Tailor-made Antibodies
and Tools for Life Science
Home | | | | | Technical Support

Complexin3 antibody - 122 302 K.O.

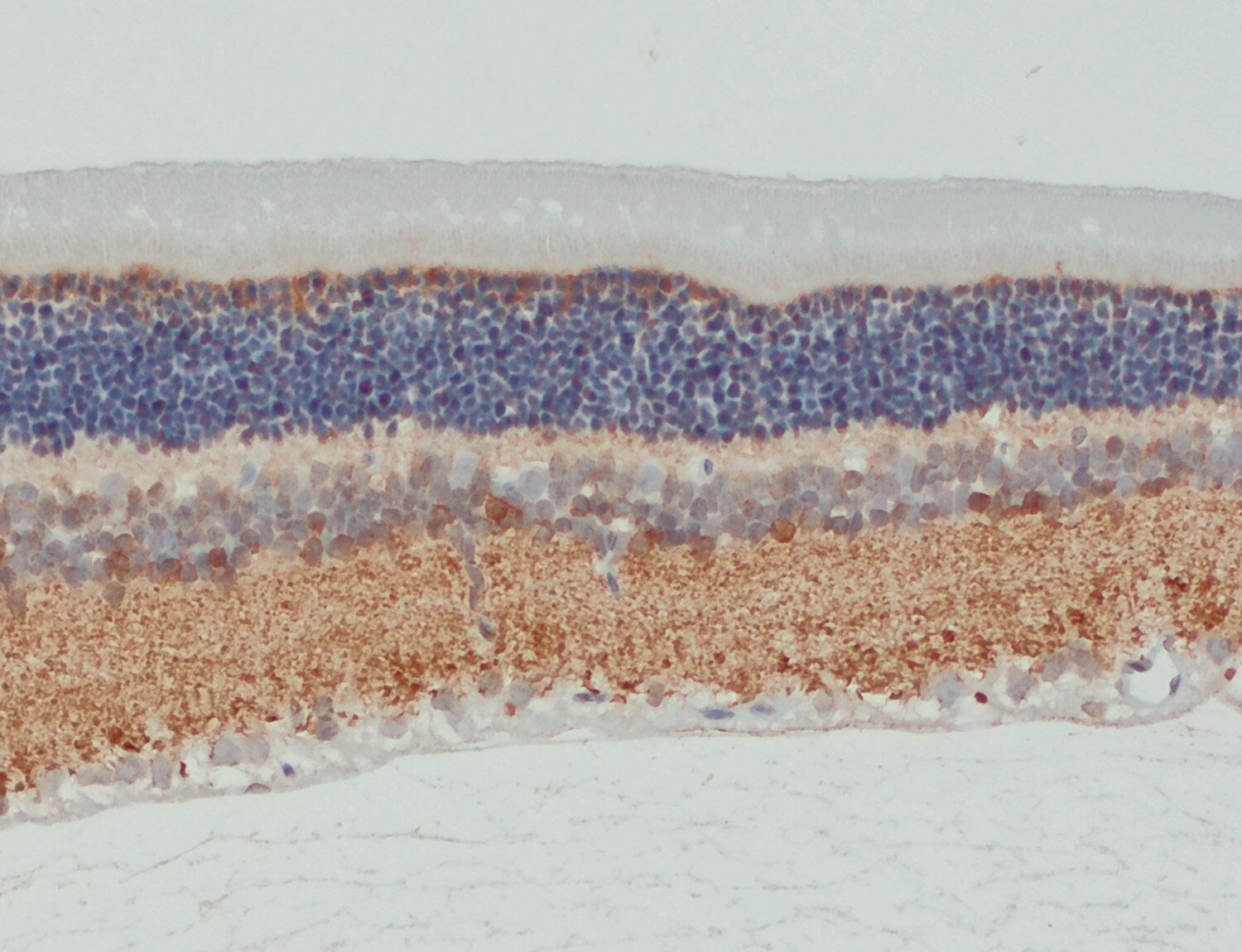
Complexin3 is a nerve-terminal syntaxin binding protein in retinal ribbon synapses
Rabbit polyclonal antiserum
Cat. No.: 122 302
Amount: 200 µl
Price: $360.00
Cat. No. 122 302 200 µl antiserum, lyophilized. For reconstitution add 200 µl H2O, then aliquot and store at -20°C until use.
Antibodies should be stored at +4°C when still lyophilized. Do not freeze!
Applications
 
WB: 1 : 1000 (AP staining) gallery  
IP: not tested yet
ICC: external data (see remarks)
IHC: 1 : 1000 up to 1 : 10000 (see remarks) gallery  
IHC-P: 1 : 200 up to 1 : 5000 gallery  

Western blot (WB); separation of proteins by PAGE and subsequent transfer to a membrane. Detection of target molecules is carried out with antibodies. Some antibodies require special sample preparation steps. For details, please refer to the “Remarks” section.

Immunoprecipitation (IP); Immunoisolation or pulldown of a target molecule using an antibody. For details and product specific hints, please refer to the ”Remarks” section.

Immunocytochemistry (ICC) on 4% PFA fixed cells. Immunoreactivity is usually revealed by fluorescence. Some antibodies require special fixation methods. For details, please refer to the “Remarks” section.

Immunohistochemistry (IHC) on 4% PFA perfusion fixed tissue with 24h PFA post fixation. Immunoreactivity is usually revealed by fluorescence or a chromogenic substrate. Some antibodies require special fixation methods or antigen retrieval steps. For details, please refer to the ”Remarks” section.

Immunohistochemistry (IHC-P) of formalin fixed, paraffin embedded (FFPE) tissue (some antibodies require special antigen retrieval steps, please refer to the ”Remarks” section). Immunoreactivity is usually revealed by fluorescence or a chromogenic substrate.

Immunogen Recombinant protein corresponding to AA 1 to 158 from mouse Complexin3 (UniProt Id: Q8R1B5)
Reactivity Reacts with: rat (D4ABY0), mouse (Q8R1B5).
Other species not tested yet.
Specificity Specific for complexin 3, no cross reaction to other complexins. K.O. validated PubMed: 18505837
Remarks

ICC: This antibody has been successfully applied and published for this method by customers (see application-specific references). It has not been validated using our standard protocols.
IHC: For optimal results in retina tissue, follow the retina protocol.
The antibody has been published in other tissues by customers (see IHC references).

Data sheet Datasheet 122_302

References for Complexin3 - 122 302

Complexin stabilizes newly primed synaptic vesicles and prevents their premature fusion at the mouse calyx of held synapse.
Chang S, Reim K, Pedersen M, Neher E, Brose N, Taschenberger H
The Journal of neuroscience : the official journal of the Society for Neuroscience (2015) 3521: 8272-90. 122 302 WB
C-terminal complexin sequence is selectively required for clamping and priming but not for Ca2+ triggering of synaptic exocytosis.
Kaeser-Woo YJ, Yang X, Südhof TC
The Journal of neuroscience : the official journal of the Society for Neuroscience (2012) 328: 2877-85. 122 302 WB, ICC; tested species: rat
Enrichment and differential targeting of complexins 3 and 4 in ribbon-containing sensory neurons during zebrafish development.
Zanazzi G, Matthews G
Neural development (2010) 5: 24. 122 302 WB, ICC, IHC; tested species: zebrafish
Aberrant function and structure of retinal ribbon synapses in the absence of complexin 3 and complexin 4.
Reim K, Regus-Leidig H, Ammermüller J, El-Kordi A, Radyushkin K, Ehrenreich H, Brandstätter JH, Brose N
Journal of cell science (2009) 122Pt 9: 1352-61. 122 302 WB, IHC; KO verified; tested species: mouse
Complexins facilitate neurotransmitter release at excitatory and inhibitory synapses in mammalian central nervous system.
Xue M, Stradomska A, Chen H, Brose N, Zhang W, Rosenmund C, Reim K
Proceedings of the National Academy of Sciences of the United States of America (2008) 10522: 7875-80. 122 302 WB; KO verified; tested species: mouse
Structurally and functionally unique complexins at retinal ribbon synapses.
Reim K, Wegmeyer H, Brandstätter JH, Xue M, Rosenmund C, Dresbach T, Hofmann K, Brose N
The Journal of cell biology (2005) 1694: 669-80. 122 302 WB, IHC
C-terminal complexin sequence is selectively required for clamping and priming but not for Ca2+ triggering of synaptic exocytosis.
Kaeser-Woo YJ, Yang X, Südhof TC
The Journal of neuroscience : the official journal of the Society for Neuroscience (2012) 328: 2877-85. 122 302 WB, ICC; tested species: rat
Enrichment and differential targeting of complexins 3 and 4 in ribbon-containing sensory neurons during zebrafish development.
Zanazzi G, Matthews G
Neural development (2010) 5: 24. 122 302 WB, ICC, IHC; tested species: zebrafish
Spatiotemporal Characterisation of Key Cortical Developmental Markers in the Developing Ferret Brain.
Hickmott RA, Barresi M, Bosakhar A, Quezada S, Quigley A, Walker DW, Tolcos M
Developmental neuroscience (2025) : 1-21. 122 302 IHC
A consensus definition for deep layer 6 excitatory neurons in mouse somatosensory, visual, and motor cortex.
Kim SJ, Babola TA, Lee K, Spiegel AC, Lee K, Matney CJ, Liew MH, Schulteis EM, Coye AE, Proskurin M, Kang H, et al.
Cell reports (2025) 449: 116167. 122 302 IHC; tested species: mouse
Distinct distribution of subplate neuron subtypes between the sensory cortices during the early postnatal period.
Chang M, Nehs S, Xu Z, Kanold PO
The Journal of comparative neurology (2024) 5322: e25594. 122 302 IHC; tested species: mouse
Neuroserpin normalization by mesenchymal stem cell therapy after encephalopathy of prematurity in neonatal rats.
Wang LW, Hsiung CW, Chang CP, Lin MT, Chen SJ
Pediatric research (2024) : . 122 302 IHC; tested species: rat
A direct excitatory projection from entorhinal layer 6b neurons to the hippocampus contributes to spatial coding and memory.
Ben-Simon Y, Kaefer K, Velicky P, Csicsvari J, Danzl JG, Jonas P
Nature communications (2022) 131: 4826. 122 302 IHC; tested species: mouse
Cell Types and Synapses Expressing the SNARE Complex Regulating Proteins Complexin 1 and Complexin 2 in Mammalian Retina.
Lux UT, Ehrenberg J, Joachimsthaler A, Atorf J, Pircher B, Reim K, Kremers J, Gießl A, Brandstätter JH
International journal of molecular sciences (2021) 2215: . 122 302 IHC; tested species: mouse
Altered White Matter and Layer VIb Neurons in Heterozygous Disc1 Mutant, a Mouse Model of Schizophrenia.
Tsai SH, Tsao CY, Lee LJ
Frontiers in neuroanatomy (2020) 14: 605029. 122 302 IHC; tested species: mouse
Kcnab1 Is Expressed in Subplate Neurons With Unilateral Long-Range Inter-Areal Projections.
Tiong SYX, Oka Y, Sasaki T, Taniguchi M, Doi M, Akiyama H, Sato M
Frontiers in neuroanatomy (2019) 13: 39. 122 302 IHC; tested species: mouse
Neonatal Hypoxia-Ischemia Causes Functional Circuit Changes in Subplate Neurons.
Sheikh A, Meng X, Liu J, Mikhailova A, Kao JPY, McQuillen PS, Kanold PO
Cerebral cortex (New York, N.Y. : 1991) (2018) : . 122 302 IHC; tested species: mouse
Unbiased Quantification of Subplate Neuron Loss following Neonatal Hypoxia-Ischemia in a Rat Model.
Mikhailova A, Sunkara N, McQuillen PS
Developmental neuroscience (2017) 391-4: 171-181. 122 302 IHC; tested species: rat
Transient Hypoxemia Chronically Disrupts Maturation of Preterm Fetal Ovine Subplate Neuron Arborization and Activity.
McClendon E, Shaver DC, Degener-O'Brien K, Gong X, Nguyen T, Hoerder-Suabedissen A, Molnár Z, Mohr C, Richardson BD, Rossi DJ, Back SA, et al.
The Journal of neuroscience : the official journal of the Society for Neuroscience (2017) 3749: 11912-11929. 122 302 IHC; tested species: mouse
Extracortical origin of some murine subplate cell populations.
Pedraza M, Hoerder-Suabedissen A, Albert-Maestro MA, Molnár Z, De Carlos JA
Proceedings of the National Academy of Sciences of the United States of America (2014) 11123: 8613-8. 122 302 IHC; tested species: mouse
Allelic specificity of Ube3a expression in the mouse brain during postnatal development.
Judson MC, Sosa-Pagan JO, Del Cid WA, Han JE, Philpot BD
The Journal of comparative neurology (2014) 5228: 1874-96. 122 302 IHC; tested species: mouse
Calcium channel-dependent molecular maturation of photoreceptor synapses.
Zabouri N, Haverkamp S
PloS one (2013) 85: e63853. 122 302 IHC
Changing microcircuits in the subplate of the developing cortex.
Viswanathan S, Bandyopadhyay S, Kao JP, Kanold PO
The Journal of neuroscience : the official journal of the Society for Neuroscience (2012) 325: 1589-601. 122 302 IHC; tested species: mouse
Early-onset, slow progression of cone photoreceptor dysfunction and degeneration in CNG channel subunit CNGB3 deficiency.
Xu J, Morris L, Fliesler SJ, Sherry DM, Ding XQ
Investigative ophthalmology & visual science (2011) 526: 3557-66. 122 302 IHC; tested species: mouse
Enrichment and differential targeting of complexins 3 and 4 in ribbon-containing sensory neurons during zebrafish development.
Zanazzi G, Matthews G
Neural development (2010) 5: 24. 122 302 WB, ICC, IHC; tested species: zebrafish
Aberrant function and structure of retinal ribbon synapses in the absence of complexin 3 and complexin 4.
Reim K, Regus-Leidig H, Ammermüller J, El-Kordi A, Radyushkin K, Ehrenreich H, Brandstätter JH, Brose N
Journal of cell science (2009) 122Pt 9: 1352-61. 122 302 WB, IHC; KO verified; tested species: mouse
Structurally and functionally unique complexins at retinal ribbon synapses.
Reim K, Wegmeyer H, Brandstätter JH, Xue M, Rosenmund C, Dresbach T, Hofmann K, Brose N
The Journal of cell biology (2005) 1694: 669-80. 122 302 WB, IHC
Subplate neuron dendritic morphology during development in gyrencephalic and lissencephalic brains.
Bosakhar A, Barresi M, Quezada S, Cumberland A, Walker D, Tolcos M
Scientific reports (2026) 161: 4034. 122 302 IHC-P; tested species: sheep,mouse
Cat. No.: 122 302
Amount: 200 µl
Price: $360.00
Complexin stabilizes newly primed synaptic vesicles and prevents their premature fusion at the mouse calyx of held synapse.
Chang S, Reim K, Pedersen M, Neher E, Brose N, Taschenberger H
The Journal of neuroscience : the official journal of the Society for Neuroscience (2015) 3521: 8272-90. 122 302 WB
C-terminal complexin sequence is selectively required for clamping and priming but not for Ca2+ triggering of synaptic exocytosis.
Kaeser-Woo YJ, Yang X, Südhof TC
The Journal of neuroscience : the official journal of the Society for Neuroscience (2012) 328: 2877-85. 122 302 WB, ICC; tested species: rat
Enrichment and differential targeting of complexins 3 and 4 in ribbon-containing sensory neurons during zebrafish development.
Zanazzi G, Matthews G
Neural development (2010) 5: 24. 122 302 WB, ICC, IHC; tested species: zebrafish
Aberrant function and structure of retinal ribbon synapses in the absence of complexin 3 and complexin 4.
Reim K, Regus-Leidig H, Ammermüller J, El-Kordi A, Radyushkin K, Ehrenreich H, Brandstätter JH, Brose N
Journal of cell science (2009) 122Pt 9: 1352-61. 122 302 WB, IHC; KO verified; tested species: mouse
Complexins facilitate neurotransmitter release at excitatory and inhibitory synapses in mammalian central nervous system.
Xue M, Stradomska A, Chen H, Brose N, Zhang W, Rosenmund C, Reim K
Proceedings of the National Academy of Sciences of the United States of America (2008) 10522: 7875-80. 122 302 WB; KO verified; tested species: mouse
Structurally and functionally unique complexins at retinal ribbon synapses.
Reim K, Wegmeyer H, Brandstätter JH, Xue M, Rosenmund C, Dresbach T, Hofmann K, Brose N
The Journal of cell biology (2005) 1694: 669-80. 122 302 WB, IHC
C-terminal complexin sequence is selectively required for clamping and priming but not for Ca2+ triggering of synaptic exocytosis.
Kaeser-Woo YJ, Yang X, Südhof TC
The Journal of neuroscience : the official journal of the Society for Neuroscience (2012) 328: 2877-85. 122 302 WB, ICC; tested species: rat
Enrichment and differential targeting of complexins 3 and 4 in ribbon-containing sensory neurons during zebrafish development.
Zanazzi G, Matthews G
Neural development (2010) 5: 24. 122 302 WB, ICC, IHC; tested species: zebrafish
Spatiotemporal Characterisation of Key Cortical Developmental Markers in the Developing Ferret Brain.
Hickmott RA, Barresi M, Bosakhar A, Quezada S, Quigley A, Walker DW, Tolcos M
Developmental neuroscience (2025) : 1-21. 122 302 IHC
A consensus definition for deep layer 6 excitatory neurons in mouse somatosensory, visual, and motor cortex.
Kim SJ, Babola TA, Lee K, Spiegel AC, Lee K, Matney CJ, Liew MH, Schulteis EM, Coye AE, Proskurin M, Kang H, et al.
Cell reports (2025) 449: 116167. 122 302 IHC; tested species: mouse
Distinct distribution of subplate neuron subtypes between the sensory cortices during the early postnatal period.
Chang M, Nehs S, Xu Z, Kanold PO
The Journal of comparative neurology (2024) 5322: e25594. 122 302 IHC; tested species: mouse
Neuroserpin normalization by mesenchymal stem cell therapy after encephalopathy of prematurity in neonatal rats.
Wang LW, Hsiung CW, Chang CP, Lin MT, Chen SJ
Pediatric research (2024) : . 122 302 IHC; tested species: rat
A direct excitatory projection from entorhinal layer 6b neurons to the hippocampus contributes to spatial coding and memory.
Ben-Simon Y, Kaefer K, Velicky P, Csicsvari J, Danzl JG, Jonas P
Nature communications (2022) 131: 4826. 122 302 IHC; tested species: mouse
Cell Types and Synapses Expressing the SNARE Complex Regulating Proteins Complexin 1 and Complexin 2 in Mammalian Retina.
Lux UT, Ehrenberg J, Joachimsthaler A, Atorf J, Pircher B, Reim K, Kremers J, Gießl A, Brandstätter JH
International journal of molecular sciences (2021) 2215: . 122 302 IHC; tested species: mouse
Altered White Matter and Layer VIb Neurons in Heterozygous Disc1 Mutant, a Mouse Model of Schizophrenia.
Tsai SH, Tsao CY, Lee LJ
Frontiers in neuroanatomy (2020) 14: 605029. 122 302 IHC; tested species: mouse
Kcnab1 Is Expressed in Subplate Neurons With Unilateral Long-Range Inter-Areal Projections.
Tiong SYX, Oka Y, Sasaki T, Taniguchi M, Doi M, Akiyama H, Sato M
Frontiers in neuroanatomy (2019) 13: 39. 122 302 IHC; tested species: mouse
Neonatal Hypoxia-Ischemia Causes Functional Circuit Changes in Subplate Neurons.
Sheikh A, Meng X, Liu J, Mikhailova A, Kao JPY, McQuillen PS, Kanold PO
Cerebral cortex (New York, N.Y. : 1991) (2018) : . 122 302 IHC; tested species: mouse
Unbiased Quantification of Subplate Neuron Loss following Neonatal Hypoxia-Ischemia in a Rat Model.
Mikhailova A, Sunkara N, McQuillen PS
Developmental neuroscience (2017) 391-4: 171-181. 122 302 IHC; tested species: rat
Transient Hypoxemia Chronically Disrupts Maturation of Preterm Fetal Ovine Subplate Neuron Arborization and Activity.
McClendon E, Shaver DC, Degener-O'Brien K, Gong X, Nguyen T, Hoerder-Suabedissen A, Molnár Z, Mohr C, Richardson BD, Rossi DJ, Back SA, et al.
The Journal of neuroscience : the official journal of the Society for Neuroscience (2017) 3749: 11912-11929. 122 302 IHC; tested species: mouse
Extracortical origin of some murine subplate cell populations.
Pedraza M, Hoerder-Suabedissen A, Albert-Maestro MA, Molnár Z, De Carlos JA
Proceedings of the National Academy of Sciences of the United States of America (2014) 11123: 8613-8. 122 302 IHC; tested species: mouse
Allelic specificity of Ube3a expression in the mouse brain during postnatal development.
Judson MC, Sosa-Pagan JO, Del Cid WA, Han JE, Philpot BD
The Journal of comparative neurology (2014) 5228: 1874-96. 122 302 IHC; tested species: mouse
Calcium channel-dependent molecular maturation of photoreceptor synapses.
Zabouri N, Haverkamp S
PloS one (2013) 85: e63853. 122 302 IHC
Changing microcircuits in the subplate of the developing cortex.
Viswanathan S, Bandyopadhyay S, Kao JP, Kanold PO
The Journal of neuroscience : the official journal of the Society for Neuroscience (2012) 325: 1589-601. 122 302 IHC; tested species: mouse
Early-onset, slow progression of cone photoreceptor dysfunction and degeneration in CNG channel subunit CNGB3 deficiency.
Xu J, Morris L, Fliesler SJ, Sherry DM, Ding XQ
Investigative ophthalmology & visual science (2011) 526: 3557-66. 122 302 IHC; tested species: mouse
Enrichment and differential targeting of complexins 3 and 4 in ribbon-containing sensory neurons during zebrafish development.
Zanazzi G, Matthews G
Neural development (2010) 5: 24. 122 302 WB, ICC, IHC; tested species: zebrafish
Aberrant function and structure of retinal ribbon synapses in the absence of complexin 3 and complexin 4.
Reim K, Regus-Leidig H, Ammermüller J, El-Kordi A, Radyushkin K, Ehrenreich H, Brandstätter JH, Brose N
Journal of cell science (2009) 122Pt 9: 1352-61. 122 302 WB, IHC; KO verified; tested species: mouse
Structurally and functionally unique complexins at retinal ribbon synapses.
Reim K, Wegmeyer H, Brandstätter JH, Xue M, Rosenmund C, Dresbach T, Hofmann K, Brose N
The Journal of cell biology (2005) 1694: 669-80. 122 302 WB, IHC
Subplate neuron dendritic morphology during development in gyrencephalic and lissencephalic brains.
Bosakhar A, Barresi M, Quezada S, Cumberland A, Walker D, Tolcos M
Scientific reports (2026) 161: 4034. 122 302 IHC-P; tested species: sheep,mouse
Background

Complexins are enriched in neurons where they colocalize with syntaxin 1 and SNAP 25. In addition, complexin 2 is expressed ubiquitously at low levels. Complexins bind weakly to syntaxin 1 alone and not at all to synaptobrevin and SNAP 25, but strongly to the SNAP receptor-core complex composed of these three molecules. They compete with α-SNAP for binding to the core complex but not with other interacting molecules, suggesting that complexins regulate the sequential interactions of α-SNAP and synaptotagmins with the SNAP receptor during exocytosis.
In retinal ribbon synapses complexin 3 and complexin 4 functionally replace complexin 1 and 2. They have similar biochemical binding properties and are farnesylated at their C-terminus.

Certificates

ISO 9001 2015 Quality Management System and Green Lab Platinum certification level for sustaining laboratory processes.

Newsletter

Sign up for our newsletter and get the latest updates and news.
 

Please provide a valid E-Mail-Address
Please provide a valid First name
Please provide a valid Last name