Tailor-made Antibodies
and Tools for Life Science
Home | | | | | Technical Support

SNAP25 antibody - 111 111

SNAP25 is a palmitoylated plasma membrane protein; required for exocytosis
Mouse monoclonal purified IgG
Cat. No.: 111 111
Amount: 50 µg
Price: $435.00
Cat. No. 111 111 50 µg purified IgG, lyophilized. Albumin and azide were added for stabilization. For reconstitution add 50 µl H2O to get a 1mg/ml solution in PBS. Then aliquot and store at -20°C to -80°C until use.
Antibodies should be stored at +4°C when still lyophilized. Do not freeze!
Applications
 
WB: 1 : 10000 (AP staining) gallery  
IP: yes (see remarks)
ICC: 1 : 100 up to 1 : 500 gallery  
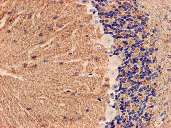
IHC: 1 : 200 gallery  
IHC-P: 1 : 1000 gallery  
ELISA: yes (see remarks)

Western blot (WB); separation of proteins by PAGE and subsequent transfer to a membrane. Detection of target molecules is carried out with antibodies. Some antibodies require special sample preparation steps. For details, please refer to the “Remarks” section.

Immunoprecipitation (IP); Immunoisolation or pulldown of a target molecule using an antibody. For details and product specific hints, please refer to the ”Remarks” section.

Immunocytochemistry (ICC) on 4% PFA fixed cells. Immunoreactivity is usually revealed by fluorescence. Some antibodies require special fixation methods. For details, please refer to the “Remarks” section.

Immunohistochemistry (IHC) on 4% PFA perfusion fixed tissue with 24h PFA post fixation. Immunoreactivity is usually revealed by fluorescence or a chromogenic substrate. Some antibodies require special fixation methods or antigen retrieval steps. For details, please refer to the ”Remarks” section.

Immunohistochemistry (IHC-P) of formalin fixed, paraffin embedded (FFPE) tissue (some antibodies require special antigen retrieval steps, please refer to the ”Remarks” section). Immunoreactivity is usually revealed by fluorescence or a chromogenic substrate.

Enzyme-linked immunosorbent assay (ELISA); a frequently employed method to quantify target-molecules in solution. The detection of some proteins requires special solubilization steps. For further information, please refer to the „Remarks“ section.

Clone 71.2
Subtype IgG1 (κ light chain)
Immunogen Full-length recombinant rat SNAP25B protein (UniProt Id: P60881-1)
Epitop AA 1 to 20 from rat SNAP25B (UniProt Id: P60881-1)
Reactivity Reacts with: human (P60880), rat (P60881), mouse (P60879), mammals, bovine.
No signal: zebrafish.
Other species not tested yet.
Specificity Detects both splice variants SNAP 25A and B. Recognizes the Botulinum neurotoxin A and E cleavage products.
Remarks

IP: Immunoprecipitation not quantitative, appears to depend on the binding status of the protein.
ELISA: The ELISA-protocol for membrane proteins is required.
Suitable as capture antibody for sandwich-ELISA. Please refer to the protocol for suitable detector antibodies.

Data sheet Datasheet 111_111

References for SNAP25 - 111 111

RTP004 Peptide Binds to Botulinum Neurotoxin, Increases Cell Surface Binding, and Enhances Cellular SNAP-25 Cleavage.
Batista AF, Singh R, Lee F, Zhuo S, Leonoudakis D, Gallagher CJ
Toxins (2026) 183: . 111 111 WB; tested species: human
Proximity labelling reveals effects of disease-causing mutation on the DNAJC5/cysteine string protein α interactome.
Barker E, Milburn A, Helassa N, Hammond D, Sanchez-Soriano N, Morgan A, Barclay J
The Biochemical journal (2024) : . 111 111 WB; tested species: rat
Monitoring of activity-driven trafficking of endogenous synaptic proteins through proximity labeling.
Pascual-Caro C, de Juan-Sanz J
PLoS biology (2024) 2210: e3002860. 111 111 WB; tested species: rat
LRRTMs Organize Synapses through Differential Engagement of Neurexin and PTPσ.
Roppongi RT, Dhume SH, Padmanabhan N, Silwal P, Zahra N, Karimi B, Bomkamp C, Patil CS, Champagne-Jorgensen K, Twilley RE, Zhang P, et al.
Neuron (2020) : . 111 111 WB; tested species: mouse
VAMP4 maintains a Ca2+-sensitive pool of spontaneously recycling synaptic vesicles.
Lin PY, Chanaday NL, Horvath PM, Ramirez DMO, Monteggia LM, Kavalali ET
The Journal of neuroscience : the official journal of the Society for Neuroscience (2020) : . 111 111 WB; tested species: rat
Potential Protection Against Type 2 Diabetes in Obesity Through Lower CD36 Expression and Improved Exocytosis in β-Cells.
Nagao M, Esguerra JLS, Asai A, Ofori JK, Edlund A, Wendt A, Sugihara H, Wollheim CB, Oikawa S, Eliasson L
Diabetes (2020) 696: 1193-1205. 111 111 WB; tested species: human
Role of Aberrant Spontaneous Neurotransmission in SNAP25-Associated Encephalopathies.
Alten B, Zhou Q, Shin OH, Esquivies L, Lin PY, White KI, Sun R, Chung WK, Monteggia LM, Brunger AT, Kavalali ET, et al.
Neuron (2020) : . 111 111 WB; tested species: mouse
Intracellular Vesicle Fusion Requires a Membrane-Destabilizing Peptide Located at the Juxtamembrane Region of the v-SNARE.
Rathore SS, Liu Y, Yu H, Wan C, Lee M, Yin Q, Stowell MHB, Shen J
Cell reports (2019) 2913: 4583-4592.e3. 111 111 WB
Phosphorylated SNAP25 in the CA1 regulates morphine-associated contextual memory retrieval via increasing GluN2B-NMDAR surface localization.
Wang X, Liu Y, Jia M, Sun X, Wang N, Li Y, Cui C
Addiction biology (2017) : . 111 111 WB; tested species: rat
Identification and characterization of a novel botulinum neurotoxin.
Zhang S, Masuyer G, Zhang J, Shen Y, Lundin D, Henriksson L, Miyashita SI, Martínez-Carranza M, Dong M, Stenmark P
Nature communications (2017) 8: 14130. 111 111 WB; tested species: mouse
The neural cell adhesion molecule promotes maturation of the presynaptic endocytotic machinery by switching synaptic vesicle recycling from adaptor protein 3 (AP-3)- to AP-2-dependent mechanisms.
Shetty A, Sytnyk V, Leshchyns'ka I, Puchkov D, Haucke V, Schachner M
The Journal of neuroscience : the official journal of the Society for Neuroscience (2013) 3342: 16828-45. 111 111 WB
Small-scale isolation of synaptic vesicles from mammalian brain.
Ahmed S, Holt M, Riedel D, Jahn R
Nature protocols (2013) 85: 998-1009. 111 111 WB; tested species: mouse
Aberrant function and structure of retinal ribbon synapses in the absence of complexin 3 and complexin 4.
Reim K, Regus-Leidig H, Ammermüller J, El-Kordi A, Radyushkin K, Ehrenreich H, Brandstätter JH, Brose N
Journal of cell science (2009) 122Pt 9: 1352-61. 111 111 WB, IHC; tested species: mouse
Dvl regulates endo- and exocytotic processes through binding to synaptotagmin.
Kishida S, Hamao K, Inoue M, Hasegawa M, Matsuura Y, Mikoshiba K, Fukuda M, Kikuchi A
Genes to cells : devoted to molecular & cellular mechanisms (2007) 121: 49-61. 111 111 WB; tested species: rat
Loss of SNAP-25 and rabphilin 3a in sensory-motor cortex in Huntington's disease.
Smith R, Klein P, Koc-Schmitz Y, Waldvogel HJ, Faull RL, Brundin P, Plomann M, Li JY
Journal of neurochemistry (2007) 1031: 115-23. 111 111 WB; tested species: human
Rapid and Sensitive Nano-Immunosensors for Botulinum.
Cheng HP, Chuang HS
ACS sensors (2019) : . 111 111 IP; tested species: human
The N-ethylmaleimide-sensitive fusion protein and alpha-SNAP induce a conformational change in syntaxin.
Hanson PI, Otto H, Barton N, Jahn R
The Journal of biological chemistry (1995) 27028: 16955-61. 111 111 IP
Positively charged amino acids at the SNAP-25 C terminus determine fusion rates, fusion pore properties, and energetics of tight SNARE complex zippering.
Fang Q, Zhao Y, Herbst AD, Kim BN, Lindau M
The Journal of neuroscience : the official journal of the Society for Neuroscience (2015) 357: 3230-9. 111 111 ICC; tested species: cow
Catecholaminergic dysfunction drives postural and locomotor deficits in a mouse model of spinal muscular atrophy.
Pagiazitis JG, Delestrée N, Sowoidnich L, Sivakumar N, Simon CM, Chatzisotiriou A, Albani M, Mentis GZ
Cell reports (2025) 441: 115147. 111 111 IHC; tested species: mouse
Aberrant function and structure of retinal ribbon synapses in the absence of complexin 3 and complexin 4.
Reim K, Regus-Leidig H, Ammermüller J, El-Kordi A, Radyushkin K, Ehrenreich H, Brandstätter JH, Brose N
Journal of cell science (2009) 122Pt 9: 1352-61. 111 111 WB, IHC; tested species: mouse
The expression pattern and assembly profile of synaptic membrane proteins in ribbon synapses of the developing mouse retina.
von Kriegstein K, Schmitz F
Cell and tissue research (2003) 3112: 159-73. 111 111 IHC
Spatial proteomics in neurons at single-protein resolution.
Unterauer EM, Shetab Boushehri S, Jevdokimenko K, Masullo LA, Ganji M, Sograte-Idrissi S, Kowalewski R, Strauss S, Reinhardt SCM, Perovic A, Marr C, et al.
Cell (2024) 1877: 1785-1800.e16. 111 111 DNA-PAINT; tested species: rat
Synapsin-dependent reserve pool of synaptic vesicles supports replenishment of the readily releasable pool under intense synaptic transmission.
Vasileva M, Horstmann H, Geumann C, Gitler D, Kuner T
The European journal of neuroscience (2012) 368: 3005-20. 111 111 ELISA
Inhibition of SNARE complex assembly differentially affects kinetic components of exocytosis.
Xu T, Rammner B, Margittai M, Artalejo AR, Neher E, Jahn R
Cell (1999) 997: 713-22. 111 111
Cat. No.: 111 111
Amount: 50 µg
Price: $435.00
RTP004 Peptide Binds to Botulinum Neurotoxin, Increases Cell Surface Binding, and Enhances Cellular SNAP-25 Cleavage.
Batista AF, Singh R, Lee F, Zhuo S, Leonoudakis D, Gallagher CJ
Toxins (2026) 183: . 111 111 WB; tested species: human
Proximity labelling reveals effects of disease-causing mutation on the DNAJC5/cysteine string protein α interactome.
Barker E, Milburn A, Helassa N, Hammond D, Sanchez-Soriano N, Morgan A, Barclay J
The Biochemical journal (2024) : . 111 111 WB; tested species: rat
Monitoring of activity-driven trafficking of endogenous synaptic proteins through proximity labeling.
Pascual-Caro C, de Juan-Sanz J
PLoS biology (2024) 2210: e3002860. 111 111 WB; tested species: rat
LRRTMs Organize Synapses through Differential Engagement of Neurexin and PTPσ.
Roppongi RT, Dhume SH, Padmanabhan N, Silwal P, Zahra N, Karimi B, Bomkamp C, Patil CS, Champagne-Jorgensen K, Twilley RE, Zhang P, et al.
Neuron (2020) : . 111 111 WB; tested species: mouse
VAMP4 maintains a Ca2+-sensitive pool of spontaneously recycling synaptic vesicles.
Lin PY, Chanaday NL, Horvath PM, Ramirez DMO, Monteggia LM, Kavalali ET
The Journal of neuroscience : the official journal of the Society for Neuroscience (2020) : . 111 111 WB; tested species: rat
Potential Protection Against Type 2 Diabetes in Obesity Through Lower CD36 Expression and Improved Exocytosis in β-Cells.
Nagao M, Esguerra JLS, Asai A, Ofori JK, Edlund A, Wendt A, Sugihara H, Wollheim CB, Oikawa S, Eliasson L
Diabetes (2020) 696: 1193-1205. 111 111 WB; tested species: human
Role of Aberrant Spontaneous Neurotransmission in SNAP25-Associated Encephalopathies.
Alten B, Zhou Q, Shin OH, Esquivies L, Lin PY, White KI, Sun R, Chung WK, Monteggia LM, Brunger AT, Kavalali ET, et al.
Neuron (2020) : . 111 111 WB; tested species: mouse
Intracellular Vesicle Fusion Requires a Membrane-Destabilizing Peptide Located at the Juxtamembrane Region of the v-SNARE.
Rathore SS, Liu Y, Yu H, Wan C, Lee M, Yin Q, Stowell MHB, Shen J
Cell reports (2019) 2913: 4583-4592.e3. 111 111 WB
Phosphorylated SNAP25 in the CA1 regulates morphine-associated contextual memory retrieval via increasing GluN2B-NMDAR surface localization.
Wang X, Liu Y, Jia M, Sun X, Wang N, Li Y, Cui C
Addiction biology (2017) : . 111 111 WB; tested species: rat
Identification and characterization of a novel botulinum neurotoxin.
Zhang S, Masuyer G, Zhang J, Shen Y, Lundin D, Henriksson L, Miyashita SI, Martínez-Carranza M, Dong M, Stenmark P
Nature communications (2017) 8: 14130. 111 111 WB; tested species: mouse
The neural cell adhesion molecule promotes maturation of the presynaptic endocytotic machinery by switching synaptic vesicle recycling from adaptor protein 3 (AP-3)- to AP-2-dependent mechanisms.
Shetty A, Sytnyk V, Leshchyns'ka I, Puchkov D, Haucke V, Schachner M
The Journal of neuroscience : the official journal of the Society for Neuroscience (2013) 3342: 16828-45. 111 111 WB
Small-scale isolation of synaptic vesicles from mammalian brain.
Ahmed S, Holt M, Riedel D, Jahn R
Nature protocols (2013) 85: 998-1009. 111 111 WB; tested species: mouse
Aberrant function and structure of retinal ribbon synapses in the absence of complexin 3 and complexin 4.
Reim K, Regus-Leidig H, Ammermüller J, El-Kordi A, Radyushkin K, Ehrenreich H, Brandstätter JH, Brose N
Journal of cell science (2009) 122Pt 9: 1352-61. 111 111 WB, IHC; tested species: mouse
Dvl regulates endo- and exocytotic processes through binding to synaptotagmin.
Kishida S, Hamao K, Inoue M, Hasegawa M, Matsuura Y, Mikoshiba K, Fukuda M, Kikuchi A
Genes to cells : devoted to molecular & cellular mechanisms (2007) 121: 49-61. 111 111 WB; tested species: rat
Loss of SNAP-25 and rabphilin 3a in sensory-motor cortex in Huntington's disease.
Smith R, Klein P, Koc-Schmitz Y, Waldvogel HJ, Faull RL, Brundin P, Plomann M, Li JY
Journal of neurochemistry (2007) 1031: 115-23. 111 111 WB; tested species: human
Rapid and Sensitive Nano-Immunosensors for Botulinum.
Cheng HP, Chuang HS
ACS sensors (2019) : . 111 111 IP; tested species: human
The N-ethylmaleimide-sensitive fusion protein and alpha-SNAP induce a conformational change in syntaxin.
Hanson PI, Otto H, Barton N, Jahn R
The Journal of biological chemistry (1995) 27028: 16955-61. 111 111 IP
Positively charged amino acids at the SNAP-25 C terminus determine fusion rates, fusion pore properties, and energetics of tight SNARE complex zippering.
Fang Q, Zhao Y, Herbst AD, Kim BN, Lindau M
The Journal of neuroscience : the official journal of the Society for Neuroscience (2015) 357: 3230-9. 111 111 ICC; tested species: cow
Catecholaminergic dysfunction drives postural and locomotor deficits in a mouse model of spinal muscular atrophy.
Pagiazitis JG, Delestrée N, Sowoidnich L, Sivakumar N, Simon CM, Chatzisotiriou A, Albani M, Mentis GZ
Cell reports (2025) 441: 115147. 111 111 IHC; tested species: mouse
Aberrant function and structure of retinal ribbon synapses in the absence of complexin 3 and complexin 4.
Reim K, Regus-Leidig H, Ammermüller J, El-Kordi A, Radyushkin K, Ehrenreich H, Brandstätter JH, Brose N
Journal of cell science (2009) 122Pt 9: 1352-61. 111 111 WB, IHC; tested species: mouse
The expression pattern and assembly profile of synaptic membrane proteins in ribbon synapses of the developing mouse retina.
von Kriegstein K, Schmitz F
Cell and tissue research (2003) 3112: 159-73. 111 111 IHC
Spatial proteomics in neurons at single-protein resolution.
Unterauer EM, Shetab Boushehri S, Jevdokimenko K, Masullo LA, Ganji M, Sograte-Idrissi S, Kowalewski R, Strauss S, Reinhardt SCM, Perovic A, Marr C, et al.
Cell (2024) 1877: 1785-1800.e16. 111 111 DNA-PAINT; tested species: rat
Synapsin-dependent reserve pool of synaptic vesicles supports replenishment of the readily releasable pool under intense synaptic transmission.
Vasileva M, Horstmann H, Geumann C, Gitler D, Kuner T
The European journal of neuroscience (2012) 368: 3005-20. 111 111 ELISA
Inhibition of SNARE complex assembly differentially affects kinetic components of exocytosis.
Xu T, Rammner B, Margittai M, Artalejo AR, Neher E, Jahn R
Cell (1999) 997: 713-22. 111 111
Background

SNAP25 (synaptosome-associated protein of 25 kD) is a highly conserved protein anchored to the cytosolic face of membranes via palmitoyl side chains in the middle of the molecule. SNAP25 is the target of Botulinum neurotoxins A and E which cleave off 9 and 26 amino acids, respectively, from the C-terminus.
SNAP25 is part of the exocytotic fusion complex (v-SNARE) of neurons where it assembles with syntaxin1 and synaptobrevin. It is abundantly localized on the neuronal plasmalemma and on recycling vesicles including synaptic vesicles. It is also expressed in neuroendocrine cells. There are two splice-variants, SNAP25A and 25B.

Certificates

ISO 9001 2015 Quality Management System and Green Lab Platinum certification level for sustaining laboratory processes.

Newsletter

Sign up for our newsletter and get the latest updates and news.
 

Please provide a valid E-Mail-Address
Please provide a valid First name
Please provide a valid Last name