alpha Synuclein antibody - 128 208

Synucleins are involved in Parkinson's and Alzheimer's Disease
Rabbit monoclonal recombinant IgG
Cat. No.: 128 208
Amount: 50 µg
Price: $420.00
Cat. No. 128 208 50 µg purified recombinant IgG, lyophilized. Albumin and azide were added for stabilization. For reconstitution add 50 µl H2O to get a 1mg/ml solution in PBS. Then aliquot and store at -20°C to -80°C until use.
Antibodies should be stored at +4°C when still lyophilized. Do not freeze!
Applications
 
WB: 1 : 1000 (AP staining) gallery  
IP: not tested yet
ICC: 1 : 500 gallery  
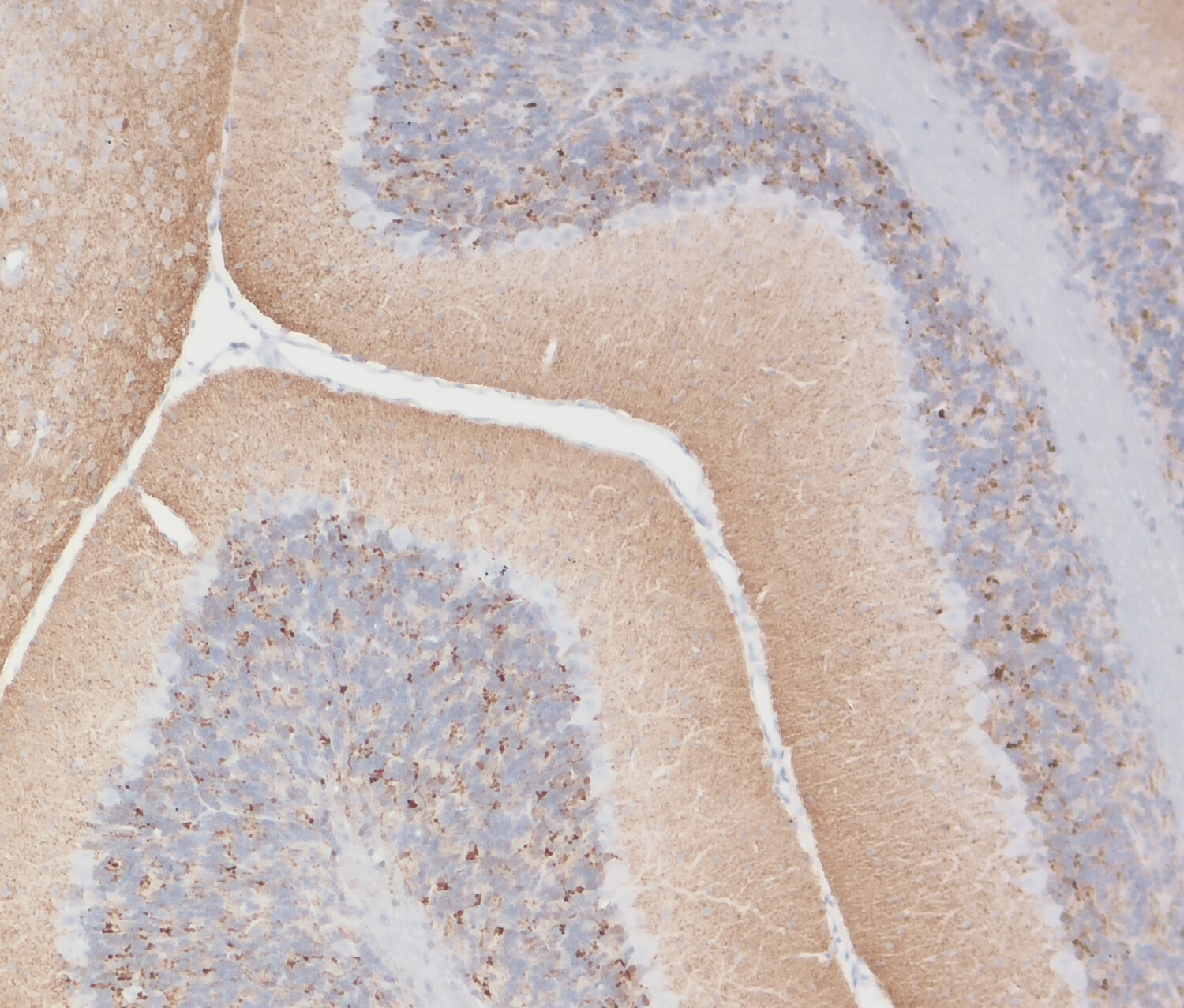
IHC: 1 : 500 gallery  
IHC-P (FFPE): 1 : 1000 gallery  

Western blot (WB); separation of proteins by PAGE and subsequent transfer to a membrane. Detection of target molecules is carried out with antibodies. Some antibodies require special sample preparation steps. For details, please refer to the “Remarks” section.

Immunoprecipitation (IP); Immunoisolation or pulldown of a target molecule using an antibody. For details and product specific hints, please refer to the ”Remarks” section.

Immunocytochemistry (ICC) on 4% PFA fixed cells. Immunoreactivity is usually revealed by fluorescence. Some antibodies require special fixation methods. For details, please refer to the “Remarks” section.

Immunohistochemistry (IHC) on 4% PFA perfusion fixed tissue with 24h PFA post fixation. Immunoreactivity is usually revealed by fluorescence or a chromogenic substrate. Some antibodies require special fixation methods or antigen retrieval steps. For details, please refer to the ”Remarks” section.

Immunohistochemistry (IHC-P) of formalin fixed, paraffin embedded (FFPE) tissue (some antibodies require special antigen retrieval steps, please refer to the ”Remarks” section). Immunoreactivity is usually revealed by fluorescence or a chromogenic substrate.

Clone Rb354A10
Subtype IgG1 (κ light chain)
Immunogen Synthetic peptide corresponding to residues near the carboxy terminus of human α-Synuclein. (UniProt Id: P37840)
Reactivity Reacts with: human (P37840), rat (P37377), mouse (O55042).
Other species not tested yet.
Remarks

This antibody is a chimeric antibody based on the monoclonal mouse antibody 354A10. The constant regions of the heavy and light chains have been replaced with rabbit specific sequences. The antibody can therefore be used with standard anti-rabbit secondary reagents. The antibody has been expressed in mammalian cells.

Data sheet Datasheet 128_208
Cat. No.: 128 208
Amount: 50 µg
Price: $420.00
Background
Synuclein proteins are produced by three genes. They share structural resemblance to apolipoproteins, but are abundant in the neuronal cytosol and present in enriched amounts at presynaptic terminals.
Synucleins have been specifically implicated in three diseases: Alzheimer's (AD), Parkinson's (PD) and breast cancer. In AD, a peptide derived from α-synuclein forms an intrinsic component of plaque amyloid. In PD, an α-synuclein allele is genetically linked to several independent familial cases, and the protein appears to accumulate in Lewy bodies. In breast cancer, increased expression of γ-synuclein correlates with disease progression.
In songbirds, α-synuclein expression is correlated with plasticity in the developing song control system. Although the normal function of synucleins is unknown, a role in synaptic plasticity seems likely.

Certificates

ISO 9001 2015 Quality Management System and Green Lab Platinum certification level for sustaining laboratory processes.

Newsletter

Sign up for our newsletter and get the latest updates and news.
 

Please provide a valid E-Mail-Address
Please provide a valid First name
Please provide a valid Last name