Tailor-made Antibodies
and Tools for Life Science
Home | | | | | Technical Support

Dynamin1/2/3 antibody - 115 002 K.D.

Dynamins are GTPases involved in endocytosis
Rabbit polyclonal antiserum
Cat. No.: 115 002
Amount: 200 µl
Price: $360.00
Cat. No. 115 002 200 µl antiserum, lyophilized. For reconstitution add 200 µl H2O, then aliquot and store at -20°C until use.
Antibodies should be stored at +4°C when still lyophilized. Do not freeze!
Applications
 
WB: 1 : 1000 (AP staining) gallery  
IP: yes
ICC: 1 : 200 up to 1 : 1000 gallery  
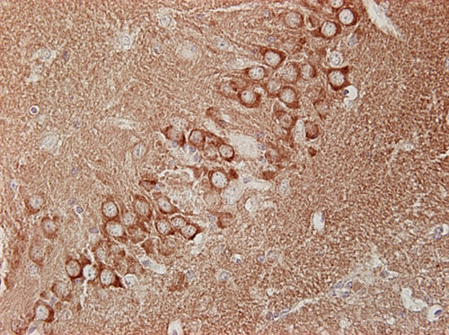
IHC: 1 : 500 gallery  
IHC-P (FFPE): 1 : 100 gallery  

Western blot (WB); separation of proteins by PAGE and subsequent transfer to a membrane. Detection of target molecules is carried out with antibodies. Some antibodies require special sample preparation steps. For details, please refer to the “Remarks” section.

Immunoprecipitation (IP); Immunoisolation or pulldown of a target molecule using an antibody. For details and product specific hints, please refer to the ”Remarks” section.

Immunocytochemistry (ICC) on 4% PFA fixed cells. Immunoreactivity is usually revealed by fluorescence. Some antibodies require special fixation methods. For details, please refer to the “Remarks” section.

Immunohistochemistry (IHC) on 4% PFA perfusion fixed tissue with 24h PFA post fixation. Immunoreactivity is usually revealed by fluorescence or a chromogenic substrate. Some antibodies require special fixation methods or antigen retrieval steps. For details, please refer to the ”Remarks” section.

Immunohistochemistry (IHC-P) of formalin fixed, paraffin embedded (FFPE) tissue (some antibodies require special antigen retrieval steps, please refer to the ”Remarks” section). Immunoreactivity is usually revealed by fluorescence or a chromogenic substrate.

Immunogen Synthetic peptide corresponding to AA 2 to 17 from rat Dynamin1 (UniProt Id: P21575)
Reactivity Reacts with: human (Q05193, P50570, Q9UQ16), rat (P21575, P39052, Q08877), mouse (P39053, P39054, Q8BZ98), cow.
Other species not tested yet.
Specificity Recognizes dynamin 1, 2 and 3 with a preference for dynamin 1. K.D. validated PubMed: 32989096
Matching control protein/peptide 115-0P
Data sheet Datasheet 115_002

References for Dynamin1/2/3 - 115 002

Endosomal phosphatidylinositol 3-phosphate controls synaptic vesicle cycling and neurotransmission.
Liu GT, Kochlamazashvili G, Puchkov D, Müller R, Schultz C, Mackintosh AI, Vollweiter D, Haucke V, Soykan T
The EMBO journal (2022) : e109352. 115 002 WB; tested species: rat
Release mode dynamically regulates the RRP refilling mechanism at individual hippocampal synapses.
Kim Y, Lee U, Choi C, Chang S
The Journal of neuroscience : the official journal of the Society for Neuroscience (2020) : . 115 002 WB, ICC; KD verified; tested species: rat
VGLUT1 Binding to Endophilin or Intersectin1 and Dynamin Phosphorylation in a Diurnal Context.
Richter K, Schmutz I, Darna M, Zander JF, Chavan R, Albrecht U, Ahnert-Hilger G
Neuroscience (2018) 371: 29-37. 115 002 WB; tested species: mouse
Proteomic screening of glutamatergic mouse brain synaptosomes isolated by fluorescence activated sorting.
Biesemann C, Grønborg M, Luquet E, Wichert SP, Bernard V, Bungers SR, Cooper B, Varoqueaux F, Li L, Byrne JA, Urlaub H, et al.
The EMBO journal (2014) 332: 157-70. 115 002 WB; tested species: mouse
Composition of isolated synaptic boutons reveals the amounts of vesicle trafficking proteins.
Wilhelm BG, Mandad S, Truckenbrodt S, Kröhnert K, Schäfer C, Rammner B, Koo SJ, Claßen GA, Krauss M, Haucke V, Urlaub H, et al.
Science (New York, N.Y.) (2014) 3446187: 1023-8. 115 002 WB
Small-scale isolation of synaptic vesicles from mammalian brain.
Ahmed S, Holt M, Riedel D, Jahn R
Nature protocols (2013) 85: 998-1009. 115 002 WB; tested species: mouse
Efficient synaptic vesicle recycling after intense exocytosis concomitant with the accumulation of non-releasable endosomes at early developmental stages.
Bartolomé-Martín D, Ramírez-Franco J, Castro E, Sánchez-Prieto J, Torres M
Journal of cell science (2012) 125Pt 2: 422-34. 115 002 WB, ICC; tested species: rat
Increased neurotransmitter release at the neuromuscular junction in a mouse model of polyglutamine disease.
Rozas JL, Gómez-Sánchez L, Tomás-Zapico C, Lucas JJ, Fernández-Chacón R
The Journal of neuroscience : the official journal of the Society for Neuroscience (2011) 313: 1106-13. 115 002 WB
Dynamic interaction of amphiphysin with N-WASP regulates actin assembly.
Yamada H, Padilla-Parra S, Park SJ, Itoh T, Chaineau M, Monaldi I, Cremona O, Benfenati F, De Camilli P, Coppey-Moisan M, Tramier M, et al.
The Journal of biological chemistry (2009) 28449: 34244-56. 115 002 WB
Molecular anatomy of a trafficking organelle.
Takamori S, Holt M, Stenius K, Lemke EA, Grønborg M, Riedel D, Urlaub H, Schenck S, Brügger B, Ringler P, Müller SA, et al.
Cell (2006) 1274: 831-46. 115 002 WB
Distinct synaptic vesicle recycling in inhibitory nerve terminals is coordinated by SV2A.
Bae JR, Lee W, Jo YO, Han S, Koh S, Song WK, Kim SH
Progress in neurobiology (2020) : 101879. 115 002 ICC; tested species: rat
Release mode dynamically regulates the RRP refilling mechanism at individual hippocampal synapses.
Kim Y, Lee U, Choi C, Chang S
The Journal of neuroscience : the official journal of the Society for Neuroscience (2020) : . 115 002 WB, ICC; KD verified; tested species: rat
Dynamin regulates the fusion pore of endo- and exocytotic vesicles as revealed by membrane capacitance measurements.
Lasič E, Stenovec M, Kreft M, Robinson PJ, Zorec R
Biochimica et biophysica acta (2017) 18619: 2293-2303. 115 002 ICC; tested species: rat
Efficient synaptic vesicle recycling after intense exocytosis concomitant with the accumulation of non-releasable endosomes at early developmental stages.
Bartolomé-Martín D, Ramírez-Franco J, Castro E, Sánchez-Prieto J, Torres M
Journal of cell science (2012) 125Pt 2: 422-34. 115 002 WB, ICC; tested species: rat
A selective activity-dependent requirement for dynamin 1 in synaptic vesicle endocytosis.
Ferguson SM, Brasnjo G, Hayashi M, Wölfel M, Collesi C, Giovedi S, Raimondi A, Gong LW, Ariel P, Paradise S, O'toole E, et al.
Science (New York, N.Y.) (2007) 3165824: 570-4. 115 002 ICC
Imaging direct, dynamin-dependent recapture of fusing secretory granules on plasma membrane lawns from PC12 cells.
Holroyd P, Lang T, Wenzel D, De Camilli P, Jahn R
Proceedings of the National Academy of Sciences of the United States of America (2002) 9926: 16806-11. 115 002 ICC; tested species: rat
Endosomal sorting of readily releasable synaptic vesicles.
Hoopmann P, Punge A, Barysch SV, Westphal V, Bückers J, Opazo F, Bethani I, Lauterbach MA, Hell SW, Rizzoli SO
Proceedings of the National Academy of Sciences of the United States of America (2010) 10744: 19055-60. 115 002
Cat. No.: 115 002
Amount: 200 µl
Price: $360.00
Endosomal phosphatidylinositol 3-phosphate controls synaptic vesicle cycling and neurotransmission.
Liu GT, Kochlamazashvili G, Puchkov D, Müller R, Schultz C, Mackintosh AI, Vollweiter D, Haucke V, Soykan T
The EMBO journal (2022) : e109352. 115 002 WB; tested species: rat
Release mode dynamically regulates the RRP refilling mechanism at individual hippocampal synapses.
Kim Y, Lee U, Choi C, Chang S
The Journal of neuroscience : the official journal of the Society for Neuroscience (2020) : . 115 002 WB, ICC; KD verified; tested species: rat
VGLUT1 Binding to Endophilin or Intersectin1 and Dynamin Phosphorylation in a Diurnal Context.
Richter K, Schmutz I, Darna M, Zander JF, Chavan R, Albrecht U, Ahnert-Hilger G
Neuroscience (2018) 371: 29-37. 115 002 WB; tested species: mouse
Proteomic screening of glutamatergic mouse brain synaptosomes isolated by fluorescence activated sorting.
Biesemann C, Grønborg M, Luquet E, Wichert SP, Bernard V, Bungers SR, Cooper B, Varoqueaux F, Li L, Byrne JA, Urlaub H, et al.
The EMBO journal (2014) 332: 157-70. 115 002 WB; tested species: mouse
Composition of isolated synaptic boutons reveals the amounts of vesicle trafficking proteins.
Wilhelm BG, Mandad S, Truckenbrodt S, Kröhnert K, Schäfer C, Rammner B, Koo SJ, Claßen GA, Krauss M, Haucke V, Urlaub H, et al.
Science (New York, N.Y.) (2014) 3446187: 1023-8. 115 002 WB
Small-scale isolation of synaptic vesicles from mammalian brain.
Ahmed S, Holt M, Riedel D, Jahn R
Nature protocols (2013) 85: 998-1009. 115 002 WB; tested species: mouse
Efficient synaptic vesicle recycling after intense exocytosis concomitant with the accumulation of non-releasable endosomes at early developmental stages.
Bartolomé-Martín D, Ramírez-Franco J, Castro E, Sánchez-Prieto J, Torres M
Journal of cell science (2012) 125Pt 2: 422-34. 115 002 WB, ICC; tested species: rat
Increased neurotransmitter release at the neuromuscular junction in a mouse model of polyglutamine disease.
Rozas JL, Gómez-Sánchez L, Tomás-Zapico C, Lucas JJ, Fernández-Chacón R
The Journal of neuroscience : the official journal of the Society for Neuroscience (2011) 313: 1106-13. 115 002 WB
Dynamic interaction of amphiphysin with N-WASP regulates actin assembly.
Yamada H, Padilla-Parra S, Park SJ, Itoh T, Chaineau M, Monaldi I, Cremona O, Benfenati F, De Camilli P, Coppey-Moisan M, Tramier M, et al.
The Journal of biological chemistry (2009) 28449: 34244-56. 115 002 WB
Molecular anatomy of a trafficking organelle.
Takamori S, Holt M, Stenius K, Lemke EA, Grønborg M, Riedel D, Urlaub H, Schenck S, Brügger B, Ringler P, Müller SA, et al.
Cell (2006) 1274: 831-46. 115 002 WB
Distinct synaptic vesicle recycling in inhibitory nerve terminals is coordinated by SV2A.
Bae JR, Lee W, Jo YO, Han S, Koh S, Song WK, Kim SH
Progress in neurobiology (2020) : 101879. 115 002 ICC; tested species: rat
Release mode dynamically regulates the RRP refilling mechanism at individual hippocampal synapses.
Kim Y, Lee U, Choi C, Chang S
The Journal of neuroscience : the official journal of the Society for Neuroscience (2020) : . 115 002 WB, ICC; KD verified; tested species: rat
Dynamin regulates the fusion pore of endo- and exocytotic vesicles as revealed by membrane capacitance measurements.
Lasič E, Stenovec M, Kreft M, Robinson PJ, Zorec R
Biochimica et biophysica acta (2017) 18619: 2293-2303. 115 002 ICC; tested species: rat
Efficient synaptic vesicle recycling after intense exocytosis concomitant with the accumulation of non-releasable endosomes at early developmental stages.
Bartolomé-Martín D, Ramírez-Franco J, Castro E, Sánchez-Prieto J, Torres M
Journal of cell science (2012) 125Pt 2: 422-34. 115 002 WB, ICC; tested species: rat
A selective activity-dependent requirement for dynamin 1 in synaptic vesicle endocytosis.
Ferguson SM, Brasnjo G, Hayashi M, Wölfel M, Collesi C, Giovedi S, Raimondi A, Gong LW, Ariel P, Paradise S, O'toole E, et al.
Science (New York, N.Y.) (2007) 3165824: 570-4. 115 002 ICC
Imaging direct, dynamin-dependent recapture of fusing secretory granules on plasma membrane lawns from PC12 cells.
Holroyd P, Lang T, Wenzel D, De Camilli P, Jahn R
Proceedings of the National Academy of Sciences of the United States of America (2002) 9926: 16806-11. 115 002 ICC; tested species: rat
Endosomal sorting of readily releasable synaptic vesicles.
Hoopmann P, Punge A, Barysch SV, Westphal V, Bückers J, Opazo F, Bethani I, Lauterbach MA, Hell SW, Rizzoli SO
Proceedings of the National Academy of Sciences of the United States of America (2010) 10744: 19055-60. 115 002
Background

Dynamin was discovered because of its binding to microtubules. It was later shown not to function in the cytoskeleton but in endocytosis. Dynamin is required for clathrin - mediated endocytosis. It contains a NH2 - terminal GTPase domain, a middle pleckstrin - homology domain, and a COOH- terminal proline - rich sequence. The COOH - terminal sequence binds to amphiphilin which contains a SH3 domain that recognizes the proline - rich sequence of dynamin.
There are at least three isoforms of dynamin: Dynamin 1 is enriched in synapses whereas dynamin 2 is ubiquitous and dynamin 3 is expressed in brain and testis. Neuronal dynamin 1 is phosphorylated by protein kinase C and dephosphorylated by calcineurin during an action potential in the nerve terminal. It is possible that the dephosphorylation provides a trigger for endocytosis.

Certificates

ISO 9001 2015 Quality Management System and Green Lab Platinum certification level for sustaining laboratory processes.

Newsletter

Sign up for our newsletter and get the latest updates and news.
 

Please provide a valid E-Mail-Address
Please provide a valid First name
Please provide a valid Last name