Tailor-made Antibodies
and Tools for Life Science
Home | | | | | Technical Support

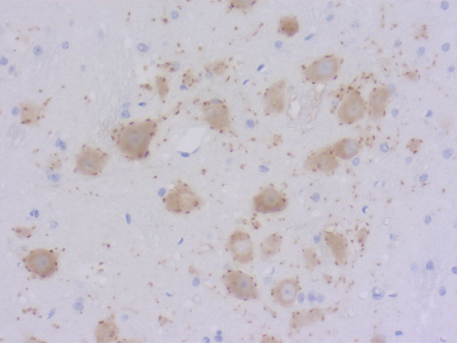
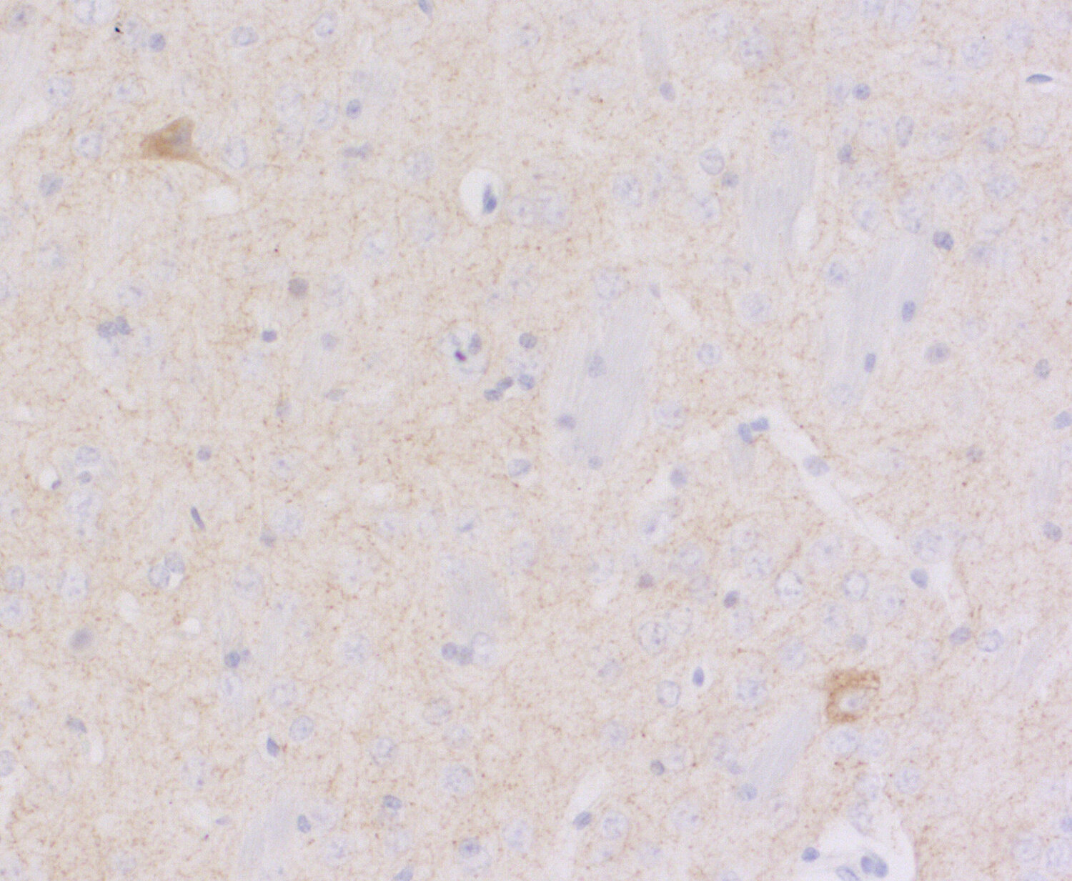
VAChT (SLC18A3) antibody - 139 103 K.O.

VAChT is the acetylcholine transporter in the membrane of synaptic vesicles
Rabbit polyclonal purified antibody
This Product has been discontinued, it has been replaced by 139 008

This antibody has been replaced by our monoclonal recombinant rabbit antibody 139 008 to guarantee the best lot to lot consistency. It shows perfect results in applications like WB, ICC, IHC and IHC-P.

Certificates

ISO 9001 2015 Quality Management System and Green Lab Platinum certification level for sustaining laboratory processes.

Newsletter

Sign up for our newsletter and get the latest updates and news.
 

Please provide a valid E-Mail-Address
Please provide a valid First name
Please provide a valid Last name