Tailor-made Antibodies
and Tools for Life Science
Home | | | | | Technical Support

Cellubrevin (VAMP3) antibody - 104 103 K.O.

Cellubrevin also known as VAMP3 is a major vesicle protein involved in fusion
Rabbit polyclonal purified antibody
Cat. No.: 104 103
Amount: 50 µg
Price: $460.00
Cat. No. 104 103 50 µg specific antibody, lyophilized. Affinity purified with the immunogen. Albumin and azide were added for stabilization. For reconstitution add 50 µl H2O to get a 1mg/ml solution in PBS. Then aliquot and store at -20°C to -80°C until use.
Antibodies should be stored at +4°C when still lyophilized. Do not freeze!
Applications
 
WB: 1 : 1000 up to 1 : 5000 (AP staining) gallery  
IP: yes
ICC: 1 : 500
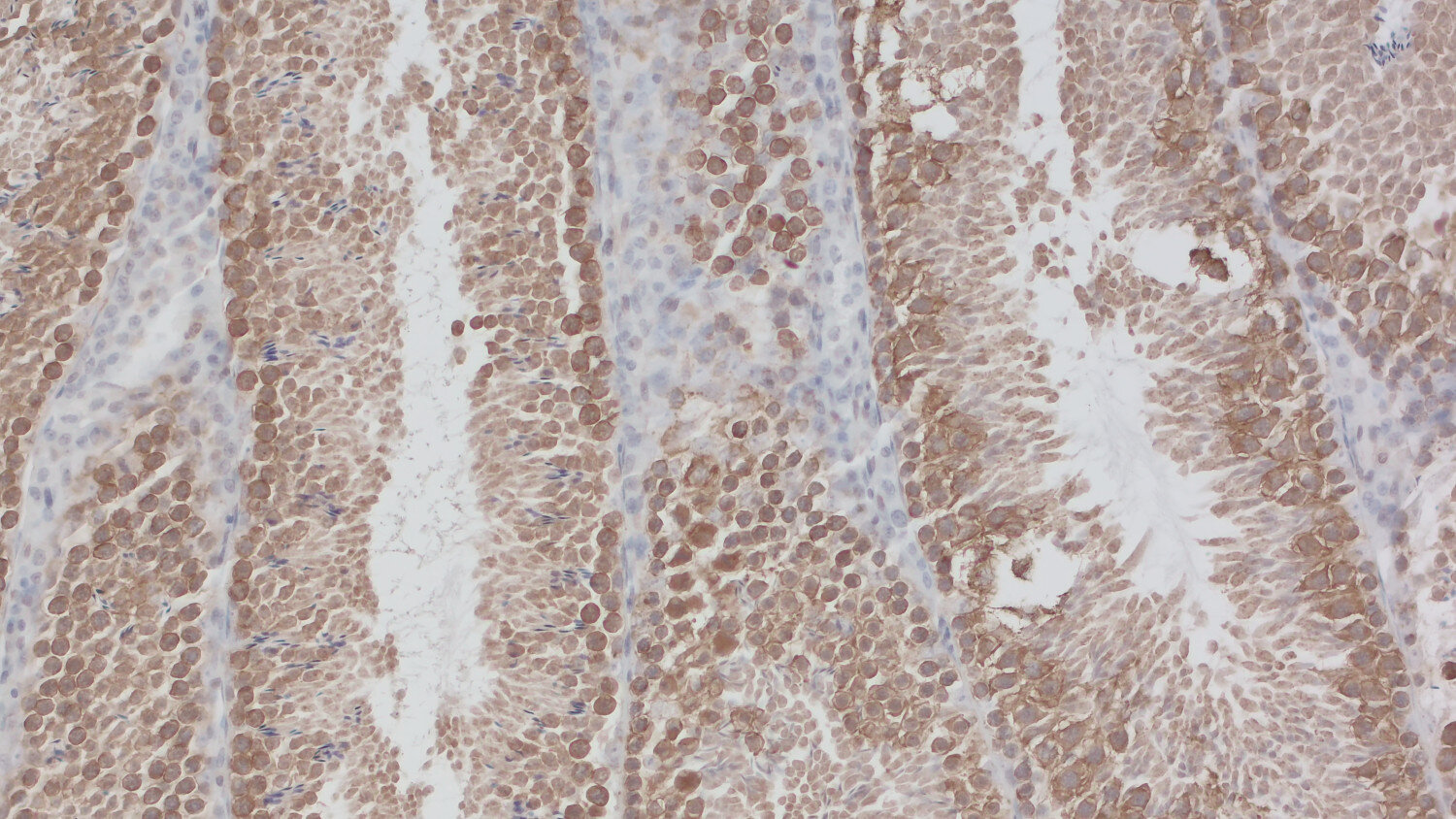
IHC: 1 : 500 gallery  
IHC-P (FFPE): 1 : 200 up to 1 : 1000 gallery  
EM: external data (see remarks)

Western blot (WB); separation of proteins by PAGE and subsequent transfer to a membrane. Detection of target molecules is carried out with antibodies. Some antibodies require special sample preparation steps. For details, please refer to the “Remarks” section.

Immunoprecipitation (IP); Immunoisolation or pulldown of a target molecule using an antibody. For details and product specific hints, please refer to the ”Remarks” section.

Immunocytochemistry (ICC) on 4% PFA fixed cells. Immunoreactivity is usually revealed by fluorescence. Some antibodies require special fixation methods. For details, please refer to the “Remarks” section.

Immunohistochemistry (IHC) on 4% PFA perfusion fixed tissue with 24h PFA post fixation. Immunoreactivity is usually revealed by fluorescence or a chromogenic substrate. Some antibodies require special fixation methods or antigen retrieval steps. For details, please refer to the ”Remarks” section.

Immunohistochemistry (IHC-P) of formalin fixed, paraffin embedded (FFPE) tissue (some antibodies require special antigen retrieval steps, please refer to the ”Remarks” section). Immunoreactivity is usually revealed by fluorescence or a chromogenic substrate.

Electron microscopy (EM) is a microscopy technique that detects the scatter of electrons through thin tissue sections. In Immuno-EM the antigen is usually revealed by colloidal gold conjugated secondary antibodies linking electron dense structures to antigen-bound primary antibodies.

Immunogen Synthetic peptide corresponding to AA 2 to 14 from rat Cellubrevin (UniProt Id: P63025)
Reactivity Reacts with: rat (P63025), mouse (P63024), pig, human.
No signal: zebrafish.
Other species not tested yet.
Specificity K.O. validated PubMed: 25864578
Matching control protein/peptide 104-1P
Remarks

EM: This antibody has been successfully applied and published for this method by customers (see application-specific references).

Data sheet Datasheet 104_103

References for Cellubrevin - 104 103

The trans-SNARE complex VAMP4/Stx6/Stx7/Vti1b is a key regulator of Golgi to late endosome MT1-MMP transport in macrophages.
West ZE, Aitcheson SM, Semmler ABT, Murray RZ
Traffic (Copenhagen, Denmark) (2021) 2211: 368-376. 104 103 WB; tested species: mouse
Microglia modulate gliotransmission through the regulation of VAMP2 proteins in astrocytes.
Takata-Tsuji F, Chounlamountri N, Do LD, Philippot C, Novion Ducassou J, Couté Y, Ben Achour S, Honnorat J, Place C, Pascual O
Glia (2021) 691: 61-72. 104 103 WB; tested species: mouse
VAMPs sensitive to tetanus toxin are required for cortical granule exocytosis in mouse oocytes.
de Paola M, Garrido F, Zanetti MN, Michaut MA
Experimental cell research (2021) 4051: 112629. 104 103 WB, ICC; tested species: mouse
Tracking Calcium Dynamics and Immune Surveillance at the Choroid Plexus Blood-Cerebrospinal Fluid Interface.
Shipley FB, Dani N, Xu H, Deister C, Cui J, Head JP, Sadegh C, Fame RM, Shannon ML, Flores VI, Kishkovich T, et al.
Neuron (2020) 1084: 623-639.e10. 104 103 WB, IHC; tested species: mouse
Characterisation of GLUT4 trafficking in HeLa cells: comparable kinetics and orthologous trafficking mechanisms to 3T3-L1 adipocytes.
Morris S, Geoghegan ND, Sadler JBA, Koester AM, Black HL, Laub M, Miller L, Heffernan L, Simpson JC, Mastick CC, Cooper J, et al.
PeerJ (2020) 8: e8751. 104 103 WB; tested species: mouse
Cardiac SNARE Expression in Health and Disease.
Bowman PRT, Smith GL, Gould GW
Frontiers in endocrinology (2019) 10: 881. 104 103 WB; tested species: mouse
Invasion by activated macrophages requires delivery of nascent MT1-MMP through late endosomes/lysosomes to the cell surface.
Röhl J, West ZE, Rudolph M, Zaharia A, Van Lonkhuyzen D, Hickey DK, Semmler ABT, Murray RZ
Traffic (Copenhagen, Denmark) (2019) : . 104 103 WB; KD verified; tested species: mouse
Synaptotagmin-11 inhibits cytokine secretion and phagocytosis in microglia.
Du C, Wang Y, Zhang F, Yan S, Guan Y, Gong X, Zhang T, Cui X, Wang X, Zhang CX
Glia (2017) 6510: 1656-1667. 104 103 WB, ICC; tested species: mouse
Annexin A6 and Late Endosomal Cholesterol Modulate Integrin Recycling and Cell Migration.
García-Melero A, Reverter M, Hoque M, Meneses-Salas E, Koese M, Conway JR, Johnsen CH, Alvarez-Guaita A, Morales-Paytuvi F, Elmaghrabi YA, Pol A, et al.
The Journal of biological chemistry (2016) 2913: 1320-35. 104 103 WB, ICC
Characterization of VAMP isoforms in 3T3-L1 adipocytes: implications for GLUT4 trafficking.
Sadler JB, Bryant NJ, Gould GW
Molecular biology of the cell (2015) 263: 530-6. 104 103 WB
Vesicular transport system in myotubes: ultrastructural study and signposting with vesicle-associated membrane proteins.
Tajika Y, Takahashi M, Khairani AF, Ueno H, Murakami T, Yorifuji H
Histochemistry and cell biology (2014) 1414: 441-54. 104 103 WB, ICC; tested species: mouse
Sorting of GLUT4 into its insulin-sensitive store requires the Sec1/Munc18 protein mVps45.
Roccisana J, Sadler JB, Bryant NJ, Gould GW
Molecular biology of the cell (2013) 2415: 2389-97. 104 103 WB
Vesicle-associated membrane protein-2 (VAMP2) mediates cAMP-stimulated renin release in mouse juxtaglomerular cells.
Mendez M, Gross KW, Glenn ST, Garvin JL, Carretero OA
The Journal of biological chemistry (2011) 28632: 28608-18. 104 103 WB, ICC
Transport of the major myelin proteolipid protein is directed by VAMP3 and VAMP7.
Feldmann A, Amphornrat J, Schönherr M, Winterstein C, Möbius W, Ruhwedel T, Danglot L, Nave KA, Galli T, Bruns D, Trotter J, et al.
The Journal of neuroscience : the official journal of the Society for Neuroscience (2011) 3115: 5659-72. 104 103 WB, ICC, EM
Syntaxin 11 binds Vti1b and regulates late endosome to lysosome fusion in macrophages.
Offenhäuser C, Lei N, Roy S, Collins BM, Stow JL, Murray RZ
Traffic (Copenhagen, Denmark) (2011) 126: 762-73. 104 103 WB
How pig sperm prepares to fertilize: stable acrosome docking to the plasma membrane.
Tsai PS, Garcia-Gil N, van Haeften T, Gadella BM
PloS one (2010) 56: e11204. 104 103 WB, IP; tested species: pig
Molecular anatomy of the hair cell's ribbon synapse.
Uthaiah RC, Hudspeth AJ
The Journal of neuroscience : the official journal of the Society for Neuroscience (2010) 3037: 12387-99. 104 103 WB
Sunday driver interacts with two distinct classes of axonal organelles.
Abe N, Almenar-Queralt A, Lillo C, Shen Z, Lozach J, Briggs SP, Williams DS, Goldstein LS, Cavalli V
The Journal of biological chemistry (2009) 28450: 34628-39. 104 103 WB, IP, IHC
VAMP-8 segregates mast cell-preformed mediator exocytosis from cytokine trafficking pathways.
Tiwari N, Wang CC, Brochetta C, Ke G, Vita F, Qi Z, Rivera J, Soranzo MR, Zabucchi G, Hong W, Blank U, et al.
Blood (2008) 1117: 3665-74. 104 103 WB
Vesicle-associated membrane protein-8/endobrevin negatively regulates phagocytosis of bacteria in dendritic cells.
Ho YH, Cai DT, Wang CC, Huang D, Wong SH
Journal of immunology (Baltimore, Md. : 1950) (2008) 1805: 3148-57. 104 103 WB, ICC
How pig sperm prepares to fertilize: stable acrosome docking to the plasma membrane.
Tsai PS, Garcia-Gil N, van Haeften T, Gadella BM
PloS one (2010) 56: e11204. 104 103 WB, IP; tested species: pig
Sunday driver interacts with two distinct classes of axonal organelles.
Abe N, Almenar-Queralt A, Lillo C, Shen Z, Lozach J, Briggs SP, Williams DS, Goldstein LS, Cavalli V
The Journal of biological chemistry (2009) 28450: 34628-39. 104 103 WB, IP, IHC
Picalm coordinates clathrin-mediated endocytosis and actin remodeling during myogenesis.
Gaugel J, Haacke N, Kuropka B, Jähnert M, Rominger J, Jonas W, Speckmann T, Rausch N, Kleinert M, Weigert C, Garcia-Carrizo F, et al.
Molecular metabolism (2026) 107: 102351. 104 103 ICC; tested species: mouse
Oligodendrocyte-lineage cell exocytosis and L-type prostaglandin D synthase promote oligodendrocyte development and myelination.
Pan L, Trimarco A, Zhang AJ, Fujimori K, Urade Y, Sun LO, Taveggia C, Zhang Y
eLife (2023) 12: . 104 103 ICC; tested species: mouse
VAMPs sensitive to tetanus toxin are required for cortical granule exocytosis in mouse oocytes.
de Paola M, Garrido F, Zanetti MN, Michaut MA
Experimental cell research (2021) 4051: 112629. 104 103 WB, ICC; tested species: mouse
Synergistic actions of v-SNARE transmembrane domains and membrane-curvature modifying lipids in neurotransmitter release.
Dhara M, Mantero Martinez M, Makke M, Schwarz Y, Mohrmann R, Bruns D
eLife (2020) 9: . 104 103 ICC; tested species: mouse
β1-integrin- and KV1.3 channel-dependent signaling stimulates glutamate release from Th17 cells.
Birkner K, Wasser B, Ruck T, Thalman C, Luchtman D, Pape K, Schmaul S, Bitar L, Krämer-Albers EM, Stroh A, Meuth SG, et al.
The Journal of clinical investigation (2019) : . 104 103 ICC; tested species: mouse
The host cell secretory pathway mediates the export of Leishmania virulence factors out of the parasitophorous vacuole.
Arango Duque G, Jardim A, Gagnon É, Fukuda M, Descoteaux A
PLoS pathogens (2019) 157: e1007982. 104 103 ICC; tested species: mouse
The interaction between IKKα and LC3 promotes type I interferon production through the TLR9-containing LAPosome.
Hayashi K, Taura M, Iwasaki A
Science signaling (2018) 11528: . 104 103 ICC; tested species: mouse
Synaptotagmin-11 inhibits cytokine secretion and phagocytosis in microglia.
Du C, Wang Y, Zhang F, Yan S, Guan Y, Gong X, Zhang T, Cui X, Wang X, Zhang CX
Glia (2017) 6510: 1656-1667. 104 103 WB, ICC; tested species: mouse
Annexin A6 and Late Endosomal Cholesterol Modulate Integrin Recycling and Cell Migration.
García-Melero A, Reverter M, Hoque M, Meneses-Salas E, Koese M, Conway JR, Johnsen CH, Alvarez-Guaita A, Morales-Paytuvi F, Elmaghrabi YA, Pol A, et al.
The Journal of biological chemistry (2016) 2913: 1320-35. 104 103 WB, ICC
Transcriptional expression of myelin basic protein in oligodendrocytes depends on functional syntaxin 4: a potential correlation with autocrine signaling.
Bijlard M, Klunder B, de Jonge JC, Nomden A, Tyagi S, de Vries H, Hoekstra D, Baron W
Molecular and cellular biology (2015) 354: 675-87. 104 103 ICC
Astrocyte VAMP3 vesicles undergo Ca2+ -independent cycling and modulate glutamate transporter trafficking.
Li D, Hérault K, Zylbersztejn K, Lauterbach MA, Guillon M, Oheim M, Ropert N
The Journal of physiology (2015) 59313: 2807-32. 104 103 ICC; KO verified
Toll-like receptor 9 trafficking and signaling for type I interferons requires PIKfyve activity.
Hayashi K, Sasai M, Iwasaki A
International immunology (2015) 279: 435-45. 104 103 ICC
Vesicular transport system in myotubes: ultrastructural study and signposting with vesicle-associated membrane proteins.
Tajika Y, Takahashi M, Khairani AF, Ueno H, Murakami T, Yorifuji H
Histochemistry and cell biology (2014) 1414: 441-54. 104 103 WB, ICC; tested species: mouse
Goliath family E3 ligases regulate the recycling endosome pathway via VAMP3 ubiquitylation.
Yamazaki Y, Schönherr C, Varshney GK, Dogru M, Hallberg B, Palmer RH
The EMBO journal (2013) 324: 524-37. 104 103 ICC; tested species: human
SNARE protein expression and localization in human cytotoxic T lymphocytes.
Pattu V, Qu B, Schwarz EC, Strauss B, Weins L, Bhat SS, Halimani M, Marshall M, Rettig J, Hoth M
European journal of immunology (2012) 422: 470-5. 104 103 ICC
Transport of the major myelin proteolipid protein is directed by VAMP3 and VAMP7.
Feldmann A, Amphornrat J, Schönherr M, Winterstein C, Möbius W, Ruhwedel T, Danglot L, Nave KA, Galli T, Bruns D, Trotter J, et al.
The Journal of neuroscience : the official journal of the Society for Neuroscience (2011) 3115: 5659-72. 104 103 WB, ICC, EM
Vesicle-associated membrane protein-2 (VAMP2) mediates cAMP-stimulated renin release in mouse juxtaglomerular cells.
Mendez M, Gross KW, Glenn ST, Garvin JL, Carretero OA
The Journal of biological chemistry (2011) 28632: 28608-18. 104 103 WB, ICC
Bifurcation of Toll-like receptor 9 signaling by adaptor protein 3.
Sasai M, Linehan MM, Iwasaki A
Science (New York, N.Y.) (2010) 3295998: 1530-4. 104 103 ICC
Vesicle-associated membrane protein-8/endobrevin negatively regulates phagocytosis of bacteria in dendritic cells.
Ho YH, Cai DT, Wang CC, Huang D, Wong SH
Journal of immunology (Baltimore, Md. : 1950) (2008) 1805: 3148-57. 104 103 WB, ICC
Tracking Calcium Dynamics and Immune Surveillance at the Choroid Plexus Blood-Cerebrospinal Fluid Interface.
Shipley FB, Dani N, Xu H, Deister C, Cui J, Head JP, Sadegh C, Fame RM, Shannon ML, Flores VI, Kishkovich T, et al.
Neuron (2020) 1084: 623-639.e10. 104 103 WB, IHC; tested species: mouse
Evidence for glutamate as a neuroglial transmitter within sensory ganglia.
Kung LH, Gong K, Adedoyin M, Ng J, Bhargava A, Ohara PT, Jasmin L
PloS one (2013) 87: e68312. 104 103 IHC
Sunday driver interacts with two distinct classes of axonal organelles.
Abe N, Almenar-Queralt A, Lillo C, Shen Z, Lozach J, Briggs SP, Williams DS, Goldstein LS, Cavalli V
The Journal of biological chemistry (2009) 28450: 34628-39. 104 103 WB, IP, IHC
Transport of the major myelin proteolipid protein is directed by VAMP3 and VAMP7.
Feldmann A, Amphornrat J, Schönherr M, Winterstein C, Möbius W, Ruhwedel T, Danglot L, Nave KA, Galli T, Bruns D, Trotter J, et al.
The Journal of neuroscience : the official journal of the Society for Neuroscience (2011) 3115: 5659-72. 104 103 WB, ICC, EM
Cat. No.: 104 103
Amount: 50 µg
Price: $460.00
The trans-SNARE complex VAMP4/Stx6/Stx7/Vti1b is a key regulator of Golgi to late endosome MT1-MMP transport in macrophages.
West ZE, Aitcheson SM, Semmler ABT, Murray RZ
Traffic (Copenhagen, Denmark) (2021) 2211: 368-376. 104 103 WB; tested species: mouse
Microglia modulate gliotransmission through the regulation of VAMP2 proteins in astrocytes.
Takata-Tsuji F, Chounlamountri N, Do LD, Philippot C, Novion Ducassou J, Couté Y, Ben Achour S, Honnorat J, Place C, Pascual O
Glia (2021) 691: 61-72. 104 103 WB; tested species: mouse
VAMPs sensitive to tetanus toxin are required for cortical granule exocytosis in mouse oocytes.
de Paola M, Garrido F, Zanetti MN, Michaut MA
Experimental cell research (2021) 4051: 112629. 104 103 WB, ICC; tested species: mouse
Tracking Calcium Dynamics and Immune Surveillance at the Choroid Plexus Blood-Cerebrospinal Fluid Interface.
Shipley FB, Dani N, Xu H, Deister C, Cui J, Head JP, Sadegh C, Fame RM, Shannon ML, Flores VI, Kishkovich T, et al.
Neuron (2020) 1084: 623-639.e10. 104 103 WB, IHC; tested species: mouse
Characterisation of GLUT4 trafficking in HeLa cells: comparable kinetics and orthologous trafficking mechanisms to 3T3-L1 adipocytes.
Morris S, Geoghegan ND, Sadler JBA, Koester AM, Black HL, Laub M, Miller L, Heffernan L, Simpson JC, Mastick CC, Cooper J, et al.
PeerJ (2020) 8: e8751. 104 103 WB; tested species: mouse
Cardiac SNARE Expression in Health and Disease.
Bowman PRT, Smith GL, Gould GW
Frontiers in endocrinology (2019) 10: 881. 104 103 WB; tested species: mouse
Invasion by activated macrophages requires delivery of nascent MT1-MMP through late endosomes/lysosomes to the cell surface.
Röhl J, West ZE, Rudolph M, Zaharia A, Van Lonkhuyzen D, Hickey DK, Semmler ABT, Murray RZ
Traffic (Copenhagen, Denmark) (2019) : . 104 103 WB; KD verified; tested species: mouse
Synaptotagmin-11 inhibits cytokine secretion and phagocytosis in microglia.
Du C, Wang Y, Zhang F, Yan S, Guan Y, Gong X, Zhang T, Cui X, Wang X, Zhang CX
Glia (2017) 6510: 1656-1667. 104 103 WB, ICC; tested species: mouse
Annexin A6 and Late Endosomal Cholesterol Modulate Integrin Recycling and Cell Migration.
García-Melero A, Reverter M, Hoque M, Meneses-Salas E, Koese M, Conway JR, Johnsen CH, Alvarez-Guaita A, Morales-Paytuvi F, Elmaghrabi YA, Pol A, et al.
The Journal of biological chemistry (2016) 2913: 1320-35. 104 103 WB, ICC
Characterization of VAMP isoforms in 3T3-L1 adipocytes: implications for GLUT4 trafficking.
Sadler JB, Bryant NJ, Gould GW
Molecular biology of the cell (2015) 263: 530-6. 104 103 WB
Vesicular transport system in myotubes: ultrastructural study and signposting with vesicle-associated membrane proteins.
Tajika Y, Takahashi M, Khairani AF, Ueno H, Murakami T, Yorifuji H
Histochemistry and cell biology (2014) 1414: 441-54. 104 103 WB, ICC; tested species: mouse
Sorting of GLUT4 into its insulin-sensitive store requires the Sec1/Munc18 protein mVps45.
Roccisana J, Sadler JB, Bryant NJ, Gould GW
Molecular biology of the cell (2013) 2415: 2389-97. 104 103 WB
Vesicle-associated membrane protein-2 (VAMP2) mediates cAMP-stimulated renin release in mouse juxtaglomerular cells.
Mendez M, Gross KW, Glenn ST, Garvin JL, Carretero OA
The Journal of biological chemistry (2011) 28632: 28608-18. 104 103 WB, ICC
Transport of the major myelin proteolipid protein is directed by VAMP3 and VAMP7.
Feldmann A, Amphornrat J, Schönherr M, Winterstein C, Möbius W, Ruhwedel T, Danglot L, Nave KA, Galli T, Bruns D, Trotter J, et al.
The Journal of neuroscience : the official journal of the Society for Neuroscience (2011) 3115: 5659-72. 104 103 WB, ICC, EM
Syntaxin 11 binds Vti1b and regulates late endosome to lysosome fusion in macrophages.
Offenhäuser C, Lei N, Roy S, Collins BM, Stow JL, Murray RZ
Traffic (Copenhagen, Denmark) (2011) 126: 762-73. 104 103 WB
How pig sperm prepares to fertilize: stable acrosome docking to the plasma membrane.
Tsai PS, Garcia-Gil N, van Haeften T, Gadella BM
PloS one (2010) 56: e11204. 104 103 WB, IP; tested species: pig
Molecular anatomy of the hair cell's ribbon synapse.
Uthaiah RC, Hudspeth AJ
The Journal of neuroscience : the official journal of the Society for Neuroscience (2010) 3037: 12387-99. 104 103 WB
Sunday driver interacts with two distinct classes of axonal organelles.
Abe N, Almenar-Queralt A, Lillo C, Shen Z, Lozach J, Briggs SP, Williams DS, Goldstein LS, Cavalli V
The Journal of biological chemistry (2009) 28450: 34628-39. 104 103 WB, IP, IHC
VAMP-8 segregates mast cell-preformed mediator exocytosis from cytokine trafficking pathways.
Tiwari N, Wang CC, Brochetta C, Ke G, Vita F, Qi Z, Rivera J, Soranzo MR, Zabucchi G, Hong W, Blank U, et al.
Blood (2008) 1117: 3665-74. 104 103 WB
Vesicle-associated membrane protein-8/endobrevin negatively regulates phagocytosis of bacteria in dendritic cells.
Ho YH, Cai DT, Wang CC, Huang D, Wong SH
Journal of immunology (Baltimore, Md. : 1950) (2008) 1805: 3148-57. 104 103 WB, ICC
How pig sperm prepares to fertilize: stable acrosome docking to the plasma membrane.
Tsai PS, Garcia-Gil N, van Haeften T, Gadella BM
PloS one (2010) 56: e11204. 104 103 WB, IP; tested species: pig
Sunday driver interacts with two distinct classes of axonal organelles.
Abe N, Almenar-Queralt A, Lillo C, Shen Z, Lozach J, Briggs SP, Williams DS, Goldstein LS, Cavalli V
The Journal of biological chemistry (2009) 28450: 34628-39. 104 103 WB, IP, IHC
Picalm coordinates clathrin-mediated endocytosis and actin remodeling during myogenesis.
Gaugel J, Haacke N, Kuropka B, Jähnert M, Rominger J, Jonas W, Speckmann T, Rausch N, Kleinert M, Weigert C, Garcia-Carrizo F, et al.
Molecular metabolism (2026) 107: 102351. 104 103 ICC; tested species: mouse
Oligodendrocyte-lineage cell exocytosis and L-type prostaglandin D synthase promote oligodendrocyte development and myelination.
Pan L, Trimarco A, Zhang AJ, Fujimori K, Urade Y, Sun LO, Taveggia C, Zhang Y
eLife (2023) 12: . 104 103 ICC; tested species: mouse
VAMPs sensitive to tetanus toxin are required for cortical granule exocytosis in mouse oocytes.
de Paola M, Garrido F, Zanetti MN, Michaut MA
Experimental cell research (2021) 4051: 112629. 104 103 WB, ICC; tested species: mouse
Synergistic actions of v-SNARE transmembrane domains and membrane-curvature modifying lipids in neurotransmitter release.
Dhara M, Mantero Martinez M, Makke M, Schwarz Y, Mohrmann R, Bruns D
eLife (2020) 9: . 104 103 ICC; tested species: mouse
β1-integrin- and KV1.3 channel-dependent signaling stimulates glutamate release from Th17 cells.
Birkner K, Wasser B, Ruck T, Thalman C, Luchtman D, Pape K, Schmaul S, Bitar L, Krämer-Albers EM, Stroh A, Meuth SG, et al.
The Journal of clinical investigation (2019) : . 104 103 ICC; tested species: mouse
The host cell secretory pathway mediates the export of Leishmania virulence factors out of the parasitophorous vacuole.
Arango Duque G, Jardim A, Gagnon É, Fukuda M, Descoteaux A
PLoS pathogens (2019) 157: e1007982. 104 103 ICC; tested species: mouse
The interaction between IKKα and LC3 promotes type I interferon production through the TLR9-containing LAPosome.
Hayashi K, Taura M, Iwasaki A
Science signaling (2018) 11528: . 104 103 ICC; tested species: mouse
Synaptotagmin-11 inhibits cytokine secretion and phagocytosis in microglia.
Du C, Wang Y, Zhang F, Yan S, Guan Y, Gong X, Zhang T, Cui X, Wang X, Zhang CX
Glia (2017) 6510: 1656-1667. 104 103 WB, ICC; tested species: mouse
Annexin A6 and Late Endosomal Cholesterol Modulate Integrin Recycling and Cell Migration.
García-Melero A, Reverter M, Hoque M, Meneses-Salas E, Koese M, Conway JR, Johnsen CH, Alvarez-Guaita A, Morales-Paytuvi F, Elmaghrabi YA, Pol A, et al.
The Journal of biological chemistry (2016) 2913: 1320-35. 104 103 WB, ICC
Transcriptional expression of myelin basic protein in oligodendrocytes depends on functional syntaxin 4: a potential correlation with autocrine signaling.
Bijlard M, Klunder B, de Jonge JC, Nomden A, Tyagi S, de Vries H, Hoekstra D, Baron W
Molecular and cellular biology (2015) 354: 675-87. 104 103 ICC
Astrocyte VAMP3 vesicles undergo Ca2+ -independent cycling and modulate glutamate transporter trafficking.
Li D, Hérault K, Zylbersztejn K, Lauterbach MA, Guillon M, Oheim M, Ropert N
The Journal of physiology (2015) 59313: 2807-32. 104 103 ICC; KO verified
Toll-like receptor 9 trafficking and signaling for type I interferons requires PIKfyve activity.
Hayashi K, Sasai M, Iwasaki A
International immunology (2015) 279: 435-45. 104 103 ICC
Vesicular transport system in myotubes: ultrastructural study and signposting with vesicle-associated membrane proteins.
Tajika Y, Takahashi M, Khairani AF, Ueno H, Murakami T, Yorifuji H
Histochemistry and cell biology (2014) 1414: 441-54. 104 103 WB, ICC; tested species: mouse
Goliath family E3 ligases regulate the recycling endosome pathway via VAMP3 ubiquitylation.
Yamazaki Y, Schönherr C, Varshney GK, Dogru M, Hallberg B, Palmer RH
The EMBO journal (2013) 324: 524-37. 104 103 ICC; tested species: human
SNARE protein expression and localization in human cytotoxic T lymphocytes.
Pattu V, Qu B, Schwarz EC, Strauss B, Weins L, Bhat SS, Halimani M, Marshall M, Rettig J, Hoth M
European journal of immunology (2012) 422: 470-5. 104 103 ICC
Transport of the major myelin proteolipid protein is directed by VAMP3 and VAMP7.
Feldmann A, Amphornrat J, Schönherr M, Winterstein C, Möbius W, Ruhwedel T, Danglot L, Nave KA, Galli T, Bruns D, Trotter J, et al.
The Journal of neuroscience : the official journal of the Society for Neuroscience (2011) 3115: 5659-72. 104 103 WB, ICC, EM
Vesicle-associated membrane protein-2 (VAMP2) mediates cAMP-stimulated renin release in mouse juxtaglomerular cells.
Mendez M, Gross KW, Glenn ST, Garvin JL, Carretero OA
The Journal of biological chemistry (2011) 28632: 28608-18. 104 103 WB, ICC
Bifurcation of Toll-like receptor 9 signaling by adaptor protein 3.
Sasai M, Linehan MM, Iwasaki A
Science (New York, N.Y.) (2010) 3295998: 1530-4. 104 103 ICC
Vesicle-associated membrane protein-8/endobrevin negatively regulates phagocytosis of bacteria in dendritic cells.
Ho YH, Cai DT, Wang CC, Huang D, Wong SH
Journal of immunology (Baltimore, Md. : 1950) (2008) 1805: 3148-57. 104 103 WB, ICC
Tracking Calcium Dynamics and Immune Surveillance at the Choroid Plexus Blood-Cerebrospinal Fluid Interface.
Shipley FB, Dani N, Xu H, Deister C, Cui J, Head JP, Sadegh C, Fame RM, Shannon ML, Flores VI, Kishkovich T, et al.
Neuron (2020) 1084: 623-639.e10. 104 103 WB, IHC; tested species: mouse
Evidence for glutamate as a neuroglial transmitter within sensory ganglia.
Kung LH, Gong K, Adedoyin M, Ng J, Bhargava A, Ohara PT, Jasmin L
PloS one (2013) 87: e68312. 104 103 IHC
Sunday driver interacts with two distinct classes of axonal organelles.
Abe N, Almenar-Queralt A, Lillo C, Shen Z, Lozach J, Briggs SP, Williams DS, Goldstein LS, Cavalli V
The Journal of biological chemistry (2009) 28450: 34628-39. 104 103 WB, IP, IHC
Transport of the major myelin proteolipid protein is directed by VAMP3 and VAMP7.
Feldmann A, Amphornrat J, Schönherr M, Winterstein C, Möbius W, Ruhwedel T, Danglot L, Nave KA, Galli T, Bruns D, Trotter J, et al.
The Journal of neuroscience : the official journal of the Society for Neuroscience (2011) 3115: 5659-72. 104 103 WB, ICC, EM
Background

Cellubrevin/VAMP3 is the non-neuronal isoform of the synaptobrevin/VAMP family which belongs to the v-SNAREs. Like the neuronal isoforms Synaptobrevin1/VAMP1 and Synaptobrevin2/VAMP2 it is composed of an N-terminal cytoplasmic region and a C-terminal transmembrane domain.
Cellubrevin/VAMP3 localizes to an endosomal membrane pool, where it constitutes an essential component of the membrane fusion machinery. Like the synaptobrevins, cellubrevin is a substrate for the tetanus toxin.

Certificates

ISO 9001 2015 Quality Management System and Green Lab Platinum certification level for sustaining laboratory processes.

Newsletter

Sign up for our newsletter and get the latest updates and news.
 

Please provide a valid E-Mail-Address
Please provide a valid First name
Please provide a valid Last name