Tailor-made Antibodies
and Tools for Life Science
Home | | | | | Technical Support

Synaptotagmin1 (p65) antibody cytoplasmic tail - 105 008 K.O.

Synaptotagmin1 is a Ca2+-sensor on synaptic vesicles that triggers neurotransmitter release
Rabbit monoclonal recombinant IgG
Cat. No.: 105 008
Amount: 50 µg
Price: $420.00
Cat. No. 105 008 50 µg purified recombinant IgG, lyophilized. Albumin and azide were added for stabilization. For reconstitution add 50 µl H2O to get a 1mg/ml solution in PBS. Then aliquot and store at -20°C to -80°C until use.
Antibodies should be stored at +4°C when still lyophilized. Do not freeze!
Applications
 
WB: 1 : 1000 up to 1 : 5000 (AP staining) (see remarks) gallery  
IP: yes
ICC: 1 : 1000 gallery  
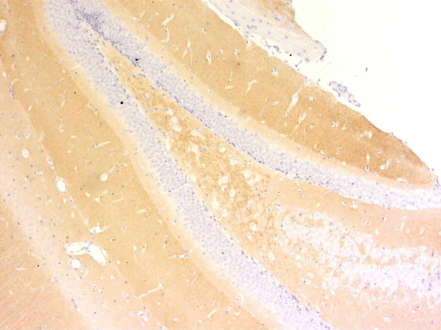
IHC: 1 : 500 gallery  
IHC-P: 1 : 100 up to 1 : 1000 gallery  

Western blot (WB); separation of proteins by PAGE and subsequent transfer to a membrane. Detection of target molecules is carried out with antibodies. Some antibodies require special sample preparation steps. For details, please refer to the “Remarks” section.

Immunoprecipitation (IP); Immunoisolation or pulldown of a target molecule using an antibody. For details and product specific hints, please refer to the ”Remarks” section.

Immunocytochemistry (ICC) on 4% PFA fixed cells. Immunoreactivity is usually revealed by fluorescence. Some antibodies require special fixation methods. For details, please refer to the “Remarks” section.

Immunohistochemistry (IHC) on 4% PFA perfusion fixed tissue with 24h PFA post fixation. Immunoreactivity is usually revealed by fluorescence or a chromogenic substrate. Some antibodies require special fixation methods or antigen retrieval steps. For details, please refer to the ”Remarks” section.

Immunohistochemistry (IHC-P) of formalin fixed, paraffin embedded (FFPE) tissue (some antibodies require special antigen retrieval steps, please refer to the ”Remarks” section). Immunoreactivity is usually revealed by fluorescence or a chromogenic substrate.

Clone Rb41.1
Subtype IgG1 (κ light chain)
Immunogen Recombinant protein corresponding to AA 80 to 421 from rat Synaptotagmin1 (UniProt Id: P21707)
Epitop AA 150 to 240 from rat Synaptotagmin1 (UniProt Id: P21707)
Reactivity Reacts with: rat (P21707), mouse (P46096), human (P21579), mammals, zebrafish.
Other species not tested yet.
Specificity K.O. validated
Remarks

This antibody is a chimeric antibody based on the well known monoclonal mouse antibody clone 41.1. The constant regions of the heavy and light chains have been replaced by rabbit specific sequences. Therefore, the antibody can be used with standard anti-rabbit secondary reagents. The antibody has been expressed in mammalian cells.
Since synaptotagmin 1 is unevenly expressed in neuronal subpopulations and may, in fact, be missing from some, it is not well suited as a general marker for synapses.
WB: To avoid protein aggregation, do not heat samples for SDS-PAGE.

Data sheet Datasheet 105_008

References for Synaptotagmin1 - 105 008

Analysis of the neuromuscular deficits caused by STAM1 deficiency.
McLean JW, VanHart M, McWilliams MP, Farmer CB, Crossman DK, Cowell RM, Wilson JA, Wilson SM
Current research in neurobiology (2024) 7: 100138. 105 008 WB; tested species: mouse
LAMP1 and LAMP2A localise to axonal organelles with distinct motility dynamics and partially overlapping molecular signatures in human neurons.
Abouward R, Abdelhafid AM, Wilkins OG, Lee SY, Ibrahim F, Skehel M, Ting A, Birsa N, Ule J, Schiavo G
Journal of cell science (2026) 1393: . 105 008 ICC; tested species: human
A correlative workflow for synaptic imaging by cryo-electron tomography.
Do TT, Siegert A, Domart F, Hahn F, Zeising C, Muth S, Pape C, Kusch K, Dresbach T, Rizzoli SO, Petrovic A, et al.
Structure (London, England : 1993) (2026) : . 105 008 ICC; tested species: rat
Cognitive decline and neuroinflammation in a mouse model of obesity: An accelerating role of ageing.
Rajput M, Malik IA, Methi A, Cortés Silva JA, Fey D, Wirths O, Fischer A, Wilting J, von Arnim CAF
Brain, behavior, and immunity (2024) : . 105 008 IHC; tested species: mouse
Simple and Highly Efficient Detection of PSD95 Using a Nanobody and Its Recombinant Heavy-Chain Antibody Derivatives.
Kilisch M, Gere-Becker M, Wüstefeld L, Bonnas C, Crauel A, Mechmershausen M, Martens H, Götzke H, Opazo F, Frey S
International journal of molecular sciences (2023) 248: . 105 008 IHC; tested species: mouse,rat
Cat. No.: 105 008
Amount: 50 µg
Price: $420.00
Analysis of the neuromuscular deficits caused by STAM1 deficiency.
McLean JW, VanHart M, McWilliams MP, Farmer CB, Crossman DK, Cowell RM, Wilson JA, Wilson SM
Current research in neurobiology (2024) 7: 100138. 105 008 WB; tested species: mouse
LAMP1 and LAMP2A localise to axonal organelles with distinct motility dynamics and partially overlapping molecular signatures in human neurons.
Abouward R, Abdelhafid AM, Wilkins OG, Lee SY, Ibrahim F, Skehel M, Ting A, Birsa N, Ule J, Schiavo G
Journal of cell science (2026) 1393: . 105 008 ICC; tested species: human
A correlative workflow for synaptic imaging by cryo-electron tomography.
Do TT, Siegert A, Domart F, Hahn F, Zeising C, Muth S, Pape C, Kusch K, Dresbach T, Rizzoli SO, Petrovic A, et al.
Structure (London, England : 1993) (2026) : . 105 008 ICC; tested species: rat
Cognitive decline and neuroinflammation in a mouse model of obesity: An accelerating role of ageing.
Rajput M, Malik IA, Methi A, Cortés Silva JA, Fey D, Wirths O, Fischer A, Wilting J, von Arnim CAF
Brain, behavior, and immunity (2024) : . 105 008 IHC; tested species: mouse
Simple and Highly Efficient Detection of PSD95 Using a Nanobody and Its Recombinant Heavy-Chain Antibody Derivatives.
Kilisch M, Gere-Becker M, Wüstefeld L, Bonnas C, Crauel A, Mechmershausen M, Martens H, Götzke H, Opazo F, Frey S
International journal of molecular sciences (2023) 248: . 105 008 IHC; tested species: mouse,rat
Background

Synaptotagmin1, also known as p65, is an integral membrane glycoprotein of neuronal synaptic vesicles and secretory granules of neuroendocrine cells that is widely (but not ubiquitously) expressed in the central and peripheral nervous system. It has a variable N-terminal domain that is exposed to the lumen of the vesicle and a conserved cytoplasmic tail that contains two Ca2+-binding C2-domains.
Ca2+-binding to synaptotagmin triggers exocytosis of synaptic vesicles, thus linking Ca2+-influx during depolarization to neurotransmitter release.
Lumenal antibodies were used in living neurons to label synaptic vesicles from the outside via endocytotic uptake.

 

For more information on protein expression pattern, please refer to the overview image in our SYSY Antibodies ATLAS.

Certificates

ISO 9001 2015 Quality Management System and Green Lab Platinum certification level for sustaining laboratory processes.

Newsletter

Sign up for our newsletter and get the latest updates and news.
 

Please provide a valid E-Mail-Address
Please provide a valid First name
Please provide a valid Last name