Tailor-made Antibodies
and Tools for Life Science
Home | | | | | Technical Support

Synaptobrevin1 antibody - 104 002 K.D.

Synaptobrevin 1 also known as Vamp 1 is a major vesicle protein involved in fusion
Rabbit polyclonal antiserum
Cat. No.: 104 002
Amount: 200 µl
Price: $360.00
Cat. No. 104 002 200 µl antiserum, lyophilized. For reconstitution add 200 µl H2O, then aliquot and store at -20°C until use.
Antibodies should be stored at +4°C when still lyophilized. Do not freeze!
Applications
 
WB: 1 : 1000 (AP staining) gallery  
IP: yes
ICC: 1 : 500 gallery  
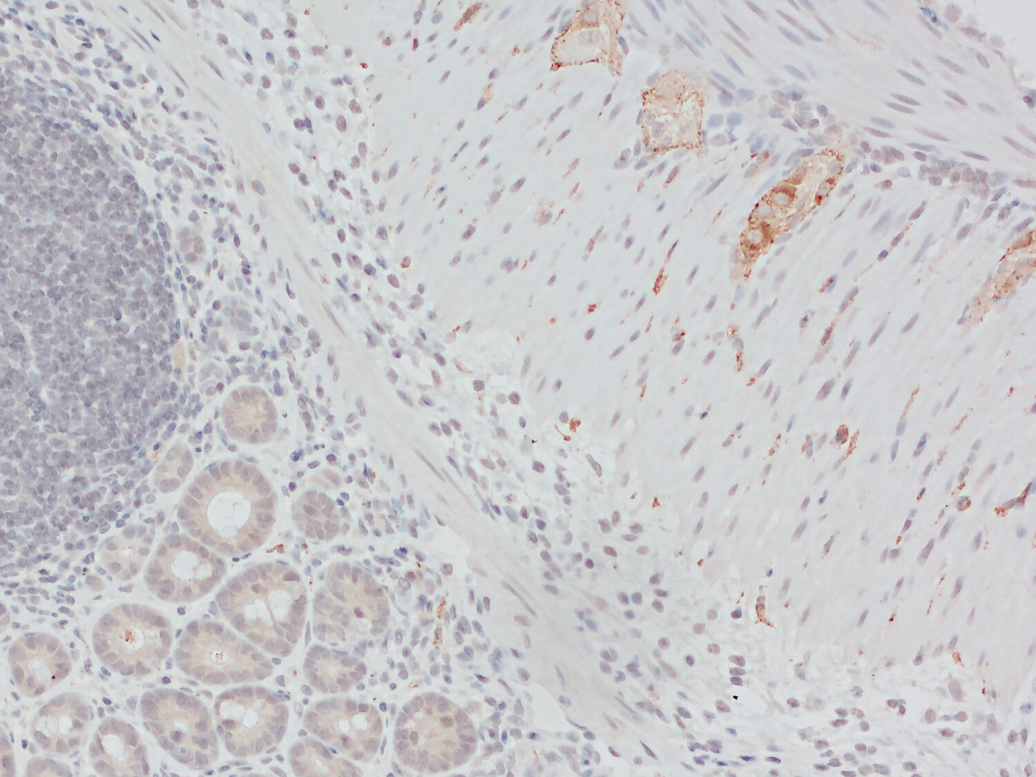
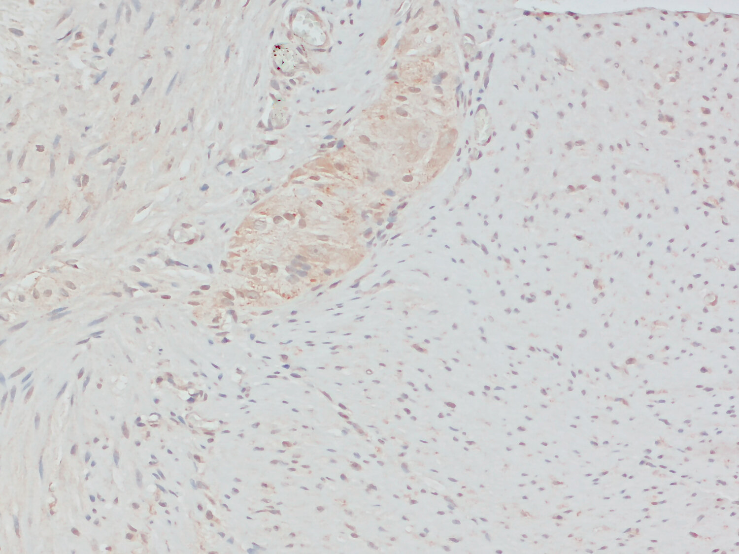
IHC: 1 : 500      gallery  
IHC-P: 1 : 250 up to 1 : 1000 gallery  
EM: external data (see remarks)

Western blot (WB); separation of proteins by PAGE and subsequent transfer to a membrane. Detection of target molecules is carried out with antibodies. Some antibodies require special sample preparation steps. For details, please refer to the “Remarks” section.

Immunoprecipitation (IP); Immunoisolation or pulldown of a target molecule using an antibody. For details and product specific hints, please refer to the ”Remarks” section.

Immunocytochemistry (ICC) on 4% PFA fixed cells. Immunoreactivity is usually revealed by fluorescence. Some antibodies require special fixation methods. For details, please refer to the “Remarks” section.

Immunohistochemistry (IHC) on 4% PFA perfusion fixed tissue with 24h PFA post fixation. Immunoreactivity is usually revealed by fluorescence or a chromogenic substrate. Some antibodies require special fixation methods or antigen retrieval steps. For details, please refer to the ”Remarks” section.

Immunohistochemistry (IHC-P) of formalin fixed, paraffin embedded (FFPE) tissue (some antibodies require special antigen retrieval steps, please refer to the ”Remarks” section). Immunoreactivity is usually revealed by fluorescence or a chromogenic substrate.

Electron microscopy (EM) is a microscopy technique that detects the scatter of electrons through thin tissue sections. In Immuno-EM the antigen is usually revealed by colloidal gold conjugated secondary antibodies linking electron dense structures to antigen-bound primary antibodies.

Immunogen Synthetic peptide corresponding to AA 2 to 14 from rat Synaptobrevin1 (UniProt Id: Q63666)
Reactivity Reacts with: human (P23763), rat (Q63666), mouse (Q62442), monkey, hamster, human (P23763).
No signal: chicken, cat.
Other species not tested yet.
Specificity K.D. validated PubMed: 29621484
Matching control protein/peptide 104-0P
Remarks

EM: This antibody has been successfully applied and published for this method by customers (see application-specific references).

Data sheet Datasheet 104_002

References for Synaptobrevin1 - 104 002

Sensory neurons drive pancreatic cancer progression through glutamatergic neuron-cancer pseudo-synapses.
Ren L, Liu C, Çifcibaşı K, Ballmann M, Rammes G, Mota Reyes C, Tokalov S, Klingl A, Grünert J, Goyal K, Neckel PH, et al.
Cancer cell (2025) : . 104 002 WB, ICC, IHC, IHC-P; tested species: human,mouse
The proteomic landscape of synaptic diversity across brain regions and cell types.
van Oostrum M, Blok TM, Giandomenico SL, Tom Dieck S, Tushev G, Fürst N, Langer JD, Schuman EM
Cell (2023) 18624: 5411-5427.e23. 104 002 WB; tested species: mouse
Lysosomal exocytosis releases pathogenic α-synuclein species from neurons in synucleinopathy models.
Xie YX, Naseri NN, Fels J, Kharel P, Na Y, Lane D, Burré J, Sharma M
Nature communications (2022) 131: 4918. 104 002 WB; tested species: mouse
VAMPs sensitive to tetanus toxin are required for cortical granule exocytosis in mouse oocytes.
de Paola M, Garrido F, Zanetti MN, Michaut MA
Experimental cell research (2021) 4051: 112629. 104 002 WB, ICC; tested species: mouse
Rho-kinase inhibition by fasudil modulates pre-synaptic vesicle dynamics.
Saal KA, Warth Pérez Arias C, Roser AE, Christoph Koch J, Bähr M, Rizzoli SO, Lingor P
Journal of neurochemistry (2020) : . 104 002 WB; tested species: rat
Tetanus insensitive VAMP2 differentially restores synaptic and dense core vesicle fusion in tetanus neurotoxin treated neurons.
Hoogstraaten RI, van Keimpema L, Toonen RF, Verhage M
Scientific reports (2020) 101: 10913. 104 002 WB; KD verified; tested species: mouse
Cardiac SNARE Expression in Health and Disease.
Bowman PRT, Smith GL, Gould GW
Frontiers in endocrinology (2019) 10: 881. 104 002 WB; tested species: mouse
Rbfox1 Regulates Synaptic Transmission through the Inhibitory Neuron-Specific vSNARE Vamp1.
Vuong CK, Wei W, Lee JA, Lin CH, Damianov A, de la Torre-Ubieta L, Halabi R, Otis KO, Martin KC, O'Dell TJ, Black DL, et al.
Neuron (2018) 981: 127-141.e7. 104 002 WB, ICC, IHC; KD verified; tested species: mouse
VAMP2 is implicated in the secretion of antibodies by human plasma cells and can be replaced by other synaptobrevins.
Gómez-Jaramillo L, Romero-García R, Jiménez-Gómez G, Riegle L, Ramos-Amaya AB, Brieva JA, Kelly-Worden M, Campos-Caro A
Cellular & molecular immunology (2018) 154: 353-366. 104 002 WB; tested species: human
Olanzapine Reverses MK-801-Induced Cognitive Deficits and Region-Specific Alterations of NMDA Receptor Subunits.
Liu X, Li J, Guo C, Wang H, Sun Y, Wang H, Su YA, Li K, Si T
Frontiers in behavioral neuroscience (2017) 11: 260. 104 002 WB; tested species: rat
Genetically-controlled Vesicle-Associated Membrane Protein 1 expression may contribute to Alzheimer's pathophysiology and susceptibility.
Sevlever D, Zou F, Ma L, Carrasquillo S, Crump MG, Culley OJ, Hunter TA, Bisceglio GD, Younkin L, Allen M, Carrasquillo MM, et al.
Molecular neurodegeneration (2015) 10: 18. 104 002 WB
Synaptic function is modulated by LRRK2 and glutamate release is increased in cortical neurons of G2019S LRRK2 knock-in mice.
Beccano-Kelly DA, Kuhlmann N, Tatarnikov I, Volta M, Munsie LN, Chou P, Cao LP, Han H, Tapia L, Farrer MJ, Milnerwood AJ, et al.
Frontiers in cellular neuroscience (2014) 8: 301. 104 002 WB; tested species: mouse
Distribution of SNAP25, VAMP1 and VAMP2 in mature and developing deep cerebellar nuclei after estrogen administration.
Manca P, Mameli O, Caria MA, Torrejón-Escribano B, Blasi J
Neuroscience (2014) 266: 102-15. 104 002 WB, IHC, EM
Widespread sequence variations in VAMP1 across vertebrates suggest a potential selective pressure from botulinum neurotoxins.
Peng L, Adler M, Demogines A, Borrell A, Liu H, Tao L, Tepp WH, Zhang SC, Johnson EA, Sawyer SL, Dong M, et al.
PLoS pathogens (2014) 107: e1004177. 104 002 WB; tested species: human
Vesicular transport system in myotubes: ultrastructural study and signposting with vesicle-associated membrane proteins.
Tajika Y, Takahashi M, Khairani AF, Ueno H, Murakami T, Yorifuji H
Histochemistry and cell biology (2014) 1414: 441-54. 104 002 WB; tested species: mouse
Composition of isolated synaptic boutons reveals the amounts of vesicle trafficking proteins.
Wilhelm BG, Mandad S, Truckenbrodt S, Kröhnert K, Schäfer C, Rammner B, Koo SJ, Claßen GA, Krauss M, Haucke V, Urlaub H, et al.
Science (New York, N.Y.) (2014) 3446187: 1023-8. 104 002 WB, ICC, IHC; tested species: mouse,rat
LRRK2 controls synaptic vesicle storage and mobilization within the recycling pool.
Piccoli G, Condliffe SB, Bauer M, Giesert F, Boldt K, De Astis S, Meixner A, Sarioglu H, Vogt-Weisenhorn DM, Wurst W, Gloeckner CJ, et al.
The Journal of neuroscience : the official journal of the Society for Neuroscience (2011) 316: 2225-37. 104 002 WB
Combinatorial SNARE complexes modulate the secretion of cytoplasmic granules in human neutrophils.
Mollinedo F, Calafat J, Janssen H, Martín-Martín B, Canchado J, Nabokina SM, Gajate C
Journal of immunology (Baltimore, Md. : 1950) (2006) 1775: 2831-41. 104 002 WB, EM
Molecular anatomy of a trafficking organelle.
Takamori S, Holt M, Stenius K, Lemke EA, Grønborg M, Riedel D, Urlaub H, Schenck S, Brügger B, Ringler P, Müller SA, et al.
Cell (2006) 1274: 831-46. 104 002 WB
Differential distribution of vesicle associated membrane protein isoforms in the mouse retina.
Sherry DM, Wang MM, Frishman LJ
Molecular vision (2003) 9: 673-88. 104 002 WB, IHC
Synaptophysin I controls the targeting of VAMP2/synaptobrevin II to synaptic vesicles.
Pennuto M, Bonanomi D, Benfenati F, Valtorta F
Molecular biology of the cell (2003) 1412: 4909-19. 104 002 WB, ICC
SNAREs in mammalian sperm: possible implications for fertilization.
Ramalho-Santos J, Moreno RD, Sutovsky P, Chan AW, Hewitson L, Wessel GM, Simerly CR, Schatten G
Developmental biology (2000) 2231: 54-69. 104 002 WB, ICC
Sensory neurons drive pancreatic cancer progression through glutamatergic neuron-cancer pseudo-synapses.
Ren L, Liu C, Çifcibaşı K, Ballmann M, Rammes G, Mota Reyes C, Tokalov S, Klingl A, Grünert J, Goyal K, Neckel PH, et al.
Cancer cell (2025) : . 104 002 WB, ICC, IHC, IHC-P; tested species: human,mouse
VAMPs sensitive to tetanus toxin are required for cortical granule exocytosis in mouse oocytes.
de Paola M, Garrido F, Zanetti MN, Michaut MA
Experimental cell research (2021) 4051: 112629. 104 002 WB, ICC; tested species: mouse
Site-directed MT1-MMP trafficking and surface insertion regulate AChR clustering and remodeling at developing NMJs.
Chan ZC, Kwan HR, Wong YS, Jiang Z, Zhou Z, Tam KW, Chan YS, Chan CB, Lee CW
eLife (2020) 9: . 104 002 ICC; tested species: frog
Rbfox1 Regulates Synaptic Transmission through the Inhibitory Neuron-Specific vSNARE Vamp1.
Vuong CK, Wei W, Lee JA, Lin CH, Damianov A, de la Torre-Ubieta L, Halabi R, Otis KO, Martin KC, O'Dell TJ, Black DL, et al.
Neuron (2018) 981: 127-141.e7. 104 002 WB, ICC, IHC; KD verified; tested species: mouse
Composition of isolated synaptic boutons reveals the amounts of vesicle trafficking proteins.
Wilhelm BG, Mandad S, Truckenbrodt S, Kröhnert K, Schäfer C, Rammner B, Koo SJ, Claßen GA, Krauss M, Haucke V, Urlaub H, et al.
Science (New York, N.Y.) (2014) 3446187: 1023-8. 104 002 WB, ICC, IHC; tested species: mouse,rat
Pro-brain-derived neurotrophic factor inhibits GABAergic neurotransmission by activating endocytosis and repression of GABAA receptors.
Riffault B, Medina I, Dumon C, Thalman C, Ferrand N, Friedel P, Gaiarsa JL, Porcher C
The Journal of neuroscience : the official journal of the Society for Neuroscience (2014) 3440: 13516-34. 104 002 ICC; tested species: rat
Novel cell types, neurosecretory cells, and body plan of the early-diverging metazoan Trichoplax adhaerens.
Smith CL, Varoqueaux F, Kittelmann M, Azzam RN, Cooper B, Winters CA, Eitel M, Fasshauer D, Reese TS
Current biology : CB (2014) 2414: 1565-1572. 104 002 ICC
Synaptophysin I controls the targeting of VAMP2/synaptobrevin II to synaptic vesicles.
Pennuto M, Bonanomi D, Benfenati F, Valtorta F
Molecular biology of the cell (2003) 1412: 4909-19. 104 002 WB, ICC
SNAREs in mammalian sperm: possible implications for fertilization.
Ramalho-Santos J, Moreno RD, Sutovsky P, Chan AW, Hewitson L, Wessel GM, Simerly CR, Schatten G
Developmental biology (2000) 2231: 54-69. 104 002 WB, ICC
Sensory neurons drive pancreatic cancer progression through glutamatergic neuron-cancer pseudo-synapses.
Ren L, Liu C, Çifcibaşı K, Ballmann M, Rammes G, Mota Reyes C, Tokalov S, Klingl A, Grünert J, Goyal K, Neckel PH, et al.
Cancer cell (2025) : . 104 002 WB, ICC, IHC, IHC-P; tested species: human,mouse
GABA and Glycine Synaptic Release on Axotomized Motoneuron Cell Bodies Promotes Motor Axon Regeneration.
Wood RL, Calvo PM, McCallum WM, English AW, Alvarez FJ
The European journal of neuroscience (2025) 615: e70045. 104 002 IHC; tested species: mouse
Rbfox1 Regulates Synaptic Transmission through the Inhibitory Neuron-Specific vSNARE Vamp1.
Vuong CK, Wei W, Lee JA, Lin CH, Damianov A, de la Torre-Ubieta L, Halabi R, Otis KO, Martin KC, O'Dell TJ, Black DL, et al.
Neuron (2018) 981: 127-141.e7. 104 002 WB, ICC, IHC; KD verified; tested species: mouse
Distribution of SNAP25, VAMP1 and VAMP2 in mature and developing deep cerebellar nuclei after estrogen administration.
Manca P, Mameli O, Caria MA, Torrejón-Escribano B, Blasi J
Neuroscience (2014) 266: 102-15. 104 002 WB, IHC, EM
Composition of isolated synaptic boutons reveals the amounts of vesicle trafficking proteins.
Wilhelm BG, Mandad S, Truckenbrodt S, Kröhnert K, Schäfer C, Rammner B, Koo SJ, Claßen GA, Krauss M, Haucke V, Urlaub H, et al.
Science (New York, N.Y.) (2014) 3446187: 1023-8. 104 002 WB, ICC, IHC; tested species: mouse,rat
Exocytosis at the hair cell ribbon synapse apparently operates without neuronal SNARE proteins.
Nouvian R, Neef J, Bulankina AV, Reisinger E, Pangršič T, Frank T, Sikorra S, Brose N, Binz T, Moser T
Nature neuroscience (2011) 144: 411-3. 104 002 IHC
Increased neurotransmitter release at the neuromuscular junction in a mouse model of polyglutamine disease.
Rozas JL, Gómez-Sánchez L, Tomás-Zapico C, Lucas JJ, Fernández-Chacón R
The Journal of neuroscience : the official journal of the Society for Neuroscience (2011) 313: 1106-13. 104 002 IHC
Detailed histopathologic characterization of the retinopathy, globe enlarged (rge) chick phenotype.
Montiani-Ferreira F, Fischer A, Cernuda-Cernuda R, Kiupel M, DeGrip WJ, Sherry D, Cho SS, Shaw GC, Evans MG, Hocking PM, Petersen-Jones SM, et al.
Molecular vision (2005) 11: 11-27. 104 002 IHC
Differential distribution of vesicle associated membrane protein isoforms in the mouse retina.
Sherry DM, Wang MM, Frishman LJ
Molecular vision (2003) 9: 673-88. 104 002 WB, IHC
Brain synaptic junctional proteins at the acrosome of rat testicular germ cells.
Redecker P, Kreutz MR, Bockmann J, Gundelfinger ED, Boeckers TM
The journal of histochemistry and cytochemistry : official journal of the Histochemistry Society (2003) 516: 809-19. 104 002 IHC
Sensory neurons drive pancreatic cancer progression through glutamatergic neuron-cancer pseudo-synapses.
Ren L, Liu C, Çifcibaşı K, Ballmann M, Rammes G, Mota Reyes C, Tokalov S, Klingl A, Grünert J, Goyal K, Neckel PH, et al.
Cancer cell (2025) : . 104 002 WB, ICC, IHC, IHC-P; tested species: human,mouse
Distribution of SNAP25, VAMP1 and VAMP2 in mature and developing deep cerebellar nuclei after estrogen administration.
Manca P, Mameli O, Caria MA, Torrejón-Escribano B, Blasi J
Neuroscience (2014) 266: 102-15. 104 002 WB, IHC, EM
Combinatorial SNARE complexes modulate the secretion of cytoplasmic granules in human neutrophils.
Mollinedo F, Calafat J, Janssen H, Martín-Martín B, Canchado J, Nabokina SM, Gajate C
Journal of immunology (Baltimore, Md. : 1950) (2006) 1775: 2831-41. 104 002 WB, EM
Cat. No.: 104 002
Amount: 200 µl
Price: $360.00
Sensory neurons drive pancreatic cancer progression through glutamatergic neuron-cancer pseudo-synapses.
Ren L, Liu C, Çifcibaşı K, Ballmann M, Rammes G, Mota Reyes C, Tokalov S, Klingl A, Grünert J, Goyal K, Neckel PH, et al.
Cancer cell (2025) : . 104 002 WB, ICC, IHC, IHC-P; tested species: human,mouse
The proteomic landscape of synaptic diversity across brain regions and cell types.
van Oostrum M, Blok TM, Giandomenico SL, Tom Dieck S, Tushev G, Fürst N, Langer JD, Schuman EM
Cell (2023) 18624: 5411-5427.e23. 104 002 WB; tested species: mouse
Lysosomal exocytosis releases pathogenic α-synuclein species from neurons in synucleinopathy models.
Xie YX, Naseri NN, Fels J, Kharel P, Na Y, Lane D, Burré J, Sharma M
Nature communications (2022) 131: 4918. 104 002 WB; tested species: mouse
VAMPs sensitive to tetanus toxin are required for cortical granule exocytosis in mouse oocytes.
de Paola M, Garrido F, Zanetti MN, Michaut MA
Experimental cell research (2021) 4051: 112629. 104 002 WB, ICC; tested species: mouse
Rho-kinase inhibition by fasudil modulates pre-synaptic vesicle dynamics.
Saal KA, Warth Pérez Arias C, Roser AE, Christoph Koch J, Bähr M, Rizzoli SO, Lingor P
Journal of neurochemistry (2020) : . 104 002 WB; tested species: rat
Tetanus insensitive VAMP2 differentially restores synaptic and dense core vesicle fusion in tetanus neurotoxin treated neurons.
Hoogstraaten RI, van Keimpema L, Toonen RF, Verhage M
Scientific reports (2020) 101: 10913. 104 002 WB; KD verified; tested species: mouse
Cardiac SNARE Expression in Health and Disease.
Bowman PRT, Smith GL, Gould GW
Frontiers in endocrinology (2019) 10: 881. 104 002 WB; tested species: mouse
Rbfox1 Regulates Synaptic Transmission through the Inhibitory Neuron-Specific vSNARE Vamp1.
Vuong CK, Wei W, Lee JA, Lin CH, Damianov A, de la Torre-Ubieta L, Halabi R, Otis KO, Martin KC, O'Dell TJ, Black DL, et al.
Neuron (2018) 981: 127-141.e7. 104 002 WB, ICC, IHC; KD verified; tested species: mouse
VAMP2 is implicated in the secretion of antibodies by human plasma cells and can be replaced by other synaptobrevins.
Gómez-Jaramillo L, Romero-García R, Jiménez-Gómez G, Riegle L, Ramos-Amaya AB, Brieva JA, Kelly-Worden M, Campos-Caro A
Cellular & molecular immunology (2018) 154: 353-366. 104 002 WB; tested species: human
Olanzapine Reverses MK-801-Induced Cognitive Deficits and Region-Specific Alterations of NMDA Receptor Subunits.
Liu X, Li J, Guo C, Wang H, Sun Y, Wang H, Su YA, Li K, Si T
Frontiers in behavioral neuroscience (2017) 11: 260. 104 002 WB; tested species: rat
Genetically-controlled Vesicle-Associated Membrane Protein 1 expression may contribute to Alzheimer's pathophysiology and susceptibility.
Sevlever D, Zou F, Ma L, Carrasquillo S, Crump MG, Culley OJ, Hunter TA, Bisceglio GD, Younkin L, Allen M, Carrasquillo MM, et al.
Molecular neurodegeneration (2015) 10: 18. 104 002 WB
Synaptic function is modulated by LRRK2 and glutamate release is increased in cortical neurons of G2019S LRRK2 knock-in mice.
Beccano-Kelly DA, Kuhlmann N, Tatarnikov I, Volta M, Munsie LN, Chou P, Cao LP, Han H, Tapia L, Farrer MJ, Milnerwood AJ, et al.
Frontiers in cellular neuroscience (2014) 8: 301. 104 002 WB; tested species: mouse
Distribution of SNAP25, VAMP1 and VAMP2 in mature and developing deep cerebellar nuclei after estrogen administration.
Manca P, Mameli O, Caria MA, Torrejón-Escribano B, Blasi J
Neuroscience (2014) 266: 102-15. 104 002 WB, IHC, EM
Widespread sequence variations in VAMP1 across vertebrates suggest a potential selective pressure from botulinum neurotoxins.
Peng L, Adler M, Demogines A, Borrell A, Liu H, Tao L, Tepp WH, Zhang SC, Johnson EA, Sawyer SL, Dong M, et al.
PLoS pathogens (2014) 107: e1004177. 104 002 WB; tested species: human
Vesicular transport system in myotubes: ultrastructural study and signposting with vesicle-associated membrane proteins.
Tajika Y, Takahashi M, Khairani AF, Ueno H, Murakami T, Yorifuji H
Histochemistry and cell biology (2014) 1414: 441-54. 104 002 WB; tested species: mouse
Composition of isolated synaptic boutons reveals the amounts of vesicle trafficking proteins.
Wilhelm BG, Mandad S, Truckenbrodt S, Kröhnert K, Schäfer C, Rammner B, Koo SJ, Claßen GA, Krauss M, Haucke V, Urlaub H, et al.
Science (New York, N.Y.) (2014) 3446187: 1023-8. 104 002 WB, ICC, IHC; tested species: mouse,rat
LRRK2 controls synaptic vesicle storage and mobilization within the recycling pool.
Piccoli G, Condliffe SB, Bauer M, Giesert F, Boldt K, De Astis S, Meixner A, Sarioglu H, Vogt-Weisenhorn DM, Wurst W, Gloeckner CJ, et al.
The Journal of neuroscience : the official journal of the Society for Neuroscience (2011) 316: 2225-37. 104 002 WB
Combinatorial SNARE complexes modulate the secretion of cytoplasmic granules in human neutrophils.
Mollinedo F, Calafat J, Janssen H, Martín-Martín B, Canchado J, Nabokina SM, Gajate C
Journal of immunology (Baltimore, Md. : 1950) (2006) 1775: 2831-41. 104 002 WB, EM
Molecular anatomy of a trafficking organelle.
Takamori S, Holt M, Stenius K, Lemke EA, Grønborg M, Riedel D, Urlaub H, Schenck S, Brügger B, Ringler P, Müller SA, et al.
Cell (2006) 1274: 831-46. 104 002 WB
Differential distribution of vesicle associated membrane protein isoforms in the mouse retina.
Sherry DM, Wang MM, Frishman LJ
Molecular vision (2003) 9: 673-88. 104 002 WB, IHC
Synaptophysin I controls the targeting of VAMP2/synaptobrevin II to synaptic vesicles.
Pennuto M, Bonanomi D, Benfenati F, Valtorta F
Molecular biology of the cell (2003) 1412: 4909-19. 104 002 WB, ICC
SNAREs in mammalian sperm: possible implications for fertilization.
Ramalho-Santos J, Moreno RD, Sutovsky P, Chan AW, Hewitson L, Wessel GM, Simerly CR, Schatten G
Developmental biology (2000) 2231: 54-69. 104 002 WB, ICC
Sensory neurons drive pancreatic cancer progression through glutamatergic neuron-cancer pseudo-synapses.
Ren L, Liu C, Çifcibaşı K, Ballmann M, Rammes G, Mota Reyes C, Tokalov S, Klingl A, Grünert J, Goyal K, Neckel PH, et al.
Cancer cell (2025) : . 104 002 WB, ICC, IHC, IHC-P; tested species: human,mouse
VAMPs sensitive to tetanus toxin are required for cortical granule exocytosis in mouse oocytes.
de Paola M, Garrido F, Zanetti MN, Michaut MA
Experimental cell research (2021) 4051: 112629. 104 002 WB, ICC; tested species: mouse
Site-directed MT1-MMP trafficking and surface insertion regulate AChR clustering and remodeling at developing NMJs.
Chan ZC, Kwan HR, Wong YS, Jiang Z, Zhou Z, Tam KW, Chan YS, Chan CB, Lee CW
eLife (2020) 9: . 104 002 ICC; tested species: frog
Rbfox1 Regulates Synaptic Transmission through the Inhibitory Neuron-Specific vSNARE Vamp1.
Vuong CK, Wei W, Lee JA, Lin CH, Damianov A, de la Torre-Ubieta L, Halabi R, Otis KO, Martin KC, O'Dell TJ, Black DL, et al.
Neuron (2018) 981: 127-141.e7. 104 002 WB, ICC, IHC; KD verified; tested species: mouse
Composition of isolated synaptic boutons reveals the amounts of vesicle trafficking proteins.
Wilhelm BG, Mandad S, Truckenbrodt S, Kröhnert K, Schäfer C, Rammner B, Koo SJ, Claßen GA, Krauss M, Haucke V, Urlaub H, et al.
Science (New York, N.Y.) (2014) 3446187: 1023-8. 104 002 WB, ICC, IHC; tested species: mouse,rat
Pro-brain-derived neurotrophic factor inhibits GABAergic neurotransmission by activating endocytosis and repression of GABAA receptors.
Riffault B, Medina I, Dumon C, Thalman C, Ferrand N, Friedel P, Gaiarsa JL, Porcher C
The Journal of neuroscience : the official journal of the Society for Neuroscience (2014) 3440: 13516-34. 104 002 ICC; tested species: rat
Novel cell types, neurosecretory cells, and body plan of the early-diverging metazoan Trichoplax adhaerens.
Smith CL, Varoqueaux F, Kittelmann M, Azzam RN, Cooper B, Winters CA, Eitel M, Fasshauer D, Reese TS
Current biology : CB (2014) 2414: 1565-1572. 104 002 ICC
Synaptophysin I controls the targeting of VAMP2/synaptobrevin II to synaptic vesicles.
Pennuto M, Bonanomi D, Benfenati F, Valtorta F
Molecular biology of the cell (2003) 1412: 4909-19. 104 002 WB, ICC
SNAREs in mammalian sperm: possible implications for fertilization.
Ramalho-Santos J, Moreno RD, Sutovsky P, Chan AW, Hewitson L, Wessel GM, Simerly CR, Schatten G
Developmental biology (2000) 2231: 54-69. 104 002 WB, ICC
Sensory neurons drive pancreatic cancer progression through glutamatergic neuron-cancer pseudo-synapses.
Ren L, Liu C, Çifcibaşı K, Ballmann M, Rammes G, Mota Reyes C, Tokalov S, Klingl A, Grünert J, Goyal K, Neckel PH, et al.
Cancer cell (2025) : . 104 002 WB, ICC, IHC, IHC-P; tested species: human,mouse
GABA and Glycine Synaptic Release on Axotomized Motoneuron Cell Bodies Promotes Motor Axon Regeneration.
Wood RL, Calvo PM, McCallum WM, English AW, Alvarez FJ
The European journal of neuroscience (2025) 615: e70045. 104 002 IHC; tested species: mouse
Rbfox1 Regulates Synaptic Transmission through the Inhibitory Neuron-Specific vSNARE Vamp1.
Vuong CK, Wei W, Lee JA, Lin CH, Damianov A, de la Torre-Ubieta L, Halabi R, Otis KO, Martin KC, O'Dell TJ, Black DL, et al.
Neuron (2018) 981: 127-141.e7. 104 002 WB, ICC, IHC; KD verified; tested species: mouse
Distribution of SNAP25, VAMP1 and VAMP2 in mature and developing deep cerebellar nuclei after estrogen administration.
Manca P, Mameli O, Caria MA, Torrejón-Escribano B, Blasi J
Neuroscience (2014) 266: 102-15. 104 002 WB, IHC, EM
Composition of isolated synaptic boutons reveals the amounts of vesicle trafficking proteins.
Wilhelm BG, Mandad S, Truckenbrodt S, Kröhnert K, Schäfer C, Rammner B, Koo SJ, Claßen GA, Krauss M, Haucke V, Urlaub H, et al.
Science (New York, N.Y.) (2014) 3446187: 1023-8. 104 002 WB, ICC, IHC; tested species: mouse,rat
Exocytosis at the hair cell ribbon synapse apparently operates without neuronal SNARE proteins.
Nouvian R, Neef J, Bulankina AV, Reisinger E, Pangršič T, Frank T, Sikorra S, Brose N, Binz T, Moser T
Nature neuroscience (2011) 144: 411-3. 104 002 IHC
Increased neurotransmitter release at the neuromuscular junction in a mouse model of polyglutamine disease.
Rozas JL, Gómez-Sánchez L, Tomás-Zapico C, Lucas JJ, Fernández-Chacón R
The Journal of neuroscience : the official journal of the Society for Neuroscience (2011) 313: 1106-13. 104 002 IHC
Detailed histopathologic characterization of the retinopathy, globe enlarged (rge) chick phenotype.
Montiani-Ferreira F, Fischer A, Cernuda-Cernuda R, Kiupel M, DeGrip WJ, Sherry D, Cho SS, Shaw GC, Evans MG, Hocking PM, Petersen-Jones SM, et al.
Molecular vision (2005) 11: 11-27. 104 002 IHC
Differential distribution of vesicle associated membrane protein isoforms in the mouse retina.
Sherry DM, Wang MM, Frishman LJ
Molecular vision (2003) 9: 673-88. 104 002 WB, IHC
Brain synaptic junctional proteins at the acrosome of rat testicular germ cells.
Redecker P, Kreutz MR, Bockmann J, Gundelfinger ED, Boeckers TM
The journal of histochemistry and cytochemistry : official journal of the Histochemistry Society (2003) 516: 809-19. 104 002 IHC
Sensory neurons drive pancreatic cancer progression through glutamatergic neuron-cancer pseudo-synapses.
Ren L, Liu C, Çifcibaşı K, Ballmann M, Rammes G, Mota Reyes C, Tokalov S, Klingl A, Grünert J, Goyal K, Neckel PH, et al.
Cancer cell (2025) : . 104 002 WB, ICC, IHC, IHC-P; tested species: human,mouse
Distribution of SNAP25, VAMP1 and VAMP2 in mature and developing deep cerebellar nuclei after estrogen administration.
Manca P, Mameli O, Caria MA, Torrejón-Escribano B, Blasi J
Neuroscience (2014) 266: 102-15. 104 002 WB, IHC, EM
Combinatorial SNARE complexes modulate the secretion of cytoplasmic granules in human neutrophils.
Mollinedo F, Calafat J, Janssen H, Martín-Martín B, Canchado J, Nabokina SM, Gajate C
Journal of immunology (Baltimore, Md. : 1950) (2006) 1775: 2831-41. 104 002 WB, EM
Background

Synaptobrevins, also known as vesicle-associated membrane proteins (VAMPs), are predominantly expressed in the nervous system and are classified within the brevin subfamily of the SNARE (Soluble NSF Attachment Protein Receptor) protein superfamily. Brevins are small integral transmembrane proteins characterized by a central SNARE motif, an N-terminal cytoplasmic domain, and a C-terminal transmembrane domain. As crucial components of the SNARE machinery, these proteins play an essential role in vesicular transport and membrane fusion processes within cells (1, 2, 3).
In addition to synaptobrevins, the brevin family includes other tissue-specific members such as cellubrevin (VAMP3), myobrevin (VAMP5), and endobrevin (VAMP8), which are expressed in various non-neuronal tissues (4, 5, 6). These isoforms exhibit distinct spatial expression profiles, suggesting specialized functions beyond the nervous system.
Two Synaptobrevin isoforms were identified in the mammalian CNS, synaptobrevin1 (VAMP1 or p18-1) and synaptobrevin2 (VAMP2 or p18-2) that differ in their regional distribution within the brain, indicating isoform-specific roles in neuroexocytosis (7).
Synaptobrevin1 (VAMP1) is supposed to be essential for the maintenance of nerve impulse transmission in neuromuscular synapses. In addition, it is present on secretory granules of neuroendocrine cells. Synaptobrevin2 (VAMP2) is more abundant and widely distributed in the brain and has been shown to be mainly involved in the assembly of effective SNARE complexes, Ca2+-dependent SV exocytosis, and fast endocytosis in hippocampal synapses (8). It is also expressed in spinal cord dorsal horn neurons and implicated in inflammatory pain sensitization (9).
Synaptobrevins are target molecules for tetanus and several of the botulinal neurotoxins which cleave the protein at single sites in the C-terminal portion of the molecule and thereby disrupt neurotransmitter release (10).

Certificates

ISO 9001 2015 Quality Management System and Green Lab Platinum certification level for sustaining laboratory processes.

Newsletter

Sign up for our newsletter and get the latest updates and news.
 

Please provide a valid E-Mail-Address
Please provide a valid First name
Please provide a valid Last name