Tailor-made Antibodies
and Tools for Life Science
Home | | | | | Technical Support

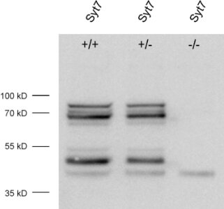
Synaptotagmin7 antibody - 105 173 K.O.

Synaptotagmin7 is a Ca2+ dependent regulator of exocytosis
Rabbit polyclonal purified antibody
Cat. No.: 105 173
Amount: 50 µg
Price: $475.00
Cat. No. 105 173 50 µg specific antibody, lyophilized. Affinity purified with the immunogen. Albumin and azide were added for stabilization. For reconstitution add 50 µl H2O to get a 1mg/ml solution in PBS. Then aliquot and store at -20°C to -80°C until use.
Antibodies should be stored at +4°C when still lyophilized. Do not freeze!
Applications
 
WB: 1 : 1000 (AP staining) gallery  
IP: not tested yet
ICC: 1 : 500 (see remarks) gallery  
IHC: 1 : 500 gallery  
IHC-P: not tested yet

Western blot (WB); separation of proteins by PAGE and subsequent transfer to a membrane. Detection of target molecules is carried out with antibodies. Some antibodies require special sample preparation steps. For details, please refer to the “Remarks” section.

Immunoprecipitation (IP); Immunoisolation or pulldown of a target molecule using an antibody. For details and product specific hints, please refer to the ”Remarks” section.

Immunocytochemistry (ICC) on 4% PFA fixed cells. Immunoreactivity is usually revealed by fluorescence. Some antibodies require special fixation methods. For details, please refer to the “Remarks” section.

Immunohistochemistry (IHC) on 4% PFA perfusion fixed tissue with 24h PFA post fixation. Immunoreactivity is usually revealed by fluorescence or a chromogenic substrate. Some antibodies require special fixation methods or antigen retrieval steps. For details, please refer to the ”Remarks” section.

Immunohistochemistry (IHC-P) of formalin fixed, paraffin embedded (FFPE) tissue (some antibodies require special antigen retrieval steps, please refer to the ”Remarks” section). Immunoreactivity is usually revealed by fluorescence or a chromogenic substrate.

Immunogen Recombinant protein corresponding to AA 46 to 133 from rat Synaptotagmin7 (UniProt Id: Q62747)
Reactivity Reacts with: human (O43581), rat (Q62747), mouse (Q9R0N7).
Other species not tested yet.
Specificity Recognizes synaptotagmin 7 (45 kDa) and splice variants C, D, E. K.O. validated PubMed: 26738595
Matching control protein/peptide 105-71P
Remarks

ICC: Methanol fixation is recommended.

Data sheet Datasheet 105_173

References for Synaptotagmin7 - 105 173

Non-canonical function of ADAM10 in presynaptic plasticity.
Bär J, Fanutza T, Reimann CC, Seipold L, Grohe M, Bolter JR, Delfs F, Bucher M, Gee CE, Schweizer M, Saftig P, et al.
Cellular and molecular life sciences : CMLS (2024) 811: 342. 105 173 WB, ICC; tested species: mouse
Copine-6 is a Ca2+ sensor for activity-induced AMPA receptor exocytosis.
Tan JZA, Jang SE, Batallas-Borja A, Bhembre N, Chandra M, Zhang L, Guo H, Ringuet MT, Widagdo J, Collins BM, Anggono V, et al.
Cell reports (2023) 4212: 113460. 105 173 WB; tested species: rat
Rab GTPase-regulated phagosome-lysosome fusion is bypassed by micromolar calcium.
Becker J, Schleinitz A, Hermsen C, Rappold S, Saftig P, Jeschke A, Haas A
Journal of cell science (2023) : . 105 173 WB; tested species: mouse
Neurotransmitter release progressively desynchronizes in induced human neurons during synapse maturation and aging.
Uzay B, Houcek A, Ma ZZ, Konradi C, Monteggia LM, Kavalali ET
Cell reports (2023) 422: 112042. 105 173 WB; tested species: human
PACAP and acetylcholine cause distinct Ca2+ signals and secretory responses in chromaffin cells.
Morales A, Mohan R, Chen X, Coffman BL, Bendahmane M, Watch L, West JL, Bakshi S, Traynor JR, Giovannucci DR, Kammermeier PJ, et al.
The Journal of general physiology (2023) 1552: . 105 173 WB; tested species: mouse
Synaptotagmins 1 and 7 in vesicle release from rods of mouse retina.
Mesnard CS, Hays CL, Barta CL, Sladek AL, Grassmeyer JJ, Hinz KK, Quadros RM, Gurumurthy CB, Thoreson WB
Experimental eye research (2022) 225: 109279. 105 173 WB, IHC; KO verified; tested species: mouse
Synaptotagmins 1 and 7 play complementary roles in somatodendritic dopamine release.
Hikima T, Witkovsky P, Khatri L, Chao M, Rice ME
The Journal of neuroscience : the official journal of the Society for Neuroscience (2022) : . 105 173 WB, IHC; KO verified; tested species: mouse
Synaptotagmin-7 places dense-core vesicles at the cell membrane to promote Munc13-2- and Ca2+-dependent priming.
Tawfik B, Martins JS, Houy S, Imig C, Pinheiro PS, Wojcik SM, Brose N, Cooper BH, Sørensen JB
eLife (2021) 10: . 105 173 WB, ICC; KO verified; tested species: mouse
Presynaptic store-operated Ca2+ entry drives excitatory spontaneous neurotransmission and augments endoplasmic reticulum stress.
Chanaday NL, Nosyreva E, Shin OH, Zhang H, Aklan I, Atasoy D, Bezprozvanny I, Kavalali ET
Neuron (2021) 1098: 1314-1332.e5. 105 173 WB; tested species: mouse
Synaptotagmin 7 is targeted to the axonal plasma membrane through γ-secretase processing to promote synaptic vesicle docking in mouse hippocampal neurons.
Vevea JD, Kusick GF, Courtney KC, Chen E, Watanabe S, Chapman ER
eLife (2021) 10: . 105 173 WB, ICC; KO verified; tested species: mouse
Synaptotagmin-7-mediated activation of spontaneous NMDAR currents is disrupted in bipolar disorder susceptibility variants.
Wang QW, Wang YH, Wang B, Chen Y, Lu SY, Yao J
PLoS biology (2021) 197: e3001323. 105 173 WB, ICC; KO verified; tested species: mouse
Synaptotagmin 1 oligomers clamp and regulate different modes of neurotransmitter release.
Tagliatti E, Bello OD, Mendonça PRF, Kotzadimitriou D, Nicholson E, Coleman J, Timofeeva Y, Rothman JE, Krishnakumar SS, Volynski KE
Proceedings of the National Academy of Sciences of the United States of America (2020) : . 105 173 WB, ICC; KD verified; tested species: mouse
Distinct insulin granule subpopulations implicated in the secretory pathology of diabetes types 1 and 2.
Kreutzberger AJB, Kiessling V, Doyle CA, Schenk N, Upchurch CM, Elmer-Dixon M, Ward AE, Preobraschenski J, Hussein SS, Tomaka W, Seelheim P, et al.
eLife (2020) 9: . 105 173 WB; tested species: rat
VAMP4 maintains a Ca2+-sensitive pool of spontaneously recycling synaptic vesicles.
Lin PY, Chanaday NL, Horvath PM, Ramirez DMO, Monteggia LM, Kavalali ET
The Journal of neuroscience : the official journal of the Society for Neuroscience (2020) : . 105 173 WB; tested species: rat
Endophilin-A coordinates priming and fusion of neurosecretory vesicles via intersectin.
Gowrisankaran S, Houy S, Del Castillo JGP, Steubler V, Gelker M, Kroll J, Pinheiro PS, Schwitters D, Halbsgut N, Pechstein A, van Weering JRT, et al.
Nature communications (2020) 111: 1266. 105 173 WB, ICC; tested species: mouse
Synaptotagmin-7 enhances calcium-sensing of chromaffin cell granules and slows discharge of granule cargos.
Bendahmane M, Chapman-Morales A, Kreutzberger AJB, Schenk NA, Mohan R, Bakshi S, Philippe J, Zhang S, Kiessling V, Tamm LK, Giovannucci DR, et al.
Journal of neurochemistry (2020) : e14986. 105 173 WB, ICC; KO verified; tested species: mouse
Synaptotagmin-7 is a key factor for bipolar-like behavioral abnormalities in mice.
Shen W, Wang QW, Liu YN, Marchetto MC, Linker S, Lu SY, Chen Y, Liu C, Guo C, Xing Z, Shi W, et al.
Proceedings of the National Academy of Sciences of the United States of America (2020) : . 105 173 WB; tested species: human
Loss of voltage-gated proton channel Hv1 decreases insulin secretion and leads to hyperglycemia and glucose intolerance in mice.
Pang H, Wang X, Zhao S, Xi W, Lv J, Qin J, Zhao Q, Che Y, Chen L, Li SJ
The Journal of biological chemistry (2020) : . 105 173 WB; tested species: mouse
In vitro fusion of single synaptic and dense core vesicles reproduces key physiological properties.
Kreutzberger AJB, Kiessling V, Stroupe C, Liang B, Preobraschenski J, Ganzella M, Kreutzberger MAB, Nakamoto R, Jahn R, Castle JD, Tamm LK, et al.
Nature communications (2019) 101: 3904. 105 173 WB; tested species: rat
Disabling the Gβγ-SNARE interaction disrupts GPCR-mediated presynaptic inhibition, leading to physiological and behavioral phenotypes.
Zurawski Z, Thompson Gray AD, Brady LJ, Page B, Church E, Harris NA, Dohn MR, Yim YY, Hyde K, Mortlock DP, Jones CK, et al.
Science signaling (2019) 12569: . 105 173 WB; tested species: mouse
Economic impact of tolvaptan treatment vs. fluid restriction based on real-world data among hospitalized patients with heart failure and hyponatremia.
Dasta JF, Sundar S, Chase S, Lingohr-Smith M, Lin J
Hospital practice (1995) (2018) 464: 197-202. 105 173 WB, IHC; tested species: rat
Synaptotagmin oligomerization is essential for calcium control of regulated exocytosis.
Bello OD, Jouannot O, Chaudhuri A, Stroeva E, Coleman J, Volynski KE, Rothman JE, Krishnakumar SS
Proceedings of the National Academy of Sciences of the United States of America (2018) 11532: E7624-E7631. 105 173 WB; tested species: rat
A novel method for culturing stellate astrocytes reveals spatially distinct Ca2+ signaling and vesicle recycling in astrocytic processes.
Wolfes AC, Ahmed S, Awasthi A, Stahlberg MA, Rajput A, Magruder DS, Bonn S, Dean C
The Journal of general physiology (2017) 1491: 149-170. 105 173 WB, ICC
Mutant Huntingtin Is Secreted via a Late Endosomal/Lysosomal Unconventional Secretory Pathway.
Trajkovic K, Jeong H, Krainc D
The Journal of neuroscience : the official journal of the Society for Neuroscience (2017) 3737: 9000-9012. 105 173 WB, ICC; tested species: mouse
Doc2B acts as a calcium sensor for vesicle priming requiring synaptotagmin-1, Munc13-2 and SNAREs.
Houy S, Groffen AJ, Ziomkiewicz I, Verhage M, Pinheiro PS, Sørensen JB
eLife (2017) 6: . 105 173 WB; KO verified; tested species: mouse
Synaptotagmin 7 and SYNCRIP proteins are ubiquitously expressed in the rat brain and co-localize in Purkinje neurons.
Tratnjek L, Živin M, Glavan G
Journal of chemical neuroanatomy (2017) 79: 12-21. 105 173 WB; tested species: rat
Injured astrocytes are repaired by Synaptotagmin XI-regulated lysosome exocytosis.
Sreetama SC, Takano T, Nedergaard M, Simon SM, Jaiswal JK
Cell death and differentiation (2016) 234: 596-607. 105 173 WB, ICC; tested species: mouse
Composition of isolated synaptic boutons reveals the amounts of vesicle trafficking proteins.
Wilhelm BG, Mandad S, Truckenbrodt S, Kröhnert K, Schäfer C, Rammner B, Koo SJ, Claßen GA, Krauss M, Haucke V, Urlaub H, et al.
Science (New York, N.Y.) (2014) 3446187: 1023-8. 105 173 WB, ICC, IHC; tested species: mouse,rat
Reduced insulin secretion correlates with decreased expression of exocytotic genes in pancreatic islets from patients with type 2 diabetes.
Andersson SA, Olsson AH, Esguerra JL, Heimann E, Ladenvall C, Edlund A, Salehi A, Taneera J, Degerman E, Groop L, Ling C, et al.
Molecular and cellular endocrinology (2012) 3641-2: 36-45. 105 173 WB
Synaptotagmin-7 as a positive regulator of glucose-induced glucagon-like peptide-1 secretion in mice.
Gustavsson N, Wang Y, Kang Y, Seah T, Chua S, Radda GK, Han W
Diabetologia (2011) 547: 1824-30. 105 173 WB, IHC
Sunday driver interacts with two distinct classes of axonal organelles.
Abe N, Almenar-Queralt A, Lillo C, Shen Z, Lozach J, Briggs SP, Williams DS, Goldstein LS, Cavalli V
The Journal of biological chemistry (2009) 28450: 34628-39. 105 173 WB, IHC
Synaptotagmin VII splice variants alpha, beta, and delta are expressed in pancreatic beta-cells and regulate insulin exocytosis.
Gauthier BR, Duhamel DL, Iezzi M, Theander S, Saltel F, Fukuda M, Wehrle-Haller B, Wollheim CB
FASEB journal : official publication of the Federation of American Societies for Experimental Biology (2008) 221: 194-206. 105 173 WB, ICC
Synaptotagmins I and IX function redundantly in regulated exocytosis but not endocytosis in PC12 cells.
Lynch KL, Martin TF
Journal of cell science (2007) 120Pt 4: 617-27. 105 173 WB
Identification of secretory granule phosphatidylinositol 4,5-bisphosphate-interacting proteins using an affinity pulldown strategy.
Osborne SL, Wallis TP, Jimenez JL, Gorman JJ, Meunier FA
Molecular & cellular proteomics : MCP (2007) 67: 1158-69. 105 173 WB, ICC
Characterisation of insulin-producing cells differentiated from tonsil derived mesenchymal stem cells.
Kim SY, Kim YR, Park WJ, Kim HS, Jung SC, Woo SY, Jo I, Ryu KH, Park JW
Differentiation; research in biological diversity () 901-3: 27-39. 105 173 WB
Non-canonical function of ADAM10 in presynaptic plasticity.
Bär J, Fanutza T, Reimann CC, Seipold L, Grohe M, Bolter JR, Delfs F, Bucher M, Gee CE, Schweizer M, Saftig P, et al.
Cellular and molecular life sciences : CMLS (2024) 811: 342. 105 173 WB, ICC; tested species: mouse
Deconstructing Synaptotagmin-1's Distinct Roles in Synaptic Vesicle Priming and Neurotransmitter Release.
Bouazza-Arostegui B, Camacho M, Brockmann MM, Zobel S, Rosenmund C
The Journal of neuroscience : the official journal of the Society for Neuroscience (2022) 4214: 2856-2871. 105 173 ICC; tested species: mouse
Synaptotagmin-7 places dense-core vesicles at the cell membrane to promote Munc13-2- and Ca2+-dependent priming.
Tawfik B, Martins JS, Houy S, Imig C, Pinheiro PS, Wojcik SM, Brose N, Cooper BH, Sørensen JB
eLife (2021) 10: . 105 173 WB, ICC; KO verified; tested species: mouse
Synaptotagmin 7 is targeted to the axonal plasma membrane through γ-secretase processing to promote synaptic vesicle docking in mouse hippocampal neurons.
Vevea JD, Kusick GF, Courtney KC, Chen E, Watanabe S, Chapman ER
eLife (2021) 10: . 105 173 WB, ICC; KO verified; tested species: mouse
Synaptotagmin-7-mediated activation of spontaneous NMDAR currents is disrupted in bipolar disorder susceptibility variants.
Wang QW, Wang YH, Wang B, Chen Y, Lu SY, Yao J
PLoS biology (2021) 197: e3001323. 105 173 WB, ICC; KO verified; tested species: mouse
Single synapse glutamate imaging reveals multiple levels of release mode regulation in mammalian synapses.
Farsi Z, Walde M, Klementowicz AE, Paraskevopoulou F, Woehler A
iScience (2021) 241: 101909. 105 173 ICC; tested species: rat
Endophilin-A coordinates priming and fusion of neurosecretory vesicles via intersectin.
Gowrisankaran S, Houy S, Del Castillo JGP, Steubler V, Gelker M, Kroll J, Pinheiro PS, Schwitters D, Halbsgut N, Pechstein A, van Weering JRT, et al.
Nature communications (2020) 111: 1266. 105 173 WB, ICC; tested species: mouse
Synaptotagmin-7 enhances calcium-sensing of chromaffin cell granules and slows discharge of granule cargos.
Bendahmane M, Chapman-Morales A, Kreutzberger AJB, Schenk NA, Mohan R, Bakshi S, Philippe J, Zhang S, Kiessling V, Tamm LK, Giovannucci DR, et al.
Journal of neurochemistry (2020) : e14986. 105 173 WB, ICC; KO verified; tested species: mouse
Synaptotagmin 1 oligomers clamp and regulate different modes of neurotransmitter release.
Tagliatti E, Bello OD, Mendonça PRF, Kotzadimitriou D, Nicholson E, Coleman J, Timofeeva Y, Rothman JE, Krishnakumar SS, Volynski KE
Proceedings of the National Academy of Sciences of the United States of America (2020) : . 105 173 WB, ICC; KD verified; tested species: mouse
Cross-regulation of defective endolysosome trafficking and enhanced autophagy through TFEB in UNC13D deficiency.
Zhang J, He J, Johnson JL, Napolitano G, Ramadass M, Rahman F, Catz SD
Autophagy (2019) : . 105 173 ICC; tested species: mouse
The synaptotagmin C2B domain calcium-binding loops modulate the rate of fusion pore expansion.
Bendahmane M, Bohannon KP, Bradberry MM, Rao TC, Schmidtke MW, Abbineni PS, Chon NL, Tran S, Lin H, Chapman ER, Knight JD, et al.
Molecular biology of the cell (2018) : . 105 173 ICC; tested species: cow
Glyoxal as an alternative fixative to formaldehyde in immunostaining and super-resolution microscopy.
Richter KN, Revelo NH, Seitz KJ, Helm MS, Sarkar D, Saleeb RS, D'Este E, Eberle J, Wagner E, Vogl C, Lazaro DF, et al.
The EMBO journal (2018) 371: 139-159. 105 173 ICC; tested species: mouse
A novel method for culturing stellate astrocytes reveals spatially distinct Ca2+ signaling and vesicle recycling in astrocytic processes.
Wolfes AC, Ahmed S, Awasthi A, Stahlberg MA, Rajput A, Magruder DS, Bonn S, Dean C
The Journal of general physiology (2017) 1491: 149-170. 105 173 WB, ICC
Mutant Huntingtin Is Secreted via a Late Endosomal/Lysosomal Unconventional Secretory Pathway.
Trajkovic K, Jeong H, Krainc D
The Journal of neuroscience : the official journal of the Society for Neuroscience (2017) 3737: 9000-9012. 105 173 WB, ICC; tested species: mouse
Injured astrocytes are repaired by Synaptotagmin XI-regulated lysosome exocytosis.
Sreetama SC, Takano T, Nedergaard M, Simon SM, Jaiswal JK
Cell death and differentiation (2016) 234: 596-607. 105 173 WB, ICC; tested species: mouse
Sex-specific regulation of follicle-stimulating hormone secretion by synaptotagmin 9.
Roper LK, Briguglio JS, Evans CS, Jackson MB, Chapman ER
Nature communications (2015) 6: 8645. 105 173 ICC
Distinct fusion properties of synaptotagmin-1 and synaptotagmin-7 bearing dense core granules.
Rao TC, Passmore DR, Peleman AR, Das M, Chapman ER, Anantharam A
Molecular biology of the cell (2014) 2516: 2416-27. 105 173 ICC; tested species: rat
Composition of isolated synaptic boutons reveals the amounts of vesicle trafficking proteins.
Wilhelm BG, Mandad S, Truckenbrodt S, Kröhnert K, Schäfer C, Rammner B, Koo SJ, Claßen GA, Krauss M, Haucke V, Urlaub H, et al.
Science (New York, N.Y.) (2014) 3446187: 1023-8. 105 173 WB, ICC, IHC; tested species: mouse,rat
Somatodendritic dopamine release requires synaptotagmin 4 and 7 and the participation of voltage-gated calcium channels.
Mendez JA, Bourque MJ, Fasano C, Kortleven C, Trudeau LE
The Journal of biological chemistry (2011) 28627: 23928-37. 105 173 ICC
Synaptotagmin VII splice variants alpha, beta, and delta are expressed in pancreatic beta-cells and regulate insulin exocytosis.
Gauthier BR, Duhamel DL, Iezzi M, Theander S, Saltel F, Fukuda M, Wehrle-Haller B, Wollheim CB
FASEB journal : official publication of the Federation of American Societies for Experimental Biology (2008) 221: 194-206. 105 173 WB, ICC
Impaired insulin secretion and glucose intolerance in synaptotagmin-7 null mutant mice.
Gustavsson N, Lao Y, Maximov A, Chuang JC, Kostromina E, Repa JJ, Li C, Radda GK, Südhof TC, Han W
Proceedings of the National Academy of Sciences of the United States of America (2008) 10510: 3992-7. 105 173 ICC, IHC
Identification of secretory granule phosphatidylinositol 4,5-bisphosphate-interacting proteins using an affinity pulldown strategy.
Osborne SL, Wallis TP, Jimenez JL, Gorman JJ, Meunier FA
Molecular & cellular proteomics : MCP (2007) 67: 1158-69. 105 173 WB, ICC
GABAergic-like dopamine synapses in the brain.
Kim HJ, Hwang B, Reva M, Lee J, Lee BE, Lee Y, Cho EJ, Jeong M, Lee SE, Myung K, Baik JH, et al.
Cell reports (2023) 4210: 113239. 105 173 IHC; tested species: mouse
Synaptotagmins 1 and 7 play complementary roles in somatodendritic dopamine release.
Hikima T, Witkovsky P, Khatri L, Chao M, Rice ME
The Journal of neuroscience : the official journal of the Society for Neuroscience (2022) : . 105 173 WB, IHC; KO verified; tested species: mouse
Implication of synaptotagmins 4 and 7 in activity-dependent somatodendritic dopamine release in the ventral midbrain.
Delignat-Lavaud B, Ducrot C, Kouwenhoven W, Feller N, Trudeau LÉ
Open biology (2022) 123: 210339. 105 173 IHC; KO verified; tested species: mouse
Novel types of frequency filtering in the lateral perforant path projections to dentate gyrus.
Quintanilla J, Jia Y, Lauterborn JC, Pruess BS, Le AA, Cox CD, Gall CM, Lynch G, Gunn BG
The Journal of physiology (2022) : . 105 173 IHC; tested species: mouse
Synaptotagmins 1 and 7 in vesicle release from rods of mouse retina.
Mesnard CS, Hays CL, Barta CL, Sladek AL, Grassmeyer JJ, Hinz KK, Quadros RM, Gurumurthy CB, Thoreson WB
Experimental eye research (2022) 225: 109279. 105 173 WB, IHC; KO verified; tested species: mouse
Introduction of synaptotagmin 7 promotes facilitation at the climbing fiber to Purkinje cell synapse.
Weyrer C, Turecek J, Harrison B, Regehr WG
Cell reports (2021) 3612: 109719. 105 173 IHC; KO verified; tested species: mouse
A High-Resolution Method for Quantitative Molecular Analysis of Functionally Characterized Individual Synapses.
Holderith N, Heredi J, Kis V, Nusser Z
Cell reports (2020) 324: 107968. 105 173 IHC; tested species: rat
Species-specific differences in synaptic transmission and plasticity.
Beed P, Ray S, Velasquez LM, Stumpf A, Parthier D, Swaminathan A, Nitzan N, Breustedt J, Las L, Brecht M, Schmitz D, et al.
Scientific reports (2020) 101: 16557. 105 173 IHC; tested species: mouse
Economic impact of tolvaptan treatment vs. fluid restriction based on real-world data among hospitalized patients with heart failure and hyponatremia.
Dasta JF, Sundar S, Chase S, Lingohr-Smith M, Lin J
Hospital practice (1995) (2018) 464: 197-202. 105 173 WB, IHC; tested species: rat
Presenilin-mediated cleavage of APP regulates synaptotagmin-7 and presynaptic plasticity.
Barthet G, Jordà-Siquier T, Rumi-Masante J, Bernadou F, Müller U, Mulle C
Nature communications (2018) 91: 4780. 105 173 IHC; tested species: mouse
The calcium sensor synaptotagmin 7 is required for synaptic facilitation.
Jackman SL, Turecek J, Belinsky JE, Regehr WG
Nature (2016) 5297584: 88-91. 105 173 IHC; KO verified
Composition of isolated synaptic boutons reveals the amounts of vesicle trafficking proteins.
Wilhelm BG, Mandad S, Truckenbrodt S, Kröhnert K, Schäfer C, Rammner B, Koo SJ, Claßen GA, Krauss M, Haucke V, Urlaub H, et al.
Science (New York, N.Y.) (2014) 3446187: 1023-8. 105 173 WB, ICC, IHC; tested species: mouse,rat
Synaptotagmin-7 as a positive regulator of glucose-induced glucagon-like peptide-1 secretion in mice.
Gustavsson N, Wang Y, Kang Y, Seah T, Chua S, Radda GK, Han W
Diabetologia (2011) 547: 1824-30. 105 173 WB, IHC
Sunday driver interacts with two distinct classes of axonal organelles.
Abe N, Almenar-Queralt A, Lillo C, Shen Z, Lozach J, Briggs SP, Williams DS, Goldstein LS, Cavalli V
The Journal of biological chemistry (2009) 28450: 34628-39. 105 173 WB, IHC
Synaptotagmin-7 is a principal Ca2+ sensor for Ca2+ -induced glucagon exocytosis in pancreas.
Gustavsson N, Wei SH, Hoang DN, Lao Y, Zhang Q, Radda GK, Rorsman P, Südhof TC, Han W
The Journal of physiology (2009) 587Pt 6: 1169-78. 105 173 IHC; KO verified; tested species: mouse
Impaired insulin secretion and glucose intolerance in synaptotagmin-7 null mutant mice.
Gustavsson N, Lao Y, Maximov A, Chuang JC, Kostromina E, Repa JJ, Li C, Radda GK, Südhof TC, Han W
Proceedings of the National Academy of Sciences of the United States of America (2008) 10510: 3992-7. 105 173 ICC, IHC
Cat. No.: 105 173
Amount: 50 µg
Price: $475.00
Non-canonical function of ADAM10 in presynaptic plasticity.
Bär J, Fanutza T, Reimann CC, Seipold L, Grohe M, Bolter JR, Delfs F, Bucher M, Gee CE, Schweizer M, Saftig P, et al.
Cellular and molecular life sciences : CMLS (2024) 811: 342. 105 173 WB, ICC; tested species: mouse
Copine-6 is a Ca2+ sensor for activity-induced AMPA receptor exocytosis.
Tan JZA, Jang SE, Batallas-Borja A, Bhembre N, Chandra M, Zhang L, Guo H, Ringuet MT, Widagdo J, Collins BM, Anggono V, et al.
Cell reports (2023) 4212: 113460. 105 173 WB; tested species: rat
Rab GTPase-regulated phagosome-lysosome fusion is bypassed by micromolar calcium.
Becker J, Schleinitz A, Hermsen C, Rappold S, Saftig P, Jeschke A, Haas A
Journal of cell science (2023) : . 105 173 WB; tested species: mouse
Neurotransmitter release progressively desynchronizes in induced human neurons during synapse maturation and aging.
Uzay B, Houcek A, Ma ZZ, Konradi C, Monteggia LM, Kavalali ET
Cell reports (2023) 422: 112042. 105 173 WB; tested species: human
PACAP and acetylcholine cause distinct Ca2+ signals and secretory responses in chromaffin cells.
Morales A, Mohan R, Chen X, Coffman BL, Bendahmane M, Watch L, West JL, Bakshi S, Traynor JR, Giovannucci DR, Kammermeier PJ, et al.
The Journal of general physiology (2023) 1552: . 105 173 WB; tested species: mouse
Synaptotagmins 1 and 7 in vesicle release from rods of mouse retina.
Mesnard CS, Hays CL, Barta CL, Sladek AL, Grassmeyer JJ, Hinz KK, Quadros RM, Gurumurthy CB, Thoreson WB
Experimental eye research (2022) 225: 109279. 105 173 WB, IHC; KO verified; tested species: mouse
Synaptotagmins 1 and 7 play complementary roles in somatodendritic dopamine release.
Hikima T, Witkovsky P, Khatri L, Chao M, Rice ME
The Journal of neuroscience : the official journal of the Society for Neuroscience (2022) : . 105 173 WB, IHC; KO verified; tested species: mouse
Synaptotagmin-7 places dense-core vesicles at the cell membrane to promote Munc13-2- and Ca2+-dependent priming.
Tawfik B, Martins JS, Houy S, Imig C, Pinheiro PS, Wojcik SM, Brose N, Cooper BH, Sørensen JB
eLife (2021) 10: . 105 173 WB, ICC; KO verified; tested species: mouse
Presynaptic store-operated Ca2+ entry drives excitatory spontaneous neurotransmission and augments endoplasmic reticulum stress.
Chanaday NL, Nosyreva E, Shin OH, Zhang H, Aklan I, Atasoy D, Bezprozvanny I, Kavalali ET
Neuron (2021) 1098: 1314-1332.e5. 105 173 WB; tested species: mouse
Synaptotagmin 7 is targeted to the axonal plasma membrane through γ-secretase processing to promote synaptic vesicle docking in mouse hippocampal neurons.
Vevea JD, Kusick GF, Courtney KC, Chen E, Watanabe S, Chapman ER
eLife (2021) 10: . 105 173 WB, ICC; KO verified; tested species: mouse
Synaptotagmin-7-mediated activation of spontaneous NMDAR currents is disrupted in bipolar disorder susceptibility variants.
Wang QW, Wang YH, Wang B, Chen Y, Lu SY, Yao J
PLoS biology (2021) 197: e3001323. 105 173 WB, ICC; KO verified; tested species: mouse
Synaptotagmin 1 oligomers clamp and regulate different modes of neurotransmitter release.
Tagliatti E, Bello OD, Mendonça PRF, Kotzadimitriou D, Nicholson E, Coleman J, Timofeeva Y, Rothman JE, Krishnakumar SS, Volynski KE
Proceedings of the National Academy of Sciences of the United States of America (2020) : . 105 173 WB, ICC; KD verified; tested species: mouse
Distinct insulin granule subpopulations implicated in the secretory pathology of diabetes types 1 and 2.
Kreutzberger AJB, Kiessling V, Doyle CA, Schenk N, Upchurch CM, Elmer-Dixon M, Ward AE, Preobraschenski J, Hussein SS, Tomaka W, Seelheim P, et al.
eLife (2020) 9: . 105 173 WB; tested species: rat
VAMP4 maintains a Ca2+-sensitive pool of spontaneously recycling synaptic vesicles.
Lin PY, Chanaday NL, Horvath PM, Ramirez DMO, Monteggia LM, Kavalali ET
The Journal of neuroscience : the official journal of the Society for Neuroscience (2020) : . 105 173 WB; tested species: rat
Endophilin-A coordinates priming and fusion of neurosecretory vesicles via intersectin.
Gowrisankaran S, Houy S, Del Castillo JGP, Steubler V, Gelker M, Kroll J, Pinheiro PS, Schwitters D, Halbsgut N, Pechstein A, van Weering JRT, et al.
Nature communications (2020) 111: 1266. 105 173 WB, ICC; tested species: mouse
Synaptotagmin-7 enhances calcium-sensing of chromaffin cell granules and slows discharge of granule cargos.
Bendahmane M, Chapman-Morales A, Kreutzberger AJB, Schenk NA, Mohan R, Bakshi S, Philippe J, Zhang S, Kiessling V, Tamm LK, Giovannucci DR, et al.
Journal of neurochemistry (2020) : e14986. 105 173 WB, ICC; KO verified; tested species: mouse
Synaptotagmin-7 is a key factor for bipolar-like behavioral abnormalities in mice.
Shen W, Wang QW, Liu YN, Marchetto MC, Linker S, Lu SY, Chen Y, Liu C, Guo C, Xing Z, Shi W, et al.
Proceedings of the National Academy of Sciences of the United States of America (2020) : . 105 173 WB; tested species: human
Loss of voltage-gated proton channel Hv1 decreases insulin secretion and leads to hyperglycemia and glucose intolerance in mice.
Pang H, Wang X, Zhao S, Xi W, Lv J, Qin J, Zhao Q, Che Y, Chen L, Li SJ
The Journal of biological chemistry (2020) : . 105 173 WB; tested species: mouse
In vitro fusion of single synaptic and dense core vesicles reproduces key physiological properties.
Kreutzberger AJB, Kiessling V, Stroupe C, Liang B, Preobraschenski J, Ganzella M, Kreutzberger MAB, Nakamoto R, Jahn R, Castle JD, Tamm LK, et al.
Nature communications (2019) 101: 3904. 105 173 WB; tested species: rat
Disabling the Gβγ-SNARE interaction disrupts GPCR-mediated presynaptic inhibition, leading to physiological and behavioral phenotypes.
Zurawski Z, Thompson Gray AD, Brady LJ, Page B, Church E, Harris NA, Dohn MR, Yim YY, Hyde K, Mortlock DP, Jones CK, et al.
Science signaling (2019) 12569: . 105 173 WB; tested species: mouse
Economic impact of tolvaptan treatment vs. fluid restriction based on real-world data among hospitalized patients with heart failure and hyponatremia.
Dasta JF, Sundar S, Chase S, Lingohr-Smith M, Lin J
Hospital practice (1995) (2018) 464: 197-202. 105 173 WB, IHC; tested species: rat
Synaptotagmin oligomerization is essential for calcium control of regulated exocytosis.
Bello OD, Jouannot O, Chaudhuri A, Stroeva E, Coleman J, Volynski KE, Rothman JE, Krishnakumar SS
Proceedings of the National Academy of Sciences of the United States of America (2018) 11532: E7624-E7631. 105 173 WB; tested species: rat
A novel method for culturing stellate astrocytes reveals spatially distinct Ca2+ signaling and vesicle recycling in astrocytic processes.
Wolfes AC, Ahmed S, Awasthi A, Stahlberg MA, Rajput A, Magruder DS, Bonn S, Dean C
The Journal of general physiology (2017) 1491: 149-170. 105 173 WB, ICC
Mutant Huntingtin Is Secreted via a Late Endosomal/Lysosomal Unconventional Secretory Pathway.
Trajkovic K, Jeong H, Krainc D
The Journal of neuroscience : the official journal of the Society for Neuroscience (2017) 3737: 9000-9012. 105 173 WB, ICC; tested species: mouse
Doc2B acts as a calcium sensor for vesicle priming requiring synaptotagmin-1, Munc13-2 and SNAREs.
Houy S, Groffen AJ, Ziomkiewicz I, Verhage M, Pinheiro PS, Sørensen JB
eLife (2017) 6: . 105 173 WB; KO verified; tested species: mouse
Synaptotagmin 7 and SYNCRIP proteins are ubiquitously expressed in the rat brain and co-localize in Purkinje neurons.
Tratnjek L, Živin M, Glavan G
Journal of chemical neuroanatomy (2017) 79: 12-21. 105 173 WB; tested species: rat
Injured astrocytes are repaired by Synaptotagmin XI-regulated lysosome exocytosis.
Sreetama SC, Takano T, Nedergaard M, Simon SM, Jaiswal JK
Cell death and differentiation (2016) 234: 596-607. 105 173 WB, ICC; tested species: mouse
Composition of isolated synaptic boutons reveals the amounts of vesicle trafficking proteins.
Wilhelm BG, Mandad S, Truckenbrodt S, Kröhnert K, Schäfer C, Rammner B, Koo SJ, Claßen GA, Krauss M, Haucke V, Urlaub H, et al.
Science (New York, N.Y.) (2014) 3446187: 1023-8. 105 173 WB, ICC, IHC; tested species: mouse,rat
Reduced insulin secretion correlates with decreased expression of exocytotic genes in pancreatic islets from patients with type 2 diabetes.
Andersson SA, Olsson AH, Esguerra JL, Heimann E, Ladenvall C, Edlund A, Salehi A, Taneera J, Degerman E, Groop L, Ling C, et al.
Molecular and cellular endocrinology (2012) 3641-2: 36-45. 105 173 WB
Synaptotagmin-7 as a positive regulator of glucose-induced glucagon-like peptide-1 secretion in mice.
Gustavsson N, Wang Y, Kang Y, Seah T, Chua S, Radda GK, Han W
Diabetologia (2011) 547: 1824-30. 105 173 WB, IHC
Sunday driver interacts with two distinct classes of axonal organelles.
Abe N, Almenar-Queralt A, Lillo C, Shen Z, Lozach J, Briggs SP, Williams DS, Goldstein LS, Cavalli V
The Journal of biological chemistry (2009) 28450: 34628-39. 105 173 WB, IHC
Synaptotagmin VII splice variants alpha, beta, and delta are expressed in pancreatic beta-cells and regulate insulin exocytosis.
Gauthier BR, Duhamel DL, Iezzi M, Theander S, Saltel F, Fukuda M, Wehrle-Haller B, Wollheim CB
FASEB journal : official publication of the Federation of American Societies for Experimental Biology (2008) 221: 194-206. 105 173 WB, ICC
Synaptotagmins I and IX function redundantly in regulated exocytosis but not endocytosis in PC12 cells.
Lynch KL, Martin TF
Journal of cell science (2007) 120Pt 4: 617-27. 105 173 WB
Identification of secretory granule phosphatidylinositol 4,5-bisphosphate-interacting proteins using an affinity pulldown strategy.
Osborne SL, Wallis TP, Jimenez JL, Gorman JJ, Meunier FA
Molecular & cellular proteomics : MCP (2007) 67: 1158-69. 105 173 WB, ICC
Characterisation of insulin-producing cells differentiated from tonsil derived mesenchymal stem cells.
Kim SY, Kim YR, Park WJ, Kim HS, Jung SC, Woo SY, Jo I, Ryu KH, Park JW
Differentiation; research in biological diversity () 901-3: 27-39. 105 173 WB
Non-canonical function of ADAM10 in presynaptic plasticity.
Bär J, Fanutza T, Reimann CC, Seipold L, Grohe M, Bolter JR, Delfs F, Bucher M, Gee CE, Schweizer M, Saftig P, et al.
Cellular and molecular life sciences : CMLS (2024) 811: 342. 105 173 WB, ICC; tested species: mouse
Deconstructing Synaptotagmin-1's Distinct Roles in Synaptic Vesicle Priming and Neurotransmitter Release.
Bouazza-Arostegui B, Camacho M, Brockmann MM, Zobel S, Rosenmund C
The Journal of neuroscience : the official journal of the Society for Neuroscience (2022) 4214: 2856-2871. 105 173 ICC; tested species: mouse
Synaptotagmin-7 places dense-core vesicles at the cell membrane to promote Munc13-2- and Ca2+-dependent priming.
Tawfik B, Martins JS, Houy S, Imig C, Pinheiro PS, Wojcik SM, Brose N, Cooper BH, Sørensen JB
eLife (2021) 10: . 105 173 WB, ICC; KO verified; tested species: mouse
Synaptotagmin 7 is targeted to the axonal plasma membrane through γ-secretase processing to promote synaptic vesicle docking in mouse hippocampal neurons.
Vevea JD, Kusick GF, Courtney KC, Chen E, Watanabe S, Chapman ER
eLife (2021) 10: . 105 173 WB, ICC; KO verified; tested species: mouse
Synaptotagmin-7-mediated activation of spontaneous NMDAR currents is disrupted in bipolar disorder susceptibility variants.
Wang QW, Wang YH, Wang B, Chen Y, Lu SY, Yao J
PLoS biology (2021) 197: e3001323. 105 173 WB, ICC; KO verified; tested species: mouse
Single synapse glutamate imaging reveals multiple levels of release mode regulation in mammalian synapses.
Farsi Z, Walde M, Klementowicz AE, Paraskevopoulou F, Woehler A
iScience (2021) 241: 101909. 105 173 ICC; tested species: rat
Endophilin-A coordinates priming and fusion of neurosecretory vesicles via intersectin.
Gowrisankaran S, Houy S, Del Castillo JGP, Steubler V, Gelker M, Kroll J, Pinheiro PS, Schwitters D, Halbsgut N, Pechstein A, van Weering JRT, et al.
Nature communications (2020) 111: 1266. 105 173 WB, ICC; tested species: mouse
Synaptotagmin-7 enhances calcium-sensing of chromaffin cell granules and slows discharge of granule cargos.
Bendahmane M, Chapman-Morales A, Kreutzberger AJB, Schenk NA, Mohan R, Bakshi S, Philippe J, Zhang S, Kiessling V, Tamm LK, Giovannucci DR, et al.
Journal of neurochemistry (2020) : e14986. 105 173 WB, ICC; KO verified; tested species: mouse
Synaptotagmin 1 oligomers clamp and regulate different modes of neurotransmitter release.
Tagliatti E, Bello OD, Mendonça PRF, Kotzadimitriou D, Nicholson E, Coleman J, Timofeeva Y, Rothman JE, Krishnakumar SS, Volynski KE
Proceedings of the National Academy of Sciences of the United States of America (2020) : . 105 173 WB, ICC; KD verified; tested species: mouse
Cross-regulation of defective endolysosome trafficking and enhanced autophagy through TFEB in UNC13D deficiency.
Zhang J, He J, Johnson JL, Napolitano G, Ramadass M, Rahman F, Catz SD
Autophagy (2019) : . 105 173 ICC; tested species: mouse
The synaptotagmin C2B domain calcium-binding loops modulate the rate of fusion pore expansion.
Bendahmane M, Bohannon KP, Bradberry MM, Rao TC, Schmidtke MW, Abbineni PS, Chon NL, Tran S, Lin H, Chapman ER, Knight JD, et al.
Molecular biology of the cell (2018) : . 105 173 ICC; tested species: cow
Glyoxal as an alternative fixative to formaldehyde in immunostaining and super-resolution microscopy.
Richter KN, Revelo NH, Seitz KJ, Helm MS, Sarkar D, Saleeb RS, D'Este E, Eberle J, Wagner E, Vogl C, Lazaro DF, et al.
The EMBO journal (2018) 371: 139-159. 105 173 ICC; tested species: mouse
A novel method for culturing stellate astrocytes reveals spatially distinct Ca2+ signaling and vesicle recycling in astrocytic processes.
Wolfes AC, Ahmed S, Awasthi A, Stahlberg MA, Rajput A, Magruder DS, Bonn S, Dean C
The Journal of general physiology (2017) 1491: 149-170. 105 173 WB, ICC
Mutant Huntingtin Is Secreted via a Late Endosomal/Lysosomal Unconventional Secretory Pathway.
Trajkovic K, Jeong H, Krainc D
The Journal of neuroscience : the official journal of the Society for Neuroscience (2017) 3737: 9000-9012. 105 173 WB, ICC; tested species: mouse
Injured astrocytes are repaired by Synaptotagmin XI-regulated lysosome exocytosis.
Sreetama SC, Takano T, Nedergaard M, Simon SM, Jaiswal JK
Cell death and differentiation (2016) 234: 596-607. 105 173 WB, ICC; tested species: mouse
Sex-specific regulation of follicle-stimulating hormone secretion by synaptotagmin 9.
Roper LK, Briguglio JS, Evans CS, Jackson MB, Chapman ER
Nature communications (2015) 6: 8645. 105 173 ICC
Distinct fusion properties of synaptotagmin-1 and synaptotagmin-7 bearing dense core granules.
Rao TC, Passmore DR, Peleman AR, Das M, Chapman ER, Anantharam A
Molecular biology of the cell (2014) 2516: 2416-27. 105 173 ICC; tested species: rat
Composition of isolated synaptic boutons reveals the amounts of vesicle trafficking proteins.
Wilhelm BG, Mandad S, Truckenbrodt S, Kröhnert K, Schäfer C, Rammner B, Koo SJ, Claßen GA, Krauss M, Haucke V, Urlaub H, et al.
Science (New York, N.Y.) (2014) 3446187: 1023-8. 105 173 WB, ICC, IHC; tested species: mouse,rat
Somatodendritic dopamine release requires synaptotagmin 4 and 7 and the participation of voltage-gated calcium channels.
Mendez JA, Bourque MJ, Fasano C, Kortleven C, Trudeau LE
The Journal of biological chemistry (2011) 28627: 23928-37. 105 173 ICC
Synaptotagmin VII splice variants alpha, beta, and delta are expressed in pancreatic beta-cells and regulate insulin exocytosis.
Gauthier BR, Duhamel DL, Iezzi M, Theander S, Saltel F, Fukuda M, Wehrle-Haller B, Wollheim CB
FASEB journal : official publication of the Federation of American Societies for Experimental Biology (2008) 221: 194-206. 105 173 WB, ICC
Impaired insulin secretion and glucose intolerance in synaptotagmin-7 null mutant mice.
Gustavsson N, Lao Y, Maximov A, Chuang JC, Kostromina E, Repa JJ, Li C, Radda GK, Südhof TC, Han W
Proceedings of the National Academy of Sciences of the United States of America (2008) 10510: 3992-7. 105 173 ICC, IHC
Identification of secretory granule phosphatidylinositol 4,5-bisphosphate-interacting proteins using an affinity pulldown strategy.
Osborne SL, Wallis TP, Jimenez JL, Gorman JJ, Meunier FA
Molecular & cellular proteomics : MCP (2007) 67: 1158-69. 105 173 WB, ICC
GABAergic-like dopamine synapses in the brain.
Kim HJ, Hwang B, Reva M, Lee J, Lee BE, Lee Y, Cho EJ, Jeong M, Lee SE, Myung K, Baik JH, et al.
Cell reports (2023) 4210: 113239. 105 173 IHC; tested species: mouse
Synaptotagmins 1 and 7 play complementary roles in somatodendritic dopamine release.
Hikima T, Witkovsky P, Khatri L, Chao M, Rice ME
The Journal of neuroscience : the official journal of the Society for Neuroscience (2022) : . 105 173 WB, IHC; KO verified; tested species: mouse
Implication of synaptotagmins 4 and 7 in activity-dependent somatodendritic dopamine release in the ventral midbrain.
Delignat-Lavaud B, Ducrot C, Kouwenhoven W, Feller N, Trudeau LÉ
Open biology (2022) 123: 210339. 105 173 IHC; KO verified; tested species: mouse
Novel types of frequency filtering in the lateral perforant path projections to dentate gyrus.
Quintanilla J, Jia Y, Lauterborn JC, Pruess BS, Le AA, Cox CD, Gall CM, Lynch G, Gunn BG
The Journal of physiology (2022) : . 105 173 IHC; tested species: mouse
Synaptotagmins 1 and 7 in vesicle release from rods of mouse retina.
Mesnard CS, Hays CL, Barta CL, Sladek AL, Grassmeyer JJ, Hinz KK, Quadros RM, Gurumurthy CB, Thoreson WB
Experimental eye research (2022) 225: 109279. 105 173 WB, IHC; KO verified; tested species: mouse
Introduction of synaptotagmin 7 promotes facilitation at the climbing fiber to Purkinje cell synapse.
Weyrer C, Turecek J, Harrison B, Regehr WG
Cell reports (2021) 3612: 109719. 105 173 IHC; KO verified; tested species: mouse
A High-Resolution Method for Quantitative Molecular Analysis of Functionally Characterized Individual Synapses.
Holderith N, Heredi J, Kis V, Nusser Z
Cell reports (2020) 324: 107968. 105 173 IHC; tested species: rat
Species-specific differences in synaptic transmission and plasticity.
Beed P, Ray S, Velasquez LM, Stumpf A, Parthier D, Swaminathan A, Nitzan N, Breustedt J, Las L, Brecht M, Schmitz D, et al.
Scientific reports (2020) 101: 16557. 105 173 IHC; tested species: mouse
Economic impact of tolvaptan treatment vs. fluid restriction based on real-world data among hospitalized patients with heart failure and hyponatremia.
Dasta JF, Sundar S, Chase S, Lingohr-Smith M, Lin J
Hospital practice (1995) (2018) 464: 197-202. 105 173 WB, IHC; tested species: rat
Presenilin-mediated cleavage of APP regulates synaptotagmin-7 and presynaptic plasticity.
Barthet G, Jordà-Siquier T, Rumi-Masante J, Bernadou F, Müller U, Mulle C
Nature communications (2018) 91: 4780. 105 173 IHC; tested species: mouse
The calcium sensor synaptotagmin 7 is required for synaptic facilitation.
Jackman SL, Turecek J, Belinsky JE, Regehr WG
Nature (2016) 5297584: 88-91. 105 173 IHC; KO verified
Composition of isolated synaptic boutons reveals the amounts of vesicle trafficking proteins.
Wilhelm BG, Mandad S, Truckenbrodt S, Kröhnert K, Schäfer C, Rammner B, Koo SJ, Claßen GA, Krauss M, Haucke V, Urlaub H, et al.
Science (New York, N.Y.) (2014) 3446187: 1023-8. 105 173 WB, ICC, IHC; tested species: mouse,rat
Synaptotagmin-7 as a positive regulator of glucose-induced glucagon-like peptide-1 secretion in mice.
Gustavsson N, Wang Y, Kang Y, Seah T, Chua S, Radda GK, Han W
Diabetologia (2011) 547: 1824-30. 105 173 WB, IHC
Sunday driver interacts with two distinct classes of axonal organelles.
Abe N, Almenar-Queralt A, Lillo C, Shen Z, Lozach J, Briggs SP, Williams DS, Goldstein LS, Cavalli V
The Journal of biological chemistry (2009) 28450: 34628-39. 105 173 WB, IHC
Synaptotagmin-7 is a principal Ca2+ sensor for Ca2+ -induced glucagon exocytosis in pancreas.
Gustavsson N, Wei SH, Hoang DN, Lao Y, Zhang Q, Radda GK, Rorsman P, Südhof TC, Han W
The Journal of physiology (2009) 587Pt 6: 1169-78. 105 173 IHC; KO verified; tested species: mouse
Impaired insulin secretion and glucose intolerance in synaptotagmin-7 null mutant mice.
Gustavsson N, Lao Y, Maximov A, Chuang JC, Kostromina E, Repa JJ, Li C, Radda GK, Südhof TC, Han W
Proceedings of the National Academy of Sciences of the United States of America (2008) 10510: 3992-7. 105 173 ICC, IHC
Background

Synaptotagmin7 is a proposed regulator of Ca2+ dependent exocytosis like neurotransmitter release. It occurs in several splicing variants which are expressed in a developmentally regulated pattern in brain. The distinct roles for the alternative splicing isoforms have not yet been determined.
Synaptotagmin7 shows Ca2+ dependent oligomerization via its own C2 domains leading to the formation of large linear structures which reside at the fusion site of vesicles and plasma membrane. These oligomers may be involved in the modulation of Ca2+ dependent exocytosis by opening or dilating fusion pores.

 

For more information on protein expression pattern, please refer to the overview image in our SYSY Antibodies ATLAS.

Certificates

ISO 9001 2015 Quality Management System and Green Lab Platinum certification level for sustaining laboratory processes.

Newsletter

Sign up for our newsletter and get the latest updates and news.
 

Please provide a valid E-Mail-Address
Please provide a valid First name
Please provide a valid Last name