Tailor-made Antibodies
and Tools for Life Science
Home | | | | | Technical Support

Neuroligin2 antibody - 129 518 K.O.

Neuroligins are postsynaptic cell adhesion molecules
Guinea pig monoclonal recombinant IgG
Cat. No.: 129 518
Amount: 50 µg
Price: $420.00
Cat. No. 129 518 50 µg purified recombinant IgG, lyophilized. Albumin and azide were added for stabilization. For reconstitution add 50 µl H2O to get a 1mg/ml solution in PBS. Then aliquot and store at -20°C to -80°C until use.
Antibodies should be stored at +4°C when still lyophilized. Do not freeze!
Applications
 
WB: 1 : 1000 (AP staining) gallery  
IP: not tested yet
ICC: 1 : 2000 gallery  
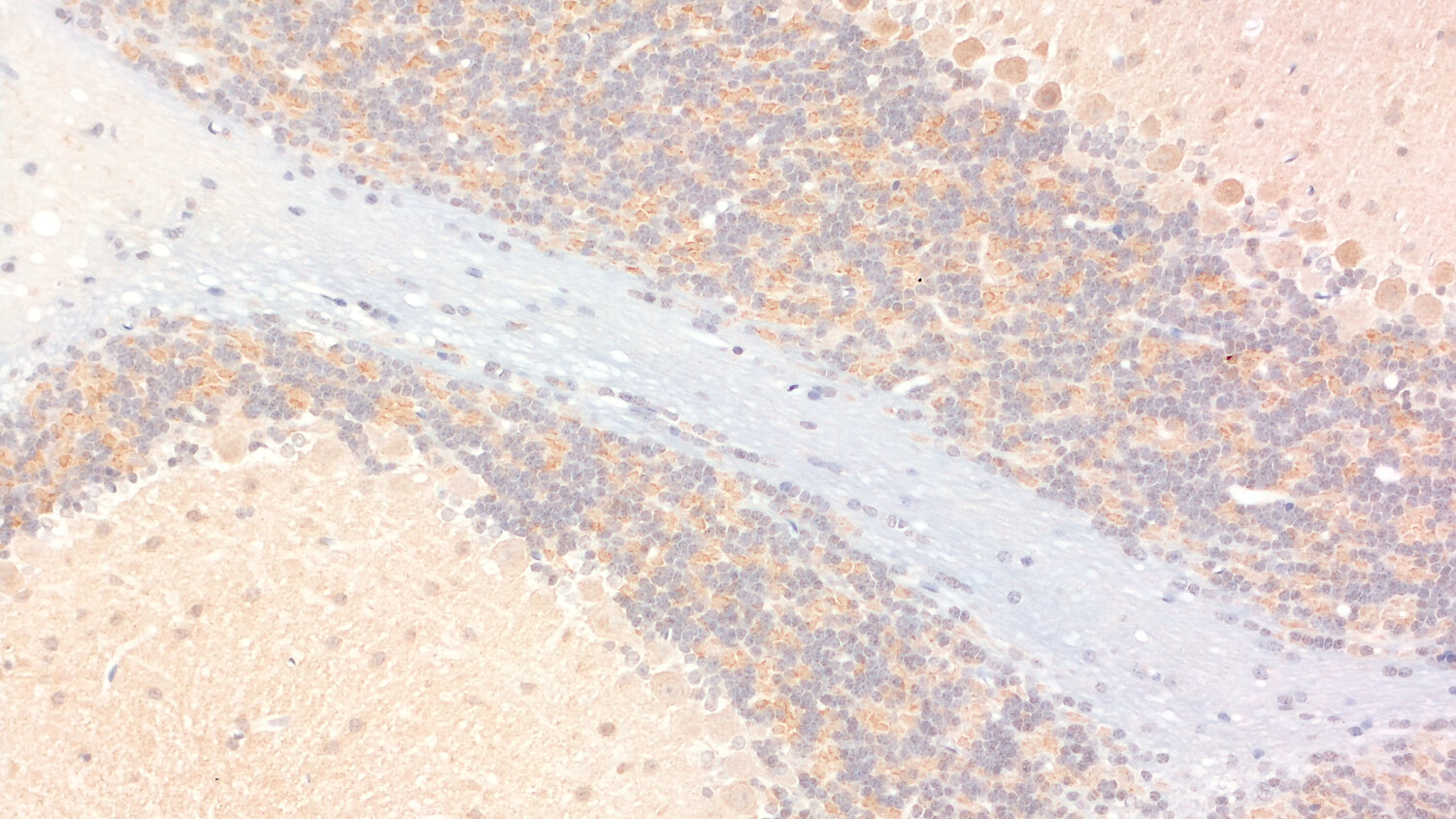
IHC: 1 : 2000 up to 1 : 5000 gallery  
IHC-P: 1 : 1000 gallery  

Western blot (WB); separation of proteins by PAGE and subsequent transfer to a membrane. Detection of target molecules is carried out with antibodies. Some antibodies require special sample preparation steps. For details, please refer to the “Remarks” section.

Immunoprecipitation (IP); Immunoisolation or pulldown of a target molecule using an antibody. For details and product specific hints, please refer to the ”Remarks” section.

Immunocytochemistry (ICC) on 4% PFA fixed cells. Immunoreactivity is usually revealed by fluorescence. Some antibodies require special fixation methods. For details, please refer to the “Remarks” section.

Immunohistochemistry (IHC) on 4% PFA perfusion fixed tissue with 24h PFA post fixation. Immunoreactivity is usually revealed by fluorescence or a chromogenic substrate. Some antibodies require special fixation methods or antigen retrieval steps. For details, please refer to the ”Remarks” section.

Immunohistochemistry (IHC-P) of formalin fixed, paraffin embedded (FFPE) tissue (some antibodies require special antigen retrieval steps, please refer to the ”Remarks” section). Immunoreactivity is usually revealed by fluorescence or a chromogenic substrate.

Clone Gp5E6
Subtype IgG2 (κ light chain)
Immunogen Synthetic peptide corresponding to residues surrounding AA760 of rat Neuroligin2 (UniProt Id: Q62888)
Reactivity Reacts with: mouse (Q69ZK9), rat (Q62888), human (Q8NFZ4).
Other species not tested yet.
Specificity K.O. validated
Remarks

This antibody is a chimeric antibody based on the monoclonal mouse antibody 5E6. The constant regions of the heavy and light chains have been replaced with guinea pig specific sequences. Therefore, the antibody can be used with standard anti-guinea pig secondary reagents. The antibody has been expressed in mammalian cells.

Data sheet 129_518.pdf
Cat. No.: 129 518
Amount: 50 µg
Price: $420.00
Background

Neuroligins form a family of postsynaptic cell surface molecules that interact with β-neurexins. They are 110-120 kDa polypeptides with homology to acetylcholine esterase. Neuroligin1 and neuroligin3 are specifically localized to post-synaptic densities of excitatory synapses whereas neuroligin2 is found exclusively on inhibitory synapses.
Mutations in neuroligin3 and neuroligin4 have been implicated with a rare, heritable form of autism.