Tailor-made Antibodies
and Tools for Life Science
Home | | | | | Technical Support

SV2 B antibody - 119 104

SV2s are highly glycosylated synaptic vesicle proteins with homology to transmembrane transporters
Guinea pig polyclonal antiserum
Cat. No.: 119 104
Amount: 100 µl
Price: $370.00
Cat. No. 119 104 100 µl antiserum, lyophilized. For reconstitution add 100 µl H2O, then aliquot and store at -20°C until use.
Antibodies should be stored at +4°C when still lyophilized. Do not freeze!
Applications
 
WB: 1 : 1000 (AP staining) (see remarks) gallery  
IP: yes
ICC: 1 : 100 up to 1 : 500 gallery  
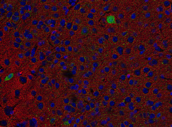
IHC: 1 : 200 gallery  
IHC-P (FFPE): 1 : 500 gallery  

Western blot (WB); separation of proteins by PAGE and subsequent transfer to a membrane. Detection of target molecules is carried out with antibodies. Some antibodies require special sample preparation steps. For details, please refer to the “Remarks” section.

Immunoprecipitation (IP); Immunoisolation or pulldown of a target molecule using an antibody. For details and product specific hints, please refer to the ”Remarks” section.

Immunocytochemistry (ICC) on 4% PFA fixed cells. Immunoreactivity is usually revealed by fluorescence. Some antibodies require special fixation methods. For details, please refer to the “Remarks” section.

Immunohistochemistry (IHC) on 4% PFA perfusion fixed tissue with 24h PFA post fixation. Immunoreactivity is usually revealed by fluorescence or a chromogenic substrate. Some antibodies require special fixation methods or antigen retrieval steps. For details, please refer to the ”Remarks” section.

Immunohistochemistry (IHC-P) of formalin fixed, paraffin embedded (FFPE) tissue (some antibodies require special antigen retrieval steps, please refer to the ”Remarks” section). Immunoreactivity is usually revealed by fluorescence or a chromogenic substrate.

Immunogen Synthetic peptide corresponding to AA 2 to 17 from rat SV2B (UniProt Id: Q63564)
Reactivity Reacts with: human (Q7L1I2), rat (Q63564), mouse (Q8BG39).
Other species not tested yet.
Matching control protein/peptide 119-1P
Remarks

WB: To avoid protein aggregation, do not heat samples for SDS-PAGE.

Data sheet Datasheet 119_104
Cat. No.: 119 104
Amount: 100 µl
Price: $370.00
Background

SV2s (Synaptic Vesicle Protein 2) are integral membrane glycoproteins present in synaptic vesicles. They have 12 transmembrane domains predicted by sequence analysis (1). There are three characterized isoforms, SV2 A, SV2 B and SV2 C that are similar in structure but show different expression patterns. SV2 A is expressed ubiquitously throughout the brain and plays a crucial role in modulating synaptic transmission by regulating the expression and trafficking of synaptotagmin, a key calcium sensor in neurotransmitter release (1).
SV2 B has a more restricted distribution with varying degrees of coexpression with SV2 A and is predominantly found in the cortex and hippocampus (2). SV2 C is more closely related to SV2 A but shows a very restricted expression pattern. The highest expression levels were observed in phylogenetically old brain areas like pallidum, the midbrain and the olfactory bulb (3).
SV2 expression has also been observed in other non-neuronal organs. In kidney it localizes to podocytes and is essential for the integrity of the glomerular filtration barrier (4).

Certificates

ISO 9001 2015 Quality Management System and Green Lab Platinum certification level for sustaining laboratory processes.

Newsletter

Sign up for our newsletter and get the latest updates and news.
 

Please provide a valid E-Mail-Address
Please provide a valid First name
Please provide a valid Last name