Tailor-made Antibodies
and Tools for Life Science
Home | | | | | Technical Support

Neuroligin2 antibody - 129 511 K.O.

Neuroligins are postsynaptic cell adhesion molecules
Mouse monoclonal purified IgG
Cat. No.: 129 511
Amount: 100 µg
Price: $425.00
Cat. No. 129 511 100 µg purified IgG, lyophilized. Albumin and azide were added for stabilization. For reconstitution add 100 µl H2O to get a 1mg/ml solution in PBS. Then aliquot and store at -20°C to -80°C until use.
Antibodies should be stored at +4°C when still lyophilized. Do not freeze!
Applications
 
WB: 1 : 1000 (AP staining) gallery  
IP: yes
ICC: 1 : 100 up to 1 : 500 gallery  
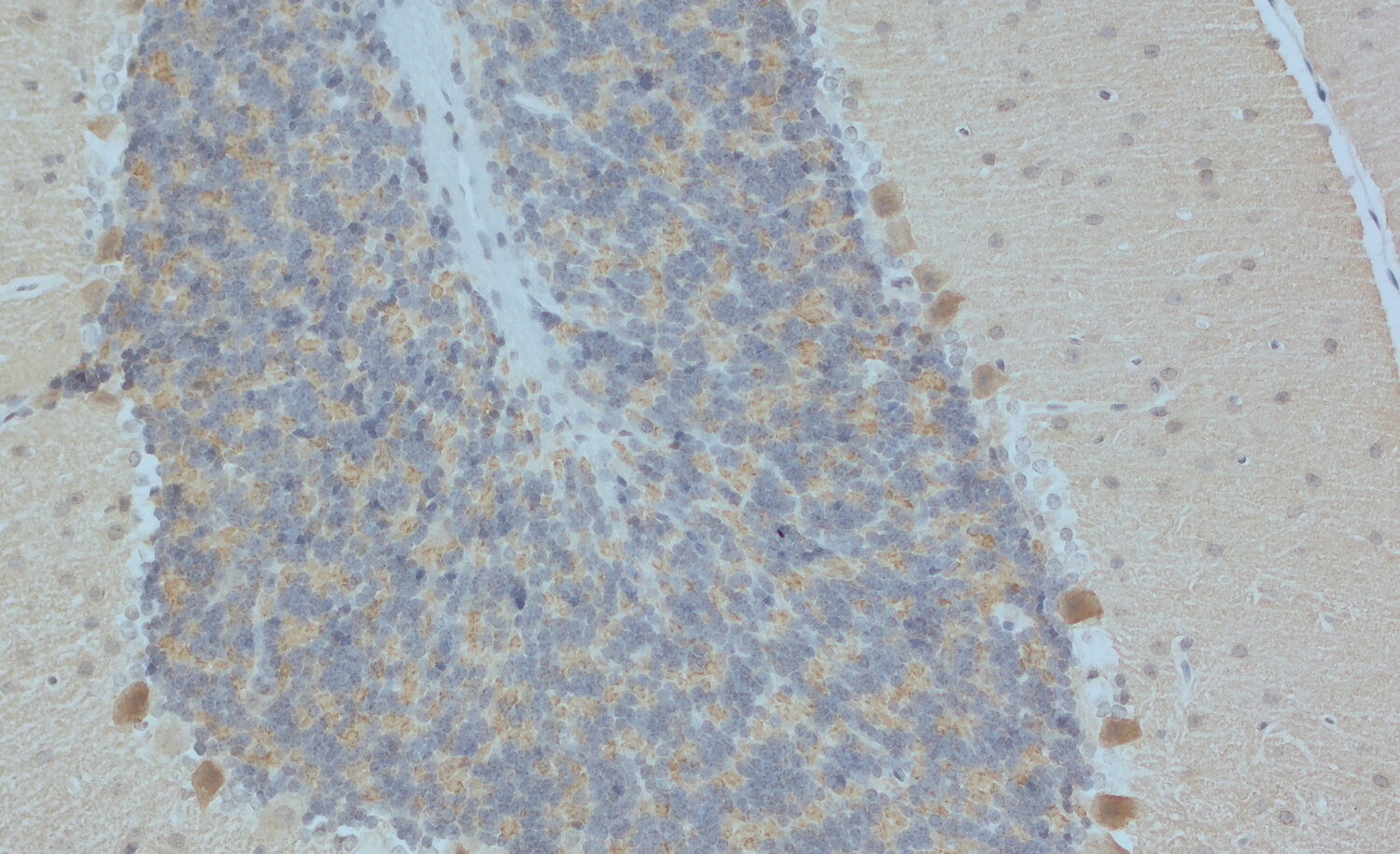
IHC: 1 : 500 gallery  
IHC-P: 1 : 200 gallery  
Clarity: external data (see remarks)

Western blot (WB); separation of proteins by PAGE and subsequent transfer to a membrane. Detection of target molecules is carried out with antibodies. Some antibodies require special sample preparation steps. For details, please refer to the “Remarks” section.

Immunoprecipitation (IP); Immunoisolation or pulldown of a target molecule using an antibody. For details and product specific hints, please refer to the ”Remarks” section.

Immunocytochemistry (ICC) on 4% PFA fixed cells. Immunoreactivity is usually revealed by fluorescence. Some antibodies require special fixation methods. For details, please refer to the “Remarks” section.

Immunohistochemistry (IHC) on 4% PFA perfusion fixed tissue with 24h PFA post fixation. Immunoreactivity is usually revealed by fluorescence or a chromogenic substrate. Some antibodies require special fixation methods or antigen retrieval steps. For details, please refer to the ”Remarks” section.

Immunohistochemistry (IHC-P) of formalin fixed, paraffin embedded (FFPE) tissue (some antibodies require special antigen retrieval steps, please refer to the ”Remarks” section). Immunoreactivity is usually revealed by fluorescence or a chromogenic substrate.

Clarity is a sample preparation method for clearing, immunolabeling and volume imaging of large biological samples. Clearing is carried out by SDS and Focusclear treatment. For additional experimental details, please refer to the Remarks section.

Clone 5E6
Subtype IgG1 (κ light chain)
Immunogen Synthetic peptide corresponding to AA 750 to 767 from rat Neuroligin2 (UniProt Id: Q62888)
Reactivity Reacts with: human (Q8NFZ4), rat (Q62888), mouse (Q69ZK9).
Other species not tested yet.
Specificity K.O. validated PubMed: 29107521
Remarks

Clarity: This antibody has been successfully applied and published for this method by customers (see application-specific references).

Data sheet Datasheet 129_511

References for Neuroligin2 - 129 511

Analysis of neurexin-neuroligin complexes supports an isoform-specific role for beta-neurexin-1 dysfunction in a mouse model of autism.
Arias-Aragón F, Robles-Lanuza E, Sánchez-Gómez Á, Martinez-Mir A, Scholl FG
Molecular brain (2025) 181: 20. 129 511 WB, ICC; tested species: human,rat
Chronic stress induces depression through MDGA1-Neuroligin2 mediated suppression of inhibitory synapses in the lateral habenula.
Wang X, Wei H, Hu Z, Jiang J, Dong X, Zhu J, Chen H, Brose N, Lipstein N, Xu T, Connor SA, et al.
Theranostics (2025) 155: 1842-1863. 129 511 WB; tested species: mouse
miRNA-mediated control of gephyrin synthesis drives sustained inhibitory synaptic plasticity.
Welle TM, Rajgor D, Kareemo DJ, Garcia JD, Zych SM, Wolfe SE, Gookin SE, Martinez TP, Dell'Acqua ML, Ford CP, Kennedy MJ, et al.
EMBO reports (2024) 2511: 5141-5168. 129 511 WB; tested species: rat
Neurexin-2: An inhibitory neurexin that restricts excitatory synapse formation in the hippocampus.
Lin PY, Chen LY, Jiang M, Trotter JH, Seigneur E, Südhof TC
Science advances (2023) 91: eadd8856. 129 511 WB; tested species: mouse
A Neuroligin-1 mutation associated with Alzheimer's disease produces memory and age-dependent impairments in hippocampal plasticity.
Arias-Aragón F, Tristán-Clavijo E, Martínez-Gallego I, Robles-Lanuza E, Coatl-Cuaya H, Martín-Cuevas C, Sánchez-Hidalgo AC, Rodríguez-Moreno A, Martinez-Mir A, Scholl FG
iScience (2023) 266: 106868. 129 511 WB; tested species: mouse
Brain Region Differences in α1- and α5-Subunit-Containing GABAA Receptor Proteomes Revealed with Affinity Purification and Blue Native PAGE Proteomics.
Chen M, Koopmans F, Gonzalez-Lozano MA, Smit AB, Li KW
Cells (2023) 131: . 129 511 WB; tested species: mouse
Altered expression of synaptic proteins and adhesion molecules in the hippocampus and cortex following the onset of diabetes in nonobese diabetic mice.
Yokokawa T, Kido K, Sato K, Hayashi T, Fujita S
Physiological reports (2023) 118: e15673. 129 511 WB; tested species: mouse
Reduced epilepsy development in synapsin 2 knockout mice with autistic behavior following early systemic treatment with interleukin-6 receptor antibody.
Bäckström F, Ahl M, Wickham J, Ekdahl CT
Epilepsy research (2023) 191: 107114. 129 511 WB; tested species: mouse
Regulation of CREB Phosphorylation in Nucleus Accumbens after Relief Conditioning.
Soleimanpour E, Bergado Acosta JR, Landgraf P, Mayer D, Dankert E, Dieterich DC, Fendt M
Cells (2021) 102: . 129 511 WB; tested species: rat
SPARCL1 Promotes Excitatory But Not Inhibitory Synapse Formation and Function Independent of Neurexins and Neuroligins.
Gan KJ, Südhof TC
The Journal of neuroscience : the official journal of the Society for Neuroscience (2020) 4042: 8088-8102. 129 511 WB; KO verified; tested species: mouse
Synaptic Kalirin-7 and Trio Interactomes Reveal a GEF Protein-Dependent Neuroligin-1 Mechanism of Action.
Paskus JD, Tian C, Fingleton E, Shen C, Chen X, Li Y, Myers SA, Badger JD, Bemben MA, Herring BE, Roche KW, et al.
Cell reports (2019) 2910: 2944-2952.e5. 129 511 WB; tested species: rat
Sorting nexin 27 rescues neuroligin 2 from lysosomal degradation to control inhibitory synapse number.
Binda C, Nakamura Y, Henley J, Wilkinson K
The Biochemical journal (2019) : . 129 511 WB, ICC; tested species: rat
Neuroligin 1, 2, and 3 Regulation at the Synapse: FMRP-Dependent Translation and Activity-Induced Proteolytic Cleavage.
Chmielewska JJ, Kuzniewska B, Milek J, Urbanska K, Dziembowska M
Molecular neurobiology (2018) : . 129 511 WB; tested species: mouse
Molecular Dissection of Neuroligin 2 and Slitrk3 Reveals an Essential Framework for GABAergic Synapse Development.
Li J, Han W, Pelkey KA, Duan J, Mao X, Wang YX, Craig MT, Dong L, Petralia RS, McBain CJ, Lu W, et al.
Neuron (2017) 964: 808-826.e8. 129 511 WB, ICC, IHC; KO verified; tested species: mouse
A novel synaptic junction preparation for the identification and characterization of cleft proteins.
Burch A, Tao-Cheng JH, Dosemeci A
PloS one (2017) 123: e0174895. 129 511 WB; tested species: rat
IgSF21 promotes differentiation of inhibitory synapses via binding to neurexin2α.
Tanabe Y, Naito Y, Vasuta C, Lee AK, Soumounou Y, Linhoff MW, Takahashi H
Nature communications (2017) 81: 408. 129 511 WB
Unique versus Redundant Functions of Neuroligin Genes in Shaping Excitatory and Inhibitory Synapse Properties.
Chanda S, Hale WD, Zhang B, Wernig M, Südhof TC
The Journal of neuroscience : the official journal of the Society for Neuroscience (2017) 3729: 6816-6836. 129 511 WB; tested species: mouse
Neurotrophin-3 Regulates Synapse Development by Modulating TrkC-PTPσ Synaptic Adhesion and Intracellular Signaling Pathways.
Han KA, Woo D, Kim S, Choii G, Jeon S, Won SY, Kim HM, Heo WD, Um JW, Ko J
The Journal of neuroscience : the official journal of the Society for Neuroscience (2016) 3617: 4816-31. 129 511 WB
Analysis of neurexin-neuroligin complexes supports an isoform-specific role for beta-neurexin-1 dysfunction in a mouse model of autism.
Arias-Aragón F, Robles-Lanuza E, Sánchez-Gómez Á, Martinez-Mir A, Scholl FG
Molecular brain (2025) 181: 20. 129 511 WB, ICC; tested species: human,rat
Acute reorganization of postsynaptic GABAA receptors reveals the functional impact of molecular nanoarchitecture at inhibitory synapses.
Olah SS, Kareemo DJ, Buchta WC, Sinnen BL, Miller CN, Actor-Engel HS, Gookin SE, Winborn CS, Kleinjan MS, Crosby KC, Aoto J, et al.
Cell reports (2023) 4211: 113331. 129 511 ICC; tested species: rat
Stepwise disassembly of GABAergic synapses during pathogenic excitotoxicity.
Garcia JD, Gookin SE, Crosby KC, Schwartz SL, Tiemeier E, Kennedy MJ, Dell'Acqua ML, Herson PS, Quillinan N, Smith KR
Cell reports (2021) 3712: 110142. 129 511 ICC; tested species: rat
In trans neuregulin3-Caspr3 interaction controls DA axonal bassoon cluster development.
Cui W, Gao N, Dong Z, Shen C, Zhang H, Luo B, Chen P, Comoletti D, Jing H, Wang H, Robinson H, et al.
Current biology : CB (2021) 3115: 3330-3342.e7. 129 511 ICC; tested species: mouse
Sorting nexin 27 rescues neuroligin 2 from lysosomal degradation to control inhibitory synapse number.
Binda C, Nakamura Y, Henley J, Wilkinson K
The Biochemical journal (2019) : . 129 511 WB, ICC; tested species: rat
Molecular Dissection of Neuroligin 2 and Slitrk3 Reveals an Essential Framework for GABAergic Synapse Development.
Li J, Han W, Pelkey KA, Duan J, Mao X, Wang YX, Craig MT, Dong L, Petralia RS, McBain CJ, Lu W, et al.
Neuron (2017) 964: 808-826.e8. 129 511 WB, ICC, IHC; KO verified; tested species: mouse
GSK3 and KIF5 regulate activity-dependent sorting of gephyrin between axons and dendrites.
Rathgeber L, Gromova KV, Schaefer I, Breiden P, Lohr C, Kneussel M
European journal of cell biology () 943-4: 173-8. 129 511 ICC
The developmental timing of spinal touch processing alterations predicts behavioral changes in genetic mouse models of autism spectrum disorders.
Tasnim A, Alkislar I, Hakim R, Turecek J, Abdelaziz A, Orefice LL, Ginty DD
Nature neuroscience (2024) : . 129 511 IHC; tested species: mouse
Neurosteroid Modulation of Synaptic and Extrasynaptic GABAA Receptors of the Mouse Nucleus Accumbens.
Mitchell SJ, Phillips GD, Tench B, Li Y, Belelli D, Martin SJ, Swinny JD, Kelly L, Atack JR, Paradowski M, Lambert JJ, et al.
Biomolecules (2024) 144: . 129 511 IHC; tested species: mouse
Neurexin-3 defines synapse- and sex-dependent diversity of GABAergic inhibition in ventral subiculum.
Boxer EE, Seng C, Lukacsovich D, Kim J, Schwartz S, Kennedy MJ, Földy C, Aoto J
Cell reports (2021) 3710: 110098. 129 511 IHC; tested species: mouse
Total Number and Ratio of GABAergic Neuron Types in the Mouse Lateral and Basal Amygdala.
Vereczki VK, Müller K, Krizsán É, Máté Z, Fekete Z, Rovira-Esteban L, Veres JM, Erdélyi F, Hájos N
The Journal of neuroscience : the official journal of the Society for Neuroscience (2021) 4121: 4575-4595. 129 511 IHC; tested species: mouse
IgSF9b regulates anxiety behaviors through effects on centromedial amygdala inhibitory synapses.
Babaev O, Cruces-Solis H, Piletti Chatain C, Hammer M, Wenger S, Ali H, Karalis N, de Hoz L, Schlüter OM, Yanagawa Y, Ehrenreich H, et al.
Nature communications (2018) 91: 5400. 129 511 IHC; tested species: mouse
Molecular Dissection of Neuroligin 2 and Slitrk3 Reveals an Essential Framework for GABAergic Synapse Development.
Li J, Han W, Pelkey KA, Duan J, Mao X, Wang YX, Craig MT, Dong L, Petralia RS, McBain CJ, Lu W, et al.
Neuron (2017) 964: 808-826.e8. 129 511 WB, ICC, IHC; KO verified; tested species: mouse
Spatial proteomics in neurons at single-protein resolution.
Unterauer EM, Shetab Boushehri S, Jevdokimenko K, Masullo LA, Ganji M, Sograte-Idrissi S, Kowalewski R, Strauss S, Reinhardt SCM, Perovic A, Marr C, et al.
Cell (2024) 1877: 1785-1800.e16. 129 511 DNA-PAINT; tested species: rat
Loss-of-consciousness: sources of GABAergic input to the mesopontine tegmental anesthesia area.
Ibraheem A, Vaso K, Minert A, Yatziv SL, Baron M, Devor M
Frontiers in neuroscience (2025) 19: 1594984. 129 511 Clarity; tested species: rat
Group 2 innate lymphoid cells drive inhibitory synapse formation with lasting effects on learning and memory.
Steffen J, Deshpande D, Düsedau HP, Schmitz J, Figueiredo CA, Velleman L, Pitzer C, Klose CSN, Dunay IR
Journal of neuroinflammation (2025) 221: 163. 129 511 FACS; tested species: mouse
Cat. No.: 129 511
Amount: 100 µg
Price: $425.00
Analysis of neurexin-neuroligin complexes supports an isoform-specific role for beta-neurexin-1 dysfunction in a mouse model of autism.
Arias-Aragón F, Robles-Lanuza E, Sánchez-Gómez Á, Martinez-Mir A, Scholl FG
Molecular brain (2025) 181: 20. 129 511 WB, ICC; tested species: human,rat
Chronic stress induces depression through MDGA1-Neuroligin2 mediated suppression of inhibitory synapses in the lateral habenula.
Wang X, Wei H, Hu Z, Jiang J, Dong X, Zhu J, Chen H, Brose N, Lipstein N, Xu T, Connor SA, et al.
Theranostics (2025) 155: 1842-1863. 129 511 WB; tested species: mouse
miRNA-mediated control of gephyrin synthesis drives sustained inhibitory synaptic plasticity.
Welle TM, Rajgor D, Kareemo DJ, Garcia JD, Zych SM, Wolfe SE, Gookin SE, Martinez TP, Dell'Acqua ML, Ford CP, Kennedy MJ, et al.
EMBO reports (2024) 2511: 5141-5168. 129 511 WB; tested species: rat
Neurexin-2: An inhibitory neurexin that restricts excitatory synapse formation in the hippocampus.
Lin PY, Chen LY, Jiang M, Trotter JH, Seigneur E, Südhof TC
Science advances (2023) 91: eadd8856. 129 511 WB; tested species: mouse
A Neuroligin-1 mutation associated with Alzheimer's disease produces memory and age-dependent impairments in hippocampal plasticity.
Arias-Aragón F, Tristán-Clavijo E, Martínez-Gallego I, Robles-Lanuza E, Coatl-Cuaya H, Martín-Cuevas C, Sánchez-Hidalgo AC, Rodríguez-Moreno A, Martinez-Mir A, Scholl FG
iScience (2023) 266: 106868. 129 511 WB; tested species: mouse
Brain Region Differences in α1- and α5-Subunit-Containing GABAA Receptor Proteomes Revealed with Affinity Purification and Blue Native PAGE Proteomics.
Chen M, Koopmans F, Gonzalez-Lozano MA, Smit AB, Li KW
Cells (2023) 131: . 129 511 WB; tested species: mouse
Altered expression of synaptic proteins and adhesion molecules in the hippocampus and cortex following the onset of diabetes in nonobese diabetic mice.
Yokokawa T, Kido K, Sato K, Hayashi T, Fujita S
Physiological reports (2023) 118: e15673. 129 511 WB; tested species: mouse
Reduced epilepsy development in synapsin 2 knockout mice with autistic behavior following early systemic treatment with interleukin-6 receptor antibody.
Bäckström F, Ahl M, Wickham J, Ekdahl CT
Epilepsy research (2023) 191: 107114. 129 511 WB; tested species: mouse
Regulation of CREB Phosphorylation in Nucleus Accumbens after Relief Conditioning.
Soleimanpour E, Bergado Acosta JR, Landgraf P, Mayer D, Dankert E, Dieterich DC, Fendt M
Cells (2021) 102: . 129 511 WB; tested species: rat
SPARCL1 Promotes Excitatory But Not Inhibitory Synapse Formation and Function Independent of Neurexins and Neuroligins.
Gan KJ, Südhof TC
The Journal of neuroscience : the official journal of the Society for Neuroscience (2020) 4042: 8088-8102. 129 511 WB; KO verified; tested species: mouse
Synaptic Kalirin-7 and Trio Interactomes Reveal a GEF Protein-Dependent Neuroligin-1 Mechanism of Action.
Paskus JD, Tian C, Fingleton E, Shen C, Chen X, Li Y, Myers SA, Badger JD, Bemben MA, Herring BE, Roche KW, et al.
Cell reports (2019) 2910: 2944-2952.e5. 129 511 WB; tested species: rat
Sorting nexin 27 rescues neuroligin 2 from lysosomal degradation to control inhibitory synapse number.
Binda C, Nakamura Y, Henley J, Wilkinson K
The Biochemical journal (2019) : . 129 511 WB, ICC; tested species: rat
Neuroligin 1, 2, and 3 Regulation at the Synapse: FMRP-Dependent Translation and Activity-Induced Proteolytic Cleavage.
Chmielewska JJ, Kuzniewska B, Milek J, Urbanska K, Dziembowska M
Molecular neurobiology (2018) : . 129 511 WB; tested species: mouse
Molecular Dissection of Neuroligin 2 and Slitrk3 Reveals an Essential Framework for GABAergic Synapse Development.
Li J, Han W, Pelkey KA, Duan J, Mao X, Wang YX, Craig MT, Dong L, Petralia RS, McBain CJ, Lu W, et al.
Neuron (2017) 964: 808-826.e8. 129 511 WB, ICC, IHC; KO verified; tested species: mouse
A novel synaptic junction preparation for the identification and characterization of cleft proteins.
Burch A, Tao-Cheng JH, Dosemeci A
PloS one (2017) 123: e0174895. 129 511 WB; tested species: rat
IgSF21 promotes differentiation of inhibitory synapses via binding to neurexin2α.
Tanabe Y, Naito Y, Vasuta C, Lee AK, Soumounou Y, Linhoff MW, Takahashi H
Nature communications (2017) 81: 408. 129 511 WB
Unique versus Redundant Functions of Neuroligin Genes in Shaping Excitatory and Inhibitory Synapse Properties.
Chanda S, Hale WD, Zhang B, Wernig M, Südhof TC
The Journal of neuroscience : the official journal of the Society for Neuroscience (2017) 3729: 6816-6836. 129 511 WB; tested species: mouse
Neurotrophin-3 Regulates Synapse Development by Modulating TrkC-PTPσ Synaptic Adhesion and Intracellular Signaling Pathways.
Han KA, Woo D, Kim S, Choii G, Jeon S, Won SY, Kim HM, Heo WD, Um JW, Ko J
The Journal of neuroscience : the official journal of the Society for Neuroscience (2016) 3617: 4816-31. 129 511 WB
Analysis of neurexin-neuroligin complexes supports an isoform-specific role for beta-neurexin-1 dysfunction in a mouse model of autism.
Arias-Aragón F, Robles-Lanuza E, Sánchez-Gómez Á, Martinez-Mir A, Scholl FG
Molecular brain (2025) 181: 20. 129 511 WB, ICC; tested species: human,rat
Acute reorganization of postsynaptic GABAA receptors reveals the functional impact of molecular nanoarchitecture at inhibitory synapses.
Olah SS, Kareemo DJ, Buchta WC, Sinnen BL, Miller CN, Actor-Engel HS, Gookin SE, Winborn CS, Kleinjan MS, Crosby KC, Aoto J, et al.
Cell reports (2023) 4211: 113331. 129 511 ICC; tested species: rat
Stepwise disassembly of GABAergic synapses during pathogenic excitotoxicity.
Garcia JD, Gookin SE, Crosby KC, Schwartz SL, Tiemeier E, Kennedy MJ, Dell'Acqua ML, Herson PS, Quillinan N, Smith KR
Cell reports (2021) 3712: 110142. 129 511 ICC; tested species: rat
In trans neuregulin3-Caspr3 interaction controls DA axonal bassoon cluster development.
Cui W, Gao N, Dong Z, Shen C, Zhang H, Luo B, Chen P, Comoletti D, Jing H, Wang H, Robinson H, et al.
Current biology : CB (2021) 3115: 3330-3342.e7. 129 511 ICC; tested species: mouse
Sorting nexin 27 rescues neuroligin 2 from lysosomal degradation to control inhibitory synapse number.
Binda C, Nakamura Y, Henley J, Wilkinson K
The Biochemical journal (2019) : . 129 511 WB, ICC; tested species: rat
Molecular Dissection of Neuroligin 2 and Slitrk3 Reveals an Essential Framework for GABAergic Synapse Development.
Li J, Han W, Pelkey KA, Duan J, Mao X, Wang YX, Craig MT, Dong L, Petralia RS, McBain CJ, Lu W, et al.
Neuron (2017) 964: 808-826.e8. 129 511 WB, ICC, IHC; KO verified; tested species: mouse
GSK3 and KIF5 regulate activity-dependent sorting of gephyrin between axons and dendrites.
Rathgeber L, Gromova KV, Schaefer I, Breiden P, Lohr C, Kneussel M
European journal of cell biology () 943-4: 173-8. 129 511 ICC
The developmental timing of spinal touch processing alterations predicts behavioral changes in genetic mouse models of autism spectrum disorders.
Tasnim A, Alkislar I, Hakim R, Turecek J, Abdelaziz A, Orefice LL, Ginty DD
Nature neuroscience (2024) : . 129 511 IHC; tested species: mouse
Neurosteroid Modulation of Synaptic and Extrasynaptic GABAA Receptors of the Mouse Nucleus Accumbens.
Mitchell SJ, Phillips GD, Tench B, Li Y, Belelli D, Martin SJ, Swinny JD, Kelly L, Atack JR, Paradowski M, Lambert JJ, et al.
Biomolecules (2024) 144: . 129 511 IHC; tested species: mouse
Neurexin-3 defines synapse- and sex-dependent diversity of GABAergic inhibition in ventral subiculum.
Boxer EE, Seng C, Lukacsovich D, Kim J, Schwartz S, Kennedy MJ, Földy C, Aoto J
Cell reports (2021) 3710: 110098. 129 511 IHC; tested species: mouse
Total Number and Ratio of GABAergic Neuron Types in the Mouse Lateral and Basal Amygdala.
Vereczki VK, Müller K, Krizsán É, Máté Z, Fekete Z, Rovira-Esteban L, Veres JM, Erdélyi F, Hájos N
The Journal of neuroscience : the official journal of the Society for Neuroscience (2021) 4121: 4575-4595. 129 511 IHC; tested species: mouse
IgSF9b regulates anxiety behaviors through effects on centromedial amygdala inhibitory synapses.
Babaev O, Cruces-Solis H, Piletti Chatain C, Hammer M, Wenger S, Ali H, Karalis N, de Hoz L, Schlüter OM, Yanagawa Y, Ehrenreich H, et al.
Nature communications (2018) 91: 5400. 129 511 IHC; tested species: mouse
Molecular Dissection of Neuroligin 2 and Slitrk3 Reveals an Essential Framework for GABAergic Synapse Development.
Li J, Han W, Pelkey KA, Duan J, Mao X, Wang YX, Craig MT, Dong L, Petralia RS, McBain CJ, Lu W, et al.
Neuron (2017) 964: 808-826.e8. 129 511 WB, ICC, IHC; KO verified; tested species: mouse
Spatial proteomics in neurons at single-protein resolution.
Unterauer EM, Shetab Boushehri S, Jevdokimenko K, Masullo LA, Ganji M, Sograte-Idrissi S, Kowalewski R, Strauss S, Reinhardt SCM, Perovic A, Marr C, et al.
Cell (2024) 1877: 1785-1800.e16. 129 511 DNA-PAINT; tested species: rat
Loss-of-consciousness: sources of GABAergic input to the mesopontine tegmental anesthesia area.
Ibraheem A, Vaso K, Minert A, Yatziv SL, Baron M, Devor M
Frontiers in neuroscience (2025) 19: 1594984. 129 511 Clarity; tested species: rat
Group 2 innate lymphoid cells drive inhibitory synapse formation with lasting effects on learning and memory.
Steffen J, Deshpande D, Düsedau HP, Schmitz J, Figueiredo CA, Velleman L, Pitzer C, Klose CSN, Dunay IR
Journal of neuroinflammation (2025) 221: 163. 129 511 FACS; tested species: mouse
Background

Neuroligins form a family of postsynaptic cell surface molecules that interact with β-neurexins. They are 110-120 kDa polypeptides with homology to acetylcholine esterase. Neuroligin1 and neuroligin3 are specifically localized to post-synaptic densities of excitatory synapses whereas neuroligin2 is found exclusively on inhibitory synapses.
Mutations in neuroligin3 and neuroligin4 have been implicated with a rare, heritable form of autism.

Certificates

ISO 9001 2015 Quality Management System and Green Lab Platinum certification level for sustaining laboratory processes.

Newsletter

Sign up for our newsletter and get the latest updates and news.
 

Please provide a valid E-Mail-Address
Please provide a valid First name
Please provide a valid Last name