Tailor-made Antibodies
and Tools for Life Science
Home | | | | | Technical Support

APP antibody - 127 005 K.O.

APP is a protein involved in Alzheimer's disease
Guinea pig polyclonal purified antibody
Cat. No.: 127 005
Amount: 50 µg
Price: $465.00
Cat. No. 127 005 50 µg specific antibody, lyophilized. Affinity purified with the immunogen. Albumin and azide were added for stabilization. For reconstitution add 50 µl H2O to get a 1mg/ml solution in PBS. Then aliquot and store at -20°C to -80°C until use.
Antibodies should be stored at +4°C when still lyophilized. Do not freeze!
Applications
 
WB: 1 : 1000 (AP staining) gallery  
IP: not tested yet
ICC: not tested yet gallery  
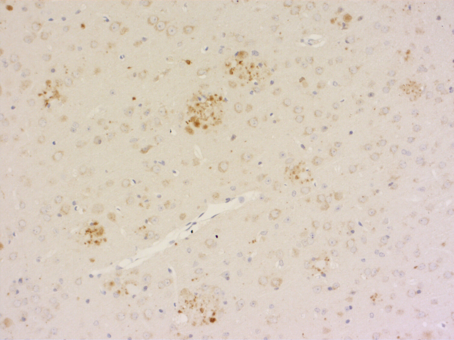
IHC: 1 : 500 gallery  
IHC-P: 1 : 200 up to 1 : 1000 gallery  

Western blot (WB); separation of proteins by PAGE and subsequent transfer to a membrane. Detection of target molecules is carried out with antibodies. Some antibodies require special sample preparation steps. For details, please refer to the “Remarks” section.

Immunoprecipitation (IP); Immunoisolation or pulldown of a target molecule using an antibody. For details and product specific hints, please refer to the ”Remarks” section.

Immunocytochemistry (ICC) on 4% PFA fixed cells. Immunoreactivity is usually revealed by fluorescence. Some antibodies require special fixation methods. For details, please refer to the “Remarks” section.

Immunohistochemistry (IHC) on 4% PFA perfusion fixed tissue with 24h PFA post fixation. Immunoreactivity is usually revealed by fluorescence or a chromogenic substrate. Some antibodies require special fixation methods or antigen retrieval steps. For details, please refer to the ”Remarks” section.

Immunohistochemistry (IHC-P) of formalin fixed, paraffin embedded (FFPE) tissue (some antibodies require special antigen retrieval steps, please refer to the ”Remarks” section). Immunoreactivity is usually revealed by fluorescence or a chromogenic substrate.

Immunogen Synthetic peptide corresponding to AA 756 to 770 from rat APP (UniProt Id: P08592)
Reactivity Reacts with: mouse (P12023), rat (P08592), human (P05067).
Other species not tested yet.
Specificity Specific for APP K.O. validated
Matching control protein/peptide 127-0P
Data sheet Datasheet 127_005

References for APP - 127 005

Parental origin of transgene modulates amyloid-β plaque burden in the 5xFAD mouse model of Alzheimer's disease.
Sasmita AO, Ong EC, Nazarenko T, Mao S, Komarek L, Thalmann M, Hantakova V, Spieth L, Berghoff SA, Barr HJ, Hingerl M, et al.
Neuron (2025) : . 127 005 WB; tested species: mouse
Cat. No.: 127 005
Amount: 50 µg
Price: $465.00
Parental origin of transgene modulates amyloid-β plaque burden in the 5xFAD mouse model of Alzheimer's disease.
Sasmita AO, Ong EC, Nazarenko T, Mao S, Komarek L, Thalmann M, Hantakova V, Spieth L, Berghoff SA, Barr HJ, Hingerl M, et al.
Neuron (2025) : . 127 005 WB; tested species: mouse
Background

Alzheimer's disease is characterized by the accumulation of β-amyloid peptides in plaques and vessel walls and by the intraneuronal accumulation of paired helical filaments composed of hyperphosphorylated tau.
Amyloid precursor protein APP is part of a super-family of transmembrane and secreted proteins. It appears to have a number of roles, including regulation of haemostasis and mediation of neuroprotection. APP also has metal and heparin-binding properties. Cleavage of amyloid precursor protein by β- and γ-secretases results in the generation of the Aβ (βA4)peptide, whereas α-secretase cleaves within the Aβ sequence and prevents formation from APP.
Recent findings indicate that the site of γ-secretase cleavage is critical to the development of amyloid deposits. Aβ1-42 is much more amyloidogenic than Aβ1-40. Aβ1-42 formation is favoured by mutations in the two presenilin genes (PS1 and PS2), and by the commonest amyloid precursor protein mutations.

Certificates

ISO 9001 2015 Quality Management System and Green Lab Platinum certification level for sustaining laboratory processes.

Newsletter

Sign up for our newsletter and get the latest updates and news.
 

Please provide a valid E-Mail-Address
Please provide a valid First name
Please provide a valid Last name