Tailor-made Antibodies
and Tools for Life Science
Home | | | | | Technical Support

Piccolo antibody - 142 008

Piccolo is a large multi-domain protein of the presynaptic active zone
Rabbit monoclonal recombinant IgG
Cat. No.: 142 008
Amount: 100 µg
Price: $420.00
Cat. No. 142 008 100 µg purified recombinant IgG, lyophilized. Albumin and azide were added for stabilization. For reconstitution add 100 µl H2O to get a 1mg/ml solution in PBS. Then aliquot and store at -20°C to -80°C until use.
Antibodies should be stored at +4°C when still lyophilized. Do not freeze!
Applications
 
WB: not recommended (see remarks)
IP: not tested yet
ICC: 1 : 500 gallery  
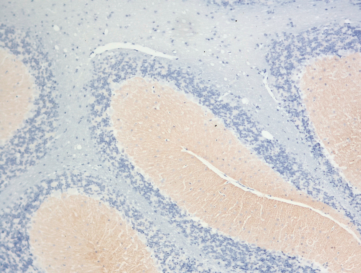
IHC: 1 : 500 gallery  
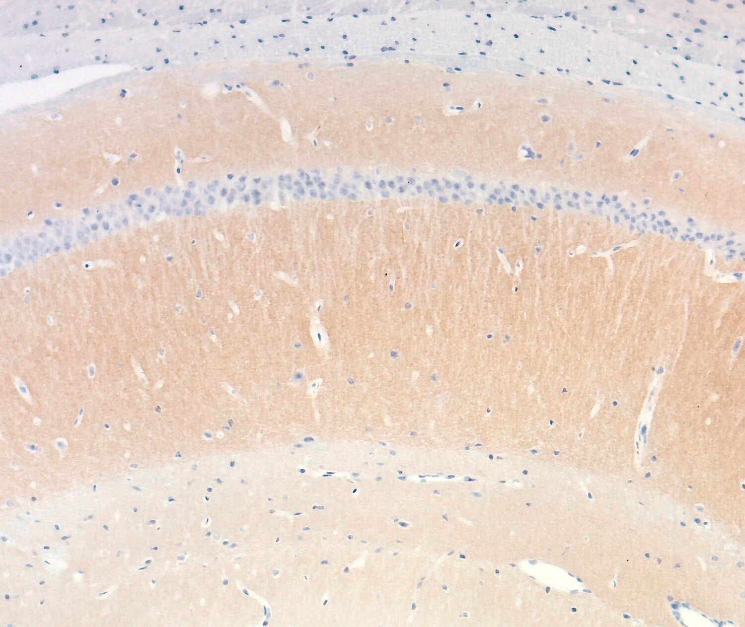
IHC-P (FFPE): 1 : 100 gallery  

Western blot (WB); separation of proteins by PAGE and subsequent transfer to a membrane. Detection of target molecules is carried out with antibodies. Some antibodies require special sample preparation steps. For details, please refer to the “Remarks” section.

Immunoprecipitation (IP); Immunoisolation or pulldown of a target molecule using an antibody. For details and product specific hints, please refer to the ”Remarks” section.

Immunocytochemistry (ICC) on 4% PFA fixed cells. Immunoreactivity is usually revealed by fluorescence. Some antibodies require special fixation methods. For details, please refer to the “Remarks” section.

Immunohistochemistry (IHC) on 4% PFA perfusion fixed tissue with 24h PFA post fixation. Immunoreactivity is usually revealed by fluorescence or a chromogenic substrate. Some antibodies require special fixation methods or antigen retrieval steps. For details, please refer to the ”Remarks” section.

Immunohistochemistry (IHC-P) of formalin fixed, paraffin embedded (FFPE) tissue (some antibodies require special antigen retrieval steps, please refer to the ”Remarks” section). Immunoreactivity is usually revealed by fluorescence or a chromogenic substrate.

Clone Rb294E1
Subtype IgG1 (κ light chain)
Immunogen Recombinant protein corresponding to residues near the central region of rat Piccolo (UniProt Id: Q9JKS6)
Reactivity Reacts with: mouse (Q9QYX7-1), rat (Q9JKS6).
Other species not tested yet.
Remarks

This antibody is a chimeric antibody based on the monoclonal mouse antibody SY-294E1. The constant regions of the heavy and light chains have been replaced with rabbit specific sequences. The antibody can therefore be used with standard anti-rabbit secondary reagents. The antibody has been expressed in mammalian cells.
WB: Due to the large size of this protein, we recommend NuPAGE 3-8% Tris-Acetate gels for SDS-PAGE.
This antibody is less sensitive than the polyclonal product 142 113. We recommend 142 113 for westernblotting.

Data sheet Datasheet 142_008
Cat. No.: 142 008
Amount: 100 µg
Price: $420.00
Background

Piccolo, also referred to as Aczonin, is a large protein which consists of an N-terminal Zn2+ finger, several piccolo-bassoon homology domains (PBH-domains) and C-terminal PDZ and C2 domains. In general it is found together with bassoon, a related huge multi-domain protein of the CAZ (cytoskeletal matrix assembled at active zones).
Piccolo is supposed to be a scaffolding protein for proteins involved in endo- and exocytosis of synaptic vesicles. Recently piccolo has been shown to interfere with clathrin mediated endocytosis by binding to the F-actin and dynamin binding protein Abp1.

 

For more information on protein expression pattern, please refer to the overview image in our SYSY Antibodies ATLAS.

Certificates

ISO 9001 2015 Quality Management System and Green Lab Platinum certification level for sustaining laboratory processes.

Newsletter

Sign up for our newsletter and get the latest updates and news.
 

Please provide a valid E-Mail-Address
Please provide a valid First name
Please provide a valid Last name