Tailor-made Antibodies
and Tools for Life Science
Home | | | | | Technical Support

SNAP25 antibody - 111 318

SNAP25 is a palmitoylated plasma membrane protein; required for exocytosis
Guinea pig monoclonal recombinant IgG
Cat. No.: 111 318
Amount: 50 µg
Price: $420.00
Cat. No. 111 318 50 µg purified recombinant IgG, lyophilized. Albumin and azide were added for stabilization. For reconstitution add 50 µl H2O to get a 1mg/ml solution in PBS. Then aliquot and store at -20°C to -80°C until use.
Antibodies should be stored at +4°C when still lyophilized. Do not freeze!
Applications
 
WB: 1 : 1000 (AP staining) gallery  
IP: not tested yet
ICC: 1 : 500 gallery  
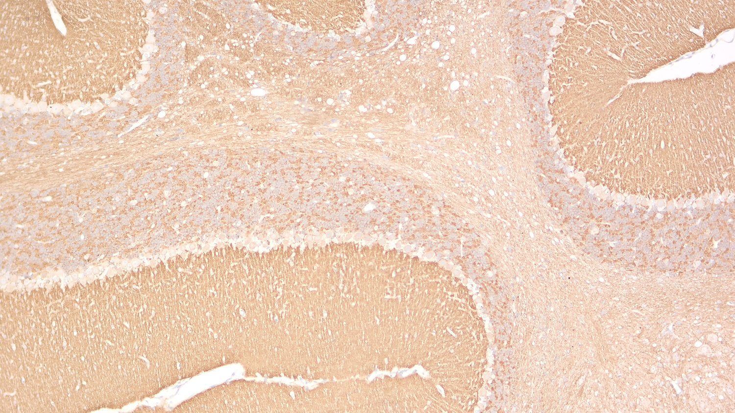
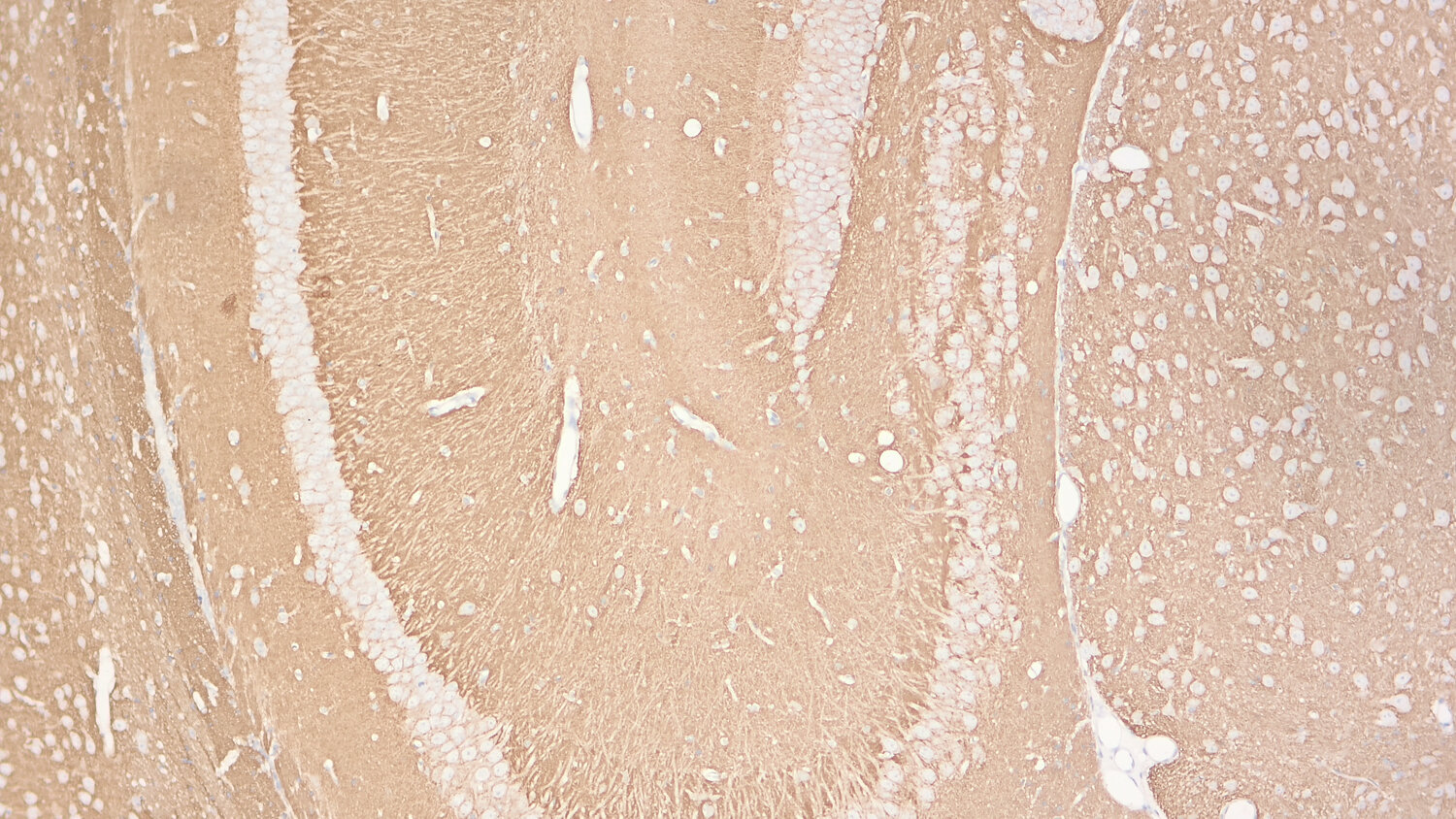
IHC: 1 : 500 gallery  
IHC-P: 1 : 1000 up to 1 : 4000 gallery  

Western blot (WB); separation of proteins by PAGE and subsequent transfer to a membrane. Detection of target molecules is carried out with antibodies. Some antibodies require special sample preparation steps. For details, please refer to the “Remarks” section.

Immunoprecipitation (IP); Immunoisolation or pulldown of a target molecule using an antibody. For details and product specific hints, please refer to the ”Remarks” section.

Immunocytochemistry (ICC) on 4% PFA fixed cells. Immunoreactivity is usually revealed by fluorescence. Some antibodies require special fixation methods. For details, please refer to the “Remarks” section.

Immunohistochemistry (IHC) on 4% PFA perfusion fixed tissue with 24h PFA post fixation. Immunoreactivity is usually revealed by fluorescence or a chromogenic substrate. Some antibodies require special fixation methods or antigen retrieval steps. For details, please refer to the ”Remarks” section.

Immunohistochemistry (IHC-P) of formalin fixed, paraffin embedded (FFPE) tissue (some antibodies require special antigen retrieval steps, please refer to the ”Remarks” section). Immunoreactivity is usually revealed by fluorescence or a chromogenic substrate.

Clone Gp71.2
Subtype IgG2 (κ light chain)
Immunogen Full-length recombinant rat SNAP25B protein (UniProt Id: P60881-1)
Epitop AA 1 to 20 from rat SNAP25B (UniProt Id: P60881-1)
Reactivity Reacts with: human (P60880), rat (P60881), mouse (P60879), mammals, bovine.
No signal: zebrafish.
Other species not tested yet.
Specificity Detects both splice variants SNAP 25A and B. Recognizes the Botulinum neurotoxin A and E cleavage products.
Remarks

This antibody is a chimeric antibody based on the monoclonal mouse antibody 71.2. The constant regions of the heavy and light chains have been replaced with guinea pig specific sequences. Therefore, the antibody can be used with standard anti-guinea pig secondary reagents. The antibody has been expressed in mammalian cells.

Data sheet 111_318.pdf
Cat. No.: 111 318
Amount: 50 µg
Price: $420.00
Background

SNAP25 (synaptosome-associated protein of 25 kD) is a highly conserved protein anchored to the cytosolic face of membranes via palmitoyl side chains in the middle of the molecule. SNAP25 is the target of Botulinum neurotoxins A and E which cleave off 9 and 26 amino acids, respectively, from the C-terminus.
SNAP25 is part of the exocytotic fusion complex (v-SNARE) of neurons where it assembles with syntaxin1 and synaptobrevin. It is abundantly localized on the neuronal plasmalemma and on recycling vesicles including synaptic vesicles. It is also expressed in neuroendocrine cells. There are two splice-variants, SNAP25A and 25B.