brockmann K, et al.
The Journal of neuroscience : the official journal of the Society for Neuroscience (2015) 351: 422-37. 146 011 WB, ICC
Disturbances of Ligand Potency and Enhanced Degradation of the Human Glycine Receptor at Affected Positions G160 and T162 Originally Identified in Patients Suffering from Hyperekplexia.
Atak S, Langlhofer G, Schaefer N, Kessler D, Meiselbach H, Delto C, Schindelin H, Villmann C
Frontiers in molecular neuroscience (2015) 8: 79. 146 011 WB, ICC; tested species: human
Slowly emerging glycinergic transmission enhances inhibition in the sound localization pathway of the avian auditory system.
Fischl MJ, Weimann SR, Kearse MG, Burger RM
Journal of neurophysiology (2014) 1113: 565-72. 146 011 WB, IHC; tested species: chicken
Single expressed glycine receptor domains reconstitute functional ion channels without subunit-specific desensitization behavior.
Meiselbach H, Vogel N, Langlhofer G, Stangl S, Schleyer B, Bahnassawy L, Sticht H, Breitinger HG, Becker CM, Villmann C
The Journal of biological chemistry (2014) 28942: 29135-47. 146 011 WB, ICC; tested species: mouse,rat
Differential subcellular targeting of glutamate receptor subtypes during homeostatic synaptic plasticity.
Soares C, Lee KF, Nassrallah W, Béïque JC
The Journal of neuroscience : the official journal of the Society for Neuroscience (2013) 3333: 13547-59. 146 011 WB; tested species: mouse
Ethanol reduces neuronal excitability of lateral orbitofrontal cortex neurons via a glycine receptor dependent mechanism.
Badanich KA, Mulholland PJ, Beckley JT, Trantham-Davidson H, Woodward JJ
Neuropsychopharmacology : official publication of the American College of Neuropsychopharmacology (2013) 387: 1176-88. 146 011 WB
Distribution of the glycine receptor β-subunit in the mouse CNS as revealed by a novel monoclonal antibody.
Weltzien F, Puller C, O'Sullivan GA, Paarmann I, Betz H
The Journal of comparative neurology (2012) 52017: 3962-81. 146 011 WB, ICC, IHC
Age-related changes of glycine receptor at the rat hippocampus: from the embryo to the adult.
Aroeira RI, Ribeiro JA, Sebastião AM, Valente CA
Journal of neurochemistry (2011) 1183: 339-53. 146 011 WB, IHC; tested species: rat
Neuronal cotransport of glycine receptor and the scaffold protein gephyrin.
Maas C, Tagnaouti N, Loebrich S, Behrend B, Lappe-Siefke C, Kneussel M
The Journal of cell biology (2006) 1723: 441-51. 146 011 WB, IP, ICC
Activation of glycine and glutamate receptors increases intracellular calcium in cells derived from the endocrine pancreas.
Weaver CD, Partridge JG, Yao TL, Moates JM, Magnuson MA, Verdoorn TA
Molecular pharmacology (1998) 544: 639-46. 146 011 WB
Activation-Dependent Rapid Postsynaptic Clustering of Glycine Receptors in Mature Spinal Cord Neurons.
Nakahata Y, Eto K, Murakoshi H, Watanabe M, Kuriu T, Hirata H, Moorhouse AJ, Ishibashi H, Nabekura J
eNeuro () 41: . 146 011 WB
Neuronal cotransport of glycine receptor and the scaffold protein gephyrin.
Maas C, Tagnaouti N, Loebrich S, Behrend B, Lappe-Siefke C, Kneussel M
The Journal of cell biology (2006) 1723: 441-51. 146 011 WB, IP, ICC
Polyclonal glycine receptor aAbs: a challenge for personalized epitope characterization.
Wiessler AL, Stahl I, Schaefer N, Rauschenberger V, Talucci I, Maric HM, Baykan B, Tüzün E, Sommer C, Villmann C
Frontiers in molecular neuroscience (2026) 19: 1747209. 146 011 ICC; tested species: human
Binding patterns of glycine receptor autoantibodies are related to clinical syndromes.
Piro I, Wiessler AL, Kakavela E, Baykan B, Tüzün E, Villmann C, Sommer C
Acta neuropathologica communications (2025) 131: 166. 146 011 ICC, IHC; tested species: human,mouse
Impaired Presynaptic Function Contributes Significantly to the Pathology of Glycine Receptor Autoantibodies.
Wiessler AL, Zheng F, Werner C, Habib M, Tuzun E, Alzheimer C, Sommer C, Villmann C
Neurology(R) neuroimmunology & neuroinflammation (2025) 122: e200364. 146 011 WB, ICC; tested species: mouse
Biochemical, biophysical, and structural investigations of two mutants (C154Y and R312H) of the human Kir2.1 channel involved in the Andersen-Tawil syndrome.
Zuniga D, Zoumpoulakis A, Veloso RF, Peverini L, Shi S, Pozza A, Kugler V, Bonneté F, Bouceba T, Wagner R, Corringer PJ, et al.
FASEB journal : official publication of the Federation of American Societies for Experimental Biology (2024) 3821: e70146. 146 011 ICC; tested species: frog
Glycine Receptor β-Targeting Autoantibodies Contribute to the Pathology of Autoimmune Diseases.
Wiessler AL, Talucci I, Piro I, Seefried S, Hörlin V, Baykan BB, Tüzün E, Schaefer N, Maric HM, Sommer C, Villmann C, et al.
Neurology(R) neuroimmunology & neuroinflammation (2024) 112: e200187. 146 011 WB, ICC; tested species: human,mouse
Role of the Glycine Receptor β Subunit in Synaptic Localization and Pathogenicity in Severe Startle Disease.
Wiessler AL, Hasenmüller AS, Fuhl I, Mille C, Cortes Campo O, Reinhard N, Schenk J, Heinze KG, Schaefer N, Specht CG, Villmann C, et al.
The Journal of neuroscience : the official journal of the Society for Neuroscience (2024) 442: . 146 011 ICC; tested species: mouse
A novel glycine receptor variant with startle disease affects syndapin I and glycinergic inhibition.
Langlhofer G, Schaefer N, Maric HM, Keramidas A, Zhang Y, Baumann P, Blum R, Breitinger U, Strømgaard K, Schlosser A, Kessels MM, et al.
The Journal of neuroscience : the official journal of the Society for Neuroscience (2020) : . 146 011 WB, ICC; tested species: human
Elucidating the Molecular Basis for Inhibitory Neurotransmission Regulation by Artemisinins.
Kasaragod VB, Hausrat TJ, Schaefer N, Kuhn M, Christensen NR, Tessmer I, Maric HM, Madsen KL, Sotriffer C, Villmann C, Kneussel M, et al.
Neuron (2019) 1014: 673-689.e11. 146 011 ICC; tested species: human
Alpha subunit-dependent glycine receptor clustering and regulation of synaptic receptor numbers.
Patrizio A, Renner M, Pizzarelli R, Triller A, Specht CG
Scientific reports (2017) 71: 10899. 146 011 ICC; tested species: rat
The GlyR Extracellular β8-β9 Loop - A Functional Determinant of Agonist Potency.
Janzen D, Schaefer N, Delto C, Schindelin H, Villmann C
Frontiers in molecular neuroscience (2017) 10: 322. 146 011 WB, ICC; tested species: human
Disturbances of Ligand Potency and Enhanced Degradation of the Human Glycine Receptor at Affected Positions G160 and T162 Originally Identified in Patients Suffering from Hyperekplexia.
Atak S, Langlhofer G, Schaefer N, Kessler D, Meiselbach H, Delto C, Schindelin H, Villmann C
Frontiers in molecular neuroscience (2015) 8: 79. 146 011 WB, ICC; tested species: human
Disturbed neuronal ER-Golgi sorting of unassembled glycine receptors suggests altered subcellular processing is a cause of human hyperekplexia.
Schaefer N, Kluck CJ, Price KL, Meiselbach H, Vornberger N, Schwarzinger S, Hartmann S, Langlhofer G, Schulz S, Schlegel N, Brockmann K, et al.
The Journal of neuroscience : the official journal of the Society for Neuroscience (2015) 351: 422-37. 146 011 WB, ICC
Single expressed glycine receptor domains reconstitute functional ion channels without subunit-specific desensitization behavior.
Meiselbach H, Vogel N, Langlhofer G, Stangl S, Schleyer B, Bahnassawy L, Sticht H, Breitinger HG, Becker CM, Villmann C
The Journal of biological chemistry (2014) 28942: 29135-47. 146 011 WB, ICC; tested species: mouse,rat
Proteomic analysis of glycine receptor β subunit (GlyRβ)-interacting proteins: evidence for syndapin I regulating synaptic glycine receptors.
Del Pino I, Koch D, Schemm R, Qualmann B, Betz H, Paarmann I
The Journal of biological chemistry (2014) 28916: 11396-409. 146 011 ICC; tested species: rat
Differential control of thrombospondin over synaptic glycine and AMPA receptors in spinal cord neurons.
Hennekinne L, Colasse S, Triller A, Renner M
The Journal of neuroscience : the official journal of the Society for Neuroscience (2013) 3328: 11432-9. 146 011 ICC; tested species: rat
Distribution of the glycine receptor β-subunit in the mouse CNS as revealed by a novel monoclonal antibody.
Weltzien F, Puller C, O'Sullivan GA, Paarmann I, Betz H
The Journal of comparative neurology (2012) 52017: 3962-81. 146 011 WB, ICC, IHC
Differentiated human midbrain-derived neural progenitor cells express excitatory strychnine-sensitive glycine receptors containing α2β subunits.
Wegner F, Kraft R, Busse K, Härtig W, Ahrens J, Leffler A, Dengler R, Schwarz J
PloS one (2012) 75: e36946. 146 011 ICC; tested species: human
Glycinergic tonic inhibition of hippocampal neurons with depolarizing GABAergic transmission elicits histopathological signs of temporal lobe epilepsy.
Eichler SA, Kirischuk S, Jüttner R, Schaefermeier PK, Schafermeier PK, Legendre P, Lehmann TN, Gloveli T, Grantyn R, Meier JC
Journal of cellular and molecular medicine (2008) 126B: 2848-66. 146 011 ICC; tested species: rat
Neuronal cotransport of glycine receptor and the scaffold protein gephyrin.
Maas C, Tagnaouti N, Loebrich S, Behrend B, Lappe-Siefke C, Kneussel M
The Journal of cell biology (2006) 1723: 441-51. 146 011 WB, IP, ICC
A gephyrin-related mechanism restraining glycine receptor anchoring at GABAergic synapses.
Meier J, Grantyn R
The Journal of neuroscience : the official journal of the Society for Neuroscience (2004) 246: 1398-405. 146 011 ICC
Binding patterns of glycine receptor autoantibodies are related to clinical syndromes.
Piro I, Wiessler AL, Kakavela E, Baykan B, Tüzün E, Villmann C, Sommer C
Acta neuropathologica communications (2025) 131: 166. 146 011 ICC, IHC; tested species: human,mouse
Identification of intraneuronal amyloid beta oligomers in locus coeruleus neurons of Alzheimer's patients and their potential impact on inhibitory neurotransmitter receptors and neuronal excitability.
Kelly L, Seifi M, Ma R, Mitchell SJ, Rudolph U, Viola KL, Klein WL, Lambert JJ, Swinny JD
Neuropathology and applied neurobiology (2021) 474: 488-505. 146 011 IHC; tested species: mouse
Presence of ethanol-sensitive and ethanol-insensitive glycine receptors in the ventral tegmental area and prefrontal cortex in mice.
Araya A, Gallegos S, Viveros R, San Martin L, Muñoz B, Harvey RJ, Zeilhofer HU, Aguayo LG
British journal of pharmacology (2021) 17823: 4691-4707. 146 011 IHC; tested species: mouse
Transmitter and ion channel profiles of neurons in the primate abducens and trochlear nuclei.
Mayadali ÜS, Fleuriet J, Mustari M, Straka H, Horn AKE
Brain structure & function (2021) : . 146 011 IHC; tested species: monkey
Glycine Receptor Autoantibodies Impair Receptor Function and Induce Motor Dysfunction.
Rauschenberger V, von Wardenburg N, Schaefer N, Ogino K, Hirata H, Lillesaar C, Kluck CJ, Meinck HM, Borrmann M, Weishaupt A, Doppler K, et al.
Annals of neurology (2020) 883: 544-561. 146 011 WB, IHC, UPTAKE; tested species: human,zebrafish
Phosphorylation of gephyrin in zebrafish Mauthner cells governs glycine receptor clustering and behavioral desensitization to sound.
Ogino K, Yamada K, Nishioka T, Oda Y, Kaibuchi K, Hirata H
The Journal of neuroscience : the official journal of the Society for Neuroscience (2019) : . 146 011 IHC; tested species: zebrafish
Variable colocalisation of GABAA receptor subunits and glycine receptors on neurons in the human hypoglossal nucleus.
Waldvogel HJ, Biggins FM, Singh A, Arasaratnam CJ, Faull RLM
Journal of chemical neuroanatomy (2019) 97: 99-111. 146 011 IHC; tested species: human
Autism-associated neuroligin-4 mutation selectively impairs glycinergic synaptic transmission in mouse brainstem synapses.
Zhang B, Gokce O, Hale WD, Brose N, Südhof TC
The Journal of experimental medicine (2018) : . 146 011 IHC; tested species: mouse
Glycine receptors are involved in hippocampal neuronal damage caused by oxygen-glucose deficiency.
Iryna L, Galyna M, Galyna S
Cell biology international (2018) : . 146 011 IHC; tested species: rat
Loss of Neuroligin3 specifically downregulates retinal GABAAα2 receptors without abolishing direction selectivity.
Hoon M, Krishnamoorthy V, Gollisch T, Falkenburger B, Varoqueaux F
PloS one (2017) 127: e0181011. 146 011 IHC; tested species: mouse
Differential GABAergic and glycinergic inputs of inhibitory interneurons and Purkinje cells to principal cells of the cerebellar nuclei.
Husson Z, Rousseau CV, Broll I, Zeilhofer HU, Dieudonné S
The Journal of neuroscience : the official journal of the Society for Neuroscience (2014) 3428: 9418-31. 146 011 IHC; tested species: mouse
Developmentally dynamic colocalization patterns of DSCAM with adhesion and synaptic proteins in the mouse retina.
de Andrade GB, Kunzelman L, Merrill MM, Fuerst PG
Molecular vision (2014) 20: 1422-33. 146 011 IHC
Slowly emerging glycinergic transmission enhances inhibition in the sound localization pathway of the avian auditory system.
Fischl MJ, Weimann SR, Kearse MG, Burger RM
Journal of neurophysiology (2014) 1113: 565-72. 146 011 WB, IHC; tested species: chicken
Distinct phenotypes in zebrafish models of human startle disease.
Ganser LR, Yan Q, James VM, Kozol R, Topf M, Harvey RJ, Dallman JE
Neurobiology of disease (2013) 60: 139-51. 146 011 IHC; tested species: zebrafish
Defective escape behavior in DEAH-box RNA helicase mutants improved by restoring glycine receptor expression.
Hirata H, Ogino K, Yamada K, Leacock S, Harvey RJ
The Journal of neuroscience : the official journal of the Society for Neuroscience (2013) 3337: 14638-44. 146 011 IHC; tested species: zebrafish
C-fiber activity-dependent maturation of glycinergic inhibition in the spinal dorsal horn of the postnatal rat.
Koch SC, Tochiki KK, Hirschberg S, Fitzgerald M
Proceedings of the National Academy of Sciences of the United States of America (2012) 10930: 12201-6. 146 011 IHC; tested species: rat
Distribution of the glycine receptor β-subunit in the mouse CNS as revealed by a novel monoclonal antibody.
Weltzien F, Puller C, O'Sullivan GA, Paarmann I, Betz H
The Journal of comparative neurology (2012) 52017: 3962-81. 146 011 WB, ICC, IHC
Taurine release by astrocytes modulates osmosensitive glycine receptor tone and excitability in the adult supraoptic nucleus.
Choe KY, Olson JE, Bourque CW
The Journal of neuroscience : the official journal of the Society for Neuroscience (2012) 3236: 12518-27. 146 011 IHC; tested species: rat
Neuroligin-4 is localized to glycinergic postsynapses and regulates inhibition in the retina.
Hoon M, Soykan T, Falkenburger B, Hammer M, Patrizi A, Schmidt KF, Sassoè-Pognetto M, Löwel S, Moser T, Taschenberger H, Brose N, et al.
Proceedings of the National Academy of Sciences of the United States of America (2011) 1087: 3053-8. 146 011 IHC
Duplicated gephyrin genes showing distinct tissue distribution and alternative splicing patterns mediate molybdenum cofactor biosynthesis, glycine receptor clustering, and escape behavior in zebrafish.
Ogino K, Ramsden SL, Keib N, Schwarz G, Harvey RJ, Hirata H
The Journal of biological chemistry (2011) 2861: 806-17. 146 011 IHC; tested species: zebrafish
Age-related changes of glycine receptor at the rat hippocampus: from the embryo to the adult.
Aroeira RI, Ribeiro JA, Sebastião AM, Valente CA
Journal of neurochemistry (2011) 1183: 339-53. 146 011 WB, IHC; tested species: rat
Mixed GABA-glycine synapses delineate a specific topography in the nucleus tractus solitarii of adult rat.
Dufour A, Tell F, Kessler JP, Baude A
The Journal of physiology (2010) 588Pt 7: 1097-115. 146 011 IHC; tested species: rat
Differential localization of gamma-aminobutyric acid type A and glycine receptor subunits and gephyrin in the human pons, medulla oblongata and uppermost cervical segment of the spinal cord: an immunohistochemical study.
Waldvogel HJ, Baer K, Eady E, Allen KL, Gilbert RT, Mohler H, Rees MI, Nicholson LF, Faull RL
The Journal of comparative neurology (2010) 5183: 305-28. 146 011 IHC; tested species: human
Localization of glycine receptors in the human forebrain, brainstem, and cervical spinal cord: an immunohistochemical review.
Baer K, Waldvogel HJ, Faull RL, Rees MI
Frontiers in molecular neuroscience (2009) 2: 25. 146 011 IHC
Synaptic homeostasis in a zebrafish glial glycine transporter mutant.
Mongeon R, Gleason MR, Masino MA, Fetcho JR, Mandel G, Brehm P, Dallman JE
Journal of neurophysiology (2008) 1004: 1716-23. 146 011 IHC; tested species: zebrafish
Immunohistochemical staining of post-mortem adult human brain sections.
Waldvogel HJ, Curtis MA, Baer K, Rees MI, Faull RL
Nature protocols (2006) 16: 2719-32. 146 011 IHC; tested species: human
Glycine receptors regulate interneuron differentiation during spinal network development.
McDearmid JR, Liao M, Drapeau P
Proceedings of the National Academy of Sciences of the United States of America (2006) 10325: 9679-84. 146 011 IHC
IPSC kinetics at identified GABAergic and mixed GABAergic and glycinergic synapses onto cerebellar Golgi cells.
Dumoulin A, Triller A, Dieudonné S
The Journal of neuroscience : the official journal of the Society for Neuroscience (2001) 2116: 6045-57. 146 011 IHC; tested species: rat
Osmoregulation of vasopressin secretion via activation of neurohypophysial nerve terminals glycine receptors by glial taurine.
Hussy N, Brès V, Rochette M, Duvoid A, Alonso G, Dayanithi G, Moos FC
The Journal of neuroscience : the official journal of the Society for Neuroscience (2001) 2118: 7110-6. 146 011 IHC
Transmitter and ion channel profiles of saccadic omnipause neurons and cholinergic non-omnipause neurons in human nucleus raphe interpositus.
Mayadali ÜS, John M, Abspacher M, Schmitz C, Shaikh AG, Horn AKE
Frontiers in neuroanatomy (2025) 19: 1670220. 146 011 IHC-P (FFPE); tested species: human
A subcortical inhibitory signal for behavioral arrest in the thalamus.
Giber K, Diana MA, Plattner V, Dugué GP, Bokor H, Rousseau CV, Maglóczky Z, Havas L, Hangya B, Wildner H, Zeilhofer HU, et al.
Nature neuroscience (2015) 184: 562-568. 146 011 IHC-P (FFPE); tested species: mouse
Delineation of motoneuron subgroups supplying individual eye muscles in the human oculomotor nucleus.
Che Ngwa E, Zeeh C, Messoudi A, Büttner-Ennever JA, Horn AK
Frontiers in neuroanatomy (2014) 8: 2. 146 011 IHC-P (FFPE); tested species: human
Glycine receptor autoantibody binding to the extracellular domain is independent from receptor glycosylation.
Rauschenberger V, Piro I, Kasaragod VB, Hörlin V, Eckes AL, Kluck CJ, Schindelin H, Meinck HM, Wickel J, Geis C, Tüzün E, et al.
Frontiers in molecular neuroscience (2023) 16: 1089101. 146 011 WB, UPTAKE; tested species: human
Spinal cord synaptic plasticity by GlyRβ release from receptor fields and syndapin I-dependent uptake.
Tröger J, Seemann E, Heintzmann R, Kessels MM, Qualmann B
The Journal of neuroscience : the official journal of the Society for Neuroscience (2022) 4235: 6706-23. 146 011 UPTAKE; tested species: mouse
Glycine Receptor Autoantibodies Impair Receptor Function and Induce Motor Dysfunction.
Rauschenberger V, von Wardenburg N, Schaefer N, Ogino K, Hirata H, Lillesaar C, Kluck CJ, Meinck HM, Borrmann M, Weishaupt A, Doppler K, et al.
Annals of neurology (2020) 883: 544-561. 146 011 WB, IHC, UPTAKE; tested species: human,zebrafish
Immunocytochemical localization of glycine receptors in the mammalian retina.
Grünert U, Wässle H
The Journal of comparative neurology (1993) 3354: 523-37. 146 011
Mapping of antigenic epitopes on the alpha 1 subunit of the inhibitory glycine receptor.
Schröder S, Hoch W, Becker CM, Grenningloh G, Betz H
Biochemistry (1991) 301: 42-7. 146 011
Monoclonal antibodies and peptide mapping reveal structural similarities between the subunits of the glycine receptor of rat spinal cord.
Pfeiffer F, Simler R, Grenningloh G, Betz H
Proceedings of the National Academy of Sciences of the United States of America (1984) 8122: 7224-7. 146 011
Cat. No.: 146 011
Amount: 100 µg
Price: $425.00
Impaired Presynaptic Function Contributes Significantly to the Pathology of Glycine Receptor Autoantibodies.
Wiessler AL, Zheng F, Werner C, Habib M, Tuzun E, Alzheimer C, Sommer C, Villmann C
Neurology(R) neuroimmunology & neuroinflammation (2025) 122: e200364. 146 011 WB, ICC; tested species: mouse
Glycine Receptor β-Targeting Autoantibodies Contribute to the Pathology of Autoimmune Diseases.
Wiessler AL, Talucci I, Piro I, Seefried S, Hörlin V, Baykan BB, Tüzün E, Schaefer N, Maric HM, Sommer C, Villmann C, et al.
Neurology(R) neuroimmunology & neuroinflammation (2024) 112: e200187. 146 011 WB, ICC; tested species: human,mouse
Glycine receptor autoantibody binding to the extracellular domain is independent from receptor glycosylation.
Rauschenberger V, Piro I, Kasaragod VB, Hörlin V, Eckes AL, Kluck CJ, Schindelin H, Meinck HM, Wickel J, Geis C, Tüzün E, et al.
Frontiers in molecular neuroscience (2023) 16: 1089101. 146 011 WB, UPTAKE; tested species: human
Altered expression of synaptic proteins and adhesion molecules in the hippocampus and cortex following the onset of diabetes in nonobese diabetic mice.
Yokokawa T, Kido K, Sato K, Hayashi T, Fujita S
Physiological reports (2023) 118: e15673. 146 011 WB; tested species: mouse
Loss, Gain and Altered Function of GlyR α2 Subunit Mutations in Neurodevelopmental Disorders.
Chen X, Wilson KA, Schaefer N, De Hayr L, Windsor M, Scalais E, van Rijckevorsel G, Stouffs K, Villmann C, O'Mara ML, Lynch JW, et al.
Frontiers in molecular neuroscience (2022) 15: 886729. 146 011 WB; tested species: human
A novel glycine receptor variant with startle disease affects syndapin I and glycinergic inhibition.
Langlhofer G, Schaefer N, Maric HM, Keramidas A, Zhang Y, Baumann P, Blum R, Breitinger U, Strømgaard K, Schlosser A, Kessels MM, et al.
The Journal of neuroscience : the official journal of the Society for Neuroscience (2020) : . 146 011 WB, ICC; tested species: human
Glycine Receptor Autoantibodies Impair Receptor Function and Induce Motor Dysfunction.
Rauschenberger V, von Wardenburg N, Schaefer N, Ogino K, Hirata H, Lillesaar C, Kluck CJ, Meinck HM, Borrmann M, Weishaupt A, Doppler K, et al.
Annals of neurology (2020) 883: 544-561. 146 011 WB, IHC, UPTAKE; tested species: human,zebrafish
Disruption of a Structurally Important Extracellular Element in the Glycine Receptor Leads to Decreased Synaptic Integration and Signaling Resulting in Severe Startle Disease.
Schaefer N, Berger A, van Brederode J, Zheng F, Zhang Y, Leacock S, Littau L, Jablonka S, Malhotra S, Topf M, Winter F, et al.
The Journal of neuroscience : the official journal of the Society for Neuroscience (2017) 3733: 7948-7961. 146 011 WB; tested species: mouse
The GlyR Extracellular β8-β9 Loop - A Functional Determinant of Agonist Potency.
Janzen D, Schaefer N, Delto C, Schindelin H, Villmann C
Frontiers in molecular neuroscience (2017) 10: 322. 146 011 WB, ICC; tested species: human
Gephyrin-binding peptides visualize postsynaptic sites and modulate neurotransmission.
Maric HM, Hausrat TJ, Neubert F, Dalby NO, Doose S, Sauer M, Kneussel M, Strømgaard K
Nature chemical biology (2017) 132: 153-160. 146 011 WB; tested species: mouse
Disturbed neuronal ER-Golgi sorting of unassembled glycine receptors suggests altered subcellular processing is a cause of human hyperekplexia.
Schaefer N, Kluck CJ, Price KL, Meiselbach H, Vornberger N, Schwarzinger S, Hartmann S, Langlhofer G, Schulz S, Schlegel N, Brockmann K, et al.
The Journal of neuroscience : the official journal of the Society for Neuroscience (2015) 351: 422-37. 146 011 WB, ICC
Disturbances of Ligand Potency and Enhanced Degradation of the Human Glycine Receptor at Affected Positions G160 and T162 Originally Identified in Patients Suffering from Hyperekplexia.
Atak S, Langlhofer G, Schaefer N, Kessler D, Meiselbach H, Delto C, Schindelin H, Villmann C
Frontiers in molecular neuroscience (2015) 8: 79. 146 011 WB, ICC; tested species: human
Slowly emerging glycinergic transmission enhances inhibition in the sound localization pathway of the avian auditory system.
Fischl MJ, Weimann SR, Kearse MG, Burger RM
Journal of neurophysiology (2014) 1113: 565-72. 146 011 WB, IHC; tested species: chicken
Single expressed glycine receptor domains reconstitute functional ion channels without subunit-specific desensitization behavior.
Meiselbach H, Vogel N, Langlhofer G, Stangl S, Schleyer B, Bahnassawy L, Sticht H, Breitinger HG, Becker CM, Villmann C
The Journal of biological chemistry (2014) 28942: 29135-47. 146 011 WB, ICC; tested species: mouse,rat
Differential subcellular targeting of glutamate receptor subtypes during homeostatic synaptic plasticity.
Soares C, Lee KF, Nassrallah W, Béïque JC
The Journal of neuroscience : the official journal of the Society for Neuroscience (2013) 3333: 13547-59. 146 011 WB; tested species: mouse
Ethanol reduces neuronal excitability of lateral orbitofrontal cortex neurons via a glycine receptor dependent mechanism.
Badanich KA, Mulholland PJ, Beckley JT, Trantham-Davidson H, Woodward JJ
Neuropsychopharmacology : official publication of the American College of Neuropsychopharmacology (2013) 387: 1176-88. 146 011 WB
Distribution of the glycine receptor β-subunit in the mouse CNS as revealed by a novel monoclonal antibody.
Weltzien F, Puller C, O'Sullivan GA, Paarmann I, Betz H
The Journal of comparative neurology (2012) 52017: 3962-81. 146 011 WB, ICC, IHC
Age-related changes of glycine receptor at the rat hippocampus: from the embryo to the adult.
Aroeira RI, Ribeiro JA, Sebastião AM, Valente CA
Journal of neurochemistry (2011) 1183: 339-53. 146 011 WB, IHC; tested species: rat
Neuronal cotransport of glycine receptor and the scaffold protein gephyrin.
Maas C, Tagnaouti N, Loebrich S, Behrend B, Lappe-Siefke C, Kneussel M
The Journal of cell biology (2006) 1723: 441-51. 146 011 WB, IP, ICC
Activation of glycine and glutamate receptors increases intracellular calcium in cells derived from the endocrine pancreas.
Weaver CD, Partridge JG, Yao TL, Moates JM, Magnuson MA, Verdoorn TA
Molecular pharmacology (1998) 544: 639-46. 146 011 WB
Activation-Dependent Rapid Postsynaptic Clustering of Glycine Receptors in Mature Spinal Cord Neurons.
Nakahata Y, Eto K, Murakoshi H, Watanabe M, Kuriu T, Hirata H, Moorhouse AJ, Ishibashi H, Nabekura J
eNeuro () 41: . 146 011 WB
Neuronal cotransport of glycine receptor and the scaffold protein gephyrin.
Maas C, Tagnaouti N, Loebrich S, Behrend B, Lappe-Siefke C, Kneussel M
The Journal of cell biology (2006) 1723: 441-51. 146 011 WB, IP, ICC
Polyclonal glycine receptor aAbs: a challenge for personalized epitope characterization.
Wiessler AL, Stahl I, Schaefer N, Rauschenberger V, Talucci I, Maric HM, Baykan B, Tüzün E, Sommer C, Villmann C
Frontiers in molecular neuroscience (2026) 19: 1747209. 146 011 ICC; tested species: human
Binding patterns of glycine receptor autoantibodies are related to clinical syndromes.
Piro I, Wiessler AL, Kakavela E, Baykan B, Tüzün E, Villmann C, Sommer C
Acta neuropathologica communications (2025) 131: 166. 146 011 ICC, IHC; tested species: human,mouse
Impaired Presynaptic Function Contributes Significantly to the Pathology of Glycine Receptor Autoantibodies.
Wiessler AL, Zheng F, Werner C, Habib M, Tuzun E, Alzheimer C, Sommer C, Villmann C
Neurology(R) neuroimmunology & neuroinflammation (2025) 122: e200364. 146 011 WB, ICC; tested species: mouse
Biochemical, biophysical, and structural investigations of two mutants (C154Y and R312H) of the human Kir2.1 channel involved in the Andersen-Tawil syndrome.
Zuniga D, Zoumpoulakis A, Veloso RF, Peverini L, Shi S, Pozza A, Kugler V, Bonneté F, Bouceba T, Wagner R, Corringer PJ, et al.
FASEB journal : official publication of the Federation of American Societies for Experimental Biology (2024) 3821: e70146. 146 011 ICC; tested species: frog
Glycine Receptor β-Targeting Autoantibodies Contribute to the Pathology of Autoimmune Diseases.
Wiessler AL, Talucci I, Piro I, Seefried S, Hörlin V, Baykan BB, Tüzün E, Schaefer N, Maric HM, Sommer C, Villmann C, et al.
Neurology(R) neuroimmunology & neuroinflammation (2024) 112: e200187. 146 011 WB, ICC; tested species: human,mouse
Role of the Glycine Receptor β Subunit in Synaptic Localization and Pathogenicity in Severe Startle Disease.
Wiessler AL, Hasenmüller AS, Fuhl I, Mille C, Cortes Campo O, Reinhard N, Schenk J, Heinze KG, Schaefer N, Specht CG, Villmann C, et al.
The Journal of neuroscience : the official journal of the Society for Neuroscience (2024) 442: . 146 011 ICC; tested species: mouse
A novel glycine receptor variant with startle disease affects syndapin I and glycinergic inhibition.
Langlhofer G, Schaefer N, Maric HM, Keramidas A, Zhang Y, Baumann P, Blum R, Breitinger U, Strømgaard K, Schlosser A, Kessels MM, et al.
The Journal of neuroscience : the official journal of the Society for Neuroscience (2020) : . 146 011 WB, ICC; tested species: human
Elucidating the Molecular Basis for Inhibitory Neurotransmission Regulation by Artemisinins.
Kasaragod VB, Hausrat TJ, Schaefer N, Kuhn M, Christensen NR, Tessmer I, Maric HM, Madsen KL, Sotriffer C, Villmann C, Kneussel M, et al.
Neuron (2019) 1014: 673-689.e11. 146 011 ICC; tested species: human
Alpha subunit-dependent glycine receptor clustering and regulation of synaptic receptor numbers.
Patrizio A, Renner M, Pizzarelli R, Triller A, Specht CG
Scientific reports (2017) 71: 10899. 146 011 ICC; tested species: rat
The GlyR Extracellular β8-β9 Loop - A Functional Determinant of Agonist Potency.
Janzen D, Schaefer N, Delto C, Schindelin H, Villmann C
Frontiers in molecular neuroscience (2017) 10: 322. 146 011 WB, ICC; tested species: human
Disturbances of Ligand Potency and Enhanced Degradation of the Human Glycine Receptor at Affected Positions G160 and T162 Originally Identified in Patients Suffering from Hyperekplexia.
Atak S, Langlhofer G, Schaefer N, Kessler D, Meiselbach H, Delto C, Schindelin H, Villmann C
Frontiers in molecular neuroscience (2015) 8: 79. 146 011 WB, ICC; tested species: human
Disturbed neuronal ER-Golgi sorting of unassembled glycine receptors suggests altered subcellular processing is a cause of human hyperekplexia.
Schaefer N, Kluck CJ, Price KL, Meiselbach H, Vornberger N, Schwarzinger S, Hartmann S, Langlhofer G, Schulz S, Schlegel N, Brockmann K, et al.
The Journal of neuroscience : the official journal of the Society for Neuroscience (2015) 351: 422-37. 146 011 WB, ICC
Single expressed glycine receptor domains reconstitute functional ion channels without subunit-specific desensitization behavior.
Meiselbach H, Vogel N, Langlhofer G, Stangl S, Schleyer B, Bahnassawy L, Sticht H, Breitinger HG, Becker CM, Villmann C
The Journal of biological chemistry (2014) 28942: 29135-47. 146 011 WB, ICC; tested species: mouse,rat
Proteomic analysis of glycine receptor β subunit (GlyRβ)-interacting proteins: evidence for syndapin I regulating synaptic glycine receptors.
Del Pino I, Koch D, Schemm R, Qualmann B, Betz H, Paarmann I
The Journal of biological chemistry (2014) 28916: 11396-409. 146 011 ICC; tested species: rat
Differential control of thrombospondin over synaptic glycine and AMPA receptors in spinal cord neurons.
Hennekinne L, Colasse S, Triller A, Renner M
The Journal of neuroscience : the official journal of the Society for Neuroscience (2013) 3328: 11432-9. 146 011 ICC; tested species: rat
Distribution of the glycine receptor β-subunit in the mouse CNS as revealed by a novel monoclonal antibody.
Weltzien F, Puller C, O'Sullivan GA, Paarmann I, Betz H
The Journal of comparative neurology (2012) 52017: 3962-81. 146 011 WB, ICC, IHC
Differentiated human midbrain-derived neural progenitor cells express excitatory strychnine-sensitive glycine receptors containing α2β subunits.
Wegner F, Kraft R, Busse K, Härtig W, Ahrens J, Leffler A, Dengler R, Schwarz J
PloS one (2012) 75: e36946. 146 011 ICC; tested species: human
Glycinergic tonic inhibition of hippocampal neurons with depolarizing GABAergic transmission elicits histopathological signs of temporal lobe epilepsy.
Eichler SA, Kirischuk S, Jüttner R, Schaefermeier PK, Schafermeier PK, Legendre P, Lehmann TN, Gloveli T, Grantyn R, Meier JC
Journal of cellular and molecular medicine (2008) 126B: 2848-66. 146 011 ICC; tested species: rat
Neuronal cotransport of glycine receptor and the scaffold protein gephyrin.
Maas C, Tagnaouti N, Loebrich S, Behrend B, Lappe-Siefke C, Kneussel M
The Journal of cell biology (2006) 1723: 441-51. 146 011 WB, IP, ICC
A gephyrin-related mechanism restraining glycine receptor anchoring at GABAergic synapses.
Meier J, Grantyn R
The Journal of neuroscience : the official journal of the Society for Neuroscience (2004) 246: 1398-405. 146 011 ICC
Binding patterns of glycine receptor autoantibodies are related to clinical syndromes.
Piro I, Wiessler AL, Kakavela E, Baykan B, Tüzün E, Villmann C, Sommer C
Acta neuropathologica communications (2025) 131: 166. 146 011 ICC, IHC; tested species: human,mouse
Identification of intraneuronal amyloid beta oligomers in locus coeruleus neurons of Alzheimer's patients and their potential impact on inhibitory neurotransmitter receptors and neuronal excitability.
Kelly L, Seifi M, Ma R, Mitchell SJ, Rudolph U, Viola KL, Klein WL, Lambert JJ, Swinny JD
Neuropathology and applied neurobiology (2021) 474: 488-505. 146 011 IHC; tested species: mouse
Presence of ethanol-sensitive and ethanol-insensitive glycine receptors in the ventral tegmental area and prefrontal cortex in mice.
Araya A, Gallegos S, Viveros R, San Martin L, Muñoz B, Harvey RJ, Zeilhofer HU, Aguayo LG
British journal of pharmacology (2021) 17823: 4691-4707. 146 011 IHC; tested species: mouse
Transmitter and ion channel profiles of neurons in the primate abducens and trochlear nuclei.
Mayadali ÜS, Fleuriet J, Mustari M, Straka H, Horn AKE
Brain structure & function (2021) : . 146 011 IHC; tested species: monkey
Glycine Receptor Autoantibodies Impair Receptor Function and Induce Motor Dysfunction.
Rauschenberger V, von Wardenburg N, Schaefer N, Ogino K, Hirata H, Lillesaar C, Kluck CJ, Meinck HM, Borrmann M, Weishaupt A, Doppler K, et al.
Annals of neurology (2020) 883: 544-561. 146 011 WB, IHC, UPTAKE; tested species: human,zebrafish
Phosphorylation of gephyrin in zebrafish Mauthner cells governs glycine receptor clustering and behavioral desensitization to sound.
Ogino K, Yamada K, Nishioka T, Oda Y, Kaibuchi K, Hirata H
The Journal of neuroscience : the official journal of the Society for Neuroscience (2019) : . 146 011 IHC; tested species: zebrafish
Variable colocalisation of GABAA receptor subunits and glycine receptors on neurons in the human hypoglossal nucleus.
Waldvogel HJ, Biggins FM, Singh A, Arasaratnam CJ, Faull RLM
Journal of chemical neuroanatomy (2019) 97: 99-111. 146 011 IHC; tested species: human
Autism-associated neuroligin-4 mutation selectively impairs glycinergic synaptic transmission in mouse brainstem synapses.
Zhang B, Gokce O, Hale WD, Brose N, Südhof TC
The Journal of experimental medicine (2018) : . 146 011 IHC; tested species: mouse
Glycine receptors are involved in hippocampal neuronal damage caused by oxygen-glucose deficiency.
Iryna L, Galyna M, Galyna S
Cell biology international (2018) : . 146 011 IHC; tested species: rat
Loss of Neuroligin3 specifically downregulates retinal GABAAα2 receptors without abolishing direction selectivity.
Hoon M, Krishnamoorthy V, Gollisch T, Falkenburger B, Varoqueaux F
PloS one (2017) 127: e0181011. 146 011 IHC; tested species: mouse
Differential GABAergic and glycinergic inputs of inhibitory interneurons and Purkinje cells to principal cells of the cerebellar nuclei.
Husson Z, Rousseau CV, Broll I, Zeilhofer HU, Dieudonné S
The Journal of neuroscience : the official journal of the Society for Neuroscience (2014) 3428: 9418-31. 146 011 IHC; tested species: mouse
Developmentally dynamic colocalization patterns of DSCAM with adhesion and synaptic proteins in the mouse retina.
de Andrade GB, Kunzelman L, Merrill MM, Fuerst PG
Molecular vision (2014) 20: 1422-33. 146 011 IHC
Slowly emerging glycinergic transmission enhances inhibition in the sound localization pathway of the avian auditory system.
Fischl MJ, Weimann SR, Kearse MG, Burger RM
Journal of neurophysiology (2014) 1113: 565-72. 146 011 WB, IHC; tested species: chicken
Distinct phenotypes in zebrafish models of human startle disease.
Ganser LR, Yan Q, James VM, Kozol R, Topf M, Harvey RJ, Dallman JE
Neurobiology of disease (2013) 60: 139-51. 146 011 IHC; tested species: zebrafish
Defective escape behavior in DEAH-box RNA helicase mutants improved by restoring glycine receptor expression.
Hirata H, Ogino K, Yamada K, Leacock S, Harvey RJ
The Journal of neuroscience : the official journal of the Society for Neuroscience (2013) 3337: 14638-44. 146 011 IHC; tested species: zebrafish
C-fiber activity-dependent maturation of glycinergic inhibition in the spinal dorsal horn of the postnatal rat.
Koch SC, Tochiki KK, Hirschberg S, Fitzgerald M
Proceedings of the National Academy of Sciences of the United States of America (2012) 10930: 12201-6. 146 011 IHC; tested species: rat
Distribution of the glycine receptor β-subunit in the mouse CNS as revealed by a novel monoclonal antibody.
Weltzien F, Puller C, O'Sullivan GA, Paarmann I, Betz H
The Journal of comparative neurology (2012) 52017: 3962-81. 146 011 WB, ICC, IHC
Taurine release by astrocytes modulates osmosensitive glycine receptor tone and excitability in the adult supraoptic nucleus.
Choe KY, Olson JE, Bourque CW
The Journal of neuroscience : the official journal of the Society for Neuroscience (2012) 3236: 12518-27. 146 011 IHC; tested species: rat
Neuroligin-4 is localized to glycinergic postsynapses and regulates inhibition in the retina.
Hoon M, Soykan T, Falkenburger B, Hammer M, Patrizi A, Schmidt KF, Sassoè-Pognetto M, Löwel S, Moser T, Taschenberger H, Brose N, et al.
Proceedings of the National Academy of Sciences of the United States of America (2011) 1087: 3053-8. 146 011 IHC
Duplicated gephyrin genes showing distinct tissue distribution and alternative splicing patterns mediate molybdenum cofactor biosynthesis, glycine receptor clustering, and escape behavior in zebrafish.
Ogino K, Ramsden SL, Keib N, Schwarz G, Harvey RJ, Hirata H
The Journal of biological chemistry (2011) 2861: 806-17. 146 011 IHC; tested species: zebrafish
Age-related changes of glycine receptor at the rat hippocampus: from the embryo to the adult.
Aroeira RI, Ribeiro JA, Sebastião AM, Valente CA
Journal of neurochemistry (2011) 1183: 339-53. 146 011 WB, IHC; tested species: rat
Mixed GABA-glycine synapses delineate a specific topography in the nucleus tractus solitarii of adult rat.
Dufour A, Tell F, Kessler JP, Baude A
The Journal of physiology (2010) 588Pt 7: 1097-115. 146 011 IHC; tested species: rat
Differential localization of gamma-aminobutyric acid type A and glycine receptor subunits and gephyrin in the human pons, medulla oblongata and uppermost cervical segment of the spinal cord: an immunohistochemical study.
Waldvogel HJ, Baer K, Eady E, Allen KL, Gilbert RT, Mohler H, Rees MI, Nicholson LF, Faull RL
The Journal of comparative neurology (2010) 5183: 305-28. 146 011 IHC; tested species: human
Localization of glycine receptors in the human forebrain, brainstem, and cervical spinal cord: an immunohistochemical review.
Baer K, Waldvogel HJ, Faull RL, Rees MI
Frontiers in molecular neuroscience (2009) 2: 25. 146 011 IHC
Synaptic homeostasis in a zebrafish glial glycine transporter mutant.
Mongeon R, Gleason MR, Masino MA, Fetcho JR, Mandel G, Brehm P, Dallman JE
Journal of neurophysiology (2008) 1004: 1716-23. 146 011 IHC; tested species: zebrafish
Immunohistochemical staining of post-mortem adult human brain sections.
Waldvogel HJ, Curtis MA, Baer K, Rees MI, Faull RL
Nature protocols (2006) 16: 2719-32. 146 011 IHC; tested species: human
Glycine receptors regulate interneuron differentiation during spinal network development.
McDearmid JR, Liao M, Drapeau P
Proceedings of the National Academy of Sciences of the United States of America (2006) 10325: 9679-84. 146 011 IHC
IPSC kinetics at identified GABAergic and mixed GABAergic and glycinergic synapses onto cerebellar Golgi cells.
Dumoulin A, Triller A, Dieudonné S
The Journal of neuroscience : the official journal of the Society for Neuroscience (2001) 2116: 6045-57. 146 011 IHC; tested species: rat
Osmoregulation of vasopressin secretion via activation of neurohypophysial nerve terminals glycine receptors by glial taurine.
Hussy N, Brès V, Rochette M, Duvoid A, Alonso G, Dayanithi G, Moos FC
The Journal of neuroscience : the official journal of the Society for Neuroscience (2001) 2118: 7110-6. 146 011 IHC
Transmitter and ion channel profiles of saccadic omnipause neurons and cholinergic non-omnipause neurons in human nucleus raphe interpositus.
Mayadali ÜS, John M, Abspacher M, Schmitz C, Shaikh AG, Horn AKE
Frontiers in neuroanatomy (2025) 19: 1670220. 146 011 IHC-P (FFPE); tested species: human
A subcortical inhibitory signal for behavioral arrest in the thalamus.
Giber K, Diana MA, Plattner V, Dugué GP, Bokor H, Rousseau CV, Maglóczky Z, Havas L, Hangya B, Wildner H, Zeilhofer HU, et al.
Nature neuroscience (2015) 184: 562-568. 146 011 IHC-P (FFPE); tested species: mouse
Delineation of motoneuron subgroups supplying individual eye muscles in the human oculomotor nucleus.
Che Ngwa E, Zeeh C, Messoudi A, Büttner-Ennever JA, Horn AK
Frontiers in neuroanatomy (2014) 8: 2. 146 011 IHC-P (FFPE); tested species: human
Glycine receptor autoantibody binding to the extracellular domain is independent from receptor glycosylation.
Rauschenberger V, Piro I, Kasaragod VB, Hörlin V, Eckes AL, Kluck CJ, Schindelin H, Meinck HM, Wickel J, Geis C, Tüzün E, et al.
Frontiers in molecular neuroscience (2023) 16: 1089101. 146 011 WB, UPTAKE; tested species: human
Spinal cord synaptic plasticity by GlyRβ release from receptor fields and syndapin I-dependent uptake.
Tröger J, Seemann E, Heintzmann R, Kessels MM, Qualmann B
The Journal of neuroscience : the official journal of the Society for Neuroscience (2022) 4235: 6706-23. 146 011 UPTAKE; tested species: mouse
Glycine Receptor Autoantibodies Impair Receptor Function and Induce Motor Dysfunction.
Rauschenberger V, von Wardenburg N, Schaefer N, Ogino K, Hirata H, Lillesaar C, Kluck CJ, Meinck HM, Borrmann M, Weishaupt A, Doppler K, et al.
Annals of neurology (2020) 883: 544-561. 146 011 WB, IHC, UPTAKE; tested species: human,zebrafish
Immunocytochemical localization of glycine receptors in the mammalian retina.
Grünert U, Wässle H
The Journal of comparative neurology (1993) 3354: 523-37. 146 011
Mapping of antigenic epitopes on the alpha 1 subunit of the inhibitory glycine receptor.
Schröder S, Hoch W, Becker CM, Grenningloh G, Betz H
Biochemistry (1991) 301: 42-7. 146 011
Monoclonal antibodies and peptide mapping reveal structural similarities between the subunits of the glycine receptor of rat spinal cord.
Pfeiffer F, Simler R, Grenningloh G, Betz H
Proceedings of the National Academy of Sciences of the United States of America (1984) 8122: 7224-7. 146 011
Background
The inhibitory glycine receptor (GlyR) is a member of the ligand-gated ion channel superfamily of neurotransmitter receptors. It is an oligomeric protein composed of homologous subunits (α 1-4 and β) with four transmembrane segments (M1-M4) each.
It shows a widespread expression profile in brain. Several isoforms and splice variants with distinct pharmacology have been discovered so far.

Certificates

ISO 9001 2015 Quality Management System and Green Lab Platinum certification level for sustaining laboratory processes.

Newsletter

Sign up for our newsletter and get the latest updates and news.
 

Please provide a valid E-Mail-Address
Please provide a valid First name
Please provide a valid Last name