Tailor-made Antibodies
and Tools for Life Science
Home | | | | | Technical Support

Piccolo antibody - 142 003 K.O.

Piccolo is a large multi-domain protein of the presynaptic active zone
Rabbit polyclonal purified antibody
Cat. No.: 142 003
Amount: 50 µg
Price: $460.00
Cat. No. 142 003 50 µg specific antibody, lyophilized. Affinity purified with the immunogen. Albumin and azide were added for stabilization. For reconstitution add 50 µl H2O to get a 1mg/ml solution in PBS. Then aliquot and store at -20°C to -80°C until use.
Antibodies should be stored at +4°C when still lyophilized. Do not freeze!
Applications
 
WB: external data(AP staining) (see remarks)
IP: not tested yet
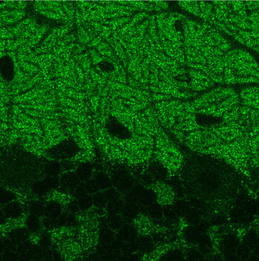
ICC: 1 : 200 up to 1 : 500 gallery  
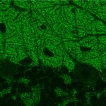
IHC: external data (see remarks) gallery  
IHC-P (FFPE): not tested yet
Codex-PC: external data (see remarks)

Western blot (WB); separation of proteins by PAGE and subsequent transfer to a membrane. Detection of target molecules is carried out with antibodies. Some antibodies require special sample preparation steps. For details, please refer to the “Remarks” section.

Immunoprecipitation (IP); Immunoisolation or pulldown of a target molecule using an antibody. For details and product specific hints, please refer to the ”Remarks” section.

Immunocytochemistry (ICC) on 4% PFA fixed cells. Immunoreactivity is usually revealed by fluorescence. Some antibodies require special fixation methods. For details, please refer to the “Remarks” section.

Immunohistochemistry (IHC) on 4% PFA perfusion fixed tissue with 24h PFA post fixation. Immunoreactivity is usually revealed by fluorescence or a chromogenic substrate. Some antibodies require special fixation methods or antigen retrieval steps. For details, please refer to the ”Remarks” section.

Immunohistochemistry (IHC-P) of formalin fixed, paraffin embedded (FFPE) tissue (some antibodies require special antigen retrieval steps, please refer to the ”Remarks” section). Immunoreactivity is usually revealed by fluorescence or a chromogenic substrate.

In Akoya\'s proprietary Phenocycler (PC) approach (also known as CODEX), a short oligomeric docking strand is coupled to a specific antibody. The transient association of the fluorophore to the antibody is mediated by the pairing of a short fluorescently labeled complementary imager DNA strand. This allows the imaging of a huge number of antibodies on the same biological sample in a single multiplex experiment. For additional experimental details, please refer to the Remarks section and visit https://www.akoyabio.com.

Immunogen Recombinant protein corresponding to AA 4439 to 4776 from rat Piccolo (UniProt Id: Q9JKS6)
Reactivity Reacts with: rat (Q9JKS6), mouse (Q9QYX7).
Other species not tested yet.
Specificity K.O. validated
Matching control protein/peptide 142-0P
Remarks

WB: This antibody has been successfully applied and published for this method by customers (see application-specific references). It has not been validated using our standard protocols.
IHC: This antibody has been successfully applied and published for this method by customers (see application-specific references). It has not been validated using our standard protocols.
Codex-PC: This antibody has been successfully applied and published for this method by customers (see application-specific references).

Data sheet Datasheet 142_003

References for Piccolo - 142 003

How to Make an Active Zone: Unexpected Universal Functional Redundancy between RIMs and RIM-BPs.
Acuna C, Liu X, Südhof TC
Neuron (2016) 914: 792-807. 142 003 WB
Liprin-α proteins are master regulators of human presynapse assembly.
Marcó de la Cruz B, Campos J, Molinaro A, Xie X, Jin G, Wei Z, Acuna C, Sterky FH
Nature neuroscience (2024) : . 142 003 ICC; tested species: human
α-Synuclein induced cholesterol lowering increases tonic and reduces depolarization-evoked synaptic vesicle recycling and glutamate release.
Lazarevic V, Yang Y, Paslawski W, Svenningsson P
NPJ Parkinson's disease (2022) 81: 71. 142 003 ICC; tested species: mouse
Synaptic neurexin-1 assembles into dynamically regulated active zone nanoclusters.
Trotter JH, Hao J, Maxeiner S, Tsetsenis T, Liu Z, Zhuang X, Südhof TC
The Journal of cell biology (2019) : . 142 003 ICC; tested species: mouse
Neuromodulator Signaling Bidirectionally Controls Vesicle Numbers in Human Synapses.
Patzke C, Brockmann MM, Dai J, Gan KJ, Grauel MK, Fenske P, Liu Y, Acuna C, Rosenmund C, Südhof TC
Cell (2019) 1792: 498-513.e22. 142 003 ICC; tested species: mouse
Synaptic weight set by Munc13-1 supramolecular assemblies.
Sakamoto H, Ariyoshi T, Kimpara N, Sugao K, Taiko I, Takikawa K, Asanuma D, Namiki S, Hirose K
Nature neuroscience (2018) 211: 41-49. 142 003 ICC; tested species: rat
Reduced SNAP-25 increases PSD-95 mobility and impairs spine morphogenesis.
Fossati G, Morini R, Corradini I, Antonucci F, Trepte P, Edry E, Sharma V, Papale A, Pozzi D, Defilippi P, Meier JC, et al.
Cell death and differentiation (2015) 229: 1425-36. 142 003 ICC
Composition of isolated synaptic boutons reveals the amounts of vesicle trafficking proteins.
Wilhelm BG, Mandad S, Truckenbrodt S, Kröhnert K, Schäfer C, Rammner B, Koo SJ, Claßen GA, Krauss M, Haucke V, Urlaub H, et al.
Science (New York, N.Y.) (2014) 3446187: 1023-8. 142 003 ICC, IHC; tested species: mouse,rat
Neuronal profilin isoforms are addressed by different signalling pathways.
Murk K, Wittenmayer N, Michaelsen-Preusse K, Dresbach T, Schoenenberger CA, Korte M, Jockusch BM, Rothkegel M
PloS one (2012) 73: e34167. 142 003 ICC; tested species: mouse,rat
Wingless-type family member 5A (Wnt-5a) stimulates synaptic differentiation and function of glutamatergic synapses.
Varela-Nallar L, Alfaro IE, Serrano FG, Parodi J, Inestrosa NC
Proceedings of the National Academy of Sciences of the United States of America (2010) 10749: 21164-9. 142 003 ICC; tested species: rat
Postsynaptic Neuroligin1 regulates presynaptic maturation.
Wittenmayer N, Körber C, Liu H, Kremer T, Varoqueaux F, Chapman ER, Brose N, Kuner T, Dresbach T
Proceedings of the National Academy of Sciences of the United States of America (2009) 10632: 13564-9. 142 003 ICC; tested species: mouse
Lithium causes differential effects on postsynaptic stability in normal and denervated neuromuscular synapses.
Zelada D, Barrantes FJ, Henríquez JP
Scientific reports (2021) 111: 17285. 142 003 IHC; tested species: mouse
Volumetric super-resolution imaging by serial ultrasectioning and stochastic optical reconstruction microscopy in mouse neural tissue.
Vatan T, Minehart JA, Zhang C, Agarwal V, Yang J, Speer CM
STAR protocols (2021) 24: 100971. 142 003 IHC; tested species: mouse
Structure-function relation of the developing calyx of Held synapse in vivo.
Sierksma MC, Slotman JA, Houtsmuller AB, Borst JGG
The Journal of physiology (2020) 59820: 4603-4619. 142 003 IHC; tested species: rat
LKB1 coordinates neurite remodeling to drive synapse layer emergence in the outer retina.
Burger CA, Alevy J, Casasent AK, Jiang D, Albrecht NE, Liang JH, Hirano AA, Brecha N, Samuel MA
eLife (2020) 9: . 142 003 IHC; tested species: mouse
Composition of isolated synaptic boutons reveals the amounts of vesicle trafficking proteins.
Wilhelm BG, Mandad S, Truckenbrodt S, Kröhnert K, Schäfer C, Rammner B, Koo SJ, Claßen GA, Krauss M, Haucke V, Urlaub H, et al.
Science (New York, N.Y.) (2014) 3446187: 1023-8. 142 003 ICC, IHC; tested species: mouse,rat
Bassoon-disruption slows vesicle replenishment and induces homeostatic plasticity at a CNS synapse.
Mendoza Schulz A, Jing Z, Sánchez Caro JM, Wetzel F, Dresbach T, Strenzke N, Wichmann C, Moser T
The EMBO journal (2014) 335: 512-27. 142 003 IHC
LKB1 and AMPK regulate synaptic remodeling in old age.
Samuel MA, Voinescu PE, Lilley BN, de Cabo R, Foretz M, Viollet B, Pawlyk B, Sandberg MA, Vavvas DG, Sanes JR
Nature neuroscience (2014) 179: 1190-7. 142 003 IHC; tested species: mouse
Active zones and the readily releasable pool of synaptic vesicles at the neuromuscular junction of the mouse.
Ruiz R, Cano R, Casañas JJ, Gaffield MA, Betz WJ, Tabares L
The Journal of neuroscience : the official journal of the Society for Neuroscience (2011) 316: 2000-8. 142 003 IHC; tested species: mouse
Superresolution imaging of chemical synapses in the brain.
Dani A, Huang B, Bergan J, Dulac C, Zhuang X
Neuron (2010) 685: 843-56. 142 003 IHC; tested species: mouse
Super-Resolution Microscopy Reveals a Nanoscale Organization of Acetylcholine Receptors for Trans-Synaptic Alignment at Neuromuscular Synapses.
York AL, Zheng JQ
eNeuro () 44: . 142 003 IHC; tested species: mouse
Multiplex imaging of human induced pluripotent stem cell-derived neurons with CO-Detection by indEXing (CODEX) technology.
Heinrich L, Zafar F, Morato Torres CA, Singh J, Khan A, Chen MY, Hempel C, Nikulina N, Mulholland J, Braubach O, Schüle B, et al.
Journal of neuroscience methods (2022) : 109653. 142 003 Codex-PC; tested species: human
Cat. No.: 142 003
Amount: 50 µg
Price: $460.00
How to Make an Active Zone: Unexpected Universal Functional Redundancy between RIMs and RIM-BPs.
Acuna C, Liu X, Südhof TC
Neuron (2016) 914: 792-807. 142 003 WB
Liprin-α proteins are master regulators of human presynapse assembly.
Marcó de la Cruz B, Campos J, Molinaro A, Xie X, Jin G, Wei Z, Acuna C, Sterky FH
Nature neuroscience (2024) : . 142 003 ICC; tested species: human
α-Synuclein induced cholesterol lowering increases tonic and reduces depolarization-evoked synaptic vesicle recycling and glutamate release.
Lazarevic V, Yang Y, Paslawski W, Svenningsson P
NPJ Parkinson's disease (2022) 81: 71. 142 003 ICC; tested species: mouse
Synaptic neurexin-1 assembles into dynamically regulated active zone nanoclusters.
Trotter JH, Hao J, Maxeiner S, Tsetsenis T, Liu Z, Zhuang X, Südhof TC
The Journal of cell biology (2019) : . 142 003 ICC; tested species: mouse
Neuromodulator Signaling Bidirectionally Controls Vesicle Numbers in Human Synapses.
Patzke C, Brockmann MM, Dai J, Gan KJ, Grauel MK, Fenske P, Liu Y, Acuna C, Rosenmund C, Südhof TC
Cell (2019) 1792: 498-513.e22. 142 003 ICC; tested species: mouse
Synaptic weight set by Munc13-1 supramolecular assemblies.
Sakamoto H, Ariyoshi T, Kimpara N, Sugao K, Taiko I, Takikawa K, Asanuma D, Namiki S, Hirose K
Nature neuroscience (2018) 211: 41-49. 142 003 ICC; tested species: rat
Reduced SNAP-25 increases PSD-95 mobility and impairs spine morphogenesis.
Fossati G, Morini R, Corradini I, Antonucci F, Trepte P, Edry E, Sharma V, Papale A, Pozzi D, Defilippi P, Meier JC, et al.
Cell death and differentiation (2015) 229: 1425-36. 142 003 ICC
Composition of isolated synaptic boutons reveals the amounts of vesicle trafficking proteins.
Wilhelm BG, Mandad S, Truckenbrodt S, Kröhnert K, Schäfer C, Rammner B, Koo SJ, Claßen GA, Krauss M, Haucke V, Urlaub H, et al.
Science (New York, N.Y.) (2014) 3446187: 1023-8. 142 003 ICC, IHC; tested species: mouse,rat
Neuronal profilin isoforms are addressed by different signalling pathways.
Murk K, Wittenmayer N, Michaelsen-Preusse K, Dresbach T, Schoenenberger CA, Korte M, Jockusch BM, Rothkegel M
PloS one (2012) 73: e34167. 142 003 ICC; tested species: mouse,rat
Wingless-type family member 5A (Wnt-5a) stimulates synaptic differentiation and function of glutamatergic synapses.
Varela-Nallar L, Alfaro IE, Serrano FG, Parodi J, Inestrosa NC
Proceedings of the National Academy of Sciences of the United States of America (2010) 10749: 21164-9. 142 003 ICC; tested species: rat
Postsynaptic Neuroligin1 regulates presynaptic maturation.
Wittenmayer N, Körber C, Liu H, Kremer T, Varoqueaux F, Chapman ER, Brose N, Kuner T, Dresbach T
Proceedings of the National Academy of Sciences of the United States of America (2009) 10632: 13564-9. 142 003 ICC; tested species: mouse
Lithium causes differential effects on postsynaptic stability in normal and denervated neuromuscular synapses.
Zelada D, Barrantes FJ, Henríquez JP
Scientific reports (2021) 111: 17285. 142 003 IHC; tested species: mouse
Volumetric super-resolution imaging by serial ultrasectioning and stochastic optical reconstruction microscopy in mouse neural tissue.
Vatan T, Minehart JA, Zhang C, Agarwal V, Yang J, Speer CM
STAR protocols (2021) 24: 100971. 142 003 IHC; tested species: mouse
Structure-function relation of the developing calyx of Held synapse in vivo.
Sierksma MC, Slotman JA, Houtsmuller AB, Borst JGG
The Journal of physiology (2020) 59820: 4603-4619. 142 003 IHC; tested species: rat
LKB1 coordinates neurite remodeling to drive synapse layer emergence in the outer retina.
Burger CA, Alevy J, Casasent AK, Jiang D, Albrecht NE, Liang JH, Hirano AA, Brecha N, Samuel MA
eLife (2020) 9: . 142 003 IHC; tested species: mouse
Composition of isolated synaptic boutons reveals the amounts of vesicle trafficking proteins.
Wilhelm BG, Mandad S, Truckenbrodt S, Kröhnert K, Schäfer C, Rammner B, Koo SJ, Claßen GA, Krauss M, Haucke V, Urlaub H, et al.
Science (New York, N.Y.) (2014) 3446187: 1023-8. 142 003 ICC, IHC; tested species: mouse,rat
Bassoon-disruption slows vesicle replenishment and induces homeostatic plasticity at a CNS synapse.
Mendoza Schulz A, Jing Z, Sánchez Caro JM, Wetzel F, Dresbach T, Strenzke N, Wichmann C, Moser T
The EMBO journal (2014) 335: 512-27. 142 003 IHC
LKB1 and AMPK regulate synaptic remodeling in old age.
Samuel MA, Voinescu PE, Lilley BN, de Cabo R, Foretz M, Viollet B, Pawlyk B, Sandberg MA, Vavvas DG, Sanes JR
Nature neuroscience (2014) 179: 1190-7. 142 003 IHC; tested species: mouse
Active zones and the readily releasable pool of synaptic vesicles at the neuromuscular junction of the mouse.
Ruiz R, Cano R, Casañas JJ, Gaffield MA, Betz WJ, Tabares L
The Journal of neuroscience : the official journal of the Society for Neuroscience (2011) 316: 2000-8. 142 003 IHC; tested species: mouse
Superresolution imaging of chemical synapses in the brain.
Dani A, Huang B, Bergan J, Dulac C, Zhuang X
Neuron (2010) 685: 843-56. 142 003 IHC; tested species: mouse
Super-Resolution Microscopy Reveals a Nanoscale Organization of Acetylcholine Receptors for Trans-Synaptic Alignment at Neuromuscular Synapses.
York AL, Zheng JQ
eNeuro () 44: . 142 003 IHC; tested species: mouse
Multiplex imaging of human induced pluripotent stem cell-derived neurons with CO-Detection by indEXing (CODEX) technology.
Heinrich L, Zafar F, Morato Torres CA, Singh J, Khan A, Chen MY, Hempel C, Nikulina N, Mulholland J, Braubach O, Schüle B, et al.
Journal of neuroscience methods (2022) : 109653. 142 003 Codex-PC; tested species: human
Background

Piccolo, also referred to as Aczonin, is a large protein which consists of an N-terminal Zn2+ finger, several piccolo-bassoon homology domains (PBH-domains) and C-terminal PDZ and C2 domains. In general it is found together with bassoon, a related huge multi-domain protein of the CAZ (cytoskeletal matrix assembled at active zones).
Piccolo is supposed to be a scaffolding protein for proteins involved in endo- and exocytosis of synaptic vesicles. Recently piccolo has been shown to interfere with clathrin mediated endocytosis by binding to the F-actin and dynamin binding protein Abp1.

 

For more information on protein expression pattern, please refer to the overview image in our SYSY Antibodies ATLAS.

Protocols
WB
  • see remarks
ICC
IHC
  • see remarks

Certificates

ISO 9001 2015 Quality Management System and Green Lab Platinum certification level for sustaining laboratory processes.

Newsletter

Sign up for our newsletter and get the latest updates and news.
 

Please provide a valid E-Mail-Address
Please provide a valid First name
Please provide a valid Last name