Tailor-made Antibodies
and Tools for Life Science
Home | | | | | Technical Support

SV2 A antibody - 119 008

SV2s are highly glycosylated synaptic vesicle proteins with homology to transmembrane transporters
Rabbit monoclonal recombinant IgG
Cat. No.: 119 008
Amount: 50 µg
Price: $420.00
Cat. No. 119 008 50 µg purified recombinant IgG, lyophilized. Albumin and azide were added for stabilization. For reconstitution add 50 µl H2O to get a 1mg/ml solution in PBS. Then aliquot and store at -20°C to -80°C until use.
Antibodies should be stored at +4°C when still lyophilized. Do not freeze!
Applications
 
WB: 1 : 1000 (AP staining) (see remarks) gallery  
IP: not tested yet
ICC: 1 : 500 gallery  
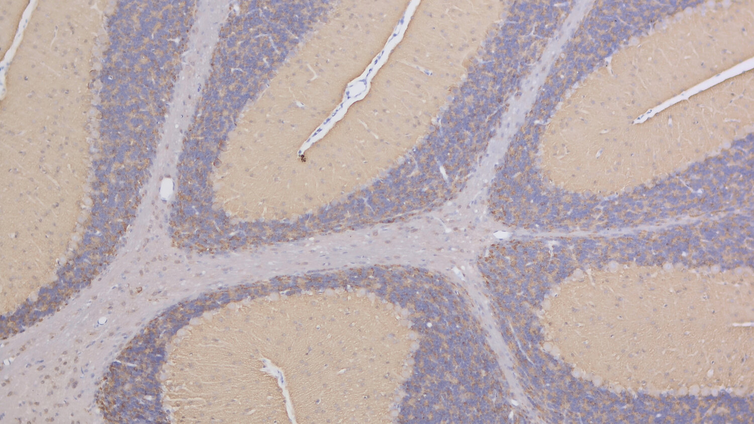
IHC: 1 : 500 gallery  
IHC-P (FFPE): 1 : 1000 gallery  

Western blot (WB); separation of proteins by PAGE and subsequent transfer to a membrane. Detection of target molecules is carried out with antibodies. Some antibodies require special sample preparation steps. For details, please refer to the “Remarks” section.

Immunoprecipitation (IP); Immunoisolation or pulldown of a target molecule using an antibody. For details and product specific hints, please refer to the ”Remarks” section.

Immunocytochemistry (ICC) on 4% PFA fixed cells. Immunoreactivity is usually revealed by fluorescence. Some antibodies require special fixation methods. For details, please refer to the “Remarks” section.

Immunohistochemistry (IHC) on 4% PFA perfusion fixed tissue with 24h PFA post fixation. Immunoreactivity is usually revealed by fluorescence or a chromogenic substrate. Some antibodies require special fixation methods or antigen retrieval steps. For details, please refer to the ”Remarks” section.

Immunohistochemistry (IHC-P) of formalin fixed, paraffin embedded (FFPE) tissue (some antibodies require special antigen retrieval steps, please refer to the ”Remarks” section). Immunoreactivity is usually revealed by fluorescence or a chromogenic substrate.

Clone Rb188D1
Subtype IgG1 (κ light chain)
Immunogen Synthetic peptide corresponding to residues near the amino terminus of human SV2 A (UniProt Id: Q7L0J3)
Reactivity Reacts with: mouse (Q9JIS5), rat (Q02563).
Other species not tested yet.
Predicted to cross-react with human (Q7L0J3) due to high sequence homology.
Remarks

This antibody is a chimeric antibody based on the monoclonal mouse antibody SY-188D1. The constant regions of the heavy and light chains have been replaced with rabbit specific sequences. The antibody can therefore be used with standard anti-rabbit secondary reagents. The antibody has been expressed in mammalian cells.
WB: To avoid protein aggregation, do not heat samples for SDS-PAGE.

Data sheet Datasheet 119_008
Cat. No.: 119 008
Amount: 50 µg
Price: $420.00
Background

SV2s (Synaptic Vesicle Protein 2) are integral membrane glycoproteins present in synaptic vesicles. They have 12 transmembrane domains predicted by sequence analysis (1). There are three characterized isoforms, SV2 A, SV2 B and SV2 C that are similar in structure but show different expression patterns. SV2 A is expressed ubiquitously throughout the brain and plays a crucial role in modulating synaptic transmission by regulating the expression and trafficking of synaptotagmin, a key calcium sensor in neurotransmitter release (1).
SV2 B has a more restricted distribution with varying degrees of coexpression with SV2 A and is predominantly found in the cortex and hippocampus (2). SV2 C is more closely related to SV2 A but shows a very restricted expression pattern. The highest expression levels were observed in phylogenetically old brain areas like pallidum, the midbrain and the olfactory bulb (3).
SV2 expression has also been observed in other non-neuronal organs. In kidney it localizes to podocytes and is essential for the integrity of the glomerular filtration barrier (4).

 

For more information on protein expression pattern, please refer to the overview image in our SYSY Antibodies ATLAS.

Certificates

ISO 9001 2015 Quality Management System and Green Lab Platinum certification level for sustaining laboratory processes.

Newsletter

Sign up for our newsletter and get the latest updates and news.
 

Please provide a valid E-Mail-Address
Please provide a valid First name
Please provide a valid Last name